The Utility of 18FDG-PET/CT in Diagnosing Fever of Unknown Origin: The Experience of a Large Tertiary Medical Center
Abstract
1. Introduction
2. Materials and Methods
2.1. Study Design
2.2. Participants
2.3. Medical Work-Up
2.4. 18FDG-PET/CT Imaging Technique
2.5. Image Assessment
2.6. Data Collection and Review of 18FDG-PET/CT Contribution
2.7. Statistical Analysis
2.8. Ethical Approval
3. Results
3.1. Study Population
3.2. Final Diagnoses
3.3. Contribution of 18FDG-PET/CT to FUO Workup
3.4. 18FDG-PET/CT Contributiveness According to Disease Category
3.5. Role of Iatrogenic Immunosuppression
3.6. 18FDG-PET/CT Contributiveness in Those Who Underwent Prior CT Imaging
3.7. Parameters Associated with True Positive Results
4. Discussion
5. Conclusions
Author Contributions
Funding
Institutional Review Board Statement
Informed Consent Statement
Data Availability Statement
Acknowledgments
Conflicts of Interest
References
- Petersdorf, R.G.; Beeson, P.B. Fever of unexplained origin: Report on 100 cases. Medicine 1961, 40, 1–30. [Google Scholar] [CrossRef]
- Bleeker-Rovers, C.P.; Vos, F.J.; De Kleijn, E.M.H.A.; Mudde, A.H.; Dofferhoff, T.S.M.; Richter, C.; Smilde, T.J.; Krabbe, P.F.M.; Oyen, W.J.G.; Van Der Meer, J.W.M. A prospective multicenter study on fever of unknown origin: The yield of a structured diagnostic protocol. Medicine 2007, 86, 26–38. [Google Scholar] [CrossRef]
- Bharucha, T.; Bharucha, T.; Rutherford, A.; Rutherford, A.; Galloway, J.; Skeoch, S.; Miller, R.; Llewelyn, M.; Jenkins, N.; Lambourne, J.; et al. Diagnostic yield of FDG-PET/CT in fever of unknown origin: A systematic review, meta-analysis, and Delphi exercise. Clin. Radiol. 2017, 72, 764–771. [Google Scholar] [CrossRef]
- Qiu, L.; Chen, Y. The role of 18F-FDG PET or PET/CT in the detection of fever of unknown origin. Eur. J. Radiol. 2012, 81, 3524–3529. [Google Scholar] [CrossRef] [PubMed]
- Tahara, T.; Ichiya, Y.; Kuwabara, Y.; Otsuka, M.; Miyake, Y.; Gunasekera, R.; Masuda, K. High [18F]-fluorodeoxyglucose uptake in abdominal abscesses: A PET study. J. Comput. Assist. Tomogr. 1989, 13, 829–831. [Google Scholar] [CrossRef] [PubMed]
- Signore, A.; Glaudemans, A.W.J.M. The molecular imaging approach to image infections and inflammation by nuclear medicine techniques. Ann. Nucl. Med. 2011, 25, 681–700. [Google Scholar] [CrossRef] [PubMed]
- Glaudemans, A.W.J.M.; De Vries, E.F.J.; Galli, F.; Dierckx, R.A.J.O.; Slart, R.H.J.A.; Signore, A. The use of 18 F-FDG-PET/CT for diagnosis and treatment monitoring of inflammatory and infectious diseases. Clin. Dev. Immunol. 2013, 2013. [Google Scholar] [CrossRef]
- Crouzet, J.; Boudousq, V.; Lechiche, C.; Pouget, J.P.; Kotzki, P.O.; Collombier, L.; Lavigne, J.P.; Sotto, A. Place of (18)F-FDG-PET with computed tomography in the diagnostic algorithm of patients with fever of unknown origin. Eur. J. Clin. Microbiol. Infect. Dis. 2012, 31, 1727–1733. [Google Scholar] [CrossRef]
- Balink, H.; Collins, J.; Bruyn, G.; Gemmel, F. F-18 FDG PET/CT in the diagnosis of fever of unknown origin. Clin. Nucl. Med. 2009, 34, 862–868. [Google Scholar] [CrossRef]
- Gafter-Gvili, A.; Raibman, S.; Grossman, A.; Avni, T.; Paul, M.; Leibovici, L.; Tadmor, B.; Groshar, D.; Bernstine, H. [18F] FDG-PET/CT for the diagnosis of patients with fever of unknown origin. QJM 2015, 108, 289–298. [Google Scholar] [CrossRef]
- Schönau, V.; Vogel, K.; Englbrecht, M.; Wacker, J.; Schmidt, D.; Manger, B.; Kuwert, T.; Schett, G. The value of 18F-FDG-PET/CT in identifying the cause of fever of unknown origin (FUO) and inflammation of unknown origin (IUO): Data from a prospective study. Ann. Rheum. Dis. 2018, 77, 70–77. [Google Scholar] [CrossRef]
- Balink, H.; Tan, S.S.; Veeger, N.J.G.M.; Holleman, F.; van Eck-Smit, B.L.F.; Bennink, R.J.; Verberne, H.J. 18F-FDG PET/CT in inflammation of unknown origin: A cost-effectiveness pilot-study. Eur. J. Nucl. Med. Mol. Imaging 2015, 42, 1408–1413. [Google Scholar] [CrossRef]
- Becerra Nakayo, E.M.; García Vicente, A.M.; Soriano Castrejón, A.M.; Mendoza Narváez, J.A.; Talavera Rubio, M.P.; Poblete García, V.M.; Cordero García, J.M. Análisis de costo-efectividad en el diagnóstico de fiebre de origen desconocido y el papel de la 18F-FDG PET-TC: Propuesta de algoritmo diagnóstico. Rev. Esp. Med. Nucl. Imagen Mol. 2012, 31, 178–186. [Google Scholar] [CrossRef]
- Davidson, T.; Priel, E.; Schiby, G.; Raskin, S.; Chikman, B.; Nissan, E.; Benjamini, O.; Nissan, J.; Goshen, E.; Ben-Haim, S.; et al. Low rate of spleen involvement in sporadic Burkitt lymphoma at staging on PET-CT. Abdom. Radiol. 2018, 43, 2369–2374. [Google Scholar] [CrossRef] [PubMed]
- Davidson, T.; Lotan, E.; Klang, E.; Nissan, J.; Goldstein, J.; Goshen, E.; Ben-Haim, S.; Apter, S.; Chikman, B. Fat necrosis after abdominal surgery: A pitfall in interpretation of fdg-pet/ct. Eur. Radiol. 2018, 28, 2264–2272. [Google Scholar] [CrossRef]
- Davidson, T.; Kedmi, M.; Avigdor, A.; Komisar, O.; Chikman, B.; Lidar, M.; Goshen, E.; Tzila Zwas, S.; Ben-Haim, S. FDG PET-CT evaluation in neurolymphomatosis: Imaging characteristics and clinical outcomes. Leuk. Lymphoma 2018, 59, 348–356. [Google Scholar] [CrossRef] [PubMed]
- Pereira, A.M.V.; Husmann, L.; Sah, B.-R.R.; Battegay, E.; Franzen, D. Determinants of diagnostic performance of 18F-FDG PET/CT in patients with fever of unknown origin. Nucl. Med. Commun. 2016, 37, 57–65. [Google Scholar] [CrossRef] [PubMed]
- Slart, R.H.J.A.; Glaudemans, A.W.J.M.; Gheysens, O.; Lubberink, M.; Kero, T.; Dweck, M.R.; Habib, G.; Gaemperli, O.; Saraste, A.; Gimelli, A.; et al. Procedural recommendations of cardiac PET/ CT imaging: Standardization in inflammatory-, infective-, infiltrative-, and innervation- (4Is) related cardiovascular diseases: A joint collaboration of the EACVI and the EANM: Summary. Eur. Heart J. Cardiovasc. Imaging 2021, 21, 1320–1330. [Google Scholar] [CrossRef]
- Chague, P.; Phan, C.M.; Lapusan, S.; Zhang-Yin, J.; Cottereau, A.S. 18F-FDG PET/CT imaging findings of extensive neurolymphomatosis as a relapse of diffuse large B cell lymphoma. Diagn. Interv. Imaging 2019, 100, 527–528. [Google Scholar] [CrossRef]
- Pelosi, E.; Skanjeti, A.; Penna, D.; Arena, V. Role of integrated PET/CT with [18F]-FDG in the management of patients with fever of unknown origin: A single-centre experience. Radiol. Med. 2011, 116, 809–820. [Google Scholar] [CrossRef]
- Pedersen, T.I.; Roed, C.; Knudsen, L.S.; Loft, A.; Skinhoj, P.; Nielsen, S.D. Fever of unknown origin: A retrospective study of 52 cases with evaluation of the diagnostic utility of FDG-PET/CT. Scand. J. Infect. Dis. 2012, 44, 18–23. [Google Scholar] [CrossRef] [PubMed]
- Kim, Y.J.; Kim, S.I.; Hong, K.-W.; Kang, M.W. Diagnostic value of 18F-FDG PET/CT in patients with fever of unknown origin. Intern. Med. J. 2012, 42, 834–837. [Google Scholar] [CrossRef] [PubMed]
- Hung, B.T.; Wang, P.W.; Su, Y.J.; Huang, W.C.; Chang, Y.H.; Huang, S.H.; Chang, C.C. The efficacy of18F-FDG PET/CT and67Ga SPECT/CT in diagnosing fever of unknown origin. Int. J. Infect. Dis. 2017, 62, 10–17. [Google Scholar] [CrossRef] [PubMed]
- Keidar, Z.; Gurman-Balbir, A.; Gaitini, D.; Israel, O. Fever of unknown origin: The role of 18F-FDG PET/CT. J. Nucl. Med. 2008, 49, 1980–1985. [Google Scholar] [CrossRef] [PubMed]
- Federici, L.; Blondet, C.; Imperiale, A.; Sibilia, J.; Pasquali, J.-L.; Pflumio, F.; Goichot, B.; Blaison, G.; Weber, J.-C.; Christmann, D.; et al. Value of (18)F-FDG-PET/CT in patients with fever of unknown origin and unexplained prolonged inflammatory syndrome: A single centre analysis experience. Int. J. Clin. Pract. 2010, 64, 55–60. [Google Scholar] [CrossRef]
- Ferda, J.; Ferdová, E.; Záhlava, J.; Matejovic, M.; Kreuzberg, B. Fever of unknown origin: A value of (18)F-FDG-PET/CT with integrated full diagnostic isotropic CT imaging. Eur. J. Radiol. 2010, 73, 518–525. [Google Scholar] [CrossRef]
- Kei, P.L.; Kok, T.Y.; Padhy, A.K.; Ng, D.C.; Goh, A.S. [18F] FDG PET/CT in patients with fever of unknown origin: A local experience. Nucl. Med. Commun. 2010, 31, 788–792. [Google Scholar] [CrossRef] [PubMed]
- Sheng, J.F.; Sheng, Z.K.; Shen, X.M.; Bi, S.; Li, J.J.; Sheng, G.P.; Yu, H.Y.; Huang, H.J.; Liu, J.; Xiang, D.R.; et al. Diagnostic value of fluorine-18 fluorodeoxyglucose positron emission tomography/computed tomography in patients with fever of unknown origin. Eur. J. Intern. Med. 2011, 22, 112–116. [Google Scholar] [CrossRef] [PubMed]
- Besson, F.L.; Chaumet-Riffaud, P.; Playe, M.; Noel, N.; Lambotte, O.; Goujard, C.; Prigent, A.; Durand, E. Contribution of 18F-FDG PET in the diagnostic assessment of fever of unknown origin (FUO): A stratification-based meta-analysis. Eur. J. Nucl. Med. Mol. Imaging 2016, 43, 1887–1895. [Google Scholar] [CrossRef]
- Georga, S.; Exadaktylou, P.; Petrou, I.; Katsampoukas, D.; Mpalaris, V.; Moralidis, E.-I.; Arvaniti, K.; Papastergiou, C.; Arsos, G. Diagnostic Value of 18F-FDG-PET/CT in Patients with FUO. J. Clin. Med. 2020, 9, 2112. [Google Scholar] [CrossRef]
- Kouijzer, I.J.E.; Bleeker-Rovers, C.P.; Oyen, W.J.G. FDG-PET in Fever of Unknown Origin. Semin. Nucl. Med. 2013, 43, 333–339. [Google Scholar] [CrossRef] [PubMed]
- Takeuchi, M.; Dahabreh, I.J.; Nihashi, T.; Iwata, M.; Varghese, G.M.; Terasawa, T. Nuclear imaging for classic fever of unknown origin: Meta-analysis. J. Nucl. Med. 2016, 57, 1913–1919. [Google Scholar] [CrossRef] [PubMed]
- Palmieri, L.J.; Coriat, R. 18F-FDG PET/CT in pancreatic adenocarcinoma: On the edge of a paradigm shift? Diagn. Interv. Imaging 2019, 100, 731–733. [Google Scholar] [CrossRef]
- Buysschaert, I.; Vanderschueren, S.; Blockmans, D.; Mortelmans, L.; Knockaert, D. Contribution of 18fluoro-deoxyglucose positron emission tomography to the work-up of patients with fever of unknown origin. Eur. J. Intern. Med. 2004, 15, 151–156. [Google Scholar] [CrossRef] [PubMed]
- Ergül, N.; Halac, M.; Cermik, T.F.; Ozaras, R.; Sager, S.; Onsel, Ç.; Uslu, I. The Diagnostic Role of FDG PET/CT in Patients with Fever of Unknown Origin. Mol. Imaging Radionucl. Ther. 2011, 20, 19–25. [Google Scholar] [CrossRef] [PubMed]
- Vanderschueren, S.; Knockaert, D.; Adriaenssens, T.; Demey, W.; Durnez, A.; Blockmans, D.; Bobbaers, H. From prolonged febrile illness to fever of unknown origin: The challenge continues. Arch. Intern. Med. 2003. [Google Scholar] [CrossRef] [PubMed]







| Variable | All, n = 128 (%) | Contributory PET/CT Results (n = 61) | Non-Contributory PET/CT Results (n = 67) | p-Value |
|---|---|---|---|---|
| Sex (male, %) | 80 (62.5%) | 63.9% | 61.2% | 0.75 |
| Age (years) | 59 (18–93) | 56.20 | 61.72 | 0.12 |
| Smoking | 35 (27.3%) | 34.4% | 20.9% | 0.09 |
| BMI | 25.8 | 25.1 | 26.3 | 0.21 |
| Diabetes | 31 (24.8%) | 18.6% | 30.3% | 0.13 |
| Hypertension | 63 (49.2%) | 44.3% | 53.7% | 0.28 |
| Dyslipidemia | 44 (34.4%) | 27.9% | 40.3% | 0.14 |
| Chronic kidney disease | 16 (12.5%) | 11.5% | 13.4% | 0.79 |
| Congestive heart failure | 14 (10.9%) | 11.5% | 10.4% | 1.00 |
| Vascular disease | 36 (28.1%) | 26.2% | 29.9% | 0.65 |
| Prosthetic device | 22 (17.2%) | 19.7% | 14.9% | 0.48 |
| Neurologic disease | 21 (16.5%) | 19.7% | 13.6% | 0.47 |
| Previous malignancy | 19 (14.8%) | 18.0% | 11.9% | 0.46 |
| Autoimmune disease | 30 (23.4%) | 29.5% | 17.9% | 0.12 |
| Immunosuppressed | 29 (22.8%) | 28.3% | 17.9% | 0.16 |
| Cortico-steroroid therapy | 19 (15.0%) | 16.4% | 13.6% | 0.80 |
| Other immuno-suppressants | 19 (15.1%) | 18.0% | 12.3% | 0.46 |
| Days of fever | 37.9 | 41.0 | 35.2 | 0.34 |
| Rash | 15 (11.7%) | 11.5% | 11.9% | 1.00 |
| Dyspnea | 14 (10.9%) | 16.4% | 6.0% | 0.09 |
| Weight loss | 33 (25.8%) | 34.4% | 17.9% | 0.03 |
| Abdominal pain | 24 (18.8%) | 18.0% | 19.4% | 0.84 |
| Diarrhea | 9 (7.0%) | 8.2% | 6.0% | 0.74 |
| Chest pain | 6 (4.7%) | 3.3% | 6.0% | 0.68 |
| Pharyngitis | 7 (5.5%) | 4.9% | 6.0% | 1.00 |
| Headache | 14 (10.9%) | 14.8% | 7.5% | 0.26 |
| Arthritis | 12 (9.4%) | 14.8% | 4.5% | 0.07 |
| Lymphadenopathy | 8 (6.3%) | 6.6% | 6.0% | 1.00 |
| WBC (X10^3) | 9.5 | 9.9 | 9.2 | 0.55 |
| HB (g/dL) | 10.3 | 9.8 | 10.7 | <0.01 |
| PLT | 266 | 274.1 | 259.2 | 0.60 |
| Creatinine | 1.27 | 1.16 | 1.37 | 0.33 |
| Urea | 48 | 46.2 | 49.2 | 0.67 |
| AST | 36.1 | 37.9 | 34.6 | 0.66 |
| ALT | 38.6 | 36.0 | 41.0 | 0.54 |
| LDH | 263.3 | 281.9 | 246.6 | 0.13 |
| ALP | 124.1 | 114.6 | 132.7 | 0.20 |
| GGT | 98.0 | 97.2 | 98.9 | 0.92 |
| Albumin | 3.2 | 3.1 | 3.2 | 0.15 |
| CRP | 95.1 | 104.6 | 86.7 | 0.23 |
| ESR | 73.5 | 80.5 | 68.5 | 0.16 |
| ANA | 16 (19.5%) | 25.6% | 14.0% | 0.265 |
| Ferritin | 715.2 | 858.9 | 580.0 | 0.24 |
| Transferrin | 173.5 | 158.9 | 187.7 | <0.01 |
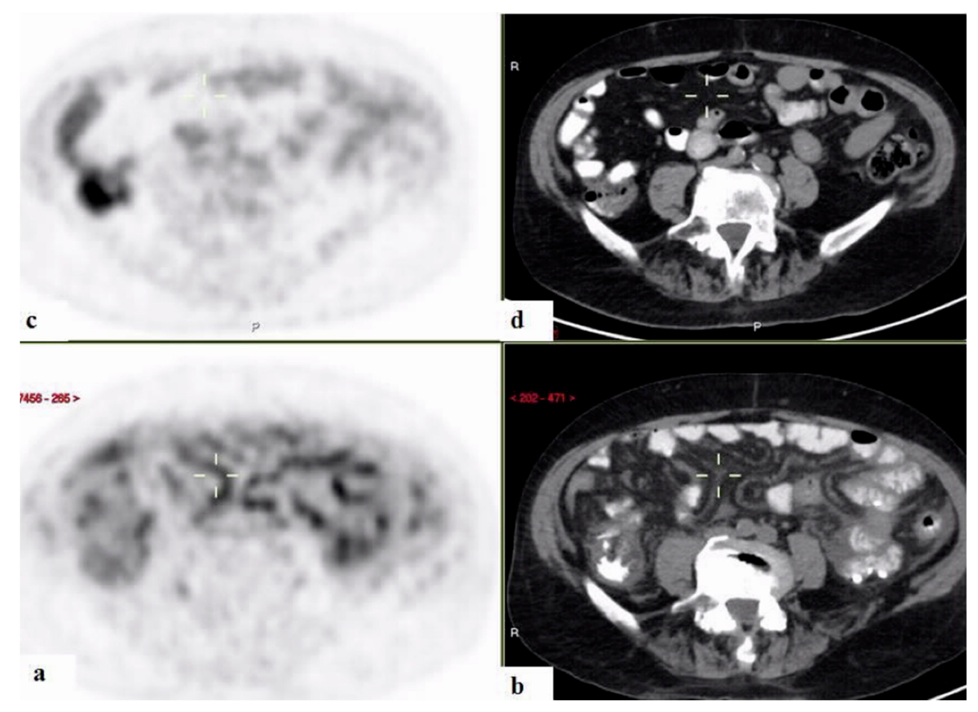
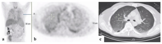
| Patient Number | 18FDG-PET/CT Findings | Final Diagnosis |
|---|---|---|
| 1 | Lymphadenopathy | Endovascular infection |
| 2 | Increased adrenal uptake | Endovascular infection |
| 3 | PE with increased pulmonary uptake | Endovascular infection |
| 4 | Increased cecal uptake | Endovascular infection |
| 5 | Increased uptake along the sternum | Endocarditis |
| 6 | Increased uptake in the cecum and rectum | Endocarditis |
| 7 | Increased pulmonary uptake | Parvovirus infection |
| 8 | Increased BM uptake | CMV infection |
| 9 | Increased BM uptake | CMV infection |
| 10 | Increased pharyngeal and esophageal uptake | Osteomyelitis |
| 11 | Increased uptake along the R shoulder | Atypical PNA |
| 12 | Splenomegaly and increased BM uptake | Q fever |
| 13 | Increased cutaneous and subcutaneous increased uptake | Q fever |
| 14 | Increased BM uptake | AOSD |
| 15 | Increased uptake in distal ureter | Temporal arteritis |
| 16 | Phlebitis | Granulomatous hepatitis |
| 17 | Increased renal uptake | Lymphoma |
| 18 | Increased uptake of retroperitoneal LNs | No final diagnosis found |
| 19 | Increased uptake along periportal nodes | |
| 20 | Increased uptake along the ascending colon | |
| 21 | Increased uptake along the spleen, retroperitoneal LNs and in the BM | |
| 22 | Increased pulmonary and esophageal uptake | |
| 23 | Increased hepatic uptake | |
| 24 | Increased uptake along the R hip and R shoulder | |
| 25 | Increased uptake along the colon and groin | |
| 26 | Increased uptake along the retroperitoneal LNs and pelvis |
Publisher’s Note: MDPI stays neutral with regard to jurisdictional claims in published maps and institutional affiliations. |
© 2021 by the authors. Licensee MDPI, Basel, Switzerland. This article is an open access article distributed under the terms and conditions of the Creative Commons Attribution (CC BY) license (https://creativecommons.org/licenses/by/4.0/).
Share and Cite
Mahajna, H.; Vaknin, K.; Ben Shimol, J.; Watad, A.; Abu-Much, A.; Mahroum, N.; Shovman, O.; Shoenfeld, Y.; Amital, H.; Davidson, T. The Utility of 18FDG-PET/CT in Diagnosing Fever of Unknown Origin: The Experience of a Large Tertiary Medical Center. Int. J. Environ. Res. Public Health 2021, 18, 5360. https://doi.org/10.3390/ijerph18105360
Mahajna H, Vaknin K, Ben Shimol J, Watad A, Abu-Much A, Mahroum N, Shovman O, Shoenfeld Y, Amital H, Davidson T. The Utility of 18FDG-PET/CT in Diagnosing Fever of Unknown Origin: The Experience of a Large Tertiary Medical Center. International Journal of Environmental Research and Public Health. 2021; 18(10):5360. https://doi.org/10.3390/ijerph18105360
Chicago/Turabian StyleMahajna, Hussein, Keren Vaknin, Jennifer Ben Shimol, Abdulla Watad, Arsalan Abu-Much, Naim Mahroum, Ora Shovman, Yehuda Shoenfeld, Howard Amital, and Tima Davidson. 2021. "The Utility of 18FDG-PET/CT in Diagnosing Fever of Unknown Origin: The Experience of a Large Tertiary Medical Center" International Journal of Environmental Research and Public Health 18, no. 10: 5360. https://doi.org/10.3390/ijerph18105360
APA StyleMahajna, H., Vaknin, K., Ben Shimol, J., Watad, A., Abu-Much, A., Mahroum, N., Shovman, O., Shoenfeld, Y., Amital, H., & Davidson, T. (2021). The Utility of 18FDG-PET/CT in Diagnosing Fever of Unknown Origin: The Experience of a Large Tertiary Medical Center. International Journal of Environmental Research and Public Health, 18(10), 5360. https://doi.org/10.3390/ijerph18105360

