Invasive Basidiobolomycosis Presenting as Retroperitoneal Fibrosis: A Case Report
Abstract
1. Introduction
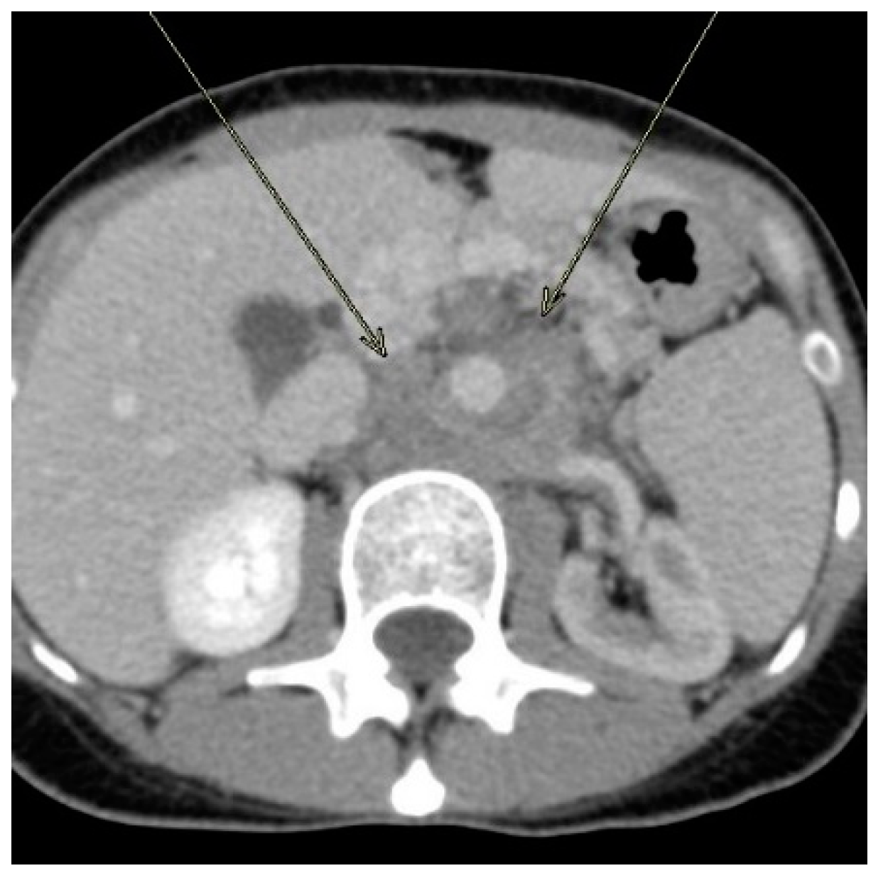
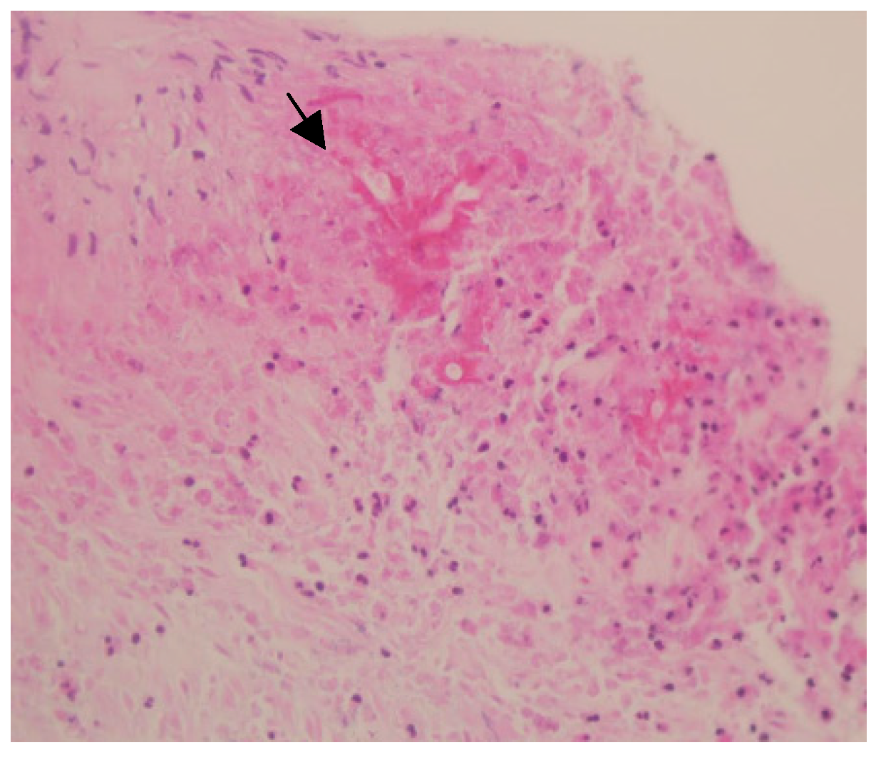
2. Case Report
3. Discussion
4. Conclusions
Author Contributions
Funding
Conflicts of Interest
References
- Khan, Z.U.; Khoursheed, M.; Makar, R.; Al-Waheeb, S.; Al-Bader, I.; Al-Muzaini, A.; Chandy, R.; Mustafa, A.S. Basidiobolus ranarum as an etiologic agent of gastrointestinal zygomycosis. J. Clin. Microbiol. 2001, 39, 2360–2363. [Google Scholar] [CrossRef]
- Al Jarie, A.; Al Azraki, T.; Al Mohsen, I.; Al Jumaah, S.; Almutawa, A.; Fahim, Y.M.; Al Shehri, M.; Dayah, A.A.; Ibrahim, A.; Shabana, M.M.; et al. Basidiobolomycosis: Case series. J. Mycol. Med. 2011, 21, 37–45. [Google Scholar] [CrossRef] [PubMed]
- Okafor, J.I.; Testrake, D.; Mushinsky, H.R.; Yangco, B.G. A Basidiobolus sp. and its association with reptiles and amphibians in southern Florida. Sabouraudia 1984, 22, 47–51. [Google Scholar] [CrossRef] [PubMed]
- Cameroon, H.M. Entomophthoromycosis. In Tropical Mycoses; Janssen Research Council: Beerse, Belgium, 1990; pp. 186–198. [Google Scholar]
- Mugerwa, J.W. Subcutaneous phycomycosis in Uganda. Br. J. Dermatol. 1976, 94, 539–544. [Google Scholar] [CrossRef] [PubMed]
- AlSaleem, K.; Al-Mehaidib, A.; Banemai, M.; bin-Hussain, I.; Faqih, M.; Al Mehmadi, A. Gastrointestinal basidiobolomycosis: Mimicking Crohn’s disease case report and review of the literature. Ann. Saudi Med. 2013, 33, 500–504. [Google Scholar] [CrossRef]
- Flicek, K.T.; Vikram, H.R.; De Petris, G.D.; Johnson, C.D. Abdominal imaging findings in gastrointestinal basidiobolomycosis. Abdom. Imaging 2015, 40, 246–250. [Google Scholar] [CrossRef] [PubMed]
- Geramizadeh, B.; Heidari, M.; Shekarkhar, G. Gastrointestinal basidiobolomycosis, a rare and under-diagnosed fungal infection in immunocompetent hosts: A review article. Iran. J. Med Sci. 2015, 40, 90. [Google Scholar]
- Almoosa, Z.; Alsuhaibani, M.; AlDandan, S.; Alshahrani, D. Pediatric gastrointestinal basidiobolomycosis mimicking malignancy. Med. Mycol. Case Rep. 2017, 18, 31–33. [Google Scholar] [CrossRef]
- Vikram, H.R.; Smilack, J.D.; Leighton, J.A.; Crowell, M.D.; De Petris, G. Emergence of gastrointestinal basidiobolomycosis in the United States, with a review of worldwide cases. Clin. Infect. Dis. 2012, 54, 1685–1691. [Google Scholar] [CrossRef]
- Edington, G.M. Phycomycosis in Ibadan, Western Nigeria. Trans. R. Soc. Trop. Med. Hyg. 1964, 58, 242–245. [Google Scholar] [CrossRef]
- Pezzani, M.D.; Di Cristo, V.; Parravicini, C.; Sonzogni, A.; Franzetti, M.; Sollima, S.; Corbellino, M.; Galli, M.; Milazzo, L.; Antinori, S. Gastrointestinal basidiobolomycosis: An emerging mycosis difficult to diagnose but curable. Case report and review of the literature. Travel Med. Infect. Dis. 2019, 31, 101378. [Google Scholar] [CrossRef] [PubMed]
- Mohammadi, R.; Chaharsoghi, M.A.; Khorvash, F.; Kaleidari, B.; Sanei, M.H.; Ahangarkani, F.; Abtahian, Z.; Meis, J.F.; Badali, H. An unusual case of gastrointestinal basidiobolomycosis mimicking colon cancer; literature and review. J. Mycol. Med. 2019, 29, 75–79. [Google Scholar] [CrossRef] [PubMed]
- Lyon, G.M.; Smilack, J.D.; Komatsu, K.K.; Pasha, T.M.; Leighton, J.A.; Guarner, J.; Colby, T.V.; Lindsley, M.D.; Phelan, M.; Warnock, D.W.; et al. Gastrointestinal basidiobolomycosis in Arizona: Clinical and epidemiological characteristics and review of the literature. Clin. Infect. Dis. 2001, 32, 1448–1455. [Google Scholar] [CrossRef] [PubMed]
- Nazir, Z.; Hasan, R.; Pervaiz, S.; Alam, M.; Moazam, F. Invasive retroperitoneal infection due to Basidiobolus ranarum with response to potassium iodide—Case report and review of the literature. Ann. Trop. Paediatr. 1997, 17, 161–164. [Google Scholar] [CrossRef]
- Choonhakarn, C.; Inthraburan, K. Concurrent subcutaneous and visceral basidiobolomycosis in a renal transplant patient. Clin. Exp. Dermatol. Clin. Dermatol. 2004, 29, 369–372. [Google Scholar] [CrossRef]
- Rabie, M.E.; Al Qahtani, A.S.; Jamil, S.; Mikhail, N.T.; El Hakeem, I.; Hummadi, A.; Elshaar, K.E.; Abdelraheem, I.; Saudi, D. Gastrointestinal basidiobolomycosis: An emerging potentially lethal fungal infection. Saudi Surg. J. 2019, 7, 1. [Google Scholar]
- El-Shabrawi, M.H.; Kamal, N.M.; Kaerger, K.; Voigt, K. Diagnosis of gastrointestinal basidiobolomycosis: A mini-review. Mycoses 2014, 57, 138–143. [Google Scholar] [CrossRef]
- Krishnamurthy, S.; Singh, R.; Chandrasekaran, V.; Mathiyazhagan, G.; Chidambaram, M.; Deepak Barathi, S.; Mahadevan, S. Basidiobolomycosis complicated by hydronephrosis and a perinephric abscess presenting as a hypertensive emergency in a 7-year-old boy. Paediatr. Int. Child Health 2018, 38, 146–149. [Google Scholar] [CrossRef]
- El-Shabrawi, M.H.F.; Kamal, N.M.; Jouini, R.; Al-Harbi, A.; Voigt, K.; Al-Malki, T. Gastrointestinal basidiobolomycosis: An emerging fungal infection causing bowel perforation in a child. J. Med. Microbiol. 2011, 60, 1395–1402. [Google Scholar] [CrossRef][Green Version]
- Al-Shanafey, S.; AlRobean, F.; Hussain, I.B. Surgical management of gastrointestinal basidiobolomycosis in pediatric patients. J. Pediatr. Surg. 2012, 47, 949–951. [Google Scholar] [CrossRef]
- Rose, S.R.; Lindsley, M.D.; Hurst, S.F.; Paddock, C.D.; Damodaran, T.; Bennett, J. Gastrointestinal basidiobolomycosis treated with posaconazole. Med. Mycol. Case Rep. 2013, 2, 11–14. [Google Scholar] [CrossRef] [PubMed]
- Albaradi, B.A.; Babiker, A.M.I.; Al-Qahtani, H.S. Successful treatment of gastrointestinal basidiobolomycosis with voriconazole without surgical intervention. J. Trop. Pediatr. 2014, 60, 476–479. [Google Scholar] [CrossRef] [PubMed]
- Saeed, A.; Assiri, A.M.; Bukhari, I.A.; Assiri, R. Antifungals in a case of basidiobolomycosis: Role and limitations. BMJ Case Rep. CP 2019, 12, e230206. [Google Scholar] [CrossRef] [PubMed]


© 2020 by the authors. Licensee MDPI, Basel, Switzerland. This article is an open access article distributed under the terms and conditions of the Creative Commons Attribution (CC BY) license (http://creativecommons.org/licenses/by/4.0/).
Share and Cite
Alsharidah, A.; Mahli, Y.; Alshabyli, N.; Alsuhaibani, M. Invasive Basidiobolomycosis Presenting as Retroperitoneal Fibrosis: A Case Report. Int. J. Environ. Res. Public Health 2020, 17, 535. https://doi.org/10.3390/ijerph17020535
Alsharidah A, Mahli Y, Alshabyli N, Alsuhaibani M. Invasive Basidiobolomycosis Presenting as Retroperitoneal Fibrosis: A Case Report. International Journal of Environmental Research and Public Health. 2020; 17(2):535. https://doi.org/10.3390/ijerph17020535
Chicago/Turabian StyleAlsharidah, Abdulmalek, Yahya Mahli, Nayef Alshabyli, and Mohammed Alsuhaibani. 2020. "Invasive Basidiobolomycosis Presenting as Retroperitoneal Fibrosis: A Case Report" International Journal of Environmental Research and Public Health 17, no. 2: 535. https://doi.org/10.3390/ijerph17020535
APA StyleAlsharidah, A., Mahli, Y., Alshabyli, N., & Alsuhaibani, M. (2020). Invasive Basidiobolomycosis Presenting as Retroperitoneal Fibrosis: A Case Report. International Journal of Environmental Research and Public Health, 17(2), 535. https://doi.org/10.3390/ijerph17020535

