The Impact of Hempseed Consumption on Bone Parameters and Body Composition in Growing Female C57BL/6 Mice
Abstract
:1. Introduction
2. Materials and Methods
2.1. Experimental Design
2.2. Diets
2.3. Body Weight and Food Intake Measurement
2.4. Body Composition and Bone Mineral Measurement
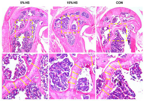
2.5. Determination of Bone Cell Density and Epiphyseal Plate Thickness
2.6. Immunohistochemistry Determination of Bone Marrow Adipocyte Density
2.7. Dual-Energy X-ray Absorptiometry Analysis of Humerus Bone BMC and BMD at Distal Region
2.8. Statistical Analysis
3. Results
3.1. Body Weight and Food Intake
3.2. Body Composition
3.3. Humerus Bone Osteoblast Cell Density, Mineralization and Growth Plate Thickness
3.4. PRDM16-Positive Cells in the Bone Marrow
4. Discussion
5. Conclusions
Supplementary Materials
Author Contributions
Funding
Institutional Review Board Statement
Informed Consent Statement
Data Availability Statement
Acknowledgments
Conflicts of Interest
References
- Hansen, D.; Pelizzari, P.; Pyenson, B. Medicare Costs of Osteoporotic Fractures; National Osteoporotic Foundation: Arlington, VA, USA, 2021; Available online: https://assets.milliman.com/ektron/Medicare_cost_of_osteoporotic_fractures.pdf (accessed on 7 May 2022).
- Hansen, M.A.; Overgaard, K.; Riis, B.J.; Christiansen, C. Role of Peak Bone Mass and Bone Loss in Postmenopausal Osteoporosis: 12 Year Study. BMJ 1991, 303, 961–964. [Google Scholar] [CrossRef] [PubMed]
- Matkovic, V.; Jelic, T.; Wardlaw, G.M.; Ilich, J.Z.; Goel, P.K.; Wright, J.K.; Andon, M.B.; Smith, K.T.; Heaney, R.P. Timing of Peak Bone Mass in Caucasian Females and Its Implication for the Prevention of Osteoporosis. Inference from a Cross-Sectional Model. J. Clin. Investig. 1994, 93, 799–808. [Google Scholar] [CrossRef] [PubMed] [Green Version]
- Golden, N.H.; Abrams, S.A.; Nutrition, C. Optimizing Bone Health in Children and Adolescents. Pediatrics 2014, 134, e1229–e1243. [Google Scholar] [CrossRef] [PubMed] [Green Version]
- Blumberg, J.B.; Frei, B.; Fulgoni, V.L.; Weaver, C.M.; Zeisel, S.H. Contribution of Dietary Supplements to Nutritional Adequacy in Various Adult Age Groups. Nutrients 2017, 9, 1325. [Google Scholar] [CrossRef] [Green Version]
- Farahnak, Z.; Freundorfer, M.T.; Lavery, P.; Weiler, H.A. Dietary Docosahexaenoic Acid Contributes to Increased Bone Mineral Accretion and Strength in Young Female Sprague-Dawley Rats. Prostaglandins Leukot. Essent. Fat. Acids 2019, 144, 32–39. [Google Scholar] [CrossRef]
- Watkins, B.A.; Li, Y.; Lippman, H.E.; Feng, S. Modulatory Effect of Omega-3 Polyunsaturated Fatty Acids on Osteoblast Function and Bone Metabolism. Prostaglandins Leukot. Essent. Fat. Acids 2003, 68, 387–398. [Google Scholar] [CrossRef]
- Griel, A.E.; Kris-Etherton, P.M.; Hilpert, K.F.; Zhao, G.; West, S.G.; Corwin, R.L. An Increase in Dietary N-3 Fatty Acids Decreases a Marker of Bone Resorption in Humans. Nutr. J. 2007, 6, 2. [Google Scholar] [CrossRef] [Green Version]
- Santiago-Mora, R.; Casado-Díaz, A.; De Castro, M.D.; Quesada-Gómez, J.M. Oleuropein Enhances Osteoblastogenesis and Inhibits Adipogenesis: The Effect on Differentiation in Stem Cells Derived from Bone Marrow. Osteoporos. Int. 2011, 22, 675–684. [Google Scholar] [CrossRef]
- Oka, Y.; Iwai, S.; Amano, H.; Irie, Y.; Yatomi, K.; Ryu, K.; Yamada, S.; Inagaki, K.; Oguchi, K. Tea Polyphenols Inhibit Rat Osteoclast Formation and Differentiation. J. Pharmacol. Sci. 2012, 118, 55–64. [Google Scholar] [CrossRef] [Green Version]
- Wang, D.D.; Hu, F.B. Dietary Fat and Risk of Cardiovascular Disease: Recent Controversies and Advances. Annu. Rev. Nutr. 2017, 37, 423–446. [Google Scholar] [CrossRef]
- Sacks, F.M.; Lichtenstein, A.H.; Wu, J.H.Y.; Appel, L.J.; Creager, M.A.; Kris-Etherton, P.M.; Miller, M.; Rimm, E.B.; Rudel, L.L.; Robinson, J.G.; et al. Dietary Fats and Cardiovascular Disease: A Presidential Advisory from the American Heart Association. Circulation 2017, 136, e1–e23. [Google Scholar] [CrossRef] [PubMed]
- Wauquier, F.; Léotoing, L.; Philippe, C.; Spilmont, M.; Coxam, V.; Wittrant, Y. Pros and Cons of Fatty Acids in Bone Biology. Prog. Lipid Res. 2015, 58, 121–145. [Google Scholar] [CrossRef] [PubMed]
- Welch, A.; MacGregor, A.; Jennings, A.; Fairweather-Tait, S.; Spector, T.; Cassidy, A. Habitual Flavonoid Intakes Are Positively Associated with Bone Mineral Density in Women. J. Bone Miner. Res. 2012, 27, 1872–1878. [Google Scholar] [CrossRef] [PubMed]
- Hardcastle, A.C.; Aucott, L.; Reid, D.M.; Macdonald, H.M. Associations between Dietary Flavonoid Intakes and Bone Health in a Scottish Population. J. Bone Miner. Res. 2011, 26, 941–947. [Google Scholar] [CrossRef] [PubMed]
- Weaver, C.M.; Alekel, D.L.; Ward, W.E.; Ronis, M.J. Flavonoid Intake and Bone Health. J. Nutr. Gerontol. Geriatr. 2012, 31, 239–253. [Google Scholar] [CrossRef] [PubMed]
- Zhang, Z.-Q.; He, L.-P.; Liu, Y.-H.; Liu, J.; Su, Y.-X.; Chen, Y.-M. Association between Dietary Intake of Flavonoid and Bone Mineral Density in Middle Aged and Elderly Chinese Women and Men. Osteoporos. Int. 2014, 25, 2417–2425. [Google Scholar] [CrossRef]
- Smeriglio, A.; Galati, E.M.; Monforte, M.T.; Lanuzza, F.; D’Angelo, V.; Circosta, C. Polyphenolic Compounds and Antioxidant Activity of Cold-Pressed Seed Oil from Finola Cultivar of Cannabis sativa L. Phytother. Res. 2016, 30, 1298–1307. [Google Scholar] [CrossRef]
- Leonard, W.; Zhang, P.; Ying, D.; Fang, Z. Hempseed in Food Industry: Nutritional Value, Health Benefits, and Industrial Applications. Compr. Rev. Food Sci. Food Saf. 2020, 19, 282–308. [Google Scholar] [CrossRef] [Green Version]
- Weiss, L.A.; Barrett-Connor, E.; von Mühlen, D. Ratio of N-6 to n-3 Fatty Acids and Bone Mineral Density in Older Adults: The Rancho Bernardo Study. Am. J. Clin. Nutr. 2005, 81, 934–938. [Google Scholar] [CrossRef]
- Graef, J.L.; Rendina-Ruedy, E.; Crockett, E.K.; Ouyang, P.; Wu, L.; King, J.B.; Cichewicz, R.H.; Lin, D.; Lucas, E.A.; Smith, B.J. Osteoclast Differentiation Is Downregulated by Select Polyphenolic Fractions from Dried Plum via Suppression of MAPKs and Nfatc1 in Mouse C57BL/6 Primary Bone Marrow Cells. Curr. Dev. Nutr. 2017, 1, e000406. [Google Scholar] [CrossRef]
- Lucas, S.; Omata, Y.; Hofmann, J.; Böttcher, M.; Iljazovic, A.; Sarter, K.; Albrecht, O.; Schulz, O.; Krishnacoumar, B.; Krönke, G.; et al. Short-Chain Fatty Acids Regulate Systemic Bone Mass and Protect from Pathological Bone Loss. Nat. Commun. 2018, 9, 55. [Google Scholar] [CrossRef] [PubMed] [Green Version]
- Wauquier, F.; Barquissau, V.; Léotoing, L.; Davicco, M.J.; Lebecque, P.; Mercier, S.; Philippe, C.; Miot-Noirault, E.; Chardigny, J.M.; Morio, B.; et al. Borage and Fish Oils Lifelong Supplementation Decreases Inflammation and Improves Bone Health in a Murine Model of Senile Osteoporosis. Bone 2012, 50, 553–561. [Google Scholar] [CrossRef] [PubMed]
- Agidigbi, T.S.; Kim, C. Reactive Oxygen Species in Osteoclast Differentiation and Possible Pharmaceutical Targets of ROS-Mediated Osteoclast Diseases. Int. J. Mol. Sci. 2019, 20, 3576. [Google Scholar] [CrossRef] [PubMed] [Green Version]
- Casado-Díaz, A.; Santiago-Mora, R.; Dorado, G.; Quesada-Gómez, J.M. The Omega-6 Arachidonic Fatty Acid, but Not the Omega-3 Fatty Acids, Inhibits Osteoblastogenesis and Induces Adipogenesis of Human Mesenchymal Stem Cells: Potential Implication in Osteoporosis. Osteoporos. Int. 2013, 24, 1647–1661. [Google Scholar] [CrossRef] [PubMed]
- Zhao, M.; Ko, S.-Y.; Garrett, I.R.; Mundy, G.R.; Gutierrez, G.E.; Edwards, J.R. The Polyphenol Resveratrol Promotes Skeletal Growth in Mice through a Sirtuin 1-Bone Morphogenic Protein 2 Longevity Axis. Br. J. Pharmacol. 2018, 175, 4183–4192. [Google Scholar] [CrossRef] [Green Version]
- Graef, J.L.; Rendina-Ruedy, E.; Crockett, E.K.; Ouyang, P.; King, J.B.; Cichewicz, R.H.; Lucas, E.A.; Smith, B.J. Select Polyphenolic Fractions from Dried Plum Enhance Osteoblast Activity through BMP-2 Signaling. J. Nutr. Biochem. 2018, 55, 59–67. [Google Scholar] [CrossRef]
- Huang, J.; Yuan, L.; Wang, X.; Zhang, T.-L.; Wang, K. Icaritin and Its Glycosides Enhance Osteoblastic, but Suppress Osteoclastic, Differentiation and Activity In Vitro. Life Sci. 2007, 81, 832–840. [Google Scholar] [CrossRef]
- Opyd, P.M.; Jurgoński, A.; Fotschki, B.; Juśkiewicz, J. Dietary Hemp Seeds More Effectively Attenuate Disorders in Genetically Obese Rats than Their Lipid Fraction. J. Nutr. 2020, 150, 1425–1433. [Google Scholar] [CrossRef]
- Bao, M.; Zhang, K.; Wei, Y.; Hua, W.; Gao, Y.; Li, X.; Ye, L. Therapeutic Potentials and Modulatory Mechanisms of Fatty Acids in Bone. Cell Prolif. 2019, 53, e12735. [Google Scholar] [CrossRef] [Green Version]
- Askarpour, M.; Karimi, M.; Hadi, A.; Ghaedi, E.; Symonds, M.E.; Miraghajani, M.; Javadian, P. Effect of Flaxseed Supplementation on Markers of Inflammation and Endothelial Function: A Systematic Review and Meta-Analysis. Cytokine 2019, 126, 154922. [Google Scholar] [CrossRef]
- Florencio-Silva, R.; Sasso, G.R.; Sasso-Cerri, E.; Simões, M.J.; Cerri, P.S. Biology of Bone Tissue: Structure, Function, and Factors That Influence Bone Cells. Biomed. Res. Int. 2015, 2015, 421746. [Google Scholar] [CrossRef] [PubMed] [Green Version]
- Bani Hassan, E.; Alderghaffar, M.; Wauquier, F.; Coxam, V.; Demontiero, O.; Vogrin, S.; Wittrant, Y.; Duque, G. The Effects of Dietary Fatty Acids on Bone, Hematopoietic Marrow and Marrow Adipose Tissue in a Murine Model of Senile Osteoporosis. Aging 2019, 11, 7938–7947. [Google Scholar] [CrossRef] [PubMed]
- Pierce, J.L.; Begun, D.L.; Westendorf, J.J.; McGee-Lawrence, M.E. Defining Osteoblast and Adipocyte Lineages in the Bone Marrow. Bone 2019, 118, 2–7. [Google Scholar] [CrossRef] [PubMed]
- Skřivan, M.; Englmaierová, M.; Taubner, T.; Skřivanová, E. Effects of Dietary Hemp Seed and Flaxseed on Growth Performance, Meat Fatty Acid Compositions, Liver Tocopherol Concentration and Bone Strength of Cockerels. Animals 2020, 10, 458. [Google Scholar] [CrossRef] [Green Version]
- Skřivan, M.; Englmaierová, M.; Vít, T.; Skřivanová, E. Hempseed Increases Gamma-Tocopherol in Egg Yolks and the Breaking Strength of Tibias in Laying Hens. PLoS ONE 2019, 14, e0217509. [Google Scholar] [CrossRef]
- Federal Register; US Department of Agriculture, Agricultural Marketing Service. Establishment of a Domestic Hemp Production Program. 2019; pp. 58522–58564. Available online: https://www.federalregister.gov/documents/2021/01/19/2021-00967/establishment-of-a-domestic-hemp-production-program (accessed on 7 May 2022).
- PR Newswire Global $544.93 Million Hemp Seeds Markets to 2027. PR Newswire US, 5 May 2021. Available online: https://www.prnewswire.com/news-releases/global-544-93-million-hemp-seeds-markets-to-2027--301284430.html (accessed on 7 May 2022).
- Ellison, S. Hemp (Cannabis Sativa L.) Research Priorities: Opinions from United States Hemp Stakeholders. GCB Bioenergy 2021, 13, 562–569. [Google Scholar] [CrossRef]
- Alasalvar, C.; Chang, S.K.; Bolling, B.; Oh, W.Y.; Shahidi, F. Specialty Seeds: Nutrients, Bioactives, Bioavailability, and Health Benefits: A Comprehensive Review. Compr. Rev. Food Sci. Food Saf. 2021, 20, 2382–2427. [Google Scholar] [CrossRef]
- Flurkey, K.; Currer, J. Mouse Models in Aging Research. In The Mouse in Biomedical Research, 2nd ed.; Academic Press: Cambridge, MA, USA, 2007. [Google Scholar]
- Reeves, P.G. Components of the AIN-93 Diets as Improvements in the AIN-76A Diet. J. Nutr. 1997, 127, 838S–841S. [Google Scholar] [CrossRef]
- Wang, C.; Wang, X.; Xu, X.L.; Yuan, X.L.; Gou, W.L.; Wang, A.Y.; Guo, Q.Y.; Peng, J.; Lu, S.B. Bone Microstructure and Regional Distribution of Osteoblast and Osteoclast Activity in the Osteonecrotic Femoral Head. PLoS ONE 2014, 9, e96361. [Google Scholar] [CrossRef]
- Barrott, J.J.; Illum, B.E.; Jin, H.; Hedberg, M.L.; Wang, Y.; Grossmann, A.; Haldar, M.; Capecchi, M.R.; Jones, K.B. Paracrine Osteoprotegerin and β-Catenin Stabilization Support Synovial Sarcomagenesis in Periosteal Cells. J. Clin. Investig. 2017, 128, 207–218. [Google Scholar] [CrossRef] [Green Version]
- Krings, A.; Rahman, S.; Huang, S.; Lu, Y.; Czernik, P.J.; Lecka-Czernik, B. Bone Marrow Fat Has Brown Adipose Tissue Characteristics, Which Are Attenuated with Aging and Diabetes. Bone 2012, 50, 546–552. [Google Scholar] [CrossRef] [PubMed] [Green Version]
- Chi, J.; Cohen, P. The Multifaceted Roles of PRDM16: Adipose Biology and Beyond. Trends Endocrinol. Metab. 2016, 27, 11–23. [Google Scholar] [CrossRef] [PubMed]
- Bukowska, J.; Frazier, T.; Smith, S.; Brown, T.; Bender, R.; McCarthy, M.; Wu, X.; Bunnell, B.A.; Gimble, J.M. Bone Marrow Adipocyte Developmental Origin and Biology. Curr. Osteoporos. Rep. 2018, 16, 312–319. [Google Scholar] [CrossRef] [PubMed]
- Li, S.-N.; Wu, J.-F. TGF-β/SMAD Signaling Regulation of Mesenchymal Stem Cells in Adipocyte Commitment. Stem Cell Res. Ther. 2020, 11, 41. [Google Scholar] [CrossRef] [PubMed]
- Heaney, R.P. Bone Mineral Content, Not Bone Mineral Density, Is the Correct Bone Measure for Growth Studies. Am. J. Clin. Nutr. 2003, 78, 350–351. [Google Scholar] [CrossRef]
- Prentice, A.; Parsons, T.J.; Cole, T.J. Uncritical Use of Bone Mineral Density in Absorptiometry May Lead to Size-Related Artifacts in the Identification of Bone Mineral Determinants. Am. J. Clin. Nutr. 1994, 60, 837–842. [Google Scholar] [CrossRef] [PubMed]
- Bhattacharya, A.; Rahman, M.; Sun, D.; Fernandes, G. Effect of Fish Oil on Bone Mineral Density in Aging C57BL/6 Female Mice. J. Nutr. Biochem. 2007, 18, 372–379. [Google Scholar] [CrossRef]
- Zhao, G.; Etherton, T.D.; Martin, K.R.; Gillies, P.J.; West, S.G.; Kris-Etherton, P.M. Dietary Alpha-Linolenic Acid Inhibits Proinflammatory Cytokine Production by Peripheral Blood Mononuclear Cells in Hypercholesterolemic Subjects. Am. J. Clin. Nutr. 2007, 85, 385–391. [Google Scholar] [CrossRef] [Green Version]
- Jee, W.S.; Ueno, K.; Kimmel, D.B.; Woodbury, D.M.; Price, P.; Woodbury, L.A. The Role of Bone Cells in Increasing Metaphyseal Hard Tissue in Rapidly Growing Rats Treated with Prostaglandin E2. Bone 1987, 8, 171–178. [Google Scholar] [CrossRef]
- Farinon, B.; Molinari, R.; Costantini, L.; Merendino, N. The Seed of Industrial Hemp (Cannabis sativa L.): Nutritional Quality and Potential Functionality for Human Health and Nutrition. Nutrients 2020, 12, 1935. [Google Scholar] [CrossRef]
- Mattila, P.H.; Pihlava, J.-M.; Hellström, J.; Nurmi, M.; Eurola, M.; Mäkinen, S.; Jalava, T.; Pihlanto, A. Contents of Phytochemicals and Antinutritional Factors in Commercial Protein-Rich Plant Products. Food Qual. Saf. 2018, 2, 213–219. [Google Scholar] [CrossRef]
- Bohn, L.; Meyer, A.S.; Rasmussen, S.K. Phytate: Impact on Environment and Human Nutrition. A Challenge for Molecular Breeding. J. Zhejiang Univ. Sci. B 2008, 9, 165–191. [Google Scholar] [CrossRef] [PubMed] [Green Version]
- Russo, R.; Reggiani, R. Evaluation of Protein Concentration, Amino Acid Profile and Antinutritional Compounds in Hempseed Meal from Dioecious and Monoecious Varieties. Am. J. Plant Sci. 2015, 6, 14–22. [Google Scholar] [CrossRef] [Green Version]
- Castro-Alba, V.; Lazarte, C.E.; Bergenståhl, B.; Granfeldt, Y. Phytate, Iron, Zinc, and Calcium Content of Common Bolivian Foods and Their Estimated Mineral Bioavailability. Food Sci. Nutr. 2019, 7, 2854–2865. [Google Scholar] [CrossRef] [PubMed] [Green Version]
- Chang, M.-C.J.; Bailey, J.W.; Collins, J.L. Dietary Tannins from Cowpeas and Tea Transiently Alter Apparent Calcium Absorption but Not Absorption and Utilization of Protein in Rats. J. Nutr. 1994, 124, 283–288. [Google Scholar] [CrossRef]
- Muszyński, S.; Tomaszewska, E.; Dobrowolski, P.; Kwiecień, M.; Wiącek, D.; Świetlicka, I.; Skibińska, M.; Szymańska-Chargot, M.; Orzeł, J.; Świetlicki, M.; et al. Analysis of Bone Osteometry, Mineralization, Mechanical and Histomorphometrical Properties of Tibiotarsus in Broiler Chickens Demonstrates a Influence of Dietary Chickpea Seeds (Cicer Arietinum L.) Inclusion as a Primary Protein Source. PLoS ONE 2018, 13, e0208921. [Google Scholar] [CrossRef]
- Cladis, D.P.; Debelo, H.; Lachcik, P.J.; Ferruzzi, M.G.; Weaver, C.M. Increasing Doses of Blueberry Polyphenols Alters Colonic Metabolism and Calcium Absorption in Ovariectomized Rats. Mol. Nutr. Food Res. 2020, 64, e2000031. [Google Scholar] [CrossRef]
- Merill, A.; Watt, B. Energy Value of Foods: Basis and Derivation; US Government Printing Office: Washington, DC, USA, 1973. Available online: https://www.ars.usda.gov/ARSUserFiles/80400525/Data/Classics/ah74.pdf (accessed on 7 May 2022).
- Novotny, J.A.; Gebauer, S.K.; Baer, D.J. Discrepancy between the Atwater Factor Predicted and Empirically Measured Energy Values of Almonds in Human Diets. Am. J. Clin. Nutr. 2012, 96, 296–301. [Google Scholar] [CrossRef] [Green Version]
- Baer, D.J.; Gebauer, S.K.; Novotny, J.A. Measured Energy Value of Pistachios in the Human Diet. Br. J. Nutr. 2012, 107, 120–125. [Google Scholar] [CrossRef] [Green Version]
- Baer, D.J.; Gebauer, S.K.; Novotny, J.A. Walnuts Consumed by Healthy Adults Provide Less Available Energy than Predicted by the Atwater Factors. J. Nutr. 2016, 146, 9–13. [Google Scholar] [CrossRef]
- Levine, A.S.; Silvis, S.E. Absorption of Whole Peanuts, Peanut Oil, and Peanut Butter. N. Engl. J. Med. 1980, 303, 917–918. [Google Scholar] [CrossRef] [PubMed]
- Ellis, P.R.; Kendall, C.W.C.; Ren, Y.; Parker, C.; Pacy, J.F.; Waldron, K.W.; Jenkins, D.J.A. Role of Cell Walls in the Bioaccessibility of Lipids in Almond Seeds. Am. J. Clin. Nutr. 2004, 80, 604–613. [Google Scholar] [CrossRef] [PubMed] [Green Version]
- Grundy, M.M.L.; Grassby, T.; Mandalari, G.; Waldron, K.W.; Butterworth, P.J.; Berry, S.E.E.; Ellis, P.R. Effect of Mastication on Lipid Bioaccessibility of Almonds in a Randomized Human Study and Its Implications for Digestion Kinetics, Metabolizable Energy, and Postprandial Lipemia. Am. J. Clin. Nutr. 2015, 101, 25–33. [Google Scholar] [CrossRef] [PubMed] [Green Version]
- Wang, L.; Waltenberger, B.; Pferschy-Wenzig, E.-M.; Blunder, M.; Liu, X.; Malainer, C.; Blazevic, T.; Schwaiger, S.; Rollinger, J.M.; Heiss, E.H.; et al. Natural Product Agonists of Peroxisome Proliferator-Activated Receptor Gamma (PPARγ): A Review. Biochem. Pharmacol. 2014, 92, 73–89. [Google Scholar] [CrossRef] [PubMed] [Green Version]
- Cinti, S. Adipose Organ Development and Remodeling. Compr. Physiol. 2018, 8, 1357–1431. [Google Scholar] [CrossRef] [PubMed]















| Ingredient, g per kg Diet | Control Diet a | 5% Hempseed | 15% Hempseed |
|---|---|---|---|
| Casein, High Nitrogen | 200 | 185 | 155 |
| L-Cystine | 3 | 3 | 3 |
| Sucrose b | 100 | 100 | 100 |
| Cornstarch | 397.486 | 395.99 | 392.997 |
| Dyetrose | 132 | 132 | 132 |
| Soybean Oil | 70 | 52 | 16 |
| t-Butylhydroquinone | 0.014 | 0.01 | 0.003 |
| Cellulose | 50 | 34.5 | 3.5 |
| Mineral Mix #210025 c | 35 | 35 | 35 |
| Vitamin Mix #310025 d | 10 | 10 | 10 |
| Choline Bitartrate | 2.5 | 2.5 | 2.5 |
| Hempseed e | 0 | 50 | 150 |
| Total | 1000 | 1000 | 1000 |
| Kilocalories per kg | 3760 | 3814 | 3922 |
| Group | Baseline Body Weight (g) | Endpoint Body Weight (g) | Total Body Weight Gain (g) | Total Food Intake (g) |
|---|---|---|---|---|
| Control | 14.60 (0.79) | 21.89 (0.58) | 7.29 (0.60) | 454.37 (14.38) *a |
| 5% HS | 14.64 (1.09) | 21.66 (1.09) | 7.02 (1.09) | 448.17 (6.68) a |
| 15% HS | 14.72 (0.61) | 21.37 (0.80) | 6.65 (0.85) | 475.30 (12.17) b |
| Group | Fat Mass (g) | Percent Fat (%) | Lean Mass (g) | BMD (g/cm2) | BMC (g) |
|---|---|---|---|---|---|
| Control | 3.25 (0.41) | 16.69 (1.64) | 16.18 (0.43) | 0.056 (0.002) | 0.541 (0.033) a |
| 5% HS | 3.81 (0.72) | 18.99 (2.40) | 16.12 (0.66) | 0.055 (0.002) | 0.505 (0.021) b |
| 15% HS | 3.52 (0.33) | 17.81 (1.17) | 16.21 (0.41) | 0.055 (0.003) | 0.508 (0.024) ab |
Publisher’s Note: MDPI stays neutral with regard to jurisdictional claims in published maps and institutional affiliations. |
© 2022 by the authors. Licensee MDPI, Basel, Switzerland. This article is an open access article distributed under the terms and conditions of the Creative Commons Attribution (CC BY) license (https://creativecommons.org/licenses/by/4.0/).
Share and Cite
Blanton, C.A.; Barrott, J.J.; Kunz, K.; Bunde, E.; Streff, H.M.; Sparks, C.A.; Williams, D.W.; Gabaldόn, A.M. The Impact of Hempseed Consumption on Bone Parameters and Body Composition in Growing Female C57BL/6 Mice. Int. J. Environ. Res. Public Health 2022, 19, 5839. https://doi.org/10.3390/ijerph19105839
Blanton CA, Barrott JJ, Kunz K, Bunde E, Streff HM, Sparks CA, Williams DW, Gabaldόn AM. The Impact of Hempseed Consumption on Bone Parameters and Body Composition in Growing Female C57BL/6 Mice. International Journal of Environmental Research and Public Health. 2022; 19(10):5839. https://doi.org/10.3390/ijerph19105839
Chicago/Turabian StyleBlanton, Cynthia A., Jared J. Barrott, Kaden Kunz, Ella Bunde, Hailey M. Streff, Chandler A. Sparks, Derrick W. Williams, and Annette M. Gabaldόn. 2022. "The Impact of Hempseed Consumption on Bone Parameters and Body Composition in Growing Female C57BL/6 Mice" International Journal of Environmental Research and Public Health 19, no. 10: 5839. https://doi.org/10.3390/ijerph19105839
APA StyleBlanton, C. A., Barrott, J. J., Kunz, K., Bunde, E., Streff, H. M., Sparks, C. A., Williams, D. W., & Gabaldόn, A. M. (2022). The Impact of Hempseed Consumption on Bone Parameters and Body Composition in Growing Female C57BL/6 Mice. International Journal of Environmental Research and Public Health, 19(10), 5839. https://doi.org/10.3390/ijerph19105839

