Effects of Cadmium Exposure on Leydig Cells and Blood Vessels in Mouse Testis
Abstract
1. Introduction
2. Material and Methods
2.1. Animals and Tissue Collection
2.2. Immunohistochemistry
2.3. Western Blot
2.4. Transmission Electron Microscopy (TEM)
2.5. Enzyme Histochemistry for 3beta-Hydroxysteroid Dehydrogenase (3beta-HSD)
2.6. Statistical Analysis
3. Results
3.1. Ultrastructural Changes
3.2. Enzymic Activity of 3β-HSD
3.3. αSMA Immunostaining and Protein Level
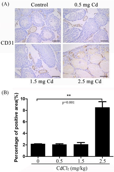
3.4. CD31 Immunostaining
3.5. Caveolin-1 Immunostaining
3.6. NG2 Immunostaining
4. Discussion
5. Conclusions
Author Contributions
Funding
Institutional Review Board Statement
Informed Consent Statement
Data Availability Statement
Conflicts of Interest
References
- Massányi, P.; Massanyi, M.; Madeddu, R.; Stawarz, R.; Lukac, N. Effects of cadmium, lead, and mercury on the structure and function of reproductive organs. Toxics 2020, 8, 94. [Google Scholar] [CrossRef]
- Carson, S.A.; Kallen, A.N. Diagnosis, and management of infertility: A review. JAMA 2021, 326, 65–76. [Google Scholar] [CrossRef]
- da Silva, J.; Gonçalves, R.V.; de Melo, F.C.S.A.; Sarandy, M.M.; da Matta, S.L.P. Cadmium exposure and testis susceptibility: A systematic review in murine models. Biol. Trace Elem. Res. 2021, 199, 2663–2676. [Google Scholar] [CrossRef] [PubMed]
- Kilchevsky, A.; Honig, S. Male factor infertility in 2011: Semen quality, sperm selection and hematospermia. Nat. Rev. Urol. 2012, 9, 68–70. [Google Scholar] [CrossRef] [PubMed]
- Yang, C.; Li, P.; Li, Z. Clinical application of aromatase inhibitors to treat male infertility. Hum. Reprod. Update 2021, 28, 30–50. [Google Scholar] [CrossRef]
- Pizzol, D.; Foresta, C.; Garolla, A.; Demurtas, J.; Trott, M.; Bertoldo, A.; Smith, L. Pollutants and sperm quality: A systematic review and meta-analysis. Environ. Sci. Pollut. Res. Int. 2021, 28, 4095–4103. [Google Scholar] [CrossRef] [PubMed]
- Calogero, A.E.; Fiore, M.; Giacone, F.; Altomare, M.; Asero, P.; Ledda, C.; Romeo, G.; Mongioì, L.M.; Copat, C.; Giuffrida, M.; et al. Exposure to multiple metals/metalloids and human semen quality: A cross-sectional study. Ecotoxicol. Environ. Saf. 2021, 215, 112165. [Google Scholar] [CrossRef]
- Zhu, Q.; Li, X.; Ge, R.S. Toxicological effects of cadmium on mammalian testis. Front. Genet. 2020, 11, 527. [Google Scholar] [CrossRef]
- Siu, E.R.; Mruk, D.D.; Porto, C.S.; Cheng, C.Y. Cadmium-induced testicular injury. Toxicol. Appl. Pharm. 2009, 238, 240–449. [Google Scholar] [CrossRef]
- Branca, J.J.V.; Pacini, A.; Gulisano, M.; Taddei, N.; Fiorillo, C.; Becatti, M. Cadmium-induced cytotoxicity: Effects on mitochondrial electron transport chain. Front. Cell Dev. Biol. 2020, 8, 604377. [Google Scholar] [CrossRef]
- Cui, Z.G.; Ahmed, K.; Zaidi, S.F.; Muhammad, J.S. Ins and outs of cadmium-induced carcinogenesis: Mechanism and prevention. Cancer Treat. Res. Commun. 2021, 27, 100372. [Google Scholar] [CrossRef] [PubMed]
- Bhardwaj, J.K.; Panchal, H.; Saraf, P. Cadmium as a testicular toxicant: A review. J. Appl. Toxicol. 2021, 41, 105–117. [Google Scholar] [CrossRef]
- Akingbemi, B.T. Estrogen regulation of testicular function. Reprod. Biol. Endocrinol. 2005, 3, 51. [Google Scholar] [CrossRef] [PubMed]
- Saunders, P.T.; Maguire, S.M.; Macpherson, S.; Fenelon, M.C.; Sakakibara, S.; Okano, H. RNA binding protein Musashi1 is expressed in sertoli cells in the rat testis from fetal life to adulthood. Biol. Reprod. 2002, 66, 500–507. [Google Scholar] [CrossRef] [PubMed]
- Heinrich, A.; DeFalco, T. Essential roles of interstitial cells in testicular development and function. Andrology 2020, 8, 903–914. [Google Scholar] [CrossRef] [PubMed]
- Venditti, M.; Ben Rhouma, M.; Romano, M.Z.; Messaoudi, I.; Reiter, R.J.; Minucci, S. Evidence of melatonin ameliorative effects on the blood-testis barrier and sperm quality alterations induced by cadmium in the rat testis. Ecotoxicol. Environ. Saf. 2021, 226, 112878. [Google Scholar] [CrossRef] [PubMed]
- Lukkhananan, P.; Thawonrachat, N.; Srihirun, S.; Swaddiwudhipong, W.; Chaturapanich, G.; Vivithanaporn, P.; Unchern, S.; Visoottiviseth, P.; Sibmooh, N. Endothelial dysfunction in subjects with chronic cadmium exposure. J. Toxicol. Sci. 2015, 40, 605–613. [Google Scholar] [CrossRef][Green Version]
- Pinheiro Júnior, J.E.G.; Moraes, P.Z.; Rodriguez, M.D.; Simoes, M.R.; Cibin, F.; Pinton, S.; Barbosa Junior, F.; Peçanha, F.M.; Vassallo, D.V.; Miguel, M.; et al. Cadmium exposure activates NADPH oxidase, renin-angiotensin system and cyclooxygenase 2 pathways in arteries, inducing hypertension and vascular damage. Toxicol. Lett. 2020, 333, 80–89. [Google Scholar] [CrossRef]
- Takahashi, S.; Yamamoto, C.; Kaji, T. Expression of ZIP8 in vascular endothelial cells after exposure to cadmium. Yakugaku Zasshi 2014, 134, 805–807. [Google Scholar] [CrossRef][Green Version]
- Mouro, V.G.S.; Siman, V.A.; da Silva, J.; Dias, F.C.R.; Damasceno, E.M.; Cupertino, M.D.C.; de Melo, F.C.S.A.; da Matta, S.L.P. Cadmium-induced testicular toxicity in mice: Subacute and subchronic route-dependent effects. Biol. Trace Elem. Res. 2020, 193, 466–482. [Google Scholar] [CrossRef]
- Nolan, C.V.; Shaikh, Z.A. The vascular endothelium as a target tissue in acute cadmium toxicity. Life Sci. 1986, 39, 1403–1409. [Google Scholar] [CrossRef]
- Mouro, V.G.S.; Martins, A.L.P.; Silva, J.; Menezes, T.P.; Gomes, M.L.M.; Oliveira, J.A.; Melo, F.C.S.A.; Matta, S.L.P. Subacute testicular toxicity to cadmium exposure intraperitoneally and orally. Oxid. Med. Cell Longev. 2019, 2019, 3429635. [Google Scholar] [CrossRef]
- Wang, X.; Wang, M.; Zeng, L.; Su, P. Hypomethylation of LINE-1 retrotransposons is associated with cadmium-induced testicular injury. Environ. Sci. Pollut. Res. Int. 2020, 27, 40749–40756. [Google Scholar] [CrossRef]
- Yang, S.H.; He, J.B.; Yu, L.H.; Li, L.; Long, M.; Liu, M.D.; Li, P. Protective role of curcumin in cadmium-induced testicular injury in mice by attenuating oxidative stress via Nrf2/ARE pathway. Environ. Sci. Pollut. Res. Int. 2019, 26, 34575–34583. [Google Scholar] [CrossRef] [PubMed]
- Hu, W.; Liang, Y.X.; Luo, J.M.; Gu, X.W.; Chen, Z.C.; Fu, T.; Zhu, Y.Y.; Lin, S.; Diao, H.L.; Jia, B.; et al. Nucleolar stress regulation of endometrial receptivity in mouse models and human cell lines. Cell Death Dis. 2019, 10, 831. [Google Scholar] [CrossRef]
- Gu, X.W.; Chen, Z.C.; Yang, Z.S.; Yang, Y.; Yan, Y.P.; Liu, Y.F.; Pan, J.M.; Su, R.W.; Yang, Z.M. Blastocyst-induced ATP release from luminal epithelial cells initiates decidualization through the P2Y2 receptor in mice. Sci. Signal. 2020, 13, eaba3396. [Google Scholar] [CrossRef] [PubMed]
- Liu, Y.; Liang, Y.; Wang, S.; Tarique, I.; Vistro, W.A.; Zhang, H.; Haseeb, A.; Gandahi, N.S.; Iqbal, A.; An, T.; et al. Identification and characterization of telocytes in rat testis. Aging 2019, 11, 5757–5768. [Google Scholar] [CrossRef] [PubMed]
- Nóbrega, R.H.; Quagio-Grassiotto, I. Morphofunctional changes in Leydig cells throughout the continuous spermatogenesis of the freshwater teleost fish, Serrasalmus spilopleura (Characiformes, Characidae): An ultrastructural and enzyme study. Cell Tissue Res. 2007, 329, 339–349. [Google Scholar] [CrossRef]
- Davidoff, M.S.; Middendorff, R.; Enikolopov, G.; Riethmacher, D.; Holstein, A.F.; Müller, D. Progenitor cells of the testosterone-producing Leydig cells revealed. J. Cell Biol. 2004, 167, 935–944. [Google Scholar] [CrossRef]
- Ozerdem, U.; Grako, K.A.; Dahlin-Huppe, K.; Monosov, E.; Stallcup, W.B. NG2 proteoglycan is expressed exclusively by mural cells during vascular morphogenesis. Dev. Dyn. 2001, 222, 218–227. [Google Scholar] [CrossRef]
- Bourassa, P.; Tremblay, C.; Schneider, J.A.; Bennett, D.A.; Calon, F. Brain mural cell loss in the parietal cortex in Alzheimer’s disease correlates with cognitive decline and TDP-43 pathology. Neuropathol. Appl. Neurobiol. 2020, 46, 458–477. [Google Scholar] [CrossRef] [PubMed]
- Zhai, Y.; Schilling, K.; Wang, T.; El Khatib, M.; Vinogradov, S.; Brown, E.B.; Zhang, X. Spatiotemporal blood vessel specification at the osteogenesis and angiogenesis interface of biomimetic nanofiber-enabled bone tissue engineering. Biomaterials 2021, 276, 21041. [Google Scholar] [CrossRef] [PubMed]
- Zhang, Z.B.; Cai, L.; Zheng, S.G.; Xiong, Y.; Dong, J.H. Overexpression of caveolin-1 in hepatocellular carcinoma with metastasis and worse prognosis: Correlation with vascular endothelial growth factor, microvessel density and unpaired artery. Pathol. Oncol. Res. 2009, 15, 495–502. [Google Scholar] [CrossRef] [PubMed]
- Gu, X.; Fliesler, S.J.; Zhao, Y.Y.; Stallcup, W.B.; Cohen, A.W.; Elliott, M.H. Loss of caveolin-1 causes blood-retinal barrier breakdown, venous enlargement, and mural cell alteration. Am. J. Pathol. 2014, 184, 541–555. [Google Scholar] [CrossRef] [PubMed]
- Mai-Morente, S.P.; Marset, V.M.; Blanco, F.; Isasi, E.E.; Abudara, V. A nuclear fluorescent dye identifies pericytes at the neurovascular unit. J. Neurochem. 2021, 157, 1377–1391. [Google Scholar] [CrossRef]
- Iqbal, T.; Cao, M.; Zhao, Z.; Zhao, Y.; Chen, L.; Chen, T.; Li, C.; Zhou, X. Damage to the testicular structure of rats by acute oral exposure of cadmium. Int. J. Environ. Res. Public Health 2021, 18, 6038. [Google Scholar] [CrossRef]
- Rebourcet, D.; Wu, J.; Cruickshanks, L.; Smith, S.E.; Milne, L.; Fernando, A.; Wallace, R.J.; Gray, C.D.; Hadoke, P.W.; Mitchell, R.T.; et al. Sertoli cells modulate testicular vascular network development, structure, and function to influence circulating testosterone concentrations in adult male mice. Endocrinology 2016, 157, 2479–2488. [Google Scholar] [CrossRef]
- Kim, S.J.; Kim, S.A.; Choi, Y.A.; Park, D.Y.; Lee, J. Alpha-smooth muscle actin-positive perivascular cells in diabetic retina and choroid. Int. J. Mol. Sci. 2020, 21, 2158. [Google Scholar] [CrossRef]
- Prozialeck, W.C.; Edwards, J.R.; Nebert, D.W.; Woods, J.M.; Barchowsky, A.; Atchison, W.D. The vascular system as a target of metal toxicity. Toxicol. Sci. 2008, 102, 207–218. [Google Scholar] [CrossRef]
- Li, F.J.; Surolia, R.; Li, H.; Wang, Z.; Liu, G.; Liu, R.M.; Mirov, S.B.; Athar, M.; Thannickal, V.J.; Antony, V.B. Low-dose cadmium exposure induces peribronchiolar fibrosis through site-specific phosphorylation of vimentin. Am. J. Physiol. Lung Cell. Mol. Physiol. 2017, 313, L80–L91. [Google Scholar] [CrossRef]
- Thijssen, S.; Lambrichts, I.; Maringwa, J.; Van Kerkhove, E. Changes in expression of fibrotic markers and histopathological alterations in kidneys of mice chronically exposed to low and high Cd doses. Toxicology 2007, 238, 200–210. [Google Scholar] [CrossRef] [PubMed]
- Hu, X.; Fernandes, J.; Jones, D.P.; Go, Y.M. Cadmium stimulates myofibroblast differentiation and mouse lung fibrosis. Toxicology 2017, 383, 50–56. [Google Scholar] [CrossRef] [PubMed]
- Zheng, L.; Jiang, Y.L.; Fei, J.; Cao, P.; Zhang, C.; Xie, G.F.; Wang, L.X.; Cao, W.; Fu, L.; Zhao, H. Circulatory cadmium positively correlates with epithelial-mesenchymal transition in patients with chronic obstructive pulmonary disease. Ecotoxicol. Environ. Saf. 2021, 215, 112164. [Google Scholar] [CrossRef] [PubMed]
- Satarug, S.; Nishijo, M.; Ujjin, P.; Vanavanitkun, Y.; Moore, M.R. Cadmium-induced nephropathy in the development of high blood pressure. Toxicol. Lett. 2005, 157, 57–68. [Google Scholar] [CrossRef]
- Kukongviriyapan, U.; Pannangpetch, P.; Kukongviriyapan, V.; Donpunha, W.; Sompamit, K.; Surawattanawan, P. Curcumin protects against cadmium-induced vascular dysfunction, hypertension and tissue cadmium accumulation in mice. Nutrients 2014, 6, 1194–1208. [Google Scholar] [CrossRef]
- Kumar, D.L.; DeFalco, T. A perivascular niche for multipotent progenitors in the fetal testis. Nat. Commun. 2018, 9, 4519. [Google Scholar] [CrossRef]
- Sadik, N.A. Effects of diallyl sulfide and zinc on testicular steroidogenesis in cadmium-treated male rats. J. Biochem. Mol. Toxicol. 2008, 22, 345–353. [Google Scholar] [CrossRef]
- Yang, J.M.; Arnush, M.; Chen, Q.Y.; Wu, X.D.; Pang, B.; Jiang, X.Z. Cadmium-induced damage to primary cultures of rat Leydig cells. Reprod. Toxicol. 2003, 17, 553–560. [Google Scholar] [CrossRef]
- de Souza Predes, F.; Monteiro, J.C.; Matta, S.L.; Garcia, M.C.; Dolder, H. Testicular histomorphometry and ultrastructure of rats treated with cadmium and Ginkgo biloba. Biol. Trace Elem. Res. 2011, 140, 330–341. [Google Scholar] [CrossRef]
- Venditti, M.; Ben Rhouma, M.; Romano, M.Z.; Messaoudi, I.; Reiter, R.J.; Minucci, S. Altered expression of DAAM1 and PREP induced by cadmium toxicity is counteracted by melatonin in the rat testis. Genes 2021, 12, 1016. [Google Scholar] [CrossRef]
- Sen Gupta, R.; Kim, J.; Gomes, C.; Oh, S.; Park, J.; Im, W.B.; Seong, J.Y.; Ahn, R.S.; Kwon, H.B.; Soh, J. Effect of ascorbic acid supplementation on testicular steroidogenesis and germ cell death in cadmium-treated male rats. Mol. Cell. Endocrinol. 2004, 221, 57–66. [Google Scholar] [CrossRef] [PubMed]
- Cupertino, M.C.; Novaes, R.D.; Santos, E.C.; Neves, A.C.; Silva, E.; Oliveira, J.A.; Matta, S.L.P. Differential susceptibility of germ and Leydig cells to cadmium-mediated toxicity: Impact on testis structure, adiponectin levels, and steroidogenesis. Oxid. Med. Cell. Longev. 2017, 2017, 3405089. [Google Scholar] [CrossRef] [PubMed]







Publisher’s Note: MDPI stays neutral with regard to jurisdictional claims in published maps and institutional affiliations. |
© 2022 by the authors. Licensee MDPI, Basel, Switzerland. This article is an open access article distributed under the terms and conditions of the Creative Commons Attribution (CC BY) license (https://creativecommons.org/licenses/by/4.0/).
Share and Cite
Yang, S.-H.; Chen, S.-T.; Liang, C.; Shi, Y.-H.; Chen, Q.-S. Effects of Cadmium Exposure on Leydig Cells and Blood Vessels in Mouse Testis. Int. J. Environ. Res. Public Health 2022, 19, 2416. https://doi.org/10.3390/ijerph19042416
Yang S-H, Chen S-T, Liang C, Shi Y-H, Chen Q-S. Effects of Cadmium Exposure on Leydig Cells and Blood Vessels in Mouse Testis. International Journal of Environmental Research and Public Health. 2022; 19(4):2416. https://doi.org/10.3390/ijerph19042416
Chicago/Turabian StyleYang, Shi-Han, Si-Ting Chen, Chen Liang, Yong-Hong Shi, and Qiu-Sheng Chen. 2022. "Effects of Cadmium Exposure on Leydig Cells and Blood Vessels in Mouse Testis" International Journal of Environmental Research and Public Health 19, no. 4: 2416. https://doi.org/10.3390/ijerph19042416
APA StyleYang, S.-H., Chen, S.-T., Liang, C., Shi, Y.-H., & Chen, Q.-S. (2022). Effects of Cadmium Exposure on Leydig Cells and Blood Vessels in Mouse Testis. International Journal of Environmental Research and Public Health, 19(4), 2416. https://doi.org/10.3390/ijerph19042416

