Effect of Different Exercise Types on the Cross-Sectional Area and Lumbar Lordosis Angle in Patients with Flat Back Syndrome
Abstract
1. Introduction
2. Materials and Methods
2.1. Study Design
2.2. Outcome Assessments
2.3. Cobb’s Angle
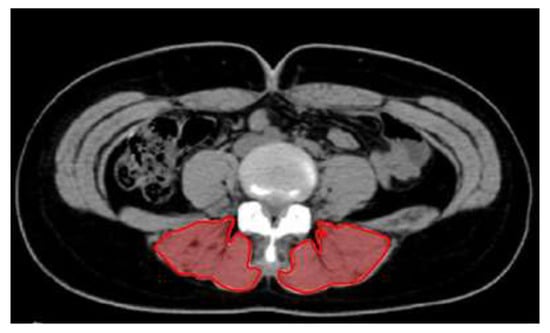
2.4. Cross-Sectional Area
2.5. Oswestry Disability Index
2.6. Sit-and-Reach Test
2.7. Exercise Programs
2.8. Statistical Analysis
3. Results
4. Discussion
5. Conclusions
Author Contributions
Funding
Institutional Review Board Statement
Informed Consent Statement
Data Availability Statement
Conflicts of Interest
References
- Harrison, D.E.; Oakley, P.A. Non-operative corrective of flat back syndrome using lumbar extension traction: A CBP® case series of two. J. Phys. Ther. Sci. 2018, 30, 1131–1137. [Google Scholar] [CrossRef] [PubMed][Green Version]
- Farcy, J.P.; Schwab, F.J. Management of flatback and related kyphotic decompensation syndromes. Spine 1997, 22, 2452–2457. [Google Scholar] [CrossRef] [PubMed]
- Vaughn, D.W.; Brown, E.W. The influence of an in-home based therapeutic exercise program on thoracic kyphosis angles. J. Back Musculoskelet Rehabil. 2007, 20, 155–165. [Google Scholar] [CrossRef]
- Lau, K.T.; Cheung, K.Y.; Chan, K.B.; Chan, M.H.; Lo, K.Y.; Chiu, T.T. Relationships between sagittal postures of thoracic and cervical spine, presence of neck pain, neck pain severity and disability. Man Ther. 2010, 15, 457–462. [Google Scholar] [CrossRef] [PubMed]
- Kamaz, M.; Kıreşi, D.; Oğuz, H.; Emlik, D.; Levendoğlu, F. CT measurement of trunk muscle areas in patients with chronic low back pain. Diagn. Interv. Radiol. 2007, 13, 144–148. [Google Scholar]
- Klein, R.G.; Eek, B.C.; DeLong, W.B.; Mooney, V. A randomized double-blind trial of dextrose-glycerine-phenol injections for chronic, low back pain. J. Spinal Disord. 1993, 6, 23–33. [Google Scholar] [CrossRef]
- Bautmans, L.; Van Arken, J.; Van Mackelenberg, M.; Mets, T. Rehabilitation using manual mobilization for thoracic kyphosis in elderly postmenopausal patients with osteoporosis. J. Rehabil. Med. 2010, 42, 129–135. [Google Scholar] [CrossRef] [PubMed]
- Giglio, C.A.; Volpon, J.B. Development and evaluation of thoracic kyphosis and lumbar lordosis during growth. J. Child. Orthop. 2007, 1, 187–193. [Google Scholar] [CrossRef]
- Cho, H.S.; Kim, C.H. The effects of customized spinal corrective exercise program on the spinal curvature change and posture balance ability for flat back syndrome. J. Korean Soc. Wellness 2020, 15, 409–417. [Google Scholar] [CrossRef]
- Faul, F.; Erdfelder, E.; Buchner, A.; Lang, A.G. Statistical power analyses using G*Power 3.1: Tests for correlation and regression analyses. Behav. Res. Methods 2009, 41, 1149–1160. [Google Scholar] [CrossRef]
- Cobb, J. Outline for the study of scoliosis. Instr. Course Lect. 1947, 5, 261–275. [Google Scholar]
- Fairbank, J.C.; Pynsent, P.B. The Oswestry Disability Index. Spine 2000, 25, 2940–2953. [Google Scholar] [CrossRef]
- French, G.; Grayson, C.; Sanders, L.; William, T.; Willard, M. A comparative analysis of the traditional sit-and-reach test and the R.S. Smith sit-and-reach design. Corinth. J. Stud. Res. Ga. Coll. 2016, 17, 74–80. [Google Scholar]
- Negrini, S.; Fusco, C.; Minozzi, S.; Atanasio, S.; Zaina, F.; Romano, M. Exercises reduce the progression rate of adolescent idiopathic scoliosis: Results of a comprehensive systematic review of the literature. Disabil. Rehabil. 2008, 30, 772–785. [Google Scholar] [CrossRef]
- Yoo, W.G. Effect of individual strengthening exercises for anterior pelvic tilt muscles on back pain, pelvic angle, and lumbar ROMs of a LBP patient with flat back. J. Phys. Ther. Sci. 2013, 25, 1357–1358. [Google Scholar] [CrossRef] [PubMed]
- Iversen, V.M.; Vasseljen, O.; Mork, P.J.; Berthelsen, I.R.; Børke, J.B.; Berheussen, G.F.; Tveter, A.T.; Salvesen, Ø.; Fimland, M.S. Resistance training in addition to multidisciplinary rehabilitation for patients with chronic pain in the low back: Study protocol. Contemp. Clin. Trials Commun. 2017, 6, 115–121. [Google Scholar] [CrossRef] [PubMed]
- Iversen, V.M.; Vasseljen, O.; Mork, P.J.; Gismervik, S.; Bertheussen, G.F.; Salvesen, Ø.; Fimland, M.S. Resistance band training or general exercise in multidisciplinary rehabilitation of low back pain? A randomized trial. Scand. J. Med. Sci. Sports 2018, 28, 2074–2083. [Google Scholar] [CrossRef] [PubMed]
- Quek, J.; Pua, Y.H.; Clark, R.A.; Bryant, A.L. Effects of thoracic kyphosis and forward head posture on cervical range of motion in older adults. Man Ther. 2013, 18, 65–71. [Google Scholar] [CrossRef] [PubMed]
- Park, S.Y.; Shim, J.H. Effect of 8 weeks of Schroth exercise (three-dimensional convergence exercise) on pulmonary function, Cobb’s angle, and erector spinae muscle activity in idiopathic scoliosis. J. Korea Converg. Soc. 2014, 5, 61–68. [Google Scholar] [CrossRef][Green Version]
- Kim, K.T.; Lee, J.H. Sagittal imbalance. J. Korean Soc. Spine Surg 2009, 16, 142–151. [Google Scholar] [CrossRef]
- Fortin, M.; Macedo, L.G. Multifidus and paraspinal muscle group cross-sectional areas of patients with low back pain and control patients: A systematic review with a focus on blinding. Phys. Ther. 2013, 93, 873–888. [Google Scholar] [CrossRef]
- Cho, J.H.; Lee, K.H.; Lim, S.T.; Chun, B.O. Comparison of muscle cross-sectional area and lumbar muscle strength according to degenerative spinal diseases. Asian J. Kinesiol. 2020, 22, 1–10. [Google Scholar] [CrossRef]
- Lehnert-Schroth, C. Three-Dimensional Treatment for Scoliosis: Physiotherapeutic Method for Deformities of the Spine; Martindale Press: Palo Alto, CA, USA, 2007. [Google Scholar]
- Kim, W.J.; Song, D.G.; Lee, J.W.; Kang, J.W.; Park, K.Y.; Koo, J.Y.; Kwon, W.C.; Choy, W.S. Proximal junctional problems in surgical treatment of lumbar degenerative sagittal imbalance patients and relevant risk factors. J. Korean Soc. Spine Surg. 2013, 20, 156–162. [Google Scholar] [CrossRef][Green Version]
- Lee, C.S.; Kang, S.S. Spino-pelvic parameters in adult spinal deformities. J. Korean Orthop. Assoc. 2016, 51, 9–29. [Google Scholar] [CrossRef]
- Haussler, K.K. Anatomy of the thoracolumbar vertebral region. Vet. Clin. N. Am. Equine Pract. 1999, 15, 13–26. [Google Scholar] [CrossRef]
- Cho, I.; Jeon, C.; Lee, S.; Lee, D.; Hwangbo, G. Effects of lumbar stabilization exercise on functional disability and lumbar lordosis angle in patients with chronic low back pain. J. Phys. Ther. Sci. 2015, 27, 1983–1985. [Google Scholar] [CrossRef]
- Parveen, A.; Nuhmani, S.; Hussain, M.E.; Khan, M.H. Effect of lumbar stabilization exercises and thoracic mobilization with strengthening exercises on pain level, thoracic kyphosis, and functional disability in chronic low back pain. J. Complement. Integr. Med. 2020, 18, 419–424. [Google Scholar] [CrossRef]
- Suh, J.H.; Kim, H.; Jung, G.P.; Ko, J.Y.; Ryu, J.S.; Kang, H. The effect of lumbar stabilization and walking exercises on chronic low back pain. A randomized controlled trial. Medicine 2019, 98, e16173. [Google Scholar] [CrossRef] [PubMed]
- França, F.R.; Burke, T.N.; Hanada, E.S.; Marques, A.P. Segmental stabilization and muscular strengthening in chronic low back pain—a comparative study. Clinics 2010, 65, 1013–1017. [Google Scholar] [CrossRef]
- Choi, J.H.; Jang, J.S.; Yoo, K.S.; Shin, J.M.; Jang, I.T. Functional limitations due to stiffness after long-level spinal instrumented fusion surgery to correct lumbar degenerative flat back. Spine 2018, 43, 1044–1051. [Google Scholar] [CrossRef]
- Hasarangi, L.; Jayawardana, D.G. Comparison of hamstring flexibility between patients with chronic lower back pain and the healthy individuals at the National Hospital of Sri Lanka. Biomed. J. Sci. Tech. Res. 2018, 5, 4410–4413. [Google Scholar] [CrossRef]
- Stokes, I.A.; Abery, J.M. Influence of the hamstring muscles on lumbar spine curvature in sitting. Spine 1980, 5, 525–528. [Google Scholar] [CrossRef] [PubMed]
- McCarthy, J.J.; Betz, R.R. The relationship between tight hamstring and lumbar hypolordosis in children with cerebral palsy. Spine 2000, 25, 211–213. [Google Scholar] [CrossRef] [PubMed]


| Corrective Exercise Program | |||
|---|---|---|---|
| Exercise Type | Exercise Mode | Time | Intensity |
| Warm-up | Stretching for upper and lower body | 5 min | RPE (10–13) |
| Mobilization exercise for correction | Anterior/posterior pelvis exercises using the Schroth breathing pattern | 30 min | RPE (13–15) 15–20 Reps 3 Sets |
| Thoracolumbar spine mobilization exercises using the Schroth breathing pattern | |||
| Lumbosacral spine mobilization exercises using the Schroth breathing pattern | |||
| Thoracic kyphosis mobilization exercises using the Schroth breathing pattern | |||
| Thoracolumbar lordosis mobilization exercises using the Schroth breathing pattern | |||
| Corrective exercise for the thoracolumbar spine | Thoracolumbar corrective exercises using an exercise ball | 30 min | RPE (13–15) 15–20 Reps 3 Sets |
| Thoracolumbar corrective exercises using Pilates rings | |||
| Thoracolumbar corrective exercises using dumbbells | |||
| Thoracolumbar corrective exercises using tubing | |||
| Thoracolumbar corrective exercises using slings | |||
| Cool-down | Stretching for upper and lower body | 5 min | RPE (10–13) |
| Resistance Exercise Program | |||
|---|---|---|---|
| Exercise Type | Exercise Mode | Time | Intensity |
| Warm-up | Stretching for upper and lower body | 5 min | RPE (10–13) |
| Trunk exercise | Planks to strengthen the trunk muscles | 30 min | RPE (13–15) 15–20 Reps 3 Sets |
| Side planks to strengthen the trunk muscles | |||
| Functional planks to strengthen the trunk muscles | |||
| Upper/lower body muscle-strengthen exercise with elastic resistance bands | Scapular retraction exercise | 40 min | 1RM of 30%–40% to 60–70% 15–20 Reps 3 Sets |
| Push-up plus exercise | |||
| Lat pull-down | |||
| Squats | |||
| Lunges | |||
| Step-ups | |||
| Cool-down | Stretching of upper and lower body | 5 min | RPE (10–13) |
| Characteristics | CEG | REG | PTG | p-Value |
|---|---|---|---|---|
| Numbers | 12 | 12 | 12 | - |
| Age (years) | 38.83 ± 3.49 | 39.67 ± 2.84 | 39.83 ± 3.07 | 0.078 |
| Height (cm) | 159.03 ± 3.42 | 161.99 ± 3.29 | 161.77 ± 3.79 | 0.085 |
| Weight (kg) | 63.40 ± 6.11 | 61.89 ± 4.19 | 61.05 ± 4.84 | 0.528 |
| BMI (kg/m2) | 23.60 ± 2.14 | 23.58 ± 1.72 | 23.59 ± 1.75 | 0.999 |
| Variable | Time | CEG | REG | PTG | F | Post Hoc |
|---|---|---|---|---|---|---|
| CSA (cm2) | Pre | 20.30 ± 4.74 | 15.55 ± 2.53 | 19.83 ± 3.45 | 5.519 ** | a > c * b > c * |
| Post | 24.53 ± 4.34 ††† | 23.78 ± 2.49 ††† | 19.96 ± 3.75 | |||
| LLA (°) | Pre | 33.17 ± 1.85 | 33.50 ± 1.62 | 32.75 ± 2.09 | 32.960 *** | a > c *** a > b ** b > c *** |
| Post | 40.25 ± 2.73 ††† | 37.17 ± 1.95 ††† | 32.5 ± 2.32 | |||
| ODI | Pre | 25.00 ± 1.81 | 23.58 ± 1.93 | 24.17 ± 1.53 | 31.788 *** | a > c *** a > b *** b > c * |
| Post | 14.58 ± 3.68 ††† | 20.67 ± 2.45 ††† | 23.50 ± 1.98 | |||
| Flexibility (cm) | Pre | 0.67 ± 6.73 | −0.17 ± 6.81 | 1.50 ± 4.96 | 28.997 *** | a > c *** b > c *** |
| Post | 14.25 ± 3.60 ††† | 14.92 ± 4.60 ††† | 2.50 ± 5.14 † |
Publisher’s Note: MDPI stays neutral with regard to jurisdictional claims in published maps and institutional affiliations. |
© 2021 by the authors. Licensee MDPI, Basel, Switzerland. This article is an open access article distributed under the terms and conditions of the Creative Commons Attribution (CC BY) license (https://creativecommons.org/licenses/by/4.0/).
Share and Cite
Kim, W.-M.; Seo, Y.-G.; Park, Y.-J.; Cho, H.-S.; Lee, C.-H. Effect of Different Exercise Types on the Cross-Sectional Area and Lumbar Lordosis Angle in Patients with Flat Back Syndrome. Int. J. Environ. Res. Public Health 2021, 18, 10923. https://doi.org/10.3390/ijerph182010923
Kim W-M, Seo Y-G, Park Y-J, Cho H-S, Lee C-H. Effect of Different Exercise Types on the Cross-Sectional Area and Lumbar Lordosis Angle in Patients with Flat Back Syndrome. International Journal of Environmental Research and Public Health. 2021; 18(20):10923. https://doi.org/10.3390/ijerph182010923
Chicago/Turabian StyleKim, Won-Moon, Yong-Gon Seo, Yun-Jin Park, Han-Su Cho, and Chang-Hee Lee. 2021. "Effect of Different Exercise Types on the Cross-Sectional Area and Lumbar Lordosis Angle in Patients with Flat Back Syndrome" International Journal of Environmental Research and Public Health 18, no. 20: 10923. https://doi.org/10.3390/ijerph182010923
APA StyleKim, W.-M., Seo, Y.-G., Park, Y.-J., Cho, H.-S., & Lee, C.-H. (2021). Effect of Different Exercise Types on the Cross-Sectional Area and Lumbar Lordosis Angle in Patients with Flat Back Syndrome. International Journal of Environmental Research and Public Health, 18(20), 10923. https://doi.org/10.3390/ijerph182010923

