Protective Action of Carica papaya on β-Cells in Streptozotocin-Induced Diabetic Rats
Abstract
1. Introduction
2. Materials and Methods
2.1. Chemical Compounds and Plant Subsection
2.2. Preparation of Carica Papaya Leaf Extract
2.3. Animals
2.4. Induction of Diabetes
2.5. Experimental Design
- Group 1:
- Normal control (NC).
- Group 2:
- Normal rats that received 62 mg/kg/day of CPLE (NC + CPLE62)
- Group 3:
- Diabetic control (DC)
- Group 4:
- Diabetic rats that received 31 mg/kg/day of CPLE (D + CPLE31)
- Group 5:
- Diabetic rats that received 62 mg/kg/day of CPLE (D + CPLE62)
- Group 6:
- Diabetic rats that received 125 mg/kg/day of CPLE (D + CPLE125)
- Group 7:
- Diabetic rats that received 5 IU/kg/day of insulin (D + I)
2.6. Determination of Fasting Blood Glucose and Insulin
2.7. Isolation of Islets and Insulin Assay
2.8. Histopathological Studies
2.9. Immunohistochemical Analysis
2.10. Statistics Analysis
3. Results
3.1. Determination of Fasting Blood Glucose and Insulin
3.2. Insulin Basal Release by the Pancreatic Islets
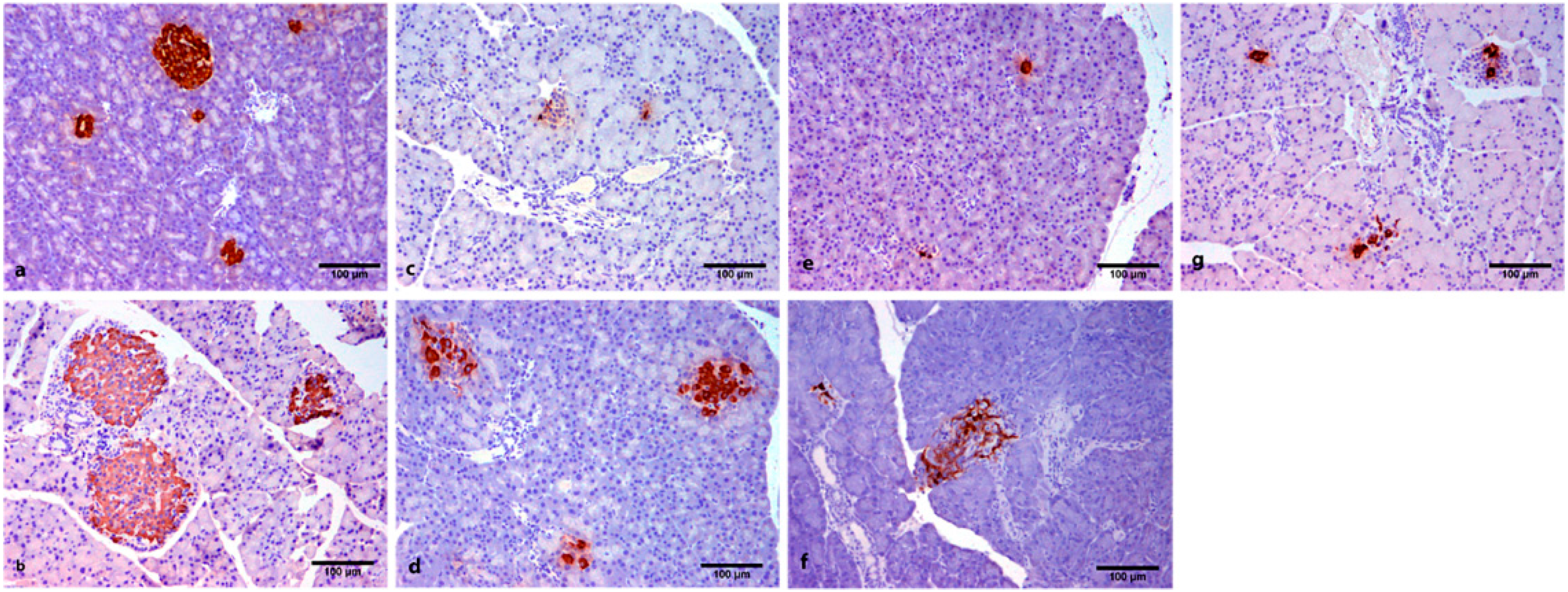
3.3. Islets Microscopy and Insulin Immunohistochemistry
4. Discussion
4.1. Determination of Fasting Blood Glucose and Serum Insulin
4.2. Insulin Basal Release by the Pancreatic Islets
4.3. Effect of C. papaya on Histopathological and Insulin Immunohistochemistry Studies
5. Conclusions
Acknowledgments
Author Contributions
Conflicts of Interest
Abbreviations
| DM | Diabetes mellitus |
| CPLE | Carica papaya leaf extract |
| NC | Normal control |
| D | Diabetic |
| STZ | Streptozotocin |
| IOD | Integrated optical density |
| HE | Hematoxylin and eosin |
| PEG | Polyethylene glycol |
| DAB | Diaminobenzidine |
| PBS | Phosphate buffered saline |
| HBSS | Hank’s balanced salt solution |
References
- Lindskog, C.; Korsgren, O.; Pontén, F.; Eriksson, J.W.; Johansson, L.; Danielsson, A. Novel pancreatic beta cell-specific proteins: Antibody-based proteomics for identification of new biomarker candidates. J. Proteom. 2012, 75, 2611–2620. [Google Scholar] [CrossRef] [PubMed]
- Talchai, C.; Xuan, S.; Lin, H.V.; Sussel, L.; Accili, D. Pancreatic β cell dedifferentiation as a mechanism of diabetic β cell failure. Cell 2012, 150, 1223–1234. [Google Scholar] [CrossRef] [PubMed]
- Halban, P.A. 50 years forward: Beta cells. Diabetologia 2015, 58, 1688–1692. [Google Scholar] [CrossRef] [PubMed]
- Schmidt, B.; Ribnicky, D.M.; Poulev, A.; Logendra, S.; Cefalu, W.T.; Raskin, I. A natural history of botanical therapeutics. Metabolism 2008, 57, S3–S9. [Google Scholar] [CrossRef] [PubMed]
- Modak, M.; Dixit, P.; Londhe, J.; Ghaskadbi, S.; Devasagayam, T.P. Indian herbs and herbal drugs used for the treatment of diabetes. J. Clin. Biochem. Nutr. 2007, 40, 163–173. [Google Scholar] [CrossRef] [PubMed]
- Indran, M.; Mahmood, A.A.; Kuppusamy, U.R. Protective effect of Carica papaya L leaf extract against alcohol induced acute gastric damage and blood oxidative stress in rats. West Indian Méd. J. 2015, 57, 323–326. [Google Scholar]
- Mahmood, A.A.; Sidik, K.; Salmah, I. Wound healing activity of Carica papaya L. aqueous leaf extract in rats. Int. J. Mol. Sci. 2005, 1, 398–401. [Google Scholar]
- Otsuki, N.; Dang, N.H.; Kumagai, E.; Kondo, A.; Iwata, S.; Morimoto, C. Aqueous extract of Carica papaya leaves exhibits anti-tumor activity and immunomodulatory effects. J. Ethnopharmacol. 2010, 127, 760–767. [Google Scholar] [CrossRef] [PubMed]
- Sasidharan, S.; Sumathi, V.; Jegathambigai, N.R.; Latha, L.Y. Antihyperglycaemic effects of ethanol extracts of Carica papaya and Pandanus amaryfollius leaf in streptozotocin-induced diabetic mice. Nat. Prod. Res. 2011, 25, 1982–1987. [Google Scholar] [CrossRef] [PubMed]
- Courteix, C.; Bardin, M.; Chantelauze, C.; Lavarenne, J.; Eschalier, A. Study of the sensitivity of the diabetes-induced pain model in rats to a range of analgesics. Pain 1994, 57, 153–160. [Google Scholar] [CrossRef]
- Ramya, P.; Lakshmidevi, N.; Jayashree, K.; Suresh, R.N. Evaluation of anti-diabetic effect of Trigonella foenum graecum Linn. Leaf extract in streptozotocin induced diabetic rats. Int. J. Diabetes Dev. Ctries. 2012, 32, 138–144. [Google Scholar]
- Skelin, M.; Rupnik, M.; Cencic, A. Pancreatic beta cell lines and their applications in diabetes mellitus research. ALTEX 2010, 27, 105–113. [Google Scholar] [PubMed]
- Piñón-Zárate, G.; Herrera-Enríquez, M.A.; Hernández-Téllez, B.; Jarquín-Yáñez, K.; Castell-Rodríguez, A.E. GK-1 improves the immune response induced by bone marrow dendritic cells loaded with MAGE-AX in mice with melanoma. J. Immunol. Res. 2014, 2014. [Google Scholar] [CrossRef] [PubMed]
- Cemek, M.; Kağa, S.; Simşek, N.; Büyükokuroğlu, M.E.; Konuk, M. Antihyperglycemic and antioxidative potential of Matricaria chamomilla L. in streptozotocin-induced diabetic rats. J. Nat. Med. 2008, 62, 284–293. [Google Scholar] [CrossRef] [PubMed]
- Kumkrai, P.; Weeranantanapan, O.; Chudapongse, N. Antioxidant, α-glucosidase inhibitory activity and sub-chronic toxicity of Derris reticulata extract: Its antidiabetic potential. BMC Complement. Altern. Med. 2015, 15. [Google Scholar] [CrossRef] [PubMed]
- Florence, N.T.; Benoit, M.Z.; Jonas, K.; Alexandra, T.; Désiré, D.D.; Pierre, K.; Théophile, D. Antidiabetic and antioxidant effects of Annonamuricata (Annonaceae), aqueous extract on streptozotocin-induced diabetic rats. J. Ethnopharmacol. 2014, 151, 784–790. [Google Scholar] [CrossRef] [PubMed]
- Mohamed, E.A.; Yam, M.F.; Ang, L.F.; Mohamed, A.J.; Asmawi, M.Z. Antidiabetic properties and mechanism of action of Orthosiphon stamineus Benth bioactive sub-fraction in streptozotocin-induced diabetic rats. J. Acupunct. Meridian Stud. 2013, 6, 31–40. [Google Scholar] [CrossRef] [PubMed]
- Ding, Y.; Zhang, Z.; Dai, X.; Jiang, Y.; Bao, L.; Li, Y.; Li, Y. Grape seed proanthocyanidins ameliorate pancreatic beta-cell dysfunction and death in low-dose streptozotocin- and high-carbohydrate/high-fat diet-induced diabetic rats partially by regulating endoplasmic reticulum stress. Nutr. Metab. 2013, 10. [Google Scholar] [CrossRef] [PubMed]
- Sharma, B.R.; Rhyu, D.Y. Lespedeza davurica (Lax.) Schindl. Extract protects against cytokine-induced β-cell damage and streptozotocin-induced diabetes. Biomed. Res. Int. 2015, 2015. [Google Scholar] [CrossRef] [PubMed]
- Subash-Babu, P.; Ignacimuthu, S.; Alshatwi, A.A. Nymphayol increases glucose-stimulated insulin secretion by RIN-5F cells and GLUT4-mediated insulin sensitization in type 2 diabetic rat liver. ChemBiol. Interact. 2015, 226, 72–81. [Google Scholar] [CrossRef] [PubMed]
- De, D.; Chatterjee, K.; Ali, K.M.; Bera, T.K.; Ghosh, D. Antidiabetic Potentiality of the Aqueous-Methanolic Extract of Seed of Swieteniamahagoni (L.) Jacq. InStreptozotocin-Induced Diabetic Male Albino Rat: A Correlative and Evidence-BasedApproach with Antioxidative and Antihyperlipidemic Activities. Evid. Based Complement. Altern. Med. 2011, 2011. [Google Scholar] [CrossRef] [PubMed]
- Govindaraj, J.; Sorimuthu Pillai, S. Rosmarinic acid modulates the antioxidant status and protects pancreatic tissues from glucolipotoxicity mediated oxidative stress in high-fat diet: Streptozotocin-induced diabetic rats. Mol. Cell. Biochem. 2015, 404, 143–159. [Google Scholar] [CrossRef] [PubMed]
- Li, W.L.; Zheng, H.C.; Bukuru, J.; De Kimpe, N. Natural medicines used in the traditional Chinese medical system for therapy of diabetes mellitus. J. Ethnopharmacol. 2004, 92, 1–21. [Google Scholar] [CrossRef] [PubMed]
- Sur, T.K.; Hazra, A.K.; Bhattacharyya, D.; Hazra, A. Antiradical and antidiabeticproperties of standardized extract of Sunderban mangrove Rhizophora mucronata. Pharmacogn. Mag. 2015, 11, 389–394. [Google Scholar] [CrossRef] [PubMed]
- Aggarwal, S.; Shailendra, G.; Ribnicky, D.M.; Burk, D.; Karki, N.; Qingxia Wang, M.S. An extract of Artemisia dracunculus L. Stimulates insulin secretion from β cells, activates AMPK and suppresses inflammation. J. Ethnopharmacol. 2015, 170, 98–105. [Google Scholar] [CrossRef] [PubMed]
- Juárez-Rojop, I.E.; Díaz-Zagoya, J.C.; Ble-Castillo, J.L.; Miranda-Osorio, P.H.; Castell-Rodríguez, A.E.; Tovilla-Zárate, C.A.; Rodríguez-Hernández, A.; Aguilar-Mariscal, H.; Ramón-Frías, T.; Bermúdez-Ocaña, D.Y. Hypoglycemic effect of Carica papaya leaves in streptozotocin-induced diabetic rats. BMC Complement. Altern. Med. 2012, 12. [Google Scholar] [CrossRef] [PubMed]
- Young, I.S.; Woodside, J.V. Antioxidants in health and disease. J. Clin. Pathol. 2001, 54, 176–186. [Google Scholar] [CrossRef] [PubMed]
- Sheweita, S.A.; Mashaly, S.; Newairy, A.A.; Abdou, H.M.; Eweda, S.M. Changes in Oxidative Stress and Antioxidant Enzyme Activities in Streptozotocin-Induced Diabetes Mellitus in Rats: Role of Alhagi maurorum Extracts. Oxid. Med. Cell. Longev. 2016, 2016. [Google Scholar] [CrossRef] [PubMed]
- Gogna, N.; Hamid, N.; Dorai, K. Metabolomic profiling of the phytomedicinal constituents of Carica papaya L. leaves and seeds by 1H NMR spectroscopy and multivariate statistical analysis. J. Pharm Biomed. Anal. 2015, 115, 74–85. [Google Scholar] [CrossRef] [PubMed]

| Group | Insulin (ng/mL) | Insulin (ng/mL) STZ (6 mg) Added Simultaneously with CPLE | Insulin (ng/mL) SZT (6 mg) Added 5 Days after CPLE |
|---|---|---|---|
| None | 9.76 ± 1.07 | ||
| SZT | 0.93 ± 0.44 a | ||
| CPLE | 11.9 ± 1.07 b | ||
| CPLE 3 mg + SZT | 5.26 ± 0.30 a | 12.47 ± 0.16 a,c | |
| CPLE 6 mg + SZT | 2.70 ± 0.69 a | 12.70 ± 0.15 a,c | |
| CPLE 12 mg + SZT | 0.95 ± 0.20 | 12.85 + 0.20 a,c |
| Group | Islet Area (μm2) | Diameter (μm) | Labeled Area (μm2) | IOD |
|---|---|---|---|---|
| N | 2283 ± 263.2 | 93.9 ± 4.1 | 1690 ± 286.4 | 1386.8 ± 231.1 |
| N + CPLE62 | 11,410 ± 4116 a | 246.5 ± 56.2 a | 1077 ± 762.2 | 688 ± 554.8 a |
| D | 457.8 ± 116.9 a | 41.3 ± 18.5 a | 225.4 ± 107.2 a | 164.9 ± 94 a |
| D + I | 17,044 ± 2420 b | 308.4 ± 59.6 b | 373 ± 169 b | 289 ± 93 b |
| D + CPLE31 | 17,300 ± 5390 b | 330.7 ± 77.5 b | 420.5 ± 144.4 b | 298 ± 125.1 b |
| D + CPLE62 | 17,787 ± 4782 b | 335 ± 66.7 b | 269.4 ± 62.5 | 165.3 ± 34.0 |
| D + CPLE125 | 8850 ± 1183 b | 212.2 ± 11.5 b | 59.8 ± 9.3 | 29.3 ± 5.5 |
© 2016 by the authors; licensee MDPI, Basel, Switzerland. This article is an open access article distributed under the terms and conditions of the Creative Commons Attribution (CC-BY) license (http://creativecommons.org/licenses/by/4.0/).
Share and Cite
Miranda-Osorio, P.H.; Castell-Rodríguez, A.E.; Vargas-Mancilla, J.; Tovilla-Zárate, C.A.; Ble-Castillo, J.L.; Aguilar-Domínguez, D.E.; Juárez-Rojop, I.E.; Díaz-Zagoya, J.C. Protective Action of Carica papaya on β-Cells in Streptozotocin-Induced Diabetic Rats. Int. J. Environ. Res. Public Health 2016, 13, 446. https://doi.org/10.3390/ijerph13050446
Miranda-Osorio PH, Castell-Rodríguez AE, Vargas-Mancilla J, Tovilla-Zárate CA, Ble-Castillo JL, Aguilar-Domínguez DE, Juárez-Rojop IE, Díaz-Zagoya JC. Protective Action of Carica papaya on β-Cells in Streptozotocin-Induced Diabetic Rats. International Journal of Environmental Research and Public Health. 2016; 13(5):446. https://doi.org/10.3390/ijerph13050446
Chicago/Turabian StyleMiranda-Osorio, Pedro H., Andrés E. Castell-Rodríguez, Juan Vargas-Mancilla, Carlos A. Tovilla-Zárate, Jorge L. Ble-Castillo, Dora E. Aguilar-Domínguez, Isela E. Juárez-Rojop, and Juan C. Díaz-Zagoya. 2016. "Protective Action of Carica papaya on β-Cells in Streptozotocin-Induced Diabetic Rats" International Journal of Environmental Research and Public Health 13, no. 5: 446. https://doi.org/10.3390/ijerph13050446
APA StyleMiranda-Osorio, P. H., Castell-Rodríguez, A. E., Vargas-Mancilla, J., Tovilla-Zárate, C. A., Ble-Castillo, J. L., Aguilar-Domínguez, D. E., Juárez-Rojop, I. E., & Díaz-Zagoya, J. C. (2016). Protective Action of Carica papaya on β-Cells in Streptozotocin-Induced Diabetic Rats. International Journal of Environmental Research and Public Health, 13(5), 446. https://doi.org/10.3390/ijerph13050446

