Exercise in an Overweight Patient with Covid-19: A Case Study
Abstract
1. Introduction
2. Materials and Methods
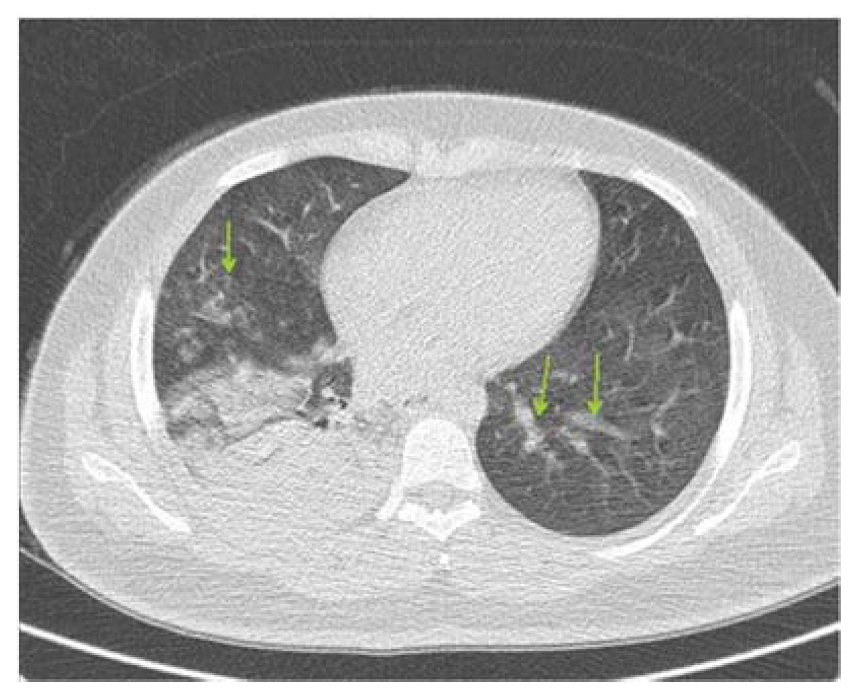
2.1. Patient Introduction and Initial Conditions
2.2. Ethical Considerations
2.3. Exercise Protocol
2.4. Medications Taken by the Patient during Treatment
3. Results
4. Discussion
5. Conclusions
Author Contributions
Funding
Institutional Review Board Statement
Informed Consent Statement
Data Availability Statement
Acknowledgments
Conflicts of Interest
References
- Chou, R.; Dana, T.; Buckley, D.I.; Selph, S.; Fu, R.; Totten, A.M. Epidemiology of and risk factors for coronavirus infection in health care workers: A living rapid review. Ann. Intern. Med. 2020, 173, 120–136. [Google Scholar] [CrossRef] [PubMed]
- Zhou, Y.; Chi, J.; Lv, W.; Wang, Y. Obesity and diabetes as high-risk factors for severe coronavirus disease 2019 (Covid-19). Diabetes Metab. Res. Rev. 2021, 37, e3377. [Google Scholar] [CrossRef] [PubMed]
- Robinson, P.D. Obesity and its impact on the respiratory system. Paediatr. Respir. Rev. 2014, 15, 219–226. [Google Scholar] [CrossRef] [PubMed]
- Tanaka, M. Improving obesity and blood pressure. Hypertens. Res. 2019, 43, 79–89. [Google Scholar] [CrossRef] [PubMed]
- Powers, S.K.; Lynch, G.S.; Murphy, K.T.; Reid, M.B.; Zijdewind, I. Disease-Induced Skeletal Muscle Atrophy and Fatigue. Med. Sci. Sports Exerc. 2016, 48, 2307–2319. [Google Scholar] [CrossRef] [PubMed]
- Islam, M.F.; Cotler, J.; Jason, L.A. Post-viral fatigue and COVID-19: Lessons from past epidemics. Fatigue: Biomed. Health Behav. 2020, 8, 61–69. [Google Scholar] [CrossRef]
- Tidball, J.G. Regulation of muscle growth and regeneration by the immune system. Nat. Rev. Immunol. 2017, 17, 165–178. [Google Scholar] [CrossRef] [PubMed]
- Ahmadihekmatikar, A.; Molanouri, M. Prevalence of Coronavirus (Covid 19) in Iran and the Effects of Exercise on the Body Along with Health Protocols: A Review Study. J. Arak Univ. Med. Sci. 2020, 23, 584–603. [Google Scholar]
- Khoramipour, K.; Basereh, A.; Hekmatikar, A.A.; Castell, L.; Ruhee, R.T.; Suzuki, K. Physical activity and nutrition guidelines to help with the fight against COVID-19. J. Sports Sci. 2021, 39, 101–107. [Google Scholar] [CrossRef] [PubMed]
- Drela, N.; Kozdron, E.; Szczypiorski, P. Moderate exercise may attenuate some aspects of immunosenescence. BMC Geriatr. 2004, 4, 1–7. [Google Scholar] [CrossRef] [PubMed]
- Neves, P.R.D.S.; Tenório, T.R.D.S.; Lins, T.A.; Muniz, M.T.C.; Pithon-Curi, T.C.; Botero, J.P.; Prado, W.L.D. Acute effects of high- and low-intensity exercise bouts on leukocyte counts. J. Exerc. Sci. Fit. 2015, 13, 24–28. [Google Scholar] [CrossRef] [PubMed]
- Piquet, V.; Luczak, C.; Seiler, F.; Monaury, J.; Martini, A.; Ward, A.B.; Gracies, J.-M.; Motavasseli, D.; Lépine, E.; Chambard, L.; et al. Do Patients With COVID-19 Benefit from Rehabilitation? Functional Outcomes of the First 100 Patients in a COVID-19 Rehabilitation Unit. Arch. Phys. Med. Rehabil. 2021. [Google Scholar] [CrossRef] [PubMed]
- Warburton, D.E.; Nicol, C.W.; Bredin, S.S. Health benefits of physical activity: The evidence. Can. Med. Assoc. J. 2006, 174, 801–809. [Google Scholar] [CrossRef] [PubMed]
- Suzuki, K. Chronic Inflammation as an Immunological Abnormality and Effectiveness of Exercise. Biomolecules 2019, 9, 223. [Google Scholar] [CrossRef] [PubMed]
- Jones, A.W.; Davison, G. Exercise, Immunity, and Illness. In Muscle and Exercise Physiology; Elsevier: Amsterdam, The Netherlands, 2019; pp. 317–344. [Google Scholar] [CrossRef]
- Suzuki, K.; Hayashida, H. Effect of Exercise Intensity on Cell-Mediated Immunity. Sports 2021, 9, 8. [Google Scholar] [CrossRef] [PubMed]
- Suzuki, K.; Tominaga, T.; Ruhee, R.T.; Ma, S. Characterization and Modulation of Systemic Inflammatory Response to Exhaustive Exercise in Relation to Oxidative Stress. Antioxidants 2020, 9, 401. [Google Scholar] [CrossRef] [PubMed]

| Day | Blood Oxygen Status | Respiration | Resting Heart Rate | Blood Pressure (Resting) | Hand Power Status (Dynamometer) | |
|---|---|---|---|---|---|---|
| Number of Breaths Per Minute | Systolic | Diastolic | ||||
| First day | 79 | 19 | 110 | 110 | 70 | Two right hand attempts and one left hand attempt |
| Second day | 84 | 18 | 95 | 111 | 60 | Two right hand attempts and two left hand attempts |
| Third day | 88 | 16 | 92 | 120 | 80 | Three right hand attempts and three left hand attempts |
Publisher’s Note: MDPI stays neutral with regard to jurisdictional claims in published maps and institutional affiliations. |
© 2021 by the authors. Licensee MDPI, Basel, Switzerland. This article is an open access article distributed under the terms and conditions of the Creative Commons Attribution (CC BY) license (https://creativecommons.org/licenses/by/4.0/).
Share and Cite
Hekmatikar, A.H.A.; Shamsi, M.M.; Ashkazari, Z.S.Z.; Suzuki, K. Exercise in an Overweight Patient with Covid-19: A Case Study. Int. J. Environ. Res. Public Health 2021, 18, 5882. https://doi.org/10.3390/ijerph18115882
Hekmatikar AHA, Shamsi MM, Ashkazari ZSZ, Suzuki K. Exercise in an Overweight Patient with Covid-19: A Case Study. International Journal of Environmental Research and Public Health. 2021; 18(11):5882. https://doi.org/10.3390/ijerph18115882
Chicago/Turabian StyleHekmatikar, Amir Hossein Ahmadi, Mahdieh Molanouri Shamsi, Zahra Sadat Zabhi Ashkazari, and Katsuhiko Suzuki. 2021. "Exercise in an Overweight Patient with Covid-19: A Case Study" International Journal of Environmental Research and Public Health 18, no. 11: 5882. https://doi.org/10.3390/ijerph18115882
APA StyleHekmatikar, A. H. A., Shamsi, M. M., Ashkazari, Z. S. Z., & Suzuki, K. (2021). Exercise in an Overweight Patient with Covid-19: A Case Study. International Journal of Environmental Research and Public Health, 18(11), 5882. https://doi.org/10.3390/ijerph18115882

