Next Article in Journal
Why Is Maternal Control Harmful? The Relation between Maternal Control, Insecure Attachment and Antisocial Personality Disorder Features in Chinese College Students: A Sequential Mediation Model
Previous Article in Journal
Does Eco-Compensation Alleviate Rural Poverty? New Evidence from National Key Ecological Function Areas in China
 
 
Font Type:
Arial Georgia Verdana
Font Size:
Aa Aa Aa
Line Spacing:
Column Width:
Background:
Article

Ineffectiveness of Antiresorptive Agent Drug Holidays in Osteoporosis Patients for Treatment of Medication-Related Osteonecrosis of the Jaw: Consideration from Immunohistological Observation of Osteoclast Suppression and Treatment Outcomes

1
Department of Clinical Oral Oncology, Nagasaki University Graduate School of Biomedical Sciences, Nagasaki 852-8588, Japan
2
Department of Oral Health, Nagasaki University Graduate School of Biomedical Sciences, Nagasaki 852-8588, Japan
*
Author to whom correspondence should be addressed.
Int. J. Environ. Res. Public Health 2022, 19(17), 10898; https://doi.org/10.3390/ijerph191710898
Submission received: 27 July 2022 / Revised: 28 August 2022 / Accepted: 30 August 2022 / Published: 1 September 2022

Abstract

In patients with osteoporosis receiving antiresorptive agents (ARs), it has been widely practiced to withdraw ARs for several months before tooth extraction and during treatment if medication-related osteonecrosis of the jaw (MRONJ) develops. This study examined the effects of drug holidays on recovery from osteoclast suppression and the treatment outcomes. The relationship between the period of the drug holidays and treatment outcomes was examined retrospectively in 166 osteoporosis patients with MRONJ who received ARs. Histological examinations using hematoxylin and eosin staining and cathepsin K stains were performed to observe the recovery from osteoclast suppression in 43 patients in whom living bone was observed in the resection margins of the surgical specimens. Three-month AR drug holidays were not significantly correlated with the treatment outcomes of the 139 patients who underwent surgical treatment and the 27 who underwent conservative treatment. Of the 43 patients who underwent histological investigations, 16 had drug holidays from 7 to 678 days. Osteoclast suppression was observed in almost all patients, except in one without a drug holiday and one with a 261-day drug holiday. These findings suggest that AR drug holidays for approximately 3 months neither recover osteoclast suppression nor affect treatment outcomes.

1. Introduction

Currently antiresorptive agents (ARs), such as bisphosphonate (BP) and denosumab (DMB), are widely used to reduce bone resorption due to osteoporosis and skeletal-related events from metastatic bone tumors and multiple myeloma [1,2,3,4,5,6]. However, the presence of medication-related osteonecrosis of the jaw (MRONJ) is one of the severe side effects of ARs [7,8,9,10,11]. The American Association of Oral and Maxillofacial Surgeons (AAOMS) position paper in 2014 [7] recommends a 2-month AR drug holiday before tooth extraction for patients with osteoporosis taking ARs for more than 4 years or with risk factors, such as diabetes or steroid administration; although there is not sufficient evidence to determine whether ARs should be withdrawn. The AAOMS position paper was revised in 2022 [12]; the working group was unable to reach a consensus for drug holidays recommendations, which will be addressed on a case-by-case basis. However, there are several negative reports on AR drug holidays before oral surgery, and the necessity and duration of AR drug holidays before oral surgery are controversial [13].
BP is deposited on the bone matrix and taken up by osteoclasts during the bone resorption process, causing apoptosis of osteoclasts by destroying their cytoskeleton and inhibiting bone resorption [14]. BP deposition in the bone matrix is considered to last from several months to several years. In contrast, DMB selectively inhibits the receptor activator of nuclear factor kappa B ligand (RANKL) expressed on osteoblasts, and suppresses osteoclast differentiation, function, and survival, thereby reducing bone resorption [15]. Considering these pharmacokinetic distinctions, there may be a difference in the drug holiday duration required to recover osteoclast function between BP and DMB, although few reports have examined drug holidays and the clinical significance of BP or DMB.
Morishita et al. [16] recently histologically examined the relationship between drug holidays duration and osteoclast suppression in surgical specimens from patients treated with oral BPs and the reported osteoclast suppression was not recovered after an approximate 6-month drug holiday. However, there are no reports examining the relationship between the DMB drug holiday duration and osteoclast suppression. The purpose of this study is to examine whether the withdrawal of ARs recovers osteoclast suppression and whether there are clinical benefits for withdrawal in osteoporosis patients with MRONJ receiving BP and DMB.

2. Materials and Methods

2.1. Impact of AR Drug Holidays on Treatment Outcomes

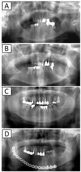
A total of 166 osteoporosis patients with MRONJ were treated at the Oral and Maxillofacial Surgery of Nagasaki University Hospital between January 2012 to December 2020, of which 139 were treated with surgical therapy and 27 with conservative therapy. Some of the cases used in this study overlap with some of the cases used in our group’s previous reports on treatment methods for MRONJ, such as reports on treatment methods for maxillary MRONJ [17], reports on the relationship between drug holiday and sequestrum separation [18], and reports on segmental mandibulectomy [19]. Diagnostic criteria for MRONJ are based on the AAOMS Position Paper [7]. Sex, age, site (upper jaw/lower jaw), stage according to the criteria of AAOMS Position Paper [7], AR type (BP, DMB), administration period (<4 years/≥4 years), corticosteroid, diabetes, serum albumin, serum creatinine, treatment methods, AR drug holiday (<3 months/≥3 months), and treatment outcomes were investigated from the medical records. We have made surgical therapy the first choice for MRONJ regardless of the MRONJ stage, but conservative therapy was selected when surgery was not possible due to the patient’s wishes or poor general condition. Conservative therapy included the use of antimicrobial mouthwash, rinsing of fistulas, periodontal pockets, or gaps between exposed necrotic bone and surrounding soft tissue, and administration of oral antimicrobial agents. Surgical therapy included marginal resection such as partial maxillectomy and marginal mandibulectomy, and segmental mandibulectomy (Figure 1).
We have resected not only the sequestrum but some healthy bone around it. The extent of bone resection was planned based on preoperative CT images but was ultimately determined based on the intraoperative findings such as the presence or absence of bleeding from the bone and changes in bone color. Healing was defined as the disappearance of all symptoms, including bone exposure, and the time to healing was also recorded. Non-healing included improved symptoms, unchanged, and worsened symptoms, and the follow-up period was also recorded. Patients whose symptoms disappeared once and were judged to be “healing” but later relapsed were classified as “non-healing”.
The cumulative cure rate with and without drug suspension was obtained using the Kaplan-Meier method and tested by the log-rank test, divided into surgical cases and preserved cases. Furthermore, each variable examined was analyzed for association with healing rates using a univariate Cox regression analysis, followed by a multiple Cox proportional hazard model including variables with p-values smaller than 0.1 in the univariate analysis and the drug holidays longer than 3 months as covariates. The relationship between AR drug holidays and the healing rate was determined using the Kaplan-Meier method, separately for conservative and surgical therapy cases. All statistical analyses were performed using SPSS software (version 26.0; Japan IBM Co., Ltd., Tokyo, Japan), and a 2-tailed p-value of <0.05 was considered significant.

2.2. Histological Investigation of Recovery from Osteoclast Suppression and Drug Holidays

Histopathology sections were decalcified in 0.5 M ethylenediaminetetraacetic acid solution with gentle agitation at 4 °C, postfixed in a fixing solution, dehydrated, and embedded in paraffin to prepare 4-μm-thick sections. Antigen activation in immunostaining was performed in Dako Target Retrieval Solution (DAKO, Carpinteria, CA, USA) using the warm bath method at 80 °C for 15 min. The primary antibody was rabbit anti-cathepsin K polyclonal antibody (1:2000, Abcum: ab19027) and incubated at 4 °C overnight. Secondary antibodies were EnVision+ System- HRP Labelled Polymer Anti-Rabbit (DAKO). For immunohistochemical reactions, Liquid DAB+ Substrate Chromogen System (DAKO) was used according to the manufacturer’s protocol. Mayer’s hematoxylin was used for nuclear staining.
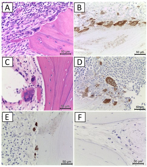
The number and morphology of osteoclasts in the tissue sections were evaluated by hematoxylin and eosin staining and cathepsin K immunostaining (Figure 2). Cathepsin K-positive, multinucleated giant cells around the bone surface were identified as normal osteoclasts. On the other hand, cathepsin K-positive, giant multinucleated cells released from the bone surface, cathepsin K-positive mononuclear or small multinucleated cells on the bone surface, and no cathepsin-K positive multinucleated cells on the bone surface were regarded as suppressed osteoclasts.

3. Results

3.1. Impact of AR Drug Holidays on Treatment Outcomes

Table 1 shows the characteristics of 166 patients with MRONJ. Surgical therapy was performed in 139 patients and conservative therapy in 27. In the surgical therapy group, marginal resection (marginal mandibulectomy or partial maxillectomy) was performed in 133 of 139 patients, and only 6 patients underwent segmental mandibulectomy.
The cumulative cure rate was indicated by the presence or absence of drug holidays (Figure 3). There was no difference in treatment outcomes between the surgical and conservative treatment groups after a 3-month drug holiday.
The Cox regression analysis examined factors associated with treatment outcomes, and the univariate analysis demonstrated significantly poorer prognosis in cases with diabetes, low serum albumin, high serum creatinine, and conservative therapy (Table 2). Cases involving the mandible had poorer outcomes than those involving the maxilla, but the difference was not significant. Although there was no relationship between the stage and the healing rate, this may suggest that most of the patients underwent surgical therapy and that the operation was performed according to the stage. In a multivariate analysis in which these four factors and AR drug holiday were entered as covariates, three factors were significantly associated with poor treatment outcomes: mandibular bone development, low serum albumin, and conservative therapy (Table 3). Three-month AR drug holidays were not correlated with treatment outcomes in the univariate and multivariate analyses.
Since the treatment method was a major factor affecting the treatment outcomes, the same analysis was performed stratifying by the treatment method. In the 139 surgical cases, mandibular bone development and low serum albumin were associated with poor outcomes in the univariate analysis (Table 4). Multivariate analysis demonstrated that mandibular development and low serum albumin were associated with poor outcomes, although drug holidays for more than 3 months did not improve the healing rate (Table 5). In the 27 patients who underwent conservative surgery, no prognostic factors were found by univariate analysis, probably due to the small sample size (Table 6).

3.2. Histological Investigation for Recovery from Osteoclast Suppression and Drug Holiday

From the patients with osteoporosis with MRONJ receiving ARs, 139 patients underwent surgery. However, in many cases of marginal resection, viable bone samples could not be obtained because the necrotic bone was excised, and then the surrounding living bone was scraped away. As a result, a total of 43 specimens of living bone tissue were obtained and used for immunohistological examination. Table 7 summarizes the 43 patients who underwent histological investigation. Six patients were males and 37 were females, aged 59–92 (mean; 81.2) years. BP only was administrated in 30 patients, DMB only in 5 patients, and BP was changed to DMB in 8 patients. Surgery was performed without a drug holiday in 27 patients and 16 patients had drug holidays for 7 to 678 days. Only 2 patients did not have osteoclast suppression, whereas 17 patients had moderate suppression and 24 had severe suppression.
Figure 4 shows the relationship between drug holidays and osteoclast suppression. There were 31 patients with none or less than 3 months of drug holidays, of which 20 showed only suppressed osteoclasts, 6 showed both suppressed and normal osteoclasts, 4 showed neither suppressed nor normal osteoclasts, and only one showed normal osteoclasts without suppressed osteoclasts. Of the 8 patients with drug holidays for 3 to 12 months, 2 showed only suppressed osteoclasts, 4 showed both suppressed and normal osteoclasts, one showed neither suppressed nor normal osteoclasts, and one showed only normal osteoclasts. Of the 2 patients with drug holidays for 1 to 2 years, one had only suppressed osteoclasts, and one showed both suppressed and normal osteoclasts. Since the patients administered only DMB had no drug holidays or only short-term holidays, osteoclast suppression after long-term DMB withdrawal could not be investigated.

4. Discussion

In this study, we investigated the relationship between the AR drug holidays and treatment outcomes in osteoporosis patients receiving ARs who underwent surgical treatment, and histopathological examinations of osteoclast suppression were also conducted. The results indicated that osteoclast suppression was not recovered by 3-month drug holidays in patients administered BP or DMB, and 3-month drug holidays did not contribute to the improvement of the treatment outcomes.
According to Damm et al. [20], the skeletal system has a mixture of resting surfaces (osteocytes: 85%), resorbing surfaces (osteoclasts: 2%), and forming surfaces (osteoblasts: 10–12%). The lifespan of bone cells is several to 10 years, the lifespan of osteoclasts is 2 weeks, and the lifespan of osteoblasts is approximately 1 to 3 months. BP and DMB suppress bone resorption by different mechanisms, but both exert a bone resorption inhibitory effect by suppressing osteoclasts. Therefore, impaired bone remodeling is considered one of the causes of MRONJ onset. Approximately 50% of the BP taken into the serum is rapidly excreted from the kidney within a few hours, thus that the blood concentration decreases rapidly. However, BP specifically binds to the bone matrix, and the BP incorporated into the bone matrix is considered to remain in the bone until remodeling; its half-life ranges from several to 10 years. BP is released from the bone matrix in the acidic environment of the resorption fossa during the bone resorption process of osteoclasts, and the osteoclasts take up this to destroy the osteoclast skeleton, thereby inducing apoptosis and suppressing bone resorption. Osteoclasts under the influence of BP are observed as polynuclear, large osteoclasts detached from the bone surface [21].
In contrast, DMB taken up in serum circulates in the blood including blood vessels in the bone marrow. The half-life in blood is 25.4 days. Unlike the BP preparation, it does not show specific binding to the bone matrix and does not accumulate. Therefore, the action of DMB is considered to be more reversible than the BP preparation [22]. By specifically binding to RANKL, DMB inhibits the binding of RANKL to the receptor activator of nuclear factor kappa B (RANK) expressed on the surface of osteoclast precursor cells, suppresses differentiation into mature osteoclasts, and activates the existing mature osteoclasts. It also suppresses osteoclasts and survival. As a result, the total number of osteoclasts under the influence of DMB decreases, and small immature osteoclasts can be observed [23]. Since we wanted to investigate the difference between the period of drug holiday osteoclast inhibition in both drugs, we registered both BP and DMB cases as target cases this time. Although the number of DMB cases was small and a clear conclusion could not be drawn, we were able to suggest that osteoclasts do not recover even in DMB cases after several months of withdrawal.
Several conflicting opinions have been reported regarding the effects of AR drug holidays before tooth extraction. Otto et al. [24] demonstrated that zoledronic acid withdrawal before and after tooth extraction reduced the incidence of MRONJ in an animal experimental model. In contrast, Salgueiro et al. [25] stated that a 5-month drug holiday of the injectable BP drug does not affect the onset of MRONJ. Hasegawa et al. [13,26,27] also found in a multicenter study with a large number of cases that drug suspension did not affect the incidence of MRONJ after tooth extraction in osteoporosis patients receiving BP and high-dose ARs. In clinical practice, there is no report with a high level of evidence indicating the incidence of MRONJ decreased due to drug suspension before tooth extraction.
Regarding AR drug holidays during MRONJ treatment, the AAOMS and JSOMS position papers stated that it is desirable to withdraw ARs from the time of MRONJ diagnosis until the end of treatment [7,8]. Kim et al. [28] reported that in the MRONJ surgical treatment group, the treatment results of the 4-months or more drug holiday group were better than those of the non-drug group. Ramaglia et al. [29] also demonstrated that a drug holiday protocol promotes post-surgery healing, but the application must be determined for each patient’s condition. However, their papers are retrospective studies with a small number of cases and the level of evidence is low. In contrast, Hayashida et al. [30] collected a large number of MRONJ cases in a multicenter study and reported that AR drug holidays for approximately 3 months before surgery did not affect the treatment results of MRONJ surgery. Morishita et al. [18] reported that 2- to 6-month AR drug holidays before surgery did not affect treatment outcomes in osteoporosis patients with MRONJ. Otsuru et al. [31] also found that 2 to 4 months of preoperative high-dose AR drug holidays did not affect treatment outcomes in patients with cancer. As described above, the effectiveness of AR drug holidays during MRONJ treatment is also controversial, but there is no report with a high level of evidence that drug holidays improve MRONJ’s surgical results. In the present study, it was clarified that drug holidays of BP and DMB for several months did not recover the osteoclast suppression and did not affect the treatment outcome of MRONJ. Therefore, we believe that withdrawal of ARs should not be performed before tooth extraction or during MRONJ treatment.
This study has several limitations. Since the study was retrospective with a small number of cases, the criteria and duration of AR drug holidays differed depending on the case, and the patient background varied greatly, thus it is difficult to generalize the results obtained. The cases used in the histological examination were limited to those who underwent marginal resection or segmental resection, and selection bias may have occurred. For future research, we are considering increasing the number of cases, conducting more detailed examinations, and searching for local bone metabolism markers in molecular biology as well as a histological search.

5. Conclusions

This clinical study was conducted with patients using ARs for osteoporosis treatment and found that AR drug holidays for approximately 3 months neither recover osteoclast suppression nor affect treatment outcomes.

Author Contributions

All authors contributed to the study’s conception and design. Material preparation and data collection were performed by K.O., M.O., K.M., S.H., K.S., T.N. and S.S. Statistical analysis was performed by M.O. and M.U. All authors have read and agreed to the published version of the manuscript.

Funding

This research received no external funding.

Institutional Review Board Statement

The study protocol conformed to the ethical guidelines of the Declaration of Helsinki and the Ethical Guidelines for Medical and Health Research involving Human Subjects by the Ministry of Health, Labor, and Welfare of Japan. Ethical approval from the institutional review board of Nagasaki University Hospital was obtained (21021509).

Informed Consent Statement

As this was a retrospective study, the research plan was published on the homepage of the participating hospitals according to the instructions of the institutional review board, highlighting the guaranteed opt-out opportunity. Informed consent was waived by the ethics review board due to the retrospective study design.

Data Availability Statement

The datasets used and analyzed during the study are available from the corresponding author upon reasonable request.

Conflicts of Interest

The authors declare no conflict of interest.

References

  1. Delmas, P.D. The Use of Bisphosphonates in the Treatment of Osteoporosis. Curr. Opin. Rheumatol. 2005, 17, 462–466. [Google Scholar] [CrossRef] [PubMed]
  2. Black, D.M.; Cummings, S.R.; David, B.; Cauley, J.A.; Thompson, D.E.; Nevitt, M.C.; Bauer, D.C.; Genant, H.K.; Haskell, W.L.; Marcus, R.; et al. Randomised trial of effect of alendronate on risk of fracture in women with existing vertebral fractures. Lancet 1996, 348, 1535–1541. [Google Scholar] [CrossRef]
  3. Rosen, L.S.; Gordon, D.; Tchekmedyian, S.; Yanagihara, R.; Hirsh, V.; Krzakowski, M.; Pawlicki, M.; de Souza, P.; Zheng, M.; Urbanowitz, G.; et al. Zoledronic Acid versus Placebo in the Treatment of Skeletal Metastases in Patients with Lung Cancer and Other Solid Tumors: A Phase III, Double-Blind, Randomized Trial—The Zoledronic Acid Lung Cancer and Other Solid Tumors Study Group. J. Clin. Oncol. 2003, 21, 3150–3157. [Google Scholar] [CrossRef] [PubMed]
  4. Berenson, J.R.; Lichtenstein, A.; Porter, L.; Dimopoulos, M.A.; Bordoni, R.; George, S.; Lipton, A.; Keller, A.; Ballester, O.; Kovacs, M.J.; et al. Efficacy of Pamidronate in Reducing Skeletal Events in Patients with Advanced Multiple Myeloma. N. Engl. J. Med. 1996, 334, 488–493. [Google Scholar] [CrossRef] [PubMed]
  5. Stopeck, A.T.; Lipton, A.; Body, J.J.; Steger, G.G.; Tonkin, K.; De Boer, R.H.; Lichinitser, M.; Fujiwara, Y.; Yardley, D.A.; Viniegra, M.; et al. Denosumab Compared with Zoledronic Acid for the Treatment of Bone Metastases in Patients with Advanced Breast Cancer: A Randomized, Double-Blind Study. J. Clin. Oncol. 2010, 28, 5132–5139. [Google Scholar] [CrossRef]
  6. Terpos, E.; Raje, N.; Croucher, P.; Garcia-Sanz, R.; Leleu, X.; Pasteiner, W.; Wang, Y.; Glennane, A.; Canon, J.; Pawlyn, C. Denosumab Compared with Zoledronic Acid on PFS in Multiple Myeloma: Exploratory Results of an International Phase 3 Study. Blood Adv. 2021, 5, 725–736. [Google Scholar] [CrossRef]
  7. Ruggiero, S.L.; Dodson, T.B.; Fantasia, J.; Goodday, R.; Aghaloo, T.; Mehrotra, B.; O’Ryan, F. American Association of Oral and Maxillofacial Surgeons. American Association of Oral and Maxillofacial Surgeons Position Paper on Medication-Related Osteonecrosis of the Jaw--2014 Update. J. Oral Maxillofac. Surg. 2014, 72, 1938–1956. [Google Scholar] [CrossRef]
  8. Yoneda, T.; Hagino, H.; Sugimoto, T.; Ohta, H.; Takahashi, S.; Soen, S.; Taguchi, A.; Nagata, T.; Urade, M.; Shibahara, T.; et al. Antiresorptive Agent-Related Osteonecrosis of the Jaw: Position Paper 2017 of the Japanese Allied Committee on Osteonecrosis of the Jaw. J. Bone Miner. Metab. 2017, 35, 6–19. [Google Scholar] [CrossRef]
  9. Yarom, N.; Shapiro, C.L.; Peterson, D.E.; Van Poznak, C.H.; Bohlke, K.; Ruggiero, S.L.; Migliorati, C.A.; Khan, A.; Morrison, A.; Anderson, H.; et al. Medication-Related Osteonecrosis of the Jaw: MASCC/ISOO/ASCO Clinical Practice Guideline. J. Clin. Oncol. 2019, 37, 2270–2290. [Google Scholar] [CrossRef]
  10. Kim, J.W.; Kwak, M.K.; Han, J.J.; Lee, S.T.; Kim, H.Y.; Kim, S.H.; Jung, J.; Lee, J.K.; Lee, Y.K.; Kwon, Y.D.; et al. Medication Related Osteonecrosis of the Jaw: 2021 Position Statement of the Korean Society for Bone and Mineral Research and the Korean Association of Oral and Maxillofacial Surgeons. J. Bone Metab. 2021, 28, 279–296. [Google Scholar] [CrossRef]
  11. Mauceri, R.; Coniglio, R.; Abbinante, A.; Carcieri, P.; Tomassi, D.; Panzarella, V.; Di Fede, O.; Bertoldo, F.; Fusco, V.; Bedogni, A.; et al. The Preventive Care of Medication-Related Osteonecrosis of the Jaw (MRONJ): A Position Paper by Italian Experts for Dental Hygienists. Support. Care Cancer 2022, 30, 6429–6440. [Google Scholar] [CrossRef] [PubMed]
  12. Ruggiero, S.L.; Dodson, T.B.; Aghaloo, T.; Carlson, E.R.; Ward, B.B.; Kademani, D. American Association of Oral And Max-Illofacial Surgeons’ Position Paper on Medication-Related Osteonecrosis of the Jaws-2022 Update. J. Oral Maxillofac. Surg. 2022, 80, 920–943. [Google Scholar] [CrossRef]
  13. Hasegawa, T.; Kawakita, A.; Ueda, N.; Funahara, R.; Tachibana, A.; Kobayashi, M.; Kondou, E.; Takeda, D.; Kojima, Y.; Sato, S.; et al. A Multicenter Retrospective Study of the Risk Factors Associated with Medication-Related Osteonecrosis of the Jaw after Tooth Extraction in Patients Receiving Oral Bisphosphonate Therapy: Can Primary Wound Closure and a Drug Holiday Really Prevent MRONJ? Osteoporos. Int. 2017, 28, 2465–2473. [Google Scholar] [CrossRef] [PubMed]
  14. Russell, R.G.; Watts, N.B.; Ebetino, F.H.; Rogers, M.J. Mechanisms of Action of Bisphosphonates: Similarities and Differences and Their Potential Influence on Clinical Efficacy. Osteoporos. Int. 2008, 19, 733–759. [Google Scholar] [CrossRef] [PubMed]
  15. Baron, R.; Ferrari, S.; Russell, R.G. Denosumab and Bisphosphonates: Different Mechanisms of Action and Effects. Bone 2011, 48, 677–692. [Google Scholar] [CrossRef] [PubMed]
  16. Morishita, K.; Otsuru, M.; Soutome, S.; Hayashida, S.; Murata, M.; Nakamura, W.; Umeda, M. Duration of Drug Holiday of Oral Bisphosphonate and Osteoclast Morphology in Osteoporosis Patients with Medication-Related Osteonecrosis of the Jaw. J. Oral Maxillofac. Surg. Med. Pathol. 2022, 34, 467–471. [Google Scholar] [CrossRef]
  17. Otsuru, M.; Hayashida, S.; Morishita, K.; Murata, M.; Soutome, S.; Sasaki, M.; Takagi, Y.; Sumi, M.; Umeda, M. Retrospective Analysis of Treatment Outcomes of Maxillary Sinusitis Associated with Medication-Related Osteonecrosis of the Jaw. Int. J. Environ. Res. Public Health 2022, 19, 7430. [Google Scholar] [CrossRef]
  18. Morishita, K.; Soutome, S.; Otsuru, M.; Hayashida, S.; Murata, M.; Sasaki, M.; Takagi, Y.; Sumi, M.; Umeda, M. Relationship between Drug Holiday of the Antiresorptive Agents and Surgical Outcome of Medication-Related Osteonecrosis of the Jaw in Osteoporosis Patients. Sci. Rep. 2022, 12, 11545. [Google Scholar] [CrossRef]
  19. Otsuru, M.; Soutome, S.; Hayashida, S.; Rokutanda, S.; Yanamoto, S.; Umeda, M. A Preliminary Clinical Study of Segmental Mandibulectomy on Medication-Related Osteonecrosis of the Jaw. J. Dent. Sci. 2022, 17, 444–450. [Google Scholar] [CrossRef]
  20. Damm, D.D.; Jones, D.M. Bisphosphonate-Related Osteonecrosis of the Jaws: A Potential Alternative to Drug Holidays. Gen. Dent. 2013, 61, 33–38. [Google Scholar]
  21. Wehrhan, F.; Gross, C.; Creutzburg, K.; Amann, K.; Ries, J.; Kesting, M.; Geppert, C.I.; Weber, M. Osteoclastic Expression of Higher-Level Regulators NFATc1 and BCL6 in Medication-Related Osteonecrosis of the Jaw Secondary to Bisphosphonate Therapy: A Comparison with Osteoradionecrosis and Osteomyelitis. J. Transl. Med. 2019, 17, 69. [Google Scholar] [CrossRef] [PubMed]
  22. Miller, P.D. Denosumab: Anti-RANKL Antibody. Curr. Osteoporos. Rep. 2009, 7, 18–22. [Google Scholar] [CrossRef]
  23. Matsushita, Y.; Hayashida, S.; Morishita, K.; Sakamoto, H.; Naruse, T.; Sakamoto, Y.; Yamada, S.I.; Yanamoto, S.; Fujita, S.; Ikeda, T.; et al. Denosumab-Associated Osteonecrosis of the Jaw Affects Osteoclast Formation and Differentiation: Pathological Features of Two Cases. Mol. Clin. Oncol. 2016, 4, 191–194. [Google Scholar] [CrossRef] [PubMed][Green Version]
  24. Otto, S.; Pautke, C.; Arens, D.; Poxleitner, P.; Eberli, U.; Nehrbss, D.; Zeiter, S.; Stoddart, M.J.; Drug Holiday, A. A Drug Holiday Reduces the Frequency and Severity of Medication-Related Osteonecrosis of the Jaw in a Minipig Model. J. Bone Miner. Res. 2020, 35, 2179–2192. [Google Scholar] [CrossRef] [PubMed]
  25. Salgueiro, M.; Stribos, M.; Zhang, L.F.; Stevens, M.; Awad, M.E.; Elsalanty, M. Value of pre-operative CTX serum levels in the prediction of medication-related osteonecrosis of the jaw (MRONJ): A retrospective clinical study. EPMA J. 2019, 10, 21–29. [Google Scholar] [CrossRef] [PubMed]
  26. Hasegawa, T.; Hayashida, S.; Kondo, E.; Takeda, Y.; Miyamoto, H.; Kawaoka, Y.; Ueda, N.; Iwata, E.; Nakahara, H.; Kobayashi, M.; et al. Medication-Related Osteonecrosis of the Jaw after Tooth Extraction in Cancer Patients: A Multicenter Retrospective Study. Osteoporos. Int. 2019, 30, 231–239. [Google Scholar] [CrossRef] [PubMed]
  27. Hasegawa, T.; Ueda, N.; Yamada, S.I.; Kato, S.; Iwata, E.; Hayashida, S.; Kojima, Y.; Sinohara, M.; Tojo, I.; Nakahara, H.; et al. Denosumab-Related Osteonecrosis of the Jaw after Tooth Extraction and the Effects of a Short Drug Holiday in Cancer Patients: A Multicenter Retrospective Study. Osteoporos. Int. 2021, 32, 2323–2333. [Google Scholar] [CrossRef]
  28. Kim, Y.H.; Lee, H.K.; Song, S.I.; Lee, J.K. Drug Holiday as a Prognostic Factor of Medication-Related Osteonecrosis of the Jaw. J. Korean Assoc. Oral Maxillofac. Surg. 2014, 40, 206–210. [Google Scholar] [CrossRef]
  29. Ramaglia, L.; Guida, A.; Iorio-Siciliano, V.; Cuozzo, A.; Blasi, A.; Sculean, A. Stage-Specific Therapeutic Strategies of Medication-Related Osteonecrosis of the Jaws: A Systematic Review and Meta-analysis of the Drug Suspension Protocol. Clin. Oral Investig. 2018, 22, 597–615. [Google Scholar] [CrossRef]
  30. Hayashida, S.; Yanamoto, S.; Fujita, S.; Hasegawa, T.; Komori, T.; Kojima, Y.; Miyamoto, H.; Shibuya, Y.; Ueda, N.; Kirita, T.; et al. Drug Holiday Clinical Relevance Verification for Antiresorptive Agents in Medication-Related Osteonecrosis Cases of the Jaw. J. Bone Miner. Metab. 2020, 38, 126–134. [Google Scholar] [CrossRef]
  31. Otsuru, M.; Soutome, S.; Omori, K.; Suyama, K.; Morishita, K.; Hayashida, S.; Murata, M.; Takagi, Y.; Sasaki, M.; Sumi, M.; et al. Relationship between Drug Holidays of Antiresorptive Agents and Surgical Outcomes in Cancer Patients with Medication-Related Osteonecrosis of the Jaw. Int. J. Environ. Res. Public Health 2022, 19, 4624. [Google Scholar] [CrossRef] [PubMed]
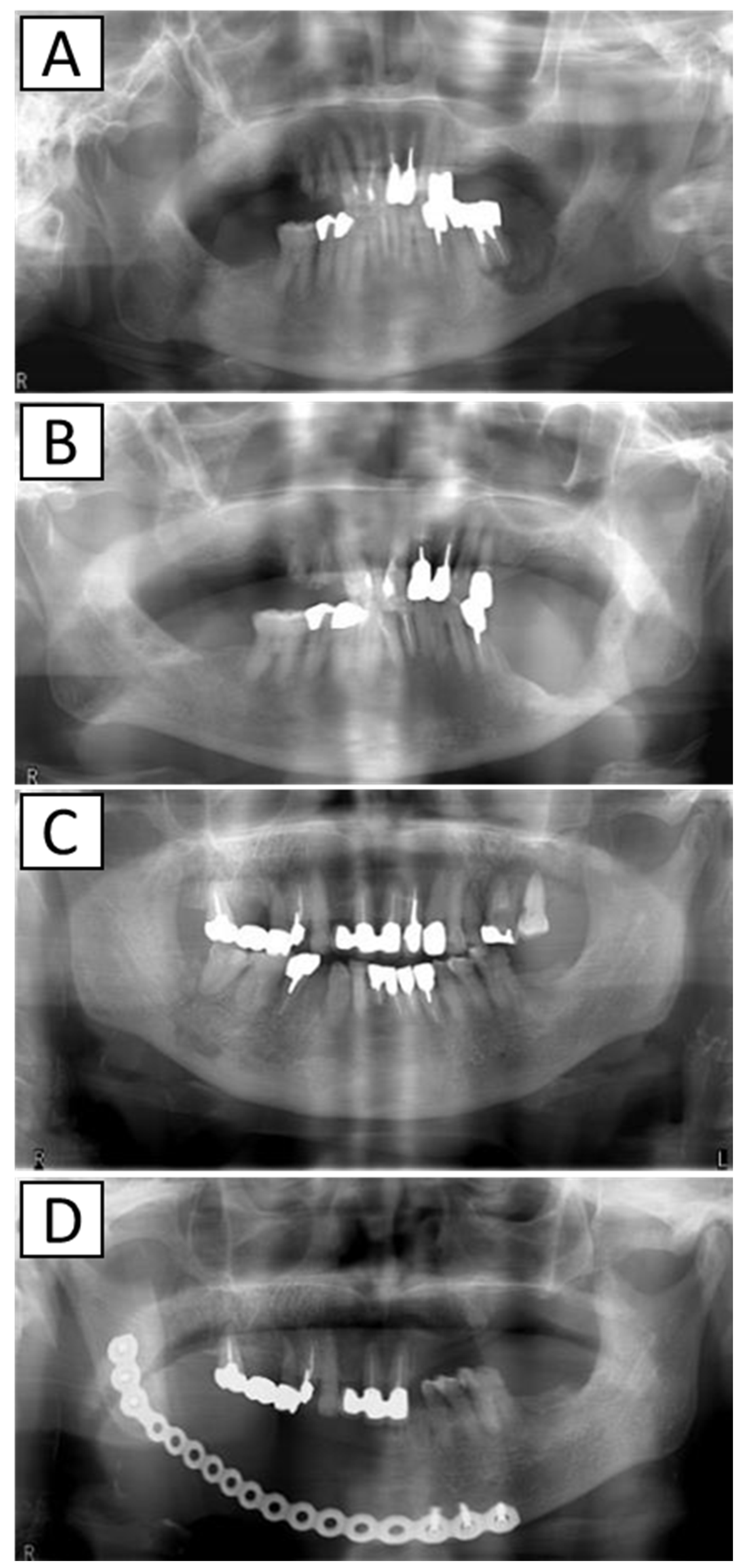
Figure 1. X-ray images before and after surgery. (A): Before marginal mandibulectomy, (B): after marginal mandibulectomy, (C): before segmental mandibulectomy, and (D): after segmental mandibulectomy.
Figure 1. X-ray images before and after surgery. (A): Before marginal mandibulectomy, (B): after marginal mandibulectomy, (C): before segmental mandibulectomy, and (D): after segmental mandibulectomy.
Ijerph 19 10898 g001
Figure 2. Histological findings of osteoclasts. (A): Normal osteoclasts (hematoxylin and eosin [HE] stain), (B): normal osteoclasts (cathepsin K stain), and (C): osteoclast suppression by BP. Giant multinuclear osteoclasts released from the bone surface (HE stain) and (D): osteoclast suppression by BP. Giant multinuclear osteoclasts released from the bone surface (cathepsin K stain) and (E): osteoclast suppression by DMB. Cathepsin-K positive, immature mononuclear or a small number of multinuclear cells and (F): osteoclast suppression by DMB. No cathepsin-K positive cells on the bone surface.
Figure 2. Histological findings of osteoclasts. (A): Normal osteoclasts (hematoxylin and eosin [HE] stain), (B): normal osteoclasts (cathepsin K stain), and (C): osteoclast suppression by BP. Giant multinuclear osteoclasts released from the bone surface (HE stain) and (D): osteoclast suppression by BP. Giant multinuclear osteoclasts released from the bone surface (cathepsin K stain) and (E): osteoclast suppression by DMB. Cathepsin-K positive, immature mononuclear or a small number of multinuclear cells and (F): osteoclast suppression by DMB. No cathepsin-K positive cells on the bone surface.
Ijerph 19 10898 g002
Figure 3. Cumulative healing rate by drug holidays. (A): Patients undergoing surgical treatments and (B): patients undergoing conservative treatments.
Figure 3. Cumulative healing rate by drug holidays. (A): Patients undergoing surgical treatments and (B): patients undergoing conservative treatments.
Ijerph 19 10898 g003
Figure 4. Relationship between drug holidays and osteoclast suppression. BP, bisphosphonate; DMB, denosumab.
Figure 4. Relationship between drug holidays and osteoclast suppression. BP, bisphosphonate; DMB, denosumab.
Ijerph 19 10898 g004
Table 1. Patient characteristics.
Table 1. Patient characteristics.
Variable Conservative TherapySurgical Therapy
SexMale417
Female23122
Age 80.6 ± 9.2078.5 ± 9.20
SiteUpper jaw632
Lower jaw21107
StageStage 132
Stage 21699
Stage 3838
Sort of ARBP23113
          Alendronate1972
          Risedronate210
          Minodronate18
          Etidronate07
          Ibandronate05
          Zoledronate04
          Alendronate→minodronate04
          Alendronate→risedronate01
          Ibandronate→alencronate02
          Unknown10
DMB426
Duration of administration<4 years860
≥4 years1670
unknown39
Corticosteroid(−)19100
(+)89
Diabetes(−)19123
(+)816
Serum albumin 3.62 ± 0.4913.83 ± 0.491
Serum creatinine 0.635 ± 0.8610.890 ± 0.861
Drug withdrawal for ≥3 months(−)782
(+)2057
Surgical methodMarginal resection-133
Segmental resection-6
Follow-up period (days)Mean ± SD447 ± 370447 ± 370
Total 27139
Abbreviation: AR: antiresorptive agent, BP: bisphosphonate, and DMB: denosumab.
Table 2. Factors related to healing rate of MRONJ by univariate analysis (Total: 166 patients).
Table 2. Factors related to healing rate of MRONJ by univariate analysis (Total: 166 patients).
Variable p-ValueHR95% CI
SexFemale/male0.8030.9370.561–1.564
Age 0.2550.9900.973–1.007
Site of MRONJLower jaw/upper jaw0.0580.6790.456–1.013
Stage of MRONJStage 3/2/10.9460.9880.703–1.389
Sort of ARDMB/BP0.4611.1670.774–1.760
Duration of administration≧4 years/<4 years0.3380.8380.583–1.204
Corticosteroid(+)/(−)0.4800.8670.583–1.288
Diabetes(+)/(−)0.0280.5350.306–0.935
Serum albumin 0.0031.6701.196–2.331
Serum creatinine 0.0250.4730.246–0.908
Drug withdrawal for ≥3 months(+)/(−)0.3750.8510.596–1.215
Treatment methodsurgical/conservative<0.00114.126 5.177–38.543
Cox regression analysis: Abbreviation: AR: antiresorptive agent, BP: bisphosphonate, DMB: denosumab, HR: hazard ratio, and CI: confidence interval.
Table 3. Factors related to healing rate of MRONJ by multivariate analysis (Total: 166 patients).
Table 3. Factors related to healing rate of MRONJ by multivariate analysis (Total: 166 patients).
Variable p-ValueHR95% CI
Site of MRONJLower jaw/upper jaw0.0450.6500.427–0.990
Diabetes(+)/(−)0.3710.7570.411–1.393
Serum albumin 0.0181.6651.078–2.239
Serum creatinine 0.1410.6250.334–1.168
Drug withdrawal for ≥3 months(+)/(−)0.3241.2100.828–1.770
Treatment methodSurgical/conservative<0.00113.1044.080–42.088
Cox proportional hazard model: Abbreviation: HR: hazard ratio and CI: confidence interval.
Table 4. Factors related to healing rate of MRONJ by univariate analysis of 139 patients undergoing surgical therapy.
Table 4. Factors related to healing rate of MRONJ by univariate analysis of 139 patients undergoing surgical therapy.
Variable p-ValueHR95% CI
SexFemale/male0.6880.8980.529–1.522
Age 0.5510.9950.977–1.013
SiteLower jaw/upper jaw0.0190.6140.409–0.922
StageStage 3/2/10.6000.9010.609–1.332
Sort of ARDMB/BP0.1981.3550.853–2.151
Duration of administration≧4 years/<4 years0.5430.8920.617–1.289
Corticosteroid(+)/(−)0.3370.8190.545–1.231
Diabetes(+)/(−)0.3170.7450.418–1.326
Serum albumin 0.0151.5761.094–2.270
Serum creatinine 0.1390.6520.369–1.149
Drug withdrawal for ≥3 months(+)/(−)0.1311.3240.919–1.907
Surgical methodSegmental/marginal0.5021.3270.581–3.030
Cox regression analysis: Abbreviation, AR: antiresorptive agent, BP: bisphosphonate, DMB: denosumab, HR: hazard ratio, and CI: confidence interval.
Table 5. Factors related to healing rate of MRONJ by multivariate analysis of 139 patients undergoing surgical therapy.
Table 5. Factors related to healing rate of MRONJ by multivariate analysis of 139 patients undergoing surgical therapy.
Variable p-ValueHR95% CI
SiteLower jaw/upper jaw0.0280.6270.414–0.952
Serum albumin 0.0291.5021.042–2.166
Drug withdrawal for ≥3 months(+)/(−)0.1901.2870.882–1.877
Cox proportional hazard model: Abbreviation, HR: hazard ratio, and CI: confidence interval.
Table 6. Factors related to healing rate of MRONJ by univariate analysis of 27 patients undergoing conservative therapy.
Table 6. Factors related to healing rate of MRONJ by univariate analysis of 27 patients undergoing conservative therapy.
Variable p-ValueHR95% CI
SexFemale/male0.6730.6140.064–5.925
Age 0.9151.0060.897–1.129
SiteLower jaw/upper jaw0.9811.0280.106–9.924
StageStage 3/2/10.5970.6460.128–3.259
Sort of ARDMB/BP0.2732.3860.504–11.284
Duration of administration≧4 years/<4 years0.39440.9420.008–207654
Corticosteroid(+)/(−)0.4382.1730.306–15.442
Diabetes(+)/(−)0.6060.5480.056–5.386
Serum albumin 0.6501.4730.277–7.830
Serum creatinine 0.2540.0470.000–9.067
Drug withdrawal for ≥3 months(+)/(−)0.9430.9200.095–8.932
Cox regression analysis: Abbreviation, AR: antiresorptive agent, BP: bisphosphonate, DMB: denosumab, HR: hazard ratio, and CI: confidence interval.
Table 7. Summary of histologic findings.
Table 7. Summary of histologic findings.
CaseSexAgeAntiresorptive AgentAdministration PeriodDuration of Drug HolidayHistological Findings
Normal OsteoclastsSuppressed Osteoclasts
1Female89BP (alendronate)3538155++
2Female59BP (alendronate)Unknown0++
3Male96BP (minodronate)More than 10 years0+
4Female81BP (minodronate)2435640+
5Female79BP (alendronate)644224+
6Female78BP (alendronate)About 2 years0+
7Female82BP (alendronate)26420+
8Male89BP (minodronate)Unknown0+
9Female90BP (ibandronate)UnknownUnknown+
10Female92BP (risedronate)More than 5 years0+
11Female89BP (alendronate)4122115++
12Female89BP (alendronate)4122115++
13Female79BP (alendronate)Unknown0++
14Female77BP (alendronate)Unknown0
15Female83BP (alendronate)2192678++
16Female87BP (alendronate)2748261+
17Female92BP (ibandronate)26570+
18Female88BP (risedronate)Unknown0+
19Female87BP (minodronate)About 4 yearsUnknown++
20Female74BP (alendronate)24110+
21Female84BP (alendronate)12920+
22Female81BP (alendronate)1610++
23Female87BP (alendronate)Unknown313
24Male68BP (alendronate)20310
25Female77BP (alendronate)14130+
26Male80BP (alendronate)29440++
27Female74BP (alendronate)9220+
28Female86BP (alendronate)14687++
29Female82BP (minodronate)About 5 years0++
30Female82BP (risedronate)7820+
31Female87BP (risedronate)→BP (alendronate)→DMB19770+
32Male79BP (alendronate)→DMB19960+
33Female86BP (alendronate)→DMB10130+
34Female91BP (alendronate)→DMB25880+
35Female80BP (risedronate)→BP (alendronate)→DMB1371206+
36Female89BP (alendronate)→DMB33190+
37Female70BP (ibandronate)→DMB73136+
38Female90BP (zoledronate)→DMB721171++
39Male65DMB36168
40Female85DMB5600++
41Female65DMBUnknown19+
42Female59DMB18461+
43Female84DMBUnknown13+
Abbreviation: BP: bisphosphonate and DMB: denosumab.
Publisher’s Note: MDPI stays neutral with regard to jurisdictional claims in published maps and institutional affiliations.

Share and Cite

MDPI and ACS Style

Omori, K.; Otsuru, M.; Morishita, K.; Hayashida, S.; Suyama, K.; Naruse, T.; Soutome, S.; Umeda, M. Ineffectiveness of Antiresorptive Agent Drug Holidays in Osteoporosis Patients for Treatment of Medication-Related Osteonecrosis of the Jaw: Consideration from Immunohistological Observation of Osteoclast Suppression and Treatment Outcomes. Int. J. Environ. Res. Public Health 2022, 19, 10898. https://doi.org/10.3390/ijerph191710898

AMA Style

Omori K, Otsuru M, Morishita K, Hayashida S, Suyama K, Naruse T, Soutome S, Umeda M. Ineffectiveness of Antiresorptive Agent Drug Holidays in Osteoporosis Patients for Treatment of Medication-Related Osteonecrosis of the Jaw: Consideration from Immunohistological Observation of Osteoclast Suppression and Treatment Outcomes. International Journal of Environmental Research and Public Health. 2022; 19(17):10898. https://doi.org/10.3390/ijerph191710898

Chicago/Turabian Style

Omori, Keisuke, Mitsunobu Otsuru, Kota Morishita, Saki Hayashida, Koki Suyama, Tomofumi Naruse, Sakiko Soutome, and Masahiro Umeda. 2022. "Ineffectiveness of Antiresorptive Agent Drug Holidays in Osteoporosis Patients for Treatment of Medication-Related Osteonecrosis of the Jaw: Consideration from Immunohistological Observation of Osteoclast Suppression and Treatment Outcomes" International Journal of Environmental Research and Public Health 19, no. 17: 10898. https://doi.org/10.3390/ijerph191710898

APA Style

Omori, K., Otsuru, M., Morishita, K., Hayashida, S., Suyama, K., Naruse, T., Soutome, S., & Umeda, M. (2022). Ineffectiveness of Antiresorptive Agent Drug Holidays in Osteoporosis Patients for Treatment of Medication-Related Osteonecrosis of the Jaw: Consideration from Immunohistological Observation of Osteoclast Suppression and Treatment Outcomes. International Journal of Environmental Research and Public Health, 19(17), 10898. https://doi.org/10.3390/ijerph191710898

Note that from the first issue of 2016, this journal uses article numbers instead of page numbers. See further details here.

Article Metrics

Back to TopTop