Urinary Incontinence in Adulthood in a Course of Ectopic Ureter—Description of Two Clinical Cases with Review of Literature
Abstract
:1. Introduction
2. Case Reports
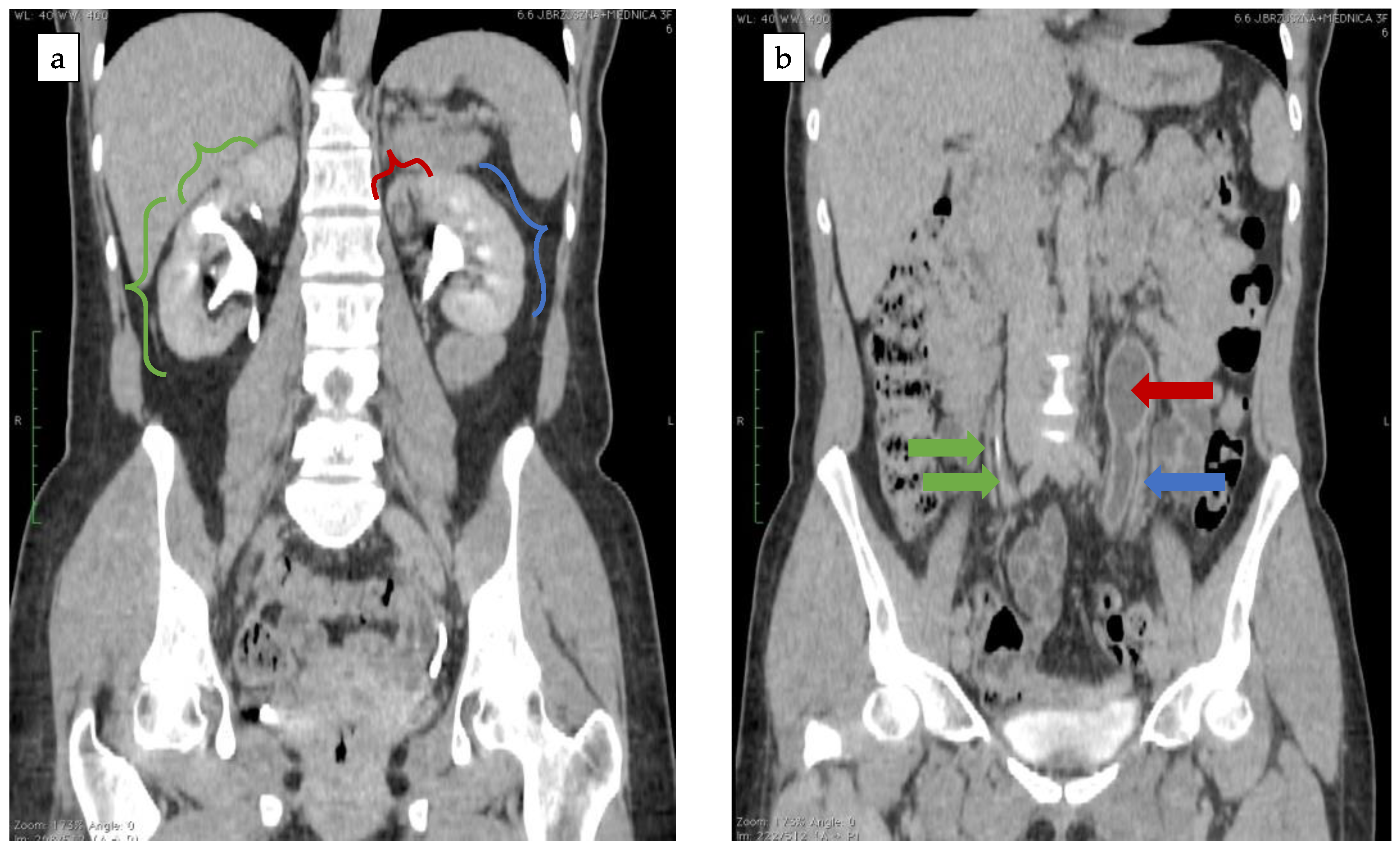
2.1. Case Study No. 1
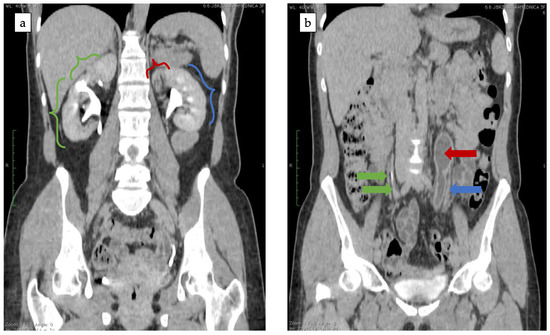
2.2. Case Study No. 2
3. Discussion
4. Conclusions
Author Contributions
Funding
Institutional Review Board Statement
Informed Consent Statement
Data Availability Statement
Conflicts of Interest
References
- Rehman, S.; Ahmed, D. Embryology, Kidney, Bladder, and Ureter. In StatPearls; StatPearls Publishing: Treasure Island, FL, USA, 2020. [Google Scholar]
- El-Galley, R.E.S.; Keane, T.E. Embryology, Anatomy, and Surgical Applications of the Kidney and Ureter. Surg. Clin. N. Am. 2000, 80, 381–401. [Google Scholar] [CrossRef]
- Upadhyay, K.K.; Silverstein, D.M. Renal development: A complex process dependent on inductive interaction. Curr. Pediatr. Rev. 2014, 10, 107–114. [Google Scholar] [CrossRef]
- Shaw, G.; Renfree, M.B. Wolffian Duct Development. Sex. Dev. 2014, 8, 273–280. [Google Scholar] [CrossRef] [PubMed]
- Kohl, S.; Habbig, S.; Weber, L.T.; Liebau, M.C. Molecular Causes of Congenital Anomalies of the Kidney and Urinary Tract (CAKUT). Mol. Cell. Pediatr. 2021, 8, 2. [Google Scholar] [CrossRef] [PubMed]
- Kozlov, V.M.; Schedl, A. Duplex Kidney Formation: Developmental Mechanisms and Genetic Predisposition. F1000Research 2020, 9, 1–12. [Google Scholar] [CrossRef]
- Ramanathan, S.; Kumar, D.; Khanna, M.; Al Heidous, M.; Sheikh, A.; Virmani, V.; Palaniappan, Y. Multi-Modality Imaging Review of Congenital Abnormalities of Kidney and Upper Urinary Tract. World J. Radiol. 2016, 8, 132. [Google Scholar] [CrossRef] [PubMed]
- Fernbach, S.K.; Feinstein, K.A.; Spencer, K.; Lindstrom, C.A. Ureteral Duplication and Its Complications. Radiographics 1997, 17, 109–127. [Google Scholar] [CrossRef] [PubMed] [Green Version]
- Fichtenbaum, E.J.; Shah, A.D.; Mahdy, A. Ectopic Ureter as an Unusual Cause of Urinary Incontinence in a Middle-Aged Woman. Int. Urogynecol. J. 2017, 28, 159–160. [Google Scholar] [CrossRef]
- Toia, B.; Pakzad, M.; Hamid, R.; Wood, D.; Greenwell, T.; Ockrim, J. Diagnosis and Surgical Outcomes of Ectopic Ureters in Adults: A Case Series and Literature Review. Neurourol. Urodyn. 2019, 38, 1745–1750. [Google Scholar] [CrossRef]
- Privett, J.T.J.; Jeans, W.D.; Roylance, J. The Incidence and Importance of Renal Duplication. Clin. Radiol. 1976, 27, 521–530. [Google Scholar] [CrossRef]
- Siomou, E.; Papadopoulou, F.; Kollios, K.D.; Photopoulos, A.; Evagelidou, E.; Androulakakis, P.; Siamopoulou, A. Duplex Collecting System Diagnosed during the First 6 Years of Life after a First Urinary Tract Infection: A Study of 63 Children. J. Urol. 2006, 175, 678–682. [Google Scholar] [CrossRef]
- Glassberg, K.I.; Braren, V.; Duckett, J.W.; Jacobs, E.C.; King, L.R.; Lebowitz, R.L.; Perlmutter, A.D.; Stephens, F.D. Suggested Terminology for Duplex Systems, Ectopic Ureters and Ureteroceles. J. Urol. 1984, 132, 1153–1154. [Google Scholar] [CrossRef]
- Pinto, D.S.; George, T.; Saxena, D.; Joseph, T.; Hoisala, V.R. Ureteral Reflux into an Ectopic Upper Moeity of a Duplex Kidney from the Bladder Neck with Distal Ureteral Pseudodiverticulum Formation. J. Clin. Diagn. Res. 2016, 10, TD07–TD09. [Google Scholar] [CrossRef]
- Jain, P.; Sarkar, D.; Maiti, K.; Gupta, S.; Pal, D.K. Rare Cases of Ectopic Ureter: Analysis from a Single Centre with Review of the Literature. Turk. J. Urol. 2019, 45, S92–S97. [Google Scholar] [CrossRef] [PubMed] [Green Version]
- Berrocal, T.; López-Pereira, P.; Arjonilla, A.; Gutiérrez, J. Anomalies of the Distal Ureter, Bladder, and Urethra in Children: Embryologic, Radiologic, and Pathologic Features. Radiographics 2002, 22, 1139–1164. [Google Scholar] [CrossRef] [Green Version]
- Chowdhary, S.K.; Lander, A.; Parashar, K.; Corkery, J.J. Single-System Ectopic Ureter: A 15-Year Review. Pediatr. Surg. Int. 2001, 17, 638–641. [Google Scholar] [CrossRef] [PubMed]
- Hanson, G.R.; Gatti, J.M.; Gittes, G.K.; Murphy, J.P. Diagnosis of Ectopic Ureter as a Cause of Urinary Incontinence. J. Pediatr. Urol. 2007, 3, 53–57. [Google Scholar] [CrossRef]
- Sheth, K.R.; White, J.T.; Janzen, N.; Koh, C.J.; Austin, P.F.; Roth, D.R.; Tu, D.D.; Mittal, A.; Wang, M.H.; Gonzales, E.T.; et al. Evaluating Outcomes of Differential Surgical Management of Nonfunctioning Upper Pole Renal Moieties in Duplex Collecting Systems. Urology 2019, 123, 198–203. [Google Scholar] [CrossRef] [PubMed]
- Chen, S.; Zhu, L.; Yang, S.; Tan, J. Y-Type Partial Duplication of a Vaginal Ectopic Ureter with Ipsilateral Hypoplastic Pelvic Kidney and Bicornuate Uterus. Singap. Med. J. 2013, 54, 135–137. [Google Scholar] [CrossRef] [PubMed] [Green Version]
- Smith, A.L.; Kolon, T.F.; Canning, D.A.; Weissbart, S.J. Partially Obstructed Longitudinal Vaginal Septum Presenting in Adulthood With Complaint of Urinary Incontinence. Urology 2019, 124, 302–305. [Google Scholar] [CrossRef] [PubMed]
- Alkan, I.; Özveri, H.; Taş, S.; Ipekçi, T.; Yilmaz, S. Rare Cause of Adult Female Incontinence: Complete Duplication of the Collecting System and Ectopic Ureter of the Kidney Draining into the Vagina Treated by Laparoscopic Upper Pole Heminephrectomy and Ureterectomy. Int. Urol. Nephrol. 2014, 46, 1477–1480. [Google Scholar] [CrossRef] [PubMed]
- Mahmood, H.; Hadjipavlou, M.; Das, R.; Anderson, C. Robotic Partial Nephrectomy for Duplex Kidney with Ectopic Ureter Draining in the Vagina in an Adult Patient with Urinary Incontinence. BMJ Case Rep. 2017, 2017, 2016–2018. [Google Scholar] [CrossRef] [PubMed]
- Duicu, C.; Kiss, E.; Simu, I.; Aldea, C. A Rare Case of Double-System with Ectopic Ureteral Openings into Vagina. Front. Pediatr. 2018, 6, 1–5. [Google Scholar] [CrossRef] [PubMed]






Publisher’s Note: MDPI stays neutral with regard to jurisdictional claims in published maps and institutional affiliations. |
© 2021 by the authors. Licensee MDPI, Basel, Switzerland. This article is an open access article distributed under the terms and conditions of the Creative Commons Attribution (CC BY) license (https://creativecommons.org/licenses/by/4.0/).
Share and Cite
Kuliniec, I.; Mitura, P.; Płaza, P.; Widz, D.; Sudoł, D.; Godzisz, M.; Kołodyńska, A.; Monist, M.; Wisz, A.; Bar, K. Urinary Incontinence in Adulthood in a Course of Ectopic Ureter—Description of Two Clinical Cases with Review of Literature. Int. J. Environ. Res. Public Health 2021, 18, 7084. https://doi.org/10.3390/ijerph18137084
Kuliniec I, Mitura P, Płaza P, Widz D, Sudoł D, Godzisz M, Kołodyńska A, Monist M, Wisz A, Bar K. Urinary Incontinence in Adulthood in a Course of Ectopic Ureter—Description of Two Clinical Cases with Review of Literature. International Journal of Environmental Research and Public Health. 2021; 18(13):7084. https://doi.org/10.3390/ijerph18137084
Chicago/Turabian StyleKuliniec, Iga, Przemysław Mitura, Paweł Płaza, Damian Widz, Damian Sudoł, Michał Godzisz, Aleksandra Kołodyńska, Marta Monist, Agata Wisz, and Krzysztof Bar. 2021. "Urinary Incontinence in Adulthood in a Course of Ectopic Ureter—Description of Two Clinical Cases with Review of Literature" International Journal of Environmental Research and Public Health 18, no. 13: 7084. https://doi.org/10.3390/ijerph18137084
APA StyleKuliniec, I., Mitura, P., Płaza, P., Widz, D., Sudoł, D., Godzisz, M., Kołodyńska, A., Monist, M., Wisz, A., & Bar, K. (2021). Urinary Incontinence in Adulthood in a Course of Ectopic Ureter—Description of Two Clinical Cases with Review of Literature. International Journal of Environmental Research and Public Health, 18(13), 7084. https://doi.org/10.3390/ijerph18137084

