Wild or Reared? Cassiopea andromeda Jellyfish as a Potential Biofactory
Abstract
1. Introduction
2. Results and Discussion
2.1. Holobiont Biomass Characterization
2.1.1. Biometric Data
2.1.2. Symbiont Identification and Quantification in Cassiopea andromeda Specimens
2.2. Biochemical Characterization
2.2.1. Hydroalcoholic Extraction
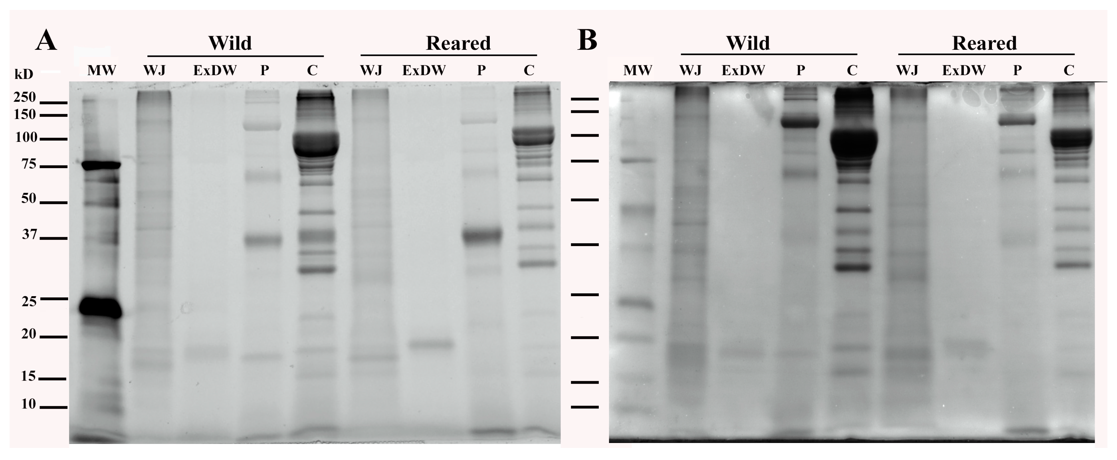
2.2.2. Soluble and Insoluble Protein Content
2.2.3. Identification and Quantification of Microalgal Pigments in Hydroalcoholic Extracts
2.3. Fractionation and Characterization of Hydroalcoholic Soluble Compounds
2.3.1. Lipid Content and Fatty Acid Composition
2.3.2. Protein and Phenol Content in Hydroalcoholic Extracts and in Their Lipophilic Upper Phase (UP) and Hydrophilic Lower Phase (LP)
2.3.3. Pigment Analysis in the Lipophilic Upper Phase (UP), Intermediate Phase (IP), and Hydrophilic Lower Phase (LP) of Hydroalcoholic Extracts
2.3.4. Antioxidant Activity in Hydroalcoholic Extracts and in Its Lipophilic Upper Phase (UP) and Hydrophilic Lower Phase (LP)
3. Materials and Methods
3.1. Rearing of Cassiopea Andromeda Jellyfish
3.2. Wild Specimen Collection
3.3. Symbiont Identification
3.4. Symbiont Quantification
3.5. Hydroalcoholic Extraction and Its Fractionation into Phases
3.6. Protein Hydrolysis
3.7. Protein Quantification and SDS-PAGE Analysis
3.8. Pigment Identification and Quantification
3.9. Lipid Extraction and Fatty Acid Identification
3.10. Phenol Content and Antioxidant Activity Determination
3.11. Statistical Analysis
4. Conclusions
Supplementary Materials
Author Contributions
Funding
Institutional Review Board Statement
Data Availability Statement
Acknowledgments
Conflicts of Interest
References
- Abe, Y.; Hisada, M. On a New Rearing Method of Common Jellyfish, Aurelia aurita. Bull. Mar. Biol. Stn. Asamushi 1969, 13, 205–207. [Google Scholar]
- Omori, M.; Nakano, E. Jellyfish Fisheries in Southeast Asia. Hydrobiologia 2001, 451, 19–26. [Google Scholar] [CrossRef]
- Dong, J.; Jiang, L.X.; Tan, K.F.; Liu, H.Y.; Purcell, J.E.; Li, P.J.; Ye, C.C. Stock Enhancement of the Edible Jellyfish (Rhopilema Esculentum Kishinouye) in Liaodong Bay, China: A Review. Hydrobiologia 2009, 616, 113–118. [Google Scholar] [CrossRef]
- Merquiol, L.; Romano, G.; Ianora, A.; D’Ambra, I. Biotechnological Applications of Scyphomedusae. Mar. Drugs 2019, 17, 604. [Google Scholar] [CrossRef]
- Cheng, X.; Shao, Z.; Li, C.; Yu, L.; Raja, M.A.; Liu, C. Isolation, Characterization and Evaluation of Collagen from Jellyfish Rhopilema esculentum Kishinouye for Use in Hemostatic Applications. PLoS ONE 2017, 12, e0169731. [Google Scholar] [CrossRef] [PubMed]
- Steinberger, L.R.; Gulakhmedova, T.; Barkay, Z.; Gozin, M.; Richter, S. Jellyfish-Based Plastic. Adv. Sustain. Syst. 2019, 3, 1900016. [Google Scholar] [CrossRef]
- Addad, S.; Exposito, J.Y.; Faye, C.; Ricard-Blum, S.; Lethias, C. Isolation, Characterization and Biological Evaluation of Jellyfish Collagen for Use in Biomedical Applications. Mar. Drugs 2011, 9, 967. [Google Scholar] [CrossRef] [PubMed]
- Leone, A.; Lecci, R.M.; Durante, M.; Piraino, S. Extract from the Zooxanthellate Jellyfish Cotylorhiza tuberculata Modulates Gap Junction Intercellular Communication in Human Cell Cultures. Mar. Drugs 2013, 11, 1728–1762. [Google Scholar] [CrossRef] [PubMed]
- Amreen Nisa, S.; Vinu, D.; Krupakar, P.; Govindaraju, K.; Sharma, D.; Vivek, R. Jellyfish Venom Proteins and Their Pharmacological Potentials: A Review. Int. J. Biol. Macromol. 2021, 176, 424–436. [Google Scholar] [CrossRef]
- Zhuang, Y.; Hou, H.; Zhao, X.; Zhang, Z.; Li, B. Effects of Collagen and Collagen Hydrolysate from Jellyfish (Rhopilema esculentum) on Mice Skin Photoaging Induced by UV Irradiation. J. Food Sci. 2009, 74, H183–H188. [Google Scholar] [CrossRef]
- Fan, J.; Zhuang, Y.; Li, B. Effects of Collagen and Collagen Hydrolysate from Jellyfish Umbrella on Histological and Immunity Changes of Mice Photoaging. Nutrients 2013, 5, 223–233. [Google Scholar] [CrossRef]
- Leone, A.; Lecci, R.M.; Durante, M.; Meli, F.; Piraino, S. The Bright Side of Gelatinous Blooms: Nutraceutical Value and Antioxidant Properties of Three Mediterranean Jellyfish (Scyphozoa). Mar. Drugs 2015, 13, 4654–4681. [Google Scholar] [CrossRef]
- Mitchell Crow, J.; Leone, A. Braving Stings to Put Jellyfish on the Menu. Nature 2022, 611, 628. [Google Scholar] [CrossRef]
- Leone, A.; De Domenico, S.; Medoro, C.; Cianciabella, M.; Daniele, G.M.; Predieri, S. Development of Sensory Lexicon for Edible Jellyfish. Agriculture 2022, 12, 1842. [Google Scholar] [CrossRef]
- De Domenico, S.; De Rinaldis, G.; Mammone, M.; Bosch-Belmar, M.; Piraino, S.; Leone, A. The Zooxanthellate Jellyfish Holobiont Cassiopea andromeda, a Source of Soluble Bioactive Compounds. Mar. Drugs 2023, 21, 272. [Google Scholar] [CrossRef] [PubMed]
- Khong, N.M.H.; Yusoff, F.M.; Jamilah, B.; Basri, M.; Maznah, I.; Chan, K.W.; Nishikawa, J. Nutritional Composition and Total Collagen Content of Three Commercially Important Edible Jellyfish. Food Chem. 2016, 196, 953–960. [Google Scholar] [CrossRef] [PubMed]
- Prieto, L.; Enrique-Navarro, A.; Volsi, R.L.; Ortega, M.J. The Large Jellyfish Rhizostoma luteum as Sustainable a Resource for Antioxidant Properties, Nutraceutical Value and Biomedical Applications. Mar. Drugs 2018, 16, 396. [Google Scholar] [CrossRef] [PubMed]
- Bleve, G.; Ramires, F.A.; Gallo, A.; Leone, A. Identification of Safety and Quality Parameters for Preparation of Jellyfish Based Novel Food Products. Foods 2019, 8, 263. [Google Scholar] [CrossRef] [PubMed]
- Leone, A.; Lecci, R.M.; Milisenda, G.; Piraino, S. Mediterranean Jellyfish as Novel Food: Effects of Thermal Processing on Antioxidant, Phenolic, and Protein Contents. Eur. Food Res. Technol. 2019, 245, 1611–1627. [Google Scholar] [CrossRef]
- De Domenico, S.; De Rinaldis, G.; Paulmery, M.; Piraino, S.; Leone, A. Barrel Jellyfish (Rhizostoma pulmo) as Source of Antioxidant Peptides. Mar. Drugs 2019, 17, 134. [Google Scholar] [CrossRef] [PubMed]
- Bleve, G.; Ramires, F.A.; De Domenico, S.; Leone, A. An Alum-Free Jellyfish Treatment for Food Applications. Front. Nutr. 2021, 8, 718798. [Google Scholar] [CrossRef] [PubMed]
- Ramires, F.A.; Bleve, G.; De Domenico, S.; Leone, A. Combination of Solid State and Submerged Fermentation Strategies to Produce a New Jellyfish-Based Food. Foods 2022, 11, 3974. [Google Scholar] [CrossRef] [PubMed]
- Ramires, F.A.; De Domenico, S.; Migoni, D.; Fanizzi, F.P.; Angel, D.L.; Slizyte, R.; Klun, K.; Bleve, G.; Leone, A. Optimization of a Calcium-Based Treatment Method for Jellyfish to Design Food for the Future. Foods 2022, 11, 2697. [Google Scholar] [CrossRef]
- De Rinaldis, G.; Leone, A.; De Domenico, S.; Bosch-Belmar, M.; Slizyte, R.; Milisenda, G.; Santucci, A.; Albano, C.; Piraino, S. Biochemical Characterization of Cassiopea andromeda (Forsskål, 1775), Another Red Sea Jellyfish in the Western Mediterranean Sea. Mar. Drugs 2021, 19, 498. [Google Scholar] [CrossRef] [PubMed]
- Stabili, L.; Rizzo, L.; Caprioli, R.; Leone, A.; Piraino, S. Jellyfish Bioprospecting in the Mediterranean Sea: Antioxidant and Lysozyme-like Activities from Aurelia coerulea (Cnidaria, Scyphozoa) Extracts. Mar. Drugs 2021, 19, 619. [Google Scholar] [CrossRef]
- Teng, L.; Wang, X.; Yu, H.; Li, R.; Geng, H.; Xing, R.; Liu, S.; Li, P. Jellyfish Peptide as an Alternative Source of Antioxidant. Antioxidants 2023, 12, 742. [Google Scholar] [CrossRef]
- Enrique-Navarro, A.; Huertas, E.; Flander-Putrle, V.; Bartual, A.; Navarro, G.; Ruiz, J.; Malej, A.; Prieto, L. Living Inside a Jellyfish: The Symbiosis Case Study of Host-Specialized Dinoflagellates, “Zooxanthellae”, and the Scyphozoan Cotylorhiza tuberculata. Front. Mar. Sci. 2022, 9, 817312. [Google Scholar] [CrossRef]
- Venn, A.A.; Loram, J.E.; Douglas, A.E. Photosynthetic Symbioses in Animals. J. Exp. Bot. 2008, 59, 1069–1080. [Google Scholar] [CrossRef] [PubMed]
- Decelle, J.; Colin, S.; Foster, R.A. Photosymbiosis in Marine Planktonic Protists. In Marine Protists: Diversity and Dynamics; Springer: Berlin/Heidelberg, Germany, 2015; pp. 465–500. [Google Scholar] [CrossRef]
- Yellowlees, D.; Rees, T.A.V.; Leggat, W. Metabolic Interactions between Algal Symbionts and Invertebrate Hosts. Plant. Cell Environ. 2008, 31, 679–694. [Google Scholar] [CrossRef]
- Thornhill, D.J.; Daniel, M.W.; LaJeunesse, T.C.; Schmidt, G.W.; Fitt, W.K. Natural Infections of Aposymbiotic Cassiopea xamachana Scyphistomae from Environmental Pools of Symbiodinium. J. Exp. Mar. Bio. Ecol. 2006, 338, 50–56. [Google Scholar] [CrossRef]
- Mortillaro, J.M.; Pitt, K.A.; Lee, S.Y.; Meziane, T. Light Intensity Influences the Production and Translocation of Fatty Acids by Zooxanthellae in the Jellyfish Cassiopea sp. J. Exp. Mar. Bio. Ecol. 2009, 378, 22–30. [Google Scholar] [CrossRef]
- Lampert, K.P.; Bürger, P.; Striewski, S.; Tollrian, R. Lack of Association between Color Morphs of the Jellyfish Cassiopea andromeda and Zooxanthella Clade. Mar. Ecol. 2012, 33, 364–369. [Google Scholar] [CrossRef]
- Mellas, R.E.; McIlroy, S.E.; Fitt, W.K.; Coffroth, M.A. Variation in Symbiont Uptake in the Early Ontogeny of the Upside-down Jellyfish, Cassiopea spp. J. Exp. Mar. Bio. Ecol. 2014, 459, 38–44. [Google Scholar] [CrossRef]
- Leblond, J.D.; Khadka, M.; Duong, L.; Dahmen, J.L. Squishy Lipids: Temperature Effects on the Betaine and Galactolipid Profiles of a C18/C18 Peridinin-Containing Dinoflagellate, Symbiodinium microadriaticum (Dinophyceae), Isolated from the Mangrove Jellyfish, Cassiopea xamachana. Phycol. Res. 2015, 63, 219–230. [Google Scholar] [CrossRef]
- Schembri, P.J.; Deidun, A.; Vella, P.J. First Record of Cassiopea andromeda (Scyphozoa: Rhizostomeae: Cassiopeidae) from the Central Mediterranean Sea. Mar. Biodivers. Rec. 2010, 3, e6. [Google Scholar] [CrossRef][Green Version]
- Piraino, S.; Deidun, A.; Fuentes, V.; Daly Yahia, N.; Kefi Daly Yahia, O.; Marambio, M.; Gueroun, S. Guidelines for the Identification of Mediterranean Jellyfish and Other Gelatinous Organisms, with a First Aid Protocol for Possible Sting Treatment; Jellyrisk: Timoline, Italy, 2014. [Google Scholar]
- Amor, K.O.B.; Rifi, M.; Ghanem, R.; Draief, I.; Zaouali, J.; Ben Souissi, J. Update of Alien Fauna and New Records from Tunisian Marine Waters. Mediterr. Mar. Sci. 2015, 17, 124–143. [Google Scholar] [CrossRef]
- Cillari, T.; Andaloro, F.; Castriota, L. First Documented Record of Cassiopea Cf andromeda (Cnidaria: Scyphozoa) in Italian Waters. Cah. Biol. Mar. 2018, 59, 193–195. [Google Scholar] [CrossRef]
- Maggio, T.; Allegra, A.; Bosch-Belmar, M.; Cillari, T.; Cuttitta, A.; Falautano, M.; Milisenda, G.; Nicosia, A.; Perzia, P.; Sinopoli, M.; et al. Molecular Identity of the Non-Indigenous Cassiopea sp. from Palermo Harbour (Central Mediterranean Sea). J. Mar. Biol. Assoc. 2019, 99, 1765–1773. [Google Scholar] [CrossRef]
- LaJeunesse, T.C.; Parkinson, J.E.; Gabrielson, P.W.; Jeong, H.J.; Reimer, J.D.; Voolstra, C.R.; Santos, S.R. Systematic Revision of Symbiodiniaceae Highlights the Antiquity and Diversity of Coral Endosymbionts. Curr. Biol. 2018, 28, 2570–2580.e6. [Google Scholar] [CrossRef]
- Djeghri, N.; Pondaven, P.; Stibor, H.; Dawson, M.N. Review of the Diversity, Traits, and Ecology of Zooxanthellate Jellyfishes. Mar. Biol. 2019, 166, 147. [Google Scholar] [CrossRef]
- Onodera, K.I.; Konishi, Y.; Taguchi, T.; Kiyoto, S.; Tominaga, A. Peridinin from the Marine Symbiotic Dinoflagellate, Symbiodinium sp., Regulates Eosinophilia in Mice. Mar. Drugs 2014, 12, 1773–1787. [Google Scholar] [CrossRef] [PubMed]
- Jeffrey, S.W.; Wright, S. Photosynthetic Pigments in Marine Microalgae: Insights from Cultures and the Sea. Algal Cult. Analog. Bloom. Appl. 2006, 1, 33–90. [Google Scholar]
- Jiang, J.; Zhang, H.; Kang, Y.; Bina, D.; Lo, C.S.; Blankenship, R.E. Characterization of the Peridinin-Chlorophyll a-Protein Complex in the Dinoflagellate Symbiodinium. Biochim. Biophys. Acta 2012, 1817, 983–989. [Google Scholar] [CrossRef]
- Qiu, S.; Yuan, Y.; Li, X.; Zhao, C.; He, Y.; Tang, B.; Wang, W.; Fan, J. Peridinin-Chlorophyll-Protein Complex Industry from Algae: A Critical Review of the Current Advancements, Hurdles, and Biotechnological Potential. Algal Res. 2023, 72, 103118. [Google Scholar] [CrossRef]
- Dove, S.; Ortiz, J.C.; Enríquez, S.; Fine, M.; Fisher, P.; Iglesias-Prieto, R.; Thornhill, D.; Hoegh-Guldberg, O. Response of Holosymbiont Pigments from the Scleractinian Coral Montipora monasteriata to Short-Term Heat Stress. Limnol. Oceanogr. 2006, 51, 1149–1158. [Google Scholar] [CrossRef][Green Version]
- Venn, A.A.; Wilson, M.A.; Trapido-Rosenthal, H.G.; Keely, B.J.; Douglas, A.E. The Impact of Coral Bleaching on the Pigment Profile of the Symbiotic Alga, Symbiodinium. Plant. Cell Environ. 2006, 29, 2133–2142. [Google Scholar] [CrossRef] [PubMed]
- Matsuoka, R.; Awai, K.; Shioi, Y. Pigment Composition and Pigment-Protein Complex from Symbiodinium sp. Strain Y106. In Proceedings of the 12th International Coral Reef Symposium, Cairns, Australia, 9–13 July 2012; pp. 9–13. [Google Scholar]
- Papina, M.; Meziane, T.; Van Woesik, R. Symbiotic Zooxanthellae Provide the Host-Coral Montipora digitata with Polyunsaturated Fatty Acids. Comp. Biochem. Physiol. Part B Biochem. Mol. Biol. 2003, 135, 533–537. [Google Scholar] [CrossRef] [PubMed]
- Treignier, C.; Grover, R.; Ferrier-Pagès, C.; Tolosa, I. Effect of Light and Feeding on the Fatty Acid and Sterol Composition of Zooxanthellae and Host Tissue Isolated from the Scleractinian Coral Turbinaria reniformis. Limnol. Oceanogr. 2008, 53, 2702–2710. [Google Scholar] [CrossRef]
- Valenzuela-Espinoza, E.; Millán-Núñez, R.; Santamaría-del-Ángel, E.; Trees, C.C. Macronutrient Uptake and Carotenoid/Chlorophyll a Ratio in the Dinoflagellate Amphidinium Carteri Hulburt, Cultured under Different Nutrient and Light Conditions. Hidrobiológica 2011, 21, 34–48. [Google Scholar]
- Lim, A.S.; Jeong, H.J.; Ok, J.H.; You, J.H.; Kang, H.C.; Kim, S.J. Effects of Light Intensity and Temperature on Growth and Ingestion Rates of the Mixotrophic Dinoflagellate Alexandrium pohangense. Mar. Biol. 2019, 166, 98. [Google Scholar] [CrossRef]
- Fuentes-Grünewald, C.; Garcés, E.; Alacid, E.; Rossi, S.; Camp, J. Biomass and Lipid Production of Dinoflagellates and Raphidophytes in Indoor and Outdoor Photobioreactors. Mar. Biotechnol. 2013, 15, 37–47. [Google Scholar] [CrossRef]
- Amengual, J. Bioactive Properties of Carotenoids in Human Health. Nutrients 2019, 11, 2388. [Google Scholar] [CrossRef] [PubMed]
- Pacheco, B.S.; dos Santos, M.A.Z.; Schultze, E.; Martins, R.M.; Lund, R.G.; Seixas, F.K.; Colepicolo, P.; Collares, T.; Paula, F.R.; De Pereira, C.M.P. Cytotoxic Activity of Fatty Acids from Antarctic Macroalgae on the Growth of Human Breast Cancer Cells. Front. Bioeng. Biotechnol. 2018, 6, 398299. [Google Scholar] [CrossRef] [PubMed]
- Ishikawa, C.; Jomori, T.; Tanaka, J.; Senba, M.; Mori, N. Peridinin, a Carotenoid, Inhibits Proliferation and Survival of HTLV-1-Infected T-Cell Lines. Int. J. Oncol. 2016, 49, 1713–1721. [Google Scholar] [CrossRef] [PubMed]
- Supasri, K.M.; Kumar, M.; Segečová, A.; McCauley, J.I.; Herdean, A.; Padula, M.P.; O’meara, T.; Ralph, P.J. Characterisation and Bioactivity Analysis of Peridinin-Chlorophyll a-Protein (Pcp) Isolated from Symbiodinium tridacnidorum Cs-73. J. Mar. Sci. Eng. 2021, 9, 1387. [Google Scholar] [CrossRef]
- Ngo, D.H.; Vo, T.S.; Ngo, D.N.; Wijesekara, I.; Kim, S.K. Biological Activities and Potential Health Benefits of Bioactive Peptides Derived from Marine Organisms. Int. J. Biol. Macromol. 2012, 51, 378–383. [Google Scholar] [CrossRef] [PubMed]
- Kumar, V.; Ashok, S.; Park, S. Recent Advances in Biological Production of 3-Hydroxypropionic Acid. Biotechnol. Adv. 2013, 31, 945–961. [Google Scholar] [CrossRef] [PubMed]
- Knuf, C.; Nielsen, J. Aspergilli: Systems Biology and Industrial Applications. Biotechnol. J. 2012, 7, 1147–1155. [Google Scholar] [CrossRef] [PubMed]
- Maas, O.; Maas, O. Die Scyphomedusen Der Siboga-Expedition; Buchhandlung und Druckerei vormals E. J. Brill: Leiden, The Netherlands, 1903. [Google Scholar]
- Elliott, A.; Hobson, V.; Tang, K.W.; Elliott, A.; Hobson, V.; Tang, K.W. Balancing Fishery and Conservation: A Case Study of the Barrel Jellyfish Rhizostoma octopus in South Wales. ICES J. Mar. Sci. 2017, 74, 234–241. [Google Scholar] [CrossRef]
- Purcell, J.E.; Baxter, E.J.; Fuentes, V.L. Jellyfish as Products and Problems of Aquaculture. In Advances in Aquaculture Hatchery Technology; Woodhead Publishing: Sawston, UK, 2013; pp. 404–430. [Google Scholar] [CrossRef]
- Lampert, K.P. Cassiopea and Its Zooxanthellae. In The Cnidaria, Past, Present and Future: The World of Medusa and Her Sisters; Springer: Berlin/Heidelberg, Germany, 2016; pp. 415–423. [Google Scholar] [CrossRef]
- Niedzwiedzki, D.M.; Blankenship, R.E. Excited-State Properties of the Central-Cis Isomer of the Carotenoid Peridinin. Arch. Biochem. Biophys. 2018, 649, 29–36. [Google Scholar] [CrossRef] [PubMed]
- Torres-Pérez, J.L.; Guild, L.S.; Armstrong, R.A.; Corredor, J.; Zuluaga-Montero, A.; Polanco, R. Relative Pigment Composition and Remote Sensing Reflectance of Caribbean Shallow-Water Corals. PLoS ONE 2015, 10, e0143709. [Google Scholar] [CrossRef] [PubMed]
- Viver, T.; Orellana, L.H.; Hatt, J.K.; Urdiain, M.; Díaz, S.; Richter, M.; Antón, J.; Avian, M.; Amann, R.; Konstantinidis, K.T.; et al. The Low Diverse Gastric Microbiome of the Jellyfish Cotylorhiza tuberculata Is Dominated by Four Novel Taxa. Environ. Microbiol. 2017, 19, 3039–3058. [Google Scholar] [CrossRef] [PubMed]
- Léger, P.; Bengtson, D.; Simpson, K.; Sorgeloos, P. The Use and Nutritional Value of Artemia as a Food Source. Oceanogr. Mar. Biol. 1986, 24, 521–623. [Google Scholar]
- Chakraborty, R.D.; Chakraborty, K.; Radhakrishnan, E.V. Variation in Fatty Acid Composition of Artemia salina Nauplii Enriched with Microalgae and Baker’s Yeast for Use in Larviculture. J. Agric. Food Chem. 2007, 55, 4043–4051. [Google Scholar] [CrossRef]
- Kneeland, J.; Hughen, K.; Cervino, J.; Hauff, B.; Eglinton, T. Lipid Biomarkers in Symbiodinium Dinoflagellates: New Indicators of Thermal Stress. Coral Reefs 2013, 32, 923–934. [Google Scholar] [CrossRef]
- Kousparou, C.; Fyrilla, M.; Stephanou, A.; Patrikios, I. DHA/EPA (Omega-3) and LA/GLA (Omega-6) as Bioactive Molecules in Neurodegenerative Diseases. Int. J. Mol. Sci. 2023, 24, 10717. [Google Scholar] [CrossRef] [PubMed]
- Freitas, R.D.S.; Campos, M.M. Protective Effects of Omega-3 Fatty Acids in Cancer-Related Complications. Nutrients 2019, 11, 945. [Google Scholar] [CrossRef]
- Fleming, J.A.; Kris-Etherton, P.M. The Evidence for α-Linolenic Acid and Cardiovascular Disease Benefits: Comparisons with Eicosapentaenoic Acid and Docosahexaenoic Acid. Adv. Nutr. 2014, 5, 863S–876S. [Google Scholar] [CrossRef] [PubMed]
- Mansara, P.P.; Deshpande, R.A.; Vaidya, M.M.; Kaul-Ghanekar, R. Differential Ratios of Omega Fatty Acids (AA/EPA+DHA) Modulate Growth, Lipid Peroxidation and Expression of Tumor Regulatory MARBPs in Breast Cancer Cell Lines MCF7 and MDA-MB-231. PLoS ONE 2015, 10, e0136542. [Google Scholar] [CrossRef]
- Merendino, N.; Costantini, L.; Manzi, L.; Molinari, R.; D’Eliseo, D.; Velotti, F. Dietary ω-3 Polyunsaturated Fatty Acid DHA: A Potential Adjuvant in the Treatment of Cancer. BioMed Res. Int. 2013, 2013, 310186. [Google Scholar] [CrossRef]
- Cichoński, J.; Chrzanowski, G. Microalgae as a Source of Valuable Phenolic Compounds and Carotenoids. Molecules 2022, 27, 8852. [Google Scholar] [CrossRef] [PubMed]
- Mammone, M.; Bosch-Belmar, M.; Milisenda, G.; Castriota, L.; Sinopoli, M.; Allegra, A.; Falautano, M.; Maggio, T.; Rossi, S.; Piraino, S. Reproductive Cycle and Gonadal Output of the Lessepsian Jellyfish Cassiopea andromeda in NW Sicily (Central Mediterranean Sea). PLoS ONE 2023, 18, e0281787. [Google Scholar] [CrossRef] [PubMed]
- Bradford, M.M. A Rapid and Sensitive Method for the Quantitation of Microgram Quantities of Protein Utilizing the Principle of Protein-Dye Binding. Anal. Biochem. 1976, 72, 248–254. [Google Scholar] [CrossRef]
- BLIGH, E.G.; DYER, W.J. A Rapid Method of Total Lipid Extraction and Purification. Can. J. Biochem. Physiol. 1959, 37, 911–917. [Google Scholar] [CrossRef] [PubMed]
- Magalhães, L.M.; Santos, F.; Segundo, M.A.; Reis, S.; Lima, J.L.F.C. Rapid Microplate High-Throughput Methodology for Assessment of Folin-Ciocalteu Reducing Capacity. Talanta 2010, 83, 441–447. [Google Scholar] [CrossRef]
- Re, R.; Pellegrini, N.; Proteggente, A.; Pannala, A.; Yang, M.; Rice-Evans, C. Antioxidant Activity Applying an Improved ABTS Radical Cation Decolorization Assay. Free Radic. Biol. Med. 1999, 26, 1231–1237. [Google Scholar] [CrossRef] [PubMed]
- Sun, X.M.; Ren, L.J.; Zhao, Q.Y.; Ji, X.J.; Huang, H. Microalgae for the Production of Lipid and Carotenoids: A Review with Focus on Stress Regulation and Adaptation. Biotechnol. Biofuels 2018, 11, 272. [Google Scholar] [CrossRef]
- De Luca, M.; Pappalardo, I.; Limongi, A.R.; Viviano, E.; Radice, R.P.; Todisco, S.; Martelli, G.; Infantino, V.; Vassallo, A. Lipids from Microalgae for Cosmetic Applications. Cosmetics 2021, 8, 52. [Google Scholar] [CrossRef]
- Morais, E.G.; Schüler, L.; Pereira, H.; Maia, I.; Gangadhar, K.N.; Costa, J.A.V.; Morais, M.G.; Varela, J.; Barreira, L. Microalgae as Source of Edible Lipids. In Cultured Microalgae for the Food Industry Current and Potential Applications; Academic Press: Cambridge, MA, USA, 2021; pp. 147–175. [Google Scholar] [CrossRef]
- Renaud, S.M.; Thinh, L.V.; Lambrinidis, G.; Parry, D.L. Effect of Temperature on Growth, Chemical Composition and Fatty Acid Composition of Tropical Australian Microalgae Grown in Batch Cultures. Aquaculture 2002, 211, 195–214. [Google Scholar] [CrossRef]
- Tsirigoti, A.; Tzovenis, I.; Koutsaviti, A.; Economou-Amilli, A.; Ioannou, E.; Melkonian, M. Biofilm Cultivation of Marine Dinoflagellates under Different Temperatures and Nitrogen Regimes Enhances DHA Productivity. J. Appl. Phycol. 2020, 32, 865–880. [Google Scholar] [CrossRef]
- Weng, L.C.; Pasaribu, B.; Lin, I.P.; Tsai, C.H.; Chen, C.S.; Jiang, P.L. Nitrogen Deprivation Induces Lipid Droplet Accumulation and Alters Fatty Acid Metabolism in Symbiotic Dinoflagellates Isolated from Aiptasia Pulchella. Sci. Rep. 2014, 4, 5777. [Google Scholar] [CrossRef] [PubMed]
- Zarei Darki, B.; Yaseri Gohari, M.; Tahmasebi, H. Research Article: Isolation, Cultivation and Biochemical Characterization of the Symbiotic Dinoflagellate, Symbiodinium sp., from the Sea Anemone, Stichodactyla haddoni (Saville-Kent, 1893), from the Strait of Hormuz. Iran. J. Fish. Sci. 2022, 21, 688–704. [Google Scholar] [CrossRef]
- Benstein, R.M.; Çebi, Z.; Podola, B.; Melkonian, M. Immobilized Growth of the Peridinin-Producing Marine Dinoflagellate Symbiodinium in a Simple Biofilm Photobioreactor. Mar. Biotechnol. 2014, 16, 621–628. [Google Scholar] [CrossRef]
- Gallardo-Rodríguez, J.J.; López-Rosales, L.; Sánchez-Mirón, A.; García-Camacho, F.; Molina-Grima, E.; Chalmers, J.J. New Insights into Shear-Sensitivity in Dinoflagellate Microalgae. Bioresour. Technol. 2016, 200, 699–705. [Google Scholar] [CrossRef] [PubMed]
- Pierce, J.R. A system for mass culture of Upside-down jellyfish Cassiopea spp. as a potential food item for medusivores in captivity. Int. Zoo Yearb. 2005, 39, 62–69. [Google Scholar] [CrossRef]
- Thé, J.; de Sousa Barroso, H.; Mammone, M.; Viana, M.; Melo, C.S.B.; Mies, M.; Banha, T.N.S.; Morandini, A.C.; Rossi, S.; de Oliveira Soares, M. Aquaculture facilities promote populational stability throughout seasons and increase medusae size for the invasive jellyfish Cassiopea andromeda. Mar. Environ. Res. 2020, 162, 105161. [Google Scholar] [CrossRef] [PubMed]
- Salas, R.; Anthony, C.J.; Bentlage, B. Light exposure induces phenotypic plasticity of the upside-down jellyfish Cassiopea sp. and its endosymbiotic dinoflagellates. J. Exp. Mar. Biol. Ecol. 2024, 581, 152068. [Google Scholar] [CrossRef]
- Kühnhold, H.; Schreiner, M.; Kunzmann, A.; Springer, K. Light intensity changes and UVB radiation affect peridinin content and antioxidant activity in the Cassiopea andromeda holobiont. Front. Mar. Sci. 2023, 10, 1048346. [Google Scholar] [CrossRef]




| Biometric Data of Wild and Reared Cassiopea andromeda | |||||||
|---|---|---|---|---|---|---|---|
| Jellyfish Specimens | UMB Diameter (cm) | OA Diameter (cm) | Total FW (g) | FW/Diameter Ratio | Total DW (g) | DW/Diameter Ratio | DW (%FW) |
| Wild Mean ± SD | 8.42 ± 0.73 a | 11.67 ± 1.66 c | 90.23 ± 31.44 e | 7.59 ± 2.10 g | 5.12 ± 1.82 i | 0.43 ± 0.13 m | 5.66 ± 0.24 o |
| Reared Mean ± SD | 6.42 ± 0.86 b | 9.00 ± 0.63 d | 17.72 ± 2.46 f | 1.96 ± 0.16 h | 0.79 ± 0.11 l | 0.09 ± 0.01 n | 4.50 ± 0.15 p |
| Number of Endosymbiont Microalgae | |||
|---|---|---|---|
| Jellyfish Samples | N. Microalgae/g WJ-DW | N. Microalgae/g WJ-FW | |
| Wild | CAS_W1 | 55.7 × 106 | 2.99 × 106 |
| CAS_W2 | 96.2 × 106 ** | 5.63 × 106 ** | |
| CAS_W3 | 65.6 × 106 | 3.48 × 106 | |
| CAS_W4 | 60.1 × 106 | 3.25 × 106 | |
| CAS_W5 | 25.7 × 106 ** | 1.47 × 106 ** | |
| Mean ± SD | 60.6 ± 25.1 × 106 a | 3.36 ± 1.49 × 106 c | |
| Reared | Cas_R1 | 26.7 × 106 | 1.15 × 106 |
| Cas_R2 | 25.2 × 106 | 1.17 × 106 | |
| Cas_R3 | 19.8 × 106 | 0.89 × 106 | |
| Mean ± SD | 23.9 ± 8.6 × 106 b | 1.07 ± 0.38 × 106 d | |
| Protein Content | |||||
|---|---|---|---|---|---|
| C. andromeda Holobiont Specimens | ExDW- Soluble Proteins | Pepsin- Hydrolyzed Proteins (P) | Collagenase-Hydrolyzed Proteins (C) | Undigested Residual Material | Total |
| mg/g of WJ-DW | |||||
| Wild | 5.64 ± 1.86 | 21.09 ± 19.02 | 7.55 ± 3.17 | 8.15 ± 0.66 | 42.44 ± 20.26 |
| Reared | 5.11 ± 0.08 | 7.61 ± 2.27 | 11.03 ± 2.04 | 2.45 ± 3.08 | 26.20 ± 7.80 |
| Pigment Content in Whole Jellyfish Biomass | ||||
|---|---|---|---|---|
| C. andromeda Holobiont | Pigments | mg/g of WJ-DW | mg/g of ExDW | pg/Microalgae |
| Wild | Chlorophyll a | 695.9 ± 358.1 | 1327.4 ± 483.1 a | 12.41 ± 6.35 |
| b-carotene | 3.3 ± 1.2 | 6.6 ± 1.9 | 0.06 ± 0.04 | |
| Diadinoxanthin | 46.0 ± 4.5 | 82.2 ± 54.9 | 0.78 ± 0.60 | |
| Peridinin 1 | 81.8 ± 4.3 | 136.2 ± 94.4 | 1.16 ± 0.70 | |
| Peridinin 2 | 11.1 ± 8.8 | 19.6 ± 8.6 | 0.17 ± 0.06 | |
| Peridinin 3 | 15.9 ± 2.4 | 26.2 ± 12.5 | 0.21 ± 0.10 | |
| Lutein | 419.7 ± 249.5 | 776.7 ± 128.3 c | 6.86 ± 2.67 e | |
| Reared | Chlorophyll a | 237.3 ± 25.2 | 598.9 ± 128.2 b | 10.19 ± 2.76 |
| b-carotene | 1.9 ± 0.4 | 4.8 ± 0.6 | 0.08 ± 0.01 | |
| Diadinoxanthin | 27.1 ± 1.8 | 68.0 ± 10.5 | 1.15 ± 0.17 | |
| Peridinin 1 | 34.0 ± 1.1 | 86.1 ± 19.4 | 1.44 ± 0.25 | |
| Peridinin 2 | 8.3 ± 0.5 | 20.8 ± 3.3 | 0.35 ± 0.08 | |
| Peridinin 3 | 7.3 ± 0.4 | 18.6 ± 4.4 | 0.31 ± 0.06 | |
| Lutein | 61.9 ± 3.8 | 167.1 ± 47.5 d | 2.77 ± 0.30 f | |
| Total Lipid Contents | ||||
|---|---|---|---|---|
| C. andromeda Holobiont Specimens | Whole Jellyfish (WJ) | Total Hydroalcoholic Extracts (ExDW) | Lipophilic Fraction (UP) of ExDW | Hydrophilic Fraction (LP) of ExDW |
| mg/g | ||||
| Wild | 9.4 ± 0.4 mg/g of WJ-DW 1 a | 15.5 ± 0.5 mg/g of ExDW 1 c | 10.2 ± 0.7 mg/g of ExDW 1 c | ND 1 |
| Reared | 605.8 ± 305.0 mg/g of WJ-DW b | 549.3 ± 225.9 mg/g of ExDW d | 3442.3 ± 1160.6 mg/g of ExDW e | ND |
| Fatty Acid Composition in Reared C. andromeda Holobionts and in A. salina | |||||
|---|---|---|---|---|---|
| Fatty Acid (FA) | Whole Jellyfish (WJ) | 80% EtOH Extract (ExDW) | Upper Phase (UP) | Lower Phase (LP) | Artemia salina |
| Saturated FA (SFA) % | |||||
| Lauric acid C12:0 | - | - | - | - | - |
| Myristic acid C14:0 | 2.7 ± 0.7 | 3.6 ± 0.6 | - | - | 3.9 ± 1.2 |
| Pentadecanoic acid C15:0 | - | - | - | - | 0.5 *** ± 1.0 |
| Palmitic acid C16:0 | 30.0 ± 2.7 | 23.6 ± 1.6 | 30.3 ± 1.6 | - | 18.1 *** ± 0.9 |
| Margaric acid C17:0 | 0.7 ± 2.2 | 0.7 ± 0.2 | - | - | 1.0 ± 0.3 |
| Stearic acid C18:0 | 31.1 ± 7.1 | 22.0 ± 4.6 *** | 27.2 ± 2.8 | - | 6.9 *** ± 1.5 |
| Arachidic acid C20:0 | 2.2 ± 0.6 | 1.3 ± 0.1 | 3.0 ± 0.8 | - | 0.1 ± 0.0 |
| Total SFA | 66.7 ± 9.2 | 51.2 ± 3.4 *** | 60.5 ± 2.9 ** | - | 33.6 ± 0.2 |
| Monounsaturated FA (MUFA) % | |||||
| Palmitoleic acid C16:1 (ω7) | 1.5 ± 0.4 | 2.1 ± 0.3 | - | - | 11.8 *** ± 1.8 |
| Margaroleic acid C17:1 | - | - | - | - | 3.0 *** ± 0.1 |
| Oleic acid C18:1 cis-9 | - | - | - | - | 25.7 *** ± 2.5 |
| Isoleic acid C18:1 trans-10 | 1.5 ± 0.9 | 2.1 ± 0.1 | 2.0 ± 0.5 | - | - |
| Vaccenic acid C18:1 trans-11 | 2.4 ± 0.2 | - | - | - | 0.3 *** ± 0.0 |
| Gondonic acid C20:1 cis-11 | - | - | - | - | 0.4 *** ± 0.0 |
| Paullic acid C20:1 cis-13 | - | - | - | - | 0.5 *** ± 0.0 |
| Total MUFA | 5.4 ± 1.0 | 4.2 ± 0.4 | 2.0 ± 0.5 | - | 41.7 *** ± 0.0 |
| Polyunsaturated FA (PUFA) % | |||||
| Linoleic acid C18:2 cis-9,12 (ω6) | 1.2 ± 0.3 | 1.5 ± 0.2 | - | - | 5.1 ± 0.1 |
| Isolinoleic acid C18:2 cis-6,9 (ω9) | - | - | 1.0 ± 0.0 | - | - |
| a-Linolenic acid C18:3 cis-9,12,15 (ω3) | 0.9 ± 0.3 | 0.9 ± 0.2 | - | - | - |
| g-Linolenic acid C18:3 cis-6,9,12 (ω6) | 2.6 ± 0.7 | 3.8 ± 0.5 | 3.1 ± 0.5 | - | 11.8 *** ± 0.2 |
| Stearidonic acid C18:4 (ω3) | 7.2 ± 2.2 | 14.8 ± 2.3 * | 15.7 ± 1.9 * | - | 1.7 ± 0.0 |
| Eicosadienoic acid C20:2 (ω6) | - | - | - | - | - |
| Dihomo-γ-linolenic acid C20:3 (ω6) | 0.1 *** ± 0.6 | ||||
| Arachidonic acid C20:4 (ω6) | 9.1 ± 1.7 | 13.5 ± 0.3 * | 11.3 ± 1.4 * | - | 1.4 *** ± 0.3 |
| Eicosapentaenoic acid C20:5 (ω3) | 2.0 ± 1.4 | 2.8 ± 0.9 | 3.1 ± 0.3 * | - | 7.5 ± 0.3 |
| Docosatetraenoic acid C22:4 (ω6) | 1.5 ± 0.2 | 1.0 ± 0.3 | - | - | - |
| Docosapentaenoic acid C22:5 (ω6) | 1.4 ± 0.2 | - | - | - | - |
| Docosahexaenoic acid C22:6 (ω3) | 2.0 ± 0.6 | 6.3 ± 0.9 * | 3.3 ± 0.3 * | - | 0.2 ± 0.8 |
| Total PUFA | 27.9 ± 8.4 | 44.6 ± 2.6 *** | 37.5 ± 3.1 *** | - | 27.7 ± 0.1 |
| Total fatty acids (%) | 100.0 | 100.0 | 100.0 | 0 | 100.0 |
| Σω6 | 16.3 | 19.7 | 15.8 | 18.4 | |
| Σω3 | 12.2 | 25.0 | 22.2 | 9.3 | |
| Ratio ω6/ω3 | 1.3 | 0.8 | 0.7 | 2.0 | |
| Pigment Content in Fractions of Hydroalcoholic Extracts of C. andromeda Samples | ||||
|---|---|---|---|---|
| C. andromeda Holobionts | Lipophilic Upper Phase (UP) | Intermediate Phase (IP) | Hydrophilic Lower Phase (LP) | |
| mg/g of UP-DW | mg/g of IP-DW | mg/g of LP-DW | ||
| Wild | Chlorophyll a | 7237.5 ± 5270.5 | 15,194.6 ± 14,064.6 | - |
| b-carotene | n.d. | 426.9 ± 400.0 | - | |
| Diadinoxanthin | 647.2 ± 389.2 | 365.5 ± 288.3 | - | |
| Peridinin 1 | 3369.6 ± 2511.6 | 516.0 ± 399.0 | - | |
| Peridinin 2 | 483.2 ± 401.4 | - | - | |
| Peridinin 3 | 665.1 ± 513.2 | - | - | |
| Lutein | 19,186.6 ± 159,392.6 a | 6276.4 ± 5998.1 | - | |
| Reared | Chlorophyll a | 1506.8 ± 728.9 | 11,647.1 ± 4371.7 | - |
| b-carotene | 8.4 ± 5.1 | 119.1 ± 73.3 | - | |
| Diadinoxanthin | 377.5 ± 124.8 | 109.2 ± 38.9 | - | |
| Peridinin 1 | 315.4 ± 188.6 | 182.5 ± 96.8 | - | |
| Peridinin 2 | 102.7 ± 27.6 | - | - | |
| Peridinin 3 | 83.6 ± 20.6 | - | - | |
| Lutein | 535.2 ± 329.9 b | n.d. | - | |
Disclaimer/Publisher’s Note: The statements, opinions and data contained in all publications are solely those of the individual author(s) and contributor(s) and not of MDPI and/or the editor(s). MDPI and/or the editor(s) disclaim responsibility for any injury to people or property resulting from any ideas, methods, instructions or products referred to in the content. |
© 2025 by the authors. Licensee MDPI, Basel, Switzerland. This article is an open access article distributed under the terms and conditions of the Creative Commons Attribution (CC BY) license (https://creativecommons.org/licenses/by/4.0/).
Share and Cite
De Domenico, S.; Toso, A.; De Rinaldis, G.; Mammone, M.; Fumarola, L.M.; Piraino, S.; Leone, A. Wild or Reared? Cassiopea andromeda Jellyfish as a Potential Biofactory. Mar. Drugs 2025, 23, 19. https://doi.org/10.3390/md23010019
De Domenico S, Toso A, De Rinaldis G, Mammone M, Fumarola LM, Piraino S, Leone A. Wild or Reared? Cassiopea andromeda Jellyfish as a Potential Biofactory. Marine Drugs. 2025; 23(1):19. https://doi.org/10.3390/md23010019
Chicago/Turabian StyleDe Domenico, Stefania, Andrea Toso, Gianluca De Rinaldis, Marta Mammone, Lara M. Fumarola, Stefano Piraino, and Antonella Leone. 2025. "Wild or Reared? Cassiopea andromeda Jellyfish as a Potential Biofactory" Marine Drugs 23, no. 1: 19. https://doi.org/10.3390/md23010019
APA StyleDe Domenico, S., Toso, A., De Rinaldis, G., Mammone, M., Fumarola, L. M., Piraino, S., & Leone, A. (2025). Wild or Reared? Cassiopea andromeda Jellyfish as a Potential Biofactory. Marine Drugs, 23(1), 19. https://doi.org/10.3390/md23010019

