Structural and Immunological Insights into the Lipooligosaccharide of the Marine Bacterium Kangiella japonica KMM 3897
Abstract
1. Introduction
2. Results
2.1. LOS Extraction, Purification, and Characterization
2.2. Structural Elucidation of the Core Oligosaccharide via NMR Spectroscopy
2.3. MALDI-TOF Mass Spectrometry Analysis of Lipid A
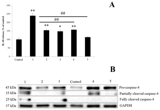
2.4. Immunological Properties of LOS
3. Discussion
4. Materials and Methods
4.1. Materials
4.2. Bacterial Strain, Isolation, and Purification of LOS, OS, and Lipid A
4.3. Chemical Analysis of LOS
4.4. NMR Spectroscopy and MALDI-TOF MS Analysis
4.5. Human PMBCs’ Isolation, Stimulation, and Cytokine Measurement
4.6. Protein Preparation and Western Blotting
4.7. Data Analysis
5. Conclusions
Supplementary Materials
Author Contributions
Funding
Institutional Review Board Statement
Informed Consent Statement
Data Availability Statement
Acknowledgments
Conflicts of Interest
References
- Rothschild, L.J.; Mancinelli, R.L. Life in extreme environments. Nature 2001, 409, 1092–1101. [Google Scholar] [CrossRef]
- Shu, W.S.; Huang, L.N. Microbial diversity in extreme environments. Nat. Rev. Microbiol. 2022, 20, 219–235. [Google Scholar] [CrossRef]
- Sayed, A.M.; Hassan, M.H.A.; Alhadrami, H.A.; Hassan, H.M.; Goodfellow, M.; Rateb, M.E. Extreme environments: Microbiology leading to specialized metabolites. J. Appl. Microbiol. 2020, 128, 630–657. [Google Scholar] [CrossRef]
- Di Lorenzo, F.; Billod, J.M.; Martín-Santamaría, S.; Silipo, A.; Molinaro, A. Gram-Negative Extremophile Lipopolysaccharides: Promising Source of Inspiration for a New Generation of Endotoxin Antagonists. Eur. J. Org. Chem. 2017, 2017, 4055–4073. [Google Scholar] [CrossRef]
- Di Lorenzo, F.; Duda, K.A.; Lanzetta, R.; Silipo, A.; De Castro, C.; Molinaro, A. A Journey from Structure to Function of Bacterial Lipopolysaccharides. Chem. Rev. 2022, 122, 15767–15821. [Google Scholar] [CrossRef] [PubMed]
- Molinaro, A.; Holst, O.; Di Lorenzo, F.; Callaghan, M.; Nurisso, A.; D’Errico, G.; Zamyatina, A.; Peri, F.; Berisio, R.; Jerala, R.; et al. Chemistry of lipid A: At the heart of innate immunity. Chemistry 2015, 21, 500–519. [Google Scholar] [CrossRef]
- Garcia-Vello, P.; Di Lorenzo, F.; Zucchetta, D.; Zamyatina, A.; De Castro, C.; Molinaro, A. Lipopolysaccharide lipid A: A promising molecule for new immunity-based therapies and antibiotics. Pharmacol. Ther. 2022, 230, 107970. [Google Scholar] [CrossRef] [PubMed]
- Saha, S.; Pupo, E.; Zariri, A.; Van der Ley, P. Lipid A heterogeneity and its role in the host interactions with pathogenic and commensal bacteria. Microlife 2022, 3, uqac011. [Google Scholar] [CrossRef] [PubMed]
- De Chiara, S.; De Simone Carone, L.; Cirella, R.; Andretta, E.; Silipo, A.; Molinaro, A.; Mercogliano, M.; Di Lorenzo, F. Beyond the Toll-Like Receptor 4. Structure-Dependent Lipopolysaccharide Recognition Systems: How far are we? ChemMedChem 2025, 20, e202400780. [Google Scholar] [CrossRef]
- Zamyatina, A.; Heine, H. Lipopolysaccharide Recognition in the Crossroads of TLR4 and Caspase-4/11 Mediated Inflammatory Pathways. Front. Immunol. 2020, 11, 585146. [Google Scholar] [CrossRef]
- Harberts, E.M.; Grubaugh, D.; Akuma, D.C.; Shin, S.; Ernst, R.K.; Brodsky, I.E. Position-Specific Secondary Acylation Determines Detection of Lipid A by Murine TLR4 and Caspase-11. Infect. Immun. 2022, 90, e0020122. [Google Scholar] [CrossRef]
- Shimoyama, A.; Fukase, K. Lipid A-Mediated Bacterial-Host Chemical Ecology: Synthetic Research of Bacterial Lipid As and Their Development as Adjuvants. Molecules 2021, 26, 6294. [Google Scholar] [CrossRef]
- Strobl, S.; Hofbauer, K.; Heine, H.; Zamyatina, A. Lipid A Mimetics Based on Unnatural Disaccharide Scaffold as Potent TLR4 Agonists for Prospective Immunotherapeutics and Adjuvants. Chemistry 2022, 28, e202200547. [Google Scholar] [CrossRef] [PubMed]
- Heine, H.; Zamyatina, A. Therapeutic Targeting of TLR4 for Inflammation, Infection, and Cancer: A Perspective for Disaccharide Lipid A Mimetics. Pharmaceuticals 2022, 16, 23. [Google Scholar] [CrossRef] [PubMed]
- Borio, A.; Holgado, A.; Passegger, C.; Strobl, H.; Beyaert, R.; Heine, H.; Zamyatina, A. Exploring Species-Specificity in TLR4/MD-2 Inhibition with Amphiphilic Lipid A Mimicking Glycolipids. Molecules 2023, 28, 5948. [Google Scholar] [CrossRef] [PubMed]
- Cochet, F.; Peri, F. The Role of Carbohydrates in the Lipopolysaccharide (LPS)/Toll-Like Receptor 4 (TLR4) Signalling. Int. J. Mol. Sci. 2017, 18, 2318. [Google Scholar] [CrossRef]
- Matamoros-Recio, A.; Merino, J.; Gallego-Jiménez, A.; Conde-Alvarez, R.; Fresno, M.; Martín-Santamaría, S. Immune evasion through Toll-like receptor 4: The role of the core oligosaccharides from α2-Proteobacteria atypical lipopolysaccharides. Carbohydr. Polym. 2023, 318, 121094. [Google Scholar] [CrossRef]
- Alexander-Floyd, J.; Bass, A.R.; Harberts, E.M.; Grubaugh, D.; Buxbaum, J.D.; Brodsky, I.E.; Ernst, R.K.; Shin, S.; Bäumler, A.J. Lipid A Variants Activate Human TLR4 and the Noncanonical Inflammasome Differently and Require the Core Oligosaccharide for Inflammasome Activation. Infect. Immun. 2022, 90, e0020822. [Google Scholar] [CrossRef]
- Romanenko, L.A.; Tanaka, N.; Frolova, G.M.; Mikhailov, V.V. Kangiella japonica sp. nov., isolated from a marine environment. Int. J. Syst. Evol. Microbiol. 2010, 60, 2583–2586. [Google Scholar] [CrossRef]
- Kokoulin, M.S.; Kuzmich, A.S.; Romanenko, L.A.; Chikalovets, I.V. Structure and in vitro antiproliferative activity against breast cancer cells of the cell-wall polysaccharide from the marine bacterium Kangiella japonica KMM 3899T. Carbohydr. Polym. 2024, 341, 122360. [Google Scholar] [CrossRef]
- Kokoulin, M.S.; Kuzmich, A.S.; Romanenko, L.A.; Chikalovets, I.V. Sulfated capsular polysaccharide from the marine bacterium Kangiella japonica inhibits T-47D cells growth in vitro. Carbohydr. Polym. 2022, 290, 119477. [Google Scholar] [CrossRef]
- Kuzmich, A.S.; Romanenko, L.A.; Kokoulin, M.S. Cell-cycle arrest and mitochondria-dependent apoptosis induction in T-47D cells by the capsular polysaccharide from the marine bacterium Kangiella japonica KMM 3897. Carbohydr. Polym. 2023, 320, 121237. [Google Scholar] [CrossRef]
- Galanos, C.; Lüderitz, O.; Westphal, O.A. New method for the extraction of R lipopolysaccharides. Eur. J. Biochem. 1969, 9, 245–249. [Google Scholar] [CrossRef]
- Lenter, M.; Jann, B.; Jann, K. Structure of the K16 antigen from Escherichia coli O7:K16:H: A Kdo-containing capsular polysaccharide. Carbohydr. Res. 1990, 197, 197–204. [Google Scholar] [CrossRef]
- Di Guida, R.; Casillo, A.; Stellavato, A.; Di Meo, C.; Kawai, S.; Kawamoto, J.; Ogawa, T.; Kurihara, T.; Schiraldi, C.; Corsaro, M.M. Complete Lipooligosaccharide Structure from Pseudoalteromonas nigrifaciens Sq02-Rifr and Study of Its Immunomodulatory Activity. Mar. Drugs 2021, 19, 646. [Google Scholar] [CrossRef]
- Bock, K.; Pedersen, C. Carbon-13 Nuclear Magnetic Resonance Spectroscopy of Monosaccharides. Adv. Carbohydr. Chem. Biochem. 1983, 41, 27–66. [Google Scholar] [CrossRef]
- Costello, C.E.; Vath, J.E. Tandem mass spectrometry of glycolipids. Methods Enzymol. 1990, 193, 738–768. [Google Scholar] [CrossRef] [PubMed]
- Di Lorenzo, F.; Palmigiano, A.; Paciello, I.; Pallach, M.; Garozzo, D.; Bernardini, M.L.; La Cono, V.; Yakimov, M.M.; Molinaro, A.; Silipo, A. The Deep-Sea Polyextremophile Halobacteroides lacunaris TB21 Rough-Type LPS: Structure and inhibitory activity towards toxic LPS. Mar. Drugs 2017, 15, 201. [Google Scholar] [CrossRef] [PubMed]
- Kokoulin, M.S.; Sokolova, E.V.; Elkin, Y.N.; Romanenko, L.A.; Mikhailov, V.V.; Komandrova, N.A. Partial structure and immunological properties of lipopolysaccharide from marine-derived Pseudomonas stutzeri KMM 226. Antonie Van Leeuwenhoek 2017, 110, 1569–1580. [Google Scholar] [CrossRef]
- Barrau, C.; Di Lorenzo, F.; Menes, R.J.; Lanzetta, R.; Molinaro, A.; Silipo, A. The Structure of the Lipid A from the Halophilic Bacterium Spiribacter salinus M19-40T. Mar. Drugs 2018, 16, 124. [Google Scholar] [CrossRef]
- Pallach, M.; Di Lorenzo, F.; Duda, K.A.; Le Pennec, G.; Molinaro, A.; Silipo, A. The Lipid A Structure from the Marine Sponge Symbiont Endozoicomonas sp. HEX 311. Chembiochem 2019, 20, 230–236. [Google Scholar] [CrossRef]
- Pither, M.D.; Mantova, G.; Scaglione, E.; Pagliuca, C.; Colicchio, R.; Vitiello, M.; Chernikov, O.V.; Hua, K.-F.; Kokoulin, M.S.; Silipo, A.; et al. The unusual lipid a structure and immunoinhibitory activity of LPS from marine Bacteria Echinicola pacifica KMM 6172T and Echinicola vietnamensis KMM 6221T. Microorganisms 2021, 9, 2552. [Google Scholar] [CrossRef] [PubMed]
- Pither, M.D.; Sun, M.L.; Speciale, I.; Silipo, A.; Zhang, Y.Z.; Molinaro, A.; Di Lorenzo, F. Structural determination of the lipid A from the deep-sea bacterium Zunongwangia profunda SM-A87: A small-scale approach. Glycoconj. J. 2022, 39, 565–578. [Google Scholar] [CrossRef] [PubMed]
- Cirella, R.; Pagliuca, C.; Pither, M.D.; Scaglione, E.; Nedashkovskaya, O.I.; Chernikov, O.V.; Hua, K.; Colicchio, R.; Vitiello, M.; Kokoulin, M.S.; et al. Pushing the boundaries of structural heterogeneity with the lipid a of marine Bacteria Cellulophaga. ChemBioChem 2023, 24, e202300183. [Google Scholar] [CrossRef]
- Andretta, E.; De Chiara, S.; Pagliuca, C.; Cirella, R.; Scaglione, E.; Di Rosario, M.; Kokoulin, M.S.; Nedashkovskaya, O.I.; Silipo, A.; Salvatore, P.; et al. Increasing outer membrane complexity: The case of the lipopolysaccharide lipid A from marine Cellulophaga pacifica. Glycoconj. J. 2024, 41, 119–131. [Google Scholar] [CrossRef]
- Mercogliano, M.; De Chiara, S.; De Nicola, A.; Cardellini, J.; Montis, C.; Yakimov, M.M.; La Cono, V.; Crisafi, F.; Silipo, A.; Berti, D.; et al. Bucking the trend: Understanding lipopolysaccharide structure and outer membrane dynamics in cold-adapted Pseudomonas isolated from Enigma Lake, Antarctica. Chem. Sci. 2024, 15, 17852–17861. [Google Scholar] [CrossRef] [PubMed]
- Cirella, R.; Andretta, E.; De Simone Carone, L.; Olmeo, F.; Sun, M.L.; Zhang, Y.Z.; Mercogliano, M.; Molinaro, A.; Silipo, A.; Di Lorenzo, F. Cold-Adapted Lipid A from Polaribacter sp. SM1127: A Study of Structural Heterogeneity and Immunostimulatory Properties. Chembiochem 2025, 26, e2500100. [Google Scholar] [CrossRef]
- De Chiara, S.; Olmeo, F.; Andretta, E.; De Simone Carone, L.; Mercogliano, M.; Belova, V.S.; Romanenko, L.A.; Kokoulin, M.S.; Silipo, A.; Molinaro, A.; et al. Signals from the Sea: The Structural Peculiarity of Lipid A and Weak Immunostimulatory Lipopolysaccharide from Rheinheimera japonica. RSC Chem. Biol. 2025, 6, 1414–1425. [Google Scholar] [CrossRef]
- Di Lorenzo, F.; Palmigiano, A.; Albitar-Nehme, S.; Pallach, M.; Kokoulin, M.; Komandrova, N.; Romanenko, L.; Bernardini, M.L.; Garozzo, D.; Molinaro, A.; et al. Lipid A structure and immunoinhibitory effect of the marine bacterium Cobetia pacifica KMM 3879T. Eur. J. Org. Chem. 2018, 2018, 2707–2716. [Google Scholar] [CrossRef]
- Silipo, A.; Sturiale, L.; Perino, V.; Garozzo, D.; Lanzetta, R.; Parrilli, M.; Molinaro, A. The structure of the carbohydrate backbone of the lipooligosaccharide from the halophilic bacterium Arcobacter halophilus. Carbohydr. Res. 2010, 345, 850–853. [Google Scholar] [CrossRef]
- Ieranò, T.; Silipo, A.; Nazarenko, E.L.; Gorshkova, R.P.; Ivanova, E.P.; Garozzo, D.; Sturiale, L.; Lanzetta, R.; Parrilli, M.; Molinaro, A. Against the rules: A marine bacterium, Loktanella rosea, possesses a unique lipopolysaccharide. Glycobiology 2010, 20, 586–593. [Google Scholar] [CrossRef]
- Di Guida, R.; Casillo, A.; Yokoyama, F.; Kawamoto, J.; Kurihara, T.; Corsaro, M.M. Detailed Structural Characterization of the Lipooligosaccharide from the Extracellular Membrane Vesicles of Shewanella vesiculosa HM13. Mar. Drugs 2020, 18, 231. [Google Scholar] [CrossRef]
- Kokoulin, M.S.; Dmitrenok, P.S.; Romanenko, L.A. Structure of the Lipooligosaccharide from the Deep-Sea Marine Bacterium Idiomarina zobellii KMM 231T, isolated at a depth of 4000 meters. Mar. Drugs 2022, 20, 700. [Google Scholar] [CrossRef] [PubMed]
- Gauthier, A.E.; Chandler, C.E.; Poli, V.; Gardner, F.M.; Tekiau, A.; Smith, R.; Bonham, K.S.; Cordes, E.E.; Shank, T.M.; Zanoni, I.; et al. Deep-sea microbes as tools to refine the rules of innate immune pattern recognition. Sci. Immunol. 2021, 6, eabe0531. [Google Scholar] [CrossRef] [PubMed]
- Komandrova, N.A.; Kokoulin, M.S.; Isakov, V.V.; Tomshich, S.V.; Romanenko, N.A. Structure of the O-specific polysaccharide from a marine bacterium Oceanisphaera litoralis KMM 3654T containing ManNAcA. Carbohydr. Res. 2012, 347, 178–181. [Google Scholar] [CrossRef] [PubMed]
- Gerwig, G.J.; Kamerling, J.P.; Vliegenthart, J.F.G. Determination of the absolute configuration of monosaccharides in complex carbohydrates by capillary G.L.C. Carbohydr. Res. 1979, 77, 1–7. [Google Scholar] [CrossRef]









| Sugar Residue | H-1 C-1 | H-2 C-2 | H-3eq,ax C-3 | H-4 C-4 | H-5 C-5 | H-6a,b C-6 | H-7a,b C-7 | H-8a,b C-8 |
|---|---|---|---|---|---|---|---|---|
| →6)-α-D-GlcpN1P | 5.74 | 3.45 | 3.93 | 3.52 | 4.12 | 4.27, 3.89 | ||
| A | 92.9 | 55.2 | 70.6 | 70.8 | 73.7 | 70.1 | ||
| →6)-β-D-GlcpN4P-(1→ | 4.88 | 3.16 | 3.91 | 3.95 | 3.77 | 3.79, 3.63 | ||
| B | 100.1 | 56.7 | 72.8 | 75.3 | 74.9 | 63.8 | ||
| →5)-α-Kdop4P-(1→ | 2.29, 2.12 | 4.60 | 4.34 | 3.86 | 3.87 | 3.91, 3.69 | ||
| C | 173.4 | 100.3 | 35.0 | 70.8 | 73.7 | 70.2 | 73.2 | 64.4 |
| →4)-α-D,D-Hepp-(1→ | 5.13 | 4.11 | 4.11 | 4.07 | 4.30 | 4.04 | 3.76, 3.88 | |
| D | 101.0 | 70.8 | 70.1 | 78.1 | 73.4 | 72.9 | 63.5 | |
| β-D-GlcpN-(1→ | 4.92 | 3.14 | 3.71 | 3.52 | 3.54 | 3.93, 3.78 | ||
| E | 98.8 | 57.0 | 73.2 | 70.8 | 77.6 | 61.5 |
| Lipid A (Figure 4) | ||
|---|---|---|
| Predicted Mass (Da) | Observed Ion Peaks (m/z) | Proposed Composition |
| 1544.9 | 1543.4 | HexN2, P2, [i11:0(3-OH)]4, i11:0 (or 11:0), 9:0 |
| 1404.8 | 1403.4 | HexN2, P2, [i11:0(3-OH)]4, i11:0 (or 11:0) |
| 1348.8 | 1347.4 | HexN2, P2, [i11:0(3-OH)]4, 7:0 |
| 1324.9 | 1323.4 | HexN2, P, [i11:0(3-OH)]4, i11:0 (or 11:0) |
| 1220.7 | 1219.3 | HexN2, P2, [i11:0(3-OH)]3, i11:0 (or 11:0) |
| 1140.7 | 1139.4 | HexN2, P, [i11:0(3-OH)]3, i11:0 (or 11:0) |
Disclaimer/Publisher’s Note: The statements, opinions and data contained in all publications are solely those of the individual author(s) and contributor(s) and not of MDPI and/or the editor(s). MDPI and/or the editor(s) disclaim responsibility for any injury to people or property resulting from any ideas, methods, instructions or products referred to in the content. |
© 2025 by the authors. Licensee MDPI, Basel, Switzerland. This article is an open access article distributed under the terms and conditions of the Creative Commons Attribution (CC BY) license (https://creativecommons.org/licenses/by/4.0/).
Share and Cite
Filshtein, A.P.; Belova, V.S.; Kuzmich, A.S.; Romanenko, L.A.; Kokoulin, M.S. Structural and Immunological Insights into the Lipooligosaccharide of the Marine Bacterium Kangiella japonica KMM 3897. Mar. Drugs 2025, 23, 345. https://doi.org/10.3390/md23090345
Filshtein AP, Belova VS, Kuzmich AS, Romanenko LA, Kokoulin MS. Structural and Immunological Insights into the Lipooligosaccharide of the Marine Bacterium Kangiella japonica KMM 3897. Marine Drugs. 2025; 23(9):345. https://doi.org/10.3390/md23090345
Chicago/Turabian StyleFilshtein, Alina P., Vlada S. Belova, Alexandra S. Kuzmich, Lyudmila A. Romanenko, and Maxim S. Kokoulin. 2025. "Structural and Immunological Insights into the Lipooligosaccharide of the Marine Bacterium Kangiella japonica KMM 3897" Marine Drugs 23, no. 9: 345. https://doi.org/10.3390/md23090345
APA StyleFilshtein, A. P., Belova, V. S., Kuzmich, A. S., Romanenko, L. A., & Kokoulin, M. S. (2025). Structural and Immunological Insights into the Lipooligosaccharide of the Marine Bacterium Kangiella japonica KMM 3897. Marine Drugs, 23(9), 345. https://doi.org/10.3390/md23090345

