Implantation of a Leadless Pacemaker after Incomplete Transvenous Lead Extraction in a 90-Year-Old Pacemaker-Dependent Patient
Abstract
:1. Introduction
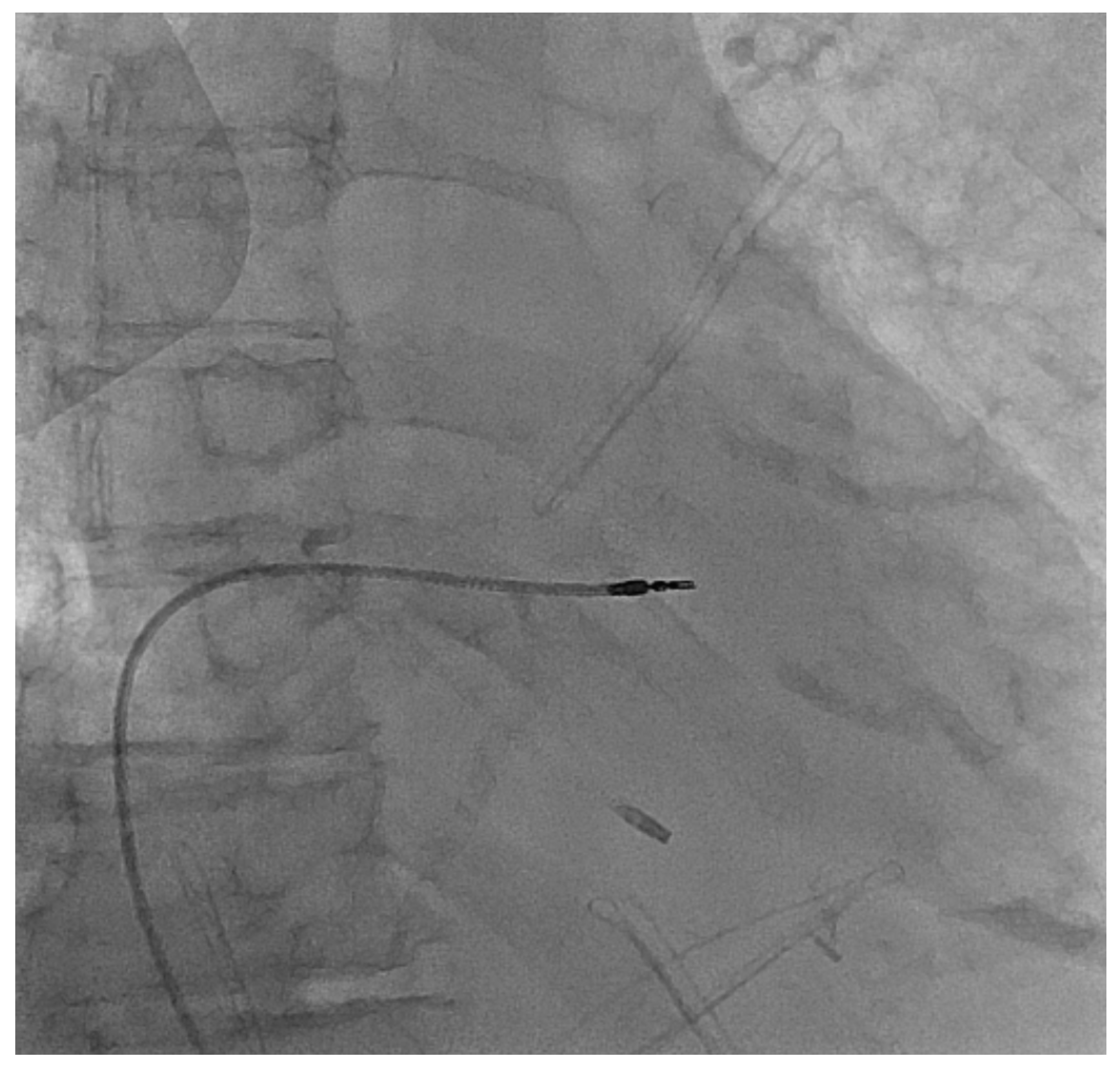
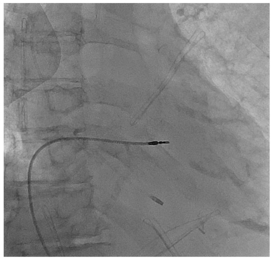
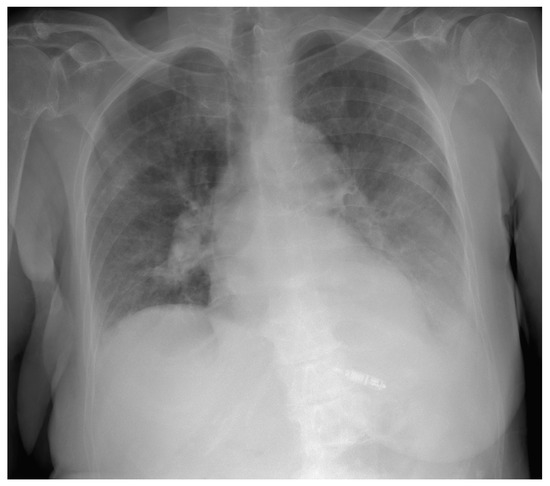
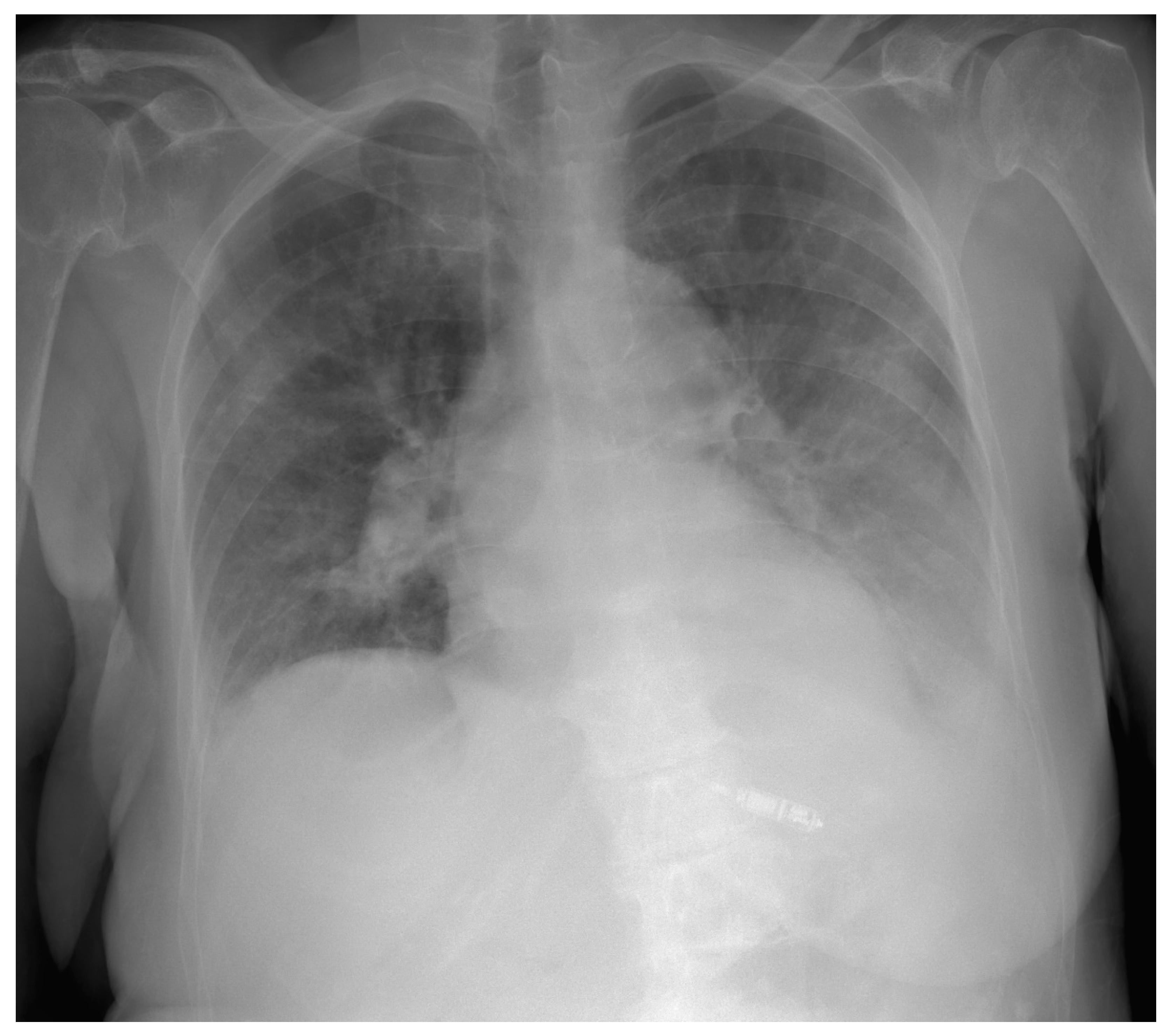
2. Case Presentation
3. Discussion
4. Conclusions
5. Take-Home Message
- While performing TLE, a possible variety of complications, such as lead fragmentation, must be taken into account.
- In elderly PM-dependent patients, careful risk–benefit evaluation should precede a new trial of fragmented lead extraction.
- LP is an excellent alternative for PM-dependent individuals who manifest contraindications for permanent transvenous PM implantation.
Author Contributions
Funding
Institutional Review Board Statement
Informed Consent Statement
Conflicts of Interest
References
- Glikson, M.; Nielsen, J.C.; Kronborg, M.B.; Michowitz, Y.; Auricchio, A.; Barbash, I.M.; Barrabes, J.A.; Boriani, G.; Braunschweig, F.; Brignole, M.; et al. 2021 ESC Guidelines on cardiac pacing and cardiac resynchronization therapy. Eur. Heart J. 2021, 42, 3427–3520. [Google Scholar] [CrossRef] [PubMed]
- Kusumoto, F.M.; Schoenfeld, M.H.; Wilkoff, B.L.; Berul, C.I.; Birgersdotter-Green, U.M.; Carrillo, R.; Cha, Y.M.; Clancy, J.; Deharo, J.C.; Ellenbogen, K.A.; et al. 2017 HRS expert consensus statement on cardiovascular implantable electronic device lead management and extraction. Heart Rhythm 2017, 14, e503–e551. [Google Scholar] [CrossRef] [Green Version]
- D’Angelo, G.; Zweiker, D.; Fierro, N.; Marzi, A.; Paglino, G.; Gulletta, S.; Matta, M.; Melillo, F.; Bisceglia, C.; Limite, L.R.; et al. Check the need–prevalence and outcome after transvenous cardiac implantable electric device extraction without reimplantation. J. Clin. Med. 2021, 10, 4043. [Google Scholar] [CrossRef] [PubMed]
- Blomström-Lundqvist, C.; Traykov, V.; Erba, P.A.; Burri, H.; Nielsen, J.C.; Bongiorni, M.G.; Poole, J.; Boriani, G.; Costa, R.; Deharo, J.-C.; et al. European Heart Rhythm Association (EHRA) International Consensus Document on How to Prevent, Diagnose, and Treat Cardiac Implantable Electronic Device Infections—Endorsed by the Heart Rhythm Society (HRS), the Asia Pacific Heart Rhythm Society (APHRS), the Latin American Heart Rhythm Society (LAHRS), International Society for Cardiovascular Infectious Diseases (ISCVID), and the European Society of Clinical Microbiology and Infectious Diseases (ESCMID) in Collaboration With the European Association for Cardio-Thoracic Surgery (EACTS). Eur. Heart J. 2020, 22, 515–549. [Google Scholar]
- Wilkoff, B.L.; Love, C.J.; Byrd, C.L.; Bongiorni, M.G.; Carrillo, R.G.; Crossley, G.H.; Epstein, L.M.; Friedman, R.A.; Kennergren, C.E.H.; Mitkowski, P.; et al. Transvenous Lead Extraction: Heart Rhythm Society Expert Consensus on Facilities, Training, Indications, and Patient Management. This document was endorsed by the American Heart Association (AHA). Heart Rhythm 2009, 6, 1085–1104. [Google Scholar] [CrossRef] [PubMed]
- Garg, A.; Koneru, J.N.; Fagan, D.H.; Stromberg, K.; Padala, S.K.; El-Chami, M.F.; Roberts, P.R.; Piccini, J.P.; Cheng, A.; Ellenbogen, K.A. Morbidity and mortality in patients precluded for transvenous pacemaker implantation: Experience with a leadless pacemaker. Heart Rhythm 2020, 17, 2056–2063. [Google Scholar] [CrossRef]
- della Rocca, D.G.; Gianni, C.; di Biase, L.; Natale, A.; Al-Ahmad, A. Leadless Pacemakers: State of the Art and Future Perspectives. Card. Electrophysiol. Clin. 2018, 10, 17–29. [Google Scholar] [CrossRef] [PubMed]
- El-Chami, M.F.; Al-Samadi, F.; Clementy, N.; Garweg, C.; Martinez-Sande, J.L.; Piccini, J.P.; Iacopino, S.; Lloyd, M.; Prat, X.V.; Jacobsen, M.D.; et al. Updated performance of the Micra transcatheter pacemaker in the real-world setting: A comparison to the investigational study and a transvenous historical control. Heart Rhythm 2018, 15, 1800–1807. [Google Scholar] [CrossRef] [PubMed] [Green Version]


Publisher’s Note: MDPI stays neutral with regard to jurisdictional claims in published maps and institutional affiliations. |
© 2022 by the authors. Licensee MDPI, Basel, Switzerland. This article is an open access article distributed under the terms and conditions of the Creative Commons Attribution (CC BY) license (https://creativecommons.org/licenses/by/4.0/).
Share and Cite
Drożdż, G.; Hrymniak, B.; Biel, B.; Skoczyński, P.; Drożdż, W.; Zyśko, D.; Banasiak, W.; Jagielski, D. Implantation of a Leadless Pacemaker after Incomplete Transvenous Lead Extraction in a 90-Year-Old Pacemaker-Dependent Patient. Int. J. Environ. Res. Public Health 2022, 19, 6313. https://doi.org/10.3390/ijerph19106313
Drożdż G, Hrymniak B, Biel B, Skoczyński P, Drożdż W, Zyśko D, Banasiak W, Jagielski D. Implantation of a Leadless Pacemaker after Incomplete Transvenous Lead Extraction in a 90-Year-Old Pacemaker-Dependent Patient. International Journal of Environmental Research and Public Health. 2022; 19(10):6313. https://doi.org/10.3390/ijerph19106313
Chicago/Turabian StyleDrożdż, Gerald, Bruno Hrymniak, Bartosz Biel, Przemysław Skoczyński, Wiktoria Drożdż, Dorota Zyśko, Waldemar Banasiak, and Dariusz Jagielski. 2022. "Implantation of a Leadless Pacemaker after Incomplete Transvenous Lead Extraction in a 90-Year-Old Pacemaker-Dependent Patient" International Journal of Environmental Research and Public Health 19, no. 10: 6313. https://doi.org/10.3390/ijerph19106313
APA StyleDrożdż, G., Hrymniak, B., Biel, B., Skoczyński, P., Drożdż, W., Zyśko, D., Banasiak, W., & Jagielski, D. (2022). Implantation of a Leadless Pacemaker after Incomplete Transvenous Lead Extraction in a 90-Year-Old Pacemaker-Dependent Patient. International Journal of Environmental Research and Public Health, 19(10), 6313. https://doi.org/10.3390/ijerph19106313

