The Prevalence of Oral Mucosa Lesions in Pediatric Patients
Abstract
1. Introduction
2. Materials and Methods
3. Results
4. Discussion
5. Conclusions
Author Contributions
Funding
Institutional Review Board Statement
Informed Consent Statement
Data Availability Statement
Conflicts of Interest
References
- Hong, C.H.L.; Dean, D.R.; Hull, K.; Hu, S.J.; Sim, Y.F.; Nadeau, C.; Gonçalves, S.; Lodi, G.; Hodgson, T.A. World Workshop on Oral Medicine VII: Relative frequency of oral mucosal lesions in children, a scoping review. Oral Dis. 2019, 25, 193–203. [Google Scholar] [CrossRef]
- Shulman, J.D. Prevalence of oral mucosal lesions in children and youths in the USA. Int. J. Paediatr. Dent. 2005, 15, 89–97. [Google Scholar] [CrossRef]
- Yáñez, M.; Escobar, E.; Oviedo, C.; Stillfried, A.; Pennacchiotti, G. Prevalence of Oral Mucosal Lesions in Children Prevalencia de Lesiones de la Mucosa Oral en Niños. Int. J. Odontostomat 2016, 10, 463–468. [Google Scholar] [CrossRef]
- Colaci, R.; Sfasciott, G. Most Common Oral Mucosal Lesions in Children: Prevalence and Differential Diagnosis. WedmedCentral DENTISTRY, 4. 2013. Available online: https://pdfs.semanticscholar.org/4f-d7/4cf18648a9168da47dc95b0ef6e96202b466.pdf (accessed on 12 May 2022).
- Yilmaz, A.E.; Gorpelioglu, C.; Sarifakioglu, E.; Dogan, D.G.; Bilici, M.; Celik, N. Prevalence of oral mucosal lesions from birth to two years. Niger. J. Clin. Pract. 2011, 14, 349–353. [Google Scholar] [CrossRef]
- Jahanbani, J.; Morse, D.E.; Alinejad, H. Prevalence of oral lesions and normal variants of the oral mucosa in 12 to 15-year-old students in Tehran, Iran. Arch. Iran. Med. 2012, 15, 142–145. [Google Scholar]
- Mumcu, G.; Cimilli, H.; Sur, H.; Hayran, O.; Atalay, T. Prevalence and distribution of oral lesions: A cross-sectional study in Turkey. Oral Dis. 2005, 11, 81–87. [Google Scholar] [CrossRef]
- Vieira-Andrade, R.G.; Martins-Júnior, P.A.; Corrêa-Faria, P.; Stella, P.E.M.; Marinho, S.A.; Marques, L.S.; Ramos-Jorge, M.L. Oral mucosal conditions in preschool children of low socioeconomic status: Prevalence and determinant factors. Eur. J. Pediatr. 2013, 172, 675–681. [Google Scholar] [CrossRef]
- Amadori, F.; Bardellini, E.; Conti, G.; Majorana, A. Oral mucosal lesions in teenagers: A cross-sectional study. Ital. J. Pediatr. 2017, 43, 50. [Google Scholar] [CrossRef]
- Majorana, A.; Bardellini, E.; Flocchini, P.; Amadori, F.; Conti, G.; Campus, G. Oral mucosal lesions in children from 0 to 12 years old: Ten years’ experience. Oral Surg. Oral Med. Oral Pathol. Oral Radiol. Endodontology 2010, 110, e13–e18. [Google Scholar] [CrossRef]
- Natah, S.S.; Konttinen, Y.T.; Enattah, N.S.; Ashammakhi, N.; Sharkey, K.A.; Häyrinen-Immonen, R. Recurrent aphthous ulcers today: A review of the growing knowledge. Int. J. Oral Maxillofac. Surg. 2004, 33, 221–234. [Google Scholar] [CrossRef]
- Edgar, N.R.; Saleh, D.; Miller, R.A. Recurrent Aphthous Stomatitis: A review. J. Clin. Aesthet. Derm. 2017, 10, 26–36. [Google Scholar]
- Owczarek-Drabińska, J.E.; Radwan-Oczko, M. A Case of Lingua Villosa Nigra (Black Hairy Tongue) in a 3-Month-Old Infant. Am. J. Case Rep. 2020, 21, e926362-1–e926362-4. [Google Scholar] [CrossRef]
- Radwan-Oczko, M.; Sokół, I.; Babuśka, K.; Owczarek-Drabińska, J.E. Prevalence and Characteristic of Oral Mucosa Lesions. Symmetry 2022, 14, 307. [Google Scholar] [CrossRef]
- Vučićević Boras, V.; Andabak Rogulj, A.; Alajbeg, I.; Skrinjar, I.; Brzak, B.L.; Brailo, V.; Vidović Juras, D.; Verzak, Z. The prevalence of oral mucosal lesions in Croatian children. Paediatr. Croat. 2013, 57, 235–238. [Google Scholar]
- Williams, K.; Thomson, D.; Seto, I.; Contopoulos-Ioannidis, D.G.; Ioannidis, J.P.A.; Curtis, S.; Constantin, E.; Batmanabane, G.; Hartling, L.; Klassen, T. Standard 6: Age Groups for Pediatric Trials. Pediatrics 2012, 129, S153–S160. [Google Scholar] [CrossRef]
- Kleinman, D.V.; Swango, P.A.; Pindborg, J.J. Epidemiology of oral mucosal lesions in United States schoolchildren: 1986-87. Community Dent. Oral Epidemiol. 1994, 22, 243–253. [Google Scholar] [CrossRef]
- Lima, G.d.S.; Fontes, S.T.; de Araújo, L.M.A.; Etges, A.; Tarquinio, S.B.C.; Gomes, A.P.N. A survey of oral and maxillofacial biopsies in children: A single-center retrospective study of 20 years in Pelotas-Brazil. J. Appl. Oral Sci. 2008, 16, 397–402. Available online: http://www.scielo.br/scielo.php?script=sci_arttext&pid=S1678-77572008000600008&lng=en&tlng=en (accessed on 1 May 2022). [CrossRef]
- Espinosa-Zapata, M.; Loza-Hernández, G.; Mondragón-Ballesteros, R. Prevalencia de lesiones de la mucosa bucal en pacien_tes pediátricos. Informe prelimina. Cir. Ciruj 2006, 74, 153–157. [Google Scholar]
- Garcia-Pola, M.J.; Garcia-Martin, J.M.; Gonzalez-Garcia, M. Prevalence of oral lesions in the 6-year-old pediatric population of Oviedo (Spain). Med. Oral 2002, 7, 184–191. Available online: http://www.ncbi.nlm.nih.gov/pubmed/11984500 (accessed on 1 May 2022).
- Furlanetto, D.L.C.; Crighton, A.; Topping, G.V.A. Differences in methodologies of measuring the prevalence of oral mucosal lesions in children and adolescents. Int. J. Paediatr. Dent. 2006, 16, 31–39. [Google Scholar] [CrossRef]
- Ata-Ali, J.; Carrillo, C.; Bonet, C.; Balaguer, J.; Penarrocha, M.; Penarrocha, M. Oral mucocele: Review of the literature. J. Clin. Exp. Dent. 2010, 2, e18–e21. [Google Scholar] [CrossRef]
- Sousa, F.B.; Etges, A.; Corrêa, L.; Mesquita, R.A.; Soares de Araújo, N. Pediatric oral lesions: A 15-year review from São Paulo, Brazil. J. Clin. Pediatr. Dent. 2002, 26, 413–418. [Google Scholar] [CrossRef] [PubMed]
- Bentley, J.M.; Barankin, B.; Guenther, L.C. A Review of Common Pediatric Lip Lesions: Herpes Simplex/Recurrent Herpes Labialis, Impetigo, Mucoceles, and Hemangiomas. Clin. Pediatr. 2003, 42, 475–482. [Google Scholar] [CrossRef] [PubMed]
- Guimarães, M.S.; Hebling, J.; Filho, V.A.P.; Santos, L.L.; Vita, T.M.; Costa, C.A.S. Extravasation mucocele involving the ventral surface of the tongue (glands of Blandin? Nuhn). Int. J. Paediatr. Dent. 2006, 16, 435–439. [Google Scholar] [CrossRef] [PubMed]
- Vale, E.B.; Ramos-Perez, F.M.; Rodrigues, G.L.; Carvalho, E.J.; Castro, J.F.; Perez, D.E. A review of oral biopsies in children and adolescents: A clinicopathological study of a case series. J. Clin. Exp. Dent. 2013, 5, e144-9. [Google Scholar] [CrossRef]
- Bessa, C.F.N.; Santos, P.J.B.; Aguiar, M.C.F.; do Carmo, M.A.V. Prevalence of oral mucosal alterations in children from 0 to 12 years old. J. Oral Pathol. Med. 2004, 33, 17–22. [Google Scholar] [CrossRef]
- Jiménez Palacios, C.; Kkilikan, R.; Ramírez, R.; Ortiz, V.; Benítez, A.; Virgüez, Y. Levantamiento epidemiológico de lesiones patológicas en los tejidos blandos de la cavidad bucal de los niños y adolescente del centro odontopediátrico de carapa, parroquia antímano, caracas, distrito capital -venezuela. Período mayo-noviembre 2005. Acta Odontol. Venez 2007, 45, 540–545. [Google Scholar]
- Owczarek, J.E.; Lion, K.M.; Radwan-Oczko, M. Manifestation of stress and anxiety in the stomatognathic system of undergraduate dentistry students. J. Int. Med. Res. 2020, 48, 0300060519889487. [Google Scholar] [CrossRef]
- Owczarek, J.E.; Lion, K.M.; Radwan-Oczko, M. The impact of stress, anxiety and depression on stomatognathic system of physiotherapy and dentistry first-year students. Brain Behav. 2020, 10, e01797. [Google Scholar] [CrossRef]
- Moritz, S.; Müller, K.; Schmotz, S. Escaping the mouth-trap: Recovery from long-term pathological lip/cheek biting (morsicatio buccarum, cavitadaxia) using decoupling. J. Obs. Compuls. Relat. Disord. 2020, 25, 100530. [Google Scholar] [CrossRef]
- Wang, Y.L.; Chang, H.H.; Chang, J.Y.F.; Huang, G.F.; Guo, M.K. Retrospective Survey of Biopsied Oral Lesions in Pediatric Patients. J. Formos. Med. Assoc. 2009, 108, 862–871. [Google Scholar] [CrossRef]
- Jones, A.V.; Franklin, C.D. An analysis of oral and maxillofacial pathology found in children over a 30-year period. Int. J. Paediatr. Dent. 2006, 16, 19–30. [Google Scholar] [CrossRef] [PubMed]
- Ünür, M.; Bektaş Kayhan, K.; Altop, M.S.; Boy Metin, Z.; Keskin, Y. The prevalence of oral mucosal lesions in children: A single center study. J. Istanbul Univ. Fac. Dent. 2015, 49, 29. [Google Scholar] [CrossRef] [PubMed]
- Sedano, H.O.; Freyre, I.C.; de la Garza, M.L.G.; Franco, C.M.G.; Hernandez, C.G.; Montoya, M.E.H.; Hipp, C.; Keenan, K.M.; Bravo, J.M.; López, J.A.M.; et al. Clinical orodental abnormalities in Mexican children. Oral Surg. Oral Med. Oral Pathol. 1989, 68, 300–311. [Google Scholar] [CrossRef]
- Gültelkin, S.E.; Tokman, B.; Türkseven, M.R. A review of paediatric oral biopsies in Turkey. Int. Dent. J. 2003, 53, 26–32. [Google Scholar] [CrossRef]
- Sato, M.; Tanaka, N.; Sato, T.; Amagasa, T. Oral and maxillofacial tumours in children: A review. Br. J. Oral Maxillofac. Surg. 1997, 35, 92–95. [Google Scholar] [CrossRef]
- Skinner, R.L.; Davenport, W.D.; Weir, J.C.; Carr, R.F. A survey of biopsied oral lesions in pediatric dental patients. Pediatr. Dent. 1986, 8, 163–167. [Google Scholar]
- Sixto-Requeijo, R.; Diniz-Freitas, M.; Torreira-Lorenzo, J.C.; García-García, A.; Gándara-Rey, J.M. An analysis of oral biopsies extracted from 1995 to 2009, in an oral medicine and surgery unit in Galicia (Spain). Med. Oral Patol. Oral Cir. Bucal 2012, 17, 1–7. [Google Scholar] [CrossRef][Green Version]
- Sklavounou-Andrikopoulou, A.; Piperi, E.; Papanikolaou, V.; Karakoulakis, I. Oral soft tissue lesions in Greek children and adolescents: A retrospective analysis over a 32-year period. J. Clin. Pediatr. Dent. 2005, 29, 175–178. [Google Scholar] [CrossRef]
- Sȩkowska, A.; Chałas, R. Diastema size and type of upper lip midline frenulum attachment. Folia Morphol. 2017, 76, 501–505. [Google Scholar] [CrossRef]
- Mirko, P.; Miroslav, S.; Lubor, M. Significance of the Labial Frenum Attachment in Periodontal Disease in Man. Part 1. Classification and Epidemiology of the Labial Frenum Attachment. J. Periodontol. 1974, 45, 891–894. [Google Scholar] [CrossRef] [PubMed]
- Thilander, B.; Pena, L.; Infante, C.; Parada, S.S.; De Mayorga, C. Prevalence of malocclusion and orthodontic treatment need in children and adolescents in Bogota, Colombia. Eur. J. Orthod. 2001, 23, 153–167. [Google Scholar] [CrossRef] [PubMed]
- Bergese, F. Research on the development of the labial frenum in children of age 9–12. Minerva Stomatol. 1966, 15, 672–676. Available online: http://www.ncbi.nlm.nih.gov/pubmed/5225222 (accessed on 1 May 2022).
- Kaimenyi, J.T. Occurrence of midline diastema and frenum attachments amongst school children in Nairobi, Kenya. Indian J. Dent. Res. 1998, 9, 67–71. Available online: http://www.ncbi.nlm.nih.gov/pubmed/10530193 (accessed on 1 May 2022). [PubMed]












| Age Groups | Nr of Patients | Mean Age | |
|---|---|---|---|
| Entire Study Group | 0–17 | 143 100% | 8.4 (SD 5.2) | 
| 0–6 Preschool | 55 38.46% | 2.8 (SD 1.9) | |
| 7–13 School | 58 40.56% | 10 (SD 1.8) | |
| 14–17 Adolescent | 30 20.98% | 15.5 (SD 1.2) | |
| Girls | 0–17 | 60 42% | 8.6 (SD 5.1) | 
| 0–6 Preschool | 20 36.36% | 2.7 (SD 1.9) | |
| 7–13 School | 27 46.55% | 9.6 (SD 1.8) | |
| 14–17 Adolescent | 13 43.33% | 15.7 (SD 1.0) | |
| Boys | 0–17 | 83 58% | 8.2 (SD 5.3) | 
| 0–6 Preschool | 35 63.64% | 2.9 (SD 1.9) | |
| 7–13 School | 31 53.45% | 10.5 (SD 1.7) | |
| 14–17 Adolescent | 17 56.67% | 15.4 (SD 1.2) | 
| Entire Study Group | Girls | Boys | |||||||||||
|---|---|---|---|---|---|---|---|---|---|---|---|---|---|
| Diagnosis | 0–6 n = 55 | 7–13 n = 58 | 14–17 n = 30 | Σ n = 143 | 0–6 n = 20 | 7–13 n = 27 | 14–17 n = 13 | Σ n = 60 | 0–6 n = 35 | 7–13 n = 31 | 14–17 n = 17 | Σ n = 83 | |
| 1 | Aphthae | 7 | 15 | 5 | 27 | 1 | 5 | 3 | 9 | 6 | 10 | 2 | 18 | 
| 2 | Mucocele | 2 | 9 | 4 | 15 | 1 | 5 | 2 | 8 | 1 | 4 | 2 | 7 | 
| 3 | Morsicatio buccarum | 2 | 5 | 6 | 13 | 0 | 0 | 3 | 3 | 2 | 5 | 3 | 10 | 
| 4 | Hairy tongue | 5 | 3 | 2 | 10 | 0 | 2 | 0 | 2 | 5 | 1 | 2 | 8 | 
| 5 | Fibroma | 4 | 2 | 3 | 9 | 1 | 1 | 2 | 4 | 3 | 1 | 1 | 5 | 
| 6 | Geographic tongue | 7 | 1 | 0 | 8 | 3 | 1 | 0 | 4 | 4 | 0 | 0 | 4 | 
| 7 | Papilloma | 3 | 3 | 1 | 7 | 3 | 2 | 0 | 5 | 0 | 1 | 1 | 2 | 
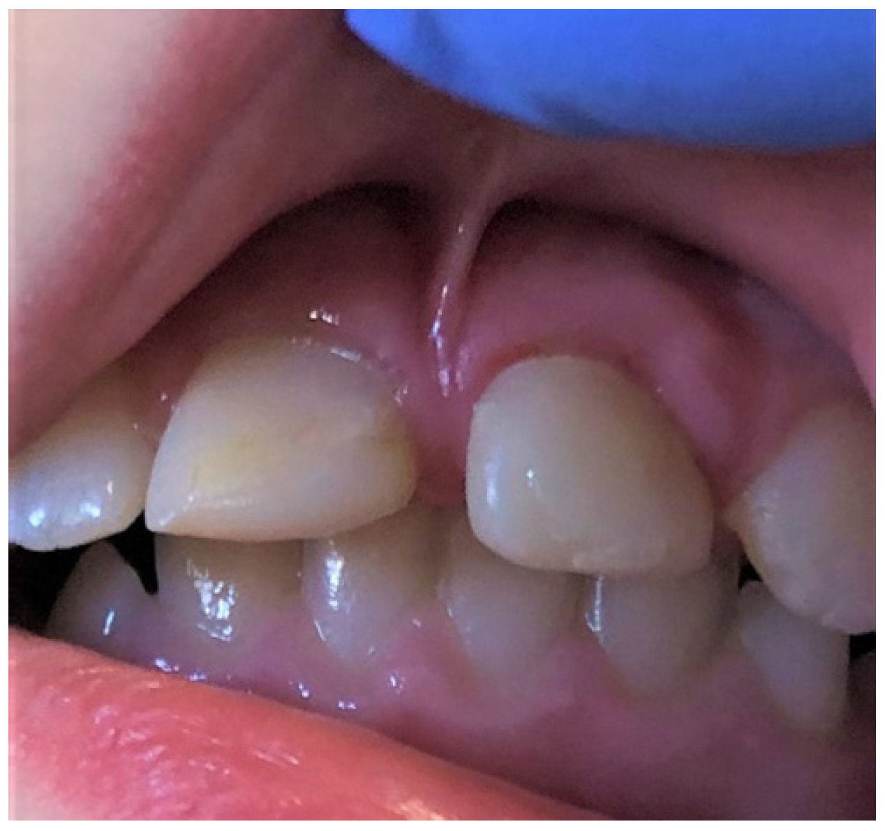
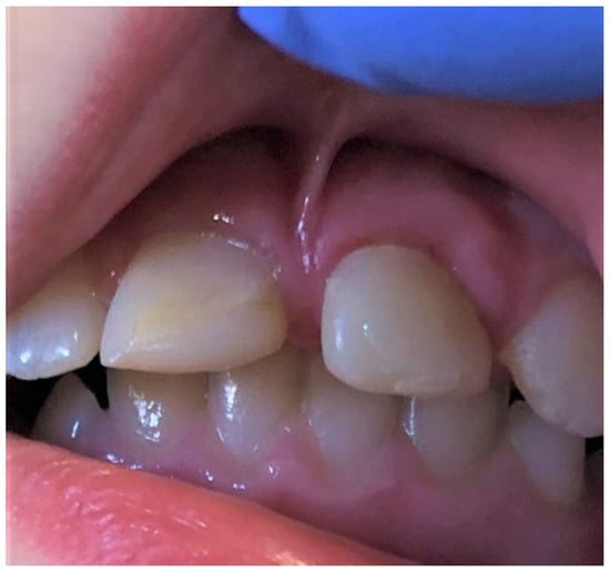
| 8 | Abnormal upper lip frenulum | 0 | 4 | 2 | 6 | 0 | 4 | 0 | 4 | 0 | 0 | 2 | 2 | 
| 9 | Pyogenic granuloma | 1 | 5 | 0 | 6 | 0 | 3 | 0 | 3 | 1 | 2 | 0 | 3 | 
| 10 | Traumatic erosions and ulcers | 2 | 2 | 2 | 6 | 0 | 0 | 0 | 0 | 2 | 2 | 2 | 6 | 
| 11 | Gingival enlargement | 0 | 3 | 2 | 5 | 0 | 1 | 1 | 2 | 0 | 2 | 1 | 3 | 
| 12 | Oral Candidiasis | 2 | 1 | 1 | 4 | 2 | 1 | 1 | 4 | 0 | 0 | 0 | 0 | 
| 13 | Melanoplakia | 3 | 0 | 0 | 3 | 2 | 0 | 0 | 2 | 1 | 0 | 0 | 1 | 
| 14 | Herpetic stomatitis | 3 | 0 | 0 | 3 | 1 | 0 | 0 | 1 | 2 | 0 | 0 | 2 | 
| 15 | Gingival cyst | 2 | 0 | 0 | 2 | 0 | 0 | 0 | 0 | 2 | 0 | 0 | 2 | 
| 16 | Ankyloglossia | 2 | 0 | 0 | 2 | 2 | 0 | 0 | 2 | 0 | 0 | 0 | 0 | 
| 17 | Frictional hyperkeratosis | 0 | 1 | 1 | 2 | 0 | 1 | 1 | 2 | 0 | 0 | 0 | 0 | 
| 18 | Eruptive cyst | 2 | 0 | 0 | 2 | 1 | 0 | 0 | 1 | 1 | 0 | 0 | 1 | 
| 19 | Linea alba | 0 | 0 | 1 | 1 | 0 | 0 | 0 | 0 | 0 | 0 | 1 | 1 | 
| 20 | Hack’s disease | 0 | 1 | 0 | 1 | 0 | 0 | 0 | 0 | 0 | 1 | 0 | 1 | 
| 21 | Granulomatous cheilitis | 0 | 1 | 0 | 1 | 0 | 0 | 0 | 0 | 0 | 1 | 0 | 1 | 
| 22 | Gingivitis | 0 | 1 | 0 | 1 | 0 | 0 | 0 | 0 | 0 | 1 | 0 | 1 | 
| 23 | Mucosal atrophy | 1 | 0 | 0 | 1 | 1 | 0 | 0 | 1 | 0 | 0 | 0 | 0 | 
| 24 | Pigmented nevus | 1 | 0 | 0 | 1 | 0 | 0 | 0 | 0 | 1 | 0 | 0 | 1 | 
| 25 | Contact allergic reaction | 1 | 0 | 0 | 1 | 0 | 0 | 0 | 0 | 1 | 0 | 0 | 1 | 
| 26 | Leukoedema | 1 | 0 | 0 | 1 | 0 | 0 | 0 | 0 | 1 | 0 | 0 | 1 | 
| 27 | Epstein pearls | 1 | 0 | 0 | 1 | 1 | 0 | 0 | 1 | 0 | 0 | 0 | 0 | 
| 28 | Bohn nodules | 1 | 0 | 0 | 1 | 0 | 0 | 0 | 0 | 1 | 0 | 0 | 1 | 
| 29 | Bone exostosis | 1 | 0 | 0 | 1 | 1 | 0 | 0 | 1 | 0 | 0 | 0 | 0 | 
| 30 | Exfoliative cheilitis | 1 | 0 | 0 | 1 | 0 | 0 | 0 | 0 | 1 | 0 | 0 | 1 | 
| 31 | Macroglossia | 0 | 1 | 0 | 1 | 0 | 1 | 0 | 1 | 0 | 0 | 0 | 0 | 
| Diagnosis | Entire Study Group | % | Girls n = 60 | Girls 42% | Boys n = 83 | Boys 58% | χ2 | p | |
|---|---|---|---|---|---|---|---|---|---|
| 1 | Aphthae | 27 | 18.9 | 9 | 15.0 | 18 | 21.7 | 1.02 | 0.31 | 
| 2 | Mucocele | 15 | 10.5 | 8 | 13.3 | 7 | 8.4 | 0.89 | 0.34 | 
| 3 | Morsicatio buccarum | 13 | 9.1 | 3 | 5.0 | 10 | 12.0 | 2.09 | 0.15 | 
| 4 | Hairy tongue | 10 | 7.0 | 2 | 3.3 | 8 | 9.6 | 2.13 | 0.14 | 
| 5 | Fibroma | 9 | 6.3 | 4 | 6.7 | 5 | 6.0 | 0.07 | 0.79 | 
| 6 | Geographic tongue | 8 | 5.6 | 4 | 6.7 | 4 | 4.8 | 0.22 | 0.63 | 
| 7 | Papilloma | 7 | 4.9 | 5 | 8.3 | 2 | 2.4 | 2.62 | 0.10 | 
| 8 | Abnormal upper lip frenulum | 6 | 4.2 | 4 | 6.7 | 2 | 2.4 | 1.57 | 0.21 | 
| 9 | Pyogenic granuloma | 6 | 4.2 | 3 | 5.0 | 3 | 3.6 | 0.00 | 0.96 | 
| 10 | Traumatic erosions and ulcers | 6 | 4.2 | 0 | 0.0 | 6 | 7.2 | 4.53 | 0.03 | 
| Diagnosis | 0–6 n = 55 | % 38.5% | 7–13 n = 58 | % 40.6% | 14–17 n = 30 | % 20.9% | Σ n = 143 | χ22 | p | |
|---|---|---|---|---|---|---|---|---|---|---|
| 1 | Aphthae | 7 | 12.7 | 15 | 25.9 | 5 | 16.7 | 27 | 3.30 | 0.19 | 
| 2 | Mucocele | 2 | 3.6 | 9 | 15.5 | 4 | 13.3 | 15 | 4.57 | 0.10 | 
| 3 | Morsicatio buccarum | 2 | 3.6 | 5 | 8.6 | 6 | 20.0 | 13 | 6.32 | 0.04 | 
| 4 | Hairy tongue | 5 | 9.1 | 3 | 5.2 | 2 | 6.7 | 10 | 0.673 | 0.71 | 
| 5 | Fibroma | 4 | 7.3 | 2 | 3.4 | 3 | 10.0 | 9 | 1.61 | 0.45 | 
| 6 | Geographic tongue | 7 | 12.7 | 1 | 1.7 | 0 | 0.0 | 8 | 8.72 | 0.01 | 
| 7 | Papilloma | 3 | 5.5 | 3 | 5.2 | 1 | 3.3 | 7 | 0.204 | 0.90 | 
| 8 | Lip-tie | 0 | 0.0 | 4 | 6.9 | 2 | 6.7 | 6 | 3.92 | 0.14 | 
| 9 | Pyogenic granuloma | 1 | 1.8 | 5 | 8.6 | 0 | 0.0 | 6 | 3.46 | 0.18 | 
| 10 | Traumatic erosions and ulcers | 2 | 3.6 | 2 | 3.4 | 2 | 6.7 | 6 | 0.579 | 0.75 | 
| Publisher’s Note: MDPI stays neutral with regard to jurisdictional claims in published maps and institutional affiliations. | 
© 2022 by the authors. Licensee MDPI, Basel, Switzerland. This article is an open access article distributed under the terms and conditions of the Creative Commons Attribution (CC BY) license (https://creativecommons.org/licenses/by/4.0/).
Share and Cite
Owczarek-Drabińska, J.E.; Nowak, P.; Zimoląg-Dydak, M.; Radwan-Oczko, M. The Prevalence of Oral Mucosa Lesions in Pediatric Patients. Int. J. Environ. Res. Public Health 2022, 19, 11277. https://doi.org/10.3390/ijerph191811277
Owczarek-Drabińska JE, Nowak P, Zimoląg-Dydak M, Radwan-Oczko M. The Prevalence of Oral Mucosa Lesions in Pediatric Patients. International Journal of Environmental Research and Public Health. 2022; 19(18):11277. https://doi.org/10.3390/ijerph191811277
Chicago/Turabian StyleOwczarek-Drabińska, Joanna Elżbieta, Patrycja Nowak, Małgorzata Zimoląg-Dydak, and Małgorzata Radwan-Oczko. 2022. "The Prevalence of Oral Mucosa Lesions in Pediatric Patients" International Journal of Environmental Research and Public Health 19, no. 18: 11277. https://doi.org/10.3390/ijerph191811277
APA StyleOwczarek-Drabińska, J. E., Nowak, P., Zimoląg-Dydak, M., & Radwan-Oczko, M. (2022). The Prevalence of Oral Mucosa Lesions in Pediatric Patients. International Journal of Environmental Research and Public Health, 19(18), 11277. https://doi.org/10.3390/ijerph191811277
 
        




 
       