Switch Strategy from Direct Aspiration First Pass Technique to Solumbra Improves Technical Outcome in Endovascularly Treated Stroke
Abstract
1. Introduction
2. Materials and Methods
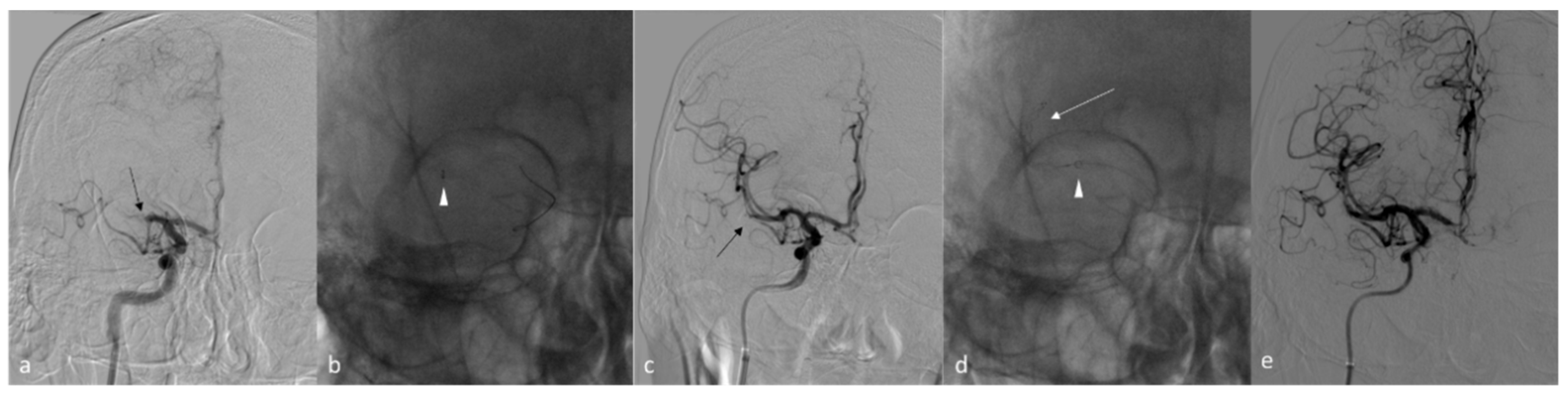
2.1. Endovascular Techniques
2.2. Study Outcomes
2.3. Database Preparation
2.4. Statistical Analysis
3. Results
4. Discussion
5. Conclusions
Author Contributions
Funding
Institutional Review Board Statement
Informed Consent Statement
Data Availability Statement
Conflicts of Interest
References
- Boyle, K.; Joundi, R.A.; Aviv, R.I. An historical and contemporary review of endovascular therapy for acute ischemic stroke. Neurovascular Imaging 2017, 3, 1. [Google Scholar] [CrossRef]
- Goyal, M.; Menon, B.K.; van Zwam, W.H.; Dippel, D.W.; Mitchell, P.J.; Demchuk, A.M.; Davalos, A.; Majoie, C.B.; van der Lugt, A.; de Miquel, M.A.; et al. Endovascular thrombectomy after large-vessel ischaemic stroke: A meta-analysis of individual patient data from five randomised trials. Lancet 2016, 387, 1723–1731. [Google Scholar] [CrossRef]
- Turk, A.S., 3rd; Siddiqui, A.; Fifi, J.T.; De Leacy, R.A.; Fiorella, D.J.; Gu, E.; Levy, E.I.; Snyder, K.V.; Hanel, R.A.; Aghaebrahim, A.; et al. Aspiration thrombectomy versus stent retriever thrombectomy as first-line approach for large vessel occlusion (COMPASS): A multicentre, randomised, open label, blinded outcome, non-inferiority trial. Lancet 2019, 393, 998–1008. [Google Scholar] [CrossRef]
- Powers, W.J.; Rabinstein, A.A.; Ackerson, T.; Adeoye, O.M.; Bambakidis, N.C.; Becker, K.; Biller, J.; Brown, M.; Demaerschalk, B.M.; Hoh, B.; et al. Guidelines for the Early Management of Patients With Acute Ischemic Stroke: 2019 Update to the 2018 Guidelines for the Early Management of Acute Ischemic Stroke: A Guideline for Healthcare Professionals From the American Heart Association/American Stroke Association. Stroke 2019, 50, e344–e418. [Google Scholar] [CrossRef] [PubMed]
- Kayan, Y.; Meyers, P.M.; Prestigiacomo, C.J.; Kan, P.; Fraser, J.F. Current endovascular strategies for posterior circulation large vessel occlusion stroke: Report of the Society of NeuroInterventional Surgery Standards and Guidelines Committee. J. Neurointerventional Surg. 2019, 11, 1055. [Google Scholar] [CrossRef]
- Kang, D.H.; Kim, Y.W.; Hwang, Y.H.; Park, J.; Hwang, J.H.; Kim, Y.S. Switching strategy for mechanical thrombectomy of acute large vessel occlusion in the anterior circulation. Stroke 2013, 44, 3577–3579. [Google Scholar] [CrossRef] [PubMed]
- Powers, W.J.; Rabinstein, A.A.; Ackerson, T.; Adeoye, O.M.; Bambakidis, N.C.; Becker, K.; Biller, J.; Brown, M.; Demaerschalk, B.M.; Hoh, B.; et al. 2018 Guidelines for the Early Management of Patients With Acute Ischemic Stroke: A Guideline for Healthcare Professionals From the American Heart Association/American Stroke Association. Stroke 2018, 49, e46–e110. [Google Scholar] [CrossRef] [PubMed]
- Zhang, X.; Yuan, K.; Wang, H.; Gong, P.; Jiang, T.; Xie, Y.; Sheng, L.; Liu, D.; Liu, X.; Xu, G. Nomogram to Predict Mortality of Endovascular Thrombectomy for Ischemic Stroke Despite Successful Recanalization. J. Am. Heart Assoc. 2020, 9, e014899. [Google Scholar] [CrossRef]
- Fargen, K.M.; Arthur, A.S.; Spiotta, A.M.; Lena, J.; Chaudry, I.; Turner, R.D.; Turk, A.S. A survey of neurointerventionalists on thrombectomy practices for emergent large vessel occlusions. J. Neurointerventional Surg. 2017, 9, 142–146. [Google Scholar] [CrossRef] [PubMed]
- Kang, D.-H.; Kim, J.W.; Kim, B.M.; Heo, J.H.; Nam, H.S.; Kim, Y.D.; Hwang, Y.-H.; Kim, Y.-W.; Baek, J.-H.; Yoo, J.; et al. Need for rescue treatment and its implication: Stent retriever versus contact aspiration thrombectomy. J. Neurointerventional Surg. 2019, 11, 979–983. [Google Scholar] [CrossRef]
- Stapleton, C.J.; Leslie-Mazwi, T.M.; Torok, C.M.; Hakimelahi, R.; Hirsch, J.A.; Yoo, A.J.; Rabinov, J.D.; Patel, A.B. A direct aspiration first-pass technique vs stentriever thrombectomy in emergent large vessel intracranial occlusions. J. Neurosurg. 2018, 128, 567–574. [Google Scholar] [CrossRef]
- Comai, A.; Haglmüller, T.; Ferro, F.; Dall’Ora, E.; Currò Dossi, R.; Bonatti, G. Sequential endovascular thrombectomy approach (SETA) to acute ischemic stroke: Preliminary single-centre results and cost analysis. La Radiol. Med. 2015, 120, 655–661. [Google Scholar] [CrossRef]
- von Elm, E.; Altman, D.G.; Egger, M.; Pocock, S.J.; Gotzsche, P.C.; Vandenbroucke, J.P. The Strengthening the Reporting of Observational Studies in Epidemiology (STROBE) Statement: Guidelines for reporting observational studies. Int. J. Surg. (Lond. Engl.) 2014, 12, 1495–1499. [Google Scholar] [CrossRef]
- Sanak, D.; Kocher, M.; Veverka, T.; Cerna, M.; Kral, M.; Burval, S.; Skoloudik, D.; Prasil, V.; Zapletalova, J.; Herzig, R.; et al. Acute combined revascularization in acute ischemic stroke with intracranial arterial occlusion: Self-expanding solitaire stent during intravenous thrombolysis. J. Vasc. Interv. Radiol. JVIR 2013, 24, 1273–1279. [Google Scholar] [CrossRef]
- Turk, A.S.; Spiotta, A.; Frei, D.; Mocco, J.; Baxter, B.; Fiorella, D.; Siddiqui, A.; Mokin, M.; Dewan, M.; Woo, H. Initial clinical experience with the ADAPT technique: A direct aspiration first pass technique for stroke thrombectomy. J. Neurointerventional Surg. 2018, 10, i20–i25. [Google Scholar] [CrossRef] [PubMed]
- Lee, J.S.; Hong, J.M.; Lee, S.-J.; Joo, I.S.; Lim, Y.C.; Kim, S.Y. The combined use of mechanical thrombectomy devices is feasible for treating acute carotid terminus occlusion. Acta Neurochir. 2013, 155, 635–641. [Google Scholar] [CrossRef] [PubMed]
- Pampana, E.; Fabiano, S.; De Rubeis, G.; Bertaccini, L.; Stasolla, A.; Vallone, A.; Pingi, A.; Mangiardi, M.; Anticoli, S.; Gasperini, C.; et al. Tailored Vessel-Catheter Diameter Ratio in a Direct Aspiration First-Pass Technique: Is It a Matter of Caliber? Ajnr. Am. J. Neuroradiol. 2021. [Google Scholar] [CrossRef]
- Andersson, T.; Wiesmann, M.; Nikoubashman, O.; Gopinathan, A.; Bhogal, P.; Yeo, L.L.L. The Aspirations of Direct Aspiration for Thrombectomy in Ischemic Stroke: A Critical Analysis. J. Stroke 2019, 21, 2–9. [Google Scholar] [CrossRef]
- Lapergue, B.; Blanc, R. A Direct Aspiration, First Pass Technique (ADAPT) versus Stent Retrievers for Acute Stroke Therapy: An Observational Comparative Study. Am. J. Neuroradiol. 2016, 37, 1860–1865. [Google Scholar] [CrossRef] [PubMed]
- Zhang, Y.; Zhang, Y.; Hu, C.; Zhao, W.; Zhang, Z.; Li, W. A direct aspiration first-pass technique (ADAPT) versus stent retriever for acute ischemic stroke (AIS): A systematic review and meta-analysis. J. Neurol. 2020, 1–13. [Google Scholar] [CrossRef]
- Lapergue, B.; Blanc, R.; Gory, B.; Labreuche, J.; Duhamel, A.; Marnat, G.; Saleme, S.; Costalat, V.; Bracard, S.; Desal, H.; et al. Effect of Endovascular Contact Aspiration vs Stent Retriever on Revascularization in Patients With Acute Ischemic Stroke and Large Vessel Occlusion: The ASTER Randomized Clinical Trial. JAMA 2017, 318, 443–452. [Google Scholar] [CrossRef]
- Turc, G.; Bhogal, P.; Fischer, U.; Khatri, P.; Lobotesis, K.; Mazighi, M.; Schellinger, P.D.; Toni, D.; de Vries, J.; White, P.; et al. European Stroke Organisation (ESO)—European Society for Minimally Invasive Neurological Therapy (ESMINT) Guidelines on Mechanical Thrombectomy in Acute Ischemic Stroke. J. Neurointerventional Surg. 2019, 11, 535–538. [Google Scholar] [CrossRef]
- Shaarada, S.; Yifei, D.; John, P.S.; Shivani, P.; Jonathan, P.; Xiaofei, Z.; Nicholas, C.B. Cerebral vessel anatomy as a predictor of first-pass effect in mechanical thrombectomy for emergent large-vessel occlusion. J. Neurosurg. JNS 2020, 1, 1–9. [Google Scholar] [CrossRef]
- Blanc, R.; Redjem, H.; Ciccio, G.; Smajda, S.; Desilles, J.P.; Orng, E.; Taylor, G.; Drumez, E.; Fahed, R.; Labreuche, J.; et al. Predictors of the Aspiration Component Success of a Direct Aspiration First Pass Technique (ADAPT) for the Endovascular Treatment of Stroke Reperfusion Strategy in Anterior Circulation Acute Stroke. Stroke 2017, 48, 1588–1593. [Google Scholar] [CrossRef] [PubMed]
- Monch, S.; Boeckh-Behrens, T.; Maegerlein, C.; Berndt, M.; Wunderlich, S.; Zimmer, C.; Friedrich, B. Mechanical Thrombectomy of the Middle Cerebral Artery—Neither Segment nor Diameter Matter. J. Stroke Cerebrovasc. Dis. Off. J. Natl. Stroke Assoc. 2020, 29, 104542. [Google Scholar] [CrossRef]
- Abe, Y.; Yuki, I.; Otani, K.; Shoji, T.; Ishibashi, T.; Murayama, Y. Agreement of intracranial vessel diameters measured on 2D and 3D digital subtraction angiography using an automatic windowing algorithm. J. Neuroradiol. 2019. [Google Scholar] [CrossRef] [PubMed]
- Pereira, P.L.; Helmberger, T.; Taieb, J.; Vilgrain, V.; de Baere, T. Scientific Societies Should Start Sponsoring Observational Studies. Cardiovasc. Interv. Radiol. 2020, 43, 1865–1867. [Google Scholar] [CrossRef] [PubMed]
- Manning, N.W.; Chapot, R.; Meyers, P.M. Endovascular Stroke Management: Key Elements of Success. Cerebrovasc. Dis. 2016, 42, 170–177. [Google Scholar] [CrossRef] [PubMed]
- Kang, D.H.; Hwang, Y.H. Frontline Contact Aspiration Treatment for Emergent Large Vessel Occlusion: A Review Focused on Practical Techniques. J. Stroke 2019, 21, 10–22. [Google Scholar] [CrossRef] [PubMed]
- Fransen, P.S.; Berkhemer, O.A.; Lingsma, H.F.; Beumer, D.; van den Berg, L.A.; Yoo, A.J.; Schonewille, W.J.; Vos, J.A.; Nederkoorn, P.J.; Wermer, M.J.; et al. Time to Reperfusion and Treatment Effect for Acute Ischemic Stroke: A Randomized Clinical Trial. JAMA Neurol. 2016, 73, 190–196. [Google Scholar] [CrossRef] [PubMed]


| ADAPT Treated (n = 135) | |
|---|---|
| Age (years) (median and IC 95%) | 72.0 (70.0–75.0) |
| Male (n %) | 68 (50.7%) |
| BMI (median and IC 95%) | 25.1 (24.7–26.4) |
| Familiar History (n %) | 24 (17.8%) |
| Smoking (n %) | 32 (23.7%) |
| Atrial fibrillation (n %) | 38 (28.1%) |
| Arterial Hypertension (n %) | 77 (57.0%) |
| Obesity (n %) | 22 (16.3%) |
| Prior TIA (n %) | 2 (1.5%) |
| Total Cholesterol (median and IC 95%) | 154.0 (147.4–166.6) |
| HDL (median and IC 95%) | 43.5 (41.0–45.3) |
| LDL (median and IC 95%) | 104.5 (91.7–114.1) |
| NIHSS at time of admission | 16 (14.8–18.0) |
| NIHSS at time of demission | 4 (2.0–7.0) |
| Intravenous fibrinolytic | 61 (45.2%) |
| Univariate OR (CI 95%) | p | |
|---|---|---|
| Age | 1.03 (0.99–1.06) | 0.12 |
| Male | 0.80 (0.35–1.85) | 0.22 |
| BMI | 0.99 (0.95–1.04) | 0.80 |
| Total cholesterol | 0.99 (0.97–1.01) | 0.17 |
| LDL cholesterol | 1.00 (1.0–1.01) | 0.23 |
| Smoking | 1.39 (0.44–4.41) | 0.58 |
| Arterial hypertension | 1.32 (0.43- 4.01) | 0.63 |
| NOA | 1.03 (0.20–5.3) | 0.97 |
| NIHSS | 1.05 (0.96–1.14) | 0.28 |
| Wake up stroke | 0.95 (0.29–3.10) | 0.92 |
| Time from symptoms to groin puncture (min) | 1.05 (0.90–1.23) | 0.55 |
| Posterior circulation | 0.61 (0.13–2.89) | 0.53 |
| Vessel’s diameter (mm) | 1.12(1.03–1.22) | 0.006 |
Publisher’s Note: MDPI stays neutral with regard to jurisdictional claims in published maps and institutional affiliations. |
© 2021 by the authors. Licensee MDPI, Basel, Switzerland. This article is an open access article distributed under the terms and conditions of the Creative Commons Attribution (CC BY) license (http://creativecommons.org/licenses/by/4.0/).
Share and Cite
Pampana, E.; Fabiano, S.; De Rubeis, G.; Bertaccini, L.; Stasolla, A.; Pingi, A.; Cozzolino, V.; Mangiardi, M.; Anticoli, S.; Gasperini, C.; et al. Switch Strategy from Direct Aspiration First Pass Technique to Solumbra Improves Technical Outcome in Endovascularly Treated Stroke. Int. J. Environ. Res. Public Health 2021, 18, 2670. https://doi.org/10.3390/ijerph18052670
Pampana E, Fabiano S, De Rubeis G, Bertaccini L, Stasolla A, Pingi A, Cozzolino V, Mangiardi M, Anticoli S, Gasperini C, et al. Switch Strategy from Direct Aspiration First Pass Technique to Solumbra Improves Technical Outcome in Endovascularly Treated Stroke. International Journal of Environmental Research and Public Health. 2021; 18(5):2670. https://doi.org/10.3390/ijerph18052670
Chicago/Turabian StylePampana, Enrico, Sebastiano Fabiano, Gianluca De Rubeis, Luca Bertaccini, Alessandro Stasolla, Alberto Pingi, Valeria Cozzolino, Marilena Mangiardi, Sabrina Anticoli, Claudio Gasperini, and et al. 2021. "Switch Strategy from Direct Aspiration First Pass Technique to Solumbra Improves Technical Outcome in Endovascularly Treated Stroke" International Journal of Environmental Research and Public Health 18, no. 5: 2670. https://doi.org/10.3390/ijerph18052670
APA StylePampana, E., Fabiano, S., De Rubeis, G., Bertaccini, L., Stasolla, A., Pingi, A., Cozzolino, V., Mangiardi, M., Anticoli, S., Gasperini, C., & Cotroneo, E. (2021). Switch Strategy from Direct Aspiration First Pass Technique to Solumbra Improves Technical Outcome in Endovascularly Treated Stroke. International Journal of Environmental Research and Public Health, 18(5), 2670. https://doi.org/10.3390/ijerph18052670

