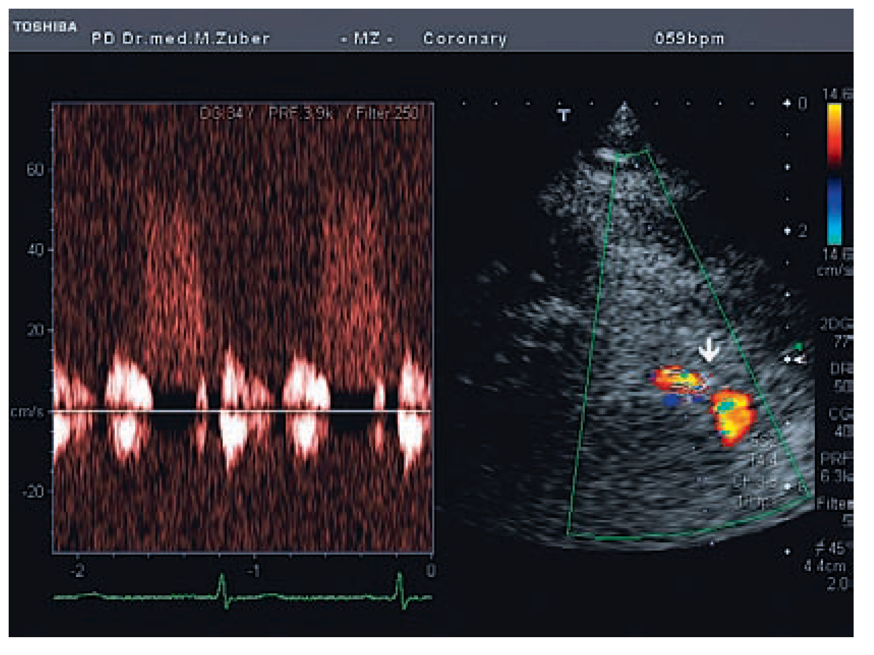
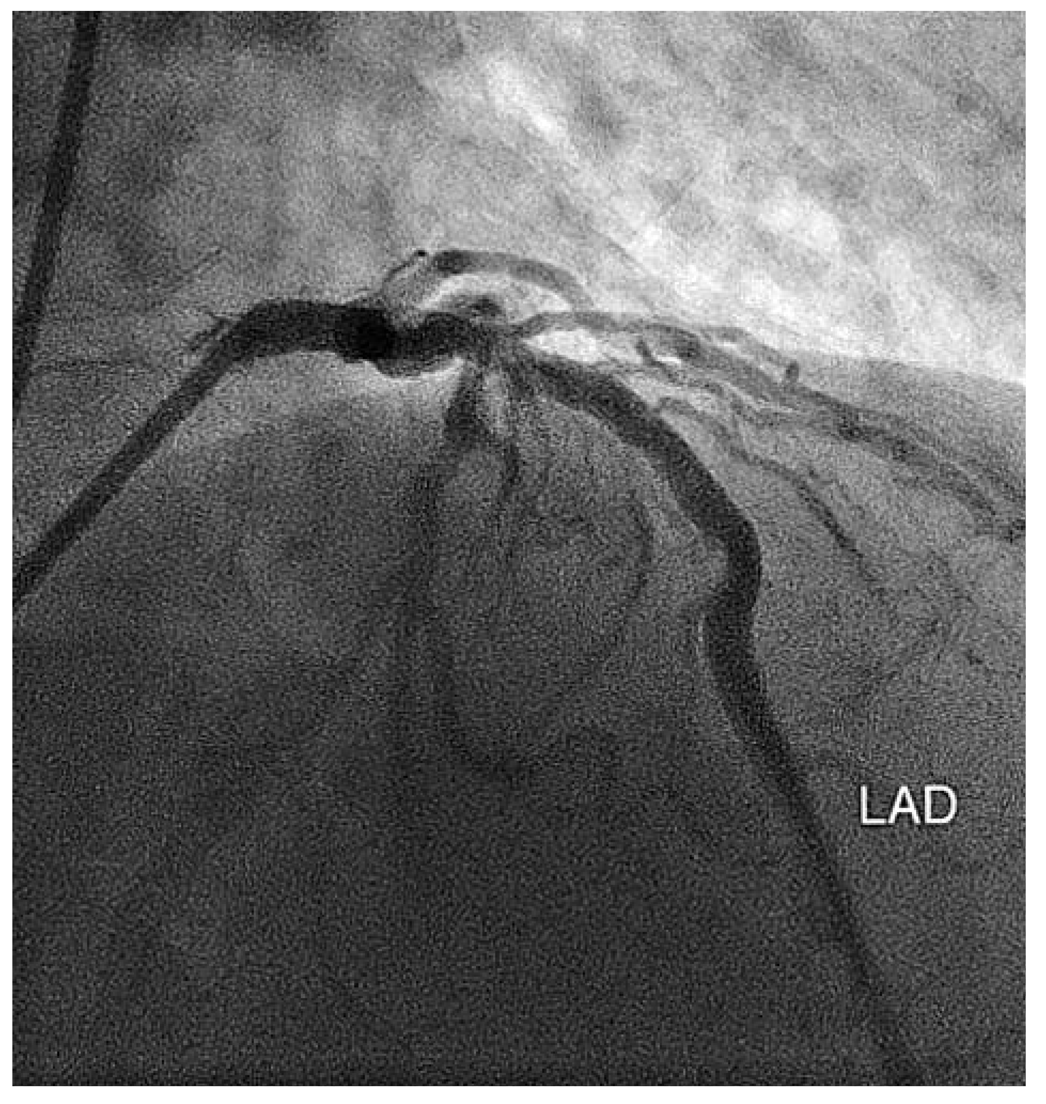
Koronarstenose Und Transthorakale Farbdopplerechokardiographie
Fallbeschreibung
Conflicts of Interest
© 2008 by the author. Attribution - Non-Commercial - NoDerivatives 4.0.
Share and Cite
Zuber, M.; Erne, P. Koronarstenose Und Transthorakale Farbdopplerechokardiographie. Cardiovasc. Med. 2008, 11, 326. https://doi.org/10.4414/cvm.2008.01355
Zuber M, Erne P. Koronarstenose Und Transthorakale Farbdopplerechokardiographie. Cardiovascular Medicine. 2008; 11(10):326. https://doi.org/10.4414/cvm.2008.01355
Chicago/Turabian StyleZuber, Michel, and Paul Erne. 2008. "Koronarstenose Und Transthorakale Farbdopplerechokardiographie" Cardiovascular Medicine 11, no. 10: 326. https://doi.org/10.4414/cvm.2008.01355
APA StyleZuber, M., & Erne, P. (2008). Koronarstenose Und Transthorakale Farbdopplerechokardiographie. Cardiovascular Medicine, 11(10), 326. https://doi.org/10.4414/cvm.2008.01355