Effects of Cold Air on Cardiovascular Disease Risk Factors in Rat
Abstract
:1. Introduction
2. Materials and Methods
2.1. Definition of Cold Air and Data Collection

2.2. Climate Simulator
2.3. Experimental Animals
2.4. Experimental Protocol
2.5. Assessment of Vasoconstrictors, CVD Risk Factors and Histological Changes
2.6. Statistical Analysis
3. Results
3.1. HR, BW, and SBP
3.2. Vasoconstrictors: NE, EPI, ET-1, and ANGII


3.3. CVD Risk Factors: WBV, FG, and Blood Lipids (Table 1)
| CVD risk factors | TDC | TD | TEC | TE | |
|---|---|---|---|---|---|
| Whole blood | 10/s | 10.51(0.72) | 16.34 (2.03) ** | 12.23(0.55) | 17.13(0.91) * |
| Viscosity (mpa.s) | 150/s | 4.45(0.27) | 11.11(0.23) ** | 4.87(0.16) | 6.08(0.47)* |
| Fibrinogen (g/L) | 1.85(0.04) | 2.29(0.05) ** | 1.79(0.03) | 2.07(0.07) **,† | |
| Blood lipids (mmol/L) | TC | 1.26(0.04) | 2.27(0.12) ** | 1.29(0.07) | 1.70(0.09) **, †† |
| TG | 0.51(0.03) | 0.27 (0.02) ** | 0.43(0.06) | 0.26(0.03) | |
| HDL | 0.71(0.03) | 0.83(0.04) | 0.77 (0.03) | 0.69(0.05) † | |
| LDL | 0.58(0.06) | 1.47(0.13) ** | 0.53(0.07) | 1.02(0.08) **,†† | |
| LDL/HDL | 0.84(0.11) | 1.76(0.12) ** | 0.69(0.08) | 1.51(0.16) ** | |
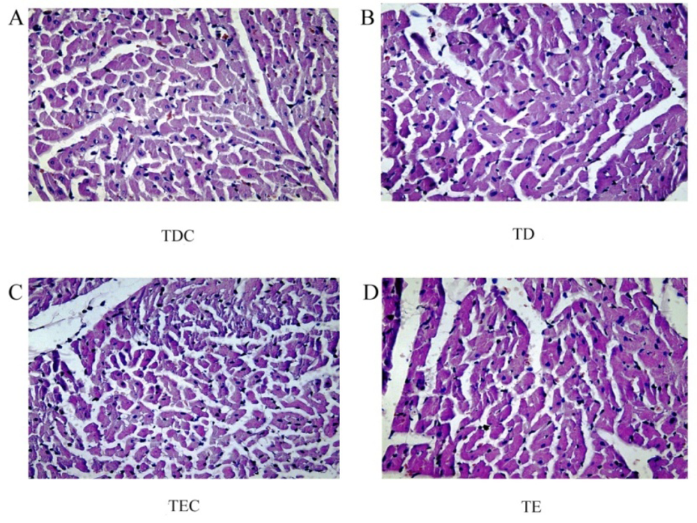
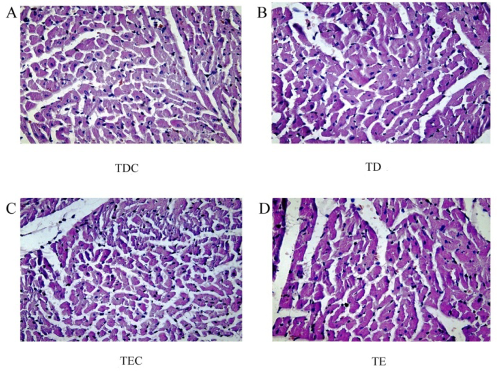
3.4. Myocardial Damage Indicators: Mb, cTnT, and Histopathological Changes in the Heart
| Myocardial injury markers | TDC | TD | TEC | TE |
|---|---|---|---|---|
| Cardic Troponin T (pg/mL) | 9.38(0.79) | 8.40(0.34) | 9.29(0.32) | 8.65(0.30) |
| Myoglobin (pg/mL) | 323.68(11.67) | 356.75(16.33) | 323.88(18.17) | 368.46(19.14) |
| Focal Myocardial Lesions | - | - | - | - |

4. Discussion
5. Conclusions
Acknowledgments
Conflict of Interest
References
- Komulainen, S.; Rintamaki, H.; Virokannas, H.; Keinanen-Kiukaanniemi, S. Blood pressure responses to whole-body cold exposure: Effect of metoprolol. J. Hum. Hypertens. 2004, 18, 905–906. [Google Scholar] [CrossRef]
- Korhonen, M. Helping inuit clients: Cultural relevance and effective counselling. Int. J. Circumpolar Health 2004, 63, 135–138. [Google Scholar]
- Raven, P.B.; Niki, I.; Dahms, T.E.; Horvath, S.M. Compensatory cardiovascular responses during an environmental cold stress, 5 degrees C. J. Appl. Physiol. 1970, 29, 417–421. [Google Scholar]
- Li, Y.; Alshaer, H.; Fernie, G. Blood pressure and thermal responses to repeated whole body cold exposure: Effect of winter clothing. Eur. J. Appl. Physiol. 2009, 107, 673–685. [Google Scholar] [CrossRef]
- Scriven, A.J.; Brown, M.J.; Murphy, M.B.; Dollery, C.T. Changes in blood pressure and plasma catecholamines caused by tyramine and cold exposure. J. Cardiovasc. Pharmacol. 1984, 6, 954–960. [Google Scholar] [CrossRef]
- Qian, Z.M.; Koon, H.W. Area postrema is essential for the maintenance of normal blood pressure under cold stress in rats. Exp. Brain Res. 1998, 121, 186–190. [Google Scholar] [CrossRef]
- Fregly, M.J.; Schechtman, O. Direct blood pressure measurements in rats during abrupt exposure to, and removal from, cold air. Proc. Soc. Exp. Biol. Med. 1994, 205, 119–123. [Google Scholar]
- Barnett, A.G.; Dobson, A.J.; McElduff, P.; Salomaa, V.; Kuulasmaa, K.; Sans, S. Cold periods and coronary events: An analysis of populations worldwide. J. Epidemiol. Community Health 2005, 59, 551–557. [Google Scholar] [CrossRef]
- Fregly, M.J.; Kikta, D.C.; Threatte, R.M.; Torres, J.L.; Barney, C.C. Development of hypertension in rats during chronic exposure to cold. J. Appl. Physiol. 1989, 66, 741–749. [Google Scholar] [CrossRef]
- Sun, Z.; Fregly, M.J.; Cade, J.R. Effect of renal denervation on elevation of blood pressure in cold-exposed rats. Can. J. Physiol. Pharmacol. 1995, 73, 72–78. [Google Scholar] [CrossRef]
- Kanayama, N.; Tsujimura, R.; She, L.; Maehara, K.; Terao, T. Cold-induced stress stimulates the sympathetic nervous system, causing hypertension and proteinuria in rats. J. Hypertens. 1997, 15, 383–389. [Google Scholar] [CrossRef]
- Papanek, P.E.; Wood, C.E.; Fregly, M.J. Role of the sympathetic nervous system in cold-induced hypertension in rats. J. Appl. Physiol. 1991, 71, 300–306. [Google Scholar]
- Zhang, Z.; Wang, J.; Yuan, H.; Gao, Y.; Liu, D.; Song, L.; Xiang, Y.; Zhao, X.; Liu, L.; Luo, S., et al. Low-temperature growth and photoluminescence property of zns nanoribbons. J. Phys. Chem. B 2005, 109, 18352–18355. [Google Scholar]
- Yamamoto, Y.; Yamamoto, T.; Oberg, P.A. Impedance plethysmography for blood flow measurements in human limbs. Part 2. Influence of limb cross-sectional area. Med. Biol. Eng. Comput. 1992, 30, 518–524. [Google Scholar] [CrossRef]
- Stancak, A., Jr.; Yamamotova, A.; Kulls, I.P.; Sekyra, I.V. Cardiovascular adjustments and pain during repeated cold pressor test. Clin. Auton. Res. 1996, 6, 83–89. [Google Scholar] [CrossRef]
- Kanayama, N.; Khatun, S.; Belayet, H.; She, L.; Terao, T. Chronic local cold stress to the soles induces hypertension in rats. Am. J. Hypertens. 1999, 12, 1124–1129. [Google Scholar] [CrossRef] [Green Version]
- Sun, Z. Cardiovascular responses to cold exposure. Front Biosci. 2010, 2, 495–503. [Google Scholar] [CrossRef]
- Huynen, M.M.; Martens, P.; Schram, D.; Weijenberg, M.P.; Kunst, A.E. The impact of heat waves and cold spells on mortality rates in the dutch population. Environ. Health Perspect. 2001, 109, 463–470. [Google Scholar]
- Kysely, J.; Pokorna, L.; Kyncl, J.; Kriz, B. Excess cardiovascular mortality associated with cold spells in the czech republic. BMC Public Health 2009, 9. [Google Scholar] [CrossRef]
- Keatinge, W.R.; Donaldson, G.C. Cardiovascular mortality in winter. Arctic Med. Res. 1995, 54, 16–18. [Google Scholar]
- Neild, P.J.; Syndercombe-Court, D.; Keatinge, W.R.; Donaldson, G.C.; Mattock, M.; Caunce, M. Cold-induced increases in erythrocyte count, plasma cholesterol and plasma fibrinogen of elderly people without a comparable rise in protein C or factor X. Clin. Sci. 1994, 86, 43–48. [Google Scholar]
- Stout, R.W.; Crawford, V. Seasonal variations in fibrinogen concentrations among elderly people. The Lancet 1991, 338, 9–13. [Google Scholar]
- Vogelaere, P.; Brasseur, M.; Quirion, A.; Leclercq, R.; Laurencelle, L.; Bekaert, S. Hematological variations at rest and during maximal and submaximal exercise in a cold (0 degree C) environment. Int. J. Biometeorol. 1990, 34, 1–14. [Google Scholar] [CrossRef]
- Woodhouse, P.R.; Khaw, K.T.; Plummer, M.; Foley, A.; Meade, T.W. Seasonal variations of plasma fibrinogen and factor vii activity in the elderly: Winter infections and death from cardiovascular disease. The Lancet 1994, 343, 435–439. [Google Scholar]
- Guo, H.R.; Chen, P.K.; Long, S.C.; Su, H.J. Effects of extreme cold weather on the mortality of cardiovascular and respiratory diseases in Taiwan. Epidemiology 2007, 18. [Google Scholar] [CrossRef]
- Revich, B.; Shaposhnikov, D. Excess mortality during heat waves and cold spells in Moscow, Russia. Occup. Environ. Med. 2008, 65, 691–696. [Google Scholar] [CrossRef]
- Yu, W.; Hu, W.; Mengersen, K.; Guo, Y.; Pan, X.; Connell, D.; Tong, S. Time course of temperature effects on cardiovascular mortality in Brisbane, Australia. Heart 2011, 97, 1089–1093. [Google Scholar] [CrossRef]
- Clauss, A. Rapid physiological coagulation method in determination of fibrinogen. Acta. Haematol. 1957, 17, 237–246. [Google Scholar] [CrossRef]
- Warnick, G.R.; Nauck, M.; Rifai, N. Evolution of methods for measurement of hdl-cholesterol: From ultracentrifugation to homogeneous assays. Clin. Chem. 2001, 47, 1579–1596. [Google Scholar]
- Sullivan, D.R.; Kruijswijk, Z.; West, C.E.; Kohlmeier, M.; Katan, M.B. Determination of serum triglycerides by an accurate enzymatic method not affected by free glycerol. Clin. Chem. 1985, 31, 1227–1228. [Google Scholar]
- Siedel, J.; Hagele, E.O.; Ziegenhorn, J.; Wahlefeld, A.W. Reagent for the enzymatic determination of serum total cholesterol with improved lipolytic efficiency. Clin. Chem. 1983, 29, 1075–1080. [Google Scholar]
- Sakaue, T.; Hirano, T.; Yoshino, G.; Sakai, K.; Takeuchi, H.; Adachi, M. Reactions of direct LDL-cholesterol assays with pure LDL fraction and LDL: Comparison of three homogeneous methods. Clin. Chim. Acta 2000, 295, 97–106. [Google Scholar] [CrossRef]
- Nauck, M.; Warnick, G.R.; Rifai, N. Methods for measurement of LDL-cholesterol: A critical assessment of direct measurement by homogeneous assays versus calculation. Clin. Chem. 2002, 48, 236–254. [Google Scholar]
- Lipsitz, L.A.; Mukai, S.; Hamner, J.; Gagnon, M.; Babikian, V. Dynamic regulation of middle cerebral artery blood flow velocity in aging and hypertension. Stroke 2000, 31, 1897–1903. [Google Scholar] [CrossRef]
- Heijer, T.; Skoog, I.; Oudkerk, M.; de Leeuw, F.E.; de Groot, J.C.; Hofman, A.; Breteler, M.M. Association between blood pressure levels over time and brain atrophy in the elderly. Neurobiol. Aging 2003, 24, 307–313. [Google Scholar] [CrossRef]
- Chobanian, A.V. Calcium channel blockers. Lessons learned from midas and other clinical trials. JAMA 1996, 276, 829–830. [Google Scholar] [CrossRef]
- Cohn, J.N.; Quyyumi, A.A.; Hollenberg, N.K.; Jamerson, K.A. Surrogate markers for cardiovascular disease: Functional markers. Circulation 2004, 109, 31–46. [Google Scholar] [CrossRef]
- Baker-Blocker, A. Winter weather and cardiovascular mortality in Minneapolis-St. Paul. Am. J. Public Health 1982, 72, 261–265. [Google Scholar] [CrossRef]
- Fujiwara, T.; Kawamura, M.; Nakajima, J.; Adachi, T.; Hiramori, K. Seasonal differences in diurnal blood pressure of hypertensive patients living in a stable environmental temperature. J. Hypertens. 1995, 13, 1747–1752. [Google Scholar]
- Manfredini, R.; Gallerani, M.; Portaluppi, F.; Salmi, R.; Fersini, C. Chronobiological patterns of onset of acute cerebrovascular diseases. Thromb. Res. 1997, 88, 451–463. [Google Scholar] [CrossRef]
- Sun, Z.; Cade, R.; Katovich, M.J.; Fregly, M.J. Body fluid distribution in rats with cold-induced hypertension. Physiol. Behav. 1999, 65, 879–884. [Google Scholar]
- Brasier, A.R.; Recinos, A., 3rd; Eledrisi, M.S. Vascular inflammation and the renin-angiotensin system. Arterioscler. Thromb. Vasc. Biol. 2002, 22, 1257–1266. [Google Scholar]
- Abdel-maksoud, M.F.; Grunwald, G.K.; Eckel, R.H.; Byers, T.E.; Hamman, R.F.; Hokanson, J.E. Long-term intra-individual variability of triglycerides predicts the risk of chd irrespective of triglyceride levels. Circulation 2009, 120, S406. [Google Scholar]
- Arsenault, B.J.; Rana, J.S.; Stroes, E.S.; Despres, J.P.; Shah, P.K.; Kastelein, J.J.; Wareham, N.J.; Boekholdt, S.M.; Khaw, K.T. Beyond low-density lipoprotein cholesterol: Respective contributions of non-high-density lipoprotein cholesterol levels, triglycerides, and the total cholesterol/high-density lipoprotein cholesterol ratio to coronary heart disease risk in apparently healthy men and women. J. Am. Coll. Cardiol. 2009, 55, 35–41. [Google Scholar] [CrossRef]
- Chirovsky, D.R.; Fedirko, V.; Cui, Y.; Sazonov, V.; Barter, P. Prospective studies on the relationship between high-density lipoprotein cholesterol and cardiovascular risk: A systematic review. Eur. J. Cardiovasc. Prev. Rehabil. 2009, 16, 404–423. [Google Scholar] [CrossRef]
- Lowe, G.D.; Lee, A.J.; Rumley, A.; Price, J.F.; Fowkes, F.G. Blood viscosity and risk of cardiovascular events: The edinburgh artery study. Br. J. Haematol. 1997, 96, 168–173. [Google Scholar] [CrossRef]
- Mora, S.; Otvos, J.D.; Rifai, N.; Rosenson, R.S.; Buring, J.E.; Ridker, P.M. Lipoprotein particle profiles by nuclear magnetic resonance compared with standard lipids and apolipoproteins in predicting incident cardiovascular disease in women. Circulation 2009, 119, 931–939. [Google Scholar] [CrossRef]
- Wilson, P.W.; D’Agostino, R.B.; Levy, D.; Belanger, A.M.; Silbershatz, H.; Kannel, W.B. Prediction of coronary heart disease using risk factor categories. Circulation 1998, 97, 1837–1847. [Google Scholar]
- Zhang, X.; Patel, A.; Horibe, H.; Wu, Z.; Barzi, F.; Rodgers, A.; MacMahon, S.; Woodward, M. Cholesterol, coronary heart disease, and stroke in the Asia pacific region. Int. J. Epidemiol. 2003, 32, 563–572. [Google Scholar] [CrossRef]
- Keatinge, W.R.; Coleshaw, S.R.K.; Cotter, F.; Mattock, M.; Murphy, M.; Chelliah, R. Increases in platelet and red cell counts, blood viscosity, and arterial pressure during mild surface cooling: Factors in mortality from coronary and cerebral thrombosis in winter. Br. Med. J. 1984, 289, 1405–1408. [Google Scholar]
- Green, D.; Foiles, N.; Chan, C.; Schreiner, P.J.; Liu, K. Elevated fibrinogen levels and subsequent subclinical atherosclerosis: The cardia study. Atherosclerosis 2009, 202, 623–631. [Google Scholar] [CrossRef]
- Guo, F.; Liu, J.; Wang, C.; Liu, N.; Lu, P. Fibrinogen, fibrin, and fdp induce c-reactive protein generation in rat vascular smooth muscle cells: Pro-inflammatory effect on atherosclerosis. Biochem. Biophys. Res. Commun. 2009, 390, 942–946. [Google Scholar] [CrossRef]
- Hansson, G.K. Inflammation, atherosclerosis, and coronary artery diseas. N. Engl. J. Med. 2005, 352, 1685–1695. [Google Scholar] [CrossRef]
- Lusis, A.J. Atherosclerosis. Nature 2000, 407, 233–241. [Google Scholar] [CrossRef]
- Fernandez, M.L.; Webb, D. The LDL to HDL cholesterol ratio as a valuable tool to evaluate coronary heart disease risk. J. Am. Coll. Nutr. 2008, 27, 1–5. [Google Scholar]
- Sun, Z.; Cade, J.R.; Fregly, M.J.; Rowland, N.E. Effect of chronic treatment with propranolol on the cardiovascular responses to chronic cold exposure. Physiol. Behav. 1997, 62, 379–384. [Google Scholar] [CrossRef]
- Babuin, L.; Jaffe, A.S. Troponin: The biomarker of choice for the detection of cardiac injury. CMAJ 2005, 173, 1191–1202. [Google Scholar] [CrossRef]
- O’Brien, P.J.; Dameron, G.W.; Beck, M.L.; Kang, Y.J.; Erickson, B.K.; Di Battista, T.H.; Miller, K.E.; Jackson, K.N.; Mittelstadt, S. Cardiac troponin T is a sensitive, specific biomarker of cardiac injury in laboratory animals. Lab. Anim. Sci. 1997, 47, 486–495. [Google Scholar]
- Plebani, M.; Zaninotto, M. Diagnostic strategies in myocardial infarction using myoglobin measurement. Eur. Heart J. 1998, 19, 12–15. [Google Scholar]
- Barney, C.C.; Katovich, M.J.; Fregly, M.J.; Tyler, P.E. Changes in beta-adrenergic responsiveness of rats during chronic cold exposure. J. Appl. Physiol. 1980, 49, 923–929. [Google Scholar]
- Fregly, M.J.; Rossi, F.; Van Bergen, P.; Brummermann, M.; Cade, J.R. Effect of chronic treatment with losartan potassium (DuP 753) on the elevation of blood pressure during chronic exposure of rats to cold. Pharmacology 1993, 46, 198–205. [Google Scholar] [CrossRef]
© 2012 by the authors; licensee MDPI, Basel, Switzerland. This article is an open-access article distributed under the terms and conditions of the Creative Commons Attribution license (http://creativecommons.org/licenses/by/3.0/).
Share and Cite
Luo, B.; Zhang, S.; Ma, S.; Zhou, J.; Wang, B. Effects of Cold Air on Cardiovascular Disease Risk Factors in Rat. Int. J. Environ. Res. Public Health 2012, 9, 2312-2325. https://doi.org/10.3390/ijerph9072312
Luo B, Zhang S, Ma S, Zhou J, Wang B. Effects of Cold Air on Cardiovascular Disease Risk Factors in Rat. International Journal of Environmental Research and Public Health. 2012; 9(7):2312-2325. https://doi.org/10.3390/ijerph9072312
Chicago/Turabian StyleLuo, Bin, Shuyu Zhang, Shoucun Ma, Ji Zhou, and Baojian Wang. 2012. "Effects of Cold Air on Cardiovascular Disease Risk Factors in Rat" International Journal of Environmental Research and Public Health 9, no. 7: 2312-2325. https://doi.org/10.3390/ijerph9072312
APA StyleLuo, B., Zhang, S., Ma, S., Zhou, J., & Wang, B. (2012). Effects of Cold Air on Cardiovascular Disease Risk Factors in Rat. International Journal of Environmental Research and Public Health, 9(7), 2312-2325. https://doi.org/10.3390/ijerph9072312
