Current Standards for and Clinical Impact of Emergency Radiology in Major Trauma
Abstract
1. Introduction
2. Indications
3. CT Equipment
4. Timing of CT
5. CT Protocol
6. Injury Classifications
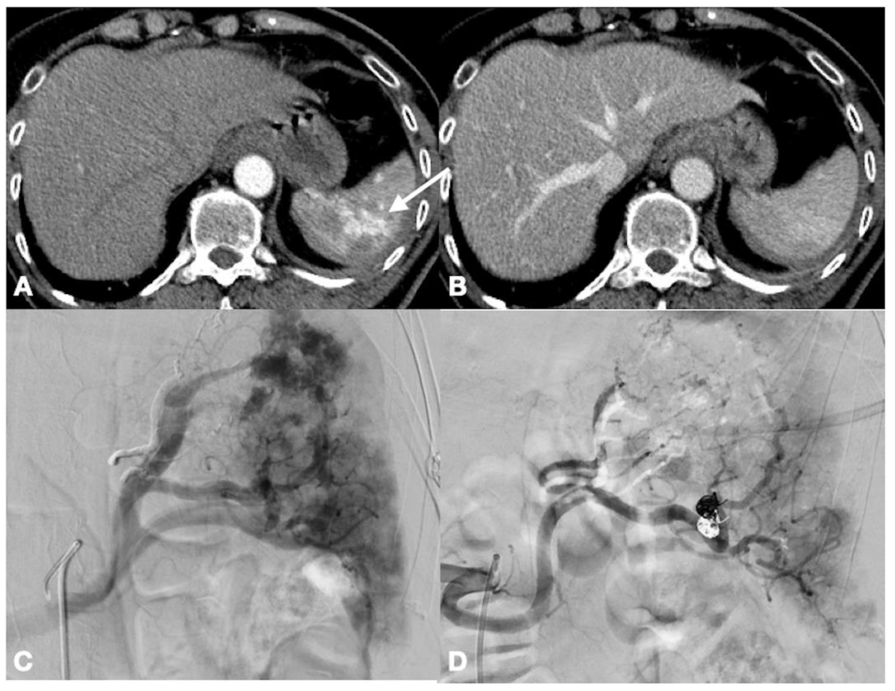
7. Importance of Detection of Vascular Injuries
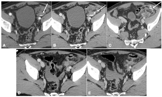
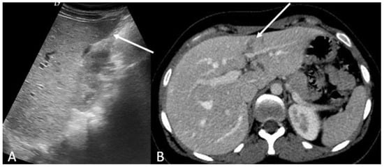
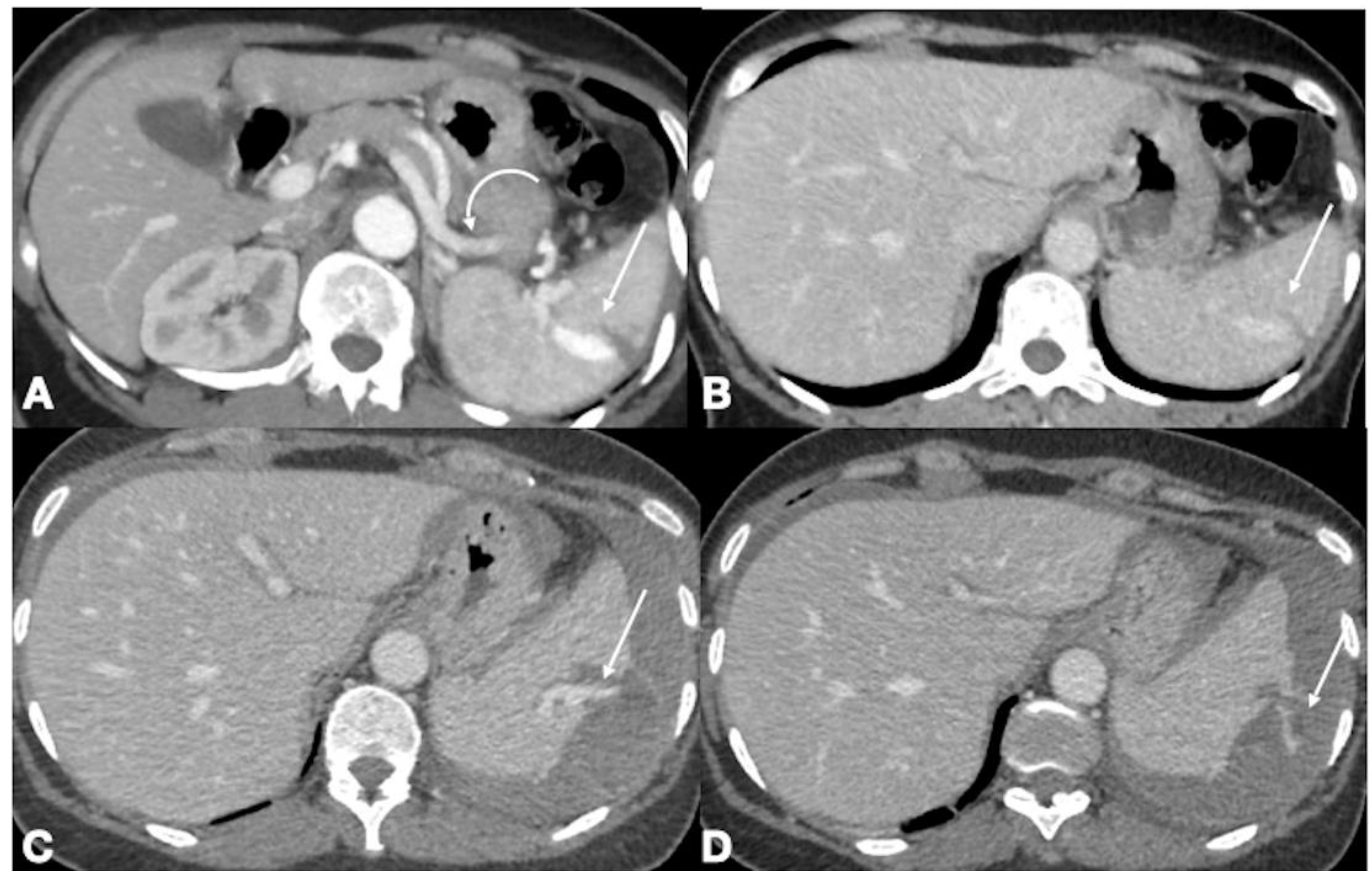
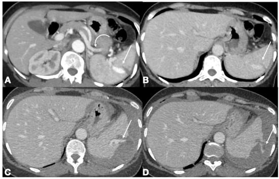
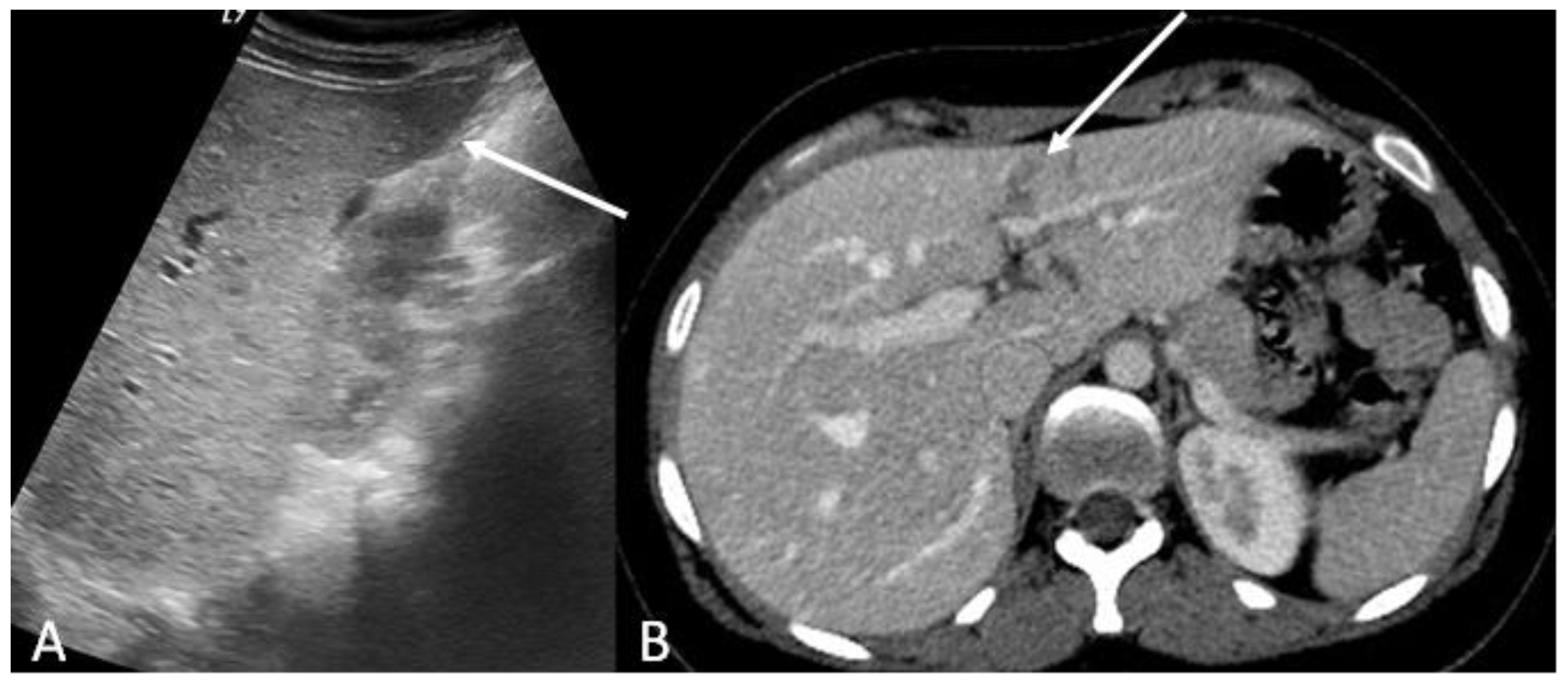
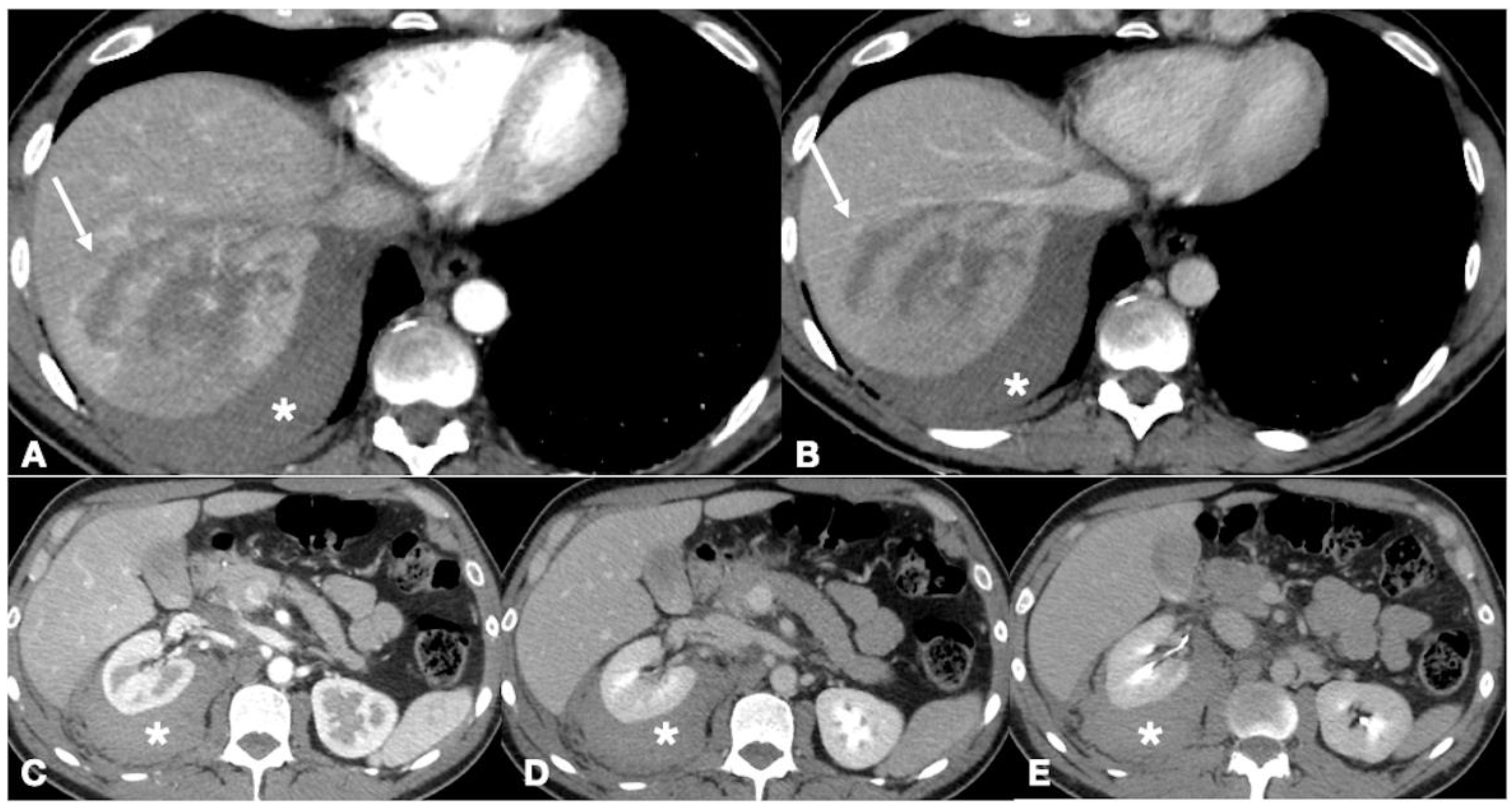
8. Thoraco-Abdominal Parenchymal Injuries
9. The Role of the Radiologist within the Trauma Team
10. Conclusions
Author Contributions
Funding
Institutional Review Board Statement
Informed Consent Statement
Conflicts of Interest
References
- Major Trauma: Assessment and Initial Management NICE Guideline; No. 39 National Clinical Guideline Centre (UK); National Institute for Health and Care Excellence: London, UK, 2016.
- Palas, J.; Matos, A.P.; Mascarenhas, V.; Herédia, V.; Ramalho, M. Multidetector computer tomography: Evaluation of blunt chest trauma in adults. Radiol. Res. Pract. 2014, 2014, 864369. [Google Scholar] [CrossRef]
- Scaglione, M.; Pinto, A.; Pedrosa, I.; Sparano, A.; Romano, L. Multi-detector row computed tomography and blunt chest trauma. Eur. J. Radiol. 2008, 65, 377–388. [Google Scholar] [CrossRef] [PubMed]
- Committee on Trauma of the American College of Surgeons. Resources for Optimal Care of the Injured Patient; ACS: Chicago, IL, USA, 2014. [Google Scholar]
- Scaglione, M.; Andreoli, A. TCMD Nel Trauma ad Elevata Energia; Springer: Mailand, Italy, 2012. [Google Scholar]
- Van Vugt, R.; Deunk, J.; Brink, M.; Dekker, H.M.; Kool, D.R.; van Vugt, A.B.; Edwards, M.J. Influence of routine computed tomography on predicted survival from blunt thoracoabdominal trauma. Eur. J. Trauma. Emerg. Surg. 2011, 37, 185–190. [Google Scholar] [CrossRef][Green Version]
- Valente, T.; Pignatiello, M.; Sica, G.; Bocchini, G.; Rea, G.; Cappabianca, S.; Scaglione, M. Hemopericardium in the acute clinical setting: Are we ready for a tailored management approach on the basis of MDCT findings? La Radiol. Med. 2020, 126, 527–543. [Google Scholar] [CrossRef] [PubMed]
- BC Imaging Guidelines for Major Trauma from STAN-Specialist Trauma Advisory Network of BC; National Trends in CT Use in the Emergency Department-1995–2007, Radiology Volume 258 Number 1. Available online: http://www.phsa.ca/health-professionals/clinical-resources/stan-clinical-practice-guidelines (accessed on 23 November 2021).
- Shyu, J.Y.; Khurana, B.; Soto, J.A.; Biffl, W.L.; Camacho, M.A.; Diercks, D.B.; Glanc, P.; Kalva, S.P.; Khosa, F.; Meyer, B.J.; et al. ACR Appropriateness Criteria® Major Blunt Trauma. J. Am. Coll. Radiol. 2020, 17, S160–S174. [Google Scholar] [CrossRef]
- Swedish Guidelines for “Whole-Body CT for Trauma” (WBCT-T); 2020; Available online: https://assets.ctfassets.net/ikrr9ebmfi75/2PtUD6PER7tBuUe4y84cFg/c64a591aeaf4cb31044f85fccae4d455/Swedish_Guidelines_for_WBCT-T_-_final_version_1.0_March_23_2020.pdf (accessed on 23 November 2021).
- Guglielmi, G.; Pinto, A.; Salerno, S. Editorial from guest editors current Euratom legislation (DE 59/2013): New patient management in radiation protection. La Radiol. Med. 2019, 124, 711–713. [Google Scholar] [CrossRef]
- Salerno, S.; Laghi, A.; Cantone, M.-C.; Sartori, P.; Pinto, A.; Frija, G. Overdiagnosis and overimaging: An ethical issue for radiological protection. La Radiol. Med. 2019, 124, 714–720. [Google Scholar] [CrossRef]
- Treskes, K.; Saltzherr, T.P.; Edwards, M.J.R.; Beuker, B.J.A.; Hartog, D.D.; Hohmann, J.; Luitse, J.S.; Beenen, L.F.M.; Hollmann, M.W.; REACT-2 Study Group. Emergency Bleeding Control Interventions After Immediate Total-Body CT Scans in Trauma Patients. World J. Surg. 2018, 43, 490–496. [Google Scholar] [CrossRef]
- Beak, P.; Gabbott, B.; Williamson, M.; Hing, C.B. Four years of experience as a major trauma centre results in no improvement in patient selection for whole-body CT scans following blunt trauma. Eur. J. Orthop. Surg. Traumatol. 2020, 30, 473–477. [Google Scholar] [CrossRef]
- Millor, M.; Bartolomé, P.; Pons, M.J.; Bastarrika, G.; Beloqui, Ó.; Cano, D.; González, I.; Vivas, I. Whole-body computed tomography: A new point of view in a hospital check-up unit? Our experience in 6516 patients. La Radiol. Med. 2019, 124, 1199–1211. [Google Scholar] [CrossRef]
- Ferorelli, D.; Donno, F.; de Giorgio, G.; Mele, F.; Favia, M.; Riefoli, F.; Andresciani, S.; Melodia, R.; Zotti, F.; Dell’Erba, A. Head CT scan in emergency room: Is it still abused? Quantification and causes analysis of overprescription in an Italian Emergency Department. Radiol. Med. 2020, 125, 595–599. [Google Scholar] [CrossRef]
- Belabbas, D.; Auger, M.; Lederlin, M.; Bonenfant, J.; Gandon, Y.; Aubé, C.; Paisant, A. Whole-Body CT after Motor Vehicle Crash: No Benefit after High-Energy Impact and with Normal Physical Examination. Radiology 2019, 292, 94–100. [Google Scholar] [CrossRef]
- Munera, F.; Durso, A.M. Whole-Body CT after Motor Vehicle Crash: When Is It Necessary? Radiology 2019, 292, 101–102. [Google Scholar] [CrossRef]
- Healy, D.A.; Hegarty, A.; Feeley, I.; Clarke-Moloney, M.; Grace, P.A.; Walsh, S. Systematic review and meta-analysis of routine total body CT compared with selective CT in trauma patients. Emerg. Med. J. 2013, 31, 101–108. [Google Scholar] [CrossRef] [PubMed]
- Sierink, J.C.; Saltzherr, T.P.; Reitsma, J.B.; Van Delden, O.M.; Luitse, J.S.K.; Goslings, J.C. Systematic review and meta-analysis of immediate total-body computed tomography compared with selective radiological imaging of injured patients. Br. J. Surg. 2011, 99, 52–58. [Google Scholar] [CrossRef] [PubMed]
- Long, B.; April, M.D.; Summers, S.; Koyfman, A. Whole body CT versus selective radiological imaging strategy in trauma: An evidence-based clinical review. Am. J. Emerg. Med. 2017, 35, 1356–1362. [Google Scholar] [CrossRef] [PubMed]
- Scaglione, M.; Basilico, R.; Pizzi, A.D.; Iacobellis, F.; Dick, E.; Wirth, S.; Linsenmaier, U.; Calli, C.; Berger, F.H.; Nieboer, K.H.; et al. The practice of emergency radiology throughout Europe: A survey from the European Society of Emergency Radiology on volume, staffing, equipment, and scheduling. Eur. Radiol. 2021, 31, 2994–3001. [Google Scholar] [CrossRef] [PubMed]
- Deutsche Gesellschaft für Unfallchirurgie e.V. (DGU); Deutsche Gesellschaft für Anästhesiologie und Intensivmedizin e.V. (DGAI); Deutsche Gesellschaft für Gefäßchirurgie und Gefäßmedizin. S3-Leitlinie Polytrauma/Schwerverletz-ten-Behandlung (AWMF-Registernr.: 012/019). 2016. Available online: https://www.awmf.org/uploads/tx_szleitlinien/012-019l_S3_Polytrauma_Schwerverletzten-Behandlung_2017-08.pdf (accessed on 29 January 2019).
- Deutsche Gesellschaft für Angiologie-Gesellschaft für Gefäßmedizin e.V. (DGA); Deutsche Gesellschaft für Allge-meinmedizin und Familienmedizin (DEGAM); Deutsche Gesellschaft der Anästhesiologie und Intensivmedizin e.V. (DGAI). S2k-Leitlinie: Diagnostik und Therapie der Venenthrombose und der Lungenembolie (AWMF-Registernr.: 065/002). 2015; 1. Auflage 2015; Available online: https://www.awmf.org/uploads/tx_szleitlinien/065-002l_S2k_VTE_2016-01.pdf (accessed on 29 January 2019).
- Alagic, Z.; Eriksson, A.; Drageryd, E.; Motamed, S.R.; Wick, M.C. A new low-dose multi-phase trauma CT protocol and its impact on diagnostic assessment and radiation dose in multi-trauma patients. Emerg. Radiol. 2017, 24, 509–518. [Google Scholar] [CrossRef]
- Kahn, J.; Grupp, U.; Kaul, D.; Böning, G.; Lindner, T.; Streitparth, F. Computed tomography in trauma patients using iterative reconstruction: Reducing radiation exposure without loss of image quality. Acta Radiol. 2015, 57, 362–369. [Google Scholar] [CrossRef]
- Kahn, J.; Kaul, D.; Böning, G.; Rotzinger, R.; Freyhardt, P.; Schwabe, P.; Maurer, M.H.; Renz, D.M.; Streitparth, F. Quality and Dose Optimized CT Trauma Protocol–Recommendation from a University Level-I Trauma Center. RöFo-Fortschr. Auf Dem Geb. Röntgenstrahlen Bildgeb. Verfahr. 2017, 189, 844–854. [Google Scholar] [CrossRef]
- Harrieder, A.; Geyer, L.L.; Körner, M.; Deak, Z.; Wirth, S.; Reiser, M.; Linsenmaier, U. Evaluation der Strahlendosis bei Polytrauma-CT-Untersuchungen eines 64-Zeilen-CT im Vergleich zur 4-Zeilen-CT. RöFo-Fortschr. Auf Dem Geb. Röntgenstrahlen Bildgeb. Verfahr. 2012, 184, 443–449. [Google Scholar] [CrossRef]
- Aran, S.; Shaqdan, K.W.; Abujudeh, H.H. Dual-energy computed tomography (DECT) in emergency radiology: Basic principles, techniques, and limitations. Emerg. Radiol. 2014, 21, 391–405. [Google Scholar] [CrossRef]
- Sierink, J.C.; Treskes, K.; Edwards, M.J.R.; Beuker, B.J.A.; den Hartog, D.; Hohmann, J.; Dijkgraaf, M.G.W.; Luitse, J.S.K.; Beenen, L.F.M.; Hollmann, M.W.; et al. Immediate total-body CT scanning versus conventional imaging and selective CT scanning in patients with severe trauma (REACT-2): A randomised controlled trial. Lancet 2016, 388, 673–683. [Google Scholar] [CrossRef]
- Jin, P.H.P.F.K.; Goslings, J.C.; Ponsen, K.J.; van Kuijk, C.; Hoogerwerf, N.; Luitse, J.S. Assessment of a New Trauma Workflow Concept Implementing a Sliding CT Scanner in the Trauma Room: The Effect on Workup Times. J. Trauma Inj. Infect. Crit. Care 2008, 64, 1320–1326. [Google Scholar] [CrossRef]
- Lee, K.; Graham, C.A.; Lam, J.M.; Yeung, J.H.; Ahuja, A.; Rainer, T.H. Impact on trauma patient management of installing a computed tomography scanner in the emergency department. Injury 2009, 40, 873–875. [Google Scholar] [CrossRef]
- Huber-Wagner, S.; Mand, C.; Ruchholtz, S.; Kühne, C.A.; Holzapfel, K.; Kanz, K.-G.; van Griensven, M.; Biberthaler, P.; Lefering, R. Effect of the localisation of the CT scanner during trauma resuscitation on survival—A retrospective, multicentre study. Injury 2014, 45, S76–S82. [Google Scholar] [CrossRef] [PubMed]
- Kinoshita, T.; Yamakawa, K.; Matsuda, H.; Yoshikawa, Y.; Wada, D.; Hamasaki, T.; Ono, K.; Nakamori, Y.; Fujimi, S. The Survival Benefit of a Novel Trauma Workflow that Includes Immediate Whole-body Computed Tomography, Surgery, and Interventional Radiology, All in One Trauma Resuscitation Room: A retrospective historical control study. Ann. Surg. 2019, 269, 370–376. [Google Scholar] [CrossRef] [PubMed]
- Iacobellis, F.; Romano, L.; Rengo, A.; Danzi, R.; Scuderi, M.G.; Brillantino, A.; Scaglione, M. CT Protocol Optimization in Trauma Imaging: A Review of Current Evidence. Curr. Radiol. Rep. 2020, 8, 8. [Google Scholar] [CrossRef]
- Trinci, M.; Cirimele, V.; Cozzi, D.; Galluzzo, M.; Miele, V. Diagnostic accuracy of pneumo-CT-cystography in the detection of bladder rupture in patients with blunt pelvic trauma. La Radiol. Med. 2020, 125, 907–917. [Google Scholar] [CrossRef]
- Squillaci, E.; Bolacchi, F.; Ricci, F.; De Stasio, V.; Pugliese, L.; Di Martino, A.; Floris, R. Radiologists’ recommendations for additional imaging (RAI) in the inpatient setting. La Radiol. Med. 2019, 124, 432–437. [Google Scholar] [CrossRef]
- Iacobellis, F.; Scaglione, M.; Brillantino, A.; Scuderi, M.G.; Giurazza, F.; Grassi, R.; Noschese, G.; Niola, R.; Al Zuhir, N.Y.S.; Romano, L. The additional value of the arterial phase in the CT assessment of liver vascular injuries after high-energy blunt trauma. Emerg. Radiol. 2019, 26, 647–654. [Google Scholar] [CrossRef]
- Novelline, R.A. CT in the Patient with Multiple Trauma: Risk Factors for Missed Findings. Radiology 2018, 289, 384–385. [Google Scholar] [CrossRef]
- Sica, G.; Guida, F.; Bocchini, G.; Codella, U.; Mainenti, P.P.; Tanga, M.; Scaglione, M. Errors in Imaging Assessment of Polytrauma Patients. Semin. Ultrasound CT MRI 2012, 33, 337–346. [Google Scholar] [CrossRef][Green Version]
- Monazzam, S.; Goodell, P.B.; Salcedo, E.S.; Nelson, S.H.; Wolinsky, P.R. When are CT angiograms indicated for patients with lower extremity fractures? A review of 275 extremities. J. Trauma Acute Care Surg. 2017, 82, 133–137. [Google Scholar] [CrossRef] [PubMed]
- Bozlar, U.; Ogur, T.; Norton, P.T.; Khaja, M.S.; All, J.; Hagspiel, K.D. CT Angiography of the Upper Extremity Arterial System: Part 1—Anatomy, Technique, and Use in Trauma Patients. Am. J. Roentgenol. 2013, 201, 745–752. [Google Scholar] [CrossRef] [PubMed]
- Schicchi, N.; Fogante, M.; Oliva, M.; Pirani, P.E.; Agliata, G.; Giuseppetti, G.M.; Giovagnoni, A. Radiation dose and image quality with new protocol in lower extremity computed tomography angiography. La Radiol. Med. 2018, 124, 184–190. [Google Scholar] [CrossRef] [PubMed]
- Wirth, S.; Hebebrand, J.; Basilico, R.; Berger, F.H.; Blanco, A.; Calli, C.; Dumba, M.; Linsenmaier, U.; Mück, F.; Nieboer, K.H.; et al. European Society of Emergency Radiology: Guideline on radiological polytrauma imaging and service (short version). Insights Imaging 2020, 11, 1–18. [Google Scholar] [CrossRef]
- American Association for the Surgery of Trauma (AAST) Injury Scale. Available online: https://www.aast.org/resources-detail/injury-scoring-scale (accessed on 23 November 2021).
- Saade, C.; Karout, L.; El Asmar, K.; Naffaa, L.; El Merhi, F.; Salman, R.; Abi-Ghanem, A.S. Impact of various iodine concentrations of iohexol and iodixanol contrast media on image reconstruction techniques in a vascular-specific contrast media phantom: Quantitative and qualitative image quality assessment. La Radiol. Med. 2021, 126, 221–230. [Google Scholar] [CrossRef]
- Iacobellis, F.; Ierardi, A.M.; Mazzei, M.A.; Biasina, A.M.; Carrafiello, G.; Nicola, R.; Scaglione, M. Dual-phase CT for the assessment of acute vascular injuries in high-energy blunt trauma: The imaging findings and management implications. Br. J. Radiol. 2016, 89, 20150952. [Google Scholar] [CrossRef]
- Murao, S.; Yamakawa, K.; Kabata, D.; Kinoshita, T.; Umemura, Y.; Shintani, A.; Fujimi, S. Effect of Earlier Door-to-CT and Door-to-Bleeding Control in Severe Blunt Trauma: A Retrospective Cohort Study. J. Clin. Med. 2021, 10, 1522. [Google Scholar] [CrossRef]
- Iacobellis, F.; Iadevito, I.; Ierardi, A.M.; Carrafiello, G.; Perillo, F.; Nicola, R.; Scaglione, M. Imaging Assessment of Thoracic Cage Injuries. Semin. Musculoskelet. Radiol. 2017, 21, 303–314. [Google Scholar] [CrossRef]
- Sartorelli, K.H.; Frumiento, C.; Rogers, F.B.; Osler, T.M. Nonoperative Management of Hepatic, Splenic, and Renal Injuries in Adults with Multiple Injuries. J. Trauma Inj. Infect. Crit. Care 2000, 49, 56–62. [Google Scholar] [CrossRef] [PubMed]
- Stawicki, S.P.A. Trends in nonoperative management of traumatic injuries–A synopsis. Int. J. Crit. Illn. Inj. Sci. 2017, 7, 38–57. [Google Scholar] [CrossRef] [PubMed]
- Cirocchi, R.; Boselli, C.; Corsi, A.; Farinella, E.; Listorti, C.; Trastulli, S.; Renzi, C.; Desiderio, J.; Santoro, A.; Cagini, L.; et al. Is non-operative management safe and effective for all splenic blunt trauma? A systematic review. Crit. Care 2013, 17, 1–8. [Google Scholar] [CrossRef] [PubMed]
- Mingoli, A.; La Torre, M.; Migliori, E.; Cirillo, B.; Zambon, M.; Sapienza, P.; Brachini, G. Operative and nonoperative management for renal trauma: Comparison of outcomes. A systematic review and meta-analysis. Ther. Clin. Risk Manag. 2017, ume 13, 1127–1138. [Google Scholar] [CrossRef]
- Brillantino, A.; Iacobellis, F.; Festa, P.; Mottola, A.; Acampora, C.; Corvino, F.; Del Giudice, S.; Lanza, M.; Armellino, M.; Niola, R.; et al. Non-Operative Management of Blunt Liver Trauma: Safety, Efficacy and Complica-tions of a Standardized Treatment Protocol. Bull. Emerg. Trauma 2019, 7, 49–54. [Google Scholar] [CrossRef] [PubMed]
- Brillantino, A.; Iacobellis, F.; Robustelli, U.; Villamaina, E.; Maglione, F.; Colletti, O.; De Palma, M.; Paladino, F.; Noschese, G. Non operative management of blunt splenic trauma: A prospective evaluation of a standardized treatment protocol. Eur. J. Trauma Emerg. Surg. 2016, 42, 593–598. [Google Scholar] [CrossRef]
- Iacobellis, F.; Laccetti, E.; Tamburrini, S.; Altiero, M.; Iaselli, F.; Di Serafino, M.; Gagliardi, N.; Danzi, R.; Rengo, A.; Romano, L.; et al. Role of multidetector computed tomography in the assessment of pancreatic injuries after blunt trauma: A multicenter experience. Gland Surg. 2019, 8, 184–196. [Google Scholar] [CrossRef]
- Søreide, K.; Weiser, T.G.; Parks, R.W. Clinical update on management of pancreatic trauma. HPB 2018, 20, 1099–1108. [Google Scholar] [CrossRef]
- Romano, L.; Giovine, S.; Guidi, G.; Tortora, G.; Cinque, T.; Romano, S. Hepatic trauma: CT findings and considerations based on our experience in emergency diagnostic imaging. Eur. J. Radiol. 2004, 50, 59–66. [Google Scholar] [CrossRef]
- Coccolini, F.; Panel, T.W.E.; Coimbra, R.; Ordonez, C.; Kluger, Y.; Vega, F.; Moore, E.E.; Biffl, W.; Peitzman, A.; Horer, T.; et al. Liver trauma: WSES 2020 guidelines. World J. Emerg. Surg. 2020, 15, 24. [Google Scholar] [CrossRef]
- Brody, J.M.; Leighton, D.B.; Murphy, B.L.; Abbott, G.F.; Vaccaro, J.P.; Jagminas, L.; Cioffi, W.G. CT of Blunt Trauma Bowel and Mesenteric Injury: Typical Findings and Pitfalls in Diagnosis. Radiographics 2000, 20, 1525–1536. [Google Scholar] [CrossRef]
- Soto, J.A.; Anderson, S. Multidetector CT of Blunt Abdominal Trauma. Radiology 2012, 265, 678–693. [Google Scholar] [CrossRef]
- Hassan, R.; Aziz, A.A. Computed Tomography (CT) Imaging of Injuries from Blunt Abdominal Trauma: A Pictorial Essay. Malays. J. Med. Sci. 2010, 17, 29–39. [Google Scholar]
- Schueller, G.; Scaglione, M.; Linsenmaier, U.; Schueller-Weidekamm, C.; Andreoli, C.; Macciucca, M.D.V.; Gualdi, G. The key role of the radiologist in the management of polytrauma patients: Indications for MDCT imaging in emergency radiology. La Radiol. Med. 2015, 120, 641–654. [Google Scholar] [CrossRef]





Publisher’s Note: MDPI stays neutral with regard to jurisdictional claims in published maps and institutional affiliations. |
© 2022 by the authors. Licensee MDPI, Basel, Switzerland. This article is an open access article distributed under the terms and conditions of the Creative Commons Attribution (CC BY) license (https://creativecommons.org/licenses/by/4.0/).
Share and Cite
Iacobellis, F.; Abu-Omar, A.; Crivelli, P.; Galluzzo, M.; Danzi, R.; Trinci, M.; Dell’Aversano Orabona, G.; Conti, M.; Romano, L.; Scaglione, M. Current Standards for and Clinical Impact of Emergency Radiology in Major Trauma. Int. J. Environ. Res. Public Health 2022, 19, 539. https://doi.org/10.3390/ijerph19010539
Iacobellis F, Abu-Omar A, Crivelli P, Galluzzo M, Danzi R, Trinci M, Dell’Aversano Orabona G, Conti M, Romano L, Scaglione M. Current Standards for and Clinical Impact of Emergency Radiology in Major Trauma. International Journal of Environmental Research and Public Health. 2022; 19(1):539. https://doi.org/10.3390/ijerph19010539
Chicago/Turabian StyleIacobellis, Francesca, Ahmad Abu-Omar, Paola Crivelli, Michele Galluzzo, Roberta Danzi, Margherita Trinci, Giuseppina Dell’Aversano Orabona, Maurizio Conti, Luigia Romano, and Mariano Scaglione. 2022. "Current Standards for and Clinical Impact of Emergency Radiology in Major Trauma" International Journal of Environmental Research and Public Health 19, no. 1: 539. https://doi.org/10.3390/ijerph19010539
APA StyleIacobellis, F., Abu-Omar, A., Crivelli, P., Galluzzo, M., Danzi, R., Trinci, M., Dell’Aversano Orabona, G., Conti, M., Romano, L., & Scaglione, M. (2022). Current Standards for and Clinical Impact of Emergency Radiology in Major Trauma. International Journal of Environmental Research and Public Health, 19(1), 539. https://doi.org/10.3390/ijerph19010539

