Sub-Acute Toxicity Study of Graphene Oxide in the Sprague-Dawley Rat
Abstract
:1. Introduction
2. Materials and Methods
2.1. GO Characterization
2.2. Experimental Design
2.3. Body Weight and Food Consumption
2.4. Open Field Test
2.5. Functional Observational Battery (FOB) Test
2.6. Organ Coefficient
2.7. Clinical Pathology
2.8. Histopathological Evaluation
2.9. Lactate Dehydrogenase (LDH) in Bronchoalveolar Lavage Fluid (BALF)
2.10. Statistical Analysis
3. Results
3.1. Characterization of GO
3.2. General Observation, Body Weight, and Food Consumption
3.3. Neurobehavioral Assessment
3.4. Morphology, Weight, and Organ Assessment
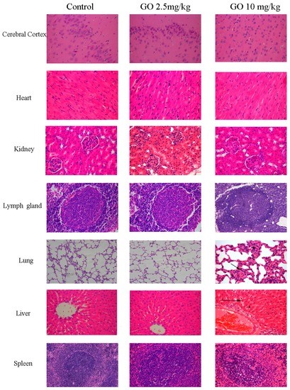
3.5. Pathological Changes
3.6. Hematology, Serum Chemistry, and BALF
4. Discussion
5. Conclusions
Acknowledgments
Author Contributions
Conflicts of Interest
References
- Son, S.J.; Bai, X.; Lee, S.B. Inorganic hollow nanoparticles and nanotubes in nanomedicine Part 1. Drug/gene delivery applications. Drug Discov. Today 2007, 12, 650–656. [Google Scholar] [CrossRef] [PubMed]
- Miao, Z.H.; Wang, H.; Yang, H.; Li, Z.; Zhen, L.; Xu, C.Y. Glucose-Derived Carbonaceous Nanospheres for Photoacoustic Imaging and Photothermal Therapy. ACS Appl. Mater. Interfaces 2016, 29, 15904–15910. [Google Scholar] [CrossRef] [PubMed]
- Wang, L.; Xiong, Q.; Xiao, F.; Duan, H. 2D nanomaterials based electrochemical biosensors for cancer diagnosis. Biosens. Bioelectron. 2016, 16, 30543–30547. [Google Scholar] [CrossRef] [PubMed]
- Chakrabarti, M.; Kiseleva, R.; Vertegel, A.; Ray, S.K. Carbon Nanomaterials for Drug Delivery and Cancer Therapy. J. Nanosci. Nanotechnol. 2015, 15, 5501–5511. [Google Scholar] [CrossRef] [PubMed]
- Novoselov, K.S.; Geim, A.K.; Morozov, S.V.; Jiang, D.; Zhang, Y.; Dubonos, S.V.; Grigorieva, I.V.; Firsov, A.A. Electric field effect in atomically thin carbon films. Science 2004, 306, 666–669. [Google Scholar] [CrossRef] [PubMed]
- Jeong, H.K.; Lee, Y.P.; Lahaye, R.J.; Park, M.H.; An, K.H.; Kim, I.J.; Yang, C.W.; Park, C.Y.; Ruoff, R.S.; Lee, Y.H. Evidence of graphitic AB stacking order of graphite oxides. J. Am. Chem. Soc. 2008, 130, 1362–1366. [Google Scholar] [CrossRef] [PubMed]
- Barinov, A.; Malcioglu, B.; Fabris, S.; Sun, T.; Gregoratti, L.; Dalmiglio, M.; Kiskinova, M. Initial stages of oxidation on graphitic surfaces: Photoemission study and density functional theory calculations. J. Phys. Chem. C 2009, 113, 9009–9013. [Google Scholar] [CrossRef]
- Sun, X.; Liu, Z.; Welsher, K. Nano-graphene oxide for cellular imaging and drug delivery. Nano Res. 2008, 1, 203–212. [Google Scholar] [CrossRef] [PubMed]
- Zhang, L.; Xia, J.; Zhao, Q.; Liu, L.; Zhang, Z. Functional graphene oxide as a nanoearrier for controlled loading and targeted delivery of mixed antieancer drugs. Small 2010, 6, 537–544. [Google Scholar] [CrossRef] [PubMed]
- Yang, X.; Zhang, X.; Liu, Z. High-efficiency loading and controlled release of doxorubic in hydrochloride on graphene oxide. J. Phys. Chem. C 2008, 112, 17554–17558. [Google Scholar] [CrossRef]
- Feng, L.Z.; Zhang, S.A.; Liu, Z.A. Graphene based gene transfection. Nanoscale 2011, 3, 1252–1257. [Google Scholar] [CrossRef] [PubMed]
- Ryoo, S.R.; Kim, Y.K.; Kim, M.H.; Min, D.H. Behaviors of NIH-3T3 fibroblasts ongraphene/carbon nanotubes: Proliferation, focal adhesion, and gene transfection studies. ACS Nano 2010, 4, 6587–6598. [Google Scholar] [CrossRef] [PubMed]
- Shi, Y.; Xiong, Z.; Lu, X.; Yan, X.; Cai, X.; Xue, W. Novel carboxymethyl chitosan-graphene oxide hybrid particles for drug delivery. J. Mater. Sci. Mater. Med. 2016. [Google Scholar] [CrossRef] [PubMed]
- Russier, J.; Treossi, E.; Scarsi, A.; Perrozzi, F.; Dumortier, H.; Ottaviano, L.; Meneghetti, M.; Palermo, V.; Bianco, A. Evidencing the mask effect of graphene oxide: A comparative study on primary human and murine phagocytic cells. Nanoscale 2013, 5, 11234–11247. [Google Scholar] [CrossRef] [PubMed]
- Lu, C.H.; Yang, H.H.; Zhu, C.L.; Chen, X.; Chen, G.N. A graphene platform for sensing biomolecules. Angew. Chem. Int. Ed. 2009, 48, 4785–4787. [Google Scholar] [CrossRef] [PubMed]
- Lu, C.H.; Zhu, C.L.; Li, J.; Liu, J.J.; Chen, X.; Yang, H.H. Using graphene to protect DNA from cleavage during cellular delivery. Chem. Commun. 2010, 46, 3116–3118. [Google Scholar] [CrossRef] [PubMed]
- Nanda, S.S.; Yi, D.K.; Kim, K. Study of antibacterial mechanism of graphene oxide using Raman spectroscopy. Sci. Rep. 2016. [Google Scholar] [CrossRef] [PubMed]
- Garcia-Alegria, E.; Iluit, M.; Stefanska, M.; Silva, C.; Heeg, S.; Kimber, S.J.; Kouskoff, V.; Lacaud, G.; Vijayaraghavan, A.; Batta, K. Graphene Oxide promotes embryonic stem cell differentiation to haematopoietic lineage. Sci. Rep. 2016. [Google Scholar] [CrossRef] [PubMed]
- Meng, N.; Su, Y.; Zhou, N.; Zhang, M.; Shao, M.; Fan, Y.; Zhu, H.; Yuan, P.; Chi, C.; Xiao, Y. Carboxylated Graphene Oxide functionalized with β-Cyclodextrin-Engineering of a Novel Nanohybrid Drug Carrier. Int. J. Biol. Macromol. 2016, 16, 31275–31272. [Google Scholar] [CrossRef] [PubMed]
- Cha, C.; Shin, S.R.; Gao, X.; Annabi, N.; Dokmeci, M.R.; Tang, X.S.; Khademhosseini, A. Controlling Mechanical Properties of Cell-Laden Hydrogels by Covalent Incorporation of Graphene Oxide. Small 2014, 10, 514–523. [Google Scholar] [CrossRef] [PubMed]
- Yang, K.; Zhang, S.; Zhang, G.X.; Sun, X.M.; Lee, S.T.; Liu, Z. Graphene in mice: Ultrahigh in vivo tumor uptake and efficient photothermal therapy. Nano Lett. 2010, 10, 3318–3323. [Google Scholar] [CrossRef] [PubMed]
- Wang, K.; Ruan, J.; Song, H.; Jiali, Z.; Yan, W.; Shouwu, G. Biocompatibility of Graphene Oxide. Nanoscale Res. Lett. 2011. [Google Scholar] [CrossRef] [PubMed]
- Liao, K.H.; Lin, Y.S.; Macosko, C.W.; Haynes, C. Cytotoxicity of graphene oxide and graphene in human erythrocytes and skin fibroblasts. ACS Appl. Mater. Interfaces 2011, 3, 2607–2615. [Google Scholar] [CrossRef] [PubMed]
- Yao, J.J.; Zhou, X.R.; Niu, T.Y. The toxic effect of single-walled carbon nanotube on rat hepatic cells in vitro. Toxicology 2012, 2, 14–16. [Google Scholar]
- Zhang, X.Y.; Yin, J.L.; Peng, C.; Hu, W.Q.; Zhu, Z.Y.; Li, W.X.; Fan, C.H.; Huang, Q. Distribution and biocompatibility studies of graphene oxide in mice after intravenous administration. Carbon 2011, 49, 986–995. [Google Scholar] [CrossRef]
- Yang, K.; Wan, J.; Zhang, S.; Zhang, Y.; Lee, S.T.; Liu, Z. In Vivo pharmacokinetics, long-term biodistribution and toxicology of PEGylated graphene in mice. ACS Nano 2010, 5, 516–522. [Google Scholar] [CrossRef] [PubMed]
- Liu, Y.; Luo, Y.; Wu, J.; Wang, Y.; Yang, X.; Yang, R.; Wang, B.; Yang, J.; Zhang, N. Graphene oxide can induce In Vitro and In Vivo mutagenesis. Sci. Rep. 2013. [Google Scholar] [CrossRef] [PubMed]
- Yanli, C.; Sheng-Tao, Y.; Jia-Hui, L.; Erya, D.; Yanwen, W.; Aoneng, C.; Yuanfang, L.; Haifang, W. In Vitro toxicity evaluation of graphene oxide on A549 cells. Toxicol. Lett. 2011, 200, 201–210. [Google Scholar]
- Wu, W.; Yan, L.; Wu, Q.; Li, Y.; Li, Q.; Chen, S.; Yang, Y.; Gu, Z.; Xu, H.; Yin, Z.Q. Evaluation of the toxicity of graphene oxide exposure to the eye. Nanotoxicology 2016, 10, 1329–1340. [Google Scholar] [CrossRef] [PubMed]
- Moser, V.C.; McCormick, J.P.; Creason, J.P.; MacPhail, R.C. Comparison of chlordimeform and carbaryl using a functional observational battery. Fundam. Appl. Toxicol. 1988, 11, 189–206. [Google Scholar] [CrossRef]
- Eapen, A.K.; Chengelis, C.P.; Jordan, N.P.; Baumgartner, R.E.; Zheng, G.H.; Carlson, T. A 28-day oral (dietary) toxicity study of sucromalt in Sprague—Dawleyrats. Food Chem. Toxicol. 2007, 45, 2304–2311. [Google Scholar] [CrossRef] [PubMed]
- Wang, L.; Cang, J.; Xue, Z. Protective effects of thoracic epidural anesthesia on hypoxia-induced acute lung injury in rabbits. Exp. Ther. Med. 2016, 11, 2021–2027. [Google Scholar] [CrossRef] [PubMed]
- Drent, M.; Cobben, N.A.; Henderson, R.F.; Jacobs, J.A.; Wouters, E.F.; van Dieijen-Visser, M.P. BAL fluid LDH activity and LDH isoenzyme pattern in lipoid pneumonia caused by an intravenous injection of lamp oil. Eur. Respir. J. 1996, 9, 2416–2418. [Google Scholar] [CrossRef] [PubMed]
- Zhang, Y.; Walker, J.B.; Minic, Z.; Liu, F.; Goshgarian, H.; Mao, G. Transporter protein and drug-conjugated gold nanoparticles capable of bypassing the blood-brain barrier. Sci. Rep. 2016. [Google Scholar] [CrossRef] [PubMed]
- Gerede, D.M.; Güleç, S.; Kiliçkap, M.; Kaya, C.T.; Vurgun, V.K.; Özcan, Ö.U.; Göksülük, H.; Erol, Ç. Comparison of a qualitative measurement of heart-type fatty acid-binding protein with other cardiac markers as an early diagnostic marker in the diagnosis of non-ST-segment elevation myocardial infarction. Cardiovasc. J. Afr. 2015, 26, 204–209. [Google Scholar] [CrossRef] [PubMed]
- Zhang, Y.G. Nanotoxicology; Beijing Union Medical University Press: Beijing, China, 2010. [Google Scholar]
- Liu, J.H.; Yang, S.T.; Wang, H.; Chang, Y.; Cao, A.; Liu, Y. Effect of size and dose on the biodistribution of graphene oxide in mice. Nanomedicine 2012, 7, 1801–1812. [Google Scholar] [CrossRef] [PubMed]
- Huang, J.; Zong, C.; Shen, H.; Liu, M.; Chen, B.; Ren, B.; Zhang, Z. Mechanism of Cellular Uptake of Graphene Oxide Studied by Surface-Enhanced Raman Spectroscopy. Small 2012, 8, 2577–2578. [Google Scholar] [CrossRef] [PubMed]




| Observations | Parameters |
|---|---|
| Open Field Test (OFT) | Numbers of crossing
Number of rearing Inner squares crossed Number of grooming |
| Functional Observational Battery (FOB) | Body temperature, Urination
Defecation, Grooming Backing, Hind limb foot splay Muscle tone, Convulsions/tremors Clonic movement, Catalepsy Gait score, Activity score Arousal, Bizarre/stereotypic Red/crusty deposits, Approach response Touch response, Startle response Tail pinch response |
| Locomotor Activity | Sham | GO 2.5 mg/kg | GO 5 mg/kg | GO 10 mg/kg | ||||
|---|---|---|---|---|---|---|---|---|
| 0 Day | 7 Day | 0 Day | 7 Day | 0 Day | 7 Day | 0 Day | 7 Day | |
| Numbers of crossings | 90.0 ± 8.0 | 83.25 ± 6.9 | 86.75 ± 6.8 | 80.5 ± 7.8 | 84.5 ± 7.8 | 74.5 ± 9.2 | 79.25 ± 9.8 | 77.75 ± 9.71 |
| Number of rearings | 16.5 ± 4.0 | 17.5 ± 1.3 | 17.0 ± 5.8 | 16.2 ± 3.9 | 19.0 ± 4.4 | 15.5 ± 0.9 | 17.75 ± 4.3 | 14.5 ± 1.29 |
| Inner squares crossed | 26.5 ± 11.9 | 26.35 ± 6.9 | 24.71 ± 5.2 | 29.3 ± 8.7 | 23.5 ± 6.1 | 28.0 ± 7.8 | 28.0 ± 9.9 | 23.1 ± 7.27 |
| Number of groomings | 2.3 ± 0.9 | 2.5 ± 1.3 | 2.7 ± 1.0 | 2.7 ± 1.2 | 2.5 ± 0.9 | 3.2 ± 1.2 | 3.2 ± 0.9 | 2.5 ± 1.1 |
| Functional Observational | Score | Sham | GO 2.5 mg/kg | GO 5 mg/kg | GO 10 mg/kg | ||||
|---|---|---|---|---|---|---|---|---|---|
| 0 Day | 7 Day | 0 Day | 7 Day | 0 Day | 7 Day | 0 Day | 7 Day | ||
| Body temperature (°C) | - | 36.6 ± 0.23 | 36.48 ± 0.13 | 36.78 ± 0.38 | 36.53 ± 0.17 | 36.6 ± 0.36 | 36.43 ± 0.13 | 36.8 ± 0.58 | 36.4 ± 0.18 |
| Urination | - | 2.45 ± 0.96 | 3.05 ± 0.96 | 2.0 ± 0.82 | 3.0 ± 0.82 | 2.75 ± 0.96 | 3.0 ± 0.82 | 2.0 ± 0.82 | 2.75 ± 1.26 |
| Defecation | - | 3.50 ± 1.0 | 5.0 ± 0.82 | 3.50 ± 1.29 | 4.0 ± 0.82 | 3.5 ± 1.29 | 4.5 ± 1.29 | 3.25 ± 1.25 | 3.75 ± 0.96 |
| Grooming | - | 1.0 ± 0.82 | 1.0 ± 0.82 | 1.75 ± 0.96 | 1.0 ± 0.82 | 1.75 ± 0.96 | 1.5 ± 0.58 | 1.25 ± 0.5 | 1.0 ± 0.82 |
| Backing | - | 9.37 ± 3.18 | 8.85 ± 4.10 | 8.74 ± 3.47 | 7.59 ± 5.34 | 10.00 ± 6.42 | 9.97 ± 3.55 | 9.67 ± 4.34 | 7.07 ± 3.72 |
| Hind limb foot splay | - | 7.77 ± 0.93 | 8.1 ± 0.13 | 7.78 ± 0.52 | 7.77 ± 0.73 | 8.17 ± 0.59 | 8.14 ± 0.15 | 8.23 ± 0.13 | 7.9 ± 0.31 |
| Muscle tone | 0 | 8/8 | 8/8 | 8/8 | 8/8 | 8/8 | 8/8 | 8/8 | 8/8 |
| 1 | |||||||||
| 2 | |||||||||
| Convulsions/tremors | 0 | 8/8 | 8/8 | 8/8 | 8/8 | 8/8 | 8/8 | 8/8 | 8/8 |
| 1 | |||||||||
| 2 | |||||||||
| Clonic movement | 0 | 8/8 | 8/8 | 8/8 | 8/8 | 8/8 | 8/8 | 8/8 | 8/8 |
| 1 | |||||||||
| 2 | |||||||||
| Catalepsy | 0 | 8/8 | 8/8 | 8/8 | 8/8 | 8/8 | 8/8 | 8/8 | 8/8 |
| 1 | |||||||||
| 2 | |||||||||
| Gait score | 0 | ||||||||
| 1 | 1/8 | 1/8 | 2/8 | ||||||
| 2 | 7/8 | 8/8 | 7/8 | 8/8 | 8/8 | 6/8 | 8/8 | 8/8 | |
| Activity score | 0 | ||||||||
| 1 | 6/8 | 6/8 | 8/8 | 7/8 | 7/8 | 8/8 | 6/8 | 8/8 | |
| 2 | 2/8 | 2/8 | 1/8 | 1/8 | 2/8 | ||||
| Arousal | 0 | 1/8 | |||||||
| 1 | 8/8 | 8/8 | 7/8 | 8/8 | 7/8 | 8/8 | 8/8 | 8/8 | |
| 2 | 1/8 | ||||||||
| Bizarre/stereotypic | 0 | 8/8 | 8/8 | 8/8 | 8/8 | 8/8 | 8/8 | 8/8 | 8/8 |
| 1 | |||||||||
| 2 | |||||||||
| Red/crusty deposits | 0 | 8/8 | 7/8 | 8/8 | 8/8 | 8/8 | 8/8 | 8/8 | 8/8 |
| 1 | 1/8 | ||||||||
| 2 | |||||||||
| Approach response | 0 | ||||||||
| 1 | 2/8 | 1/8 | 1/8 | 1/8 | |||||
| 2 | 8/8 | 8/8 | 6/8 | 7/8 | 8/8 | 7/8 | 7/8 | 8/8 | |
| Touch response | 0 | ||||||||
| 1 | 1/8 | 2/8 | 1/8 | 1/8 | |||||
| 2 | 7/8 | 8/8 | 6/8 | 7/8 | 8/8 | 7/8 | 8/8 | 8/8 | |
| Startle response | 0 | ||||||||
| 1 | 2/8 | 1/8 | |||||||
| 2 | 8/8 | 6/8 | 8/8 | 8/8 | 7/8 | 8/8 | 8/8 | 8/8 | |
| Tail pinch response | 0 | ||||||||
| 1 | 8/8 | 8/8 | 8/8 | 8/8 | 8/8 | 8/8 | 8/8 | 8/8 | |
| 2 | |||||||||
| Organ Weights | Sham | GO 2.5 mg/kg | GO 5 mg/kg | GO 10 mg/kg |
|---|---|---|---|---|
| Brain | ||||
| Absolute organ weight (g) | 1.68 ± 0.04 | 1.72 ± 0.05 | 1.75 ± 0.06 | 1.68 ± 0.06 |
| organ coefficient % | 1.30 ± 0.12 | 1.32 ± 0.12 | 1.34 ± 0.12 | 1.29 ± 0.16 |
| Heart | ||||
| Absolute organ weight (g) | 0.55 ± 0.05 | 0.48 ± 0.05 | 0.52 ± 0.04 | 0.5 ± 0.07 |
| organ coefficient % | 0.43 ± 0.05 | 0.36 ± 0.05 | 0.37 ± 0.03 | 0.38 ± 0.03 |
| Liver | ||||
| Absolute organ weight (g) | 4.36 ± 0.14 | 4.37 ± 0.18 | 4.04 ± 0.37 | 3.83 ± 0.42 |
| organ coefficient % | 3.33 ± 0.36 | 3.34 ± 0.39 | 3.03 ± 0.3 | 2.99 ± 0.09 |
| Spleen | ||||
| Absolute organ weight (g) | 0.38 ± 0.06 | 0.39 ± 0.05 | 0.44 ± 0.03 | 0.4 ± 0.04 |
| organ coefficient % | 0.31 ± 0.06 | 0.28 ± 0.03 | 0.30 ± 0.03 | 0.31 ± 0.06 |
| Lung | ||||
| Absolute organ weight (g) | 0.84 ± 0.12 | 0.79 ± 0.04 | 0.82 ± 0.16 | 0.95 ± 0.18 |
| organ coefficient % | 0.67 ± 0.08 | 0.58 ± 0.07 | 0.67 ± 0.06 | 0.71 ± 0.06 |
| Kidney | ||||
| Absolute organ weight (g) | 0.03 ± 0.009 | 0.04 ± 0.005 | 0.03 ± 0.005 | 0.031 ± 0.005 |
| organ coefficient % | 0.86 ± 0.08 | 0.85 ± 0.09 | 0.82 ± 0.04 | 0.80 ± 0.03 |
| Thymus gland | ||||
| Absolute organ weight (g) | 0.26 ± 0.07 | 0.33 ± 0.043 | 0.32 ± 0.014 | 0.33 ± 0.038 |
| organ coefficient % | 0.22 ± 0.05 | 0.27 ± 0.05 | 0.25 ± 0.02 | 0.25 ± 0.03 |
| Adrenal gland (×100) | ||||
| Absolute organ weight (g) | 3.23 ± 0.9 | 4.22 ± 0.52 | 3.08 ± 0.48 | 3.1 ± 0.47 |
| organ coefficient % | 2.08 ± 0.45 | 2.49 ± 0.44 | 2.17 ± 0.41 | 2.17 ± 0.25 |
| Prostate gland | ||||
| Absolute organ weight (g) | 0.87 ± 0.04 | 0.81 ± 0.04 | 0.92 ± 0.16 | 0.95 ± 0.15 |
| organ coefficient % | 0.08 ± 0.04 | 0.07 ± 0.02 | 0.07 ± 0.02 | 0.05 ± 0.02 |
| Testis | ||||
| Absolute organ weight (g) | 1.05 ± 0.26 | 1.19 ± 0.18 | 1.14 ± 0.19 | 1.11 ± 0.06 |
| organ coefficient % | 0.86 ± 0.23 | 0.85 ± 0.09 | 0.88 ± 0.17 | 0.94 ± 0.14 |
| Epididymis | ||||
| Absolute organ weight (g) | 0.7 ± 0.077 | 0.77 ± 0.19 | 0.82 ± 0.17 | 0.79 ± 0.06 |
| organ coefficient % | 0.57 ± 0.11 | 0.65 ± 0.15 | 0.64 ± 0.08 | 0.61 ± 0.03 |
| Parameter | Sham | GO 2.5 mg/kg | GO 5 mg/kg | GO 10 mg/kg |
|---|---|---|---|---|
| RBC (×1012/L) | 4.5 ± 0.1 | 4.7 ± 0.17 | 4.67 ± 0.23 | 4.36 ± 0.24 |
| HCT (%) | 33.3 ± 1.25 | 34.9 ± 1.6 | 33.68 ± 1.81 | 31.9 ± 1.67 |
| MCV (fL) | 75.75 ± 3.3 | 74.5 ± 2.08 | 72.25 ± 1.26 | 73.25 ± 1.89 |
| Hb (g/L) | 101.25 ± 2.99 | 105.75 ± 4.92 | 103.5 ± 4.65 | 97.5 ± 6.35 |
| MCH (pg) | 22.75 ± 0.96 | 22.5 ± 0.58 | 22.25 ± 0.5 | 22.5 ± 0.58 |
| MCHC (g/L) | 304 ± 3.56 | 303.25 ± 2.06 | 307 ± 4.08 | 306 ± 4.24 |
| WBC (×109/L) | 4.88 ± 0.79 | 6.75 ± 1.63 | 5.23 ± 0.59 | 5.68 ± 1.48 |
| LYM (×109/L) | 3.7 ± 0.76 | 5.5 ± 1.44 | 4 ± 0.88 | 4.03 ± 0.72 |
| LYM (%) | 75.6 ± 5.5 | 81.55 ± 4.9 | 75.38 ± 9.8 | 71.95 ± 6.65 |
| PLT (×109/L) | 1034.5 ± 57.36 | 1075.5 ± 78.8 | 1053.25 ± 76.5 | 964.25 ± 131.02 |
| PLT (%) | 0.51 ± 0.03 | 0.52 ± 0.04 | 0.5 ± 0.04 | 0.46 ± 0.07 |
| PT (s) | 15.28 ± 0.61 | 15.08 ± 0.53 | 15 ± 0.63 | 15.58 ± 0.71 |
| APPT (s) | 27.4 ± 3.69 | 24.6 ± 1.53 | 25.05 ± 1.63 | 23.6 ± 8.41 |
| TT (s) | 31.93 ± 5.81 | 27.5 ± 5.94 | 33.38 ± 7.63 | 22.65 ± 13.32 |
| Parameter | Sham | GO 2.5 mg/kg | GO 5 mg/kg | GO 10 mg/kg |
|---|---|---|---|---|
| ALT (U/L) | 61.95 ± 9.93 | 58.35 ± 9.26 | 58.58 ± 14.34 | 55.98 ± 6.16 |
| AST (U/L) | 140.7 ± 35.24 | 125.2 ± 16.74 | 121.5 ± 14.57 | 119.7 ± 16.07 |
| ALP (U/L) | 440.7 ± 74.79 | 437.4 ± 81.59 | 385.5 ± 30.51 | 362.7 ± 52.21 |
| ALB (g/L) | 34.7 ± 0.88 | 34.38 ± 2.97 | 36.03 ± 2.53 | 39.4 ± 1.19 |
| LDH (U/L) | 269.25 ± 14.66 | 289.25 ± 10.5 | 271 ± 7.53 | 309.5 ± 21.95 |
| TP (g/L) | 53.7 ± 1.13 | 50.95 ± 2.62 | 52.6 ± 2.3 | 53.5 ± 3.0 |
| A/G | 1.83 ± 0.06 | 2.09 ± 0.25 | 1.86 ± 0.31 | 1.83 ± 0.26 |
| GLU | 7.78 ± 0.86 | 8.65 ± 0.87 | 7.2 ± 1.13 | 8.78 ± 2.19 |
| GGT (U/L) | 85.9 ± 12.89 | 79.3 ± 5.79 | 78.93 ± 2.35 | 94.6 ± 16.9 |
| TG (mmol/L) | 0.7 ± 0.38 | 0.55 ± 0.21 | 0.35 ± 0.13 | 0.28 ± 0.1 |
| CHO (mmol/L) | 2.18 ± 0.1 | 2.05 ± 0.19 | 2.15 ± 0.24 | 1.55 ± 0.1 * |
| HDL (mmol/L) | 1.05 ± 0.08 | 1.11 ± 0.08 | 1.09 ± 0.08 | 0.74 ± 0.06 * |
| LDL (mmol/L) | 1.03 ± 0.06 | 0.93 ± 0.07 | 1 ± 0.12 | 0.71 ± 0.06 * |
| Urea (mmol/L) | 3.73 ± 1.15 | 3.4 ± 1.88 | 2.83 ± 0.52 | 3.3 ± 0.99 |
| Cr (µmol/L) | 31 ± 4.08 | 31.5 ± 6.86 | 35.25 ± 5.12 | 32.75 ± 5.06 |
| CK (U/L) | 93 ± 25.14 | 107 ± 19.33 | 91 ± 21.32 | 115 ± 17.31 |
| cTn (μg/L) | 0.09 ± 0.01 | 0.08 ± 0.01 | 0.09 ± 0.01 | 0.11 ± 0.01 |
© 2016 by the authors; licensee MDPI, Basel, Switzerland. This article is an open access article distributed under the terms and conditions of the Creative Commons Attribution (CC-BY) license (http://creativecommons.org/licenses/by/4.0/).
Share and Cite
Li, Y.; Wang, Y.; Tu, L.; Chen, D.; Luo, Z.; Liu, D.; Miao, Z.; Feng, G.; Qing, L.; Wang, S. Sub-Acute Toxicity Study of Graphene Oxide in the Sprague-Dawley Rat. Int. J. Environ. Res. Public Health 2016, 13, 1149. https://doi.org/10.3390/ijerph13111149
Li Y, Wang Y, Tu L, Chen D, Luo Z, Liu D, Miao Z, Feng G, Qing L, Wang S. Sub-Acute Toxicity Study of Graphene Oxide in the Sprague-Dawley Rat. International Journal of Environmental Research and Public Health. 2016; 13(11):1149. https://doi.org/10.3390/ijerph13111149
Chicago/Turabian StyleLi, Yingbo, Yan Wang, Liu Tu, Di Chen, Zhi Luo, Dengyuan Liu, Zhuang Miao, Gang Feng, Li Qing, and Shali Wang. 2016. "Sub-Acute Toxicity Study of Graphene Oxide in the Sprague-Dawley Rat" International Journal of Environmental Research and Public Health 13, no. 11: 1149. https://doi.org/10.3390/ijerph13111149
APA StyleLi, Y., Wang, Y., Tu, L., Chen, D., Luo, Z., Liu, D., Miao, Z., Feng, G., Qing, L., & Wang, S. (2016). Sub-Acute Toxicity Study of Graphene Oxide in the Sprague-Dawley Rat. International Journal of Environmental Research and Public Health, 13(11), 1149. https://doi.org/10.3390/ijerph13111149
