Multimodality Imaging in HIV-Associated Cardiovascular Complications: A Comprehensive Review
Abstract
1. Introduction
2. HIV-Associated Cardiovascular Complications
2.1. Myocarditis
2.2. HIV Associated Cardiomyopathy
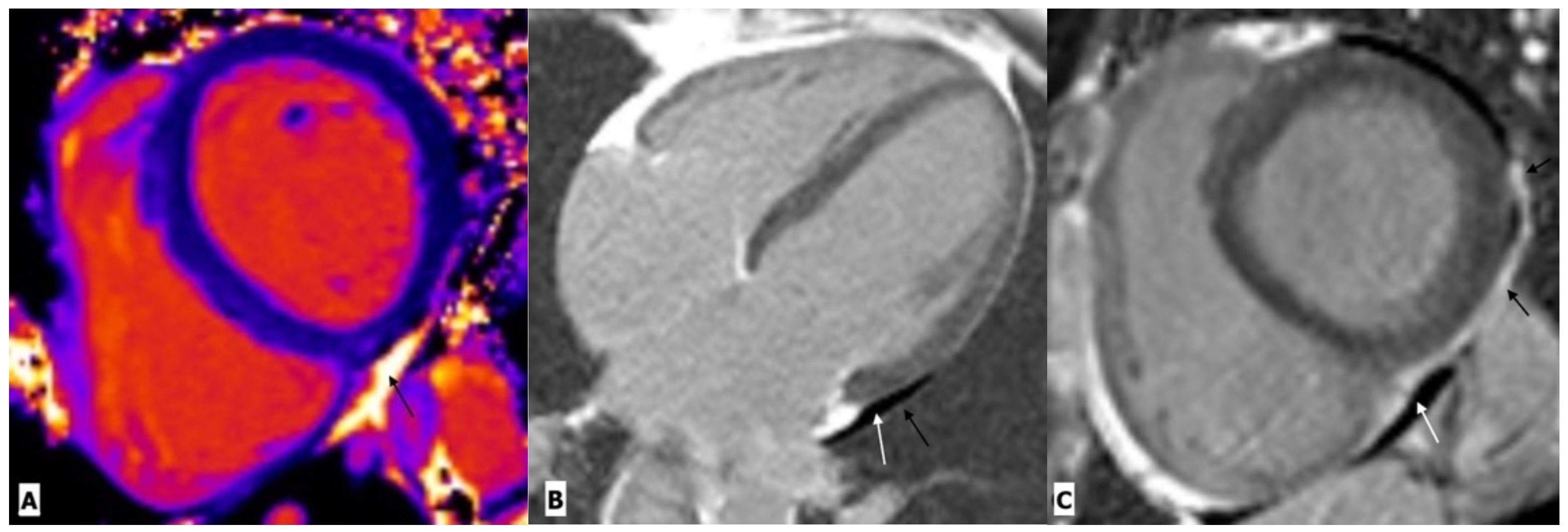
2.3. Pericardial Diseases
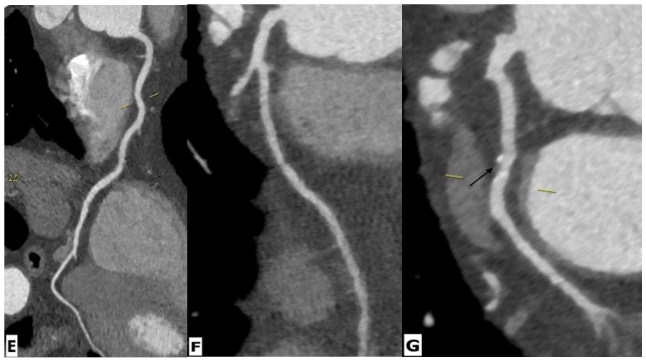
2.4. Coronary Artery Diseases
2.5. Pulmonary Hypertension
2.6. Cardiac Neoplasm
2.7. Vasculitis
2.8. Endocarditis
3. Conclusions
Author Contributions
Funding
Institutional Review Board Statement
Informed Consent Statement
Data Availability Statement
Conflicts of Interest
References
- Mocroft, A.; Ledergerber, B.; Katlama, C.; Kirk, O.; Reiss, P.; d’Arminio Monforte, A.; Knysz, B.; Dietrich, M.; Phillips, A.; Lundgren, J. Decline in the AIDS and Death Rates in the EuroSIDA Study: An Observational Study. Lancet 2003, 362, 22–29. [Google Scholar] [CrossRef] [PubMed]
- Hemkens, L.G.; Bucher, H.C. HIV infection and cardiovascular disease. Eur. Heart J. 2014, 35, 1373–1381. [Google Scholar] [CrossRef] [PubMed]
- Triant, V.A.; Lee, H.; Hadigan, C.; Grinspoon, S.K. Increased acute myocardial infarction rates and cardiovascular risk factors among patients with human immunodeficiency virus disease. J. Clin. Endocrinol. Metab. 2007, 92, 2506–2512. [Google Scholar] [CrossRef] [PubMed]
- Duprez, D.; Neuhaus, J.; Kuller, L.; Tracy, R.; Belloso, W.; De Wit, S. Inflammation, Coagulation and Cardiovascular Disease in HIV-Infected Individuals. PLoS ONE 2012, 7, e44454. [Google Scholar] [CrossRef]
- Remick, J.; Georgiopoulou, V.; Marti, C.; Ofotokun, I.; Kalogeropoulos, A.; Lewis, W.; Butler, J. Heart Failure in Patients with Human Immunodeficiency Virus Infection: Epidemiology, Pathophysiology, Treatment, and Future Research. Circulation 2014, 129, 1781–1789. [Google Scholar] [CrossRef]
- Erqou, S.; Lodebo, B.T.; Masri, A.; Altibi, A.M.; Echouffo-Tcheugui, J.B.; Dzudie, A.; Ataklte, F.; Choudhary, G.; Bloomfield, G.S.; Wu, W.-C.; et al. Cardiac Dysfunction among People Living with HIV. JACC Heart Fail. 2019, 7, 98–108. [Google Scholar] [CrossRef]
- Post, W.S.; Budoff, M.; Kingsley, L.; Palella, F.J., Jr.; Witt, M.D.; Li, X.; George, R.T.; Brown, T.T.; Jacobson, L.P. Associations between HIV infection and subclinical coronary atherosclerosis. Ann. Intern. Med. 2014, 160, 458–467. [Google Scholar] [CrossRef] [PubMed]
- Sood, V.; Jermy, S.; Saad, H.; Samuels, P.; Moosa, S.; Ntusi, N. Review of cardiovascular magnetic resonance in human immunodeficiency virus-associated cardiovascular disease. SA J. Radiol. 2017, 21, 1248. [Google Scholar] [CrossRef]
- Herskowitz, A.; Wu, T.-C.; Willoughby, S.B.; Vlahov, D.; Ansari, A.A.; Beschorner, W.E.; Baughman, K.L. Mycarditis and Cardiotropic Viral Infection Associated with Severe Left Ventricular Dysfunction in Late-Stage Infection with Human Immunodeficiency Virus. J. Am. Coll. Cardiol. 1994, 24, 1025–1032. [Google Scholar] [CrossRef]
- Barbaro, G.; Di Lorenzo, G.; Grisorio, B.; Barbarini, G.; the Gruppo Italiano per lo Studio Cardiologico dei Pazienti Affetti da AIDS Investigators. Cardiac involvement in the acquired immunodeficiency syndrome: A multicenter clinical-pathological study. AIDS Res. Hum. Retroviruses 1998, 14, 1071–1077. [Google Scholar] [CrossRef]
- Barbaro, G. Cardiovascular manifestations of HIV infection. J. R. Soc. Med. 2001, 94, 384–390. [Google Scholar] [CrossRef]
- Adair, O.V.; Randive, N.; Krasnow, N. Isolated toxoplasma myocarditis in acquired immune deficiency syndrome. Am. Heart J. 1989, 118, 856–857. [Google Scholar] [CrossRef] [PubMed]
- Kinney, E.; Monsuez, J.; Kitzis, M.; Vittecoq, D. Treatment of AIDS-associated heart disease. Angiology 1989, 40, 970–976. [Google Scholar] [CrossRef] [PubMed]
- Hofman, P.; Drici, M.D.; Gibelin, P.; Michiels, J.F.; Thyss, A. Prevalence of toxoplasma myocarditis in patients with the acquired immunodeficiency syndrome. Br. Heart J. 1993, 70, 376–381. [Google Scholar] [CrossRef]
- Twu, C.; Liu, N.Q.; Popik, W.; Bukrinsky, M.; Sayre, J.; Roberts, J.; Rania, S.; Bramhandam, V.; Roos, K.P.; MacLellan, W.R.; et al. Cardiomyocytes Undergo Apoptosis in Human Immunodeficiency Virus Cardiomyopathy through Mitochondrion- and Death Receptor-Controlled Pathways. Proc. Natl. Acad. Sci. USA 2002, 99, 14386–14391. [Google Scholar] [CrossRef]
- Fiala, M.; Popik, W.; Qiao, J.; Lossinsky, A.; Alce, T.; Tran, K. HIV-1 induces cardiomyopathyby cardiomyocyte invasion and gp120, tat, and cytokine apoptotic signaling. Cardiovasc. Toxicol. 2004, 4, 097–108. [Google Scholar] [CrossRef] [PubMed]
- Barbaro, G. HIV-associated cardiomyopathy. Herz. Kardiovask. Erkrank. 2005, 30, 486–492. [Google Scholar] [CrossRef] [PubMed]
- Duan, M.; Yao, H.; Hu, G.; Chen, X.; Lund, A.K.; Buch, S. HIV Tat induces expression of ICAM-1 in HUVECs: Implications for miR-221/-222 in HIV-associated cardiomyopathy. PLoS ONE 2013, 8, e60170. [Google Scholar] [CrossRef]
- Olusegun-Joseph, D.A.; Ajuluchukwu, J.N.; Okany, C.C.; Mbakwem, A.C.; Oke, D.A.; Okubadejo, N.U. Echocardiographic patterns in treatment-naïve HIV-positive patients in Lagos, south-west Nigeria. Cardiovasc. J. Afr. 2012, 23, e1–e6. [Google Scholar] [CrossRef]
- Luetkens, J.A.; Doerner, J.; Schwarze-Zander, C.; Wasmuth, J.-C.; Boesecke, C.; Sprinkart, A.M.; Schmeel, F.C.; Homsi, R.; Gieseke, J.; Schild, H.H.; et al. Cardiac Magnetic Resonance Reveals Signs of Subclinical Myocardial Inflammation in Asymptomatic HIV-Infected Patients. Circ. Cardiovasc. Imaging 2016, 9, e004091. [Google Scholar] [CrossRef]
- Ntusi, N.A.; O’Dwyer, E.; Dorrell, L.; Piechnik, S.K.; Ferreira, V.M.; Karamitsos, T.D.; Sam, E.; Clarke, K.; Neubauer, S.; Holloway, C. HIV-1-Related Cardiovascular Disease Is Associated with Chronic Inflammation, Frequent Pericardial Effusions and Increased Myocardial Oedema. J. Cardiovasc. Magn. Resonan. 2016, 18, O104. [Google Scholar] [CrossRef]
- Hsue, P.Y.; Hunt, P.W.; Ho, J.E.; Farah, H.H.; Schnell, A.; Hoh, R.; Martin, J.N.; Deeks, S.G.; Bolger, A.F. Impact of HIV Infection on Diastolic Function and Left Ventricular Mass. Circ. Heart Fail. 2010, 3, 132–139. [Google Scholar] [CrossRef] [PubMed]
- Mendes, L.; Silva, D.; Miranda, C.; Sá, J.; Duque, L.; Duarte, N.; Brito, P.; Bernardino, L.; Poças, J. Impact of HIV Infection on Cardiac Deformation. Rev. Port. Cardiol. 2014, 33, 501–509. [Google Scholar] [CrossRef] [PubMed]
- Robbertse, P.S.; Doubell, A.F.; Lombard, C.J.; Talle, M.A.; Herbst, P.G. Evolution of myocardial oedema and fibrosis in HIV infected persons after the initiation of antiretroviral therapy: A prospective cardiovascular magnetic resonance study. J. Cardiovasc. Magn. Reson. 2022, 24, 72. [Google Scholar] [CrossRef] [PubMed]
- DeLeuw, P.; Arendt, C.; Haberl, A.; Froadinadl, D.; Kann, G.; Wolf, T. Myocardial fibrosis and inflammation by CMR predict cardiovascular outcome in people living with HIV. JACC Cardiovasc. Imaging 2021, 14, 1548–1557. [Google Scholar] [CrossRef] [PubMed]
- Barbaro, G.; Di Lorenzo, G.; Grisorio, B.; Barbarini, G. Incidence of dilated cardiomyopathy and detection of HIV in myocardial cells of HIV-positive patients. N. Engl. J. Med. 1998, 339, 1093–1099. [Google Scholar] [CrossRef]
- Levy, W.S.; Simon, G.L.; Rios, J.C.; Ross, A.M. Prevalence of cardiac abnormalities in human immunodeficiency virus infection. Am. J. Cardiol. 1989, 63, 86–89. [Google Scholar] [CrossRef]
- Himelman, R.B.; Chung, W.S.; Chernoff, D.N.; Schiller, N.B.; Hollander, H. Cardiac manifestations of human immunodeficiency virus infection: A two-dimensional echocardiographic study. J. Am. Coll. Cardiol. 1989, 13, 1030–1036. [Google Scholar] [CrossRef]
- Lumsden, R.H.; Bloomfield, G.S. The Causes of HIV-Associated Cardiomyopathy: A Tale of Two Worlds. BioMed Res. Int. 2016, 2016, 1–9. [Google Scholar] [CrossRef]
- Currie, P.F.; Jacob, A.J.; Foreman, A.R.; Elton, R.A.; Brettle, R.P.; Boon, N.A. Heart muscle disease related to HIV infection: Prognostic implications. BMJ 1994, 309, 1605–1607. [Google Scholar] [CrossRef]
- D’Amati, G.; di Gioia, C.R.; Gallo, P. Pathological findings of HIV-associated cardiovascular disease. Ann. N. Y. Acad. Sci. 2001, 946, 23–45. [Google Scholar] [CrossRef] [PubMed]
- Sliwa, K.; Carrington, M.J.; Becker, A.; Thienemann, F.; Ntsekhe, M.; Stewart, S. Contribution of the human immunodeficiency virus/acquired immunodeficiency syndrome epidemic to de novo presentations of heart disease in the Heart of Soweto Study cohort. Eur. Heart J. 2012, 33, 866–874. [Google Scholar] [CrossRef]
- Simon, M.A.; Lacomis, C.D.; George, M.P.; Kessinger, C.; Weinman, R.; McMahon, D.; Gladwin, M.T.; Champion, H.C.; Morris, A. Isolated Right Ventricular Dysfunction in Patients with Human Immunodeficiency Virus Short Title: Right Ventricular Dysfunction in HIV. J. Card. Fail. 2014, 20, 414–421. [Google Scholar] [CrossRef] [PubMed]
- Hecht, S.R.; Berger, M.; Van Tosh, A.; Croxson, S. Unsuspected cardiac abnormalities in the acquired immune deficiency syndrome. Echocardiogr. Study Chest 1989, 96, 805–808. [Google Scholar] [CrossRef] [PubMed]
- Akhras, F.; Dubrey, S.; Gazzard, B.; Noble, M.I. Emerging patterns of heart disease in HIV infected homosexual subjects with and without opportunistic infections; a prospective colour flow doppler echocardiographic study. Eur. Heart J. 1994, 15, 68–75. [Google Scholar] [CrossRef] [PubMed]
- Madhyastha, P.S.; Reddy, C.; Shetty, G.; Shastry, B.; Doddamani, A. A study of pericardial effusion in HIV positive patients and its correlation with the CD4 count. Gulhane Med. J. 2021, 63, 20–24. [Google Scholar] [CrossRef]
- Ntsekhe, M.; Mayosi, B.M. Tuberculous pericarditis with and without HIV. Heart Fail. Rev. 2013, 18, 367–373. [Google Scholar] [CrossRef] [PubMed]
- Reuter, H.; Burgess, L.J.; Doubell, A.F. Epidemiology of pericardial effusions at a large academic hospital in South Africa. Epidemiol. Infect. 2005, 133, 393–399. [Google Scholar] [CrossRef] [PubMed]
- Gowda, R.M.; Khan, I.A.; Mehta, N.J.; Gowda, M.R.; Sacchi, T.J.; Vasavada, B.C. Cardiac tamponade in patients with human immunodeficiency virus disease. Angiology 2003, 54, 469–474. [Google Scholar] [CrossRef] [PubMed]
- Boulanger, E.; Gérard, L.; Gabarre, J.; Molina, J.-M.; Rapp, C.; Abino, J.-F.; Cadranel, J.; Chevret, S.; Oksenhendler, E. Prognostic Factors and Outcome of Human Herpesvirus 8–Associated Primary Effusion Lymphoma in Patients with AIDS. J. Clin. Oncol. 2005, 23, 4372–4380. [Google Scholar] [CrossRef]
- Wilkes, J.D.; Fidias, P.; Vaickus, L.; Perez, R.P. Malignancy related pericardial effusion. 127 cases from the Roswell Park Cancer Institute. Cancer 1995, 76, 1377–1387. [Google Scholar] [CrossRef] [PubMed]
- Yared, K.; Baggish, A.L.; Picard, M.H.; Hoffmann, U.; Hung, J. Multimodality imaging of pericardial diseases. JACC Cardiovasc. Imaging 2010, 3, 650–660. [Google Scholar] [CrossRef] [PubMed]
- Paisible, A.-L.; Chang, C.-C.H.; So-Armah, K.A.; Butt, A.A.; Leaf, D.A.; Budoff, M.; Rimland, D.; Bedimo, R.; Goetz, M.B.; Rodriguez-Barradas, M.C.; et al. HIV Infection, Cardiovascular Disease Risk Factor Profile, and Risk for Acute Myocardial Infarction. JAIDS J. Acquir. Immune Defic. Syndr. 2015, 68, 209–216. [Google Scholar] [CrossRef] [PubMed]
- Krishnaswamy, G.; Chi, D.S.; Kelley, J.L.; Sarubbi, F.; Smith, J.K.; Peiris, A. The cardiovascular and metabolic complications of HIV infection. Cardiol. Rev. 2000, 8, 260–268. [Google Scholar] [CrossRef] [PubMed]
- Ssinabulya, I.; Kayima, J.; Longenecker, C.; Luwedde, M.; Semitala, F.; Kambugu, A.; Ameda, F.; Bugeza, S.; McComsey, G.; Freers, J.; et al. Subclinical Atherosclerosis among HIV-Infected Adults Attending HIV/AIDS Care at Two Large Ambulatory HIV Clinics in Uganda. PLoS ONE 2014, 9, e89537. [Google Scholar] [CrossRef]
- Bavinger, C.; Bendavid, E.; Niehaus, K.; Olshen, R.A.; Olkin, I.; Sundaram, V.; Wein, N.; Holodniy, M.; Hou, N.; Owens, D.K.; et al. Risk of Cardiovascular Disease from Antiretroviral Therapy for HIV: A Systematic Review. PLoS ONE 2013, 8, e59551. [Google Scholar] [CrossRef] [PubMed]
- Patel, A.A.; Budoff, M.J. Coronary artery disease in patients with HIV infection. Am. J. Cardiovasc. Drugs 2015, 15, 81–87. [Google Scholar] [CrossRef]
- Feinstein, M.J.; Lloyd-Jones, D.M. Macrophage Inflammation and Cardiovascular Disease in HIV: Mechanistic Insights and Future Directions. J. Infect. Dis. 2017, 215, 1343–1345. [Google Scholar] [CrossRef]
- Hecht, H.S. Coronary artery calcium scanning: Past, present, and future. JACC Cardiovasc. Imaging 2015, 8, 579–596. [Google Scholar] [CrossRef]
- Raggi, P.; Zona, S.; Scaglioni, R.; Stentarelli, C.; Ligabue, G.; Besutti, G.; Menozzi, M.; Santoro, A.; Malagoli, A.; Bellasi, A.; et al. Epicardial Adipose Tissue and Coronary Artery Calcium Predict Incident Myocardial Infarction and Death in HIV-Infected Patients. J. Cardiovasc. Comput. Tomogr. 2015, 9, 553–558. [Google Scholar] [CrossRef]
- Choi, E.-K.; Choi, S.I.; Rivera, J.J.; Nasir, K.; Chang, S.-A.; Chun, E.J.; Kim, H.-K.; Choi, D.-J.; Blumenthal, R.S.; Chang, H.-J. Coronary Computed Tomography Angiography as a Screening Tool for the Detection of Occult Coronary Artery Disease in Asymptomatic Individuals. J. Am. Coll. Cardiol. 2008, 52, 357–365. [Google Scholar] [CrossRef] [PubMed]
- Motoyama, S.; Sarai, M.; Harigaya, H.; Anno, H.; Inoue, K.; Hara, T.; Naruse, H.; Ishii, J.; Hishida, H.; Wong, N.D.; et al. Computed Tomographic Angiography Characteristics of Atherosclerotic Plaques Subsequently Resulting in Acute Coronary Syndrome. J. Am. Coll. Cardiol. 2009, 54, 49–57. [Google Scholar] [CrossRef] [PubMed]
- Zanni, M.V.; Abbara, S.; Lo, J.; Wai, B.; Hark, D.; Marmarelis, E.; Grinspoon, S.K. Increased Coronary Atherosclerotic Plaque Vulnerability by Coronary Computed Tomography Angiography in HIV-Infected Men. AIDS 2013, 27, 1263–1272. [Google Scholar] [CrossRef]
- Hoffmann, U.; Lu, M.T.; Foldyna, B.; Zanni, M.V.; Karady, J.; Taron, J.; Zhai, B.K.; Burdo, T.; Fitch, K.V.; Kileel, E.M.; et al. Assessment of Coronary Artery Disease with Computed Tomography Angiography and Inflammatory and Immune Activation Biomarkers among Adults with HIV Eligible for Primary Cardiovascular Prevention. JAMA Netw. Open 2021, 4, e2114923. [Google Scholar] [CrossRef]
- Mikhail, I.J.; Purdy, J.B.; Dimock, D.S.; Thomas, V.M.; Muldoon, N.A.; Clauss, S.B.; Cross, R.R.; Pettigrew, R.I.; Hazra, R.; Hadigan, C.; et al. High Rate of Coronary Artery Abnormalities in Adolescents and Young Adults Infected with Human Immunodeficiency Virus Early in Life. Pediatr. Infect. Dis. J. 2011, 30, 710–712. [Google Scholar] [CrossRef] [PubMed]
- Patel, A.R.; Salerno, M.; Kwong, R.Y.; Singh, A.; Heydari, B.; Kramer, C.M. Stress cardiac magnetic resonance myocardial perfusion imaging: JACC review topic of the week. J. Am. Coll. Cardiol. 2021, 78, 1655–1668. [Google Scholar] [CrossRef] [PubMed]
- Rethy, L.; Feinstein, M.J.; Sinha, A.; Achenbach, C.; Shah, S.J. Coronary microvascular dysfunction in HIV: A review. J. Am. Heart Assoc. 2020, 9, e014018. [Google Scholar] [CrossRef] [PubMed]
- Tonet, E.; Pompei, G.; Faragasso, E.; Cossu, A.; Pavasini, R.; Passarini, G.; Tebaldi, M.; Campo, G. Coronary Microvascular Dysfunction: PET, CMR and CT Assessment. J. Clin. Med. 2021, 10, 1848. [Google Scholar] [CrossRef] [PubMed]
- Opravil, M.; Sereni, D. Natural history of HIV-associated pulmonary arterial hypertension: Trends in the HAART era. AIDS 2008, 22, S35–S40. [Google Scholar] [CrossRef] [PubMed]
- Butrous, G. Human immunodeficiency virus-associated pulmonary arterial hypertension. Circulation 2015, 131, 1361–1370. [Google Scholar] [CrossRef] [PubMed]
- Mesa, R.A.; Edell, E.S.; Dunn, W.F.; Edwards, W.D. Human immunodeficiency virus infection and pulmonary hypertension: Two new cases and a review of 86 reported cases. Mayo Clin. Proc. 1998, 73, 37–45. [Google Scholar] [CrossRef] [PubMed]
- Mehta, N.J.; Khan, I.A.; Mehta, R.N.; Sepkowitz, D.A. HIV-related pulmonary hypertension: Analytic review of 131 cases. Chest 2000, 118, 1133–1141. [Google Scholar] [CrossRef]
- Bugnone, A.N.; Viamonte, M., Jr.; Garcia, H. Imaging findings in human immunodeficiency virus-related pulmonary hypertension: Report of five cases and review of the literature. Radiology 2002, 223, 820–827. [Google Scholar] [CrossRef] [PubMed]
- Grosse, C.; Grosse, A. CT findings in diseases associated with pulmonary hypertension: A current review. RadioGraphics 2010, 30, 1753–1777. [Google Scholar] [CrossRef] [PubMed]
- Alunni, J.-P.; Degano, B.; Arnaud, C.; Tétu, L.; Blot-Soulétie, N.; Didier, A.; Otal, P.; Rousseau, H.; Chabbert, V. Cardiac MRI in Pulmonary Artery Hypertension: Correlations between Morphological and Functional Parameters and Invasive Measurements. Eur. Radiol. 2010, 20, 1149–1159. [Google Scholar] [CrossRef] [PubMed]
- Galiè, N.; Humbert, M.; Vachiery, J.-L.; Gibbs, S.; Lang, I.; Torbicki, A.; Simonneau, G.; Peacock, A.; Vonk Noordegraaf, A.; Beghetti, M.; et al. 2015 ESC/ERS Guidelines for the Diagnosis and Treatment of Pulmonary Hypertension: The Joint Task Force for the Diagnosis and Treatment of Pulmonary Hypertension of the European Society of Cardiology (ESC) and the European Respiratory Society (ERS): Endorsed By: Association for European Paediatric and Congenital Cardiology (AEPC), International Society for Heart and Lung Transplantation (ISHLT). Eur. Heart J. 2016, 37, 67–119. [Google Scholar] [PubMed]
- Weatherald, J.; Boucly, A.; Chemla, D.; Savale, L.; Peng, M.; Jevnikar, M.; Jaïs, X.; Taniguchi, Y.; O’Connell, C.; Parent, F.; et al. Prognostic Value of Follow-up Hemodynamic Variables after Initial Management in Pulmonary Arterial Hypertension. Circulation 2018, 137, 693–704. [Google Scholar] [CrossRef] [PubMed]
- Mbulaiteye, S.M.; Parkin, D.M.; Rabkin, C.S. Epidemiology of AIDS-related malignancies: An international perspective. Hematol. Oncol. Clin. N. Am. 2003, 17, 673–696. [Google Scholar] [CrossRef]
- O’Connor, P.G.; Scadden, D.T. AIDS oncology. Infect. Dis. Clin. N. Am. 2000, 14, 945–965. [Google Scholar] [CrossRef]
- Autran, B. AIDS in a Haitian woman with cardiac Kaposi’s sarcoma and Whipple’s disease. Lancet 1983, 321, 767–768. [Google Scholar] [CrossRef]
- Silver, M.A.; Macher, A.M.; Reichert, C.M.; Levens, D.L.; Parrillo, J.E.; Longo, D.L.; Roberts, W.C. Cardiac Involvement by Kaposi’s Sarcoma in Acquired Immune Deficiency Syndrome (AIDS). Am. J. Cardiol. 1984, 53, 983–985. [Google Scholar] [CrossRef]
- Lewis, W. AIDS: Cardiac findings from 115 autopsies. Prog. Cardiovasc. Dis. 1989, 32, 207–215. [Google Scholar] [CrossRef]
- Chyu, K.Y.; Birnbaum, Y.; Naqvi, T.; Fishbeim, M.C.; Seigal, R.J. Echocardiographic detection of Kaposi’s sarcoma causing cardiac tamponade in a patient with acquired immunodeficiency syndrome. Clin. Cardiol. 1998, 21, 131–133. [Google Scholar] [CrossRef] [PubMed]
- Steigman, C.K.; Anderson, D.W.; Maher, A.M.; Sennesh, J.D.; Virmani, R. Fatal cardiac tamponade in AIDS with epicardial Kaposi’s sarcoma. Am. Heart J. 1989, 116, 1105–1107. [Google Scholar] [CrossRef] [PubMed]
- Vijay, V.; Aloor, R.K.; Yalla, S.M.R.; Bebawi, M.; Kashan, F. Pericardial Tamponade from Kaposi’s Sarcoma: Role of Early Pericardial Window. Am. Heart J. 1996, 132, 897–899. [Google Scholar] [CrossRef]
- Holladay, A.O.; Siegel, R.J.; Schwartz, D.A. Cardiac malignant lymphoma in acquired immune deficiency syndrome. Cancer 1992, 70, 2203–2207. [Google Scholar] [CrossRef]
- Goldfarb, A.; King, C.L.; Rosenzweig, B.P.; Feit, F.; Kamat, B.R.; Rumancik, W.M.; Kronzon, I. Cardiac Lymphoma in the Acquired Immunodeficiency Syndrome. Am. Heart J. 1989, 118, 1340–1344. [Google Scholar] [CrossRef] [PubMed]
- Constantino, A.; West, T.E.; Gupta, M.; Loghmanee, F. Primary cardiac lymphoma in a patient with acquired immune deficiency syndrome. Cancer 1987, 60, 2801–2805. [Google Scholar] [CrossRef]
- Ciancarella, P.; Fusco, A.; Citraro, D.; Sperandio, M.; Floris, R. Multimodality imaging evaluation of a primary cardiac lymphoma. J. Saudi Heart Assoc. 2017, 29, 128–135. [Google Scholar] [CrossRef] [PubMed]
- Dorsay, T.A.; Ho, V.B.; Rovira, M.J.; Armstrong, M.A.; Brissette, M.D. Primary cardiac lymphoma: CT and MR findings. J. Comput. Assist. Tomogr. 1993, 17, 978–981. [Google Scholar] [CrossRef]
- Matsuo, S.; Sato, Y.; Miyamoto, A.; Nakae, I.; Saeki, M.; Hodohara, K.; Horie, M. Primary Malignant Lymphoma of the Right Atrium Resulting in Superior Vena Caval Syndrome in an HIV-Positive Patient: Depiction at Multislice Computed Tomography and Magnetic Resonance Imaging. Cardiovasc. Revasc. Med. 2006, 7, 255–257. [Google Scholar] [CrossRef]
- Llitjos, J.F.; Redheuil, A.; Puymirat, E.; Vedrenne, G.; Danchin, N. AIDS-related primary cardiac lymphoma with right-sided heart failure and high-grade AV block: Insights from magnetic resonance imaging. Ann. Cardiol. Angeiol. 2014, 63, 99–101. [Google Scholar] [CrossRef]
- Brasselet, C.; Maes, D.; Tassan, S.; Beguinot, I.; Jamet, B.; Nazeyrollas, P.; Metz, D.; Elaerts, J. Extensive mycotic coronary aneurysm detected by echocardiography: Apropos of a case. Arch. Mal. Coeur. Vaiss. 1999, 92, 1229–1233. (In French) [Google Scholar] [PubMed]
- Gouny, P.; Valverde, A.; Vincent, D.; Fadel, E.; Lenot, B.; Tricot, J.F.; Rozenbaum, W.; Nussaume, O. Human immunodeficiency virus and infected aneurysm of the abdominal aorta: Report of three cases. Ann. Vasc. Surg. 1992, 6, 239–243. [Google Scholar] [CrossRef] [PubMed]
- Sellami, D.; Lucidarme, O.; Lebleu, L.; Grenier, P. Infected aneurysm of abdominal aorta: Early CT finding. J. Radiol. 2000, 81, 899–901. (In French) [Google Scholar]
- Chetty, R.; Batitang, S.; Nair, R. Large artery vasculopathy in HIV-positive patients: Another vasculitic enigma. Hum. Pathol. 2000, 31, 374–379. [Google Scholar] [CrossRef] [PubMed]
- Marks, C.; Kuskov, S. Pattern of arterial aneurysms in acquired immunodeficiency disease. World J. Surg. 1995, 19, 127–132. [Google Scholar] [CrossRef] [PubMed]
- Johnson, R.M.; Little, J.R.; Storch, G.A. Kawasaki-like syndromes associated with human immunodeficiency virus infection. Clin. Infect. Dis. 2001, 32, 1628–1634. [Google Scholar] [CrossRef]
- Shingadia, D.; Das, L.; Klein-Gitelman, M.; Chadwick, E. Takayasu’s arteritis in a human immunodeficiency virus-infected adolescent. Clin. Infect. Dis. 1999, 29, 458–459. [Google Scholar] [CrossRef]
- Mulaudzi, T.V. HIV-associated vasculopathy. CME 2009, 27, 320–322. [Google Scholar]
- Corr, P.D. Imaging of cerebrovascular and cardiovascular disease in AIDS patients. Am. J. Roentgenol. 2006, 187, 236–241. [Google Scholar] [CrossRef]
- Hyafil, F.; Vigne, J. Nuclear imaging. Arterioscler. Thromb. Vasc. Biol. 2019, 39, 1369–1378. [Google Scholar] [CrossRef]
- Ankrah, A.O.; Glaudemans, A.W.J.M.; Klein, H.C.; Dierckx, R.A.J.O.; Sathekge, M. The Role of Nuclear Medicine in the Staging and Management of Human Immune Deficiency Virus Infection and Associated Diseases. Nucl. Med. Mol. Imaging 2016, 51, 127–139. [Google Scholar] [CrossRef] [PubMed]
- Guillamon Toran, L.; Romeu Fontanillas, J.; Forcada Sainz, J.M.; Curos Abadal, A.; Larrousse Perez, E.; Valle Tudela, V. Heart pathology of extracardiac origin. I. Cardiac involvement in AIDS. Rev. Esp. Cardiol. 1997, 50, 721–728. [Google Scholar] [PubMed]
- Nahass, R.G.; Weinstein, M.P.; Bartels, J.; Gocke, D.J. Infective endocarditis in intravenous drug users: A comparison of human immunodeficiency virus type 1-negative and -positive patients. J. Infect. Dis. 1990, 162, 967–970. [Google Scholar] [CrossRef] [PubMed]
- Erba, P.A.; Pizzi, M.N.; Roque, A.; Salaun, E.; Lancellotti, P.; Tornos, P.; Habib, G. Multimodality Imaging in Infective Endocarditis. Circulation 2019, 140, 1753–1765. [Google Scholar] [CrossRef]
- Valencia Ortega, M.E.; Guinea, J.; Enrique, A.; Ortega, G.; Moreno, V.; González Lahoz, J. Study of 42 cases of infective endocarditis in the HAART era in Spain. Clin. Microbiol. Infect. 2003, 9, 1073–1075. [Google Scholar] [CrossRef] [PubMed]
- Bosch, M.J.; Fácila, L.; Nuñez, J.; Consuegra, L.; Bertomeu-G, V.; Losada, A. A non-valvula infective endocarditis in an HIV patient with myocardiopathy. Int. J. Cardiol. 2006, 107, 115–116. [Google Scholar] [CrossRef] [PubMed]
- Bai, A.D.; Steinberg, M.; Showler, A.; Burry, L.; Bhatia, R.S.; Tomlinson, G.L.; Bell, C.M.; Morris, A.M. Diagnostic accuracy of transthoracic echocardiography for infective endocarditis findings using transesophageal echocardiography as the reference standard: A meta-analysis. J. Am. Soc. Echocardiogr. 2017, 30, 639–646.e8. [Google Scholar] [CrossRef] [PubMed]
- Sifaoui, I.; Oliver, L.; Tacher, V.; Fiore, A.; Lepeule, R.; Moussafeur, A.; Huguet, R.; Teiger, E.; Audureau, E.; Derbel, H.; et al. Diagnostic Performance of Transesophageal Echocardiography and Cardiac Computed Tomography in Infective Endocarditis. J. Am. Soc. Echocardiogr. 2020, 33, 1442–1453. [Google Scholar] [CrossRef]
- Huang, R.M.; Naidich, D.P.; Lubat, E.; Schinella, R.; Garay, S.M.; McCauley, D.I. Septic pulmonary emboli: CT-radiographic correlation. AJR Am. J. Roentgenol. 1989, 153, 41–45. [Google Scholar] [CrossRef] [PubMed]
- Kuhlman, J.E.; Fishman, E.K.; Teigen, C. Pulmonary septic emboli: Diagnosis with CT. Radiology 1990, 174, 211–213. [Google Scholar] [CrossRef] [PubMed]
- Kaul, S.; Fishbein, M.C.; Siegel, R.J. Cardiac manifestations of acquired immune deficiency syndrome: A 1991 update. Am. Heart J. 1991, 122, 535–544. [Google Scholar] [CrossRef] [PubMed]






| Cardiovascular Manifestation | Authors | Type of Study | Number of Patients | Imaging Modality | Imaging Findings |
|---|---|---|---|---|---|
| Myocarditis | Luetkens, J.A. et al. | Prospective cohort study | 28 patients and 22 control subjects | CMR | Compared with healthy controls, HIV-infected patients showed lower ejection fraction, lower global strain values, elevated native T1 and T2 values, and myocardial fibrosis, predominantly at the subepicardial of the midventricular and basal inferolateral wall. |
| Ntusi, N. et al. | Cross sectional observational study | 103 patients and 92 control subjects | CMR | Compared with controls, HIV-infected patients had lower LVEF, higher myocardial mass, lower peak diastolic strain rate, and higher native T1 values. Pericardial effusions and myocardial fibrosis were 3 and 4 times more common, respectively, in subjects with HIV infection. | |
| Robbertse et al. | Prospective study | 73 patients and 22 healthy controls | CMR | Compared with controls, a significant decrease in native T1 and ECV was seen after 9 months of HAART in HIV patients, which was significantly associated with a decrease in C-reactive protein, a decrease in HIV viral load, and an improvement in CH4 count. | |
| De Leuw et al. | Prospective observational study | 156 patients | CMR | Patients with higher ECV values have a higher rate of cardiovascular outcomes. | |
| Ca rdiomyopathy | Sliwa, K. et al. | Prospective, registry study | 518 HIV infected patients | CMR | The most common primary diagnosis attributable to HIV/AIDS was HIV-related cardiomyopathy (38%), followed by pericarditis/pericardial effusion (25%), HIV-related pulmonary hypertension (8.1%), and coronary artery diseases (2.4%). |
| Simon et al. | Prospective multicentre study | 104 HIV infected patients | TTE | Pulmonary hypertension (PAP>35 mm Hg) was seen in 15% patients, but RV dysfunction (RV fractional area change FAC < 35%) occurred in 11%. The study highlighted that RV dysfunction in HIV-infected individuals may be a separate entity from LV/global cardiomyopathy or pulmonary hypertension. | |
| de Leuw, P. et al. | Prospective observational longitudinal study | 156 HIV infected patients | CMR | Patients with higher native T1, native T2, and LV mass indexes have higher events. In multivariable analyses, native T1 was independently predictive of adverse events. Traditional cardiovascular risk scores were not predictive of adverse events. | |
| Pericardial diseases | Himelman, R.B. et al. | Prospective observational study | 70 HIV infected patients | TTE | Pericardial effusion seen in 10% patients. |
| Akhras, F. et al. | Prospective observational study | 124 patients (101 with AIDS and 23 without opportunistic infection) | TTE | Pericardial effusion was more common in patients with AIDS (44%) as compared to HIV infected patients without opportunistic infections (9%). | |
| Coronary artery disease | Raggi, P. et al. | Prospective observational study | 843 patients | CT | In a median follow-up of 2.8 years, it was seen that a CAC score of 100 was associated with 3.3-times higher odds of myocardial infarction, independent of gender and age. |
| Zanni, M.V. et al. | Cross sectional study | 101 patients and 41 controls | CTA | The study showed an increased prevalence of low-attenuation coronary plaque in HIV-positive men compared to age-matched HIV-negative healthy controls. | |
| Hoffmann, U. et al. | Cohort study | 755 HIV infected patients | CTA | Atherosclerotic plaque was seen in 49% patients. Luminal obstruction of at least 50% was rare (3%), but vulnerable plaque were more frequently observed (23%). Overall, 35% of patients demonstrated coronary artery calcium score scores greater than 0. IL-6. LpPLA2, oxLDL, and MCP-1 levels were higher in those with plaque compared to those without. | |
| Irene, J. et al. | Cross sectional study | 27 HIV infected patients | MR angiography | More than half of the subjects showed CAD with luminal narrowing detected on MR angiography. There was no association between CAD and previous cardiac conditions (viral pericarditis and zidovudine related cardiomyopathy). | |
| Pulmonary hypertension | Mehta et al. | Analytic review | 131 HIV infected patients | TTE | The most common imaging finding was right heart chamber enlargement (98%), followed by tricuspid regurgitation (64%), and paradoxical septal motion (40%). |
| Cardiac Lymphoma | Goldfarb et al. | Case report | 1 | TTE, CT and CMR | CMR showed extensively filtrating mass lesion compressing the atria and main pulmonary artery and extending into the atrioventricular grooves and ventricular walls. There was contiguous involvement of the adjacent subcarinal mediastinum and superior vena cava as well. |
| Shinro et al. | Case report | 1 | TTE, CT and CMR | CMR showed large well-demarcated mass in the right atrium extending to the superior vena cava. The mass showed poor enhancement with an iso-intense appearance to the myocardium on MRI. | |
| Llitjos et al. | Case report | 1 | CMR | CMR showed an infiltrating mass involving the right ventricular free and inferior walls and the interventricular septum. The lesion was seen encasing the entire right coronary artery. | |
| Vasculitis | Gouny et al. | Case series | 3 | CTA | First case: a saccular aneurysm of the aorta whose neck was situated 3 cm proximal to the renal arteries and associated with a left lateral aortic hematoma; Second case: a fusiform aneurysm with a retroaortic extravasation suggesting chronic rupture and thickening of the anterior aspect of the aneurysmal wall; Third case: a fusiform aneurysm of the aorta extending to the common iliac arteries with its neck located 3 cm distal from the renal arteries. |
| Sellami et al. | Case report | 1 | CTA | Early CT finding consisted of a slight-enhancing periaortic soft-tissue, while the aorta remained of normal size. Within two weeks, infection progressed to an infected aneurysm. | |
| Endocarditis | Valencia et al. | Retrospective study | 42 | TTE | The tricuspid valve was the most commonly affected valve (83%), followed by the mitral valve (9.7%), the aortic valve (2.4%), and the pulmonary valve (7.3%). |
| Bosch et al. | 1 | 1 | TTTE | TTE showed vegetation in the medial and apical portions of the septum with normal mitral or aortic valves. |
Disclaimer/Publisher’s Note: The statements, opinions and data contained in all publications are solely those of the individual author(s) and contributor(s) and not of MDPI and/or the editor(s). MDPI and/or the editor(s) disclaim responsibility for any injury to people or property resulting from any ideas, methods, instructions or products referred to in the content. |
© 2023 by the authors. Licensee MDPI, Basel, Switzerland. This article is an open access article distributed under the terms and conditions of the Creative Commons Attribution (CC BY) license (https://creativecommons.org/licenses/by/4.0/).
Share and Cite
Kumar, P.; Arendt, C.; Martin, S.; Al Soufi, S.; DeLeuw, P.; Nagel, E.; Puntmann, V.O. Multimodality Imaging in HIV-Associated Cardiovascular Complications: A Comprehensive Review. Int. J. Environ. Res. Public Health 2023, 20, 2201. https://doi.org/10.3390/ijerph20032201
Kumar P, Arendt C, Martin S, Al Soufi S, DeLeuw P, Nagel E, Puntmann VO. Multimodality Imaging in HIV-Associated Cardiovascular Complications: A Comprehensive Review. International Journal of Environmental Research and Public Health. 2023; 20(3):2201. https://doi.org/10.3390/ijerph20032201
Chicago/Turabian StyleKumar, Parveen, Christophe Arendt, Simon Martin, Safaa Al Soufi, Philipp DeLeuw, Eike Nagel, and Valentina O. Puntmann. 2023. "Multimodality Imaging in HIV-Associated Cardiovascular Complications: A Comprehensive Review" International Journal of Environmental Research and Public Health 20, no. 3: 2201. https://doi.org/10.3390/ijerph20032201
APA StyleKumar, P., Arendt, C., Martin, S., Al Soufi, S., DeLeuw, P., Nagel, E., & Puntmann, V. O. (2023). Multimodality Imaging in HIV-Associated Cardiovascular Complications: A Comprehensive Review. International Journal of Environmental Research and Public Health, 20(3), 2201. https://doi.org/10.3390/ijerph20032201

