Effect of Sodium Selenite on Pathological Changes and Renal Functions in Broilers Fed a Diet Containing Aflatoxin B1
Abstract
:1. Introduction
2. Materials and Methods
2.1. Chickens and Diets
2.2. Relative Weight of Kidney
2.3. Histopathological Observation
2.4. Ultrastructural Observation
2.5. Detection of Serum Creatinine and Uric Acid
2.6. Detection of Na+-K+ ATPase in Kidney
2.7. Statistical Analysis
3. Results
3.1. Changes of Relative Weight of Kidney
| Group | 7 Days of Age | 14 Days of Age | 21 Days of Age |
|---|---|---|---|
| Control group | 10.121 a ± 0.284 | 8.581 a ± 1.054 | 6.754 c ± 0.608 |
| AFB1 group | 10.250 a ± 0.257 | 8.413 a ± 0.749 | 7.355 a ± 0.460 |
| +Se group | 10.087 a ± 0.413 | 8.895 a ± 0.404 | 6.819 bc ± 0.346 |
| AFB1+Se group | 10.057 a ± 0.912 | 8.674 a ± 0.572 | 6.949 abc ± 0.226 |
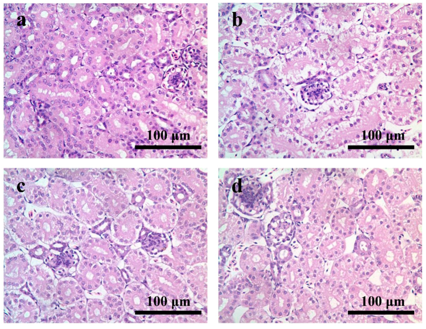
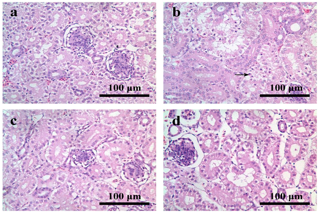
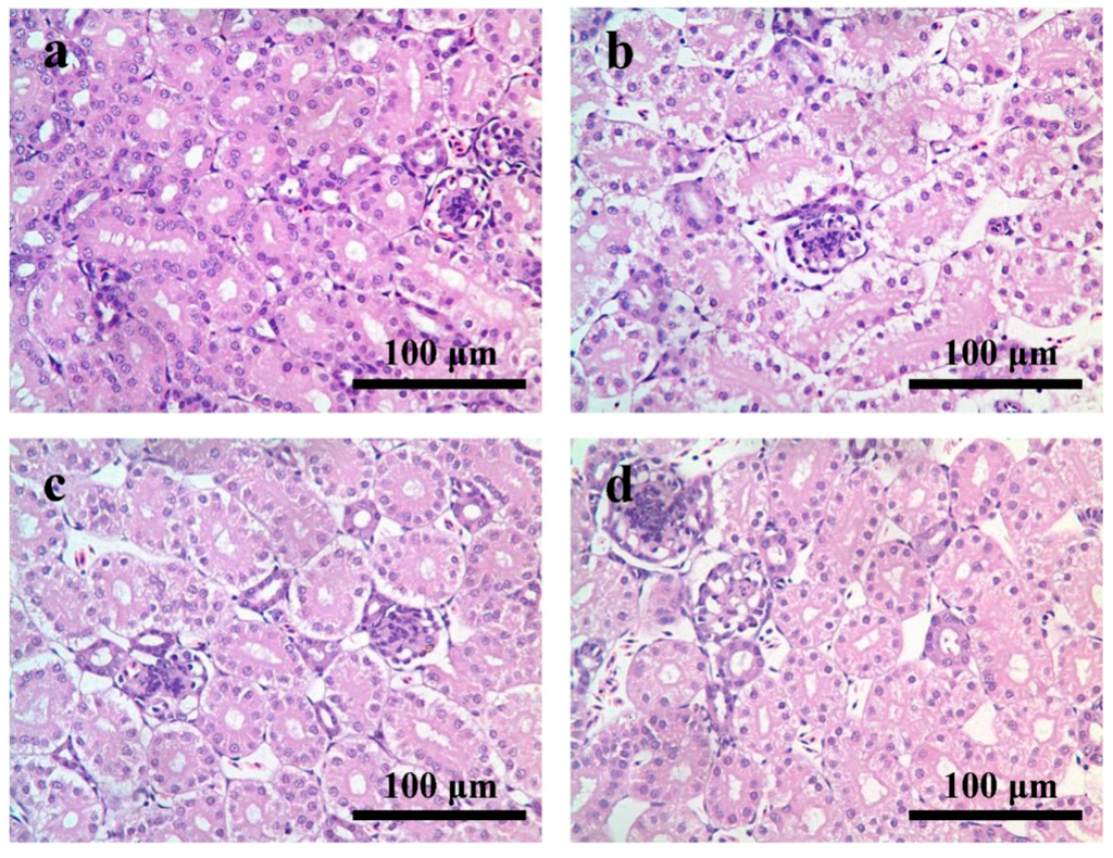
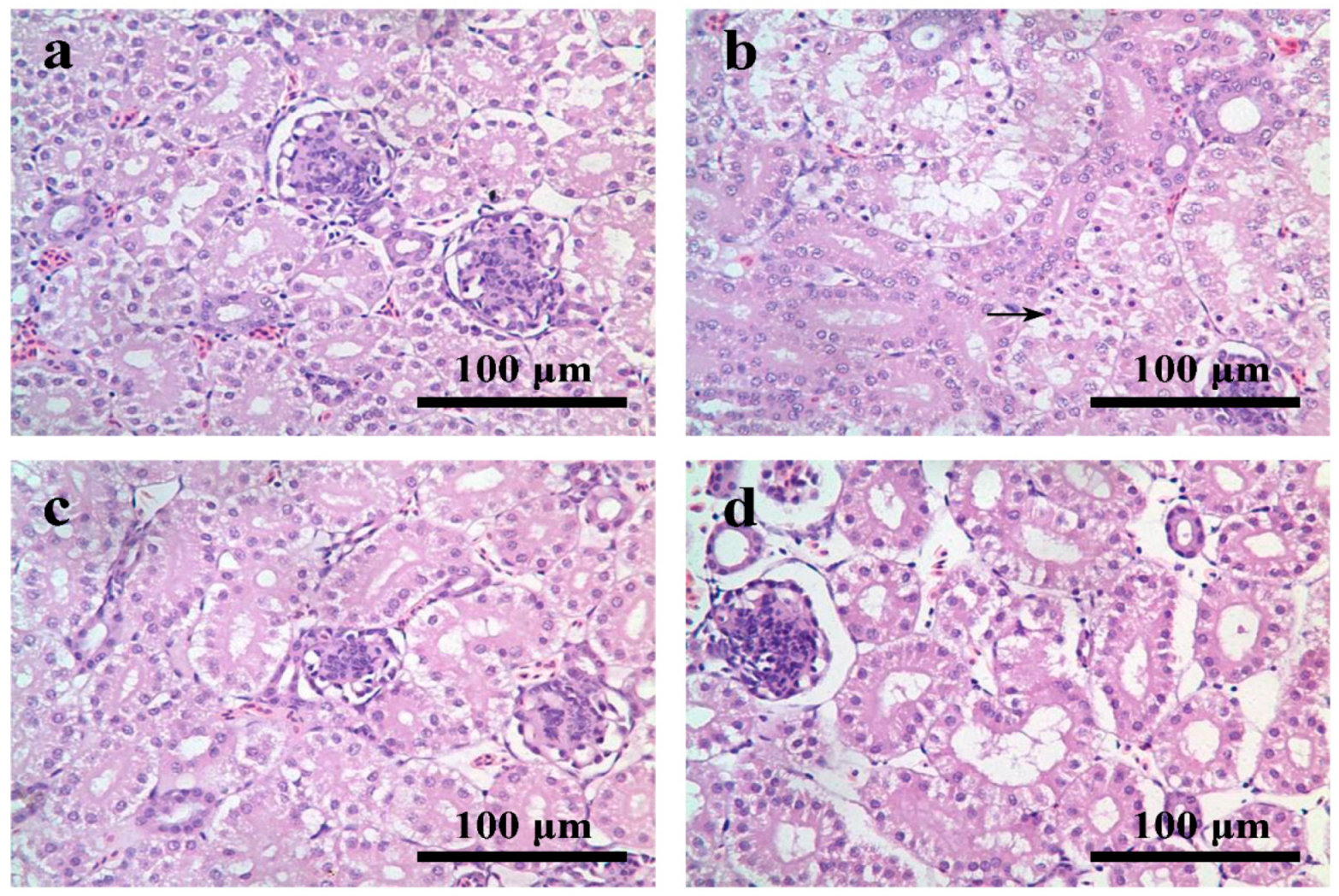
3.2. Pathological Lesions


3.3. Electron Microscopic Appearance

3.4. Changes of Serum Creatinine and Uric Acidcontents
| Content | Group | 7 Days of Age | 14 Days of Age | 21 Days of Age |
|---|---|---|---|---|
| Creatinine (μmol/L) | Control group | 1206.126 d ± 114.155 | 1029.423 d ± 86.673 | 1173.729 bc ± 82.053 |
| AFB1 group | 1373.289 a ± 50.225 | 1277.720 a ± 106.370 | 1298.965 a ± 104.439 | |
| +Se group | 1210.832 bcd ± 121.373 | 1103.771 bcd ± 160.967 | 1199.336 bc ± 23.058 | |
| AFB1+Se group | 1208.176 cd ± 122.126 | 1063.861 cd ± 96.860 | 1142.524 c ± 80.103 | |
| Uric acid (mg/L) | Control group | 55.540 bc ± 7.085 | 55.706 c ± 5.773 | 58.626 d ± 6.095 |
| AFB1 group | 66.761 a ± 10.601 | 67.441 a ± 6.320 | 69.272 a ± 6.682 | |
| +Se group | 59.932 abc ± 5.861 | 58.804 abc ± 6.687 | 59.657 bcd ± 6.303 | |
| AFB1+Se group | 54.000 c ± 7.175 | 57.538 bc ± 9.707 | 59.089 cd ± 7.509 |
3.5. Changes of Na+-K+ ATPase in Kidney
| Group | 7 Days of Age | 14 Days of Age | 21 Days of Age |
|---|---|---|---|
| Control group | 9.661 a ± 0.830 | 9.378 ab ± 0.761 | 11.947 a ± 2.030 |
| AFB1 group | 8.125 b ± 1.208 | 8.264 b ± 1.322 | 9.007 b ± 1.127 |
| +Se group | 9.118 ab ± 1.109 | 9.280 ab ± 0.888 | 11.407 a ± 2.137 |
| AFB1+Se group | 9.675 a ± 0.642 | 9.552 a ± 1.065 | 11.526 a ± 1.624 |
4. Discussion
5. Conclusions
Acknowledgments
Author Contributions
Conflicts of Interest
References
- Gourama, H.; Bullerman, L.B. Aspergillus flavus and Aspergillus parasiticus: Aflatoxigenic fungi of concern in foods and feeds: A review. J. Food Prot. 1995, 58, 1395–1404. [Google Scholar]
- Bommakanti, A.S.; Waliyar, F. Importance of Aflatoxins in Human and Livestock Health; International Crops Research Institute for the Semi-Arid Tropics: Telangana, India, 2000. [Google Scholar]
- Pandey, I.; Chauhan, S. Studies on production performance and toxin residues in tissues and eggs of layer chickens fed on diets with various concentrations of aflatoxin AFB1. Br. Poult. Sci. 2007, 48, 713–723. [Google Scholar] [CrossRef] [PubMed]
- He, Y.; Fang, J.; Peng, X.; Cui, H.; Zuo, Z.; Deng, J.; Chen, Z.; Lai, W.; Shu, G.; Tang, L. Effects of sodium selenite on aflatoxin B1-induced decrease of ileac T cell and the mRNA contents of IL-2, IL-6, and TNF-alpha in broilers. Biol. Trace Elem. Res. 2014, 159, 167–173. [Google Scholar] [CrossRef] [PubMed]
- Hussain, S.; Schwank, J.; Staib, F.; Wang, X.; Harris, C. TP53 mutations and hepatocellular carcinoma: Insights into the etiology and pathogenesis of liver cancer. Oncogene 2007, 26, 2166–2176. [Google Scholar] [CrossRef] [PubMed]
- Quezada, T.; Cuellar, H.; Jaramillo-Juarez, F.; Valdivia, A.; Reyes, J. Effects of aflatoxin B1 on the liver and kidney of broiler chickens during development. Comp. Biochem. Physiol. C Toxicol. Pharmacol. 2000, 125, 265–272. [Google Scholar] [CrossRef]
- Ganther, H.E. Selenium metabolism, selenoproteins and mechanisms of cancer prevention: Complexities with thioredoxin reductase. Carcinogenesis 1999, 20, 1657–1666. [Google Scholar] [CrossRef] [PubMed]
- Orsi, R.B.; Oliveira, C.A.; Dilkin, P.; Xavier, J.G.; Direito, G.M.; Correa, B. Effects of oral administration of aflatoxin B1 and fumonisin B1 in rabbits (Oryctolagus cuniculus). Chem. Biol. Interact. 2007, 170, 201–208. [Google Scholar] [CrossRef] [PubMed]
- Akesson, B. Selenium in Food and Health. Trends Food Sci. Technol. 1997, 9, 317–318. [Google Scholar] [CrossRef]
- Brown, K.; Arthur, J. Selenium, selenoproteins and human health: A review. Public Health Nutr. 2001, 4, 593–599. [Google Scholar] [CrossRef] [PubMed]
- Hefnawy, A.E.G.; Tórtora-Pérez, J. The importance of selenium and the effects of its deficiency in animal health. Small Rumin. Res. 2010, 89, 185–192. [Google Scholar] [CrossRef]
- Wang, H.; Wei, W.; Zhang, S.; Shen, Y.; Yue, L.; Wang, N.; Xu, S. Melatonin-selenium nanoparticles inhibit oxidative stress and protect against hepatic injury induced by Bacillus Calmette-Guérin/lipopolysaccharide in mice. J. Pineal Res. 2005, 39, 156–163. [Google Scholar] [CrossRef] [PubMed]
- Peng, X.; Zhang, S.; Fang, J.; Cui, H.; Zuo, Z.; Deng, J. Protective Roles of Sodium Selenite against Aflatoxin B1-Induced Apoptosis of Jejunum in Broilers. Int. J. Environ. Res. Public Health 2014, 11, 13130–13143. [Google Scholar] [CrossRef] [PubMed]
- Taskin, E.; Dursun, N. The protection of selenium on adriamycin-induced mitochondrial damage in rat. Biol. Trace Elem. Res. 2012, 147, 165–171. [Google Scholar] [CrossRef] [PubMed]
- El-Sharaky, A.; Newairy, A.; Badreldeen, M.; Eweda, S.; Sheweita, S. Protective role of selenium against renal toxicity induced by cadmium in rats. Toxicology 2007, 235, 185–193. [Google Scholar] [CrossRef] [PubMed]
- Kriz, W.; Koepsell, H. The structural organization of the mouse kidney. Z. Anat. Entwicklungsgesch. 1974, 144, 137–163. [Google Scholar] [CrossRef] [PubMed]
- Grosman, M.E.; Elías, M.M.; Comin, E.J.; Rodriguez Garay, E.A. Alterations in renal function induced by aflatoxin B1 in the rat. Toxicol. Appl. Pharmacol. 1983, 69, 319–325. [Google Scholar] [CrossRef]
- Corcuera, L.A.; Ibáñez-Vea, M.; Vettorazzi, A.; González-Peñas, E.; De Cerain, A.L. Validation of a UHPLC-FLD analytical method for the simultaneous quantification of aflatoxin B1 and ochratoxin a in rat plasma, liver and kidney. J. Chromatogr. B Analyt. Technol. Biomed. Life Sci. 2011, 879, 2733–2740. [Google Scholar] [CrossRef] [PubMed]
- Nada, S.; Amra, H.; Deabes, M.; Omara, E. Saccharomyces cerevisiae and probiotic bacteria potentially inhibit aflatoxins production in vitro and in vivo studies. Int. J. Toxicol. 2010, 8, 32. [Google Scholar]
- Rastogi, R.; Srivastava, A.K.; Rastogi, A.K. Long term effect of aflatoxin B1 on lipid peroxidation in rat liver and kidney: Effect of picroliv and silymarin. Phytother. Res. 2001, 15, 307–310. [Google Scholar] [CrossRef] [PubMed]
- Glahn, R.P.; Van Campen, D.; Dousa, T.P. Aflatoxin B1 reduces Na+-Pi co-transport in proximal renal epithelium: Studies in opossum kidney (OK) cells. Toxicology 1994, 92, 91–100. [Google Scholar] [CrossRef]
- He, J.; Zhang, K.; Chen, D.; Ding, X.; Feng, G.; Ao, X. Effects of vitamin E and selenium yeast on growth performance and immune function in ducks fed maize naturally contaminated with aflatoxin B1. Livest. Sci. 2013, 152, 200–207. [Google Scholar] [CrossRef]
- Liao, S.; Shi, D.; Clemons-Chevis, C.L.; Guo, S.; Su, R.; Qiang, P.; Tang, Z. Protective Role of Selenium on Aflatoxin B1-Induced Hepatic Dysfunction and Apoptosis of Liver in Ducklings. Biol. Trace Elem. Res. 2014, 162, 296–301. [Google Scholar] [CrossRef] [PubMed]
- Chen, K.; Yuan, S.; Chen, J.; Peng, X.; Wang, F.; Cui, H.; Fang, J. Effects of sodium selenite on the decreased percentage of T cell subsets, contents of serum IL-2 and IFN-γ induced by aflatoxin B1 in broilers. Res. Vet. Sci. 2013, 95, 143–145. [Google Scholar] [CrossRef] [PubMed]
- Parveen, F.; Nizamani, Z.A.; Gan, F.; Chen, X.; Shi, X.; Kumbhar, S.; Zeb, A.; Huang, K. Protective effect of selenomethionine on aflatoxin B1-induced oxidative stress in MDCK cells. Biol. Trace Elem. Res. 2014, 157, 266–274. [Google Scholar] [CrossRef] [PubMed]
- Yu, Z.; Wang, F.; Liang, N.; Wang, C.; Peng, X.; Fang, J.; Cui, H.; Jameel Muhammad, M.; Lai, W. Effect of Selenium Supplementation on Apoptosis and Cell Cycle Blockage of Renal Cells in Broilers Fed a Diet Containing Aflatoxin B1. Biol. Trace Elem. Res. 2015, 5. [Google Scholar] [CrossRef] [PubMed]
- Chen, K.; Shu, G.; Peng, X.; Fang, J.; Cui, H.; Chen, J.; Wang, F.; Chen, Z.; Zuo, Z.; Deng, J.; et al. Protective role of sodium selenite on histopathological lesions, decreased T-cell subsets and increased apoptosis of thymus in broilers intoxicated with aflatoxin B1. Food Chem. Toxicol. 2013, 59, 446–454. [Google Scholar] [CrossRef] [PubMed]
- Wang, F.; Shu, G.; Peng, X.; Fang, J.; Chen, K.; Cui, H.; Chen, Z.; Zuo, Z.; Deng, J.; Geng, Y.; et al. Protective Effects of Sodium Selenite against Aflatoxin B1-Induced Oxidative Stress and Apoptosis in Broiler Spleen. Int. J. Environ. Res. Public Health 2013, 10, 2834–2844. [Google Scholar] [CrossRef] [PubMed]
- NRC. Nutrient Requirements of Poultry; National Academy Press: Washington, DC, USA, 1994. [Google Scholar]
- Reynolds, E.S. The use of lead citrate at high pH as an electron-opaque stain in electron microscopy. J. Cell Biol. 1963, 17, 208–212. [Google Scholar] [CrossRef] [PubMed]
- Bradford, M.M. A rapid and sensitive method for the quantitation of microgram quantities of protein utilizing the principle of protein-dye binding. Anal. Biochem. 1976, 72, 248–254. [Google Scholar] [CrossRef]
- Tokonami, N.; Morla, L.; Centeno, G.; Mordasini, D.; Ramakrishnan, S.K.; Nikolaeva, S.; Wagner, C.A.; Bonny, O.; Houillier, P.; Doucet, A.; et al. α-Ketoglutarate regulates acid-base balance through an intrarenal paracrine mechanism. J. Clin. Investig. 2013, 123, 3166–3171. [Google Scholar] [CrossRef] [PubMed]
- Edrington, T.; Kubena, L.; Harvey, R.; Rottinghaus, G. Influence of a superactivated charcoal on the toxic effects of aflatoxin or T-2 toxin in growing broilers. Poult. Sci. 1997, 76, 1205–1211. [Google Scholar] [CrossRef] [PubMed]
- Phillips, T.; Hayes, A.; Ho, I.; Desaiah, D. Effects of rubratoxin B on the kinetics of cationic and substrate activation of (Na+-K+)-ATPase and p-nitrophenyl phosphatase. J. Biol. Chem. 1978, 253, 3487–3493. [Google Scholar] [PubMed]
- Deschenes, G.; Doucet, A. Collecting duct Na+/K+-ATPase activity is correlated with urinary sodium excretion in rat nephrotic syndromes. J. Am. Soc. Nephrol. 2000, 11, 604–615. [Google Scholar] [PubMed]
- Mathuria, N.; Verma, R.J. Ameliorative effect of curcumin on aflatoxin-induced toxicity in serum of mice. Acta Pol. Pharm. 2008, 65, 339–343. [Google Scholar] [PubMed]
- Santurio, J. Effect of sodium bentonite on the performance and blood variables of broiler chickens intoxicated with aflatoxins. Br. Poult. Sci. 1999, 40, 115–119. [Google Scholar] [CrossRef] [PubMed]
- McLauchlan, D. Creatinine, urate and urea. In Varleysís Practical Clinical Biochemistry; Gowenlock, A.D., Ed.; Heinemann: London, UK, 1988; p. 350. [Google Scholar]
- Glahn, R.; Beers, K.; Bottje, W.; Wideman, R., Jr.; Huff, W.; Thomas, W. Aflatoxicosis alters avian renal function, calcium, and vitamin D metabolism. J. Toxicol. Environ. Health 1991, 34, 309–321. [Google Scholar] [CrossRef] [PubMed]
- Guo, S.; Shi, D.; Liao, S.; Su, R.; Lin, Y.; Pan, J.; Tang, Z. Influence of selenium on body weights and immune organ indexes in ducklings intoxicated with aflatoxin B1. Biol. Trace Elem. Res. 2012, 146, 167–170. [Google Scholar] [CrossRef] [PubMed]
- Chen, K.; Peng, X.; Fang, J.; Cui, H.; Zuo, Z.; Deng, J.; Chen, Z.; Geng, Y.; Lai, W.; Tang, L.; et al. Effects of dietary selenium on histopathological changes and T cells of spleen in broilers exposed to aflatoxin B1. Int. J. Environ. Res. Public Health 2014, 11, 1904–1913. [Google Scholar] [CrossRef] [PubMed]
- Randjelovic, P.; Veljkovic, S.; Stojiljkovic, N.; Velickovic, L.; Sokolovic, D.; Stoiljkovic, M.; Ilic, I. Protective effect of selenium on gentamicin-induced oxidative stress and nephrotoxicity in rats. Drug Chem. Toxicol. 2012, 35, 141–148. [Google Scholar] [CrossRef] [PubMed]
- Combs, G.F. Chemopreventive mechanisms of selenium. Med. Klin. 1999, 94, 18–24. [Google Scholar] [CrossRef]
- Deletioglu, V.; Tuncay, E.; Toy, A.; Atalay, M.; Turan, B. Immuno-spin trapping detection of antioxidant/pro-oxidant properties of zinc or selenium on DNA and protein radical formation via hydrogen peroxide. Mol. Cell. Biochem. 2015, in press. [Google Scholar] [CrossRef] [PubMed]
- Liu, W.; Shang, S.; Feng, X.; Zhang, G.; Wu, F. Modulation of exogenous selenium in cadmium-induced changes in antioxidative metabolism, cadmium uptake, and photosynthetic performance in the 2 tobacco genotypes differing in cadmium tolerance. Environ. Toxicol. Chem. 2015, 34, 92–99. [Google Scholar] [CrossRef] [PubMed]
© 2015 by the authors; licensee MDPI, Basel, Switzerland. This article is an open access article distributed under the terms and conditions of the Creative Commons Attribution license (http://creativecommons.org/licenses/by/4.0/).
Share and Cite
Liang, N.; Wang, F.; Peng, X.; Fang, J.; Cui, H.; Chen, Z.; Lai, W.; Zhou, Y.; Geng, Y. Effect of Sodium Selenite on Pathological Changes and Renal Functions in Broilers Fed a Diet Containing Aflatoxin B1. Int. J. Environ. Res. Public Health 2015, 12, 11196-11208. https://doi.org/10.3390/ijerph120911196
Liang N, Wang F, Peng X, Fang J, Cui H, Chen Z, Lai W, Zhou Y, Geng Y. Effect of Sodium Selenite on Pathological Changes and Renal Functions in Broilers Fed a Diet Containing Aflatoxin B1. International Journal of Environmental Research and Public Health. 2015; 12(9):11196-11208. https://doi.org/10.3390/ijerph120911196
Chicago/Turabian StyleLiang, Na, Fengyuan Wang, Xi Peng, Jing Fang, Hengmin Cui, Zhengli Chen, Weimin Lai, Yi Zhou, and Yi Geng. 2015. "Effect of Sodium Selenite on Pathological Changes and Renal Functions in Broilers Fed a Diet Containing Aflatoxin B1" International Journal of Environmental Research and Public Health 12, no. 9: 11196-11208. https://doi.org/10.3390/ijerph120911196
APA StyleLiang, N., Wang, F., Peng, X., Fang, J., Cui, H., Chen, Z., Lai, W., Zhou, Y., & Geng, Y. (2015). Effect of Sodium Selenite on Pathological Changes and Renal Functions in Broilers Fed a Diet Containing Aflatoxin B1. International Journal of Environmental Research and Public Health, 12(9), 11196-11208. https://doi.org/10.3390/ijerph120911196

