The Influence of Custom-Milled Framework Design for an Implant-Supported Full-Arch Fixed Dental Prosthesis: 3D-FEA Study
Abstract
1. Introduction
2. Materials and Methods
2.1. Finite Element Analysis (FEA)
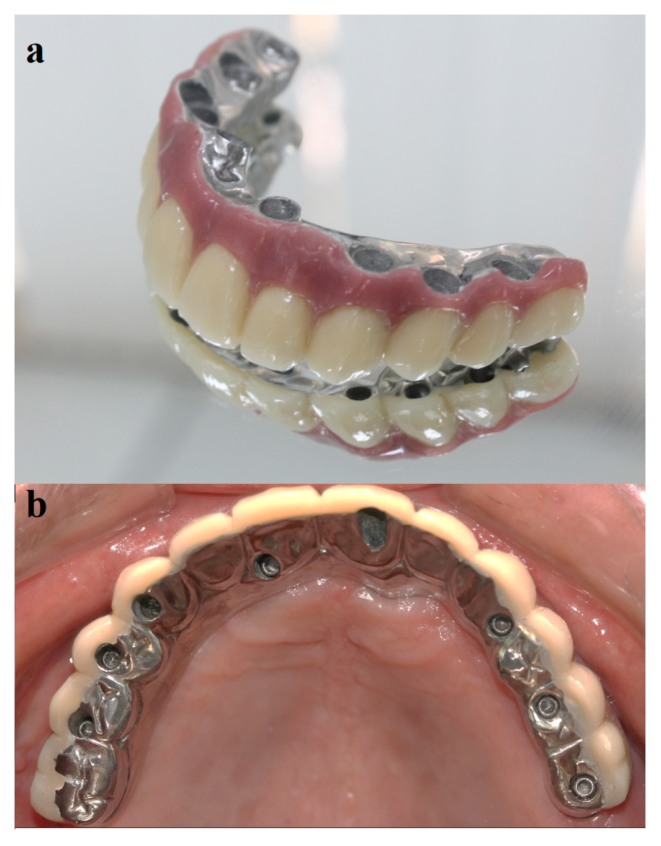
2.2. Generation of FEA Models
2.3. Material Poperties and Mechanical Loading
3. Results
4. Discussion
5. Conclusions
- An alternative design was proposed to manufacture a stronger framework;
- Even though strain values related to unwanted bone resorption were not observed for both designs, the experimental prosthetic design with customized milled framework resulted in lower stress concentration and, hence, in lower possibility of damage, if compared to the conventional one;
- The current study would represent an important step in the design and analysis of an implant-supported full-arch dental prosthesis with limited occlusal vertical dimension in terms of mechanical improvements.
Author Contributions
Funding
Conflicts of Interest
References
- Belur, D.; Nagy, W.W. An alternative digital workflow for fabricating a mandibular implant-supported complete fixed dental prosthesis with limited restorative space: A clinical report. J. Prosthet. Dent. 2018, 120, 1–4. [Google Scholar] [CrossRef] [PubMed]
- Fischer, K.; Stenberg, T.; Hedin, M.; Sennerby, L. Five-year results from a randomized, controlled trial on early and delayed loading of implants supporting full-arch prosthesis in the edentulous maxilla. Clin. Oral. Implants. Res. 2008, 19, 433–441. [Google Scholar] [CrossRef] [PubMed]
- Fabbri, G.; Sorrentino, R.; Cannistraro, G.; Mintrone, F.; Bacherini, L.; Turrini, R.; Bombardelli, T.; Nieri, M.; Fradeani, M. Increasing the vertical dimension of occlusion: A multicenter retrospective clinical comparative study on 100 patients with fixed tooth-supported, mixed, and implant-supported full-arch rehabilitations. Int. J. Periodontics Restor. Dent. 2018, 38, 323–335. [Google Scholar] [CrossRef]
- Al-Meraikhi, H.; Yilmaz, B.; McGlumphy, E.; Brantley, W.; Johnston, W.M. In vitro fit of CAD-CAM complete arch screw-retained titanium and zirconia implant prostheses fabricated on 4 implants. J. Prosthet. Dent. 2018, 119, 409–416. [Google Scholar] [CrossRef] [PubMed]
- Rodrigues, V.A.; Tribst, J.P.M.; Santis, L.R.D.; Nishioka, G.N.D.M.; Nishioka, R.S. Microscopic evaluation of implant platform adaptation with UCLA-type abutments: In vitro study. Rev. Odontol. UNESP 2017, 46, 56–60. [Google Scholar] [CrossRef]
- Zanetti, E.M.; Ciaramella, S.; Calì, M.; Pascoletti, G.; Martorelli, M.; Asero, R.; Watts, D.C. Modal analysis for implant stability assessment: Sensitivity of this methodology for different implant designs. Dent. Mater. 2018, 34, 1235–1245. [Google Scholar] [CrossRef] [PubMed]
- Ausiello, P.; Ciaramella, S.; Martorelli, M.; Lanzotti, A.; Gloria, A.; Watts, D.C. CAD-FE modeling and analysis of class II restorations incorporating resin—composite, glass ionomer and glass ceramic materials. Dent. Mater. 2017, 33, 1456–1465. [Google Scholar] [CrossRef]
- Ausiello, P.; Ciaramella, S.; Martorelli, M.; Lanzotti, A.; Zarone, F.; Watts, D.C.; Gloria, A. Mechanical behavior of endodontically restored canine teeth: Effects of ferrule, post material and shape. Dent. Mater. 2017, 33, 1466–1472. [Google Scholar] [CrossRef]
- Ausiello, P.; Ciaramella, S.; Garcia-Godoy, F.; Martorelli, M.; Sorrentino, R.; Gloria, A. Stress distribution of bulk-fill resin composite in class II restorations. Am. J. Dent. 2017, 30, 227–232. [Google Scholar]
- Penteado, M.M.; Tribst, J.P.M.; Dal Piva, A.M.; Ausiello, P.; Zarone, F.; Garcia-Godoy, F.; Borges, A.L. Mechanical behavior of conceptual posterior dental crowns with functional elasticity gradient. Am. J. Dent. 2019, 32, 165–168. [Google Scholar]
- Tribst, J.P.M.; Dal Piva, A.M.O.; Madruga, C.F.L.; Valera, M.C.; Borges, A.L.S.; Bresciani, E.; de Melo, R.M. Endocrown restorations: Influence of dental remnant and restorative material on stress distribution. Dent. Mater. 2018, 34, 1466–1473. [Google Scholar] [CrossRef]
- Tribst, J.P.; Rodrigues, V.A.; Dal Piva, A.O.; Borges, A.L.; Nishioka, R.S. The importance of correct implants positioning and masticatory load direction on a fixed prosthesis. J. Clin. Exp. Dent. 2018, 10, e81–e87. [Google Scholar] [CrossRef]
- Tribst, J.P.M.; Dal Piva, A.M.D.O.; Borges, A.L.S.; Rodrigues, V.A.; Bottino, M.A.; Kleverlaan, C.J. Does the prosthesis weight matter? 3D finite element analysis of a fixed implant-supported prosthesis at different weights and implant numbers. J. Adv. Prosthodont. 2020, 12, 67–74. [Google Scholar]
- Tribst, J.P.M.; Rodrigues, V.A.; Borges, A.L.S.; Lima, D.R.; Nishioka, R.S. Validation of a simplified implant-retained cantilever fixed prosthesis. Implant. Dent. 2018, 27, 49–55. [Google Scholar] [CrossRef]
- Danza, M.; Palmieri, A.; Farinella, F.; Brunelli, G.; Carinci, F.; Girardi, A.; Spinelli, G. Three dimensional finite element analysis to detect stress distribution in spiral implants and surrounding bone. Dent. Res. J. (Isfahan) 2009, 6, 59–64. [Google Scholar]
- Kayabaş, O.; Yüzbasıoğlu, E.; Erzincanl, F. Static, dynamic and fatigue behaviors of dental implant using finite element method. Adv. Eng. Softw. 2006, 37, 649–658. [Google Scholar] [CrossRef]
- Madfa, A.A.; Kadir, M.R.; Kashani, J.; Saidin, S.; Sulaiman, E.; Marhazlinda, J.; Rahbari, R.; Abdullah, B.J.; Abdullah, H.; Abu Kasim, N.H. Stress distributions in maxillary central incisors restored with various types of post materials and designs. Med. Eng. Phys. 2014, 36, 962–967. [Google Scholar] [CrossRef]
- Nagai, E.; Otani, K.; Satoh, Y.; Suzuki, S. Repair of denture base resin using woven metal and glass fiber: Effect of methylene chloride pretreatment. J. Prosthet. Dent. 2001, 85, 496–500. [Google Scholar] [CrossRef]
- Alkan, I.; Sertgöz, A.; Ekici, B. Influence of occlusal forces on stress distribution in preloaded dental implant screws. J. Prosthet. Dent. 2004, 91, 319–325. [Google Scholar] [CrossRef]
- Yu, H.Y.; Cai, C.Z.; Zhou, Z.R.; Zhu, M.H. Fretting behavior of cortical bone against titanium and its alloy. Wear 2005, 259, 910–918. [Google Scholar] [CrossRef]
- Grant, J.A.; Bishop, N.E.; Götzen, N.; Sprecher, C.; Honl, M.; Morlock, M.M. Artificial composite bone as a model of human trabecular bone: The implant-bone interface. J. Biomech. 2007, 40, 1158–1164. [Google Scholar] [CrossRef]
- Tribst, J.P.M.; de Morais, D.C.; Alonso, A.A.; Piva, A.M.O.D.; Borges, A.L.S. Comparative three-dimensional finite element analysis of implant-supported fixed complete arch mandibular prostheses in two materials. J. Indian Prosthodont. Soc. 2017, 17, 255–260. [Google Scholar]
- Tribst, J.P.; Kohn, B.M.; de Oliveira Dal Piva, A.M.; Spinola, M.S.; Borges, A.L.; Andreatta Filho, O.D. Influence of restoration thickness on the stress distribution of ultrathin ceramic onlay rehabilitating canine guidance: A 3D-finite element analysis. Minerva Stomatol. 2019, 68, 26–131. [Google Scholar] [CrossRef]
- Tribst, J.P.M.; Dal Piva, A.M.O.; Shibli, J.A.; Borges, A.L.S.; Tango, R.N. Influence of implantoplasty on stress distribution of exposed implants at different bone insertion levels. Braz. Oral. Res. 2017, 31, e96. [Google Scholar] [CrossRef]
- DeTolla, D.H.; Andreana, S.; Patra, A.; Buhite, R.; Comella, B. Role of the finite element model in dental implants. J. Oral. Implantol. 2000, 26, 77–81. [Google Scholar] [CrossRef]
- Coelho, L.F.; Broilo, J.R.; Sartori, E.A.; Mariano, L.O.; Geremia, T.; Barcellos, L.; Corso, L.L.; Shinkai, R.S.; Grossi, M.L. Stress distribution study using the finite element method in three different implant-supported fixed complete-arch mandibular prostheses. Int. J. Prosthodont. 2016, 29, 299–302. [Google Scholar] [CrossRef][Green Version]
- Sannino, G. All-on-4 concept: A 3-dimensional finite element analysis. J. Oral. Implantol. 2015, 41, 163–171. [Google Scholar] [CrossRef]
- Paniz, G.; Stellini, E.; Meneghello, R.; Cerardi, A.; Gobbato, E.A.; Bressan, E. The precision of fit of cast and milled full-arch implant-supported restorations. Int. J. Oral. Maxillofac. Implants 2013, 28, 687–693. [Google Scholar] [CrossRef]
- Geng, J.P.; Tan, K.B.; Liu, G.R. Application of finite element analysis in implant dentistry: A review of the literature. J. Prosthet. Dent. 2001, 85, 585–598. [Google Scholar] [CrossRef]
- Geringer, A.; Diebels, S.; Nothdurft, F.P. Influence of superstructure geometry on the mechanical behavior of zirconia implant abutments: A finite element analysis. Biomed. Tech. (Berl) 2014, 59, 501–506. [Google Scholar] [CrossRef]
- Lee, J.I.; Lee, Y.; Kim, Y.L.; Cho, H.W. Effect of implant number and distribution on load transfer in implant-supported partial fixed dental prostheses for the anterior maxilla: A photoelastic stress analysis study. J. Prosthet. Dent. 2016, 115, 161–169. [Google Scholar] [CrossRef]
- Zheng, X.; Li, X.; Tang, Z.; Gong, L.; Wang, D. Effect of the number and inclination of implant on stress distribution for mandibular full-arch fixed prosthesis. Zhonghua Kou Qiang Yi Xue Za Zhi 2014, 49, 339–342. [Google Scholar] [PubMed]
- Tribst, J.P.M.; Dal Piva, A.M.O.; Borges, A.L.S.; Bottino, M.A. Effect of implant number and height on the biomechanics of full arch prosthesis. Braz. J. Oral. Sci. 2018, 17, e18222. [Google Scholar] [CrossRef]
- Reilly, D.T.; Burstein, A.H. The elastic and ultimate properties of compact bone tissue. J. Biomech. 1975, 8, 393–405. [Google Scholar] [CrossRef]
- Soboyejo, W.O.; Shen, W.; Srivatsan, T.S. An investigation of fatigue crack nucleation and growth in a Ti–6Al–4V/TiB in situ composite. Mechanics of Materials 2004, 36, 141–159. [Google Scholar] [CrossRef]
- Frost, H.M. Wolff’s Law and bone’s structural adaptations to mechanical usage: An overview for clinicians. Angle. Orthod. 1994, 64, 175–188. [Google Scholar]
- Mounir, H.; Nizar, A.; Borhen, L.; Benamara, A.; Deneux, D. FEM simulation based on CAD model simplification: A comparison study between the hybrid method and the technique using a removing details. In Design and Modeling of Mechanical Systems. Lecture Notes in Mechanical Engineering, 1st ed.; Haddar, M., Romdhane, L., Louati, J., Ben Amara, A., Eds.; Springer: Berlin/Heidelberg, Germany, 2013; pp. 587–596. [Google Scholar]
- Hussein, L.A. A CT-based 3D-Finite element analysis of using zirconia prosthetic material as a full-arch hybrid fixed detachable mandibular prosthesis. J. Am. Sci. 2015, 11, 108–118. [Google Scholar]
- Abdulmajeed, A.A.; Lim, K.G.; Närhi, T.O.; Cooper, L.F. Complete-arch implant-supported monolithic zirconia fixed dental prostheses: A systematic review. J. Prosthet Dent. 2016, 115, 672–677. [Google Scholar] [CrossRef]
- Stimmelmayr, M.; Edelhoff, D.; Güth, J.F.; Erdelt, K.; Happe, A.; Beuer, F. Wear at the titanium-titanium and the titanium-zirconia implant-abutment interface: A comparative in vitro study. Dent. Mater. 2012, 28, 1215–1220. [Google Scholar] [CrossRef]
- Schierano, G.; Manzella, C.; Menicucci, G.; Parrotta, A.; Zanetti, E.M. Audenino AL. In vitro standardization of two different removal devices in cemented implant prosthesis. Clin. Oral Implants Res. 2016, 27, 1026–1030. [Google Scholar] [CrossRef]
- Lo Giudice, R.; Puleio, F.; Rizzo, D.; Alibrandi, A.; Lo Giudice, G.; Centofanti, A.; Fiorillo, L.; Di Mauro, D.; Nicita, F. Comparative investigation of cutting devices on bone blocks: An SEM morphological analysis. Appl. Sci. 2019, 9, 351. [Google Scholar] [CrossRef]
- Sripetchdanond, J.; Leevailoj, C. Wear of human enamel opposing monolithic zirconia, glass ceramic, and composite resin: An in vitro study. J. Prosthet Dent. 2014, 112, 1141–1150. [Google Scholar] [CrossRef]





| Material/Structure | Young’s Modulus (GPa) | Poisson Ratio |
|---|---|---|
| Titanium | 110 | 0.35 |
| CoCr | 220 | 0.30 |
| Cancellous bone | 1.37 | 0.30 |
| Cortical bone | 13.7 | 0.30 |
| Acrylic Resin | 2.7 | 0.35 |
| Variables | Conventional Design | Experimental Design |
|---|---|---|
| Bone microstrain | 1420 | 1260 |
| Prosthesis displacement | 0.023 | 0.017 |
| Stress on the framework | 24.31 | 13.27 |
| Stress on the prosthetic screw | 14.15 | 12.23 |
| Stress on the abutment | 23.23 | 13.17 |
| Stress on the abutment screw | 24.36 | 25.42 |
| Stress on the implant | 28.12 | 20.72 |
© 2020 by the authors. Licensee MDPI, Basel, Switzerland. This article is an open access article distributed under the terms and conditions of the Creative Commons Attribution (CC BY) license (http://creativecommons.org/licenses/by/4.0/).
Share and Cite
Tribst, J.P.M.; Dal Piva, A.M.d.O.; Lo Giudice, R.; Borges, A.L.S.; Bottino, M.A.; Epifania, E.; Ausiello, P. The Influence of Custom-Milled Framework Design for an Implant-Supported Full-Arch Fixed Dental Prosthesis: 3D-FEA Study. Int. J. Environ. Res. Public Health 2020, 17, 4040. https://doi.org/10.3390/ijerph17114040
Tribst JPM, Dal Piva AMdO, Lo Giudice R, Borges ALS, Bottino MA, Epifania E, Ausiello P. The Influence of Custom-Milled Framework Design for an Implant-Supported Full-Arch Fixed Dental Prosthesis: 3D-FEA Study. International Journal of Environmental Research and Public Health. 2020; 17(11):4040. https://doi.org/10.3390/ijerph17114040
Chicago/Turabian StyleTribst, João Paulo Mendes, Amanda Maria de Oliveira Dal Piva, Roberto Lo Giudice, Alexandre Luiz Souto Borges, Marco Antonio Bottino, Ettore Epifania, and Pietro Ausiello. 2020. "The Influence of Custom-Milled Framework Design for an Implant-Supported Full-Arch Fixed Dental Prosthesis: 3D-FEA Study" International Journal of Environmental Research and Public Health 17, no. 11: 4040. https://doi.org/10.3390/ijerph17114040
APA StyleTribst, J. P. M., Dal Piva, A. M. d. O., Lo Giudice, R., Borges, A. L. S., Bottino, M. A., Epifania, E., & Ausiello, P. (2020). The Influence of Custom-Milled Framework Design for an Implant-Supported Full-Arch Fixed Dental Prosthesis: 3D-FEA Study. International Journal of Environmental Research and Public Health, 17(11), 4040. https://doi.org/10.3390/ijerph17114040

