Next Article in Journal
Knöchelödeme—Nicht Alle Dihydropyridin-Kalziumantagonisten Sind Gleich Beschaffen
Previous Article in Journal
Management of Chronic Heart Disease in the Elderly
 
 
Cardiovascular Medicine is published by MDPI from Volume 28 Issue 1 (2025). Previous articles were published by another publisher in Open Access under a CC-BY (or CC-BY-NC-ND) licence, and they are hosted by MDPI on mdpi.com as a courtesy and upon agreement with Editores Medicorum Helveticorum (EMH).
Font Type:
Arial Georgia Verdana
Font Size:
Aa Aa Aa
Line Spacing:
Column Width:
Background:
Interesting Images

Hypertrophic Nonobstructive Cardiomyopathy as a Cause of Severe Restrictive Physiology

by
Stéphane Noble
*,
Caroline Frangos
and
Philippe L’Allier
Department of Medicine, Montreal Heart Institute and Université de Montreal, Montreal, QC, Canada
*
Author to whom correspondence should be addressed.
Cardiovasc. Med. 2009, 12(12), 333; https://doi.org/10.4414/cvm.2009.01462
Submission received: 18 September 2009 / Revised: 18 October 2009 / Accepted: 18 November 2009 / Published: 18 December 2009
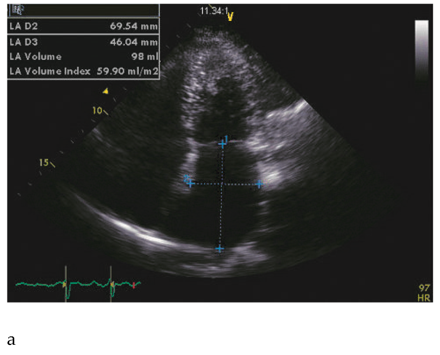
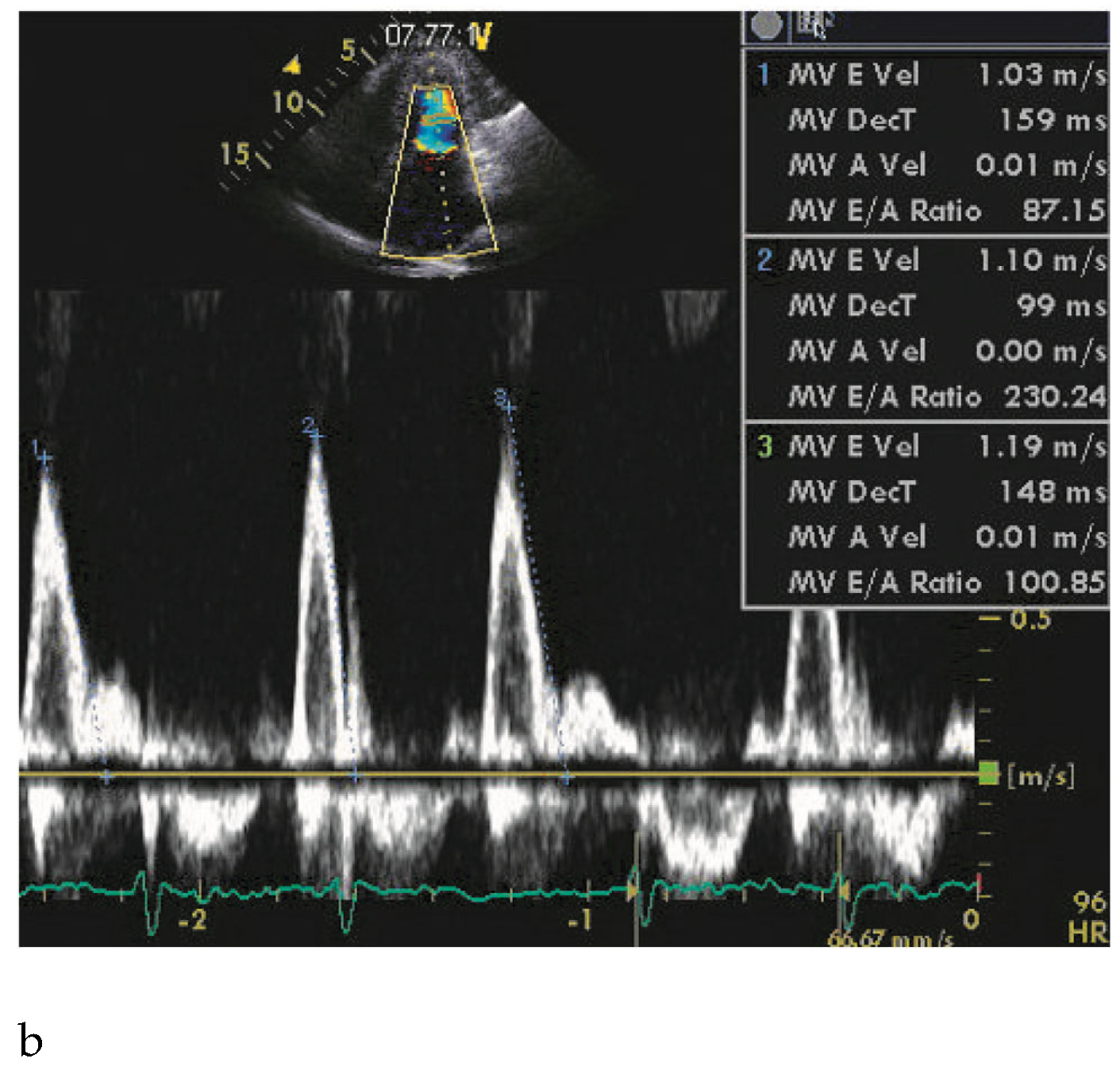
A 66-year-old woman with a family history of hypertrophic cardiomyopathy (HCM) presented with severeprogressive exertional dyspnoea. She had recently complained of palpitations corresponding to atrial fibrillation on the ECG. A transthoracic echocardiogram (TTE) showed nonobstructive, slightly asymmetrical left ventricular hypertrophy (septum and posterior wall thickness respectively measured at 20 and 15 mm). Left ventricular (LV) cavity and ejection fraction (70%) were normal, but both atria were enlarged (Figure 1A). Diastolic function assessment was suggestive of restrictive physiology (Figure 1B). The patient did not improve despite successful cardioversion and intensive medical therapy with maximally-tolerated doses of beta-blockers and verapamil. She was then referred to the catheterisation laboratory to undergo left and right heart catheterisation and coronary angiography after proach) and left heart catheterisations were performed and revealed signs of restrictive physiology without intraventricular dynamic obstruction (Figure 2, Table 1). However, the PA pressure was only mildly elevated and the ventricular diastolic pressure showed a subtle dipplateau pattern (square root sign).
Aggressive treatment with diuretics typically decreases filling pressures (preload) acutely, as confirmed by the low absolute LV and RV end-diastolic pressures, and affects recognition of the typical restrictive pressure tracings. We therefore performed an intravenous fluid challenge with 500 ml of NaCl 0.9% over approximately 10 minutes. The fluid challenge provoked an increase in systolic RV pressure from 36 mm Hg to 57 mm Hg (Figure 3), confirming a significant preload increase (probably more representative of this patient’s usual clinical condition). The typical “M or W” pattern of restriction became more obvious on the RA pressure tracing (prominent x and y descent) (Figure 4), as did the ventricular dip-plateau pattern (square root sign). These findings were interpreted as suggestive of a severe restrictive physiology (in addition to the concomitant PA pressure value >50 mm Hg, elevated LV enddiastolic pressure and ventricular diastolic pressuresdifferential >5 mm Hg). This patient did not undergo endomyocardial biopsy or MRI in view of the documented familial history of HCM, absence of clinical findings suggestive of other diagnoses, and typical echocardiographic findings. We did however perform genetic testing for HCM.
HCM is typically classified in the subgroup of noninfiltrative restrictive cardiomyopathy [1]. Most patients with HCM exhibit significant abnormalities of diastolic function at rest and under stress, even in the absence of an intraventricular pressure gradient [2]. These abnormalities of global diastolic filling are largely independent of the extent and distribution of myocardial hypertrophy [3]. HCM may cause abnormal distensibility of the ventricle due to fibrosis or cellular disorganisation. Nonobstructive HCM often presents with the clinical manifestation of restrictive cardiomyopathy, and is also associated with atrial fibrillation.
Finally, we believe it is crucial to determine whether the baseline filling pressures are artificially low, as is often the case following aggressive diuresis, since this situation may mask the typical haemodynamic patterns of restriction. This case, with demonstrative haemodynamic tracings for restrictive cardiomyopathy, clearly shows the effect of fluid challenge, which is often underused in catheterisation laboratories, in a physiology of this kind.

Conflicts of Interest

No conflict of interest to disclose.

References

  1. Kushwaha, S.; Fallon, J.; Fuster, V. Restrictive cardiomyopathy. N Engl J Med 1997, 336, 267–276. [Google Scholar] [CrossRef] [PubMed]
  2. Nagueh, S.; Bachinski, L.; Meyer, D.; et al. Tissue Doppler imaging consistently detects myocardial abnormalities in patients with hypertrophic cardiomyopathy and provides a novel means for an early diagnosis before and independently of hypertrophy. Circulation 2001, 104, 128–130. [Google Scholar] [CrossRef] [PubMed]
  3. Reddy, V.; Korcarz, C.; Weinert, L.; et al. Apical hypertrophic cardiomyopathy. Circulation 1998, 98, 2354. [Google Scholar] [CrossRef] [PubMed]
  4. Wynne, J.; Braunwald, E. The Cardiomyopathies. In Braunwald’s Heart Disease, 7th ed.; Bonow, R.O., Mann, D.L., Zipes, D.P., Eds.;
  5. Philadelphia; Elsevier Saunders, 2005; p. 1682.
  6. Talreja, D.; Nishimura, R.; Oh, J.; Holmes, D. Constrictive Pericarditis in the Modern Era. J Am Coll Cardiol 2008, 51, 315–319. [Google Scholar] [CrossRef] [PubMed]
Figure 1. A: Four-chamber view showing a severely dilated left atrium. B: Deceleration time <150 m/sec (in atrial fibrillation), suggestive of a restrictive physiology.
Figure 1. A: Four-chamber view showing a severely dilated left atrium. B: Deceleration time <150 m/sec (in atrial fibrillation), suggestive of a restrictive physiology.
Cardiovascmed 12 00333 g001aCardiovascmed 12 00333 g001b
Figure 2. A: RV and LV pressure tracing (50 mm Hg scale). RV systolic pressure / RV end-diastolic pressure is greater than 3 (36/4). LV end-diastolic pressure (13 mm Hg) is greater than RV end-diastolic pressure (4 mm Hg) by more than 5 mm Hg at rest. Systolic RV pressure usually exceeds 50 mm Hg. In this case, a value of 36 mm Hg was measured after aggressive forced diuresis (and before fluid challenge). The ventricular diastolic pressure showed subtle dip-plateau pattern (square root sign). B: RV and LV pressure tracing (200 mm Hg scale).
Figure 2. A: RV and LV pressure tracing (50 mm Hg scale). RV systolic pressure / RV end-diastolic pressure is greater than 3 (36/4). LV end-diastolic pressure (13 mm Hg) is greater than RV end-diastolic pressure (4 mm Hg) by more than 5 mm Hg at rest. Systolic RV pressure usually exceeds 50 mm Hg. In this case, a value of 36 mm Hg was measured after aggressive forced diuresis (and before fluid challenge). The ventricular diastolic pressure showed subtle dip-plateau pattern (square root sign). B: RV and LV pressure tracing (200 mm Hg scale).
Cardiovascmed 12 00333 g002
Figure 3. A: RV and LV pressure tracing (50 mm Hg scale) after fluid challenge. Systolic RV pressure increased from 36 mm Hg to 57 mm Hg. RV systolic pressure / RV end-diastolic pressure is greater than 3 (57/12). B: RV and LV pressure tracing (200 mm Hg scale) after fluid challenge.
Figure 3. A: RV and LV pressure tracing (50 mm Hg scale) after fluid challenge. Systolic RV pressure increased from 36 mm Hg to 57 mm Hg. RV systolic pressure / RV end-diastolic pressure is greater than 3 (57/12). B: RV and LV pressure tracing (200 mm Hg scale) after fluid challenge.
Cardiovascmed 12 00333 g003
Figure 4. Right atrial (RA) pressure after fluid challenge. The mean RA pressure is elevated (11 mm Hg). The atrial pressure tracing shows a prominent y descent followed by a rapid rise and plateau. The X descent is also rapid. This combination results in the characteristic M waveform in the atrial pressure tracing, also found in the context of constrictive pericarditis.
Figure 4. Right atrial (RA) pressure after fluid challenge. The mean RA pressure is elevated (11 mm Hg). The atrial pressure tracing shows a prominent y descent followed by a rapid rise and plateau. The X descent is also rapid. This combination results in the characteristic M waveform in the atrial pressure tracing, also found in the context of constrictive pericarditis.
Cardiovascmed 12 00333 g004
Table 1. Haemodynamic criteria for restrictive cardiomyopathy and constrictive pericarditis [4].
Table 1. Haemodynamic criteria for restrictive cardiomyopathy and constrictive pericarditis [4].
Cardiovascmed 12 00333 i001

Share and Cite

MDPI and ACS Style

Noble, S.; Frangos, C.; L’Allier, P. Hypertrophic Nonobstructive Cardiomyopathy as a Cause of Severe Restrictive Physiology. Cardiovasc. Med. 2009, 12, 333. https://doi.org/10.4414/cvm.2009.01462

AMA Style

Noble S, Frangos C, L’Allier P. Hypertrophic Nonobstructive Cardiomyopathy as a Cause of Severe Restrictive Physiology. Cardiovascular Medicine. 2009; 12(12):333. https://doi.org/10.4414/cvm.2009.01462

Chicago/Turabian Style

Noble, Stéphane, Caroline Frangos, and Philippe L’Allier. 2009. "Hypertrophic Nonobstructive Cardiomyopathy as a Cause of Severe Restrictive Physiology" Cardiovascular Medicine 12, no. 12: 333. https://doi.org/10.4414/cvm.2009.01462

APA Style

Noble, S., Frangos, C., & L’Allier, P. (2009). Hypertrophic Nonobstructive Cardiomyopathy as a Cause of Severe Restrictive Physiology. Cardiovascular Medicine, 12(12), 333. https://doi.org/10.4414/cvm.2009.01462

Article Metrics

Back to TopTop