Next Article in Journal
The Impact of a Novel Transfer Process on Patient Bed Days and Length of Stay: A Five-Year Comparative Study at the Mayo Clinic in Rochester and Mankato Quaternary and Tertiary Care Centers
Previous Article in Journal
Exposure to Air Pollution and Changes in Resting Blood Pressure from Morning to Evening: The MobiliSense Study
 
 
Font Type:
Arial Georgia Verdana
Font Size:
Aa Aa Aa
Line Spacing:
Column Width:
Background:
Article

Human Health Risk Assessment from the Tilapia Fish in Heavy Metal–Contaminated Landfill Reservoir

1
Toxic Substances, Microorganisms and Feed Additives in Livestock and Aquatic Animals for Food Safety Research Program, Khon Kaen University, Khon Kaen 40002, Thailand
2
Faculty of Veterinary Medicine, Khon Kaen University, Khon Kaen 40002, Thailand
3
Yasothon Agricultural Research and Development Center, Department of Agriculture, Ministry of Agriculture, Yasothon 35000, Thailand
4
Faculty of Science, Khon Kaen University, Khon Kaen 40002, Thailand
5
Thatphanom Crown Prince Hospital, Nakornphanom 48110, Thailand
*
Author to whom correspondence should be addressed.
Int. J. Environ. Res. Public Health 2025, 22(6), 873; https://doi.org/10.3390/ijerph22060873
Submission received: 23 February 2025 / Revised: 26 May 2025 / Accepted: 29 May 2025 / Published: 31 May 2025

Abstract

This study highlights the significant environmental and health risks associated with heavy metal contamination (As, Cd, Cr, and Pb) in Oreochromis niloticus (Nile tilapia) from two locations: the Khon Kaen municipal landfill (study site) and the Thapra commercial fish farm (reference site). It also evaluates potential human health risks and investigates genotoxicity and oxidative stress markers, including malondialdehyde, hydrogen peroxide (H2O2), catalase (CAT), and superoxide dismutase (SOD) in fish. Heavy metal concentrations were analyzed using inductively coupled plasma optical emission spectrometry. To determine genetic differentiation, inter-simple sequence repeats with dendrogram construction and genomic template stability (%GTS) were applied. The results showed that the average concentrations of As, Cd, Cr, and Pb in water samples were 0.0848, 0.536, 1.23, and 0.73 mg/L, respectively. These values exceeded safety limits, and the average Cd in sediment (1.162 mg/kg) was above regulatory thresholds. In fish muscle, the average metal concentrations (mg/kg) followed the order Cr (1.83) > Pb (0.69) > Cd (0.096) > As (0.0758), with Pb exceeding food quality standards. The bioaccumulation factor ranked as Cr > Pb > As > Cd. Health risk assessments, including health risk index and carcinogenic risk, suggested Pb contamination poses significant health risks through fish consumption. From dendrogram results, the %GTS of O. niloticus from the landfill and reference sites were 46.34 to 71.67% and 87.34 to 96.00%, respectively. This suggests that fish from the landfill site exhibited greater genetic diversity compared to those from the reference site. Specific oxidative stress markers revealed higher levels of H2O2 and significantly lower activities of CAT and SOD in landfill O. niloticus than in the reference site. These results emphasize the urgent need for environmental monitoring, stricter pollution controls, and improved waste management strategies to protect aquatic ecosystems and human health.

1. Introduction

One of the most difficult problems facing local Thai government authorities is solid waste management. Thailand produced 25.7 million tons of solid waste in 2022, of which 5.4 million tons, or roughly 21%, were disposed of in an unsanitary manner, primarily in open dump landfills, according to the Pollution Control Department (PCD) [1]. Waste mismanagement is prevalent due to factors like rapid population growth, lack of proper recycling and treatment facilities, insufficient landfill space, illegal dumping, lack of public participation, and decreased government funding. The primary disposal method remains landfilling, but inadequate waste management has resulted in toxic leachate seeping into the surrounding environment [2]. At the Khon Kaen municipal landfill adjacent to the waste-to-energy power plant, high concentrations of major heavy metals (HMs) such as As, Cd, Cr, and Pb have been detected in both leachate and local organisms [3,4,5,6,7]. The reference site in the Thapra commercial fish farm is situated in the green area of Khon Kaen city, without any industries or factories nearby. Swangneat et al. (2023) reported Cd, Cr, and Pb contaminations in the muscle, gills, and liver of cage-cultured Oreochromis niloticus from a landfill area, with only Cd level exceeding the safety standard by 13% [3]. Notably, this pollution extends beyond landfill sites and can have extended environmental impacts [5].
The accumulation of HMs in fish can have harmful health effects because these metals may be transferred to the human body upon consumption [8]. The severity of health impacts depends on the quantity of fish consumed [9]. Therefore, assessing human health risks is crucial when evaluating the potential effects of fish consumption in this area. This study aimed to analyze HM concentrations in water, sediment, and fish near the landfill. Additionally, it examined the bioaccumulation factor (BAF) of HMs in fish and the potential health risks associated with their consumption. The findings of this research can raise awareness among consumers and authorities about the possible hazards of fish consumption and contribute to future improvements in landfill environmental management.
Oreochromis niloticus is a freshwater fish that primarily inhabits rivers, reservoirs, and lakes. As an herbivorous species, it feeds on algae and aquatic plants. The fish is highly susceptible to heavy metal pollution and other environmental contaminants, making it a key bioindicator of environmental quality [10]. To assess pollution levels, monitoring HM concentrations in water and sediments is essential. Additionally, tracking fish health provides further evidence of HM contamination. HMs enter aquatic organisms through two primary pathways: direct ingestion of water and biota or non-dietary absorption via the gills and skin [11]. Research has shown that HM exposure in fish could lead to chromosomal damage and alterations in DNA structures [12,13]. Moreover, HMs induce oxidative stress by disrupting the balance between free radical production and elimination [14]. Beyond their direct impact on fish, HMs accumulate in aquatic organisms and transfer through the food chain to predators such as birds, animals, and humans, amplifying their harmful effects on the biosphere. To date, reports on the toxic effects of HMs on O. niloticus health and molecular genetics have been limited. Authors hypothesized that HMs contaminated in the landfill reservoirs could affect O. niloticus fish at the genetic level and oxidative phenomenon, and consumption of the fish could pose a carcinogenic risk to human health. Therefore, this study aims to measure the concentrations of As, Cd, Cr, and Pb in water, sediments, and O. niloticus, assess potential human health risks, and investigate genetic toxicity and oxidative stress biomarkers in O. niloticus fish following exposure to HMs in a landfill site.

2. Materials and Methods

2.1. Study Sites

The study site was located in the municipal landfill, Kham Bon village, Khon Kaen Province, Thailand. The reference site is an area where there is no contaminated leachate from industries, farms, or landfills. Geographic coordinates of the landfill and reference sites are at latitude: 16.59608238433, longitude: 102.806853323728 and latitude: 16.334442760000, longitude: 102.79644053868, respectively (Figure 1). The water, sediment, and O. niloticus samples were collected from landfill heavy metal–contaminated sites and compared to samples from a non-heavy metal–contaminated reference site in a commercial fish farm, Thapra subdistrict, Muang Khon Kaen, Khon Kaen Province.

2.2. Sample Methods

Water, sediment, and O. niloticus were randomly selected from each of the 5 spots at the landfill and the reference sites for heavy metal analysis, genetic analysis, and oxidative stress analysis (n = 5; five samples of each analysis) [4,5].
The sample size of O. niloticus in this study was limited due to a combination of practical and ecological constraints. First, the population of fish inhabiting the natural reservoir near the landfill site was relatively small, and ethical considerations required that authors avoid over-sampling to prevent further disruption to the ecosystem. Additionally, constraints such as limited access to the site, available resources, and the seasonal availability of fish influenced our sampling capacity. Despite the small sample size, care was taken to ensure the samples were representative and provide valuable insights that the study followed accepted scientific publications [4,5]. By outlining limitations, future research with a larger sample size and across multiple seasons or sites is recommended to validate and expand upon these findings.
The details of the sampling collection processes were as follows [4]: water samples were collected from the landfill and the reference sites in 1000 mL plastic bottles using the grab sampling method, 15–30 cm below surface water. Five water samples were taken from five randomly selected points and stored in polyethylene bottles. To preserve the samples, 1–2 drops of concentrated nitric acid were added to achieve a pH of approximately 2 and were stored at 4 °C before being analyzed to measure the heavy metal concentrations.
For sediment samples, they were collected using a grab sampler from the bottom of the landfill reservoir at a depth of approximately 40–50 cm below the water surface. Five samples were taken from five randomly selected points and stored in clear plastic bags. The samples were air-dried before further analysis to measure the heavy metal concentrations.
In this study, samples of 5 tilapia fish per site with an average weight of 62–85 g and aged approximately 3 months old were collected from each water site using the cast net fishing method. The fish were humanly euthanized with an overdose of tricane methane sulfonate (MS-222, Sigma-Aldrich, St. Louis, MO, USA). The tail muscle part was excised, dried in a hot air oven at a temperature of 60 °C for 5 days, and kept at room temperature [4,5] before the measurement of heavy metal concentrations. The gill tissue was preserved in pure ethanol, DNA was extracted and amplified, and its %GTS was detected. The blood serum of each fish was kept in a freezer at −80 °C before measuring the levels of oxidative stress biomarkers MDA, H2O2, SOD, and CAT.

2.3. Analysis of Water Quality

An analysis of water quality was conducted by comparing samples from a Khon Kaen landfill reservoir with the Thapra commercial fish pond as a reference site. The parameters assessed included temperature, total dissolved solids, dissolved oxygen, electrical conductivity, and pH levels (Table 1).

2.4. Measurement of Heavy Metal Concentration in Water

A total of 1.25 mL of 30% HNO3 was mixed into the 25 mL water sample and heated on a hot plate to a temperature of 95 ± 5 °C for 60 min. After cooling, deionized water was added to bring the volume up to 25 mL. The solution was filtered using filter paper, and the metals were analyzed using induction coupled plasma-mass spectrometry (ICP-OES, Perkin Elmer Optima 7000 DV, Shelton, CN, USA) [15]. HM concentrations in water samples were evaluated and compared according to Thailand’s surface water quality standards [16].

2.5. Measurement of Heavy Metal Concentration in Sediment

A total of 5 mL of nitric acid was mixed with 10 mL of hydrogen peroxide and 15 mL of sulfuric acid to an exact 1 g of sediment and heated on a hot plate at 95 ± 5 °C for 2 h. After cooling, the volume was filtered through No. 42 cellulose filter paper and increased to 50 mL using deionized water. The final samples were subjected to the same protocol for ICP-OES analysis, together with a standard reference material and a blank [17]. HM concentrations in sediment samples were evaluated and compared according to Thailand’s soil quality standards [18] and USEPA [19].

2.6. Measurement of Heavy Metal Concentration in O. niloticus

A total of 1 g each of nitric acid and hydrochloric acid were mixed with each O. niloticus fish tail muscle sample (n = 5) and put on a hot plate at 60 °C for 30 min. Then, 10 mL of hydrogen peroxide was added and placed on a hot plate at 95 ± 5 °C for 1 h. After cooling, deionized water was added to make 25 mL. The mixture was filtered through filter paper No. 1 and examined with ICP-OES [20]. HM concentrations in O. niloticus samples were evaluated and compared according to Thailand’s Ministry of Public Health’s standards [21].

2.7. Quality Control and Quality Assurance

Every 10 to 20 samples, across all tested samples, were evaluated in relation to quality control standards and method blanks (MBs). During the preparation and digestion stages, the concentrations of HMs found in the method blanks were deducted from those found in the test series samples. The laboratory fortified matrix (LFM) verified the accuracy of the analysis. The limits of detection (LOD) for As, Cd, Cr, and Pb were 0.001, 0.0001, 0.0002, and 0.001 mg/L, respectively. For the As, Cd, Cr, and Pb analyses, the ICP-OES wavelengths were 188.979, 226.502, 267.719, and 220.353 nm, respectively [22]. The accuracy of the heavy metal concentration results was evaluated with the APHA method [23]. The value of recovery of metals was determined based on acceptance criteria that fall within the range of 85% to 115% [19].

2.8. Bioaccumulation Factor (BAF)

BAF indicates how much metal an organism accumulates through uptake from its environment. The BAF can be calculated using the equation, where Cm represents the concentration of HMs in soil or water, and fish represents the concentration of HMs in fish based on wet weight [7].
BAF = C tissue/Cm
Concentrations of HMs in fish muscle are expressed as Cm, while fish tissue concentrations (C tissue) are measured based on their wet weight.

2.9. Estimated Daily Intake (EDI)

Three factors were taken into account by the EDI when evaluating exposure to HMs through fish consumption: the average body weight of a Thai person, which was assumed to be 58 kg/person (Cluster and Program Management Office, National Science and Technology Development Agency, Pathum Thani, Thailand, 2024); the daily quantity of fish consumed (D); and the concentration of metal in the fish (C).
The EDI is calculated using the formula below [5].
EDI = (C metal × W fish)/Bw
Normal fish eaters consume 0.0215 kg of W fish per day [24].
Consequences of acceptable limits HMs in life were reported by a joint FAO/WHO expert committee on food additives (September 2002), which were 0.01 mg/kg for As and 2mg/kg for Cd in freshwater non-predatory fish.

2.10. Health Risk Index (HRI)

The HRI was computed using the formula of the ratio of the oral reference dose (RfD) to the EDI for each metal for non-cancerous oral exposure [25].
HRI = EDI/RfD
where 0.0003, 0.001, 0.003, and 0.004 mg/kg/day were the oral reference doses for As, Cd, Cr, and Pb, respectively [19].

2.11. Carcinogenic Risk (CR)

The following formula was used to determine the CR [26]:
CR = EDI/CSFo
where As and Pb had oral carcinogenic slope factors (CSFo) of 1.5 mg/kg/day and 0.0085 mg/kg/day, respectively [19].

2.12. DNA Extraction and PCR Analysis

The DNA molecules extracted from the gills and livers of the O. niloticus were effectively amplified using 13 inter-simple sequence repeat (ISSR) primers as detailed in Table 2 in a PCR cycler (Flex Cycler2, Analytikjena, Jena, Germany) [23]. Each DNA band was assessed and documented using the following diallelic coding system: presence was denoted as 1, while absence was indicated as 0. The statistical analysis of the genotoxicity study involved transferring each assessed DNA band to the dendrogram configuration utilizing the NTSYSpc 2.1 software [27]. The results of all assessed bands were incorporated into the dendrogram to evaluate the genetic similarity of O. niloticus as in other fish species from the pollution sites (gold mine, electronic waste) under investigation [4,5,27]. All assessed bands’ results were examined in order to determine the %GTS and create a dendrogram [28].
%GTS = (1 − a/n) × 100
where n is the total number of bands in the samples from the reference area; and a is the number of polymorphic bands found in the municipal landfill samples, which is equal to the sum of the appearance of a new band and the disappearance of a normal band.

2.13. Oxidative Stress Biomarkers

2.13.1. Malondialdehyde (MDA)

The measurement of malondialdehyde (MDA) involved assessing thiobarbituric acid reactive substances. For this, a mixture of 10% TCA, 5 mM EDTA, 8% SDS, and 0.5 μg/mL BHT was combined with 150 μL of plasma. After adding 0.6% TBA, the mixture was boiled, cooled, and centrifuged, and the absorbance at 532 nm was measured. A standard curve was created using 1,1,3,3-tetraethoxypropane concentrations of 0.3–10 μM [29].

2.13.2. Hydrogen Peroxide (H2O2)

Ammonium molybdate was used to measure the H2O2 concentration. An amount of 100 µL of 32.4 mM ammonium molybdate was combined with 100 µL of the supernatant sample. A UV-visible spectrophotometer was used to measure the absorbance at a wavelength of 405 nm following a 10 min incubation period [30].

2.13.3. Superoxide Dismutase (SOD)

SOD was calculated by reducing nitro blue tetrazolium (NBT) using a xanthine oxidase system. When crude SOD was not present, a 100% reduction in NBT was found. A total of 25 µL of the enzyme extract sample, 100 µL of 50 mM potassium phosphate buffer (pH 7.8), 25 µL of 2.5 mM xanthine, and 5 µL of 20 mM NBT were all included in the reaction mixture. The reaction was then initiated by adding xanthine oxidase. At a wavelength of 550 nm, a UV-visible spectrophotometer measured the reduced NBT as a blue formazan product by superoxide anion. To provide the rate of NBT reduction at 0.025 A550/min (A0), the proper quantity of xanthine oxidase was added. A formula [A0-ASOD)/A0] × 100 was used to calculate the percentage of inhibition of NBT reduction in the rate of NBT reduction in the presence of crude SOD (ASOD) [29,30].

2.13.4. Catalase (CAT)

Hadwana and Alib determined that CAT was measured by a lower H2O2 concentration. The amounts of 25 µL of enzyme extract, 150 µL of 50 mM potassium phosphate buffer (pH 7.0), and 25 µL of 100 mM H2O2 were all included in the reaction mixture. Using a UV-visible spectrophotometer set to 240 nm, the CAT activity was determined [31].

2.14. Statistical Analysis

The human health risk assessment (BAF, EDI, HRI, CR) was calculated according to the mentioned formula. %GTS and dendrogram construction were used to assess the genetic differentiation of O. niloticus. The concentrations of HMs in water, sediment, and O. niloticus samples and oxidative stress levels were analyzed and evaluated using an independent t-test in SPSS. The statistical analyses were performed at a confidence level of 95%.

3. Results

3.1. Water Quality

Indicators of water quality in the reference and landfill sites are presented in Table 3.
Temperature, total dissolved solids, dissolved oxygen, electrical conductivity, and pH from the landfill and reference site were within Thailand’s surface water quality standards [32].

3.2. Heavy Metal Concentrations in Water and Sediment

The concentrations of HMs present in the water and sediment from both the reference and landfill sites are respectively presented in Table 4 and Table 5. The concentrations of As, Cd, Cr, and Pb in water and the concentration of Cd in sediment from landfills exceeded the standard of the Pollution Control Department of Thailand [16,18]. Statistical analysis showed a significant difference between the Cd, Cr, Pb in water and As, Cd, Cr, and Pb in sediment from reference and landfill sites.

3.3. Heavy Metal Concentrations in O. niloticus

The concentrations of HMs in O. niloticus from the reference and landfill sites are presented (Table 6). The concentration of Pb in O. niloticus exceeded the standard for contaminants in food according to the Notification of the Ministry of Public Health of Thailand [21]. Statistical analysis showed a significant difference between the As, Cd, Cr, and Pb concentrations in O. niloticus from reference and landfill sites.

3.4. Fish Sample’s BAFs of Heavy Metals

The fish BAF of HMs is shown in relative order as Cr > Pb > As > Cd (Table 7). BAF values greater than 1 were found in the fish cases of Cr when the BAF was calculated for water.

3.5. Possible Hazards to Human Health from Consuming Fish That Contains Heavy Metals

EDI, HRI, and CR were used to assess the possible health risks in the study population resulting from HM exposure to eating O. niloticus. From our findings in Table 8, the order of EDI values for HMs consumed by O. niloticus was Cr > Pb > Cd > As. The order of HRI values for HMs consumed by O. niloticus was Cr > As > Pb > Cd. The HRI values of all O. niloticus samples did not exceed 1, indicating that heavy metals (As, Cd, Cr, and Pb) might not cause serious health problems in this study area. The CR value of Pb was higher than 1 × 10−4, indicating that O. niloticus caught near landfills may accumulate Pb and may pose a cancer risk factor. The assessment of the HRI and CR indicated potential human health effects from As, Cd, Cr, and Pb via the consumption of O. niloticus.

3.6. Genotoxicity

The application of 13 ISSR primers results in the generation of a total of 621 bands, including 83 distinct characteristics with 27 similar band profiles and 56 unique band profiles (Table 9). The genetic difference and subsequent dendrogram analysis separated O. niloticus into 2 clusters: landfill area and reference area (Figure 2 and Figure 3). The %GTS ranges of O. niloticus range from 87.34 to 96.00% for reference samples 1.1 to 1.5 and from 46.34 to 71.67% for landfill study samples 2.1 to 2.5 (Table 10).

3.7. Oxidative Stress Biomarkers

Table 11 presents the oxidative stress biomarkers data for O. niloticus samples. The oxidative biomarker levels revealed that the concentrations of MDA and H2O2 were greater in the landfill fish than in the reference fish, while the SOD and CAT values were lower in the landfill fish compared to the reference fish. Statistically significant differences were observed in the MDA, H2O2, SOD, and CAT levels of O. niloticus liver samples from the reference and landfill sites.

4. Discussion

4.1. Water Quality Parameters

This study showed that the parameter values of the reference site and the landfill site were within the range of the Thai surface water standards [34]. Monitoring water quality, including temperature, TDS, EC, DO, and pH, can support that these sites had a potential impact on the suitability of the aquatic ecosystem [34,35]. The lower dissolved oxygen value in the landfill site in this study could impact various biological processes, including the stress response, metabolism, reproduction, genetics, and health conditions of fish [36,37,38].

4.2. Heavy Metal Concentrations in Water, Sediment and O. niloticus

HM levels in the water exceeded Thailand’s surface water quality standards. Cd concentrations in sediment samples surpassed Thailand’s soil quality standards. HM concentrations were higher in sediment than in water, likely due to human activities and ecological factors around the landfill, which contribute to HM accumulation in sediments. Additionally, O. niloticus from the reference site exhibited higher HM concentrations than those from the landfill site. Notably, Pb levels (0.69 mg/kg) (Table 6) in O. niloticus exceeded Thailand’s food quality standards (0.5 mg/kg) [32]. Consequently, these HMs are deposited in sediments and accumulate in O. niloticus.
There are two main ways that HMs can enter aquatic organisms: either by direct ingestion of water and biota or by non-dietary absorption through the skin and gills [11]. According to research, fish exposed to HM may experience changes in DNA structure and chromosomal damage [12,13]. Furthermore, by upsetting the equilibrium between the generation and removal of free radicals, HMs cause oxidative stress [14].
Numerous studies have documented HM accumulation in water, sediment, and fish. Intamat et al. [39] also reported that As levels in landfill-associated fish species, such as Barbonymus gonionotus, Raiamas tornieri, Anabas testudineus, and Oreochromis niloticus, exceeded Thailand’s food quality standards. Additionally, Noudeng et al. [40] found that while leachate metal concentrations remained within international standards, Cd, Cr, and Pb levels in fish from a Laos landfill exceeded permissible limits. Sriuttha et al. [41] reported that Cr concentrations in A. testudineus and R. tornieri, along with Cd levels in B. gonionotus and O. niloticus, exceeded international standards set by organizations such as the FAO and USA. The basic principles of EU legislation on contaminants in food are laid down in Council Regulation 315/93/EEC: Food. This regulation contains contaminants and their unacceptable amounts from the public health viewpoint and, in particular, at a toxicological level. Maximum levels must be set for certain contaminants in order to protect public health. Maximum levels for certain contaminants in food are set in Commission Regulation (EU) 2023/915. Maximum levels in certain foods are set for the following contaminants: metals (Pb, Cd, Hg, As). Conversely, Aytekin et al. [42] observed the lowest accumulation of Cd, Cr, and Pb in fish muscle. Additionally, Sriuttha et al. [41] found that Pb levels in R. tornieri, A. testudineus, O. niloticus, and B. gonionotus surpassed international guidelines. Aly et al. [43] noted that Fe, Zn, Cu, Cd, and Pb levels in O. niloticus remained within WHO standards; however, Pb concentrations in water samples exceeded the Egyptian chemical standards (1993) at Ismailia Canal, Egypt. Waichman et al. [44] investigated HM concentrations (Cd, Mn, Fe, Ni, Cu, Zn, As, Cr, Pb, and Hg) in 11 fish samples from the Brazilian Amazon River and found that Cr and Hg levels in fish meat exceeded the Brazilian safety limit for human consumption.

4.3. BAFs of Heavy Metals in the Fish Samples

The BAF is more ecologically relevant as it accounts for environmental exposure. The relative order of BAF values for HMs in fish absorbed from water was Cr > Pb > As > Cd. When calculating the BAF for water, fish containing Cr exhibited a BAF value greater than 1. This suggests that Cr has the potential for bioaccumulation from the water. As can damage the integument, nervous system, and digestive organs [45]. Thitiyan et al. [46] reported that Barbonymus gonionotus can accumulate low concentrations of As, Cr, Cd, and Pb from both soil and water. Similarly, Sriuttha et al. [41] observed BAF values exceeding 1 for Cd, Cr, and Pb in Anabas testudineus, Rasbora tornieri, and Oreochromis niloticus in a reservoir near a municipal landfill. Vaseem et al. [47] conducted an experiment to examine the effects of Cr, Pb, and Cu contamination in water on their accumulation in the gills, skin, muscle, and liver of Labeo rohita. These findings highlight the potential health risks posed by HM accumulation in fish, particularly for consumers who regularly ingest contaminated fish. Thus, a comprehensive health risk assessment is crucial to ensure food safety by estimating HM levels in consumed fish [48,49,50,51]. Kumar and Sharma [52] reported that Cd can damage genetic material, impair development and fertility, and negatively affect the nervous system. Cr exposure can cause acute symptoms such as vomiting, abdominal pain, diarrhea, and stomach bleeding. Chronic exposure may lead to skin irritation, ulcers, osteoporosis, or cancer. The toxicity of Cr depends on its oxidation state, with Cr⁶+ being more harmful than Cr3+ [53,54]. Additionally, prolonged exposure to Cr can result in lung cancer and death. Pb can also cause significant harm, affecting the kidneys, intestines, hemoglobin production, brain, and nerve cells [55].

4.4. Possible Harmful Effects of Heavy Metals on Health via Fish Consumption

Heavy metal (HM) pollution poses health risks through fish consumption, a key food source in Thailand. As, Cd, Cr, and Pb are particularly hazardous metals [3]. The relative EDI values followed the order: Cr > Pb > Cd > As. All EDI values were below the provisional maximum tolerable daily intake levels for As (0.42 μg/kg/day), Cd (1 μg/kg/day), Cr (100 μg/kg/day), and Pb (3.57 μg/kg/day). This indicates no significant health risk from HM exposure through the sampled fish. For O. niloticus consumption, all detected HM levels had HRI values below 1, based on the oral reference dose, suggesting it is generally safe for the local population. However, Pb concentrations in O. niloticus exceeded the recommended food safety levels, warranting caution. HM contamination in Thailand’s Nam Phong River, which is located near a municipal landfill. Local residents frequently consume aquatic plants and animals from the river, leading to HM accumulation in their bloodstream [56,57,58]. The United States Environmental Protection Agency (USEPA) classifies As and Pb as carcinogenic based on their CR values. According to USEPA (2015), CR values exceeding 1 × 10−4 are generally considered unacceptable [59]. In this study, the CR value of Pb was above the unacceptable threshold, while the CR value of As remained below it. Specifically, Pb contamination in O. niloticus exceeded the acceptable limit, whereas As levels did not pose a significant risk. Even low-level Pb exposure can lead to subtle neurological changes and has been associated with various cancers, including those of the skin, lungs, liver, prostate, and bladder. Additionally, Pb toxicity has been linked to diabetes, neurological disorders, cardiovascular diseases, and reproductive issues [60,61]. Therefore, in this study area, local residents consuming O. niloticus from the Nam Phong River are at risk of developing cancer due to Pb contamination. The CR values suggest that consuming O. niloticus near the landfill site may pose significant health risks to the local population.

4.5. Genetic Differentiation

A total of 621 DNA bands were produced by the ISSR patterns of 13 successful primers, of which 56 bands were unique. The %GTS of each individual O. niloticus in the reference area and municipal landfill is displayed in Table 9. O. niloticus from the municipal landfill had a %GTS range of 46.34 to 71.67%, whereas O. niloticus from the reference area had a range of 87.34 to 96.00%. In this study, the dendrogram results categorized the fish DNA samples into two distinct groups according to the sampling locations examined in Figure 2 and Figure 3. The findings indicate that metal accumulations in fish from landfills may impact their genotoxicity, as evidenced by alterations in the DNA bands. In environments contaminated with HMs, the metal exposure can result in genotoxic effects in fish, characterized by various forms of DNA damage. These effects may include single- and double-strand breaks, disruptions in DNA repair mechanisms, oxidation of nucleobases, and the formation of DNA-protein cross-links [62,63,64]. Studies on the interaction of HMs with cell membranes demonstrated genotoxicity through multiple mechanisms. For instance, Jha et al. [65] reported that As induced DNA alterations in Channa punctatus. Cd has been linked to oxidative stress, ploidy changes, gene base oxidation, DNA damage, mutagenesis, deletions, and point mutations [66,67]. Cr has been shown to cause nitrogenous base alterations, DNA strand breaks, and the formation of protein-Cr-DNA adducts [68,69,70]. Pb has been associated with carcinogenic events, DNA damage, oxidative stress, changes in gene transcription, and increased mitogenesis [71]. The loss of DNA structural or functional integrity in exposed organisms could have adverse effects at both individual and population levels, particularly in terms of growth and reproduction [71,72,73]. In this study, experimental O. niloticus demonstrates potential as a valuable genotoxic indicator in aquatic ecosystems.

4.6. Oxidative Stress

Oxidative stress is the result of an imbalance between antioxidants and ROS products and affects DNA molecules and cellular enzymes [26]. Accumulation of HMs and metalloid ions in organisms induces free radicals such as superoxide, hydrogen peroxide, and hydrogen ions, which can have potential effects on the health of organisms [25,74]. In this study, the liver of fish will be measured for MDA, H2O2, SOD, and CAT as oxidative stress biomarkers to monitor the extent of oxidative damage to the fish liver by HMs. The levels of MDA, H2O2, SOD, and CAT in fish collected from the landfill site were significantly different (p < 0.05) from those in fish collected from the reference area (Table 10).
MDA is a major byproduct of polyunsaturated fatty acid peroxidation in cellular membranes, and its levels rise with increased free radical activity. Measuring MDA concentration provides insight into the extent of oxidative damage caused by toxic substances [75,76]. This study found that fish from the landfill site had higher MDA concentrations compared to those from the reference site. Research has shown that toxic substances can accumulate in organisms, leading to elevated MDA levels [25,77,78]. Thitiyan et al. [46] observed a significant increase in liver MDA levels in Barbonymus gonionotus after exposure to As, Cd, Cr, and Pb.
H2O2 is a crucial precursor to the hydroxyl radical (OH), the most harmful reactive oxygen species (ROS) within cells [26]. This study revealed that fish from the landfill site had higher H2O2 concentrations than those from the reference site. The accumulation of HMs in fish contributed to increased H2O2 levels. Thitiyan et al. [46] reported that B. gonionotus from a municipal landfill site exhibited higher H2O2 concentrations than fish from a reference site, with an increasing trend linked to elevated As, Cd, Cr, and Pb levels. Similarly, Cd accumulation in Channa striata led to higher H2O2 concentrations at the study site compared to the reference site [26]. Additionally, Cd (VI) exposure resulted in increased H2O2 levels in Channa punctatus [30,79].
CAT and SOD levels were lower in the liver of O. niloticus from the landfill site compared to those from the reference site. These enzymes play a crucial role in the antioxidant defense system of organisms, helping to counteract the harmful effects of free radicals on vital biomolecules and tissues [80]. Specifically, SOD catalyzes the dismutation of superoxide anions into H2O2, while CAT subsequently breaks down H2O2 into oxygen and water [81].
Weber et al. [82] reported that Hoplias intermedius exposed to As, Pb, and Ni from tin mining waste exhibited reduced SOD and CAT levels compared to reference fish. As oxidative stress biomarkers influenced by As, Cd, Cr, and Pb, the levels of SOD, CAT, and MDA in Barbonymus gonionotus from a reservoir near a municipal landfill could serve as indicators for monitoring metal- and metalloid-induced oxidative stress. Similarly, Fatima et al. [83] found that Channa striata and Heteropneustes fossilis accumulated Pb, Cd, Cr, and Ni from the Kali River in Northern India, showing decreased SOD and CAT levels compared to reference fish.
Additionally, variations in oxidative stress biomarkers among fish species can be influenced by habitat differences, water quality parameters, feeding habits, species-specific responses, and the concentration and toxicity of contaminants.
A review of the literature data show that HMs, particularly Pb, can easily be absorbed and harms fish due to several mechanisms and factors, including high bioavailability in water. Pb exists in various soluble forms (e.g., Pb2+ ions) that can easily be absorbed by fish through their gills and digestive systems. It has an affinity for biological molecules. Pb binds readily to proteins, enzymes, and cellular components, interfering with normal biological processes and making it harder for fish to excrete [84]. Pb also has an affinity for biological molecules. Pb binds readily to proteins, enzymes, and cellular components, interfering with normal biological processes and making it harder for fish to excrete [85]. HM concentrations are also impacted by environmental conditions, including pH levels, water hardness, and temperature. Lower pH increases metal solubility, enhancing absorption. Soft water has fewer competing ions (e.g., Ca2+, Mg2+), making heavy metals more bioavailable. Higher temperatures increase fish metabolism and uptake rates [86]. Pb is also persistent in the environment. Unlike some metals that can be naturally cycled or diluted, Pb is highly persistent in ecosystems, leading to continuous exposure for fish populations [87].

5. Conclusions

HMs (As, Cd, Cr, and Pb) in the water of the landfill reservoir exceeded Thailand’s surface water standards. Sediment samples also showed Cd concentrations above Thailand’s soil quality standards, while Pb levels in fish samples surpassed the country’s food safety limits. A health risk assessment using the HRI indicated that consuming local O. niloticus did not pose a cancer risk. However, the CR value of Pb could be a cancer risk factor. Heavy metals in the contaminated environment could induce genetic alterations in O. niloticus near the landfill. Fish from this site exhibited oxidative stress effects. As a sustainable management strategy for preserving aquatic ecosystems around a landfill, the findings of this study are being used to create laws, regulations, and enforcement guidelines in close cooperation between government agencies and to protect local livelihoods.

Author Contributions

Conceptualization, L.N. and B.T.; methodology, B.T., L.N. and N.Y.; software, N.Y.; validation, B.T. and L.N.; formal analysis, B.T., L.N. and N.Y.; investigation, B.T., L.N., S.I., P.M. and N.Y.; resources, L.N. and B.T.; writing—original draft preparation, B.T., L.N., S.I., P.M. and N.Y.; writing—review and editing, B.T. and L.N.; supervision, B.T. and L.N.; project administration, B.T. and L.N.; funding acquisition, B.T. All authors have read and agreed to the published version of the manuscript.

Funding

This research was funded by Toxic Substances, Microbials, and Feed Additives in Livestock and Aquatic Animals for Food Safety Program (TMFLAFP), Fundamental Fund (Thailand) and Research and Innovation Division of Khon Kaen University, Khon Kaen, Thailand.

Institutional Review Board Statement

The study was conducted according to the guidelines and approved by Institution Animal Care and Use Committee of Khon Kaen University (IACUC KKU).

Data Availability Statement

Data presented in this study are available on request from the corresponding author

Acknowledgments

We thank the TMFLAF Program, Khon Kaen University, for providing research support. We thank the Molecular Biochemistry Laboratory, Faculty of Science, Khon Kaen University for providing genetic diversity analysis.

Conflicts of Interest

The authors declare no conflicts of interest.

References

  1. Pollution Control Department (PCD). Annual Report Pollution Connex; Thailand State of Pollution Report 2022; Thailand State of Pollution: Bangkok, Thailand, 2023. (In Thai) [Google Scholar]
  2. Ali, H.; Khan, E.; Sajad, M.A. Phytoremediation of Heavy Metals-Concepts and Applications. Chemosphere 2013, 91, 869–881. [Google Scholar] [CrossRef] [PubMed]
  3. Swangneat, K.; Neeratanaphan, L.; Kallawicha, K.; Tengjaroenkul, B. Growth, Hematological Evaluation and Heavy Metal Bioaccumulation in Nile Tilapia (Oreochromis niloticus) from A Municipal Waste Landfill Reservoir. Nat. Life Sci. Commun. 2024, 23, e2024018. [Google Scholar] [CrossRef]
  4. Suttichaiya, A.; Khammanichanh, A.; Patawang, I.; Sriuttha, M.; Tanamtong, A.; Neeratanaphan, L. Chromosome Aberrations of East Asian Bullfrog (Hoplobatrachus rugulosus) around a Gold Mine Area with Arsenic Contamination. EnvironmentAsia 2016, 9, 67–76. [Google Scholar]
  5. Phoonaploy, U.; Tengjaroenkul, B.; Neeratanaphan, L. Effects of Electronic Waste on Cytogenetic and Physiological Changes in Snakehead Fish (Channa striata). Environ. Monit. Assess. 2019, 191, 363. [Google Scholar] [CrossRef]
  6. Ruchuwararak, P.; Intamat, S.; Neeratanaphan, L. Genetic Differentiation and Bioaccumulation Factor After Heavy Metal Exposure in Edible Aquatic Plants Near a Municipal Landfill. EnvironmentAsia 2020, 13, 36–49. [Google Scholar]
  7. Thanomsangad, P.; Tengjaroenkul, B.; Sriuttha, M.; Neeratanaphan, L. Heavy Metal Accumulation in Frogs Surrounding an E-Waste Dump Site and Human Health Risk Assessment. Hum. Ecol. Risk Assess. Int. J. 2020, 26, 1313–1328. [Google Scholar] [CrossRef]
  8. Ali, H.; Khan, E. Bioaccumulation of Non-Essential Hazardous Heavy Metals and Metalloids in Freshwater Fish. Risk to Human Health. Environ. Chem. Lett. 2018, 16, 903–917. [Google Scholar] [CrossRef]
  9. Castro-González, M.I.; Méndez-Armenta, M. Heavy Metals: Implications Associated to Fish Consumption. Environ. Toxicol. Pharmacol. 2008, 26, 263–271. [Google Scholar] [CrossRef] [PubMed]
  10. Authman, M.M.N.; Zaki, M.S.; Khallaf, E.A.; Abbas, H.H. Use of Fish as Bio-Indicator of the Effects of Heavy Metals Pollution. J. Aquac. Res. Dev. 2015, 6, 1–13. [Google Scholar] [CrossRef]
  11. Rahman, M.S.; Molla, A.H.; Saha, N.; Rahman, A. Study on Heavy Metals Levels and Its Risk Assessment in Some Edible Fishes from Bangshi River, Savar, Dhaka, Bangladesh. Food Chem. 2012, 134, 1847–1854. [Google Scholar] [CrossRef]
  12. Neeratanaphan, L.; Khamlerd, C.; Chowrong, S.; Intamat, S.; Sriuttha, M.; Tengjaroenkul, B. Cytotoxic Assessment of Flying Barb Fish (Esomus metallicus) from a Gold Mine Area with Heavy Metal Contamination. Int. J. Environ. Stud. 2017, 74, 613–624. [Google Scholar] [CrossRef]
  13. Van der Oost, R.; Beyer, J.; Vermeulen, N.P.E. Fish Bioaccumulation and Biomarkers in Environmental Risk Assessment: A Review. Environ. Toxicol. Pharmacol. 2003, 13, 57–149. [Google Scholar] [CrossRef]
  14. Onwuemesi, F.E.; Onuba, L.N.; Chiaghanam, O.I.; Anudu, G.K.; Akanwa, A.O. Heavy Metal Accumulation in Fish of Ivo River, Ishiagu Nigeria. Res. J. Environ. Earth Sci. 2013, 5, 189–192. [Google Scholar] [CrossRef]
  15. Chand, V.; Prasad, S. ICP-OES Assessment of Heavy Metal Contamination in Tropical Marine Sediments: A Comparative Study of Two Digestion Techniques. Microchem. J. 2013, 111, 53–61. [Google Scholar] [CrossRef]
  16. Thailand Pollution Control Department (TPCD). Surface Water Quality Standards; Notification of the National Environmental Board, No. 8; TPCD: Bangkok, Thailand, 1994. [Google Scholar]
  17. Sriuttha, M.; Khammanichanh, A.; Patawang, I.; Tanomtong, A.; Tengjaroenkul, B.; Neeratanaphan, L. Cytotoxic Assessment of Nile Tilapia (Oreochromis niloticus) from a Domestic Wastewater Canal with Heavy Metal Contamination. Cytologia 2017, 82, 41–50. [Google Scholar] [CrossRef]
  18. Thailand Pollution Control Department (TPCD). Soil Quality Standards for Habitat and Agriculture; Notification of the Nation al Environmental Board, No. 25; TPCD: Bangkok, Thailand, 2004. [Google Scholar]
  19. USEPA. Regional Screening Level (RSL) Resident Soil to GW Table (TR = 1E-06, HQ = 1); USEPA: Washington, DC, USA, 2017. [Google Scholar]
  20. Yang, L.I.; Li, Y.; Xj, G.; Ma, X.; Yan, Q. Comparison of Dry Ashing, Wet Ashing and Microwave Digestion for Determination of Trace Elements in Periostracum serpentis and Periostracum cicadae by ICP-OES. J. Chil. Chem. Soc. 2013, 58, 1876–1879. [Google Scholar] [CrossRef]
  21. Ministry of Public Health. No. 273/2; Standard of Contaminants in Food, Notification of the Ministry of Public Health. Ministry of Public Health: Bangkok, Thailand, 2003.
  22. Neeratanaphan, L.; Kamollerd, C.; Suwannathada, P.; Suwannathada, P.; Tengjaroenkul, B. Genotoxicity and Oxidative Stress in Experimental Hybrid Catfish Exposed to Heavy Metals in a Municipal Landfill Reservoir. Int. J. Environ. Res. Public Health 2020, 17, 1980. [Google Scholar] [CrossRef] [PubMed]
  23. American Public Health Association (APHA). APHA Standard Methods for the Examination of Water and Wastewater; American Water Works Association and Water Environment Federation: Richmond, VA, USA, 2005. [Google Scholar]
  24. Mingkhwan, R.; Worakhunpiset, S. Heavy Metal Contamination near Industrial Estate Areas in Phra Nakhon Si Ayutthaya Province, Thailand and Human Health Risk Assessment. Int. J. Environ. Res. Public Health 2018, 15, 1890. [Google Scholar] [CrossRef] [PubMed]
  25. Vrhovnik, P.; Arrebola, J.P.; Serafimovski, T.; Dolenec, T.; Šmuc, N.R.; Dolenec, M.; Mutch, E. Potentially Toxic Contamination of Sediments, Water and Two Animal Species in Lake Kalimanci, FYR Macedonia: Relevance to Human Health. Environ. Pollut. 2013, 180, 92–100. [Google Scholar] [CrossRef]
  26. Shaheen, N.; Irfan, N.M.; Khan, I.N.; Islam, S.; Islam, M.S.; Ahmed, M.K. Presence of Heavy Metals in Fruits and Vegetables: Health Risk Implications in Bangladesh. Chemosphere 2016, 152, 431–438. [Google Scholar] [CrossRef]
  27. Rohlf, F.J. NTSYSpc Numerical Taxonomy and Multivariate Analysis System Version 2.0 User Guide. 1998. Available online: https://www.researchgate.net/publication/246982444_NTSYS-pc_-_Numerical_Taxonomy_and_Multivariate_Analysis_System (accessed on 28 May 2025).
  28. Neeratanaphan, L.; Sudmoon, R.; Chaveerach, A. Assessment of Genotoxicity through ISSR Marker in Pistia stratiotes Induced by Lead. EnvironmentAsia 2014, 7, 99–107. [Google Scholar]
  29. Majeed, S.A.; Nambi, K.S.N.; Taju, G.; Vimal, S.; Venkatesan, C.; Hameed, A.S.S. Cytotoxicity, Genotoxicity and Oxidative Stress of Malachite Green on the Kidney and Gill Cell Lines of Freshwater Air Breathing Fish Channa striata. Environ. Sci. Pollut. Res. 2014, 21, 13539–13550. [Google Scholar] [CrossRef] [PubMed]
  30. Suhartono, E.; Triawanti; Yunanto, A.; Firdaus, R.T.; Iskandar. Chronic Cadmium Hepato-oxidative in Rats: Treatment with Haruan Fish (Channa striata) Extract. APCBEE Procedia 2013, 5, 441–445. [Google Scholar] [CrossRef]
  31. Hadwan, M.H.; kadhum Ali, S. New Spectrophotometric Assay for Assessments of Catalase Activity in Biological Samples. Anal. Biochem. 2018, 542, 29–33. [Google Scholar] [CrossRef]
  32. Thailand Pollution Control Department (TPCD). No. 98; Water Quality Standards. Notification in Ministry of Public Health. TPCD: Bangkok, Thailand, 2001. [Google Scholar]
  33. Ullah, A.K.M.A.; Maksud, M.A.; Khan, S.R.; Lutfa, L.N.; Quraishi, S.B. Dietary Intake of Heavy Metals from Eight Highly Consumed Species of Cultured Fish and Possible Human Health Risk Implications in Bangladesh. Toxicol. Rep. 2017, 4, 574–579. [Google Scholar] [CrossRef]
  34. Simachaya, W.; Yolthantham, T. Policy and Implementation on Water Environment in Thailand; Pollution Control Department of Thailand: Bangkok, Thailand, 2006. [Google Scholar]
  35. Ip, Y.K.; Chew, S.F.; Randall, D.J. Ammonia Toxicity, Tolerance, and Excretion. Fish Physiol. 2001, 20, 109–148. [Google Scholar]
  36. Buet, A.; Banas, D.; Vollaire, Y.; Coulet, E.; Roche, H. Biomarker Responses in European Eel (Anguilla anguilla) Exposed to Persistent Organic Pollutants. A Field Study in the Vaccarès Lagoon (Camargue, France). Chemosphere 2006, 65, 1846–1858. [Google Scholar] [CrossRef]
  37. Da Rocha, A.M.; De Freitas, D.P.S.; Burns, M.; Vieira, J.P.; De La Torre, F.R.; Monserrat, J.M. Seasonal and Organ Variations in Antioxidant Capacity, Detoxifying Competence and Oxidative Damage in Freshwater and Estuarine Fishes from Southern Brazil. Comp. Biochem. Physiol. Part C Toxicol. Pharmacol. 2009, 150, 512–520. [Google Scholar] [CrossRef]
  38. Jezierska, B.; Witeska, M. Metal Toxicity to Fish. Monografie. Univ. Podlas. 2001, 42, 318. [Google Scholar]
  39. Intamat, S.; Buasriyot, P.; Sriuttha, M.; Tengjaroenkul, B.; Neeratanaphan, L. Bioaccumulation of arsenic in aquatic plants and animals near a municipal landfill. Int. J. Environ. Stud. 2017, 74, 303–314. [Google Scholar] [CrossRef]
  40. Noudeng, V.; Pheakdey, D.V.; Xuan, T.D. Toxic Heavy Metals in a Landfill Environment (Vientiane, Laos): Fish Species and Associated Health Risk Assessment. Environ. Toxicol. Pharmacol. 2024, 108, 104460. [Google Scholar] [CrossRef] [PubMed]
  41. Sriuttha, M.; Tengjaroenkul, B.; Intamat, S.; Phoonaploy, U.; Thanomsangad, P.; Neeratanaphan, L. Cadmium, Chromium, and Lead Accumulation in Aquatic Plants and Animals near a Municipal Landfill. Hum. Ecol. Risk Assess. Int. J. 2017, 23, 350–363. [Google Scholar] [CrossRef]
  42. Aytekin, T.; Kargın, D.; Çoğun, H.Y.; Temiz, Ö.; Varkal, H.S.; Kargın, F. Accumulation and Health Risk Assessment of Heavy Metals in Tissues of the Shrimp and Fish Species from the Yumurtalik Coast of Iskenderun Gulf, Turkey. Heliyon 2019, 5, e02131. [Google Scholar] [CrossRef]
  43. Aly, M.; Dalia, M.; Ghada, S. Impact of Some Heavy Metals on Muscles, Hematological and Biochemical Parameters of the Nile Tilapia in Ismailia Canal, Egypt. Egypt. J. Aquat. Biol. Fish. Fish 2023, 27, 335–348. [Google Scholar] [CrossRef]
  44. Waichman, A.V.; de Souza Nunes, G.S.; de Oliveira, R.; López-Heras, I.; Rico, A. Human Health Risks Associated to Trace Elements and Metals in Commercial Fish from the Brazilian Amazon. J. Environ. Sci. 2025, 148, 230–242. [Google Scholar] [CrossRef]
  45. Phuphisut, O.; Sangrajang, S. Electronic Waste and Hazardous Substances. Thai J. Toxicol. 2010, 25, 67. [Google Scholar]
  46. Thitiyan, T.; Pongdontri, P.; Tengjaroenkul, B.; Neeratanaphan, L. Bioaccumulation and Oxidative Stress in Barbonymus Gonionotus Affected by Heavy Metals and Metalloid in Municipal Landfill Reservoir. Int. J. Environ. Stud. 2022, 79, 98–113. [Google Scholar] [CrossRef]
  47. Vaseem, H.; Banerjee, T.K. Metal Bioaccumulation in Fish Labeo Rohita Exposed to Effluent Generated during Metals Extraction from Polymetallic Sea Nodules. Int. J. Environ. Sci. Technol. 2015, 12, 53–60. [Google Scholar] [CrossRef]
  48. El-Sadaawy, M.M.; El-Said, G.F.; Sallam, N.A. Bioavailability of Heavy Metals in Fresh Water Tilapia Nilotica (Oreachromis niloticus Linnaeus, 1758): Potential Risk to Fishermen and Consumers. J. Environ. Sci. Health Part B 2013, 48, 402–409. [Google Scholar] [CrossRef]
  49. Rajeshkumar, S.; Li, X. Bioaccumulation of Heavy Metals in Fish Species from the Meiliang Bay, Taihu Lake, China. Toxicol. Rep. 2018, 5, 288–295. [Google Scholar] [CrossRef]
  50. Ezemonye, L.I.; Adebayo, P.O.; Enuneku, A.A.; Tongo, I.; Ogbomida, E. Potential Health Risk Consequences of Heavy Metal Concentrations in Surface Water, Shrimp (Macrobrachium macrobrachion) and Fish (Brycinus longipinnis) from Benin River, Nigeria. Toxicol. Rep. 2019, 6, 1–9. [Google Scholar] [CrossRef]
  51. Maurya, P.K.; Malik, D.S.; Yadav, K.K.; Kumar, A.; Kumar, S.; Kamyab, H. Bioaccumulation and Potential Sources of Heavy Metal Contamination in Fish Species in River Ganga Basin: Possible Human Health Risks Evaluation. Toxicol. Rep. 2019, 6, 472–481. [Google Scholar] [CrossRef]
  52. Kumar, S.; Sharma, A. Cadmium Toxicity: Effects on Human Reproduction and Fertility. Rev. Environ. Health 2019, 34, 327–338. [Google Scholar] [CrossRef]
  53. Tchounwou, P.B.; Yedjou, C.G.; Patlolla, A.K.; Sutton, D.J. Heavy Metal Toxicity and the Environment. Mol. Clin. Environ. Toxicol. 2012, 3, 133–164. [Google Scholar]
  54. Pavesi, T.; Moreira, J.C. Mechanisms and Individuality in Chromium Toxicity in Humans. J. Appl. Toxicol. 2020, 40, 1183–1197. [Google Scholar] [CrossRef] [PubMed]
  55. Flora, G.; Gupta, D.; Tiwari, A. Toxicity of Lead: A Review with Recent Updates. Interdiscip. Toxicol. 2012, 5, 47–58. [Google Scholar] [CrossRef]
  56. Mohamed, H.; Haris, P.I.; Brima, E.I. Estimated Dietary Intakes of Toxic Elements from Four Staple Foods in Najran City, Saudi Arabia. Int. J. Environ. Res. Public Health 2017, 14, 1575. [Google Scholar] [CrossRef] [PubMed]
  57. Laohasiriwong, W.; Srathonghon, W.; Pitaksanurat, S.; Nathapindhu, G.; Setheetham, D.; Intamat, S.; Phajan, T.; Neeratanaphan, L. Factors Associated with Blood Zinc, Chromium, and Lead Concentrations in Residents of the Nam Pong River in Thailand. Hum. Ecol. Risk Assess. Int. J. 2016, 22, 1583–1592. [Google Scholar] [CrossRef]
  58. Sratlionghon, W.; Laohasiriwong, W.; Pitaksanurat, S.; Nathapindhu, G.; Setheetham, D.; Intamat, S.; Phajan, T.; Neeratanaphane, L. Factors Influencing Blood Cadmium and Mercury Concentrations in Residents of Agro-Industries along Nam Phong River, Thailand. EnvironmentAsia 2016, 9, 18–25. [Google Scholar]
  59. United States Environmental Protection Agency (USEPA). Risk Based Screening Table. Composite Table: Summary Tab 0615; USEPA: Washington, DC, USA, 2015. [Google Scholar]
  60. Debnath, B.; Singh, W.S.; Manna, K. Sources and Toxicological Effects of Lead on Human Health. Indian J. Med. Spec. 2019, 10, 66–71. [Google Scholar]
  61. Hong, Y.-S.; Song, K.-H.; Chung, J.-Y. Health Effects of Chronic Arsenic Exposure. J. Prev. Med. Public Health 2014, 47, 245. [Google Scholar] [CrossRef]
  62. Wood, R.D.; Mitchell, M.; Sgouros, J.; Lindahl, T. Human DNA Repair Genes. Science 2001, 291, 1284–1289. [Google Scholar] [CrossRef] [PubMed]
  63. Monserrat, J.M.; Martínez, P.E.; Geracitano, L.A.; Amado, L.L.; Martins, C.M.G.; Pinho, G.L.L.; Chaves, I.S.; Ferreira-Cravo, M.; Ventura-Lima, J.; Bianchini, A. Pollution Biomarkers in Estuarine Animals: Critical Review and New Perspectives. Comp. Biochem. Physiol. Part C Toxicol. Pharmacol. 2007, 146, 221–234. [Google Scholar] [CrossRef] [PubMed]
  64. Vilela, C.L.S.; Bassin, J.P.; Peixoto, R.S. Water Contamination by Endocrine Disruptors: Impacts, Microbiological Aspects and Trends for Environmental Protection. Environ. Pollut. 2018, 235, 546–559. [Google Scholar] [CrossRef]
  65. Jha, D.K.; Yashvardhini, N.; Bhattacharya, S.; Sayrav, K.; Kumar, A.; Khan, P. Study of Arsenic Genotoxicity in a Freshwater Fish (Channa punctatus) Using RAPD as Molecular Marker. Res. Sq. 2021. Available online: https://www.researchgate.net/publication/367991397_Study_of_arsenic_genotoxicity_in_a_freshwater_fish_Channa_punctatus_using_RAPD_as_molecular_marker. (accessed on 28 May 2025).
  66. Castaño, A.; Becerril, C. In Vitro Assessment of DNA Damage after Short-and Long-Term Exposure to Benzo (a) Pyrene Using RAPD and the RTG-2 Fish Cell Line. Mutat. Res./Fundam. Mol. Mech. Mutagen. 2004, 552, 141–151. [Google Scholar] [CrossRef] [PubMed]
  67. Waalkes, M.P. Cadmium Carcinogenesis. Mutat. Res./Fundam. Mol. Mech. Mutagen. 2003, 533, 107–120. [Google Scholar] [CrossRef]
  68. Wise, S.S.; Holmes, A.L.; Pierce, W.J., Sr. Hexavalent Chromium-Induced DNA Damage and Repair Mechanisms. Rev. Environ. Health 2008, 23, 39–58. [Google Scholar] [CrossRef]
  69. Velma, V.; Tchounwou, P.B. Oxidative Stress and DNA Damage Induced by Chromium in Liver and Kidney of Goldfish, Carassius auratus. Biomark. Insights 2013, 8, BMI-S11456. [Google Scholar] [CrossRef]
  70. Arunachalam, K.D.; Annamalai, S.K.; Kuruva, J.K. In-Vivo Evaluation of Hexavalent Chromium Induced DNA Damage by Alkaline Comet Assay and Oxidative Stress in Catla catla. Am. J. Environ. Sci. 2013, 9, 470. [Google Scholar] [CrossRef][Green Version]
  71. Silbergeld, E.K. Facilitative Mechanisms of Lead as a Carcinogen. Mutat. Res./Fundam. Mol. Mech. Mutagen. 2003, 533, 121–133. [Google Scholar] [CrossRef]
  72. Bolognesi, C.; Hayashi, M. Micronucleus Assay in Aquatic Animals. Mutagenesis 2011, 26, 205–213. [Google Scholar] [CrossRef] [PubMed]
  73. Mustafa, A.; Widodo, M.A.; Kristianto, Y. Albumin and Zinc Content of Snakehead Fish (Channa striata) Extract and Its Role in Health. IEESE Int. J. Sci. Technol. 2012, 1, 1. [Google Scholar]
  74. Luoma, S.N.; Rainbow, P.S. Sources and Cycles of Trace Metals. In Metal Contamination in Aquatic Environments: Science and Lateral Management; Cambridge University Press: Cambridge, UK, 2008; p. 66. [Google Scholar]
  75. Gaweł, S.; Wardas, M.; Niedworok, E.; Wardas, P. Malondialdehyde (MDA) as a Lipid Peroxidation Marker. Wiad. Lek. 2004, 57, 453–455. [Google Scholar] [PubMed]
  76. Doherty, V.F.; Ogunkuade, O.O.; Kanife, U.C. Biomarkers of Oxidative Stress and Heavy Metal Levels as Indicators of Environmental Pollution in Some Selected Fishes in Lagos, Nigeria. Am.-Eurasian J. Agric. Environ. Sci. 2010, 7, 359–365. [Google Scholar]
  77. Bacanskas, L.R.; Whitaker, J.; Di Giulio, R.T. Oxidative Stress in Two Populations of Killifish (Fundulus heteroclitus) with Differing Contaminant Exposure Histories. Mar. Environ. Res. 2004, 58, 597–601. [Google Scholar] [CrossRef]
  78. Bayir, A.; Sirkecioglu, A.N.; Haliloglu, H.I.; Aksakal, E.; Gunes, M.; Aras, N.M. Influence of Season on Antioxidant Defense Systems of Silurus glanis Linnaeus (Siluridae), Barbus capito and Capito güldenstädt (Cyprinidae). Fresenius Environ. Bull. 2011, 20, 3–11. [Google Scholar]
  79. Awasthi, Y.; Ratn, A.; Prasad, R.; Kumar, M.; Trivedi, S.P. An in Vivo Analysis of Cr6+ Induced Biochemical, Genotoxicological and Transcriptional Profiling of Genes Related to Oxidative Stress, DNA Damage and Apoptosis in Liver of Fish, Channa punctatus (Bloch, 1793). Aquat. Toxicol. 2018, 200, 158–167. [Google Scholar] [CrossRef]
  80. Ighodaro, O.M.; Akinloye, O.A. First Line Defence Antioxidants-Superoxide Dismutase (SOD), Catalase (CAT) and Glutathione Peroxidase (GPX): Their Fundamental Role in the Entire Antioxidant Defense Grid. Alex. J. Med. 2018, 54, 287–293. [Google Scholar] [CrossRef]
  81. Wilhelm Filho, D. Fish Antioxidant Defenses—A Comparative Approach. Braz. J. Med. Biol. Res. 1996, 29, 1735–1742. [Google Scholar]
  82. Weber, A.A.; Sales, C.F.; de Souza Faria, F.; Melo, R.M.C.; Bazzoli, N.; Rizzo, E. Effects of Metal Contamination on Liver in Two Fish Species from a Highly Impacted Neotropical River: A Case Study of the Fundão Dam, Brazil. Ecotoxicol. Environ. Saf. 2020, 190, 110165. [Google Scholar] [CrossRef] [PubMed]
  83. Fatima, M.; Usmani, N.; Firdaus, F.; Zafeer, M.F.; Ahmad, S.; Akhtar, K.; Dawar Husain, S.M.; Ahmad, M.H.; Anis, E.; Mobarak Hossain, M. In Vivo Induction of Antioxidant Response and Oxidative Stress Associated with Genotoxicity and Histopathological Alteration in Two Commercial Fish Species Due to Heavy Metals Exposure in Northern India (Kali) River. Comp. Biochem. Physiol. Part C Toxicol. Pharmacol. 2015, 176–177, 17–30. [Google Scholar] [CrossRef] [PubMed]
  84. Ray, S.; Vashishth, R. From water to plate: Reviewing the Bioaccumulation of Heavy Metals in Fish and Unraveling Human Health Risks in the Food Chain. Emerg. Contam. 2024, 10, 100358. [Google Scholar] [CrossRef]
  85. de Souza, I.D.; de Andrade, A.S.; Dalmolin, R.J.S. Lead-Interacting Proteins and Their Implication in Lead Poisoning. Crit. Rev. Toxicol. 2018, 48, 375–386. [Google Scholar] [CrossRef] [PubMed]
  86. Król, A.; Mizerna, K.; Bożym, M. An Assessment of pH-Dependent Release and Mobility of Heavy Metals from Metallurgical Slag. J. Hazard. Mater. 2020, 384, 121502. [Google Scholar] [CrossRef]
  87. Raj, K.; Das, A.P. Lead Pollution: Impact on Environment and Human Health and Approach for a Sustainable Solution. Environ. Chem. Ecotoxicol. 2023, 5, 79–85. [Google Scholar] [CrossRef]
Figure 1. Red rectangle indicates the area where fish samples were collected from five different spots around the municipal landfill site, Kham Bon village, Muang District. Geographic coordinates of the landfill are latitude: 16.59608238433, longitude: 102.806853323728.
Figure 1. Red rectangle indicates the area where fish samples were collected from five different spots around the municipal landfill site, Kham Bon village, Muang District. Geographic coordinates of the landfill are latitude: 16.59608238433, longitude: 102.806853323728.
Ijerph 22 00873 g001
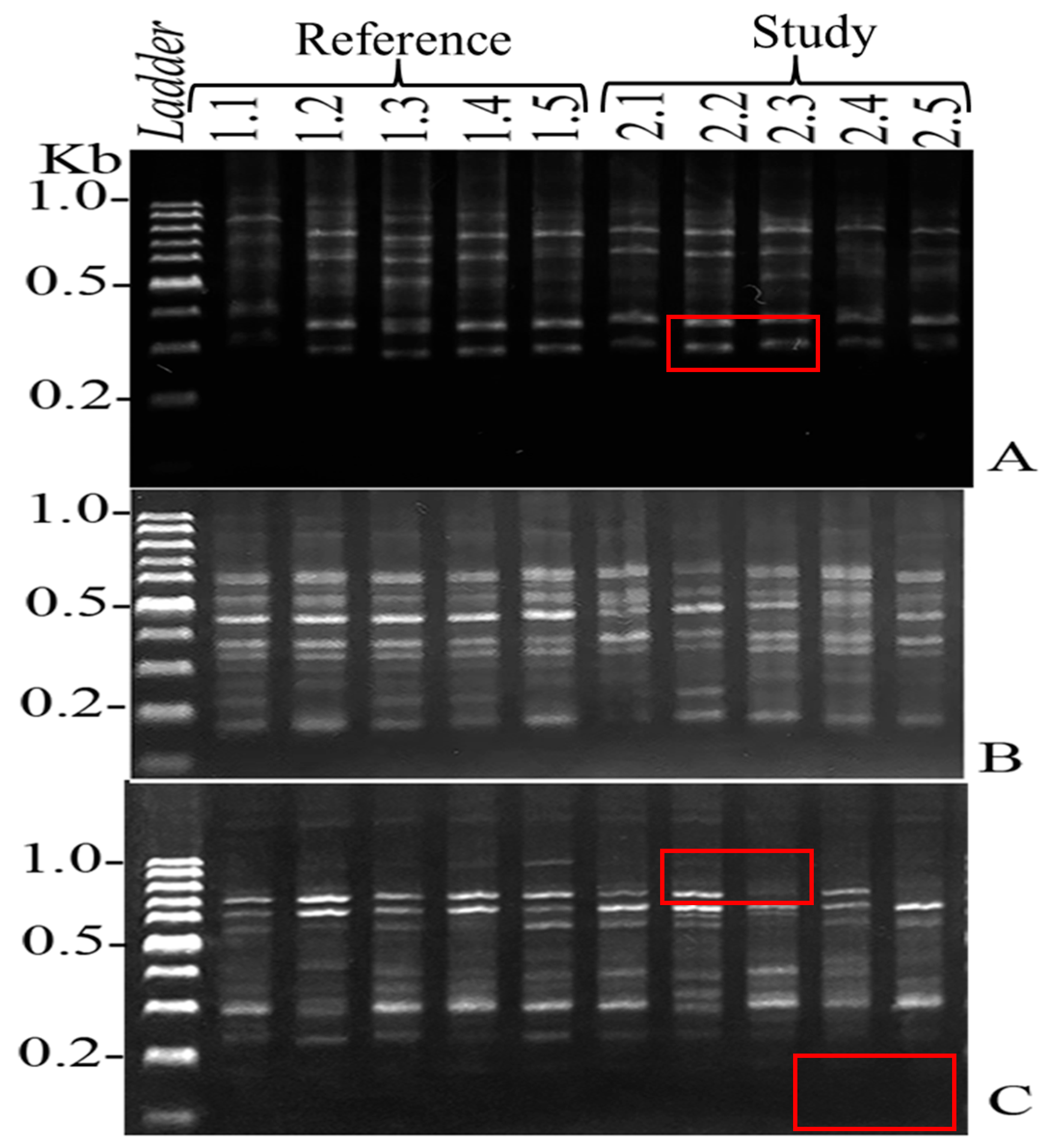
Figure 2. The following examples of ISSR fingerprints are presented for the reference (1.1, 1.2, 1.3, 1.4, and 1.5) and the landfill (2.1, 2.2, 2.3, 2.4, and 2.5) sites from the specific primers CACACACACACAAG (A), AGAGAGAGAGAGAGAAA (B) and AGAGAGAGAGAGAGAAC (C) showing monomorphic bands. Red rectangles present specific bands of target DNA.
Figure 2. The following examples of ISSR fingerprints are presented for the reference (1.1, 1.2, 1.3, 1.4, and 1.5) and the landfill (2.1, 2.2, 2.3, 2.4, and 2.5) sites from the specific primers CACACACACACAAG (A), AGAGAGAGAGAGAGAAA (B) and AGAGAGAGAGAGAGAAC (C) showing monomorphic bands. Red rectangles present specific bands of target DNA.
Ijerph 22 00873 g002
Figure 3. A dendrogram was generated using 13 primers through the NTSYSpc2.10 software, illustrating the genetic relationships among the O. niloticus samples, which include both the reference site (1.1–1.5) and the landfill site (2.1–2.5).
Figure 3. A dendrogram was generated using 13 primers through the NTSYSpc2.10 software, illustrating the genetic relationships among the O. niloticus samples, which include both the reference site (1.1–1.5) and the landfill site (2.1–2.5).
Ijerph 22 00873 g003
Table 1. Analytical methods used for the analysis of water quality indicators.
Table 1. Analytical methods used for the analysis of water quality indicators.
Water Quality IndicatorsAnalytical Instruments
TemperatureThermometer
Total dissolved solidTotal dissolved solids, Mettler Toledo, Model CH-8603
Dissolved oxygenDO meter, Mettler Toledo, Model 966
Electro-conductivityEC meter, Mettler Toledo, Model CH-8603
pHpH meter, Eutech, Model EcoScan pH 5
Table 2. The 13 primer sequences demonstrated successful amplification of ISSRs through polymerase chain reaction (PCR) in this investigation.
Table 2. The 13 primer sequences demonstrated successful amplification of ISSRs through polymerase chain reaction (PCR) in this investigation.
No.PrimerNucleotide Sequences
1A4AGAGAGAGAGAGAGAA
2A11AGAGAGAGAGAGAGAAA
3A12AGAGAGAGAGAGAGAAC
4A14AGAGAGAGAGAGAGAAT
5P4CACACACACACAAC
6P5CACACACACACAGT
7P6CACACACACACAAG
8P7CACACACACACAGG
9P10GAGAGAGAGAGACC
10P12CACCACCACGC
11P13GAGGAGGAGGC
12P14CTCCTCCTCGC
13P15GTGGTGGTGGC
Table 3. The water quality indicators of the reference and the landfill sites.
Table 3. The water quality indicators of the reference and the landfill sites.
Indicators
SamplesTemperature (°C)TDS (mg/L)DO (mg/L)EC (µs/cm)pH
Reference31.36 ± 0.720.47 ± 0.036.57 ± 0.24317.62 ± 6.087.65 ± 0.46
Landfill29.06 ± 0.650.51 ± 0.064.51 ± 0.38456.72 ± 4.887.16 ± 0.61
StandardN/AN/A≥4.00N/A5–9
Remarks: TDS = total dissolved solids; DO = dissolved oxygen; EC = electro-conductivity; N/A= not available; (numbers of measured individuals) = 5; Thailand’s surface water quality standards [32].
Table 4. The concentrations of heavy metals in the water samples from the reference site and landfill site (mean ± standard deviation; n = 5).
Table 4. The concentrations of heavy metals in the water samples from the reference site and landfill site (mean ± standard deviation; n = 5).
Concentration (mg/L)
Study SiteAsCdCrPb
Reference0.0028 ± 0.00080.03 ± 0.0060.015 ± 0.0110.031 ± 0.007
Landfill0.0848 ± 0.1420.536 ± 0.1391.23 ± 0.4450.73 ± 0.19
p-value0.2680.001 *0.004 *0.001 *
Standard0.010.050.050.05
Remarks: The Pollution Control Department (PCD) of the Ministry of Natural Resources and Environment of Thailand established standards for water quality in surface sources [16]. * Indicate a statistically significant difference from the pooled standard error (p-value).
Table 5. The concentrations of heavy metals in sediment samples from the reference site and the landfill site (mean ± standard deviation, n = 5).
Table 5. The concentrations of heavy metals in sediment samples from the reference site and the landfill site (mean ± standard deviation, n = 5).
Concentration (mg/kg)
Study SiteAsCdCrPb
Reference0.556 ± 0.2360.0523 ± 0.12612.64 ± 2.355.32 ± 0.97
Landfill1.274 ± 0.4361.162 ± 0.42816.68 ± 2.0814.19 ± 3.15
p-value0.012 *0.013 *0.019 *0.002 *
Standard3.91100100
Remarks: The standard for soil quality, as established by the Pollution Control Department (PCD) of the Ministry of Natural Resources and Environment of Thailand [18]. * Indicate a statistically significant difference from the pooled standard error (p-value).
Table 6. The concentrations of heavy metals in O. niloticus muscles sample from the reference site and the landfill site (mean ± standard deviation; n = 5).
Table 6. The concentrations of heavy metals in O. niloticus muscles sample from the reference site and the landfill site (mean ± standard deviation; n = 5).
Concentration (mg/kg)
Study SiteAsCdCrPb
Reference0.0352 ± 0.00690.0272 ± 0.00241.17 ± 0.360.094 ± 0.08
Landfill0.0758 ± 0.01730.096 ± 0.0331.83 ± 0.090.69 ± 0.63
p-value0.001 *0.009 *0.014 *0.103 *
Standard20.52.00.5
Remarks: The quality standards for food, as established by the Ministry of Public Health of Thailand [21]. * Indicate a statistically significant difference from the pooled standard error (p-value).
Table 7. HM BAFs in fish samples.
Table 7. HM BAFs in fish samples.
Heavy MetalsO. niloticus
BAF values based on waterAs0.893 ± 1.83
Cd0.179 ± 0.112
Cr1.487 ± 0.663
Pb0.945 ± 1.557
Table 8. Heavy metals’ EDI, HRI, and CR through ingestion of O. niloticus.
Table 8. Heavy metals’ EDI, HRI, and CR through ingestion of O. niloticus.
Heavy MetalsEDI (μg/kg/day)HRICR
O. niloticus
As0.0280980.093660.000018732
Cd0.0355860.03558-
Cr0.6783620.22612-
Pb0.2557760.063940.03009
Unacceptable risk levels->1 [20]>1 × 10−4 [33]
Table 9. The 13 successful primer sequences for ISSR-PCR fingerprinting with DNA band.
Table 9. The 13 successful primer sequences for ISSR-PCR fingerprinting with DNA band.
No.PrimerNucleotide SequencesTotal BandsMonomorphic BandPolymorphic Band
1A4AGAGAGAGAGAGAGAA4726
2A11AGAGAGAGAGAGAGAAA7318
3A12AGAGAGAGAGAGAGAAC4925
4A14AGAGAGAGAGAGAGAAT6835
5P4CACACACACACAAC3231
6P5CACACACACACAGT3615
7P6CACACACACACAAG3825
8P7CACACACACACAGG1811
9P10GAGAGAGAGAGACC4741
10P12CACCACCACGC5224
11P13GAGGAGGAGGC4315
12P14CTCCTCCTCGC5024
13P15GTGGTGGTGGC6836
Total6212756
Table 10. The percentage of genomic template stability (% GTS) for the O. niloticus collected from the reference (1.1–1.5) and the landfill (2.1–2.5) sites.
Table 10. The percentage of genomic template stability (% GTS) for the O. niloticus collected from the reference (1.1–1.5) and the landfill (2.1–2.5) sites.
%GTS
Fish No.1.11.21.31.41.52.12.22.32.42.5
1.1
1.287.65
1.391.0393.83
1.487.3492.5991.25
1.596.0091.3694.8788.75
2.161.8461.7360.0062.8263.64
2.247.3746.3448.1046.8449.3562.50
2.363.1660.9861.2562.0360.7663.4961.40
2.459.4657.5057.6958.4459.2164.4162.2663.33
2.567.5765.0065.3864.1069.3371.6761.4060.0063.3300.00
Table 11. Oxidative stress biomarkers values of O. niloticus fish from the reference site and the landfill site (mean ± standard deviation, n = 5).
Table 11. Oxidative stress biomarkers values of O. niloticus fish from the reference site and the landfill site (mean ± standard deviation, n = 5).
ParameterReferenceLandfillp-Value
MDA (mmol/MDA/g liver)31.11 ± 0.7556.8 ± 8.930.003 *
H2O2 (mmol/g liver)13.54 ± 0.90620.65 ± 3.120.001 *
SOD (%)33.45 ± 2.9520.41 ± 6.510.004 *
CAT (Units/mg protein)23.51 ± 2.9614.85 ± 3.480.003 *
Remark: * A statistically significant difference (p < 0.05) is indicated by the pooled standard error (p-value).
Disclaimer/Publisher’s Note: The statements, opinions and data contained in all publications are solely those of the individual author(s) and contributor(s) and not of MDPI and/or the editor(s). MDPI and/or the editor(s) disclaim responsibility for any injury to people or property resulting from any ideas, methods, instructions or products referred to in the content.

Share and Cite

MDPI and ACS Style

Yang, N.; Monkheang, P.; Neeratanaphan, L.; Intamat, S.; Tengjaroensakul, B. Human Health Risk Assessment from the Tilapia Fish in Heavy Metal–Contaminated Landfill Reservoir. Int. J. Environ. Res. Public Health 2025, 22, 873. https://doi.org/10.3390/ijerph22060873

AMA Style

Yang N, Monkheang P, Neeratanaphan L, Intamat S, Tengjaroensakul B. Human Health Risk Assessment from the Tilapia Fish in Heavy Metal–Contaminated Landfill Reservoir. International Journal of Environmental Research and Public Health. 2025; 22(6):873. https://doi.org/10.3390/ijerph22060873

Chicago/Turabian Style

Yang, Ni, Pansa Monkheang, Lamyai Neeratanaphan, Somsak Intamat, and Bundit Tengjaroensakul. 2025. "Human Health Risk Assessment from the Tilapia Fish in Heavy Metal–Contaminated Landfill Reservoir" International Journal of Environmental Research and Public Health 22, no. 6: 873. https://doi.org/10.3390/ijerph22060873

APA Style

Yang, N., Monkheang, P., Neeratanaphan, L., Intamat, S., & Tengjaroensakul, B. (2025). Human Health Risk Assessment from the Tilapia Fish in Heavy Metal–Contaminated Landfill Reservoir. International Journal of Environmental Research and Public Health, 22(6), 873. https://doi.org/10.3390/ijerph22060873

Note that from the first issue of 2016, this journal uses article numbers instead of page numbers. See further details here.

Article Metrics

Back to TopTop