Clear Aligners Treatment of Class III Subdivision with an Extraction of a Lower Bicuspid
Abstract
1. Introduction
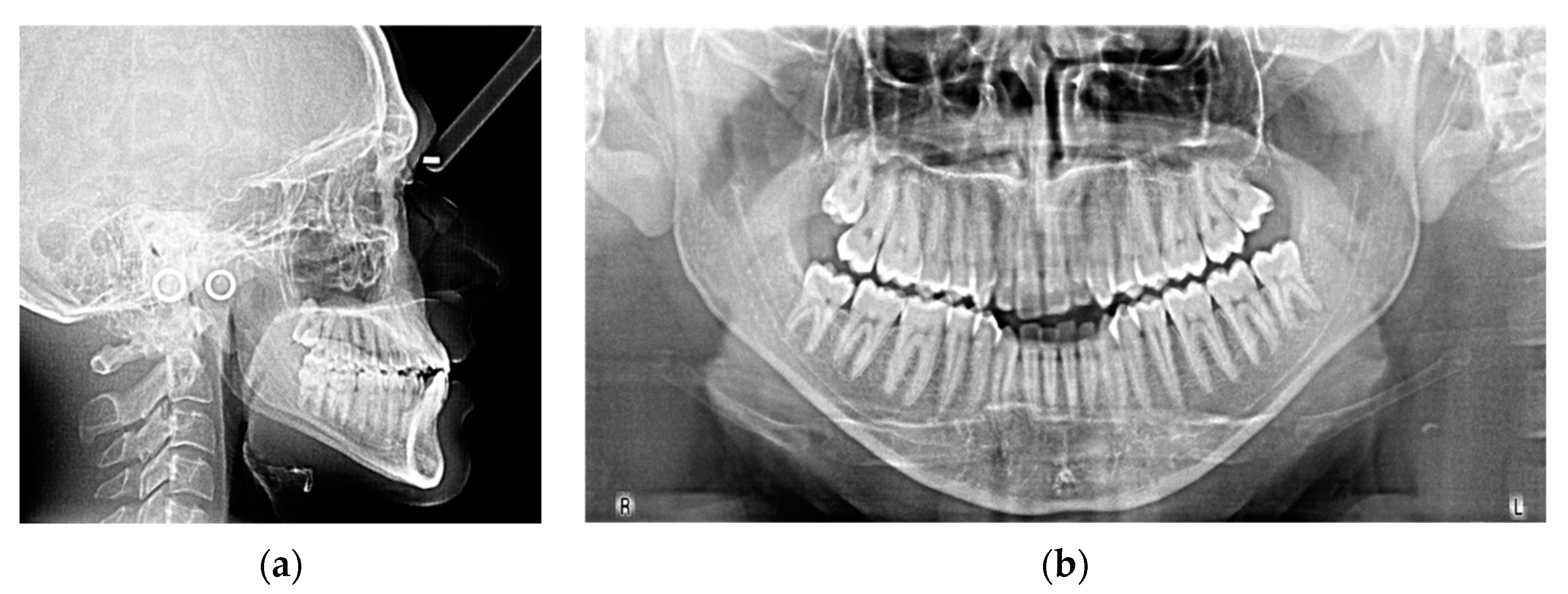
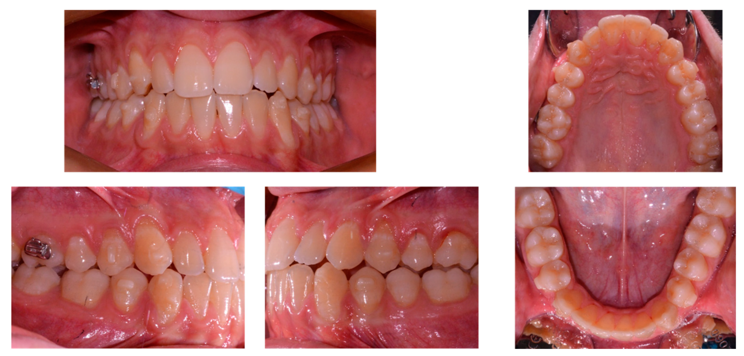
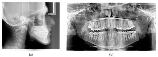
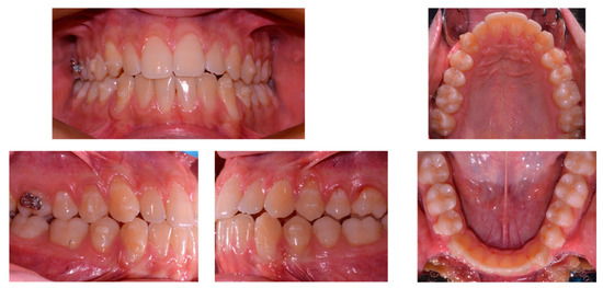
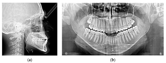
2. Case Report
3. Discussion
4. Conclusions
Author Contributions
Funding
Institutional Review Board Statement
Informed Consent Statement
Data Availability Statement
Conflicts of Interest
References
- Jamilian, A.; Cannavale, R.; Piancino, M.G.; Eslami, S.; Perillo, L. Methodological quality and outcome of systematic reviews reporting on orthopaedic treatment for class III malocclusion: Overview of systematic reviews. J. Orthod. 2016, 43, 102–120. [Google Scholar] [CrossRef]
- Rongo, R.; D’Anto, V.; Bucci, R.; Polito, I.; Martina, R.; Michelotti, A. Skeletal and dental effects of Class III orthopedic treatment: A systematic review and meta-analysis. J. Oral Rehabil. 2017, 44, 545–562. [Google Scholar] [CrossRef]
- Galeotti, A.; Martina, S.; Viarani, V.; Franchi, L.; Rongo, R.; D’Antò, V.; Festa, P. Cephalometric effects of Pushing Splints 3 compared with rapid maxillary expansion and facemask therapy in Class III malocclusion children: A randomized controlled trial. Eur. J. Orthod. 2021, 43, 274–282. [Google Scholar] [CrossRef]
- Martina, S.; Martina, R.; Franchi, L.; D’Antò, V.; Valletta, R. A New Appliance for Class III Treatment in Growing Patients: Pushing Splints 3. Case Rep. Dent. 2019, 2019, 9597024. [Google Scholar] [CrossRef]
- Mulier, D.; Gaitán Romero, L.; Führer, A.; Martin, C.; Shujaat, S.; Shaheen, E.; Politis, C.; Jacobs, R. Long-term dental stability after orthognathic surgery: A systematic review. Eur. J. Orthod. 2021, 43, 104–112. [Google Scholar] [CrossRef]
- Miyatake, E.; Miyawaki, S.; Morishige, Y.; Nishiyama, A.; Sasaki, A.; Takano-Yamamoto, T. Class III malocclusion with severe facial asymmetry, unilateral posterior crossbite, and temporomandibular disorders. Am. J. Orthod. Dentofac. Orthop. 2003, 124, 435–445. [Google Scholar] [CrossRef]
- Uribe, F.; Agarwal, S.; Shafer, D.; Nanda, R. Increasing orthodontic and orthognathic surgery treatment efficiency with a modified surgery-first approach. Am. J. Orthod. Dentofac. Orthop. 2015, 148, 838–848. [Google Scholar] [CrossRef]
- Alhammadi, M.S.; Almashraqi, A.A.; Khadhi, A.H.; Arishi, K.A.; Alamir, A.A.; Beleges, E.M.; Halboub, E. Orthodontic camouflage versus orthodontic-orthognathic surgical treatment in borderline class III malocclusion: A systematic review. Clin. Oral Investig. 2022, 26, 6443–6455. [Google Scholar] [CrossRef]
- Bombonatti, R.; Aliaga-Del Castillo, A.; Bombonatti, J.F.S.; Garib, D.; Tompson, B.; Janson, G. Cephalometric and occlusal changes of Class III malocclusion treated with or without extractions. Dental Press J. Orthod. 2020, 25, 24–32. [Google Scholar] [CrossRef]
- Zimmer, B.; Schenk-Kazan, S. Dental compensation for skeletal Class III malocclusion by isolated extraction of mandibular teeth. Part 1: Occlusal situation 12 years after completion of active treatment. J. Orofac. Orthop. 2015, 76, 251–264. [Google Scholar] [CrossRef]
- Ruellas, A.C.O.; Baratieri, C.; Roma, M.B.; Izquierdo, A.M.; Boaventura, L.; Rodrigues, C.S.; Telles, V. Angle Class III malocclusion treated with mandibular first molar extractions. Am. J. Orthod. Dentofac. Orthop. 2012, 142, 384–392. [Google Scholar] [CrossRef]
- Jacobs, C.; Jacobs-Muller, C.; Hoffmann, V.; Meila, D.; Erbe, C.; Krieger, E.; Wehrbein, H. Dental compensation for moderate Class III with vertical growth pattern by extraction of the lower second molars. J. Orofac. Orthop. 2012, 73, 41–48. [Google Scholar] [CrossRef]
- Madariaga, A.C.P.; Bucci, R.; Rongo, R.; Simeon, V.; D’Antò, V.; Valletta, R. Impact of Fixed Orthodontic Appliance and Clear Aligners on the Periodontal Health: A Prospective Clinical Study. Dent. J. 2020, 8, 4. [Google Scholar] [CrossRef]
- Martina, S.; Amato, A.; Faccioni, P.; Iandolo, A.; Amato, M.; Rongo, R. The perception of COVID-19 among Italian dental patients: An orthodontic point of view. Prog. Orthod. 2021, 22, 11. [Google Scholar] [CrossRef]
- Dianiskova, S.; Rongo, R.; Buono, R.; Franchi, L.; Michelotti, A.; D’Antò, V. Treatment of mild Class II malocclusion in growing patients with clear aligners versus fixed multibracket therapy: A retrospective study. Orthod. Craniofac. Res. 2022, 25, 96–102. [Google Scholar] [CrossRef]
- Staderini, E.; Patini, R.; Meuli, S.; Camodeca, A.; Guglielmi, F.; Gallenzi, P. Indication of clear aligners in the early treatment of anterior crossbite: A case series. Dental Press J. Orthod. 2020, 25, 33–43. [Google Scholar] [CrossRef]
- Bucci, R.; Rongo, R.; Levatè, C.; Michelotti, A.; Barone, S.; Razionale, A.V.; D’Antò, V. Thickness of Orthodontic Clear Aligners after Thermoforming and after 10 Days of Intraoral Exposure: A Prospective Clinical Study. Prog. Orthod. 2019, 20, 36. [Google Scholar] [CrossRef]
- Martina, S.; Rongo, R.; Bucci, R.; Razionale, A.V.; Valletta, R.; D’Antò, V. In vitro cytotoxicity of different thermoplastic materials for clear aligners. Angle Orthod. 2019, 89, 942–945. [Google Scholar] [CrossRef]
- D’Antò, V.; Bucci, R.; De Simone, V.; Huanca Ghislanzoni, L.; Michelotti, A.; Rongo, R. Evaluation of Tooth Movement Accuracy with Aligners: A Prospective Study. Materials 2022, 15, 2646. [Google Scholar] [CrossRef]
- Martina, S.; Martini, M.; Bordegoni, M.; Razionale, A.V. Predictability of Root Movements Using Virtual Root Setup in a Patient With Periodontal Disease Treated With Clear Aligners. Open Dent. J. 2021, 15, 605–611. [Google Scholar] [CrossRef]
- Verna, C. Regional acceleratory phenomenon. Front. Oral Biol. 2016, 18, 28–35. [Google Scholar]
- Almeida, G.A. Class III malocclusion with maxillary deficiency, mandibular prognathism and facial asymmetry. Dental Press J. Orthod. 2016, 21, 103–113. [Google Scholar] [CrossRef]
- Eslami, S.; Faber, J.; Fateh, A.; Sheikholaemmeh, F.; Grassia, V.; Jamilian, A. Treatment decision in adult patients with class III malocclusion: Surgery versus orthodontics. Prog. Orthod. 2018, 19, 28. [Google Scholar] [CrossRef]
- Janson, G.; De Souza, J.E.; Barros, S.E.; Andrade Junior, P.; Nakamura, A.Y. Orthodontic treatment alternative to a class III subdivision malocclusion. J. Appl. Oral Sci. 2009, 17, 354–363. [Google Scholar] [CrossRef][Green Version]
- Brunetto, A.R. Orthodontic retreatment of a Class III patient with significant midline asymmetry and bilateral posterior crossbite. Dental Press J. Orthod. 2015, 20, 118–126. [Google Scholar] [CrossRef]
- Zimmer, B.; Gaida, S.; Dathe, H. Compensation of skeletal Class III malocclusion by isolated extraction of mandibular teeth: Part 2: Skeletal, dentoalveolar and soft tissue parameters in comparison with nonextraction Class III therapies. J. Orofac. Orthop. 2016, 77, 119–128. [Google Scholar] [CrossRef]
- Rongo, R.; Dianišková, S.; Spiezia, A.; Bucci, R.; Michelotti, A.; D’Antò, V. Class II Malocclusion in Adult Patients: What Are the Effects of the Intermaxillary Elastics with Clear Aligners? A Retrospective Single Center One-Group Longitudinal Study. J. Clin. Med. 2022, 11, 7333. [Google Scholar] [CrossRef]
- Buschang, P.H.; Shaw, S.G.; Ross, M.; Crosby, D.; Campbell, P.M. Comparative time efficiency of aligner therapy and conventional edgewise braces. Angle Orthod. 2014, 84, 391–396. [Google Scholar] [CrossRef]
- Di Spirito, F.; Iacono, V.J.; Iandolo, A.; Amato, A.; Sbordone, L. Evidence-based Recommendations on Periodontal Practice and the Management of Periodontal Patients during and after the COVID-19 Era: Challenging Infectious Diseases Spread by Air-borne Transmission. Open Dent. J. 2021, 15, 325–336. [Google Scholar] [CrossRef]
- Zheng, M.; Liu, R.; Ni, Z.; Yu, Z. Efficiency, effectiveness and treatment stability of clear aligners: A systematic review and meta-analysis. Orthod. Craniofac. Res. 2017, 20, 127–133. [Google Scholar] [CrossRef]
- Dai, F.F.; Xu, T.M.; Shu, G. Comparison of achieved and predicted crown movement in adults after 4 first premolar extraction treatment with Invisalign. Am. J. Orthod. Dentofac. Orthop. 2021, 160, 805–813. [Google Scholar] [CrossRef] [PubMed]
- Rota, E.; Parrini, S.; Malekian, K.; Cugliari, G.; Mampieri, G.; Deregibus, A.; Castroflorio, T. Lower Molar Distalization Using Clear Aligners: Bodily Movement or Uprighting? A Preliminary Study. Appl. Sci. 2022, 12, 7123. [Google Scholar] [CrossRef]
- Harris, K.; Ojima, K.; Dan, C.; Upadhyay, M.; Alshehri, A.; Kuo, C.L.; Mu, J.; Uribe, F.; Nanda, R. Evaluation of open bite closure using clear aligners: A retrospective study. Prog. Orthod. 2020, 21, 23. [Google Scholar] [CrossRef] [PubMed]
- D’Alessandro, A.C.; D’Antò, V.; Razionale, A.V.; Alessandri-Bonetti, G. Integrating CBCT and virtual models for root movement with clear aligners. J. Clin. Orthod. 2020, 54, 159–166. [Google Scholar] [PubMed]
- Ren, L.; Liu, L.; Wu, Z.; Shan, D.; Pu, L.; Gao, Y.; Tang, Z.; Li, X.; Jian, F.; Wang, Y.; et al. The predictability of orthodontic tooth movements through clear aligner among first-premolar extraction patients: A multivariate analysis. Prog. Orthod. 2022, 23, 52. [Google Scholar] [CrossRef]
- Savignano, R.; Valentino, R.; Razionale, A.V.; Michelotti, A.; Barone, S.; D’Antò, V. Biomechanical Effects of Different Auxiliary-Aligner Designs for the Extrusion of an Upper Central Incisor: A Finite Element Analysis. J. Healthc. Eng. 2019, 2019, 9687127. [Google Scholar] [CrossRef]
- Rongo, R.; Antoun, J.S.; Lim, Y.X.; Dias, G.; Valletta, R.; Farella, M. Three-dimensional evaluation of the relationship between jaw divergence and facial soft tissue dimensions. Angle Orthod. 2014, 84, 788–794. [Google Scholar] [CrossRef]
- Rongo, R.; Bucci, R.; Adaimo, R.; Amato, M.; Martina, S.; Valletta, R.; D’Antò, V. Two-dimensional versus three-dimensional Fränkel Manoeuvre: A reproducibility study. Eur. J. Orthod. 2020, 42, 157–162. [Google Scholar] [CrossRef]







| Measurements | Initial | Final | Norm |
|---|---|---|---|
| SNA (°) | 86.7 | 87.5 | 82.0 ± 3.5 |
| SNB (°) | 84.1 | 84.9 | 80.0 ± 3.5 |
| ANB (°) | 2.6 | 2.6 | 2.0 ± 2.5 |
| SN^ANS-PNS (°) | 7.2 | 6.3 | 8.0 ± 3.0 |
| SN^GoGn (°) | 37.7 | 37.7 | 33.0 ± 2.5 |
| ANS/PNS^Go-Gn (°) | 33.3 | 33.3 | 25.0 ± 6.0 |
| U1^ANS-PNS (°) | 113.2 | 111.8 | 110.0 ± 6.0 |
| L1^GoGn (°) | 85.1 | 80.4 | 90.0 ± 6.0 |
| L1 Protrusion (L1-APo) (mm) | 1.6 | 1.3 | 1.0 ± 2.5 |
| Overjet (mm) | 2.6 | 2.4 | 2.5 ± 2.5 |
| Overbite (mm) | 0.6 | 1.5 | 3.0 ± 2.5 |
| U1^L1 (°) | 131.1 | 136.4 | 135.0 ± 6.0 |
| Co-Go-Me (°) | 123.9 | 124.8 | 125.0 |
| Lower lip to Ricketts E-line (mm) | −4.8 | −5.6 | 0.0 ± 2.0 |
Disclaimer/Publisher’s Note: The statements, opinions and data contained in all publications are solely those of the individual author(s) and contributor(s) and not of MDPI and/or the editor(s). MDPI and/or the editor(s) disclaim responsibility for any injury to people or property resulting from any ideas, methods, instructions or products referred to in the content. |
© 2023 by the authors. Licensee MDPI, Basel, Switzerland. This article is an open access article distributed under the terms and conditions of the Creative Commons Attribution (CC BY) license (https://creativecommons.org/licenses/by/4.0/).
Share and Cite
D’Antò, V.; Valletta, R.; De Simone, V.; Pisano, M.; Martina, S. Clear Aligners Treatment of Class III Subdivision with an Extraction of a Lower Bicuspid. Int. J. Environ. Res. Public Health 2023, 20, 3550. https://doi.org/10.3390/ijerph20043550
D’Antò V, Valletta R, De Simone V, Pisano M, Martina S. Clear Aligners Treatment of Class III Subdivision with an Extraction of a Lower Bicuspid. International Journal of Environmental Research and Public Health. 2023; 20(4):3550. https://doi.org/10.3390/ijerph20043550
Chicago/Turabian StyleD’Antò, Vincenzo, Rosa Valletta, Vittoria De Simone, Massimo Pisano, and Stefano Martina. 2023. "Clear Aligners Treatment of Class III Subdivision with an Extraction of a Lower Bicuspid" International Journal of Environmental Research and Public Health 20, no. 4: 3550. https://doi.org/10.3390/ijerph20043550
APA StyleD’Antò, V., Valletta, R., De Simone, V., Pisano, M., & Martina, S. (2023). Clear Aligners Treatment of Class III Subdivision with an Extraction of a Lower Bicuspid. International Journal of Environmental Research and Public Health, 20(4), 3550. https://doi.org/10.3390/ijerph20043550

