Achyranthis radix Extract Improves Urban Particulate Matter-Induced Dry Eye Disease
Abstract
1. Introduction
2. Materials and Methods
2.1. UPM Sample
2.2. Preparation of ARE
2.3. HPLC Conditions
2.4. Animals
2.5. Animal Experimental Design
2.6. Tear Production
2.7. Corneal Irregularity Score
2.8. Terminal Deoxynucleotidyl Transferase Deoxy Uridine Triphosphate Nick End Labeling (TUNEL)
2.9. Immunohistochemistry
2.10. Periodic Acid-Schiff (PAS) Staining
2.11. Statistical Analysis
3. Results
3.1. HPLC Analysis of ARE
3.2. Administratoin of ARE Restored Tear Secretion
3.3. Administration of ARE Restored Corneal Smoothness
3.4. Protective Effect of ARE on the Corneal Epithelial Cells
3.5. ARE Restored rMuc4 Expression on Corneal Surface
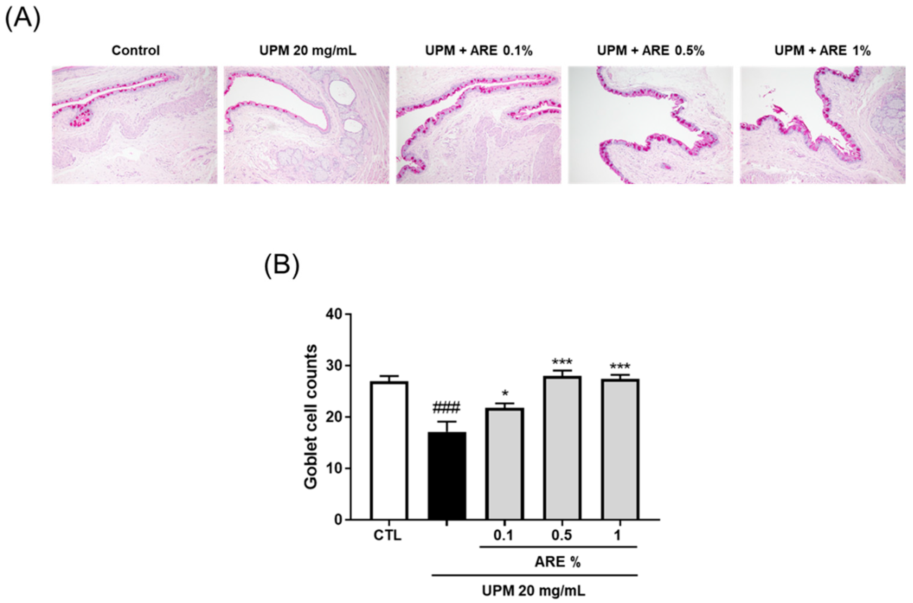
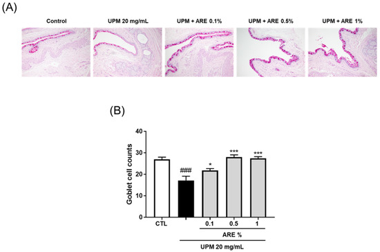
3.6. ARE Increased Goblet Cell Density
4. Discussion
5. Conclusions
Author Contributions
Funding
Conflicts of Interest
References
- Hessen, M.; Akpek, E.K. Dry eye: An inflammatory ocular disease. J. Ophthalmic Vis. Res. 2014, 9, 240–250. [Google Scholar] [PubMed]
- Craig, J.P.; Nichols, K.K.; Akpek, E.K.; Caffery, B.; Dua, H.S.; Joo, C.-K.; Liu, Z.; Nelson, J.D.; Nichols, J.J.; Tsubota, K.; et al. TFOS DEWS II Definition and Classification Report. Ocul. Surf. 2017, 15, 276–283. [Google Scholar] [CrossRef] [PubMed]
- McDermott, A.M.; Perez, V.; Huang, A.J.; Pflugfelder, S.C.; Stern, M.E.; Baudouin, C.; Beuerman, R.W.; Burns, A.R.; Calder, V.L.; Calonge, M.; et al. Pathways of corneal and ocular surface inflammation: A perspective from the cullen symposium. Ocul. Surf. 2005, 3, S131–S138. [Google Scholar] [CrossRef]
- Yamaguchi, T. Inflammatory Response in Dry Eye. Investig. Ophthalmol. Vis. Sci. 2018, 59, Des192–Des199. [Google Scholar] [CrossRef] [PubMed]
- Knop, E.; Knop, N.; Millar, T.; Obata, H.; Sullivan, D.A. The International Workshop on Meibomian Gland Dysfunction: Report of the Subcommittee on Anatomy, Physiology, and Pathophysiology of the Meibomian Gland. Investig. Ophthalmol. Vis. Sci. 2011, 52, 1938–1978. [Google Scholar] [CrossRef]
- Dartt, D.A. Interaction of EGF family growth factors and neurotransmitters in regulating lacrimal gland secretion. Exp. Eye Res. 2004, 78, 337–345. [Google Scholar] [CrossRef]
- Hodges, R.R.; Dartt, D.A. Tear film mucins: Front line defenders of the ocular surface; comparison with airway and gastrointestinal tract mucins. Exp. Eye Res. 2013, 117, 62–78. [Google Scholar] [CrossRef] [PubMed]
- Gipson, I.K.; Hori, Y.; Argüeso, P. Character of Ocular Surface Mucins and Their Alteration in Dry Eye Disease. Ocul. Surf. 2004, 2, 131–148. [Google Scholar] [CrossRef]
- Ji Jung, S.; Mehta, J.; Tong, L. Effects of environment pollution on the ocular surface. Ocul. Surf. 2018, 16, 198–205. [Google Scholar] [CrossRef]
- Shoenfelt, J.; Mitkus, R.J.; Zeisler, R.; Spatz, R.O.; Powell, J.; Fenton, M.J.; Squibb, K.A.; Medvedev, A.E. Involvement of TLR2 and TLR4 in inflammatory immune responses induced by fine and coarse ambient air particulate matter. J. Leukoc. Biol. 2009, 86, 303–312. [Google Scholar] [CrossRef]
- Yoon, S.; Han, S.; Jeon, K.J.; Kwon, S. Effects of collected road dusts on cell viability, inflammatory response, and oxidative stress in cultured human corneal epithelial cells. Toxicol. Lett. 2018, 284, 152–160. [Google Scholar] [CrossRef] [PubMed]
- Xiang, P.; Liu, R.Y.; Sun, H.J.; Han, Y.H.; He, R.W.; Cui, X.Y.; Ma, L.Q. Molecular mechanisms of dust-induced toxicity in human corneal epithelial cells: Water and organic extract of office and house dust. Environ. Int. 2016, 92, 348–356. [Google Scholar] [CrossRef] [PubMed]
- Li, J.; Tan, G.; Ding, X.; Wang, Y.; Wu, A.; Yang, Q.; Ye, L.; Shao, Y. A mouse dry eye model induced by topical administration of the air pollutant particulate matter 10. Biomed. Pharmacother. 2017, 96, 524–534. [Google Scholar] [CrossRef] [PubMed]
- Han, J.Y.; Kang, B.; Eom, Y.; Kim, H.M.; Song, J.S. Comparing the Effects of Particulate Matter on the Ocular Surfaces of Normal Eyes and a Dry Eye Rat Model. Cornea 2017, 36, 605–610. [Google Scholar] [CrossRef] [PubMed]
- Tan, G.; Li, J.; Yang, Q.; Wu, A.; Qu, D.-Y.; Wang, Y.; Ye, L.; Bao, J.; Shao, Y. Air pollutant particulate matter 2.5 induces dry eye syndrome in mice. Sci. Rep. 2018, 8, 17828. [Google Scholar] [CrossRef] [PubMed]
- Kim, Y.-H.; Park, H. Study on the Anti-Inflammatory Activity and Mechanism of Medicinal Plants Used in the Treatment of Arthritis. Korean J. Clin. Lab. Sci. 2016, 48, 176–182. [Google Scholar] [CrossRef][Green Version]
- Yang, L.; Hou, A.-J.; Yan, M.-L.; Xing, X.-D.; Guo, X.-Y.; Jiang, H.; Yang, B.-Y.; Chan, K.; Wang, Q.-H.; Kuang, H.-X. Investigation of radix achyranthis bidentatae phytochemistry and pharmacology. World J. Tradit. Chin. Med. 2019, 5, 50–60. [Google Scholar]
- Baudouin, C.; Irkec, M.; Messmer, E.M.; Benitez-Del-Castillo, J.M.; Bonini, S.; Figueiredo, F.C.; Geerling, G.; Labetoulle, M.; Lemp, M.; Rolando, M.; et al. Clinical impact of inflammation in dry eye disease: Proceedings of the ODISSEY group meeting. Acta Ophthalmol. 2018, 96, 111–119. [Google Scholar] [CrossRef]
- Phadatare, S.P.; Momin, M.; Nighojkar, P.; Askarkar, S.; Singh, K.K. A Comprehensive Review on Dry Eye Disease: Diagnosis, Medical Management, Recent Developments, and Future Challenges. Adv. Pharm. 2015, 2015, 12. [Google Scholar] [CrossRef]
- Szyszkowicz, M.; Kousha, T.; Castner, J. Air pollution and emergency department visits for conjunctivitis: A case-crossover study. Int. J. Occup. Med. Environ. Health 2016, 29, 381–393. [Google Scholar] [CrossRef]
- Mimura, T.; Ichinose, T.; Yamagami, S.; Fujishima, H.; Kamei, Y.; Goto, M.; Takada, S.; Matsubara, M. Airborne particulate matter (PM2.5) and the prevalence of allergic conjunctivitis in Japan. Sci. Total Environ. 2014, 487, 493–499. [Google Scholar] [CrossRef] [PubMed]
- Yang, Q.; Li, K.; Li, D.; Zhang, Y.; Liu, X.; Wu, K. Effects of fine particulate matter on the ocular surface: An in vitro and in vivo study. Biomed. Pharmacother. 2019, 117, 109177. [Google Scholar] [CrossRef] [PubMed]
- van Voorhis, M.; Knopp, S.; Julliard, W.; Fechner, J.H.; Zhang, X.; Schauer, J.J.; Mezrich, J.D. Exposure to Atmospheric Particulate Matter Enhances Th17 Polarization through the Aryl Hydrocarbon Receptor. PLoS ONE 2013, 8, e82545. [Google Scholar] [CrossRef] [PubMed]
- Gawda, A.; Majka, G.; Nowak, B.; Śróttek, M.; Walczewska, M.; Marcinkiewicz, J. Air particulate matter SRM 1648a primes macrophages to hyperinflammatory response after LPS stimulation. Inflamm. Res. 2018, 67, 765–776. [Google Scholar] [CrossRef] [PubMed]
- Mitkus, R.J.; Powell, J.L.; Zeisler, R.; Squibb, K.S. Comparative physicochemical and biological characterization of NIST Interim Reference Material PM2.5 and SRM 1648 in human A549 and mouse RAW264.7 cells. Toxicol. In Vitro 2013, 27, 2289–2298. [Google Scholar] [CrossRef] [PubMed]
- Schneider, J.C.; Card, G.L.; Pfau, J.C.; Holian, A. Air Pollution Particulate SRM 1648 Causes Oxidative Stress in RAW 264.7 Macrophages Leading to Production of Prostaglandin E2, a Potential Th2 Mediator. Inhal. Toxicol. 2005, 17, 871–877. [Google Scholar] [CrossRef]
- Barabino, S.; Dana, M.R. Animal Models of Dry Eye: A Critical Assessment of Opportunities and Limitations. Investig. Ophthalmol. Vis. Sci. 2004, 45, 1641–1646. [Google Scholar] [CrossRef]
- Lollett, I.V.; Galor, A. Dry eye syndrome: Developments and lifitegrast in perspective. Clin. Ophthalmol. 2018, 12, 125–139. [Google Scholar] [CrossRef]
- Fu, Q.; Lyu, D.; Zhang, L.; Qin, Z.; Tang, Q.; Yin, H.; Lou, X.; Chen, Z.; Yao, K. Airborne particulate matter (PM2.5) triggers autophagy in human corneal epithelial cell line. Environ. Pollut. 2017, 227, 314–322. [Google Scholar] [CrossRef]
- Park, E.J.; Chae, J.B.; Lyu, J.; Yoon, C.; Kim, S.; Yeom, C.; Kim, Y.; Chang, J. Ambient fine particulate matters induce cell death and inflammatory response by influencing mitochondria function in human corneal epithelial cells. Environ. Res. 2017, 159, 595–605. [Google Scholar] [CrossRef]
- Fujishima, H.; Satake, Y.; Okada, N.; Kawashima, S.; Matsumoto, K.; Saito, H. Effects of diesel exhaust particles on primary cultured healthy human conjunctival epithelium. Ann. Allergy Asthma Immunol. 2013, 110, 39–43. [Google Scholar] [CrossRef] [PubMed]
- Shirai, K.; Saika, S. Ocular surface mucins and local inflammation—Studies in genetically modified mouse lines. BMC Ophthalmol. 2015, 15, 154. [Google Scholar] [CrossRef] [PubMed][Green Version]
- Albertsmeyer, A.C.; Kakkassery, V.; Spurr-Michaud, S.; Beeks, O.; Gipson, I.K. Effect of pro-inflammatory mediators on membrane-associated mucins expressed by human ocular surface epithelial cells. Exp. Eye Res. 2010, 90, 444–451. [Google Scholar] [CrossRef] [PubMed]
- Corrales, R.M.; Narayanan, S.; Fernández, I.; Mayo, A.; Galarreta, D.J.; Fuentes-Páez, G.; Chaves, F.J.; Herreras, J.M.; Calonge, M. Ocular Mucin Gene Expression Levels as Biomarkers for the Diagnosis of Dry Eye Syndrome. Investig. Ophthalmol. Vis. Sci. 2011, 52, 8363–8369. [Google Scholar] [CrossRef] [PubMed]
- Kim, C.E.; Kleinman, H.K.; Sosne, G.; Ousler, G.W.; Kim, K.; Kang, S.; Yang, J. RGN-259 (thymosin β4) improves clinically important dry eye efficacies in comparison with prescription drugs in a dry eye model. Sci. Rep. 2018, 8, 10500. [Google Scholar] [CrossRef] [PubMed]
- Wu, X.; Wang, W.J. Protective effect of ecdysterone against sodium arsenite-induced endothelial cell apoptosis. Di 1 Jun Yi Da Xue Xue Bao = Acad. J. First Med. Coll. PLA 2003, 23, 1219–1221. [Google Scholar]
- Zhang, X.; Xu, X.; Xu, T.; Qin, S. β-Ecdysterone suppresses interleukin-1beta-induced apoptosis and inflammation in rat chondrocytes via inhibition of NF-kappaB signaling pathway. Drug Dev. Res. 2014, 75, 195–201. [Google Scholar] [PubMed]






© 2019 by the authors. Licensee MDPI, Basel, Switzerland. This article is an open access article distributed under the terms and conditions of the Creative Commons Attribution (CC BY) license (http://creativecommons.org/licenses/by/4.0/).
Share and Cite
Lee, T.G.; Hyun, S.-W.; Jo, K.; Park, B.; Lee, I.S.; Song, S.J.; Kim, C.-S. Achyranthis radix Extract Improves Urban Particulate Matter-Induced Dry Eye Disease. Int. J. Environ. Res. Public Health 2019, 16, 3229. https://doi.org/10.3390/ijerph16183229
Lee TG, Hyun S-W, Jo K, Park B, Lee IS, Song SJ, Kim C-S. Achyranthis radix Extract Improves Urban Particulate Matter-Induced Dry Eye Disease. International Journal of Environmental Research and Public Health. 2019; 16(18):3229. https://doi.org/10.3390/ijerph16183229
Chicago/Turabian StyleLee, Tae Gu, Soo-Wang Hyun, Kyuhyung Jo, Bongkyun Park, Ik Soo Lee, Su Jeong Song, and Chan-Sik Kim. 2019. "Achyranthis radix Extract Improves Urban Particulate Matter-Induced Dry Eye Disease" International Journal of Environmental Research and Public Health 16, no. 18: 3229. https://doi.org/10.3390/ijerph16183229
APA StyleLee, T. G., Hyun, S.-W., Jo, K., Park, B., Lee, I. S., Song, S. J., & Kim, C.-S. (2019). Achyranthis radix Extract Improves Urban Particulate Matter-Induced Dry Eye Disease. International Journal of Environmental Research and Public Health, 16(18), 3229. https://doi.org/10.3390/ijerph16183229

