Oral Piercing: A Pretty Risk—A Scoping Review of Local and Systemic Complications of This Current Widespread Fashion
Abstract
1. Introduction
2. Materials and Methods
2.1. Protocol and Registration
2.2. Search Processing
2.3. Inclusion Criteria
2.4. Exclution Criteria
2.5. Data Processing
3. Results
4. Discussion
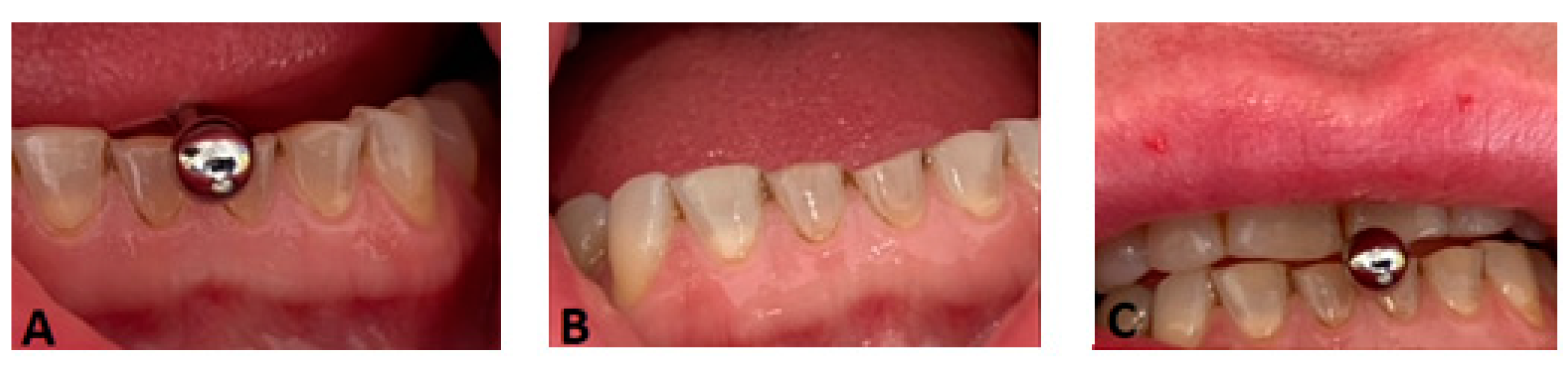
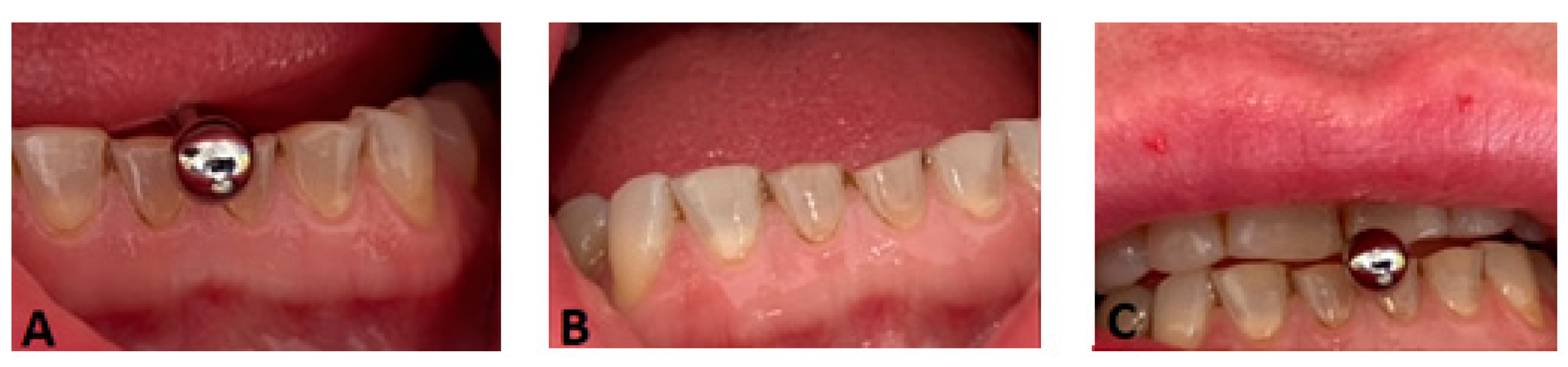
4.1. Local Complications
4.1.1. Local Post-Operative Complications
4.1.2. Long-Term Local Complications
4.2. Systemic Complications
4.2.1. Cross-Transmission of Infections Such as Hepatitis B, C, or D and AIDS
4.2.2. Allergies to Metals
4.2.3. Endocarditis
5. Conclusions
Author Contributions
Funding
Institutional Review Board Statement
Informed Consent Statement
Data Availability Statement
Conflicts of Interest
References
- Ekinci, O.; Topcuoglu, V.; Sabuncuoglu, O.; Berkem, M.; Akin, E.; Gumustas, F.O. The Association of Tattooing/Body Piercing and Psychopathology in Adolescents: A Community Based Study from Istanbul. Community Ment. Health J. 2012, 48, 798–803. [Google Scholar] [CrossRef] [PubMed]
- Heinen, E.; Birkholz, P.; Willmes, K.; Neuschaefer-Rube, C. Do Long-Term Tongue Piercings Affect Speech Quality? Logoped. Phoniatr. Vocol. 2017, 42, 126–132. [Google Scholar] [CrossRef]
- Farah, C.S.; Harmon, D.M. Tongue Piercing: Case Report and Review of Current Practice. Aust. Dent. J. 1998, 43, 387–389. [Google Scholar] [CrossRef]
- Vozza, I.; Fusco, F.; Bove, E.; Ripari, F.; Corridore, D.; Ottolenghi, L. Awareness of Risks Related to Oral Piercing in Italian Piercers. Pilot Study in Lazio Region. Ann. Stomatol. 2014, 5, 128–130. [Google Scholar]
- Hodges, F.M. The Ideal Prepuce in Ancient Greece and Rome: Male Genital Aesthetics and Their Relation to “Lipodermos”, Circumcision, Foreskin Restoration, and the “Kynodesmē”. Bull. Hist. Med. 2001, 75, 375–405. [Google Scholar] [CrossRef]
- Lee, B.; Vangipuram, R.; Petersen, E.; Tyring, S.K. Complications Associated with Intimate Body Piercings. Dermatol. Online J. 2018, 24, 13030/qt5gp333zr. [Google Scholar] [CrossRef]
- Braithwaite, R.; Robillard, A.; Woodring, T.; Stephens, T.; Arriola, K.J. Tattooing and Body Piercing among Adolescent Detainees: Relationship to Alcohol and Other Drug Use. J. Subst. Abuse 2001, 13, 5–16. [Google Scholar] [CrossRef]
- Bosello, R.; Favaro, A.; Zanetti, T.; Soave, M.; Vidotto, G.; Huon, G.; Santonastaso, P. Tattoos and piercings in adolescents: Family conflicts and temperament. Riv. Psichiatr. 2010, 45, 102–106. [Google Scholar]
- Maheu-Robert, L.-F.; Andrian, E.; Grenier, D. Overview of Complications Secondary to Tongue and Lip Piercings. J. Can. Dent. Assoc. 2007, 73, 327–331. [Google Scholar]
- Biber, J.T. Oral Piercing: The Hole Story. Northwest Dent. 2003, 82, 13–17. [Google Scholar]
- Brennan, M.; O’Connell, B.; O’Sullivan, M. Multiple Dental Fractures Following Tongue Barbell Placement: A Case Report. Dent. Traumatol. 2006, 22, 41–43. [Google Scholar] [CrossRef]
- Hennequin-Hoenderdos, N.L.; Slot, D.E.; Van der Weijden, G.A. The Incidence of Complications Associated with Lip and/or Tongue Piercings: A Systematic Review. Int. J. Dent. Hyg. 2016, 14, 62–73. [Google Scholar] [CrossRef]
- Theodossy, T. A Complication of Tongue Piercing. A Case Report and Review of the Literature. Br. Dent. J. 2003, 194, 551–552. [Google Scholar] [CrossRef]
- Ziebolz, D.; Hildebrand, A.; Proff, P.; Rinke, S.; Hornecker, E.; Mausberg, R.F. Long-Term Effects of Tongue Piercing—A Case Control Study. Clin. Oral Investig. 2012, 16, 231–237. [Google Scholar] [CrossRef]
- Kapferer, I.; Beier, U.S.; Persson, R.G. Tongue Piercing: The Effect of Material on Microbiological Findings. J. Adolesc. Health Off. Publ. Soc. Adolesc. Med. 2011, 49, 76–83. [Google Scholar] [CrossRef]
- King, E.M.; Brewer, E.; Brown, P. A Guide to Oral Piercings. BDJ Team 2018, 5, 18106. [Google Scholar] [CrossRef]
- Escudero-Castaño, N.; Perea-García, M.A.; Campo-Trapero, J.; Sánchez CBascones-Martínez, A. Oral and Perioral Piercing Complications. Open Dent. J. 2008, 2, 133–136. [Google Scholar] [CrossRef]
- Bellocchio, L.; Bordea, I.R.; Ballini, A.; Lorusso, F.; Hazballa, D.; Isacco, C.G.; Malcangi, G.; Inchingolo, A.D.; Dipalma, G.; Inchingolo, F.; et al. Environmental Issues and Neurological Manifestations Associated with COVID-19 Pandemic: New Aspects of the Disease? Int. J. Environ. Res. Public. Health 2020, 17, 8049. [Google Scholar] [CrossRef]
- Inchingolo, F.; Tatullo, M.; Abenavoli, F.M.; Marrelli, M.; Inchingolo, A.D.; Palladino, A.; Inchingolo, A.M.; Dipalma, G. Oral Piercing and Oral Diseases: A Short Time Retrospective Study. Int. J. Med. Sci. 2011, 8, 649–652. [Google Scholar] [CrossRef]
- Stead, L.R.; Williams, J.V.; Williams, A.C.; Robinson, C.M. An Investigation into the Practice of Tongue Piercing in the South West of England. Br. Dent. J. 2006, 200, 103–107; discussion 93. [Google Scholar] [CrossRef]
- Pramod, R.C.; Suresh, K.V.; Kadashetti, V.; Shivakumar, K.M.; Ingaleshwar, P.S.; Shetty, S.J. Oral Piercing: A Risky Fashion. J. Educ. Ethics Dent. 2012, 2, 56–60. [Google Scholar] [CrossRef]
- Oberholzer, T.G.; George, R. Awareness of Complications of Oral Piercing in a Group of Adolescents and Young South African Adults. Oral Surg. Oral Med. Oral Pathol. Oral Radiol. Endod. 2010, 110, 744–747. [Google Scholar] [CrossRef] [PubMed]
- Vozza, I.; Fusco, F.; Corridore, D.; Ottolenghi, L. Awareness of Complications and Maintenance Mode of Oral Piercing in a Group of Adolescents and Young Italian Adults with Intraoral Piercing. Med. Oral Patol. Oral Cirugia Bucal 2015, 20, e413–e418. [Google Scholar] [CrossRef]
- Scarano, A.; Inchingolo, F.; Lorusso, F. Facial Skin Temperature and Discomfort When Wearing Protective Face Masks: Thermal Infrared Imaging Evaluation and Hands Moving the Mask. Int. J. Environ. Res. Public. Health 2020, 17, 4624. [Google Scholar] [CrossRef]
- Chen, M.; Scully, C. Tongue Piercing: A New Fad in Body Art. Br. Dent. J. 1992, 172, 87. [Google Scholar] [CrossRef]
- Cantore, S.; Ballini, A.; De Vito, D.; Martelli, F.S.; Georgakopoulos, I.; Almasri, M.; Dibello, V.; Altini, V.; Farronato, G.; Dipalma, G.; et al. Characterization of Human Apical Papilla-Derived Stem Cells. J. Biol. Regul. Homeost. Agents 2017, 31, 901–910. [Google Scholar]
- IJMS|Free Full-Text|Benefits and Implications of Resveratrol Supplementation on Microbiota Modulations: A Systematic Review of the Literature. Available online: https://www.mdpi.com/1422-0067/23/7/4027 (accessed on 20 February 2023).
- Inchingolo, A.D.; Cazzolla, A.P.; Di Cosola, M.; Greco Lucchina, A.; Santacroce, L.; Charitos, I.A.; Topi, S.; Malcangi, G.; Hazballa, D.; Scarano, A.; et al. The Integumentary System and Its Microbiota between Health and Disease. J. Biol. Regul. Homeost. Agents 2021, 35, 303–321. [Google Scholar] [CrossRef]
- Sindoni, A.; Valeriani, F.; Protano, C.; Liguori, G.; Romano Spica, V.; Vitali, M.; Gallè, F. Health Risks for Body Pierced Community: A Systematic Review. Public Health 2022, 205, 202–215. [Google Scholar] [CrossRef]
- Maspero, C.; Farronato, G.; Giannini, L.; Kairyte, L.; Pisani, L.; Galbiati, G. The Complication of Oral Piercing and the Role of Dentist in Their Prevention: A Literature Review. Stomatologija 2014, 16, 118–124. [Google Scholar]
- Tricco, A.C.; Lillie, E.; Zarin, W.; O’Brien, K.K.; Colquhoun, H.; Levac, D.; Moher, D.; Peters, M.D.J.; Horsley, T.; Weeks, L.; et al. PRISMA Extension for Scoping Reviews (PRISMA-ScR): Checklist and Explanation. Ann. Intern. Med. 2018, 169, 467–473. [Google Scholar] [CrossRef]
- Yu, C.H.; Minnema, B.J.; Gold, W.L. Bacterial Infections Complicating Tongue Piercing. Can. J. Infect. Dis. Med. Microbiol. 2010, 21, e70–e74. [Google Scholar] [CrossRef]
- Hickey, B.M.; Schoch, E.A.; Bigeard, L.; Musset, A.M. Complications Following Oral Piercing. A Study among 201 Young Adults in Strasbourg, France. Community Dent. Health 2010, 27, 35–40. [Google Scholar]
- Plessas, A.; Pepelassi, E. Dental and Periodontal Complications of Lip and Tongue Piercing: Prevalence and Influencing Factors. Aust. Dent. J. 2012, 57, 71–78. [Google Scholar] [CrossRef]
- Tronel, H.; Chaudemanche, H.; Pechier, N.; Doutrelant, L.; Hoen, B. Endocarditis Due to Neisseria Mucosa after Tongue Piercing. Clin. Microbiol. Infect. Off. Publ. Eur. Soc. Clin. Microbiol. Infect. Dis. 2001, 7, 275–276. [Google Scholar] [CrossRef]
- Akhondi, H.; Rahimi, A.R. Haemophilus Aphrophilus Endocarditis after Tongue Piercing. Emerg. Infect. Dis. 2002, 8, 850–851. [Google Scholar] [CrossRef]
- Tripodi, D.; D’Ercole, S.; Pasini, M.; Nastasio, S.; Bonini, S.; Giuca, M.R. Inflammatory and Immunitary Modifications in Saliva of Subjects with Labial and Tongue Piercing. Eur. J. Inflamm. 2011, 9, 175–183. [Google Scholar] [CrossRef]
- Simões, A.; Manso, M.C.; de Almeida, R.F.; Pinho, M.M. Prevalência de Complicações Associadas à Colocação de Piercings Orais. Rev. Port. Estomatol. Med. Dentária E Cir. Maxilofac. 2014, 55, 243–249. [Google Scholar] [CrossRef]
- Albu, C.-C.; Milicescu, S.; Albu, S.; Ion, G. Tongue Piercing: A Current Trend with High-Risk Effects. Rev. Chim. 2019, 70, 2851–2853. [Google Scholar] [CrossRef]
- Covello, F.; Salerno, C.; Giovannini, V.; Corridore, D.; Ottolenghi, L.; Vozza, I. Piercing and Oral Health: A Study on the Knowledge of Risks and Complications. Int. J. Environ. Res. Public. Health 2020, 17, 613. [Google Scholar] [CrossRef]
- Dubose, J.; Pratt, J.W. Victim of Fashion: Endocarditis after Oral Piercing. Curr. Surg. 2004, 61, 474–477. [Google Scholar] [CrossRef]
- EBSCOhost|141273767|Oral Piercing Fascinations and Complications. Available online: https://web.s.ebscohost.com/abstract?direct=true&profile=ehost&scope=site&authtype=crawler&jrnl=09760245&AN=141273767&h=Eh4Wj4nm60wHrH5avEm0l%2fvulOAOlpwOFpek0TSp7yNif00QptXf2fvdQnL9vblJybmtueUzxbgGXlnj3GzeRA%3d%3d&crl=f&resultNs=AdminWebAuth&resultLocal=ErrCrlNotAuth&crlhashurl=login.aspx%3fdirect%3dtrue%26profile%3dehost%26scope%3dsite%26authtype%3dcrawler%26jrnl%3d09760245%26AN%3d141273767 (accessed on 20 February 2023).
- Lakhan, S.E.; Harle, L. Fatal Fulminant Herpes Simplex Hepatitis Secondary to Tongue Piercing in an Immunocompetent Adult: A Case Report. J. Med. Case Rep. 2008, 2, 356. [Google Scholar] [CrossRef] [PubMed]
- Boardman, R.; Smith, R.A. Dental Implications of Oral Piercing. J. Calif. Dent. Assoc. 1997, 25, 200–207. [Google Scholar] [CrossRef] [PubMed]
- Choe, J.; Almas, K.; Schoor, R. Tongue Piercing as Risk Factor to Periodontal Health. N. Y. State Dent. J. 2005, 71, 40–43. [Google Scholar] [PubMed]
- Hardee, P.S.; Mallya, L.R.; Hutchison, I.L. Tongue piercing resulting in hypotensive collapse. Br. Dent. J. 2000, 188, 657–658. Available online: https://www.nature.com/articles/4800568 (accessed on 20 February 2023). [CrossRef]
- Rosivack, R.G.; Kao, J.Y. Prolonged Bleeding Following Tongue Piercing: A Case Report and Review of Complications. Pediatr. Dent. 2003, 25, 154–156. [Google Scholar]
- Levin, L.; Zadik, Y.; Becker, T. Oral and Dental Complications of Intra-Oral Piercing. Dent. Traumatol. Off. Publ. Int. Assoc. Dent. Traumatol. 2005, 21, 341–343. [Google Scholar] [CrossRef]
- Bassiouny, M.A.; Deem, L.P.; Deem, T.E. Tongue Piercing: A Restorative Perspective. Quintessence Int. Berl. Ger. 1985 2001, 32, 477–481. [Google Scholar]
- Maibaum, W.W.; Margherita, V.A. Tongue Piercing: A Concern for the Dentist. Gen. Dent. 1997, 45, 495–497. [Google Scholar]
- Kołek, E.; Fijałkowska, M.; Antoszewski, B. Oral and Body Piercings—Are There Any Complications? J. Stomatol. 2020, 72, 209–214. [Google Scholar] [CrossRef]
- Priyadarshini, S.; Sahoo, P.; Mohapatra, A.; Mohapatra, A.; Sahoo, K. Oral Ornamentation an Upcoming Public Health Issue in India. Indian J. Public Health Res. Dev. 2018, 9, 1141. [Google Scholar] [CrossRef]
- Haffajee, A.D.; Socransky, S.S. Relationship of Cigarette Smoking to the Subgingival Microbiota. J. Clin. Periodontol. 2001, 28, 377–388. [Google Scholar] [CrossRef]
- Farronato, G.; Carletti, V.; Giannini, L.; Farronato, D.; Maspero, C. Juvenile Idiopathic Arthritis with Temporomandibular Joint Involvement: Functional Treatment. Eur. J. Paediatr. Dent. 2011, 12, 131–134. [Google Scholar]
- COVID-19 Infection and Survival in Patients with Spontaneous Intracerebral Haemorrhage. Available online: https://www.biolifesas.org/EN/10.23812/j.biol.regul.homeost.agents.202236.2S3.1 (accessed on 20 February 2023).
- Larsson-Stymne, B.; Widström, L. Ear Piercing--a Cause of Nickel Allergy in Schoolgirls? Contact Dermat. 1985, 13, 289–293. [Google Scholar] [CrossRef]
- Dyce, O.; Bruno, J.R.; Hong, D.; Silverstein, K.; Brown, M.J.; Mirza, N. Tongue Piercing. The New “Rusty Nail”? Head Neck 2000, 22, 728–732. [Google Scholar] [CrossRef]
- Oral Piercings and Their Dental Implications: A Mini Review—Singh—2012—Journal of Investigative and Clinical Dentistry—Wiley Online Library. Available online: https://onlinelibrary.wiley.com/doi/full/10.1111/j.2041-1626.2011.00108.x (accessed on 15 February 2023).
- Shinohara, E.H.; Horikawa, F.K.; Ruiz, M.M.; Shinohara, M.T. Tongue Piercing: Case Report of a Local Complication. J. Contemp. Dent. Pract. 2007, 8, 83–89. [Google Scholar] [CrossRef]



| Article screening strategy | Database: Pubmed, Scopus, Web of Science |
| Keywords: A “oral piercing” and B “complication” | |
| Boolean variable: AND | |
| Timespan: 2018–2023 | |
| Language: English |
| Authors | Type of Study | Object | Study Design and Timeline | Result |
|---|---|---|---|---|
| C.H. Yu et al. [32] | Case report | Relationship between the presence of oral piercing and endocarditis | Reports a case of prosthetic valve endocarditis caused by a Gemella species in a patient with a pierced tongue. | Illustrates that bacterial infections associated with tongue piercing are an emerging complication. |
| B.M. Hickey et al. [33] | Epidemiological survey | Identify the types and rate of post-piercing complications. | A questionnaire was submitted to 201 pierced people attending the University of Strasbourg dental hospital. | More than 23% of those wearing a piercing had suffered some form of complication. |
| A. Plessas et al. [34] | Cross-sectional study | Analyze the prevalence of oral piercing complications in dental and periodontal tissues | 110 pierced subjects without systemic disease or condition, subjected to a clinical examination. | About one-third of the dental elements adjacent to the piercings show abnormal tooth wear and/or chipping/cracking |
| H. Tronel et al. [35] | Case report | Relationship between a case of endocarditis and presence of oral piercing | Report a case of infective endocarditis due to N. mucosa that probably resulted from tongue piercing. | Oral Piercing is generally not regarded as a risk factor for endocarditis. |
| H. Akhondi et al. [36] | Case report | Relationship between a case of endocarditis and presence of oral piercing | H. aphrophilus endocarditis possibly caused by tongue piercing in a patient with congenital heart disease | 23% of patients had piercing-related infections but no endocarditis was reported in that study. |
| D. Tripodi et al. [37] | Cross-sectional study | Evaluate variation in the inflammatory or immunity components of the saliva of patients with oral piercings | The saliva of 25 pierced adults was examined and data were statistically analyzed. | Oral piercing determines an increase in saliva enzymes and a more basic pH value. |
| D. Ziebolz et al. [14] | Case-control study | Analyze the prevalence of oral piercing complications in dental and periodontal tissues | Dental examination of members of the German Federal Armed Forces who had TP (group TP) and a matched control group (group C) volunteered to take part in the study. | Tongue piercing is correlated with an increased occurrence of lingual recessions enamel fissures, enamel cracks. |
| F. Inchingolo et al. [19] | Retrospective study | Analyze the prevalence of oral piercing complications in dental and periodontal tissues | 108 pierced patients aged between 14 and 39 years underwent clinical examination to reveal the possible presence of late complications. | No patients developed widespread complications. |
| A. Simões et al. [38] | Cross-sectional study | Analyze the prevalence of oral piercing complications in dental and periodontal tissues | 109 piercings seen in 82 individuals, who filled a questionnaire and were submitted to an oral examination. | 63.3% of the observed piercings have complication/changes associated. |
| C. Creguta Albu et al. [39] | Case-control study | Association between a tongue piercing and tic behavior | Intra-oral examination of a pierced female patient aged 22 | This study demonstrates dental complication associated with tongue piercing and tic behavior |
| Dental | Other Complications |
|---|---|
|
|
| Infective | Neurological and Vascular | Allergies |
|---|---|---|
|
|
|
Disclaimer/Publisher’s Note: The statements, opinions and data contained in all publications are solely those of the individual author(s) and contributor(s) and not of MDPI and/or the editor(s). MDPI and/or the editor(s) disclaim responsibility for any injury to people or property resulting from any ideas, methods, instructions or products referred to in the content. |
© 2023 by the authors. Licensee MDPI, Basel, Switzerland. This article is an open access article distributed under the terms and conditions of the Creative Commons Attribution (CC BY) license (https://creativecommons.org/licenses/by/4.0/).
Share and Cite
Malcangi, G.; Patano, A.; Palmieri, G.; Riccaldo, L.; Pezzolla, C.; Mancini, A.; Inchingolo, A.D.; Di Venere, D.; Piras, F.; Inchingolo, F.; et al. Oral Piercing: A Pretty Risk—A Scoping Review of Local and Systemic Complications of This Current Widespread Fashion. Int. J. Environ. Res. Public Health 2023, 20, 5744. https://doi.org/10.3390/ijerph20095744
Malcangi G, Patano A, Palmieri G, Riccaldo L, Pezzolla C, Mancini A, Inchingolo AD, Di Venere D, Piras F, Inchingolo F, et al. Oral Piercing: A Pretty Risk—A Scoping Review of Local and Systemic Complications of This Current Widespread Fashion. International Journal of Environmental Research and Public Health. 2023; 20(9):5744. https://doi.org/10.3390/ijerph20095744
Chicago/Turabian StyleMalcangi, Giuseppina, Assunta Patano, Giulia Palmieri, Lilla Riccaldo, Carmela Pezzolla, Antonio Mancini, Alessio Danilo Inchingolo, Daniela Di Venere, Fabio Piras, Francesco Inchingolo, and et al. 2023. "Oral Piercing: A Pretty Risk—A Scoping Review of Local and Systemic Complications of This Current Widespread Fashion" International Journal of Environmental Research and Public Health 20, no. 9: 5744. https://doi.org/10.3390/ijerph20095744
APA StyleMalcangi, G., Patano, A., Palmieri, G., Riccaldo, L., Pezzolla, C., Mancini, A., Inchingolo, A. D., Di Venere, D., Piras, F., Inchingolo, F., Dipalma, G., & Inchingolo, A. M. (2023). Oral Piercing: A Pretty Risk—A Scoping Review of Local and Systemic Complications of This Current Widespread Fashion. International Journal of Environmental Research and Public Health, 20(9), 5744. https://doi.org/10.3390/ijerph20095744

