Implant-Prosthetic Restoration of a Patient with Osteogenesis Imperfecta: A Case Report
Abstract
1. Introduction
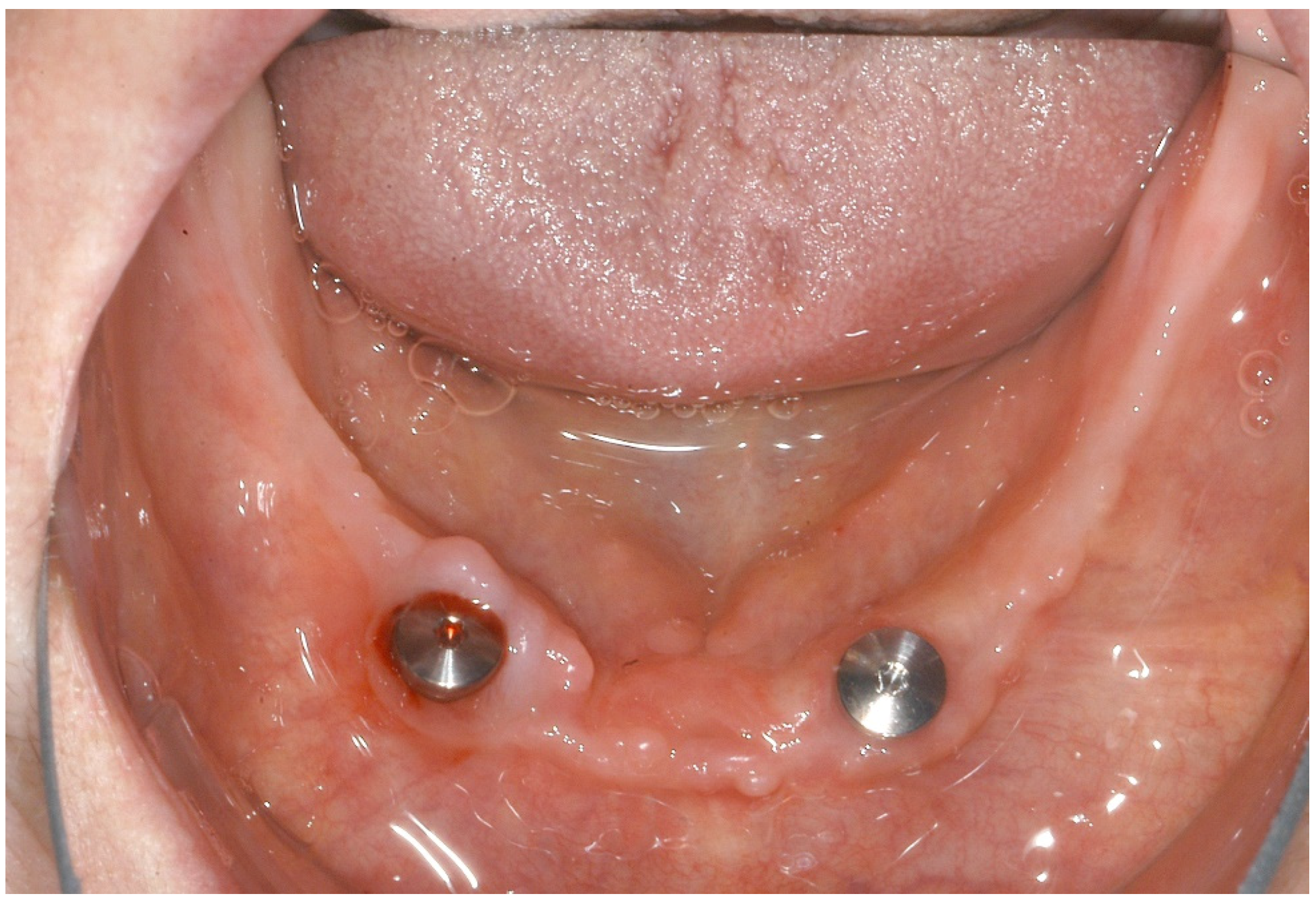
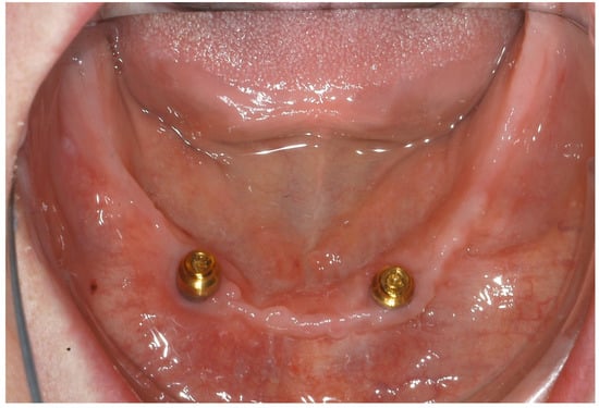
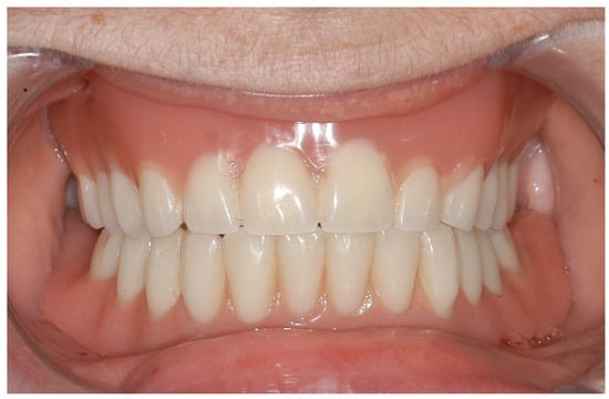
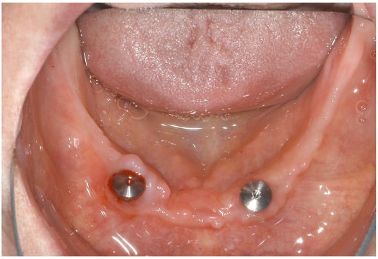
2. Case Report
3. Discussion
4. Conclusions
Author Contributions
Funding
Institutional Review Board Statement
Informed Consent Statement
Data Availability Statement
Acknowledgments
Conflicts of Interest
Abbreviations
| DI | dentinogenesis imperfecta |
| OI | osteogenesis imperfecta |
| BP | bisphosphonate |
References
- Tournis, S.; Dede, A.D. Osteogenesis imperfecta—A clinical update. Metabolism 2018, 80, 27–37. [Google Scholar] [CrossRef] [PubMed]
- Van Dijk, F.S.; Byers, P.H.; Dalgleish, R.; Malfait, F.; Maugeri, A.; Rohrbach, M.; Symoens, S.; Sistermans, E.A.; Pals, G. EMQN best practice guidelines for the laboratory diagnosis of osteogenesis imperfecta. Eur. J. Hum. Genet. 2012, 20, 11–19. [Google Scholar]
- Rauch, F.; Glorieux, F.H. Osteogenesis imperfecta. Lancet 2004, 24, 1377–1385. [Google Scholar] [CrossRef]
- Zugegriffen. Available online: www.orpha.net (accessed on 28 October 2020).
- Trejo, P.; Rauch, F. Osteogenesis imperfecta in children and adolescents—new developments in diagnosis and treatment. Osteoporos. Int. 2016, 27, 3427–3437. [Google Scholar] [CrossRef] [PubMed]
- Rizkallah, J.; Schwartz, S.; Rauch, F.; Glorieux, F.; Vu, D.-D.; Muller, K.; Retrouvey, J.-M. Evaluation of the severity of malocclusions in children affected by osteogenesis imperfecta with the peer assessment rating and discrepancy indexes. Am. J. Orthod. Dentofac. Orthop. 2013, 143, 336–341. [Google Scholar] [CrossRef]
- Sillence, D.O.; Senn, A.; Danks, D.M. Genetic heterogeneity in osteogenesis imperfecta. J. Med. Genet. 1979, 16, 101–116. [Google Scholar] [CrossRef]
- Bonafe, L.; Cormier-Daire, V.; Hall, C.; Lachman, R.; Mortier, G.; Mundlos, S.; Nishimura, G.; Sangiorgi, L.; Savarirayan, R.; Sillence, D.; et al. Nosology and classification of genetic skeletal disorders: 2015 revision. Am. J. Med. Genet A 2015, 167A, 2869–2892. [Google Scholar] [CrossRef]
- Marini, J.C.; Forlino, A.; Bächinger, H.P.; Bishop, N.J.; Byers, P.H.; De Paepe, A.; Fassier, F.; Fratzl-Zelman, N.; Kozloff, K.M.; Krakow, D.; et al. Osteogenesis imperfecta. Nat. Rev. Dis. Prim. 2017, 3, 1–19. [Google Scholar] [CrossRef]
- Prabhu, S.S.; Fortier, K.; May, M.C.; Reebye, U.N. Implant therapy for a patient with osteogenesis imperfecta type I: Review of literature with a case report. Int. J. Implant. Dent. 2018, 4, 36. [Google Scholar] [CrossRef]
- Lee, C.Y.S.; Ertel, S.K. Bone Graft Augmentation and Dental Implant Treatment in a Patient with Osteogenesis Imperfecta: Review of the Literature with a Case Report. Implant. Dent. 2003, 12, 291–295. [Google Scholar] [CrossRef]
- Gherlone, E.F.; Capparé, P.; Tecco, S.; Polizzi, E.; Pantaleo, G.; Gastaldi, G.; Grusovin, M.G. A Prospective Longitudinal Study on Implant Prosthetic Rehabilitation in Controlled HIV-Positive Patients with 1-Year Follow-Up: The Role of CD4+ Level, Smoking Habits, and Oral Hygiene. Clin. Implant. Dent. Relat. Res. 2015, 18, 955–964. [Google Scholar] [CrossRef]
- Zhang, C.; Zhang, T.; Geng, T.; Wang, X.; Lin, K.; Wang, P. Dental Implants Loaded with Bioactive Agents Promote Osseointegration in Osteoporosis: A Review. Front. Bioeng. Biotechnol. 2021, 9. [Google Scholar] [CrossRef]
- D’Orto, B.; Tetè, G.; Polizzi, E. Osseointegrated dental implants supporting fixed prostheses in patients affected by Sjögren’s Sindrome: A narrative review. J. Biol. Regul. Homeost. Agents. 2020, 34 (Suppl. 3), 89–91. [Google Scholar] [PubMed]
- Halpern, L.R.; Adams, D.R. Medically Complex Dental Implant Patients: Controversies About Systemic Disease and Dental Implant Success/Survival. Dent. Clin. N. Am. 2021, 65, 1–19. [Google Scholar] [CrossRef]
- Wannfors, K.; Johansson, C.; Donath, K. Augmentation of the mandible via a “tent-pole” procedure and implant treatment in a patient with type III osteogenesis imperfecta: Clinical and histologic considerations. Int. J. Oral Maxillofac. Implant. 2010, 24, 1144–1148. [Google Scholar]
- Payne, M.; Postlethwaite, K.R.; Smith, D.G.; Nohl, F.S. Implant-supported rehabilitation of an edentate patient with osteogenesis imperfecta: A case report. Int. J. Oral Maxillofac. Implant. 2008, 23, 947–952. [Google Scholar]
- Binger, T.; Rucker, M.; Spitzer, W. Dentofacial rehabilitation by osteodistraction, augmentation and implantation despite osteogenesis imperfecta. Int. J. Oral Maxillofac. Surg. 2006, 35, 559–562. [Google Scholar] [CrossRef] [PubMed]
- Zola, M.B. Staged sinus augmentation and implant placement in a patient with osteogenesis imperfecta. J. Oral Maxillofac. Surg. 2000, 58, 443–447. [Google Scholar] [CrossRef]
- Friberg, B. Brånemark System Implants and Rare Disorders: A Report of Six Cases. Int. J. Periodontics Restor. Dent. 2013, 33, 139–148. [Google Scholar] [CrossRef]
- Prabhu, N.; Duckmanton, N.; Stevenson, A.R.; Cameron, A. The placement of osseointegrated dental implants in a patient with type IV B osteogenesis imperfecta: A 9-year follow-up. Oral Surg. Oral Med. Oral Pathol. Oral Radiol. Endodontol. 2007, 103, 349–354. [Google Scholar] [CrossRef] [PubMed]
- Jensen, J.L.; Brox, H.T.; Storhaug, K.; Ambjørnsen, E.; Støvne, S.A.; Bjørnland, T. Dental implants in patients with osteogenesis imperfecta: A retrospective and prospective study with review of the literature. Oral Surg. 2011, 4, 105–114. [Google Scholar] [CrossRef]
- Contaldo, M.; Luzzi, V.; Ierardo, G.; Raimondo, E.; Boccellino, M.; Ferati, K.; Bexheti-Ferati, A.; Inchingolo, F.; Di Domenico, M.; Serpico, R.; et al. Bisphosphonate-related osteonecrosis of the jaws and dental surgery procedures in children and young people with osteogenesis imperfecta: A systematic review. J. Stomatol. Oral Maxillofac. Surg. 2020, 121, 556–562. [Google Scholar] [CrossRef] [PubMed]
- Malmgren, B.; Aström, E.; Söderhäll, S.; Malmgren, B. No osteonecrosis in jaws of young patients with osteogenesis imperfecta treated with bisphosphonates. J. Oral Pathol. Med. 2008, 37, 196–200. [Google Scholar] [CrossRef] [PubMed]
- Schwartz, S.; Joseph, C.; Iera, D.; Vu, D.-D. Bisphosphonates, osteonecrosis, osteogenesis imperfecta and dental extractions: A case series. J. Can. Dent. Assoc. 2008, 74, 537–544. [Google Scholar]
- Maines, E.; Monti, E.; Doro, F.; Morandi, G.; Cavarzere, P.; Antoniazzi, F. Children and adolescents treated with neridronate for osteogenesis imperfecta show no evidence of any osteonecrosis of the jaw. J. Bone Miner. Metab. 2012, 30, 434–438. [Google Scholar] [CrossRef]
- Rawal, S.Y.; Hilal, G. Osteonecrosis and spontaneous exfoliation of dental implants associated with oral bisphosphonate therapy: A case report. Aust. Dent. J. 2019, 65, 100–103. [Google Scholar] [CrossRef] [PubMed]
- Niibe, K.; Ouchi, T.; Iwasaki, R.; Nakagawa, T.; Horie, N. Osteonecrosis of the jaw in patients with dental prostheses being treated with bisphosphonates or denosumab. J. Prosthodont. Res. 2015, 59, 3–5. [Google Scholar] [CrossRef]
- Khoury, F.; Hidajat, H. Extensive Autogenous Bone Augmentation and Implantation in Patients Under Bisphosphonate Treatment: A 15-Case Series. Int. J. Periodontics Restor. Dent. 2016, 36, 9–18. [Google Scholar] [CrossRef]
- Granate-Marques, A.; Polis-Yanes, C.; Seminario-Amez, M.; Jane-Salas, E.; Lopez-Lopez, J. Medication-related osteonecrosis of the jaw associated with implant and regenerative treatments: Systematic review. Med. Oral Patol. Oral Cir. Bucal 2019, 24, e195–e203. [Google Scholar] [CrossRef]
- Crespi, R.; Capparé, P.; Romanos, G.E.; Mariani, E.; Benasciutti, E.; Gherlone, E. Corticocancellous porcine bone in the healing of human extraction sockets: Combining histomorphometry with osteoblast gene expression profiles in vivo. Int. J. Oral Maxillofac. Implant. 2011, 26, 866–872. [Google Scholar]
- Matichescu, A.; Ardelean, L.C.; Rusu, L.-C.; Craciun, D.; Bratu, E.A.; Babucea, M.; Leretter, M. Advanced Biomaterials and Techniques for Oral Tissue Engineering and Regeneration—A Review. Materials 2020, 13, 5303. [Google Scholar] [CrossRef] [PubMed]








Publisher’s Note: MDPI stays neutral with regard to jurisdictional claims in published maps and institutional affiliations. |
© 2021 by the authors. Licensee MDPI, Basel, Switzerland. This article is an open access article distributed under the terms and conditions of the Creative Commons Attribution (CC BY) license (https://creativecommons.org/licenses/by/4.0/).
Share and Cite
Hanisch, M.; Maus, M.; Kleinheinz, J. Implant-Prosthetic Restoration of a Patient with Osteogenesis Imperfecta: A Case Report. Int. J. Environ. Res. Public Health 2021, 18, 4169. https://doi.org/10.3390/ijerph18084169
Hanisch M, Maus M, Kleinheinz J. Implant-Prosthetic Restoration of a Patient with Osteogenesis Imperfecta: A Case Report. International Journal of Environmental Research and Public Health. 2021; 18(8):4169. https://doi.org/10.3390/ijerph18084169
Chicago/Turabian StyleHanisch, Marcel, Melanie Maus, and Johannes Kleinheinz. 2021. "Implant-Prosthetic Restoration of a Patient with Osteogenesis Imperfecta: A Case Report" International Journal of Environmental Research and Public Health 18, no. 8: 4169. https://doi.org/10.3390/ijerph18084169
APA StyleHanisch, M., Maus, M., & Kleinheinz, J. (2021). Implant-Prosthetic Restoration of a Patient with Osteogenesis Imperfecta: A Case Report. International Journal of Environmental Research and Public Health, 18(8), 4169. https://doi.org/10.3390/ijerph18084169
