Repair and Mechanism of Oligopeptide SEP-3 on Oxidative Stress Liver Injury Induced by Sleep Deprivation in Mice
Abstract
1. Introduction
2. Results
2.1. Effect of SEP-3 on Liver Injury Repair in Sleep-Deprived Mice
2.1.1. Effects of SEP-3 on Liver Index in Sleep-Deprived Mice
2.1.2. Effect of SEP-3 on the Expression Levels of Serum ALT and AST in Sleep-Deprived Mice
2.1.3. Effects of SEP-3 on Serum GC and ACTH Levels in Sleep-Deprived Mice
2.2. Molecular Mechanism of SEP-3 on Liver Injury Repair in Sleep-Deprived Mice
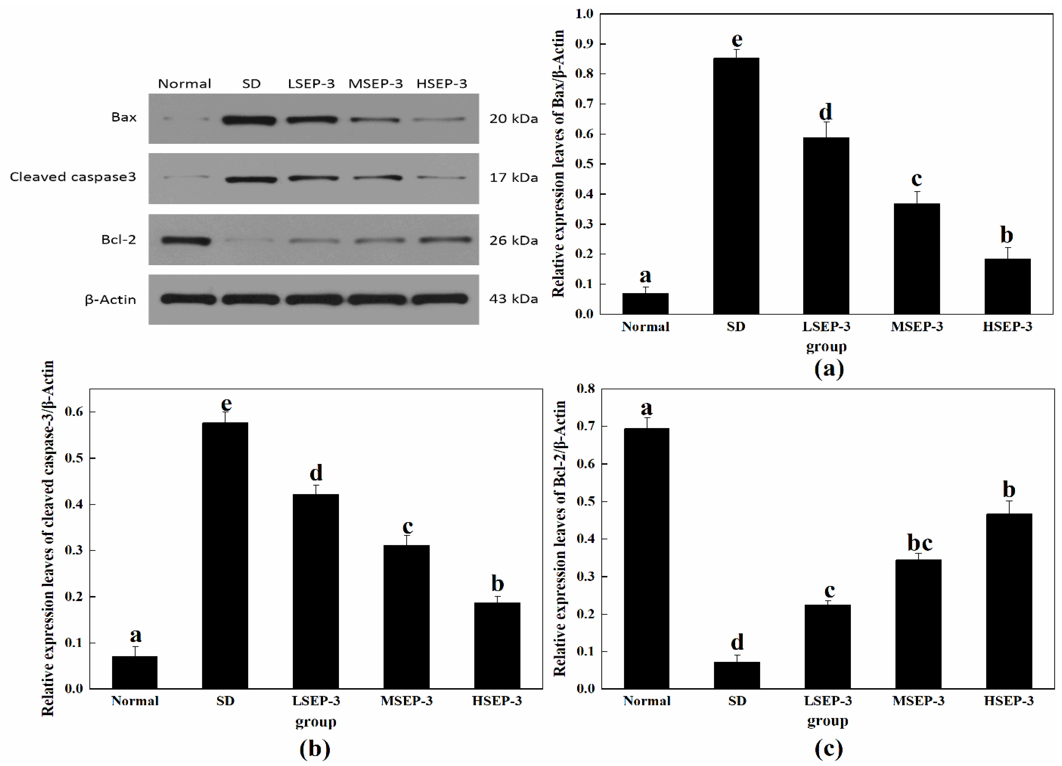
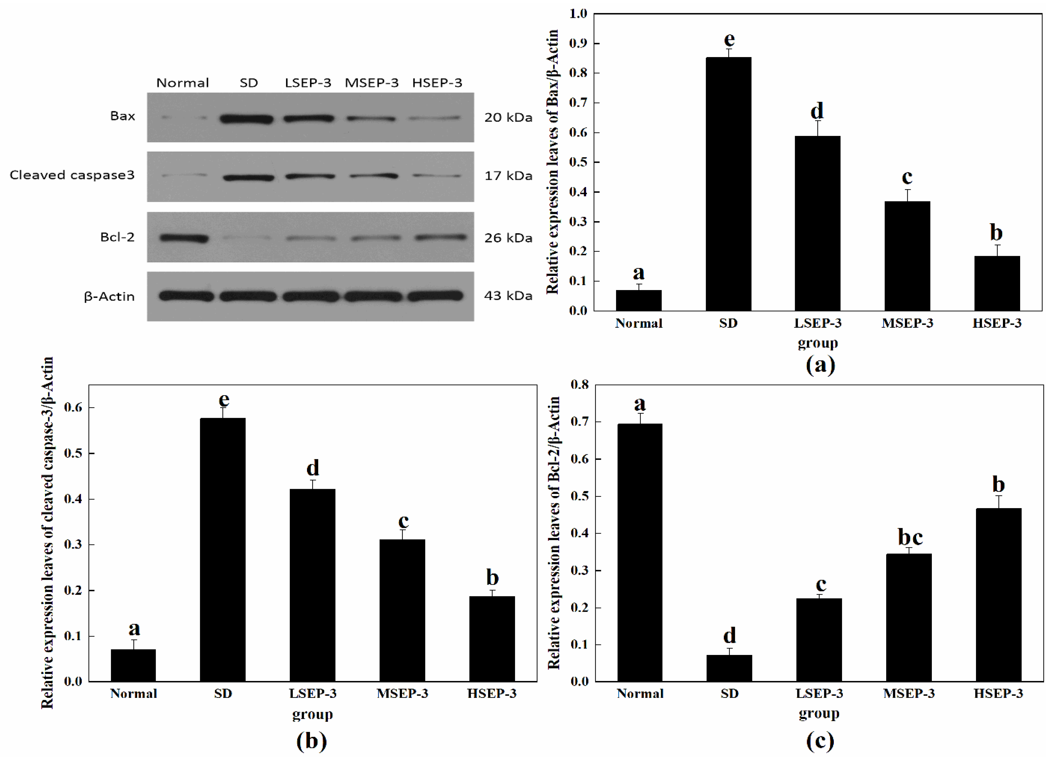
2.2.1. Effect of SEP-3 on Expression of Apoptosis-Related Proteins in Liver Tissue of Sleep-Deprived Mice
2.2.2. Effect of SEP-3 on Wnt/β-Catenin Pathway-Related Protein Expression in Liver Tissue of Sleep-Deprived Mice
2.2.3. Regulation of SEP-3 on Core Genes of Liver Clock in Sleep-Deprived Mice
3. Discussion
4. Materials and Methods
4.1. Animals, Materials and Reagents
4.2. Instruments and Equipment
4.3. Methods
4.3.1. Mouse Feeding
4.3.2. Establishment of Sleep Deprivation Mouse Model and Administration Method
4.3.3. Detection of ALT, AST, GC, and ACTH in Mouse Serum
4.3.4. Detection of Apoptosis and Wnt/β-Catenin Pathway Related Protein Expression in Mouse Liver Tissue
Extraction and Concentration Determination of Total Protein from Liver Tissue
SDS-PAGE Electrophoresis and Transmembrane
Antibody Incubation
4.3.5. Determination of mRNA Expression Levels of Clock-Related Genes in Mouse Liver Tissue
4.4. Data Analysis and Processing
5. Conclusions
Author Contributions
Funding
Institutional Review Board Statement
Data Availability Statement
Conflicts of Interest
References
- Miner, B.; Kryger, M.H. Sleep in the aging population. Sleep Med. Clin. 2017, 12, 31–38. [Google Scholar] [CrossRef] [PubMed]
- Kahan, V.; Ribeir, O.D.A.; Andersen, M.L.; Alvarenga, T.A.; Tufik, S. Sleep loss induces differential response related to genotoxicity in multiple organs of three different mice strains. Basic Clin. Pharmacol. Toxicol. 2010, 107, 598–602. [Google Scholar] [CrossRef]
- Periasamya, S.; Hsua, D.Z.; Fu, Y.H.; Liu, M.-Y. Sleep deprivationinduced multi-organ injury: Role of oxidative stress and inflammation. EXCLI J. 2015, 14, 672–683. [Google Scholar] [CrossRef]
- Pandey, A.K.; Kar, S.K. REM sleep deprivation of rats induces acute phase response in liver. Biochem. Biophys. Res. Commun. 2011, 410, 242–246. [Google Scholar] [CrossRef] [PubMed]
- Li, Y.; Zhan, Y.; Ji, G.; Shen, Y.; Zhao, N.; Liang, Y.; Wang, Z.; Liu, M.; Lin, L. Autophagy Triggered by Oxidative Stress Appears to Be Mediated by the AKT/mTOR Signaling Pathway in the Liver of Sleep-Deprived Rats. Oxidative Med. Cell. Longev. 2020, 2020, 6181630. [Google Scholar] [CrossRef] [PubMed]
- Xing, C.; Gu, Y.; Xu, X.; Zou, S.; Hu, Y.; Hu, M.; Song, L. Effect of sleep deprivation on the gene expression levels of the circadian clock in the rat liver. Mil. Med. Sci. 2018, 42, 60–63. [Google Scholar] [CrossRef]
- Qiu, Y.T.; Wang, Y.M.; Yang, X.R.; Zhao, Y.Q.; Chi, C.F.; Wang, B. Gelatin and Antioxidant Peptides from Gelatin Hydrolysate of Skipjack Tuna (Katsuwonus pelamis) Scales: Preparation, Identification and Activity Evaluation. Mar. Drugs 2019, 17, 565. [Google Scholar] [CrossRef]
- Qiao, Q.Q.; Luo, Q.B.; Suo, S.K.; Zhao, Y.Q.; Chi, C.F.; Wang, B. Preparation, characterization, and cytoprotective effects on HUVECs of fourteen novel angiotensin-I-converting enzyme inhibitory peptides from protein hydrolysate of tuna processing by-products. Front. Nutr. 2022, 9, 868681. [Google Scholar] [CrossRef]
- Suo, S.K.; Zhao, Y.Q.; Wang, Y.M.; Pan, X.Y.; Chi, C.F.; Wang, B. Seventeen novel angiotensin converting enzyme (ACE) inhibitory peptides from protein hydrolysate of Mytilus edulis: Isolation, identification, molecular docking study, and protective function on HUVECs. Food Funct. 2022, 13, 7831–7846. [Google Scholar] [CrossRef]
- Wang, Y.M.; Li, X.Y.; Wang, J.; He, Y.; Chi, C.-F.; Wang, B. Antioxidant peptides from protein hydrolysate of skipjack tuna milt: Purification, identification, and cytoprotection on H2O2 damaged human umbilical vein endothelial cells. Process Biochem. 2022, 113, 258–269. [Google Scholar] [CrossRef]
- Guo, X.; Zhou, Y.; Li, H. Protective effect of liver protection on liver injury in sleep-deprived rats. Tradit. Chin. Herb. Med. 2017, 40, 216–219. [Google Scholar]
- Chu, C.; Tan, L.; Qiao, X.; Wang, F.; Gao, X.; Liang, Y.; Zhang, Y.; Lin, L. Effect of sleep deprivation on liver function in rats. J. Environ. Health 2014, 31, 1060–1062+1129. [Google Scholar] [CrossRef]
- Siddiqui, W.A.; Ahad, A.; Ahsan, H. The mystery of BCL2 family: Bcl-2 proteins and apoptosis: An update. Arch. Toxicol. 2015, 89, 289–317. [Google Scholar] [CrossRef] [PubMed]
- Renault, T.T.; Floros, K.V.; Elkholi, R.; Corrigan, K.-A.; Kushnareva, Y.; Wieder, S.Y.; Lindtner, C.; Serasinghe, M.N.; Asciolla, J.J.; Buettner, C.; et al. Mitochondrial shape governs BAX-induced membrane permeabilization and apoptosis. Mol. Cell 2015, 57, 69–82. [Google Scholar] [CrossRef] [PubMed]
- Zhao, J.; Zhang, C.; Fang, X.; Chen, H. Progress in the WNT signaling pathway. China Cattle Ind. Sci. 2012, 38, 33–37. [Google Scholar]
- Yang, F. C-Myc Promotes Cholesterol Synthesis by Transcriptionally Activating SQLE as well as Cell Proliferation; Peking Union Medical College: Beijing, China, 2021. [Google Scholar]
- Oh, Y.; Ahn, C.B.; Je, J.Y. Blue Mussel-Derived Peptides PIISVYWK and FSVVPSPK Trigger Wnt/β-Catenin Signaling-Mediated Oseogenesis in Human Bone Marrow Mesenchymal Stem Cells. Mar. Drugs 2020, 18, 510. [Google Scholar] [CrossRef] [PubMed]
- Zhao, R. A Mouse Model of Chronic Circadian Clock Disorder Has Decreased Intestinal Mitochondrial Energy Metabolism; Huazhong University of Science and Technology: Wuhan, China, 2017. [Google Scholar]
- Zhang, E.E.; Liu, Y.; Dentin, R.; Pongsawakul, P.Y.; Liu, A.C.; Hirota, T.; Nusinow, D.; Sun, X.; Landais, S.; Kodama, Y.; et al. Cryptochrome mediates circadian regulation of c AMP signaling and hepatic gluconeogenesis. Nat. Med. 2010, 16, 1152–1156. [Google Scholar] [CrossRef]
- Machicao, F.; Peter, A.; Machann, J.; Königsrainer, I.; Böhm, A.; Lutz, S.Z.; Heni, M.; Fritsche, A.; Schick, F.; Königsrainer, A.; et al. Glucose-Raising Polymorphisms in the Human Clock Gene Cryptochrome 2 (CRY2) Affect Hepatic Lipid Content. PLoS ONE 2016, 11, e0145563. [Google Scholar] [CrossRef]
- Doi, R.; Oishi, K.; Ishida, N. CLOCK regulates circadian rhythms of hepatic glycogen synthesis through transcriptional activation of Gys. J. Biol. Chem. 2010, 285, 22114–22121. [Google Scholar] [CrossRef]
- Zhou, B.; Zhang, Y.; Zhang, F.; Xia, Y.; Liu, J.; Huang, R.; Wang, Y.; Hu, Y.; Wu, J.; Dai, C.; et al. CLOCK/BMAL1 regulates circadian change of mouse hepatic insulin sensitivity by SIRT1. Hepatology 2014, 59, 2196–2206. [Google Scholar] [CrossRef]
- Jacobi, D.; Liu, S.; Burkewitz, K.; Kory, N.; Knudsen, N.H.; Alexander, R.K.; Unluturk, U.; Li, X.; Kong, X.; Hyde, A.L.; et al. Hepatic Bmal1 Regulates Rhythmic Mitochondrial Dynamics and Promotes Metabolic Fitness. Cell Metab. 2015, 22, 709–720. [Google Scholar] [CrossRef]
- Yang, C.; Huang, C.; Liu, J.; Haung, W.; Yuan, Z.; Yi, J.; Liang, Z.; Wu, J. The protective effect of betulinic acid on T-2 toxin-induced liver injury in mice. Food Sci. 2021, 42, 107–114. [Google Scholar]
- Zhao, F.; Zhao, L.; Wang, T.; Xue, X.; Wu, X.; Li, Y.; Li, N.; Wang, S.; Yang, H.; Jiang, Y.; et al. Correlation between the levels of corticotropin and glucocorticoids in patients with hepatitis cirrhosis. J. Beijing Univ. Tradit. Chin. Med. 2015, 38, 351–355. [Google Scholar]
- Silva, M.C.; de Sousa, C.N.; Gomes, P.X.; de Oliveira, G.V.; Araújo, F.Y.R.; Ximenes, N.C.; da Silva, J.C.; Vasconcelos, G.S.; Leal, L.K.A.M.; Macêdo, D.; et al. Evidence for protective effect of lipoic acid and desvenlafaxine on oxidative stress in a model depression in mice. Prog. Neuro-Psychopharmacol. Biol. Psychiatry 2016, 64, 142–148. [Google Scholar] [CrossRef]
- Sharma, V.K.; Singh, T.G. Chronic stress and diabetes mellitus: Interwoven pathologies. Curr. Diabetes Rev. 2020, 16, 546–556. [Google Scholar] [CrossRef]
- Nolan, C.J.; Damm, P.; Prentki, M. Type 2 diabetes across generations:from pathophysiology to prevention and management. Lancet 2011, 378, 169–181. [Google Scholar] [CrossRef]
- Dinel, A.L.; Lucas, C.; Faouder, J.L.; Bouvret, E.; Pallet, V.; Layé, S.; Joffre, C. Supplementation with low molecular weight peptides from fish protein hydrolysate reduces acute mild stress-induced corticosterone secretion and modulates stress responsive gene expression in mice. J. Funct. Foods 2021, 76, 104292. [Google Scholar] [CrossRef]
- Krajewsik, S. Immunohistochemical determination of in vivo distribution of Bax, a dominant inhibitor of Bcl-2. Am. J. Pathol. 1994, 145, 1323–1336. [Google Scholar]
- Gu, Y.; Xing, C.; Song, L.; Li, W. Effect of continuous sleep suppression on liver clock gene forcing and liver biomarkers in rats. Mil. Med. Sci. 2017, 41, 174–177. [Google Scholar] [CrossRef]
- Yi, C.; Zhang, Z.; Wang, K.; Wang, H.; Lv, Y.; Yu, X.; Luo, H. Effects of sleep deprivation on oxidative stress and intervention of oligopeptide SEP-3. J. Fish. 2022, 46, 1293–1303. [Google Scholar] [CrossRef]
- Wang, X. The protective effect and mechanism of isophamin on sleep deprivation-mediated learning and memory impairment in mice. Ph.D. Thesis, Binzhou Medical College, Yantai, China, 2017. [Google Scholar]
- Li, T.; Zhou, X.; Cheng, Y. Effect of probiotics prescription on gene and protein expression after blockade of Wnt / β -catenin signaling pathway in aged skin epidermal stem cells. Shizhen Natl. Chin. Med. 2021, 32, 1321–1323. [Google Scholar]
- Lu, M.; Ren, T.; Yang, J.; LU, L.; QIN, L. Effect of Chinese pepper essential oil on glucose metabolism in streptozotocin-induced diabetic mice. Food Sci. 2021, 42, 115–122. [Google Scholar] [CrossRef]








| Protein Name | Molecular Weight (kDa) | Separation Glue Concentration | Transfer Time (300 mA) |
|---|---|---|---|
| β-Actin | 43 | 10% | 90 min |
| Bax | 20 | 12% | 60 min |
| Cleaved caspase-3 | 17 | 10% | 60 min |
| Bcl-2 | 26 | 10% | 60 min |
| β-Catenin | 92 | 8% | 90 min |
| c-Myc | 57 | 10% | 90 min |
| Title | Origin Species | Dilution Method | Dilution Ratio |
|---|---|---|---|
| β-Actin | Rabbit | 5% evaporated milk | 1:10,000 |
| Bax | Rabbit | 5% BSA | 1:2000 |
| Cleaved caspase-3 | Rabbit | 5% evaporated milk | 1:500 |
| Bcl-2 | Rabbit | 5% evaporated milk | 1:1000 |
| β-Catenin | Rabbit | 5% BSA | 1:3000 |
| c-Myc | Rabbit | 5% evaporated milk | 1:1000 |
| HRP-Goat anti Rabbit | HRP-Goat anti Rabbit | 5% evaporated milk | 1:10,000 |
| Gene | Forward Sequence (5′-3′) | Reverse Sequence (5′-3′) | PCR Products (bp) |
|---|---|---|---|
| GAPDH | AAGAAGGTGGTGAAGCAGG | GAAGGTGGAAGAGTGGGAGT | 111 |
| Bmal1 | AACGGGGAAATACGGGTGA | CCTGTGGTAGATACGCCAAAAT | 112 |
| Clock | GAGATTCCATCAACACCACCA | GCCATTTTATTTAGGAGACCCA | 142 |
| Per1 | TTTTGGGGCCGCTTACAG | GGGGCAGTTTCCTATTGGTTG | 103 |
| Cry1 | CTGATGTATTTCCCAGGCTTTT | GCTGTCCGCCATTGAGTTCTA | 195 |
| Rorα | TGGCTTCAGGAAAAGGTAAAA | AGTCGCACAATGTCTGGGTATA | 200 |
| Rex-erbα | GCAAGGCAACACCAAGAATG | GTGCTGAGAAAGGTCACGGA | 178 |
Disclaimer/Publisher’s Note: The statements, opinions and data contained in all publications are solely those of the individual author(s) and contributor(s) and not of MDPI and/or the editor(s). MDPI and/or the editor(s) disclaim responsibility for any injury to people or property resulting from any ideas, methods, instructions or products referred to in the content. |
© 2023 by the authors. Licensee MDPI, Basel, Switzerland. This article is an open access article distributed under the terms and conditions of the Creative Commons Attribution (CC BY) license (https://creativecommons.org/licenses/by/4.0/).
Share and Cite
Hou, X.; Yi, C.; Zhang, Z.; Wen, H.; Sun, Y.; Xu, J.; Luo, H.; Yang, T. Repair and Mechanism of Oligopeptide SEP-3 on Oxidative Stress Liver Injury Induced by Sleep Deprivation in Mice. Mar. Drugs 2023, 21, 139. https://doi.org/10.3390/md21030139
Hou X, Yi C, Zhang Z, Wen H, Sun Y, Xu J, Luo H, Yang T. Repair and Mechanism of Oligopeptide SEP-3 on Oxidative Stress Liver Injury Induced by Sleep Deprivation in Mice. Marine Drugs. 2023; 21(3):139. https://doi.org/10.3390/md21030139
Chicago/Turabian StyleHou, Xin, Chong Yi, Zekun Zhang, Hui Wen, Yufeng Sun, Jiaxin Xu, Hongyu Luo, and Tao Yang. 2023. "Repair and Mechanism of Oligopeptide SEP-3 on Oxidative Stress Liver Injury Induced by Sleep Deprivation in Mice" Marine Drugs 21, no. 3: 139. https://doi.org/10.3390/md21030139
APA StyleHou, X., Yi, C., Zhang, Z., Wen, H., Sun, Y., Xu, J., Luo, H., & Yang, T. (2023). Repair and Mechanism of Oligopeptide SEP-3 on Oxidative Stress Liver Injury Induced by Sleep Deprivation in Mice. Marine Drugs, 21(3), 139. https://doi.org/10.3390/md21030139

