Practical Aspects and Challenges in the Echocardiographic Assessment of Right Ventricle and Its Function
Abstract
Anatomy and physiology
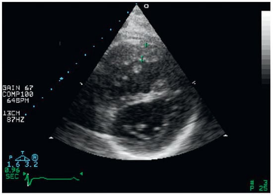
Conventional two-dimensional assessment of the right heart structure
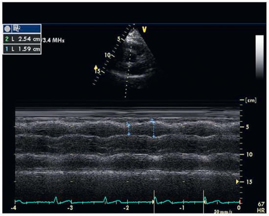
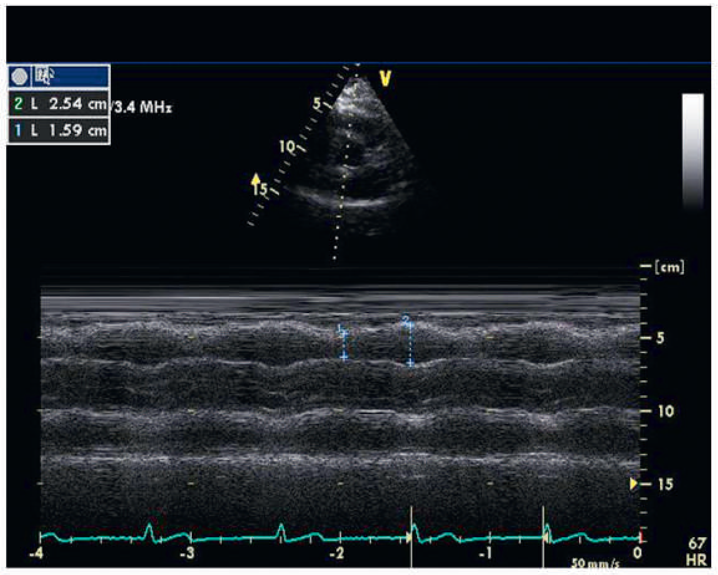
Assessment of the right ventricular function in M-mode (tricuspid annular excursion, RV outflow fractional shortening)
Assessment of the right ventricular function in two-dimensional echocardiography (fractional area change)
Conventional Doppler echocardiography and vena cava inferior measurement
Doppler tissue imaging and regional strain and strain rate
RV diastolic function
Speckle tracking and three-dimensional echocardiography
Funding / potential competing interests
References
- Haddad, F.; Doyle, R.; Murphy, D.J.; Hunt, S.A. Right ventricle function in cardiovascular disease, part II: pathophysiology, clinical importance, and management of right ventricle failure. Circulation. 2008, 117, 1717–1731. [Google Scholar] [CrossRef]
- Burgess, M.I.; Bright-Thomas, R.J.; Ray, S.G. Echocardiographic evaluation of right ventricular function. Eur J Echocardiography. 2002, 3, 252–262. [Google Scholar] [CrossRef][Green Version]
- Netter, F.H. Atria and ventricles In: Netter, F.H.; ed. Yonkman, F.F.; The Netter Collection of Medical illustrations Vol.5 Heart. Novartis publication, Ninth Printing by Union Graphics, Inc., Linden, NJ 1999:8–10.
- McAlpine, W.A. The right ventricle. In: McAlpine, W.A.; Heart and coronary arteries. An Anatomical Atlas for Clinical Diagnosis, Radiological Investigation, and Surgical Treatment. Springer-Verlag Berlin Heidelberg New York 1975: 65–86.
- Lindqvist, P.; Calcutteea, A.; Henein, M. Echocardiography in assessment of right heart function. Eur J Echocardiogr. 2008, 9, 225–234. [Google Scholar] [CrossRef]
- Goldstein, J.A. Right heart ischemia: pathophysiology, natural history and clinical management. Prog Cardiovasc Dis. 1998, 40, 325–341. [Google Scholar] [CrossRef]
- Haddad, F.; Hunt, S.A.; Rosenthal, D.N.; Murphy, D.J. Right ventricular function in cardiovascular disease, part I: anatomy, physiology, aging and functional assessment of the right ventricle. Circulation. 2008, 117, 1436–1448. [Google Scholar] [CrossRef] [PubMed]
- Rudski, L.G.; Lai, W.W.; Hua, L.; Handschumacher, M.D.; Chandrasekaran, K.; Solomon, S.D.; et al. Guidelines for the Echocardiographic Assessment of the Right Heart in Adults: A Report from American Society of Echocardiography Endorsed by the European Association of Echocardiography, a registered branch of the European Society of Cardiology, and the Canadian Society of Echocardiography. J Am Soc Echocardiogr. 2010, 23, 685–713. [Google Scholar]
- Wranne, B.; Pinto, F.J.; Hammarstrom, E.; St. Goar, F.G.; Puryear, J.; Popp, R.L. Abnormal right heart filling after cardiac surgery: time course and mechanisms. Br Heart J. 1991, 66, 435–442. [Google Scholar] [CrossRef]
- Yu, C.M.; Sanderson, J.E.; Chan, S.; Yeung, L.; Hung, Y.T.; Woo, K.S. Right ventricular diastolic dysfunction in heart failure. Circulation. 1996; 93, 1509–1514, Clyne, C.A.; Alpert, J.S.; Benotti, J.R. Interdependence of the left and right ventricles in health and disease. Am Heart J. 1989, 117, 1366–1373. [Google Scholar] [CrossRef] [PubMed]
- Henein, M.; Sheppard, M.; Pepper, J.; Rigby, M. Clinical echocardiography; Springer: Berlin, Germany, 2004; p. 240. [Google Scholar]
- Dell’’Italia, L.J. The right ventricle: anatomy, physiology, and clinical importance. Curr Probl Cardiol. 1991, 16, 653–720. [Google Scholar] [PubMed]
- Armour, J.A.; Randall, W.C. Structural basis for cardiac function. Am J Physiol. 1970, 218, 1517–1523. [Google Scholar] [CrossRef]
- Nagel, E.; Stuber, M.; Hess, O.M. Importance of the right ventricle in valvular heart disease. Eur Heart J. 1996, 17, 829–836. [Google Scholar] [CrossRef] [PubMed]
- Cohen, M.; Fuster, V. What we do gain from the analysis of right ventricular function? J Am Coll Cardiol. 1984, 3, 1082–1084. [Google Scholar] [CrossRef] [PubMed]
- Casazza, F.; Bongarzoni, A.; Capozi, A.; Agostoni, O. Regional right ventricular dysfunction in acute pulmonary embolism and right ventricular infarction. Eur J Echocardiogr. 2005, 6, 11–14. [Google Scholar] [CrossRef] [PubMed]
- Zehender, M.; Kasper, W.; Kauder, E.; Schönthaler, M.; Geibel, A.; Olschewski, M.; Just, H. Right ventricular infarction as an independent predictor of prognosis after acute inferior myocardial infarction. N Engl J Med. 1993, 328, 981–988. [Google Scholar] [CrossRef]
- Carr-White, G.S.; Kon, M.; Koh, T.W.; Glennan, S.; Ferdinand, F.D.; De Souza, A.C.; et al. Right ventricular function after pulmonary outograft replacement of the aortic valve. Circulation. 1999, 100 (Suppl. 19), 1136–1141. [Google Scholar] [CrossRef]
- Warnes, C.A. Adult congenital heart disease, importance of right ventricle. J Am Coll Cardiol. 2009, 54, 1903–1910. [Google Scholar] [CrossRef]
- Haddad, F.; Doyle, R.; Murphy, D.J.; Hunt, S.A. Right ventricular function in cardiovascular disease, part II. Pathophysiology, clinical importance, and management of right ventricular failure. Circulation. 2008, 117, 1717–1731. [Google Scholar] [CrossRef]
- Davlouros, P.A.; Niwa, K.; Webb, G.; Gatzoulis, M.A. The right ventricle in congenital heart disease. Heart. 2006, 92, i27–i38. [Google Scholar] [CrossRef]
- Matsukubo, H.; Matsuura, T.; Endo, N.; Asayama, J.; Watanabe, T. Echocardiographic measurement of right ventricular wall thickness. A new application of subxiphoid echocardiography. Circulation. 1977, 56, 278–284. [Google Scholar] [CrossRef]
- Zeydabadinejad, M. Echokardiographie des rechten Herzens. Georg Thieme Verlag KG Stuttgart; 2006: 75.
- Gottdiener, J.S.; Gay, J.A.; Maron, B.J.; Fletcher, R.D. Increased right ventricular wall thickness in left ventricular pressure overload: echocardiographic determination of hypertrophic response of the “nonstressed” ventricle. J Am Coll Cardiol. 1985, 6, 550–555. [Google Scholar] [CrossRef]
- Lang, R.M.; Bierig, M.; Devereux, R.B.; Flachskampf, F.A.; Foster, E.; Pellikka, P.A.; et al. Recommendations for chamber quantification. Eur J Echocardiography. 2006, 7, 79–108. [Google Scholar] [CrossRef]
- Brookes, C.; Ravn, H.; White, P.; Moeldrup, U.; Oldershaw, P.; Redington, A. Acute right ventricular dilatation in response to ischemia significantly impairs left ventricular systolic performance. Circulation. 1999, 100, 761–767. [Google Scholar] [CrossRef] [PubMed]
- Weyman, A.E. Principles and practice of echocardiography. Lea and Febiger, Philadeplphia. A Waverly Company. 1994, 1289–1298.
- Kovalova, S.; Necas, J.; Cerbak, M.P.; Vespalec, J. Echocardiographic volumetry of the right ventricle. Eur J Echocardiography. 2005, 6, 15–23. [Google Scholar] [CrossRef] [PubMed]
- Ribeiro, A.; Lindmarker, P.; Johnsson, H.; Juhlin-Dannfelt, A.; Jorfeldt, L. Pulmonary embolism: a follow up study of the relation between the degree of right ventricle overload and the extent of perfusion defects. J Intern Med. 1999, 245, 601–610. [Google Scholar] [CrossRef] [PubMed]
- Tamborini, G.; Pepi, M.; Galli, C.A.; Maltagliati, A.; Celeste, F.; Muratori, M.; et al. Feasibility and accuracy of a routine echocardiographic assessment of right ventricular function. Int J Cardiol. 2007, 115, 86–89. [Google Scholar] [CrossRef]
- Lindqvist, P.; Henein, M.; Kazzam, E. Right ventricular outflow-tract fractional shortening: an applicable measure of right ventricular systolic function. Eur J Echocardiography. 2003, 4, 29–35. [Google Scholar] [CrossRef]
- Lai, W.W.; Gauvreau, K.; Rivera, E.S.; Saleeb, S.; Powell, A.J.; Geva, T. Accuracy of guideline recommendations for two-dimensional quantification of the right ventricle by echocardiography. Int J Cardiovasc Imaging. 2008, 24, 691–698. [Google Scholar] [CrossRef]
- Yock, P.G.; Popp, R.L. Noninvasive estimation of right ventricular systolic pressure by Doppler ultrasound in patients with tricuspid regurgitation. Circulation. 1984, 70, 657–662. [Google Scholar] [CrossRef]
- Wong, S.P.; Otto, C.M. Echocardiographic findings in acute and chronic pulmonary disease. In The practice of clinical echocardiography, 2nd ed.; Otto, C.M., Ed.; W.B. Saunders Company: Philadelphia, 2002; pp. 739–760. [Google Scholar]
- Kircher, B.J.; Himelman, R.B.; Schiller, N.B. Noninvasive estimation of right atrial pressure from the inspiratory collapse of the inferior vena cava. Am J Cardiol. 1990, 66, 493–496. [Google Scholar] [CrossRef]
- Goldhammer, E.; Mesnick, N.; Abinader, E.G.; Sagiv, M. Dilated inferior vena cava: a common echocardiographic finding in highly trained elite athletes. J Am Soc Echocardiogr. 1999, 12, 988–993. [Google Scholar] [CrossRef]
- Jue, J.; Chung, W.; Schiller, N.B. Does inferior vena cava size predict right atrial pressures in patients receiving mechanical ventilation? J Am Soc Echocardiogr. 1992, 5, 613–619. [Google Scholar] [CrossRef]
- Bendjelid, K.; Romand, J.A.; Walder, B.; Suter, P.M.; Fournier, G. Correlation between measured inferior vena cava diameter and right atrial pressure depends on the echocardiographic method used in patients who are mechanicaly ventilated. J Am Soc Echocardiogr. 2002, 15, 944–949. [Google Scholar] [CrossRef]
- Mookadam, F.; Warsame, T.A.; Yang, H.S.; Emani, U.R.; Appleton, C.P.; Raslan, S.F. Effect of positional changes on inferior vena cava size. Eur J Echocardiogr. 2011, 12, 322–325. [Google Scholar] [CrossRef] [PubMed]
- McLauglin, V.V.; Archer, S.L.; Badesch, D.B.; Barst, R.J.; Farber, H.W.; Lindner, J.R.; Mathier, M.A.; McGoon, M.D.; Park, M.H.; Rosenson, R.S.; et al. ACCF/AHA 2009 Expert consensus document on pulmonary hypertension. A report of the American College of Cardiology Foundation Task Force on Expert Consensus Documents and the American Heart Association Developed in Collaboration with the American College of Chest Physicians; American Thoracic Society, Inc.; and the Pulmonary Hypertension Association. J Am Coll Cardiol. 2009, 53, 1573–1619. [Google Scholar]
- Dabestani, A.; Mahan, G.; Gardin, J.M.; Takenaka, K.; Burn, C.; Allfie, A.; Henry, W.L. Evaluation of pulmonary artery pressure and resistance by pulsed Doppler echocardiography. Am J Cardiol. 1987, 59, 662–668. [Google Scholar] [CrossRef] [PubMed]
- Torbicki, A.; Pruszczyk, P.; Sliwinski, P.; Kuch-Wochial, A. Pulsed wave Doppler and survival in patients with chronic cor pulmonale. Eur Respir J. 1993, 6, 188. [Google Scholar]
- Tei, C. New non-invasive index for combined systolic and diastolic ventricular function. J Cardiol. 1995, 26, 135–136. [Google Scholar]
- Eidem, B.W.; O’Leary, P.W.; Tei, C.; Seward, J.B. Usefulness of the myocardial performance index for assessing right ventricular function in congenital heart disease. Am J Cardiol. 2000, 86, 654–658. [Google Scholar] [CrossRef]
- Yeo, T.C.; Dujardin, K.S.; Tei, C.; Mahoney, D.W.; McGoon, M.D.; Seward, J.B. Value of a Doppler-derived index combining systolic and diastolic time intervals in predicting outcome in primary pulmonary hypertension. Am J Cardiol. 1998, 81, 1157–1161. [Google Scholar] [CrossRef]
- Burgess, M.; Mogulkoc, N.; Bright-Thomas, R.; Bishop, P.; Egan, J.; Ray, S. Comparison of echocardiographic markers of right ventricular function in determining prognosis in chronic pulmonary disease. J Am Soc Echocardiogr. 2002, 15, 633–639. [Google Scholar] [CrossRef]
- Vonk, M.C.; Sander, M.H.; van den Hoogen, F.H.; van Riel, P.L.; Verheut, F.W.; van Dijk, A.P. Right ventricle Tei-index: A tool to increase the accuracy of non invasive detection of pulmonary arterial hypertension in connective tissue diseases. Eur J Ecocardiogr. 2006, 8, 317–321. [Google Scholar] [CrossRef]
- Pavlicek, M.; Wahl, A.; Rutz, T.; de Marchi, S.F.; Hille, R.; Wustmann, K.; Steck, H.; Eigenmann, C.; Schwerzmann, M.; et al. Right ventricular systolic function assessment: rank of echocardiographic methods vs. cardiac magnetic resonance imaging. Eur J Echocardiogr. 2011, 12, 871–880. [Google Scholar] [CrossRef] [PubMed][Green Version]
- Yoshifuku, S.; Otsuji, Y.; Takasaki, K.; Yuge, K.; Kisanuki, A.; Toyonaga, K.; Lee, S.; Murayama, T.; Nakashima, H.; Kumanohoso, T.; et al. Pseudonormalized Doppler total ejection isovolume (Tei) index in patients with right ventricular acute myocardial infarction. Am J Cardiol. 2003, 91, 527–531. [Google Scholar] [CrossRef] [PubMed]
- Brechot, N.; Gambotti, L.; Lafitte, S.; Roudaut, R. Usefulness of right ventricular isovolumic relaxation time in predicting systolic pulmonary artery pressure. Eur J Echocardiogr. 2008, 9, 547–554. [Google Scholar] [CrossRef] [PubMed][Green Version]
- Kowalski, M.; Kukulski, T.; Jamal, F.; D’Hooge, J.; Weidemann, F.; Rademakers, F.; et al. Can natural strain and strain rate quantify regional myocardial deformation? A study in healthy subjects. Ultrasound Med Biol. 2001, 27, 1087–1097. [Google Scholar] [CrossRef]
- Kjaergaard, J.; Snyder, E.M.; Hassager, C.; Oh, J.K.; Johnson, B.D. Impact of preload and afterload on global and regional right ventricular function and pressure: a quantitative echocardiography study. J Am Soc Echocardiogr. 2006, 19, 515–521. [Google Scholar] [CrossRef]
- Vogel, M.; Schmidt, M.R.; Kristiansen, S.B.; Cheung, M.; White, P.A.; Sorensen, K.; Redington, A.N. Validation of myocardial acceleration during isovolumic contraction as a novel noninvasive index of right ventricular contractility: comparison with ventricular pressure-volume relations in an animal model. Circulation. 2002, 105, 1693–1699. [Google Scholar] [CrossRef]
- Tousignant, C.P.; Bowry, R.; Levesque, S.; Denault, A.Y. Regional differences in color tissue Doppler-derived measures of longitudinal right ventricular function using transesophageal and transthoracic echocardiography. J Cardiothorac Vasc Anesth. 2008, 22, 400–405. [Google Scholar] [CrossRef]
- Tugcu, A.; Guzel, D.; Yildirimturk, O.; Aytekin, S. Evaluation of right ventricular systolic and diastolic function in patients with newly diagnosed obstructive sleep apnea syndrome without hypertension. Cardiology. 2009, 113, 184–192. [Google Scholar] [CrossRef]
- Sade, L.E.; Ozin, B.; Ulus, T.; Acikel, S.; Pirat, B.; Bilqi, M.; Ulucam, M.; Müderrisoglu, H. Right ventricular contractile reserve in mitral stenosis: implications of heamodynamic burden and clinical outcome. Int J Cardiol. 2009, 135, 193–201. [Google Scholar] [CrossRef]
- Toyono, M.; Harada, K.; Tamura, M.; Yamamoto, F.; Takada, G. Myocardial acceleration during isovolumic contraction as a new index of right ventricular contractile function and its relation to pulmonary regurgitation in patients after repair of tetralogy of Fallot. J Am Soc Echocardiogr. 2004, 17, 332–337. [Google Scholar] [CrossRef] [PubMed]
- Vogel, M.; Derrick, G.; White, P.A.; Cullen, S.; Aichner, H.; Deanfield, J.; Redington, A.N. Systemic ventricular function in patients with transposition of the great arteries after atrial repair: a tissue Doppler and conductance catheter study. J Am Coll Cardiol. 2004, 43, 100–106. [Google Scholar] [PubMed]
- Pellerin, D.; Sharma, R.; Elliott, P.; Veyrat, C. Tissue Doppler, strain, and strain rate echocardiography for the assessment of left and right systolic ventricular function. Heart. 2003, 89 (Suppl. 3), iii9–iii17. [Google Scholar] [PubMed][Green Version]
- Lind, B.; Nowak, J.; Dorph, J.; van der Linden, J.; Brodin, L.A. Analysis of temporal requirements for myocardial tissue velocity imaging. Eur J Echocardiogr. 2002, 3, 214–219. [Google Scholar]
- Sutherland, G.R.; Di Salvo, G.; Claus, P.; D’Hooge, J.; Bijnens, B. Strain and strain rate imaging: a new clinical approach to quantifying regional myocardial function. J Am Soc Echocardiogr. 2004, 17, 788–802. [Google Scholar]
- Dambrauskaite, V.; Delcroix, M.; Claus, P.; Herbots, L.; D’Hooge, J.; Bijnens, B.; Rademakers, F.; Sutherland, G.R. Regional right ventricular dysfunction in chronic pulmonary hypertension. J Am Soc Echocardiogr. 2007, 20, 1172–1180. [Google Scholar] [CrossRef]
- Lindqvist, P.; Olofsson, B.O.; Backman, C.; Suhr, O.; Waldenstrom, A. Pulsed tissue Doppler and strain imaging discloses early signs of infiltrative cardiac disease: a study on patients with familial amyloidotic polyneuropathy. Eur J Echocardiogr. 2006, 7, 22–30. [Google Scholar]
- Sutherland, G.R.; Di Salvo, G.; Claus, P.; D’Hooge, J.; Bijnens, B. Strain and strain rate imaging: a new clinical approach to quantifying regional myocardial function. J Am Soc Echocardiogr. 2004, 17, 788–802. [Google Scholar] [CrossRef]
- Cicala, S.; Galderisi, M.; Caso, P.; Petrocelli, A.; D’Errico, A.; de Divitiis, O.; et al. Right ventricular diastolic dysfunction in arterial systemic hypertension: analysis by pulsed tissue Doppler. Eur J Echocardiography. 2002, 3, 135–142. [Google Scholar]
- Tektonidou, M.; Ioannidis, J.; Moyssakis, I.; Boki, K.; Vassilliou, V.; Vlachoyiannopoulo, P.; et al. Right ventricular diastolic dysfunction in patients with anticardiolipin antibodies and antiphospholipid syndrome. Ann Rheum Dis. 2001, 60, 43–48. [Google Scholar]
- Hedman, A.M.; Nordlander, R.; Samad, B. Right ventricular function before and after an uncomplicated coronary bypass graft as assessed by pulsed wave Doppler tissue imaging of the trucuspid anulus. Am Heart J. 2003, 146, 520–526. [Google Scholar]
- Dokainish, H.; Abbey, H.; Gin, K.; Ramanathan, K.; Lee, P.K.; Jue, J. Usefulness of tissue Doppler imaging in the diagnosis and prognosis of acute right ventricular infarction with inferior wall acute left ventricular infarction. Am J Cardiol. 2005, 95, 1039–1042. [Google Scholar] [CrossRef]
- Nagueh, S.F.; Zoghbi, W.A. Evaluation of right ventricular diastolic function. In Klein, A.L.; Garcia, M.J. Diastology. Clinical approach to diastolic heart failure, Ed.; Saunders Elsevier: Philadelphia, 2008; pp. 171–180. [Google Scholar]
- Klein, A.L.; Leung, D.Y.; Murray, R.D.; Urban, L.H.; Bailey, K.R.; Tajik, A.J. Effects of age and physiologic variables on right ventricular filling dynamics in normal subjects. Am J Cardiol. 1999, 84, 440–448. [Google Scholar] [CrossRef]
- Helle-Valle, T.; Crosby, J.; Edvardsen, T.; Lyseggen, E.; Amundsen, B.H.; Smith, H.J.; Rosen, B.D.; Lima, J.A.C.; Torp, H.; Ihlen, H.; Smiseth, O.A. New non invasive method for assessment of left ventricular rotation: speckle tracking echocardiography. Circulation. 2005, 112, 3149–3156. [Google Scholar] [CrossRef] [PubMed]
- Perez de Isla, L.; Vivas, D.; Zamorano, J. Three-dimensional wall motion tracking. E-Journal of the ESC Council for Cardiology Practice, 2008, 7, 22, Available from: http://www.escardio.org/communities/councils/ccp/e-journal/volume7/Pages/vol7n7.aspx. [Google Scholar]
- Winter, S.; Nesser, H.-J. Echocardiography for cardiac resynchronization – the next step. Medtronic Oesterreich GmbH, Wien, 2007:18–20.
- Tong, C.; Li, C.; Song, J.; Liu, H.; Deng, Y. Assessment of right ventricular free wall longitudinal myocardial deformation using specle tracking imaging in normal subjects. J Huazhong Univ Sci Technol. 2008, 28, 194–196. [Google Scholar] [CrossRef] [PubMed]
- Meris, A.; Faletra, F.; Conca, C.; Klersy, C.; Regoli, F.; Klimusina, J.; et al. Timing and magnitude of regional right ventricular function: a speckle tracking-derived strain study of normal subjects and patients with right ventricular dysfunction. J Am Soc Echocardiogr. 2010, 23, 823–831. [Google Scholar] [CrossRef]
- Reali, M.; Rajagopalan, N.; Lopez-Candales, A.; Cordero, K.E.; Suffoletto, M.; Shroff, S.G.; et al. Regional right ventricular myocardial strain by echocardiographic speckle tracking distinguishes clinical and hemodynamic RV dysfunction in pulmonary hypertension. J Cardiac Failure. 2008, 14, 17. [Google Scholar] [CrossRef]
- Papavassiliou, D.P.; Parks, W.J.; Hopkins, K.L.; Fyfe, D.A. Three-dimensional echocardiographic measurement of right ventricular volume in children with congenital heart disease validated by magnetic resonance imaging. J Am Soc Echocardiogr. 1998, 11, 770–777. [Google Scholar] [CrossRef]
- Niemann, P.S.; Pinho, L.; Balbach, T.; Galuschky, C.; Blankenhagen, M.; Silberbach, M.; et al. Anatomically oriented right ventricular volume measurements with dynamic three-dimensional echocardiography validated by 3-Tesla magnetic resonance imaging. JACC. 2007, 50, 1668–1676. [Google Scholar] [CrossRef]
- Rademakers, F. Echocardiographic volumetry of the right ventricle. Eur J Echocardiogr. 2005, 6, 4–6. [Google Scholar] [CrossRef][Green Version]
- Jurcut, R.; Giusca, S.; La Gerche, A.; Vasile, S.; Ginghina, C.; Voigt, J.U. The echocardiographic assessment of the right ventricle: what to do in 2010? Eur J Echocardiogr. 2010, 11, 81–96. [Google Scholar] [CrossRef]
- Pirat, B.; Mcculloch, M.L.; Zoghbli, W.A. Evaluation of global and regional right ventricular systolic function in patients with pulmonary hypertension using a novel speckle tracking method. Am J Cardiol. 2006, 98, 699–704. [Google Scholar] [CrossRef]





![]() |
![]() |
© 2012 by the author. Attribution - Non-Commercial - NoDerivatives 4.0.
Share and Cite
Bluzaitė, I.; Vaskelytė, J.; Marcinkevicienė, J.; Rickli, H.; Haager, P.K. Practical Aspects and Challenges in the Echocardiographic Assessment of Right Ventricle and Its Function. Cardiovasc. Med. 2012, 15, 345. https://doi.org/10.4414/cvm.2012.00127
Bluzaitė I, Vaskelytė J, Marcinkevicienė J, Rickli H, Haager PK. Practical Aspects and Challenges in the Echocardiographic Assessment of Right Ventricle and Its Function. Cardiovascular Medicine. 2012; 15(12):345. https://doi.org/10.4414/cvm.2012.00127
Chicago/Turabian StyleBluzaitė, Ina, Jolanta Vaskelytė, Jolanta Marcinkevicienė, Hans Rickli, and Philipp K. Haager. 2012. "Practical Aspects and Challenges in the Echocardiographic Assessment of Right Ventricle and Its Function" Cardiovascular Medicine 15, no. 12: 345. https://doi.org/10.4414/cvm.2012.00127
APA StyleBluzaitė, I., Vaskelytė, J., Marcinkevicienė, J., Rickli, H., & Haager, P. K. (2012). Practical Aspects and Challenges in the Echocardiographic Assessment of Right Ventricle and Its Function. Cardiovascular Medicine, 15(12), 345. https://doi.org/10.4414/cvm.2012.00127


