Effects of Temperature on the Characteristics of Nitrogen Removal and Microbial Community in Post Solid-Phase Denitrification Biofilter Process
Abstract
1. Introduction
2. Materials and Methods
2.1. Materials
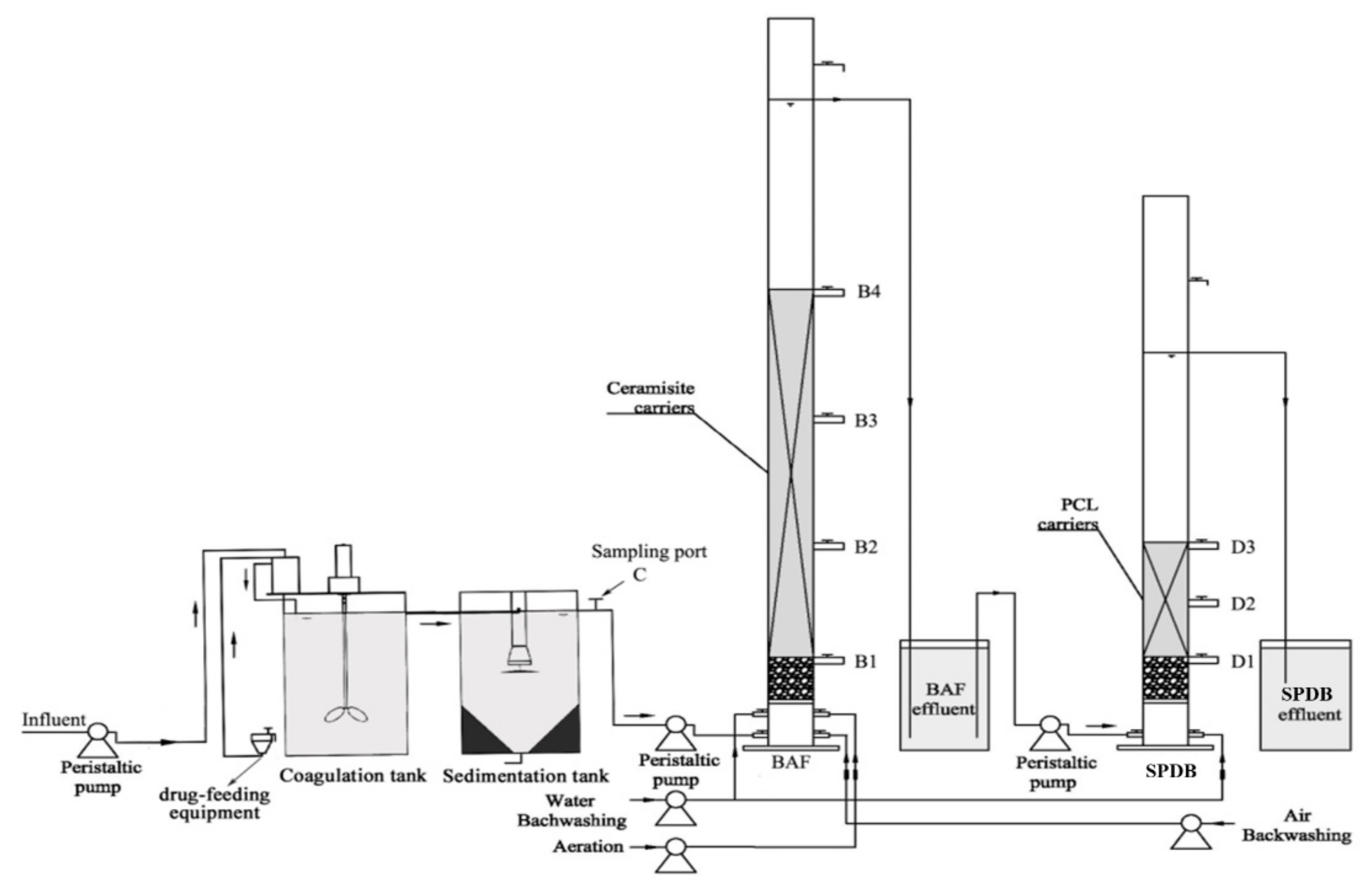
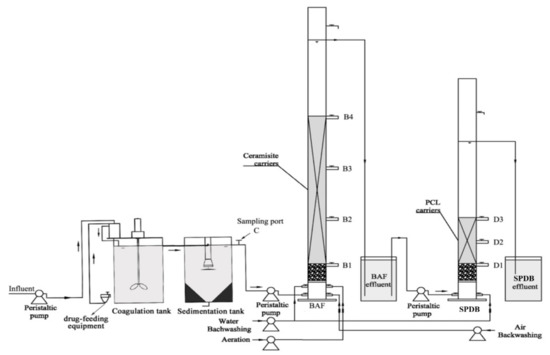
2.2. Experimental Apparatus
2.3. Experimental Procedure and Sampling Methods
2.4. Extraction of Sample Genomic DNA
2.5. PCR Amplification of 16S rDNA Fragments in Bacterial
2.6. Analysis of the PCR Products by Denaturing Gradient Gel Electrophoresis (DGGE)
- Fixed for 15 min with fixative (a constant volume of 500 mL with 50 mLC2H5OH and 2.5 mL CH3COOH).
- Cleaned with Milli-Q pure water, 20 s and 2 min each time.
- Stained for 15 min with silver dye (a constant volume of 500 mL with 1 g AgNO3 and 0.75 mL 37% HCHO).
- Cleaned with Milli-Q pure water for 20 s and 2 min each time.
- Colored for 5–7 min with color solution (a constant volume of 500 mL with 7.5 g NaOH and 2.5 mL 37% HCHO).
- Finally, the reaction was terminated with stop solution (a constant volume of 500 mL with 50 mL C2H5OH and 2.5 mL CH3COOH).
2.7. Recycling and Sequencing of the Dominant Bands in the DGGE Profiles
2.8. Data Analysis
3. Results and Discussion
3.1. The Influence of Temperature on Nitrogen Removal Efficiency of CS-BAF-SPDB
3.2. The Analysis of DGGE Profiles
3.3. Sequencing and Discussion
3.4. Characterization of Biofilm Carriers under Different Temperature by ESEM
4. Conclusions
- In the CS-BAF-SPDB combined process, to realize favorable nitrifying and denitrifying performance simultaneously in the BAF-SPDB unit, the temperature should be controlled above 18 °C when the influent C/N ratio and gas/water ratio of BAF is 3:1 and 4:1, respectively, and HRT of BAF and SPDB is 3.5 h and 1.5 h, respectively. The NH4+-N and TN removal efficiency of BAF-SPDB unit can reach more than 96.2% and 81.2% when the temperature is above 18 °C.
- In addition, the influence of the macro operation parameters on the performance of the BAF and SPDB has a direct relationship with the dynamic changes of the micro microbial community. The influence of temperature on nitrification performance in BAF is mainly embodied in the change of composition, amount and activity of ammonia oxidizing bacteria Candidatus Nitrospira defluvii and nitrite oxidizing bacteria Nitrosomonas sp. Denitrification performance of Nm47 in SPDB is mainly embodied in the change of composition and amount of solid carbon substrate degrading denitrifying bacteria Pseudomonas sp., Myxobacterium AT3-03 and heterotrophic denitrifying bacteria Dechloromonas agitate, Thauera aminoaromatica, Comamonas granuli and Rubrivivax gelatinosus. Meanwhile, the change of microbial community structure of heterotrophic nitrification and aerobic denitrification with operation conditions also plays a very important role in ensuring the stable nitrification and denitrification under low temperature.
Author Contributions
Funding
Acknowledgments
Conflicts of Interest
References
- Sun, S.P.; Nàcher, C.P.; Merkey, B.; Zhou, Q.; Xia, S.Q.; Yang, D.H.; Sun, J.H.; Smets, B.F. Effective biological nitrogen removal treatment processes for domestic wastewaters with low C/N ratios: A review. Environ. Eng. Sci. 2010, 27, 111–126. [Google Scholar] [CrossRef]
- Gooddy, D.C.; Lapworth, D.J.; Bennett, S.A.; Heaton, T.H.E.; Williams, P.J.; Surridge, B.W.J. A multi-stable isotope framework to understand eutrophication in aquatic ecosystems. Water Res. 2016, 88, 623–633. [Google Scholar] [CrossRef] [PubMed]
- Hao, W.; Miao, B.; Liu, P.P.; Huang, X.; Liang, P. Potential regulation accelerates element sulfur metabolism in sulfur autotrophic denitrification. J. Clean. Prod. 2019, 228, 94–100. [Google Scholar] [CrossRef]
- Qiu, Y.Y.; Zhang, L.; Mu, X.T.; Li, G.B.; Guan, X.Q.; Hong, J.Y.; Jiang, F. Overlooked pathways of denitrification in a sulfur-based denitrification system with organic supplementation. Water Res. 2019, 115084. [Google Scholar] [CrossRef]
- Wang, Q.B.; Chen, Q.W.; Chen, J. Optimizing external carbon source addition in domestics wastewater treatment based on online sensoring data and a numerical model. Water Sci. Technol. 2017, 75, 2716–2725. [Google Scholar] [CrossRef]
- Ying, C.; Zhen, P.Y.; Min, L.; Ping, G.Y.; Shu, Y.W. Non-filamentous activated sludge bulking in SBR treating the domestic wastewater. Acta Scien. Circum. 2005, 25, 105–108. [Google Scholar]
- Rother, E.; Cornel, P. Potentials and limits of a pre-denitrification/nitrification biofilter configuration for advanced municipal wastewater treatment. Water Sci. Technol. 2007, 55, 115–123. [Google Scholar] [CrossRef]
- Wang, J.L. Denitrification using PBS as carbon source and biofilm support in a packed-bed bioreactor. Environ. Sci. Pollut. Res. Int. 2013, 20, 333–339. [Google Scholar]
- Walters, E.; Hille, A.; He, M.; Ochmann, C.; Horn, H. Simultaneous nitrification/denitrification in a biofilm airlift suspension (BAS) reactor with biodegradable carrier material. Water Res. 2009, 43, 4461–4468. [Google Scholar] [CrossRef]
- Hille, A.; He, M.; Ochmann, C.; Neu, T.R.; Horn, H. Application of two component biodegradable carriers in a particle-fixed biofilm airlift suspension reactor: Development and structure of biofilms. Bioprocess Biosyst. Eng. 2009, 32, 31–39. [Google Scholar] [CrossRef]
- Ginige, M.P.; Wang, J.L. Comparison of polyurethane foam and biodegradable polymer as carriers in moving bed biofilm reactor for treating wastewater with a low C/N ratio. Chemosphere 2011, 83, 63–68. [Google Scholar]
- Shen, Z.Q.; Zhou, Y.X.; Liu, J.; Xiao, Y.; Cao, R.; Wu, F.P. Enhanced removal of nitrate using starch/PCL blends as solid carbon source in a constructed wetland. Bioresour. Technol. 2015, 175, 239–244. [Google Scholar] [CrossRef] [PubMed]
- Rodrigues, A.L.; Machado, A.V.; Nóbrega, J.M.; Albuquerque, A. A poly-ε-caprolactone based biofilm carrier for nitrate removal from water. Int. J. Environ. Sci. Technol. 2014, 11, 263–268. [Google Scholar] [CrossRef][Green Version]
- Llies, P.; Mavinic, D.S. The effect of decreased ambient temperature on the biological nitrification and denitrification of a high ammonia landfill leachate. Water Res. 2001, 35, 2065–2072. [Google Scholar]
- Ha, J.H.; Ong, S.K.; Surampalli, R.; Song, J.H. Temperature effects on nitrification in polishing biological aerated filters (BAFs). Environ. Technol. 2010, 31, 671–680. [Google Scholar] [CrossRef]
- Zhang, Q.; Ji, F.Y.; Fu, X.F.; Chen, Q.K. Effects of Gas/Water Ratio on the Characteristics of Nitrogen Removal and the Microbial Community in Post Solid-Phase Denitrification Biofilter Process. Huan Jing Ke Xue= Huanjing Kexue 2018, 39, 3297–3305. [Google Scholar]
- He, S.B.; Xue, G.; Kong, H.N. The performance of BAF using natural zeolite as filter media under conditions of low temperature and ammonium shock load. J. Hazard. Mater. 2007, 143, 291–295. [Google Scholar] [CrossRef]
- Antoniou, P.; Hamilton, J.; Koopman, B.; Jain, R.; Holloway, B.; Lyberatos, G. Effect of temperature and pH on the effective maximum specific growth rate of nitrifying bacteria. Water Res. 1990, 24, 97–101. [Google Scholar] [CrossRef]
- Wang, X.M.; Wang, J.L. Denitrification of nitrate-contaminated groundwater using biodegradable snack ware as carbon source under low-temperature condition. Int. J. Environ. Sci. Technol. 2012, 9, 113–118. [Google Scholar] [CrossRef][Green Version]
- Rusmana, I. Effects of temperature on denitrifying growth and nitrate reduction end products of comamonas testosteroni isolated from estuarine sediment. Microbiol. Indones. 2007, 1, 43–47. [Google Scholar] [CrossRef]
- Zhu, S.M.; Chen, S.L. The impact of temperature on nitrification rate in fixed film biofilters. Aquac. Eng. 2002, 26, 221–237. [Google Scholar] [CrossRef]
- Okabe, S.; Satoh, H.; Watanabe, Y. In situ analysis of nitrifying biofilms as determined by in situ hybridization and the use of microelectrodes. Appl. Environ. Microbiol. 1999, 65, 3182–3191. [Google Scholar] [PubMed]
- Kostan, J.; Sjöblom, B.; Maixner, F.; Mlynek, G.; Furtmüller, P.G.; Obinger, C. Structural and functional characterisation of the chlorite dismutase from the nitrite-oxidizing bacterium “candidatus nitrospira defluvii”: Identification of a catalytically important amino acid residue. J. Struct. Biol. 2010, 172, 0–342. [Google Scholar] [CrossRef] [PubMed]
- Su, J.F.; Zhang, K.; Huang, T.L.; Wen, G.; Guo, L.; Yang, S.F. Heterotrophic nitrification and aerobic denitrification at low nutrient conditions by a newly isolated bacterium, Acinetobacter sp. SYF26. Microbiology 2015, 161, 829–837. [Google Scholar] [CrossRef] [PubMed]
- Lin, Y.; Kong, H.N.; Wu, D.Y.; Li, C.J.; Wang, R.Y.; Tanaka, S. Physiological and molecular biological characteristics of heterotrophic ammonia oxidation by Bacillus sp. LY. World J. Microbiol. Biotechnol. 2010, 26, 1605–1612. [Google Scholar] [CrossRef]
- Zhao, B.; He, Y.L.; Joseph, H.; Zhang, X.F. Heterotrophic nitrogen removal by a newly isolated Acinetobacter calcoacetiticusi HNR. Bioresour. Technol. 2010, 101, 5194–5200. [Google Scholar] [CrossRef]
- Qin, W.; Li, W.G.; Huang, X.F.; Zhang, D.Y.; Song, Y. A proteomic analysis of heterotrophic nitrifying bacterium Acinetobacter sp. HITLi 7T adaptation to low temperature using two-dimensional difference gel electrophoresis approach. Int. Biodeterior. Biodegrad. 2016, 113, 113–119. [Google Scholar] [CrossRef]
- Huang, X.F.; Li, W.G.; Zhang, D.Y.; Qin, W. Ammonium removal by a novel oligotrophic Acinetobacter sp. Y16 capable of heterotrophic nitrification–aerobic denitrification at low temperature. Bioresour. Technol. 2013, 146, 44–50. [Google Scholar] [CrossRef]
- Kawahara, H. The structures and functions of ice crystal-controlling proteins from bacteria. J. Biosci. Bioeng. 2002, 94, 492–496. [Google Scholar] [CrossRef]
- Achenbach, L.A.; Michaelidou, U.; Bruce, R.A.; Fryman, J.; Coates, J.D. Dechloromonas agitata gen. nov. sp. nov., and Dechlorosoma suillum gen. nov., sp. nov. two novel environmentally dominant (per)chlorate-reducing bacteria and their phylogenetic position. Int. J. Syst. Evol. Microbiol. 2001, 51, 527–533. [Google Scholar] [CrossRef]
- Manucharova, N.A.; Dobrovol’Skaia, T.G.; Stepanov, A.L. Taxonomy of denitrifying bacteria in soddy podzolic soil. Mikrobiologiia 2000, 69, 286. [Google Scholar] [PubMed]
- Chen, C.; Ho, K.L.; Liu, F.C.; Ho, M.; Wang, A.; Ren, N. Autotrophic and heterotrophic denitrification by a newly isolated strain Pseudomonas sp. C27. Bioresour. Technol. 2013, 145, 351–356. [Google Scholar] [CrossRef] [PubMed]
- Ginige, M.P.; Keller, J.; Blackall, L.L. Investigation of an acetate-fed denitrifying microbial community by stable isotope probing, full-cycle rRNA analysis, and fluorescent in situ hybridization-microautoradiography. Appl. Environ. Microbiol. 2005, 71, 8683–8691. [Google Scholar] [CrossRef] [PubMed]
- Kim, K.H.; Ten, L.N.; Liu, Q.M.; Im, W.T.; Lee, S.T. Comamonas granuli sp. nov. isolated from granules used in a wastewater treatment plant. J. Microbiol. 2008, 46, 390–395. [Google Scholar] [CrossRef]
- Ichikawa, N.; Hanada, S.; Yamazaki, S.; Shimizu, T.; Fujita, N.; Sekine, M. Complete genome sequence of phototrophic betaproteobacterium Rubrivivax gelatinosus IL144. J. Bacteriol. 2012, 194, 3541–3542. [Google Scholar]
- Li, S.; Liu, L.; Garreau, H.; Vert, M. Lipase-catalyzed biodegradation of poly(ε-caprolactone) blended with various polylactide-based polymers. Biomacromolecules 2003, 4, 372–377. [Google Scholar] [CrossRef]
- Yao, S.; Ni, J.R.; Ma, T.; Li, C. Heterotrophic nitrification and aerobic denitrification at low temperature by a newly isolated bacterium, Acinetobacter sp. HA2. Bioresour. Technol. 2013, 139, 80–86. [Google Scholar] [CrossRef]
- Wu, W.Z.; Yang, L.H.; Wang, J.L. Denitrification performance and microbial diversity in a packed-bed bioreactor using PCL as carbon source and biofilm carrier. Appl. Microbiol. Biotechnol. 2013, 97, 2725–2733. [Google Scholar] [CrossRef]
- Wang, H.Y.; Zou, Z.C.; Chen, D.; Yang, K. Effects of temperature on aerobic denitrification in a bio-ceramsite reactor. Energy Sources Part A 2016, 38, 3236–3241. [Google Scholar] [CrossRef]






| Carrier Type | Product Mark | Appearance Shape | Density (g/mL) | Diameter (mm) | Height (mm) | Molecular Weight (Dalton) |
|---|---|---|---|---|---|---|
| Clay Ceramsite | PP-B 3.0 | pellet | 1.67 | 4–6 | - | - |
| PCL | 1400C | cylinder | 1.08 | 3 | 4 | 140,000 |
| Primer | Sequence |
|---|---|
| 338F | CCT ACG GGA GGC AGC AG |
| 518R | ATT ACC GCG GCT GCT GG |
| GC338F | CGCCCGGGGCGCGCCCCGGGGCGGGGCGGGGGCGCGGGGGG CCT ACG GGA GGC AGC AG |
| Reagent | 35% | 55% |
|---|---|---|
| 30% Acrylamide/Bis | 4 mL | 4 mL |
| 50 x TAE buffer | 0.3 mL | 0.3 mL |
| Formamide (deionized) | 2.1 mL | 3.3 mL |
| Urea | 2.205 g | 3.465 g |
| dH2O | To 15 mL | To 15 mL |
| APS | 120 μL | 120 μL |
| TEMED | 10 μL | 10 μL |
| The Analysis Results of DGGE Gel Bands Recovery Sequence | ||||
|---|---|---|---|---|
| Band Number | Similar Strain | Accession Number | Similarity | Classification |
| Band1 | Labilithrixluteola | NR_126182 | 98 | Proteobacteria Labilithrix |
| Band2 | uncultured bacterium | KC797661 | 99 | Bacteria; environmental samples |
| Band3 | Dechloromonasagitata | KF800710 | 98 | Proteobacteria Dechloromonas |
| Band4 | Lactococcus sp. R.M17 | HG937722 | 100 | Firmicutes Lactococcus |
| Band5 | Rubrivivaxgelatinosus | KF911343 | 99 | Proteobacteria Rubrivivax |
| Band6 | Gracilibacteria bacterium oral taxon 872 | JX294353 | 98 | Bacteria; Gracilibacteria |
| Band7 | Bosea sp. | AB974256 | 100 | Proteobacteria Bosea |
| Band8 | Nitrosomonas sp. Nm47 | AY123810 | 95 | Proteobacteria Nitrosomonas |
| Band9 | Acinetobacter sp. | KP636746 | 100 | Proteobacteria Acinetobacter |
| Band10 | Acinetobacter calcoaceticus | KR856228 | 100 | Proteobacteria Acinetobacter |
| Band11 | CandidatusNitrospiradefluvii | NR_074700 | 99 | Nitrospirae Nitrospira |
| Band12 | Acinetobacter bouvetii | KJ865593 | 100 | Proteobacteria Acinetobacter |
| Band13 | Bacillus sp. | KT452789 | 100 | Firmicutes Bacillus |
| The Analysis Results of DGGE Gel Bands Recovery Sequence | ||||
|---|---|---|---|---|
| Band Number | Similar Strain | Accession Number | Similarity | Classification |
| Band1 | Dechloromonasagitata | KF800710 | 98 | Proteobacteria Dechloromonas |
| Band2 | Myxobacterium AT3-03 | AB246770 | 96 | Proteobacteria Myxococcales |
| Band3 | Pseudomonas sp. | KP711533 | 100 | Proteobacteria Pseudomonas |
| Band4 | Thaueraaminoaromatica | FJ609688 | 100 | Proteobacteria Thauera |
| Band5 | uncultured bacterium | FJ229147 | 96 | Bacteria; environmental samples |
| Band6 | Bosea sp. | AB974256 | 100 | Proteobacteria Bosea |
| Band7 | Nitrosomonas sp. Nm47 | AY123810 | 95 | Proteobacteria Nitrosomonas |
| Band8 | Acinetobacter sp. | KP636746 | 100 | Proteobacteria Acinetobacter |
| Band9 | Comamonasgranuli | NR_114013 | 98 | Proteobacteria Comamonas |
| Band10 | Acinetobacter haemolyticus | KT260794 | 100 | Proteobacteria Acinetobacter |
| Band11 | Acinetobacter sp. | KT361093 | 100 | Proteobacteria Acinetobacter |
| Band12 | Rubrivivaxgelatinosus | NR_074794 | 99 | Proteobacteria Rubrivivax |
| Band13 | Bacillus sp. | KT452789 | 100 | Firmicutes Bacillus |
| Band14 | Thiobacillusaquaesulis | LN794608 | 99 | Proteobacteria Thiobacillus |
© 2019 by the authors. Licensee MDPI, Basel, Switzerland. This article is an open access article distributed under the terms and conditions of the Creative Commons Attribution (CC BY) license (http://creativecommons.org/licenses/by/4.0/).
Share and Cite
Zhang, Q.; Chen, X.; Luo, W.; Wu, H.; Liu, X.; Chen, W.; Tang, J.; Zhang, L. Effects of Temperature on the Characteristics of Nitrogen Removal and Microbial Community in Post Solid-Phase Denitrification Biofilter Process. Int. J. Environ. Res. Public Health 2019, 16, 4466. https://doi.org/10.3390/ijerph16224466
Zhang Q, Chen X, Luo W, Wu H, Liu X, Chen W, Tang J, Zhang L. Effects of Temperature on the Characteristics of Nitrogen Removal and Microbial Community in Post Solid-Phase Denitrification Biofilter Process. International Journal of Environmental Research and Public Health. 2019; 16(22):4466. https://doi.org/10.3390/ijerph16224466
Chicago/Turabian StyleZhang, Qian, Xue Chen, Wandong Luo, Heng Wu, Xiangyang Liu, Wang Chen, Jianhong Tang, and Lijie Zhang. 2019. "Effects of Temperature on the Characteristics of Nitrogen Removal and Microbial Community in Post Solid-Phase Denitrification Biofilter Process" International Journal of Environmental Research and Public Health 16, no. 22: 4466. https://doi.org/10.3390/ijerph16224466
APA StyleZhang, Q., Chen, X., Luo, W., Wu, H., Liu, X., Chen, W., Tang, J., & Zhang, L. (2019). Effects of Temperature on the Characteristics of Nitrogen Removal and Microbial Community in Post Solid-Phase Denitrification Biofilter Process. International Journal of Environmental Research and Public Health, 16(22), 4466. https://doi.org/10.3390/ijerph16224466
