Expression of CD34 and α-SMA Markers in Oral Squamous Cell Carcinoma Differentiation. A Histological and Histo-Chemical Study
Abstract
1. Introduction
2. Materials and Methods
2.1. Ethical Considerations
2.2. Study Patients and Selection Criteria
2.3. Hematoxylin and Eosin Staining
2.4. Immunostaining
2.5. Immunohistochemical Analysis
2.6. Statistical Analysis
3. Results
3.1. General Characteristics of the Study Population
3.2. Histopathology
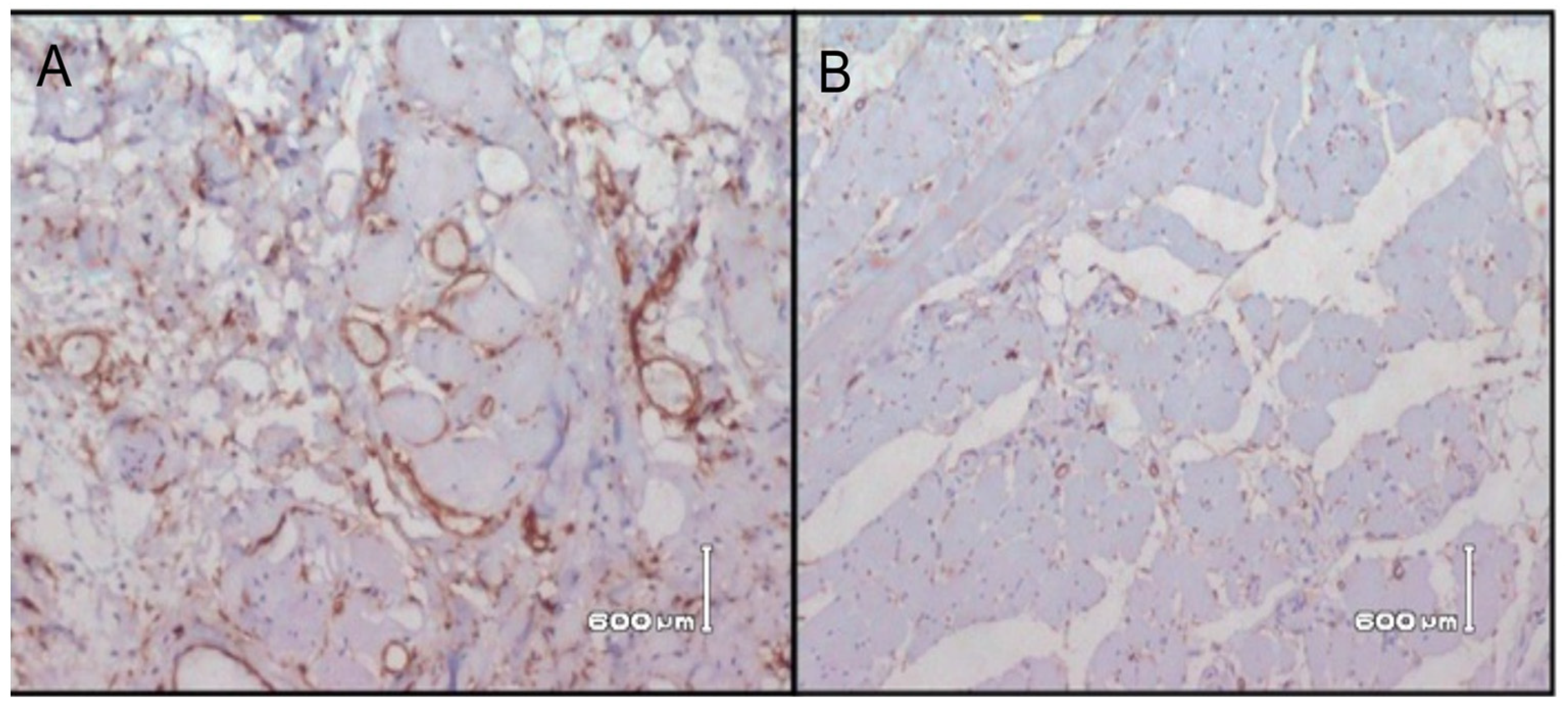
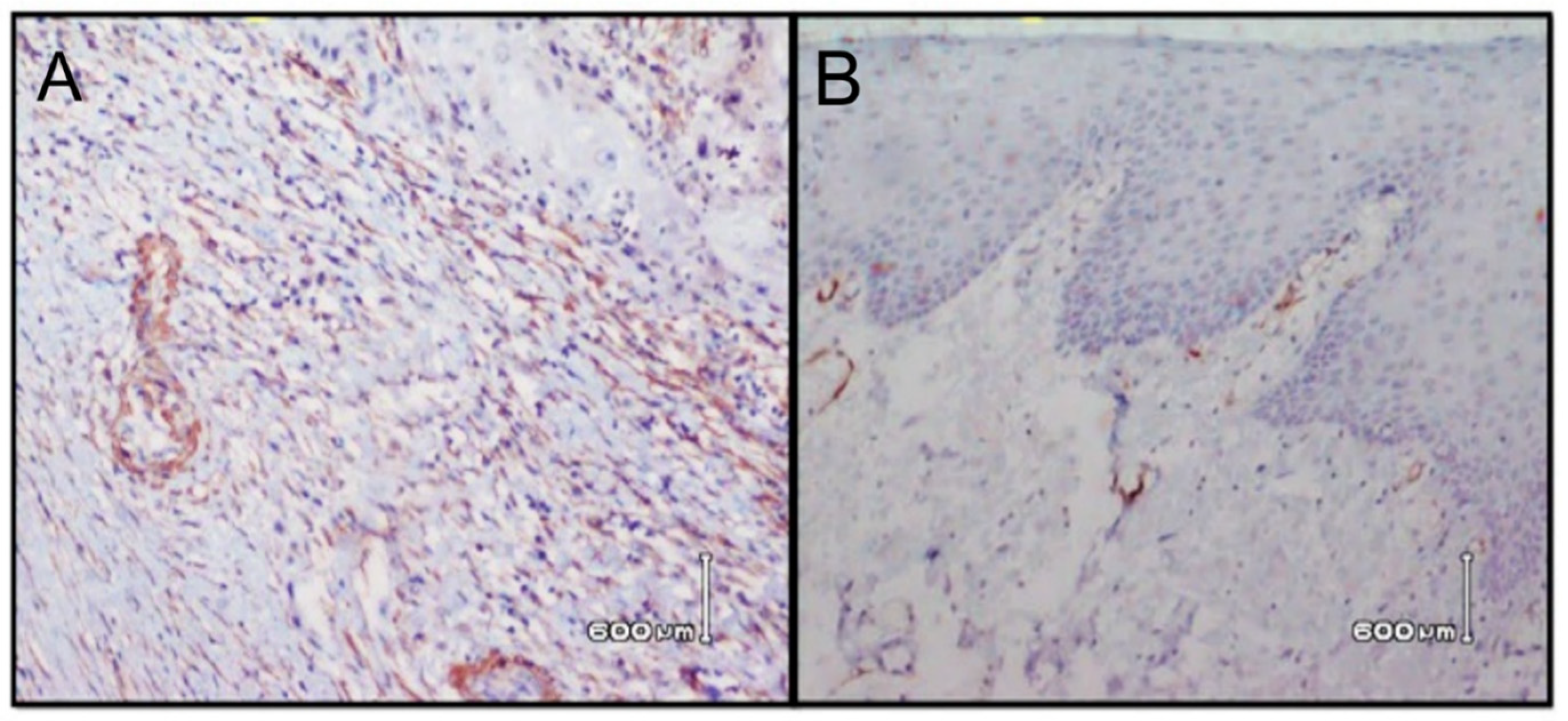
3.3. Immunostaining
4. Discussion
5. Conclusions
Author Contributions
Funding
Institutional Review Board Statement
Informed Consent Statement
Data Availability Statement
Conflicts of Interest
References
- Dholam, K.P.; Chouksey, G.C. Squamous cell carcinoma of the oral cavity and oropharynx in patients aged 18–45 years: A case—Control study to evaluate the risk factors with emphasis on stress, diet, oral hygiene, and family history. Indian J. Cancer 2016, 53, 244. [Google Scholar] [PubMed]
- Cânjău, S.; Todea, C.; Sinescu, C.; Negruțiu, M.L.; Duma, V.-F.; Manetscu, A.; Topală, F.; Podoleanu, A. Optical Imaging of Oral Squamous Cell Carcinoma Using Optical Coherence Tomography and Micro CT. In Key Engineering Materials; Trans Tech Publications Ltd.: New York, NY, USA, 2014; Volume 587, pp. 331–337. [Google Scholar]
- Moore, M.A.; Ariyaratne, Y.; Badar, F.; Bhurgri, Y.; Datta, K.; Mathew, A.; Yeole, B.B. Cancer epidemiology in South Asia-past, present and future. Asian Pac. J. Cancer Prev. 2010, 11, 49–66. [Google Scholar] [PubMed]
- Jangda, Z.Z.; Maqsood, A.; Azam, K. Assessment of Head and Neck Cancer Patient’s Co-Morbidity in Accordance to the International Classification of Functioning, Disability and Health. J. Interdiscipl. Med. Dent. Sci. 2016, 4, 1–4. [Google Scholar] [CrossRef]
- Tariq, A.; Mehmood, Y.; Jamshaid, M. Head and neck cancers: Incidence, Epidemiological Risk, and Treatment Options. Int. J. Pharm. Res. Allied Sci. 2015, 4, 21–34. [Google Scholar]
- Zheng, H.; Shen, J. Study on expression of smooth muscle actin in stromal fibroblasts of oral squamous cell carcinoma. Int. J. Stoma 2007, 3, 67–75. [Google Scholar]
- Erez, M.; Truitt, P.; Olson, D. Hanahan. Cancer Associated Fibroblasts are activated in incipient neoplasia to orchestrate tumor-promoting inflammation in an NF-KB-dependent manner. Cancer Cell 2010, 17, 135–147. [Google Scholar] [CrossRef]
- Ali, K.; Zeb, K.S.; Sultana, N.; Alghamdi, O.; Muhammad, S.; Mokeem, S.A.; Ali, S.; Abduljabbar, T.; Vohra, F. Assessment of Tumor Angiogenesis by Expression of CD 105 in Ameloblastoma, Odontogenic Keratocyst and Central Giant Cell Lesion. Asian Pac. J. Cancer Prev. 2020, 21, 3373–3379. [Google Scholar] [CrossRef]
- Mirza, S.; Hadi, N.; Pervaiz, S.; Khan, S.Z.; Mokeem, S.A.; Abduljabbar, T.; Al-Hamoudi, N.; Vohra, F. Expression of HER-2/neu in oral squamous cell carcinoma. Asian Pac. J. Cancer Prev. 2020, 21, 1465. [Google Scholar] [CrossRef]
- Raffat, M.A.; Hadi, N.I.; Alghamdi, O.; Al-Aali, K.A.; Al Deeb, M.; Abduljabbar, T.; Vohra, F. Expression of Salivary S100A7 Levels in Stage I Oral Submucous Fibrosis: A Clinical and Laboratory Study. Asian Pac. J. Cancer Prev. 2020, 21, 1115–1119. [Google Scholar] [CrossRef]
- Nika, K.; Zidar, N.; Vodopivec, B.; Gale, N. Expression of CD34, alpha smooth muscle actin, and transforming growth factor B1 in squamous intraepithelial lesions and squamous cell carcinoma of the larynx and hypopharynx. Hum. Pathol. 2005, 36, 16–21. [Google Scholar]
- Jackson, D.E. The unfolding tale of PECAM-1. FEBS Lett. 2003, 540, 7–14. [Google Scholar] [CrossRef]
- Bello, I.O.; Alanen, K.; Slootweg, P.J.; Salo, T. Alpha-smooth muscle actin within epithelial islands is predictive of ameloblastic carcinoma. Oral Oncol. 2009, 45, 760–765. [Google Scholar] [CrossRef] [PubMed]
- Safoura, S.; Shahriar, S.; Shafigh, E.; Sahabi, S.; Ghasemi, H. Evlauation the alpha SMA positive myofibroblasts in Oral squamous cell carcinoma and oral epithelial dysplasia and hyperkeratosis. J. Mashhad Dent. Sch. 2010, 33, 321–330. [Google Scholar]
- Doshi, N.; Shah, S.; Patel, K.; Jhabuawala, M. Histological grading of oral cancer: A comparison of different systems and their relation to lymph node metastasis. Nat. J. Community Med. 2011, 2, 136–142. [Google Scholar]
- Lester, S.C. Special Studies. In Manual of Surgical Pathology, 2nd ed.; Elsevier: New York, NY, USA, 2006; Volume 71, p. 169. [Google Scholar]
- Guttman, D.; Stern, Y.; Shpitzer, T.; Ulanovski, D.; Druzd, T.; Feinmesser, R. Expression of MMP-9, TIMP-1, CD-34 and factor-8 as prognostic markers for squamous cell carcinoma of the tongue. Oral Oncol. 2004, 4, 798–803. [Google Scholar] [CrossRef]
- Desai, R.S.; Mamatha, G.S.; Musarrat, J.; Subraj, S. Immunohistochemical expression of CD34 for characterization and quantification of mucosal vasculature and its probable role in malignant transformation of atrophic epithelium in oral submucous fibrosis. Oral Oncol. 2010, 46, 553–558. [Google Scholar] [CrossRef]
- Byakodi, R.; Byakodi, S.; Hiremath, S.; Byakodi, J.; Adaki, S.; Marathe, K.; Mahind, P. Oral cancer in India: An epidemiologic and clinical review. J. Community Health 2012, 37, 316–369. [Google Scholar] [CrossRef]
- Gabbiani, G. The evolution of the Myofibroblast Concept: A key cell for wound healing and fibrotic diseases. G Gerontol. 2004, 52, 280–282. [Google Scholar]
- Bhurgri, Y. Cancer Oral Cavity Trends in Karachi South (1995–2002). Asian Pac. J. Cancer Prev. 2005, 6, 22–26. [Google Scholar]
- Javed, F.; Vohra, F.; Al-Kheraif, A.A.; Malmstrom, H.; Romanos, G.E. Comparison of periodontal inflammatory conditions among habitual gutka chewers and betel quid chewers. Oral Dis. 2015, 21, 437–442. [Google Scholar] [CrossRef]
- Abduljabbar, T.; Hussain, M.; Adnan, T.; Vohra, F.; Javed, F. Comparison of oral Candida species prevalence and carriage among gutka-chewers and betel-quid chewers. J. Pak. Med. Assoc. 2017, 67, 350–354. [Google Scholar] [PubMed]
- Mineo, T.C.; Ambrogi, V.; Baldi, A.; Rabitti, C.; Bollero, P.; Vincenzi, B.; Tonini, G. Prognostic impact of VEGF, CD31, CD34, and CD105 expression and tumour vessel invasion after radical surgery for IB–IIA non-small cell lung cancer. J. Clin. Pathol. 2004, 57, 591–597. [Google Scholar] [CrossRef] [PubMed]
- Nakayama, H.; Enzan, H.; Miyazaki, N.; Kuroda, N. Differential expression of CD34 in normal colorectal tissue, peritumoral inflammatory tissue, and tumour stroma. J. Clin. Pathol. 2000, 53, 626–629. [Google Scholar] [CrossRef]
- Safora, S.; Shahryar, S.; Ensieh, S.; Mehdi, S.S.; Hamidreza, G. Myofibroblast Stromal Presence and Distribution in Squamous Epithelial Carcinomas, Oral Dysplasia and Hyperkeratosis. Asian Pac. J. Cancer Prev. 2010, 1, 359–364. [Google Scholar]
- Cimpean, A.M.; Raica, M.; Marita, D. Diagnostic significance of immunoexpression of CD34 and smooth muscle cell action in benign and malignant tumors of the breast. Rom. J. Morphol. Embryol. 2005, 46, 123–129. [Google Scholar] [PubMed]
- Hvingel, B.; Lieng, M.; Roald, B.; Orbo, A. Vascular markers CD31, CD34, actin, VEGFB, and VEGFR2, are prognostic markers for malignant development in benign endometrial polyps. Open J. Obs. Gyn. 2010, 2, 18–26. [Google Scholar] [CrossRef][Green Version]


| Tumor Site | Male | Female | Total |
|---|---|---|---|
| Buccal Mucosa | 25 (50%) | 11 (36.6%) | 36 (45%) |
| Buccal Mucosa with Mandible | 13 (26%) | 5 (17%) | 18 (23%) |
| Buccal Mucosa with Maxilla | 0 | 2 (7%) | 2 (3%) |
| Buccal Mucosa, Lip with Maxilla | 0 | 2 (7%) | 2 (3%) |
| Tongue | 6 (12%) | 6 (20%) | 12 (15%) |
| Lip | 2 (4%) | 2 (7%) | 4 (5%) |
| Angle of Mouth | 3 (6%) | 1 (3.3%) | 4 (5%) |
| Buccal Mucosa and Lips | 1 (2%) | 1 (3.3%) | 2 (3%) |
| Total | 50 (62.5%) | 30 (37.5%) | 80 |
| Grading | 18–28 | 29–38 | 39–48 | 49–58 | 59–68 | 69–78 | Total |
|---|---|---|---|---|---|---|---|
| Well differentiated | 2 | 7 | 8 | 7 | 2 | 1 | 27 |
| Moderately differentiated | 7 | 5 | 7 | 11 | 6 | 2 | 38 |
| Poorly differentiated | 2 | 2 | 3 | 5 | 1 | 2 | 15 |
| Total | 11 | 14 | 18 | 23 | 9 | 5 | 80 |
| Grading | Buccal Mucosa | Buccal Mucosa with Mandible | Buccal Mucosa with Maxilla | Buccal Mucosa, Lip with Maxilla | Tongue | Lip | Angle of Mouth | Buccal Mucosa & Lips | Total |
|---|---|---|---|---|---|---|---|---|---|
| Well differentiated | 9 | 5 | 0 | 1 | 7 | 1 | 3 | 1 | 27 |
| Moderately differentiated | 22 | 11 | 0 | 0 | 3 | 2 | 0 | 0 | 38 |
| Poorly differentiated | 5 | 2 | 2 | 1 | 2 | 1 | 1 | 1 | 15 |
| Total | 36 | 18 | 2 | 2 | 12 | 4 | 4 | 2 | 80 |
| Categories | No of Patients | Percentage% |
|---|---|---|
| Gender | ||
| Male | 50 | 62.5 |
| Female | 30 | 37.5 |
| Age | ||
| ≤50 | 56 | 70.0 |
| >50 | 24 | 30.0 |
| Histological grade | ||
| Well differentiated | 27 | 33.8 |
| Moderately differentiated | 30 | 37.5 |
| Poorly differentiated | 23 | 28.75 |
| CD34 Positive Cells | Well Differentiated | Moderately Differentiated | Poorly Differentiated | Total | p Value |
|---|---|---|---|---|---|
| Low | 20 | 30 | 23 | 73 | 0.002 |
| High | 7 | 0 | 0 | 7 | |
| Total | 27 | 30 | 23 | 80 |
| α-SMA Positive Cells | Well Differentiated | Moderately Differentiated | Poorly Differentiated | Total | p Value |
|---|---|---|---|---|---|
| Low | 6 | 0 | 0 | 6 | 0.01 |
| Medium | 14 | 12 | 0 | 26 | |
| High | 7 | 18 | 23 | 48 | |
| Total | 27 | 30 | 23 | 80 |
Publisher’s Note: MDPI stays neutral with regard to jurisdictional claims in published maps and institutional affiliations. |
© 2020 by the authors. Licensee MDPI, Basel, Switzerland. This article is an open access article distributed under the terms and conditions of the Creative Commons Attribution (CC BY) license (http://creativecommons.org/licenses/by/4.0/).
Share and Cite
Maqsood, A.; Ali, A.; Zaffar, Z.; Mokeem, S.; Mokeem, S.S.; Ahmed, N.; Al-Hamoudi, N.; Vohra, F.; Javed, F.; Abduljabbar, T. Expression of CD34 and α-SMA Markers in Oral Squamous Cell Carcinoma Differentiation. A Histological and Histo-Chemical Study. Int. J. Environ. Res. Public Health 2021, 18, 192. https://doi.org/10.3390/ijerph18010192
Maqsood A, Ali A, Zaffar Z, Mokeem S, Mokeem SS, Ahmed N, Al-Hamoudi N, Vohra F, Javed F, Abduljabbar T. Expression of CD34 and α-SMA Markers in Oral Squamous Cell Carcinoma Differentiation. A Histological and Histo-Chemical Study. International Journal of Environmental Research and Public Health. 2021; 18(1):192. https://doi.org/10.3390/ijerph18010192
Chicago/Turabian StyleMaqsood, Afsheen, Anwar Ali, Zareena Zaffar, Sameer Mokeem, Sara S. Mokeem, Naseer Ahmed, Nawwaf Al-Hamoudi, Fahim Vohra, Fawad Javed, and Tariq Abduljabbar. 2021. "Expression of CD34 and α-SMA Markers in Oral Squamous Cell Carcinoma Differentiation. A Histological and Histo-Chemical Study" International Journal of Environmental Research and Public Health 18, no. 1: 192. https://doi.org/10.3390/ijerph18010192
APA StyleMaqsood, A., Ali, A., Zaffar, Z., Mokeem, S., Mokeem, S. S., Ahmed, N., Al-Hamoudi, N., Vohra, F., Javed, F., & Abduljabbar, T. (2021). Expression of CD34 and α-SMA Markers in Oral Squamous Cell Carcinoma Differentiation. A Histological and Histo-Chemical Study. International Journal of Environmental Research and Public Health, 18(1), 192. https://doi.org/10.3390/ijerph18010192

