Abbreviated MRI Protocol for the Assessment of Ablated Area in HCC Patients
Abstract
1. Introduction
2. Methods
2.1. Study Population
2.2. MRI Protocol
2.3. Contrast Enhancement Ultrasound Protocol
2.4. Statistical Analysis
3. Results
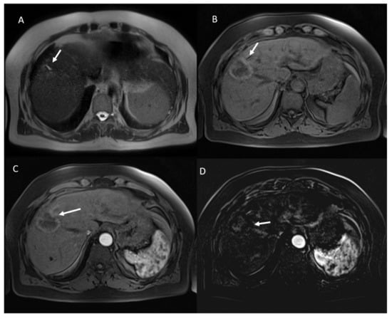
- 21 showed APHE and 2 rim APHE during arterial Phase (Figure 2).
- 23 showed wash-out appearance during portal phase and hypointense SI in equilibrium phase (Figure 2).
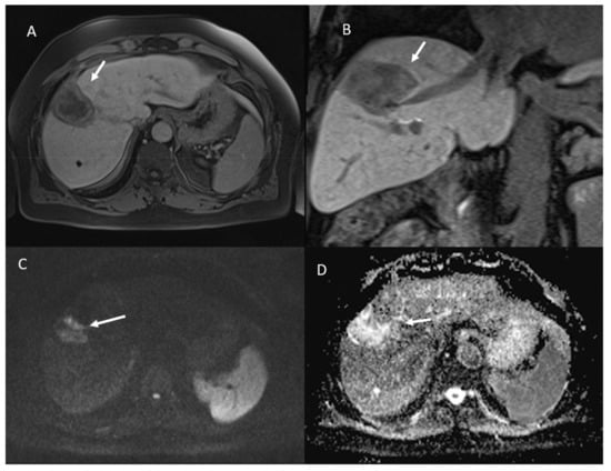
- 23 lesions were hyperintense in T2-W and hypointense in T1-W sequences (Figure 3).
- 23 lesions showed restricted diffusion with hypointense SI in ADC map (Figure 4).
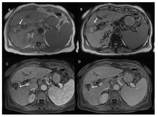
- 53 showed non rim APHE and 60 hypointense SI during arterial phase (Figure 5).
- 3 showed peripheral washout appearance and 110 hypointense SI in portal phase (Figure 5).
- 113 lesions were hypointense in equilibrium phase.
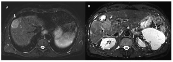
- 98 showed iso-hypointense SI in T2-W and 15 iso-hyperintense SI in T2-W (Figure 6).
- 100 showed hyperintense SI in T1-W and 113 targetoid appearance.
- 84 lesions showed restricted diffusion (Figure 7) with iso-hypointense in ADC map and 29 showed no restricted diffusion.
3.1. Category Assignment According to MR
3.2. Diagnostic Performance of Viable Category
3.3. Imaging Features for the Prediction of Tumor Viability
3.4. Imaging Features for Prediction of Tumor Non-Viability
4. Discussion
5. Conclusions
Author Contributions
Funding
Institutional Review Board Statement
Informed Consent Statement
Data Availability Statement
Conflicts of Interest
References
- Izzo, F.; Granata, V.; Grassi, R.; Fusco, R.; Palaia, R.; Delrio, P.; Carrafiello, G.; Azoulay, D.; Petrillo, A.; Curley, S.A. Radiofrequency Ablation and Microwave Ablation in Liver Tumors: An Update. Oncologist 2019, 24, e990–e1005. [Google Scholar] [CrossRef]
- Veltri, A.; Gazzera, C.; Calandri, M.; Marenco, F.; Doriguzzi Breatta, A.; Fonio, P.; Gandini, G. Percutaneous treatment of Hepatocellular carcinoma exceeding 3 cm: Combined therapy or microwave ablation? Preliminary results. Radiol. Med. 2015, 120, 1177–1183. [Google Scholar] [CrossRef]
- Carrafiello, G.; Laganà, D.; Mangini, M.; Fontana, F.; Dionigi, G.; Boni, L.; Rovera, F.; Cuffari, S.; Fugazzola, C. Microwave tumors ablation: Principles, clinical applications and review of preliminary experi-ences. Int. J. Surg. 2008, 6 (Suppl. S1), S65–S69. [Google Scholar] [CrossRef]
- Ierardi, A.M.; Giorlando, F.; Piacentino, F.; Fontana, F.; Novario, R.; Angileri, S.A.; Duka, E.; Carrafiello, G. Factors predicting outcomes of microwave ablation of small hepatocellular carcinoma. Radiol. Med. 2017, 122, 81–87. [Google Scholar] [CrossRef]
- Park, E.K.; Kim, H.J.; Kim, C.Y.; Hur, Y.H.; Koh, Y.S.; Kim, J.C.; Kim, H.J.; Kim, J.W.; Cho, C.K. A comparison between surgical resection and radiofrequency ablation in the treatment of hepatocellular carcinoma. Ann. Surg. Treat. Res. 2014, 87, 72–80. [Google Scholar] [CrossRef] [PubMed]
- Kim, G.A.; Shim, J.H.; Kim, M.J.; Kim, S.Y.; Won, H.J.; Shin, Y.M.; Kim, P.N.; Kim, K.H.; Lee, S.G.; Lee, H.C. Radio- frequency ablation as an alternative to hepatic resection for single small hepatocellular carcinomas. Br. J. Surg. 2016, 103, 126–135. [Google Scholar] [CrossRef] [PubMed]
- Liu, P.H.; Hsu, C.Y.; Hsia, C.Y.; Lee, Y.H.; Huang, Y.H.; Chiou, Y.Y.; Lin, H.C.; Huo, T.I. Surgical re- section versus radiofrequency ablation for single hepatocellular carcinoma ≤ 2 cm in a propensity score model. Ann. Surg. 2016, 263, 538–545. [Google Scholar] [CrossRef]
- Wang, J.H.; Wang, C.C.; Hung, C.H.; Chen, C.L.; Lu, S.N. Survival comparison between surgical resection and radiofrequency ablation for patients in BCLC very early/early stage hepatocellular carcinoma. J. Hepatol. 2012, 56, 412–418. [Google Scholar] [CrossRef] [PubMed]
- Granata, V.; Grassi, R.; Fusco, R.; Setola, S.V.; Palaia, R.; Belli, A.; Miele, V.; Brunese, L.; Grassi, R.; Petrillo, A.; et al. Assessment of Ablation Therapy in Pancreatic Cancer: The Radiologist’s Challenge. Front Oncol. 2020, 10, 560952. [Google Scholar] [CrossRef] [PubMed]
- Granata, V.; de Lutio di Castelguidone, E.; Fusco, R.; Catalano, O.; Piccirillo, M.; Palaia, R.; Izzo, F.; Gallipoli, A.D.; Petrillo, A. Irreversible electroporation of hepatocellular carcinoma: Preliminary report on the diagnostic accuracy of magnetic resonance, computer tomography, and contrast-enhanced ultrasound in evaluation of the ablated area. Radiol. Med. 2016, 121, 122–131. [Google Scholar] [CrossRef]
- Lencioni, R.; Llovet, J.M. Modified RECIST (mRECIST) assessment for hepatocellular carcinoma. Semin. Liver Dis. 2010, 30, 52–60. [Google Scholar] [CrossRef]
- Salvaggio, G.; Furlan, A.; Agnello, F.; Cabibbo, G.; Marin, D.; Giannitrapani, L.; Genco, C.; Midiri, M.; Lagalla, R.; Brancatelli, G. Hepatocellular carcinoma enhancement on contrast-enhanced CT and MR imaging: Response assessment after treatment with sorafenib: Preliminary results. Radiol. Med. 2014, 119, 215–221. [Google Scholar] [CrossRef] [PubMed]
- Orlacchio, A.; Bolacchi, F.; Chegai, F.; Bergamini, A.; Costanzo, E.; Del Giudice, C.; Angelico, M.; Simonetti, G. Comparative evaluation of percutaneous laser and radiofrequency ablation in patients with HCC smaller than 4 cm. Radiol. Med. 2014, 119, 298–308. [Google Scholar] [CrossRef]
- Granata, V.; Fusco, R.; Maio, F.; Avallone, A.; Nasti, G.; Palaia, R.; Albino, V.; Grassi, R.; Izzo, F.; Petrillo, A. Qualitative assessment of EOB-GD-DTPA and Gd-BT-DO3A MR contrast studies in HCC patients and colorectal liver metastases. Infect. Agent Cancer 2019, 14, 40. [Google Scholar] [CrossRef]
- Barabino, M.; Gurgitano, M.; Fochesato, C.; Angileri, S.A.; Franceschelli, G.; Santambrogio, R.; Mariani, N.M.; Opocher, E.; Carrafiello, G. LI-RADS to categorize liver nodules in patients at risk of HCC: Tool or a gadget in daily practice? Radiol. Med. 2020, 126, 5–13. [Google Scholar] [CrossRef] [PubMed]
- Gabelloni, M.; Di Nasso, M.; Morganti, R.; Faggioni, L.; Masi, G.; Falcone, A.; Neri, E. Application of the ESR iGuide clinical decision support system to the imaging pathway of patients with hepatocellular carcinoma and cholangiocarcinoma: Preliminary findings. Radiol. Med. 2020, 125, 531–537. [Google Scholar] [CrossRef] [PubMed]
- Gatti, M.; Calandri, M.; Bergamasco, L.; Darvizeh, F.; Grazioli, L.; Inchingolo, R.; Ippolito, D.; Rousset, S.; Veltri, A.; Fonio, P.; et al. Characterization of the arterial enhancement pattern of focal liver lesions by multiple arterial phase magnetic resonance imaging: Comparison between hepatocellular carcinoma and focal nodular hyperplasia. Radiol. Med. 2020, 125, 348–355. [Google Scholar] [CrossRef] [PubMed]
- Orlacchio, A.; Chegai, F.; Roma, S.; Merolla, S.; Bosa, A.; Francioso, S. Degradable starch microspheres transarterial chemoembolization (DSMs-TACE) in patients with unresectable hepatocellular carcinoma (HCC): Long-term results from a single-center 137-patient cohort prospective study. Radiol. Med. 2020, 125, 98–106. [Google Scholar] [CrossRef]
- Calandri, M.; Ruggeri, V.; Carucci, P.; Mirabella, S.; Veltri, A.; Fonio, P.; Gazzera, C. Thermal ablation with fusion imaging guidance of hepatocellular carcinoma without conspicuity on conventional or contrast-enhanced US: Surrounding anatomical landmarks matter. Radiol. Med. 2019, 124, 1043–1048. [Google Scholar] [CrossRef]
- Aslam, A.; Do, R.K.G.; Kambadakone, A.; Spieler, B.; Miller, F.H.; Gabr, A.M.; Charalel, R.A.; Kim, C.Y.; Madoff, D.C.; Mendiratta-Lala, M. Hepatocellular carcinoma Liver Imaging Reporting and Data Systems treatment response assessment: Lessons learned and future directions. World J. Hepatol. 2020, 12, 738–753. [Google Scholar] [CrossRef]
- American College of Radiology. Liver Imaging Reporting and Data Systems Version 2018 Manual. 2018. Available online: https://www.acr.org/Clinical-Resources/Reporting-and-Data-Systems/LI-RADS/CT-MRI-LI-RADS-v2018 (accessed on 15 January 2021).
- Esposito, A.; Buscarino, V.; Raciti, D.; Casiraghi, E.; Manini, M.; Biondetti, P.; Forzenigo, L. Characterization of liver nodules in patients with chronic liver disease by MRI: Performance of the Liver Imaging Reporting and Data System (LI-RADS v.2018) scale and its comparison with the Likert scale. Radiol. Med. 2020, 125, 15–23. [Google Scholar] [CrossRef]
- Granata, V.; Fusco, R.; Filice, S.; Incollingo, P.; Belli, A.; Izzo, F.; Petrillo, A. Comment on “State of the art in magnetic resonance imaging of hepatocellular carcinoma”: The role of DWI. Radiol. Oncol. 2019, 53, 369–370. [Google Scholar] [CrossRef]
- Kim, S.S.; Kim, S.H.; Song, K.D.; Choi, S.Y.; Heo, N.H. Value of gadoxetic acid-enhanced MRI and diffusion-weighted imaging in the differentiation of hypervascular hyperplastic nodule from small (<3 cm) hypervascular hepatocellular carcinoma in patients with alcoholic liver cirrhosis: A retrospective case-control study. J. Magn. Reson. Imaging 2019, 51, 70–80. [Google Scholar] [CrossRef]
- Brunsing, R.L.; Fowler, K.J.; Yokoo, T.; Cunha, G.M.; Sirlin, C.B.; Marks, R.M. Alternative approach of hepatocellular carcinoma surveillance: Abbreviated MRI. Hepatoma Res. 2020, 6, 59. [Google Scholar] [CrossRef]
- Kim, Y.K.; Kim, Y.K.; Park, H.J.; Park, M.J.; Lee, W.J.; Choi, D. Noncontrast MRI with diffusion-weighted imaging as the sole imaging modality for detecting liver malignancy in patients with high risk for hepatocellular carcinoma. Magn. Reson. Imaging 2014, 32, 610–618. [Google Scholar] [CrossRef] [PubMed]
- Han, S.; Choi, J.I.; Park, M.Y.; Choi, M.H.; Rha, S.E.; Lee, Y.J. The diagnostic performance of liver MRI without intravenous contrast for detecting hepatocellular carcinoma: A case-controlled feasibility study. Korean J. Radiol. 2018, 19, 568–577. [Google Scholar] [CrossRef]
- Chan, M.V.; McDonald, S.J.; Ong, Y.Y.; Mastrocostas, K.; Ho, E.; Huo, Y.R.; Santhakumar, C.; Lee, A.U.; Yang, J. HCC screening: Assessment of an abbreviated non-contrast MRI protocol. Eur. Radiol. Exp. 2019, 3, 49. [Google Scholar] [CrossRef] [PubMed]
- Lee, J.Y.; Huo, E.J.; Weinstein, S.; Santos, C.; Monto, A.; Corvera, C.U.; Yee, J.; Hope, T.A. Evaluation of an abbreviated screening MRI protocol for patients at risk for hepatocellular carcinoma. Abdom. Radiol. 2018, 43, 1627–1633. [Google Scholar] [CrossRef] [PubMed]
- Khatri, G.; Pedrosa, I.; Ananthakrishnan, L.; de Leon, A.D.; Fetzer, D.T.; Leyendecker, J.; Singal, A.G.; Xi, Y.; Yopp, A.; Yokoo, T. Abbreviated-protocol screening MRI vs. complete-protocol diagnostic MRI for detection of hepatocellular carcinoma in patients with cirrhosis: An equivalence study using LI-RADS v2018. J. Magn. Reson. Imaging 2020, 51, 415–425. [Google Scholar] [CrossRef]
- Marks, R.M.; Ryan, A.; Heba, E.R.; Tang, A.; Wolfson, T.J.; Gamst, A.C.; Sirlin, C.B.; Bashir, M.R. Diagnostic per-patient accuracy of an abbreviated hepatobiliary phase gadoxetic acid-enhanced MRI for hepatocellular carcinoma surveillance. AJR Am. J. Roentgenol. 2015, 204, 527–535. [Google Scholar] [CrossRef]
- Besa, C.; Lewis, S.; Pandharipande, P.V.; Chhatwal, J.; Kamath, A.; Cooper, N.; Knight-Greenfield, A.; Babb, J.S.; Boffetta, P.; Padron, N.; et al. Hepatocellular carcinoma detection: Diagnostic performance of a simulated abbreviated MRI protocol combining diffusion- weighted and T1-weighted imaging at the delayed phase post gadoxetic acid. Abdom. Radiol. 2017, 42, 179–190. [Google Scholar] [CrossRef] [PubMed]
- Tillman, B.G.; Gorman, J.D.; Hru, J.M.; Lee, M.H.; King, M.C.; Sirlin, C.B.; Marks, R.M. Diagnostic per-lesion performance of a simulated gadoxetate disodium-enhanced abbreviated MRI protocol for hepatocellular carcinoma screening. Clin. Radiol. 2018, 73, 485–493. [Google Scholar] [CrossRef] [PubMed]
- Brunsing, R.L.; Chen, D.H.; Schlein, A.; Wolfson, T.; Gamst, A.; Mamidipalli, A.; Violi, N.V.; Marks, R.M.; Taouli, B.; Loomba, R.; et al. Gadoxetate-enhanced abbreviated MRI for hepatocellular carcinoma surveillance: Preliminary experience. Radiol. Imaging Cancer 2019, 1, el90010. [Google Scholar] [CrossRef] [PubMed]
- Gupta, P.; Soundararajan, R.; Patel, A.; Kumar, M.P.; Sharma, V.; Kalra, N. Abbreviated MRI for hepatocellular carcinoma screening: A systematic review and meta-analysis. J. Hepatol. 2021. [Google Scholar] [CrossRef]
- Ultrasound LI-RADS v2017. American College of Radiology. Available online: https://www.acr.org/Clinical-Resources/Reporting-and-Data-Systems/LI-RADS/Ultrasound-LI-RADS-v2017 (accessed on 15 January 2021).







| Description | Numbers (%)/Range |
|---|---|
| HCCs patients | 58 |
| Gender | Men 32 (55.2%) |
| Women 26 (44.8%) | |
| Age | 74 years; range, 62–83 years |
| Number of hepatic nodules | 136 HCCs (51 well, 48 moderately, and 37 poorly differentiated) |
| Single nodule | 10 patients |
| Multiple nodules | 48 (2 nodules in 18 patients and 3 in 30 patients) |
| Nodule size (mm) | mean size 20.0 mm; range 15–30 mm |
| Risk factor for liver cirrhosis | 58 (100%) |
| Chronic hepatitis B | 32 (55.2%) |
| Chronic hepatitis C | 26 (44.8%) |
| Alcoholic liver cirrhosis | 0% |
| Child–Pugh Classification | |
| A | 58 (100%) |
| B | 0% |
| Treatment | |
| RFA | 36 patients (98 HCCs) |
| MWA | 22 patients (38 HCCs) |
| Sequence | Orientation | TR/TE/FA (ms/ms/deg.) | AT (min) | Acquisition Matrix | ST/Gap (mm) | FS |
|---|---|---|---|---|---|---|
| Trufisp T2-W | Coronal | 4.30/2.15/80 | 0.46 | 512 × 512 | 4/0 | without |
| HASTE T2-W | Axial | 1500/90/170 | 0.36 | 320 × 320 | 5/0 | Without and with (SPAIR) |
| HASTE T2-W | Coronal | 1500/92/170 | 0.38 | 320 × 320 | 5/0 | without |
| SPACE T2-W FS | Axial | 4471/259/120 | 4.20 | 384 × 450 | 3/0 | With (SPAIR) |
| In-Out phase T1-W | Axial | 160/2.35/70 | 0.33 | 256 × 192 | 5/0 | without |
| DWI | Axial | 7500/91/90 | 7 | 192 × 192 | 3/0 | without |
| VibeT1-W | Axial | 4.80/1.76/12 | 0.18 | 320 × 260 | 3/0 | with (SPAIR) |
| Reader | MR Protocol | Sensitivity | Specificity | PPV | NPV | ACC |
|---|---|---|---|---|---|---|
| Reviewer 1 | Standard MRI protocol | 100.00 | 98.26 | 91.30 | 100.00 | 97.10 |
| Abbreviated MRI protocol | 100.00 | 98.26 | 91.30 | 100.00 | 97.10 | |
| Reviewer 2 | Standard MRI protocol | 100.00 | 94.78 | 77.78 | 100.00 | 94.20 |
| Abbreviated MRI protocol | 100.00 | 98.26 | 91.30 | 100.00 | 97.10 | |
| Reviewer 3 | Standard MRI protocol | 100.00 | 96.52 | 84.00 | 100.00 | 95.65 |
| Abbreviated MRI protocol | 100.00 | 98.26 | 91.30 | 100.00 | 97.10 | |
| Consensus | Standard MRI protocol | 100.00 | 98.26 | 91.30 | 100.00 | 97.10 |
| Abbreviated MRI protocol | 100.00 | 98.26 | 91.30 | 100.00 | 97.10 |
| Imaging Features at MRI | Viable Lesions (n. 23) | Non-Viable Lesions (n. 113) | p Value with a Chi-Square Test |
|---|---|---|---|
| APHE | 21/23 (91.3%) | 0/113 (0.0%) | 0.03 |
| rim APHE | 2/23 (8.7%) | 53/113 (46.9%) | 0.001 |
| hypointense SI during arterial phase | 0/23 (0.0%) | 60/113 (53.1%) | <<0.001 |
| wash-out | 23/23 (100.0%) | 3/113 (2.7%) | <<0.001 |
| hypointense SI in equilibrium phase | 23/23 (100.0%) | 113/113 (100%) | 0.9 |
| hypointense SI in portal phase | 0/23 (0.0%) | 110/113 (97.3%) | <<0.001 |
| hyperintese in T2-W | 23/23 (100.0%) | 0/113 (0.0%) | <<0.001 |
| iso-hyperintense SI in T2-W | 0/23 (0.0%) | 15/113 (13.3%) | 0.1 |
| iso-hypointense SI in T2-W | 0/23 (0.0%) | 98/113 (86.7%) | <<0.001 |
| hypointense in T1-W | 23/23 (100.0%) | 0/113 (0.0%) | <<0.001 |
| hyperintense SI in T1-W | 0/23 (0.0%) | 100/113 (88.5%) | <<0.001 |
| targetoid appearance in T1-W | 0/23 (0.0%) | 113/113 (100%) | <<0.001 |
| restricted diffusion | 23/23 (100.0%) | 84/113 (74.3%) | 0.1 |
Publisher’s Note: MDPI stays neutral with regard to jurisdictional claims in published maps and institutional affiliations. |
© 2021 by the authors. Licensee MDPI, Basel, Switzerland. This article is an open access article distributed under the terms and conditions of the Creative Commons Attribution (CC BY) license (https://creativecommons.org/licenses/by/4.0/).
Share and Cite
Granata, V.; Grassi, R.; Fusco, R.; Setola, S.V.; Belli, A.; Piccirillo, M.; Pradella, S.; Giordano, M.; Cappabianca, S.; Brunese, L.; et al. Abbreviated MRI Protocol for the Assessment of Ablated Area in HCC Patients. Int. J. Environ. Res. Public Health 2021, 18, 3598. https://doi.org/10.3390/ijerph18073598
Granata V, Grassi R, Fusco R, Setola SV, Belli A, Piccirillo M, Pradella S, Giordano M, Cappabianca S, Brunese L, et al. Abbreviated MRI Protocol for the Assessment of Ablated Area in HCC Patients. International Journal of Environmental Research and Public Health. 2021; 18(7):3598. https://doi.org/10.3390/ijerph18073598
Chicago/Turabian StyleGranata, Vincenza, Roberta Grassi, Roberta Fusco, Sergio Venanzio Setola, Andrea Belli, Mauro Piccirillo, Silvia Pradella, Marzia Giordano, Salvatore Cappabianca, Luca Brunese, and et al. 2021. "Abbreviated MRI Protocol for the Assessment of Ablated Area in HCC Patients" International Journal of Environmental Research and Public Health 18, no. 7: 3598. https://doi.org/10.3390/ijerph18073598
APA StyleGranata, V., Grassi, R., Fusco, R., Setola, S. V., Belli, A., Piccirillo, M., Pradella, S., Giordano, M., Cappabianca, S., Brunese, L., Grassi, R., Petrillo, A., & Izzo, F. (2021). Abbreviated MRI Protocol for the Assessment of Ablated Area in HCC Patients. International Journal of Environmental Research and Public Health, 18(7), 3598. https://doi.org/10.3390/ijerph18073598

