Overtreatment in Restorative Dentistry: Decision Making by Last-Year Dental Students
Abstract
:1. Introduction
2. Materials and Methods
3. Results
3.1. Clinical Scenario #1
3.2. Clinical Scenario #2
3.3. Clinical Scenario #3
3.4. Clinical Scenario #4
3.5. Clinical Scenario #5
3.6. Clinical Scenario #6
3.7. Clinical Scenario #7
3.8. Clinical Scenario #8
3.9. Clinical Scenario #9
3.10. Clinical Scenario #10
4. Discussion
4.1. Analysis of the Diagnostic Criteria
4.2. Analysis of the Therapeutic Criteria
4.3. Analysis of the Professional Attitude
5. Conclusions
Author Contributions
Funding
Institutional Review Board Statement
Informed Consent Statement
Conflicts of Interest
References
- Kazemian, A.; Berg, I.; Finkel, C.; Yazdani, S.; Zeilhofer, H.S.; Juergens, P.; Reiter-Theil, S. How much dentists are ethically concerned about overtreatment; a vignette-based survey in Switzerland. BMC Med. Ethics 2015, 16, 43. [Google Scholar] [CrossRef] [PubMed] [Green Version]
- Christensen, G.J. I have had enough! J. Esthet. Restor. Dent. 2004, 16, 83–86. [Google Scholar] [CrossRef] [PubMed]
- Hartshorne, J.; Hasegawa, T.K., Jr. Overservicing in dental practice—Ethical perspectives. SADJ 2003, 58, 364–369. [Google Scholar]
- Llewelyn, H. Evidenced based practice should reduce overdiagnosis and overtreatment. BMJ 2012, 344, e4296. [Google Scholar] [CrossRef]
- Lin, F.; Ren, M.; Yao, L.; He, Y.; Guo, J.; Ye, Q. Psychosocial impact of dental esthetics regulates motivation to seek orthodontic treatment. Am. J. Orthod. Dentofac. Orthop. 2016, 150, 476–482. [Google Scholar] [CrossRef]
- Esserman, L.J.; Thompson, I.M.; Reid, B.; Nelson, P.; Ransohoff, D.F.; Welch, G.H.; Hwang, S.; Berry, D.A.; Kinzler, K.W.; Black, W.C.; et al. Addressing overdiagnosis and overtreatment in cancer: A prescription for change. Lancet Oncol. 2014, 15, e234–e242. [Google Scholar] [CrossRef] [Green Version]
- Maupomé, G. Cumulative assessment of factors leading to restorative decisions in an educational environment. A graphical demonstration using an in vitro case. Oper. Dent. 2000, 25, 336–343. [Google Scholar]
- Baghdadi, Z.D. Preservation-based approaches to restore posterior teeth with amalgam, resin or a combination of materials. Am. J. Dent. 2002, 15, 54–65. [Google Scholar]
- Ericson, D.; Kidd, E.; McComb, D.; Mjor, I.; Noack, M.J. Minimally invasive dentistry—Concepts and techniques in cariology. Oral Health Prev. Dent. 2003, 1, 59–72. [Google Scholar]
- Ricketts, D.; Lamont, T.; Innes, N.P.T.; Kidd, E.; Clarkson, J.E. Operative caries management in adults and children (Review). Cochrane Database Syst. Rev. 2013, 28, CD003808. [Google Scholar]
- Innes, N.; Frencken, J.; Bjørndal, L.; Maltz, M.; Manton, D.; Ricketts, D.; Van Landuyt, K.; Banerjee, A.; Campus, G.; Doméjean, S.; et al. Managing carious lesions: Consensus recommendations on terminology. Adv. Dent. Res. 2016, 28, 49–57. [Google Scholar] [CrossRef] [PubMed] [Green Version]
- Hume, W.R. Research, education, caries and care: Taming and turning the restorative tiger. J. Dent. Res. 1992, 71, 1127. [Google Scholar] [CrossRef] [PubMed]
- Martignon, S.; Pitts, N.B.; Goffin, G.; Mazevet, M.; Douglas, G.V.A.; Newton, J.T.; Twetman, S.; Deery, C.; Doméjean, S.; Jablonski-Momeni, A.; et al. Caries Care practice guide: Consensus on evidence into practice. Br. Dent. J. 2019, 227, 353–362. [Google Scholar] [CrossRef] [PubMed] [Green Version]
- Schwendicke, F.; Frencken, J.E.; Bjørndal, L.; Maltz, M.; Manton, D.J.; Ricketts, D.; van Landuyt, K.; Banerjee, A.; Campus, G.; Doméjean, S.; et al. Managing Carious Lesions: Consensus Recommendations on Carious Tissue Removal. Adv. Dent. Res. 2016, 28, 58–67. [Google Scholar] [CrossRef] [PubMed] [Green Version]
- Schwendicke, F.; Meyer-Lückel, H.; Dorfer, C.; Paris, S. Failure of incompletely excavated teeth: A systematic review. J. Dent. 2013, 41, 569–580. [Google Scholar] [CrossRef] [PubMed]
- Segura-Egea, J.J. Complete excavation or removal of carious tissues to hard dentin: Overtreatment. J. Oral Res. 2017, 6, 30–31. [Google Scholar] [CrossRef] [Green Version]
- Ghosh, I.; Dayal, P.; Das, S. Overtreatment in Caries Management? A Literature Review Perspective and Recommendations for Clinicians. Dent. Update 2016, 43, 419–429. [Google Scholar] [CrossRef]
- Maupome, G. A comparison of senior dental students and normative standards with regard to caries assessment and treatment decisions to restore occlusal surfaces of permanent teeth. J. Prosthet. Dent. 1998, 79, 596–603. [Google Scholar] [CrossRef]
- Crespo-Gallardo, I.; Hay-Levytska, O.; Martín-González, J.; Jiménez-Sánchez, M.-C.; Sánchez-Domínguez, B.; Segura-Egea, J.J. Criteria and treatment decisions in the management of deep caries lesions: Is there endodontic overtreatment? J. Clin. Exp. Dent. 2018, 10, e751–e760. [Google Scholar] [CrossRef]
- Akhlaghi, N.; Khademi, A. Outcomes of vital pulp therapy in permanent teeth with different medicaments based on review of the literature. Dent. Res. J. 2015, 12, 406–417. [Google Scholar]
- Bjørndal, L.; Simon, S.; Tomson, P.L.; Duncan, H.F. Management of deep caries and the exposed pulp. Int. Endod. J. 2019, 52, 949–973. [Google Scholar] [CrossRef]
- Al-Quran, F.A.; Al-Ghalayini, R.F.; Al-Zu’bi, B.N. Single-tooth replacement: Factors affecting different prosthetic treatment modalities. BMC Oral Health 2011, 11, 34. [Google Scholar] [CrossRef] [PubMed] [Green Version]
- Caribe-Gomes, F.; Chimenos-Kustner, E.; Lopez-Lopez, J.; Finestres-Zubeldia, F.; Guix-Melcior, B. Dental management of the complications of radio and chemotherapy in oral cancer. Med. Oral 2003, 8, 178–187. [Google Scholar] [PubMed]
- Wilson, N.; Lynch, C.; Brunton, P.; Hickel, R.; Meyer-Lueckel, H.; Gurgan, S.; Pallesen, U.; Shearer, A.; Tarle, Z.; Cotti, E.; et al. Criteria for the Replacement of Restorations: Academy of Operative Dentistry European Section. Oper. Dent. 2016, 41, 48–57. [Google Scholar] [CrossRef] [PubMed] [Green Version]
- Hickel, R.; Brüshaver, K.; Ilie, N. Repair of restorations–criteria for decision making and clinical recommendations. Dent. Mater. 2013, 29, 28–50. [Google Scholar] [CrossRef] [PubMed]
- Kwon, S.R.; Cortez, E.; Wang, M.; Jagwani, M.; Oyoyo, U.; Li, Y. Systematic review of in vitro studies evaluating tooth bleaching efficacy. Am. J. Dent. 2020, 33, 17–24. [Google Scholar] [PubMed]
- Kelleher, M. Ethical issues, dilemmas and controversies in ‘cosmetic’ or aesthetic dentistry. A personal opinion. Br. Dent. J. 2012, 212, 365–367. [Google Scholar] [CrossRef]
- Fugazzotto, P.A. Evidence-based decision making: Replacement of the single missing tooth. Dent. Clin. N. Am. 2009, 53, 97–129. [Google Scholar] [CrossRef]
- Sequeira-Byron, P.; Fedorowicz, Z.; Carter, B.; Mona, N.; Alrowaili, E.F. Single crowns versus conventional fillings for the restoration of root-filled teeth. Cochrane Database Syst. Rev. 2015, 25, CD009109. [Google Scholar] [CrossRef] [Green Version]
- Innes, N.P.T.; Schwendicke, F. Restorative Thresholds for Carious Lesions: Systematic Review and Meta-analysis. J. Dent. Res. 2017, 96, 501–508. [Google Scholar] [CrossRef] [Green Version]
- Jardim, J.; Henz, S.; Barbachan, E.; Silva, B. Restorative Treatment Decisions in Posterior Teeth: A Systematic Review. Oral Health Prev. Dent. 2017, 15, 107–115. [Google Scholar]
- Schwendicke, F.; Splieth, C.; Breschi, L.; Banerjee, A.; Fontana, M.; Paris, S.; Burrow, M.F.; Crombie, F.; Page, L.F.; Gatón-Hernández, P.; et al. When to intervene in the caries process? An expert Delphi consensus statement. Clin. Oral Investig. 2019, 23, 3691–3703. [Google Scholar] [CrossRef] [PubMed]
- Pitts, N.B.; Ekstrand, K.R. International Caries Detection and Assessment System (ICDAS) and its International Caries Classification and Management System (ICCMS)—Methods for staging of the caries process and enabling dentists to manage caries. Community Dent. Oral Epidemiol. 2013, 41, e41–e52. [Google Scholar] [CrossRef]
- Ekstrand, K.R.; Martignon, S.; Ricketts, D.J.N.; Qvist, V. Detection and Activity Assessment of Primary Coronal Caries Lesions: A Methodologic Study. Oper. Dent. 2007, 32, 225–235. [Google Scholar] [CrossRef] [PubMed] [Green Version]
- Beltrán, E.O.; Guiu, L.; Zarta, O.L.; Pitts, N.B.; Martignon, S. Caries classifcation and management in the context of the Caries Care International (CCI™) consensus: A clinical case study. Br. Dent. J. 2019, 227, 363–366. [Google Scholar] [CrossRef]
- Zadik, Y.; Levin, L. Clinical decision making in restorative dentistry, endodontics, and antibiotic prescription. J. Dent. Educ. 2008, 72, 81–86. [Google Scholar] [CrossRef]
- Machiulskiene, V.; Campus, G.; Carvalho, J.C.; Dige, I.; Ekstrand, K.R.; Jablonski-Momeni, A.; Maltz, M.; Manton, D.J.; Martignon, S.; Martinez-Mier, E.A.; et al. Terminology of Dental Caries and Dental Caries Management: Consensus Report of a Workshop Organized by ORCA and Cariology Research Group of IADR. Caries Res. 2020, 54, 7–14. [Google Scholar] [CrossRef]
- Maltz, M.; Koppe, B.; Jardim, J.J.; Alves, L.S.; de Paula, L.M.; Yamaguti, P.M.; Almeida, J.C.F.; Moura, M.S.; Mestrinho, H.D. Partial caries removal in deep caries lesions: A 5-year multicenter randomized controlled trial. Clin. Oral Investig. 2018, 22, 1337–1343. [Google Scholar] [CrossRef]
- Mannocci, F.; Bertelli, E.; Sherriff, M.; Watson, T.F.; Ford, T.P. Three-year clinical comparison of survival of endodontically treated teeth restored with either full cast coverage or with direct composite restoration. Int. Endod. J. 2009, 42, 401–405. [Google Scholar] [CrossRef]
- Esposito, M.; Grusovin, M.G.; Polyzos, I.P.; Felice, P.; Worthington, H.V. Interventions for replacing missing teeth: Dental implants in fresh extraction sockets (immediate, immediate-delayed. and delayed implants). Cochrane Database Syst. Rev. 2010, 8, CD005968. [Google Scholar] [CrossRef]
- Moncada, G.; Martin, J.; Fernández, E.; Hempel, M.C.; Mjör, I.A.; Gordan, V.V. Sealing, refurbishment and repair of Class I and Class II restorations. J. Am. Dent. Assoc. 2009, 140, 425–432. [Google Scholar] [CrossRef] [PubMed]
- Leffler, W.G. How do I justify my views on what I consider unnecessary treatment? J. Am. Dent. Assoc. 2008, 139, 1546–1547. [Google Scholar] [CrossRef] [PubMed]

| Clinical Scenario | Description | Images | Question | Answers | Reference | |
|---|---|---|---|---|---|---|
| 1 | A 21-year-old healthy patient visits the dental clinic for a check-up. The patient does not present any symptoms nor other oral clinical signs, except visible plaque in all quadrants, which extends towards the gingival third of various teeth. | ![]() | Regarding the distal pit of tooth 3.6 What is your clinical diagnosis? Which complementary diagnostic tests would you perform to confirm your diagnosis for tooth 3.6? Order the answers from more to less relevant for the diagnosis of this case. |
| [13,14] [30,31] | |
| Which treatment alternative would you select for this case? Order the answers from more to less relevant for the treatment of this case. |
| |||||
| 2 | An 11-year-old patient.Upon clinical examination, multiple carious lesions are observed in various deciduous teeth and permanent first molars. In tooth 4.6, the patient reported sensitivity to cold stimuli, without episodes of intense pain nor inflammation. Additionally, there is an absence of pain to percussion and physiological probing depth. | ![]() | The diagnosis was reversible pulpitis in an immature tooth. Which treatment alternative would you select for this case? Order the answers from more to less adequate for the treatment of this case. |
| [10,13,14,30,32] | |
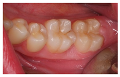
| 3 | A 29-year-old patient visits the dental clinic to evaluate his/her general oral state. A complete clinical examination is carried out and no pathological signs were observed. Bitewing x-rays are performed, and various radiolucent lesions limited to the enamel were observed on the right bitewing x-ray. | ![]() | Select the most adequate treatment alternative for tooth 4.6 from the answers provided. |
| [13,14] | |
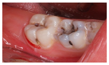
| 4 | 16-year-old patient. Upon removal of a carious lesion, an accidental pulp exposure in 4.6 is produced, as shown in the image. Clinically, the patient reported no symptoms before the treatment procedure. | ![]() | Which treatment alternative would you select for this case? Order the answers from more to less relevant for the treatment of this case. |
| [13,15,16,20,21,30] | |
| 5 | In the image, various carious lesions in different evolutive states are presented 15 year-old patient. | ![]() | Which treatment alternatives would you select for this case? Select, individually, the treatment for teeth 1.3, 1.2, 1.1, 2.1, 2.2 y 2.3 from the given answers. |
| [11,13,14,32] | |
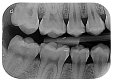
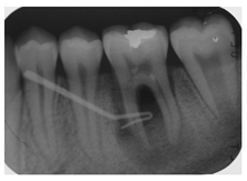
| 6 | A 40-year-old patient visits the dental clinic reporting repeated episodes of inflammation and pain in the posterior area of third quadrant. Clinically, the patient currently presents a suppurative and inflamed area near tooth 3.6, referring only occasional mild pain. After the clinical and radiographic examination, a diagnosis of chronic apical periodontitis with an episode of re-exacerbation is reached. | ![]() | ![]() | If you have decided extraction. Which treatment alternative would you select to replace tooth 3.6? |
| [22,28] |
| Which treatment alternative would you select for this case? | [21] | |||||
![]() | If you have decided root canal treatment. Which treatment alternative would you select to restore the crown of tooth 3.6? |
| [29] | |||
| 7 | A 58-year-old patient visits de dental clinic referring pain when chewing in the third quadrant, which occasionally irradiates towards the ear. Upon clinical examination, a visible fracture is observed in tooth 3.6, with a mild mobility of the mesial fragment. The radiographic examination reveals a line of fracture from the crown to the mesial root. The tooth is diagnosed with a vertical fracture and its extraction is recommended. | ![]() | Which treatment alternative would you select for this case? Order the answers from more to less relevant for the treatment of this case. |
| [3,31] | |
| 8 | A 59-year-old patient underwent surgery and head and neck radiotherapy for a squamous cell carcinoma on the tongue 10 years ago. After radiotherapy, there is a limitation of the oral opening (1 cm) due to a TMJ ankylosis. He refers frequent episodes of mouth ulcers which heal slowly, xerostomy and oral candidiasis. | ![]() | Which treatment alternative would you select for this case? Order the answers from more to less relevant for the treatment of this case. |
| [23] | |
| 9 | A 16-year-old patient visits de dental clinic and upon clinical examination, you observe the restoration shown in the image on tooth 2.6. It was placed 3 years ago to treat a carious lesion which developed over a molar-incisor-hypomineralization defect. The restoration shows clear signs of microfiltration and the mesial-buccal susp is fractured as a result of the mineralization defect. | ![]() | Regarding the resin composite restoration shown in the image, how would you proceed? |
| [24,25,31] | |
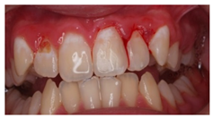
| 10 | A 58-year-old patient with history of trauma on the anterior region visits the dental clinic. The patient reported a traumatic lesion 20 years ago, developing a phlegmon which later developed into a sinus tract originating from tooth 2.1. A root canal treatment was performed on tooth 2.1 and has been darkening since then, in a progressive manner. The patient requests a treatment for the change in color. The tooth does not present mobility nor pathological probing depth. The radiographic examination reveals a correct root canal treatment without pathological signs. | ![]() | Which treatment alternative would you select for this case? Order the answers from more to less relevant for the treatment of this case. | Crown Internal bleaching Ceramic veneer Resin composite veneer Extraction, orthodontic treatment, and prosthetic rehabilitation | [26] | |
| If the patient requests the extraction of tooth 2.1 and placement of an implant, how would you proceed? | I would perform the extraction, explaining the limitations of losing a central incisor I would not perform the extraction, explaining the limitations of losing a central incisor I would not perform the extraction, explaining the more conservative alternatives available | [1,27] | ||||
Publisher’s Note: MDPI stays neutral with regard to jurisdictional claims in published maps and institutional affiliations. |
© 2021 by the authors. Licensee MDPI, Basel, Switzerland. This article is an open access article distributed under the terms and conditions of the Creative Commons Attribution (CC BY) license (https://creativecommons.org/licenses/by/4.0/).
Share and Cite
Moreno, T.; Sanz, J.L.; Melo, M.; Llena, C. Overtreatment in Restorative Dentistry: Decision Making by Last-Year Dental Students. Int. J. Environ. Res. Public Health 2021, 18, 12585. https://doi.org/10.3390/ijerph182312585
Moreno T, Sanz JL, Melo M, Llena C. Overtreatment in Restorative Dentistry: Decision Making by Last-Year Dental Students. International Journal of Environmental Research and Public Health. 2021; 18(23):12585. https://doi.org/10.3390/ijerph182312585
Chicago/Turabian StyleMoreno, Triana, José Luis Sanz, María Melo, and Carmen Llena. 2021. "Overtreatment in Restorative Dentistry: Decision Making by Last-Year Dental Students" International Journal of Environmental Research and Public Health 18, no. 23: 12585. https://doi.org/10.3390/ijerph182312585
APA StyleMoreno, T., Sanz, J. L., Melo, M., & Llena, C. (2021). Overtreatment in Restorative Dentistry: Decision Making by Last-Year Dental Students. International Journal of Environmental Research and Public Health, 18(23), 12585. https://doi.org/10.3390/ijerph182312585














