Therapeutic Potency of Ovothiol A on Ethanol-Induced Gastric Ulcers in Wistar Rats
Abstract
1. Introduction
2. Results
2.1. Molecular DFT Calculation of Ovothiol A
2.2. Molecular Docking Interaction between Ovothiol A with 1AFC (PDB ID: 1AFC)
2.3. Ulcer l Markers
2.4. Markers of Oxidative Stress
2.5. NO, PGE-2, IL6, and Cytochrome C
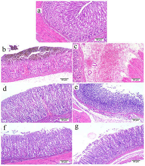
2.6. Histopathological Analysis
3. Discussion
4. Materials and Methods
4.1. Drugs and Chemicals
4.2. Isolation of Ovothiol A from Sea Urchin Eggs
4.3. Ovothiol-A Molecular DFT Calculation
4.4. Molecular Docking Interaction between Ovothiol A with 1AFC (PDB ID: 1AFC)
4.5. Experimental Animals
4.6. Ethical Consideration
4.7. Induction of Peptic Ulcer
4.8. Experimental Design
- Group I (control group): Rats were administrated orally with dist. water (5 mL/kg), then after one hour, dist. water was administrated again.
- Group II (ulcer group): Rats were administrated orally with ethanol (5 mL/kg), then after one hour, dist. water was administrated again.
- Group III (ovothiol A-500): Rats were administrated orally with ethanol (5 mL/kg), then after one hour, ovothiol A (500 mg/kg) [31] was administrated.
- Group IV (ovothiol A-250): Rats were administrated with ethanol 5 mL/kg orally, then after one hour, ovothiol A (250 mg/kg) was administrated.
4.9. Animal Handling and Specimen Collection
4.10. Ulcer Markers
4.11. Stomach Homogenate Preparation
4.12. Biochemical Parameters
4.13. Histopathological Analysis
4.14. Statistical Significance
5. Conclusions
Supplementary Materials
Author Contributions
Funding
Institutional Review Board Statement
Data Availability Statement
Conflicts of Interest
Abbreviations
| PUD | Peptic ulcer disease |
| ROS | Reactive oxygen species |
| NSAIDs | Non-steroidal anti-inflammatory medicines |
| PPIs | Proton pump inhibitors |
| MEP | Molecular electrostatic potential |
| MDA | Malondialdehyde |
| PGE2 | Prostaglandin E2 |
| NO | Nitric oxide |
| SOD | Superoxide dismutase |
| CAT | Catalase |
| GSH | Reduced glutathione |
| GST | Glutathione-S-transferase |
| IL-6 | Interleukin 6 |
| FGFs | Fibroblast growth factors |
| H. pylori | Helicobacter pylori |
References
- Kuna, L.; Jakab, J.; Smolic, R.; Raguz-Lucic, N.; Vcev, A.; Smolic, M. Peptic Ulcer Disease: A Brief Review of Conventional Therapy and Herbal Treatment Options. J. Clin. Med. 2019, 8, 179. [Google Scholar] [CrossRef] [PubMed]
- Lanas, A.; Chan, F. Peptic ulcer disease. Lancet 2017, 390, 613–624. [Google Scholar] [CrossRef] [PubMed]
- Xie, X.; Ren, K.; Zhou, Z.; Dang, C.; Zhang, H. The global, regional and national burden of peptic ulcer disease from 1990 to 2019: A population-based study. BMC Gastroenterol. 2022, 22, 58. [Google Scholar] [CrossRef] [PubMed]
- Akhtar, M.; Ahmad, M.A.; Sumbul, S.; Asif, M. Role of phenolic compounds in peptic ulcer: An overview. J. Pharm. Bioallied Sci. 2011, 3, 361–367. [Google Scholar] [CrossRef] [PubMed]
- Sonnenberg, A. Time trends of ulcer mortality in Europe. Gastroenterology 2007, 132, 2320–2327. [Google Scholar] [CrossRef]
- Sonnenberg, A. Time trends of ulcer mortality in non-European countries. Am. J. Gastroenterol. 2007, 102, 1101–1107. [Google Scholar] [CrossRef]
- Lanas, A.; Garcia-Rodriguez, L.A.; Polo-Tomas, M.; Ponce, M.; Quintero, E.; PerezAisa, M.A.; Gisbert, J.P.; Bujanda, L.; Castro, M.; Calvet, X.; et al. The changing face of hospitalization due to gastrointestinal bleeding and perforation. Aliment. Pharmacol. Ther. 2011, 33, 385–391. [Google Scholar] [CrossRef]
- Malmi, H.; Kautiainen, H.; Vitra, L.J.; Farkkila, N.; Koakenpato, J.; Farkkila, M.A. Incidence and complications of peptic ulcer disease requiring hospitalization have markedly decreased in Finland. Aliment. Pharmacol. Ther. 2014, 39, 496–506. [Google Scholar] [CrossRef]
- Leow, A.H.; Lim, Y.Y.; Liew, W.C.; Goh, K.L. Time trends in upper gastrointestinal diseases and Helicobacter pylori infection in a multiracial Asian population—A 20-year experience over three time periods. Aliment. Pharmacol. Ther. 2016, 43, 831–837. [Google Scholar] [CrossRef]
- Sherif, M.; Kamel, R.; Kamel, E.; Ahmed, S.K. Role of boswellic acid in the treatment of peptic ulcer disease. Al-Azhar J. Pharm. Sci. 2019, 60, 122–145. [Google Scholar] [CrossRef][Green Version]
- Blunt, J.W.; Carroll, A.R.; Copp, B.R.; Davis, R.A.; Keyzers, R.A.; Prinsep, M.R. Marine natural products. Nat. Prod. Rep. 2018, 35, 8–53. [Google Scholar] [CrossRef] [PubMed]
- Ianora, A.; Bentley, M.G.; Caldwell, G.S.; Casotti, R.; Cembella, A.D.; Engstrom-Ost, J. The relevance of marine chemical ecology to plankton and ecosystem function: An emerging field. Mar. Drugs 2011, 9, 1625–1648. [Google Scholar] [CrossRef] [PubMed]
- Sawadogo, W.R.; Schumacher, M.; Teiten, M.H.; Cerella, C.; Dicato, M.; Diederich, M.A. A survey of marine natural compounds and their derivatives with anti-cancer activity reported in 2011. Molecules 2013, 18, 3641–3673. [Google Scholar] [CrossRef] [PubMed]
- Palumbo, I.; Castellano; Napolitano, A. Ovothiol: A potent natural antioxidant from marine organisms. In Blue Biotechnology. Production and Use of Marine Molecules. Part 2: Marine Molecules for Disease Treatment/Prevention and for Biological Research (581–608); La Barre, E.S., Bates, S.S., Eds.; Wiley VCH: Weinheim, Germany, 2018. [Google Scholar]
- Castellano, I.; Di Tomo, P.; Di Pietro, N.; Mandatori, D.; Pipino, C.; Formoso, G.; Pandolfi, A. Anti-inflammatory activity of marine ovothiol A in an in vitro model of endothelial dysfunction induced by hyperglycemia. Oxidative Med. Cell. Longevity 2018, 2018, 2087373. [Google Scholar] [CrossRef]
- Jacob, C. A scent of therapy: Pharmacological implications of natural products containing redox active sulfur atoms. Nat. Prod. Rep. 2006, 23, 851–863. [Google Scholar] [CrossRef]
- Holler, T.P.; Hopkins, P.B. Ovothiols as biological antioxidants. The thiol groups of ovothiol and glutathione are chemically distinct. J. Am. Chem. Soc. 1988, 110, 4837–4838. [Google Scholar] [CrossRef]
- Shapiro, B.M.; Turner, E. Oxidative stress and the role of novel thiol compounds at fertilization. BioFactors 1988, 1, 85–88. [Google Scholar]
- Brancaccio, M.; D’Argenio, G.; Lembo, V.; Palumbo, A.; Castellano, I. Oxidative Molecular Mechanisms Underlying Liver Diseases: From Systems Biology to the Personalized Medicine. Oxidative Med. Cell. Longev. 2018, 2018, 5045734. [Google Scholar] [CrossRef]
- Zhang, Y.; Wang, H.; Mei, N.; Ma, C.; Lou, Z.; Lv, W.; He, G. Protective effects of polysaccharide from Dendrobium nobile against ethanol-induced gastric damage in rats. Int. J. Biol. Macromol. 2018, 107, 230–235. [Google Scholar] [CrossRef]
- de Araújo, E.; Guerra, G.; Araújo, D.; de Araújo, A.; Fernandes, J.; Júnior, R.D.A.; da Silva, V.; de Carvalho, T.; Ferreira, L.; Zucolotto, S. Gastroprotective and antioxidant activity of Kalanchoe brasiliensis and Kalanchoe pinnata leaf juices against indomethacin and ethanol-induced gastric lesions in rats. Int. J. Mol. Sci. 2018, 19, 1265. [Google Scholar] [CrossRef]
- Xue, Z.; Shi, G.; Fang, Y.; Liu, X.; Zhou, X.; Feng, S.; Zhao, L. Protective effect of polysaccharides from Radix hedysari on gastric ulcers induced by acetic acid in rats. Food Funct. 2019, 10, 3965–3976. [Google Scholar] [CrossRef]
- Lv, Y.; Jiang, H.; Li, S.; Han, B.; Liu, Y.; Yang, D.; Li, J.; Yang, Q.; Wu, P.; Zhang, Z. Sulforaphane prevents chromiuminduced lung injury in rats via activation of the Akt/GSK-3β/ Fyn pathway. Environ. Pollut. 2020, 259, 113812. [Google Scholar] [CrossRef]
- Ding, W.; Hong, L. Progress research on relationship between oxidative stress and collagen metabolism diseases. J. Jilin Univ. (Med. Ed.) 2013, 39, 1302–1306. [Google Scholar]
- Suo, H.; Zhao, X.; Qian, Y.; Sun, P.; Zhu, K.; Li, J.; Sun, B. Lactobacillus fermentum Suo attenuates HCl/ethanol induced gastric injury in mice through its antioxidant effects. Nutrients 2016, 8, 155. [Google Scholar] [CrossRef] [PubMed]
- Alvarez-Suarez, J.M.; Dekanski, D.; Ristić, S.; Radonjić, N.V.; Petronijević, N.D.; Giampieri, F.; Astolfi, P.; González-Paramás, A.M.; Santos-Buelga, C.; Tulipani, S.; et al. Strawberry polyphenols attenuate ethanol-induced gastric lesions in rats by activation of antioxidant enzymes and attenuation of mda increase. PLoS ONE 2011, 6, e25878. [Google Scholar] [CrossRef] [PubMed]
- Liu, Y.; Tian, X.; Gou, L.; Fu, X.; Li, S.; Lan, N.; Yin, X. protective effect of L-citrulline against ethanol-induced gastric ulcer in rats. Environ. Toxicol. Pharmacol. 2012, 34, 280–287. [Google Scholar] [CrossRef] [PubMed]
- Wu, Y.; Hu, J.; Long, X.; Pan, Y.; Mu, J.; Park, K.Y.; Zhao, X. Lactobacillus plantarum ZS62 alleviates alcohol-induced gastric injury in mice via an anti-oxidative mechanism. Drug Des. Dev. Ther. 2021, 15, 1667–1676. [Google Scholar] [CrossRef]
- Abdulla, M.; Ahmed, K.-A.; Al-Bayaty, F.; Masood, Y. Gastroprotective effect of Phyllanthus niruri leaf extract against ethanol-induced gastric mucosal injury in rats. Afr. J. Pharm. Pharmacol. 2010, 4, 226–230. [Google Scholar]
- Sun, Y.; Ma, N.; Yi, J.; Zhou, L.; Cai, S. Astroprotective effect and mechanisms of Chinese Sumac fruits (Rhus chinensis Mill.) on ethanol-induced gastric ulcers in mice. Food Funct. 2021, 12, 12565–12579. [Google Scholar] [CrossRef]
- Madany, N.M.; Shehata, M.R.; Mohamed, A.S. Ovothiol-a isolated from sea urchin eggs suppress oxidative stress, inflammation, and dyslipidemia resulted in restoration of liver activity in cholestatic rats. Biointerface Res. Appl. Chem. 2022, 12, 8152–8162. [Google Scholar]
- Sánchez-Mendoza, M.E.; López-Lorenzo, Y.; Cruz-Antonio, L.; Matus-Meza, A.-S.; Sánchez-Mendoza, Y.; Arrieta, J. Gastroprotection of Calein D against ethanol-induced gastric lesions in mice: Role of prostaglandins, nitric oxide and sulfhydryls. Molecules 2019, 24, 622. [Google Scholar] [CrossRef]
- Liang, T.-Y.; Deng, R.-M.; Li, X.; Xu, X.; Chen, G. The role of nitric oxide in peptic ulcer: A narrative review. Med. Gas Res. 2021, 11, 42–45. [Google Scholar] [PubMed]
- Moawad, H.; El Awdan, S.A.; Sallam, N.A.; El-Eraky, W.I.; Alkhawlani, M.A. Gastroprotective effect of Cilostazol against ethanol-and pylorus ligation–induced gastric lesions in rats. Naunyn-Schmiedeberg’s Arch. Pharmacol. 2019, 392, 1605–1616. [Google Scholar] [CrossRef] [PubMed]
- Konturek, S.J.; Brzozowski, T.; Majka, J.; Pytko-polonczyk, J.; Stachura, J. Inhibition of nitric oxide synthase delays healing of chronic gastric ulcers. Eur. J. Pharmacol. 1993, 239, 215–217. [Google Scholar] [CrossRef]
- El-Abhar, H.S. Coenzyme Q10: A novel gastroprotective effect via modulation of vascular permeability, prostaglandin E2, nitric oxide and redox status in indomethacin-induced gastric ulcer model. Eur. J. Pharmacol. 2010, 649, 314–319. [Google Scholar] [CrossRef]
- Badawy, S.A.; Ogaly, H.A.; Abd-Elsalam, R.M.; Azouz, A.A. Benzyl isothiocyanates modulate inflammation, oxidative stress, and apoptosis via Nrf2/HO-1 and NF-κB signaling pathways on indomethacin-induced gastric injury in rat. Food Funct. 2021, 12, 6001–6013. [Google Scholar] [CrossRef]
- Zhao, W.; Zhu, F.; Shen, W.; Fu, A.; Zheng, L.; Yan, Z. Protective effects of DIDS against ethanol-induced gastric mucosal injury in rats. Acta Biochim. Biophys. Sin. 2009, 41, 301–308. [Google Scholar] [CrossRef] [PubMed]
- El-Maraghy, S.A.; Rizk, S.M.; Shahin, N.N. Gastroprotective effect of Crocin in ethanol-induced gastric injury in rats. Chem.-Biol. Interact. 2015, 229, 26–35. [Google Scholar] [CrossRef]
- Wang, X.Y.; Yin, J.Y.; Zhao, M.M.; Liu, S.Y.; Nie, S.P.; Xie, M.Y. Gastroprotective activity of polysaccharide from Hericium erinaceus against ethanol-induced gastric mucosal lesion and pylorus ligation-induced gastric ulcer, and its antioxidant activities. Carbohydr. Polym. 2018, 186, 100–109. [Google Scholar] [CrossRef]
- Neurath, M.F. Cytokines in inflammatory bowel disease. Scand. J. Gastroenterol. 2009, 27, 897–906. [Google Scholar] [CrossRef]
- Salga, M.S.; Ali, H.M.; Abdulla, M.A.; Abdelwahab, S.I. Gastroprotective activity and mechanism of novel dichlorido-zinc(II)-4-(2-(5-methoxybenzylideneamino)ethyl)piperazin-1-iumphenolate complex on ethanolinduced gastric ulceration. Chem.-Biol. Interact. 2012, 195, 144–153. [Google Scholar] [CrossRef]
- Xie, M.; Chen, H.; Nie, S.; Tong, W.; Yin, J. Gastroprotective effect of gamma-aminobutyric acid against ethanol-induced gastric mucosal injury. Chem.-Biol. Interact. 2017, 272, 125–134. [Google Scholar] [CrossRef] [PubMed]
- Huang, C.C.; Chen, Y.M.; Wang, D.C.; Chiu, C.C.; Lin, W.T.; Huang, C.Y.; Hsu, M.C. Cytoprotective effect of American ginseng in a rat ethanol gastric ulcer model. Molecules 2013, 19, 316–326. [Google Scholar] [CrossRef]
- Tsutsumi, S.; Tomisato, W.; Takano, T.; Rokutan, K.; Tsuchiya, T.; Mizushima, T. Gastric irritant-induced apoptosis in guinea pig gastric mucosal cells in primary culture. Biochim. Biophys. Acta 2002, 1589, 168–180. [Google Scholar] [CrossRef]
- Maity, P.; Bindu, S.; Dey, S.; Goyal, M.; Alam, A.; Pal, C.; Mitra, K.; Bandyopadhyay, U. Indomethacin, a non-steroidalanti-inflammatory drug, develops gastropathy by inducingreactive oxygen species-mediated mitochondrial pathology andassociated apoptosis in gastric mucosa: A novel role of mito-chondrial aconitase oxidation. J. Biol. Chem. 2009, 284, 3058–3068. [Google Scholar] [CrossRef] [PubMed]
- Maity, P.; Bindu, S.; Dey, S.; Goyal, M.; Alam, A.; Pal, C.; Reiter, R.; Bandyopadhyay, U. Melatonin reduces indomethacin-induced gastric mucosal cell apoptosis by preventing mitochondrial oxidative stress and the activation of mitochondrial pathway of apoptosis. J. Pineal Res. 2009, 46, 314–323. [Google Scholar] [CrossRef] [PubMed]
- Zhu, X.; Hsu, B.T.; Rees, D.C. Structural studies of the binding of the anti-ulcer drug sucrose octasulfate to acidic fibroblast growth factor. Structure 1993, 1, 27–34. [Google Scholar] [CrossRef]
- Russo, G.L.; Russo, M.; Castellano, I.; Napolitano, A.; Palumbo, A. Ovothiol isolated from sea urchin oocytes induces autophagy in the Hep-G2 cell line. Mar. Drugs 2014, 12, 4069–4085. [Google Scholar] [CrossRef]
- Sistani Karampour, N.; Arzi, A.; Rezaie, A.; Pashmforoosh, M.; Kordi, F. Gastroprotective effect of Zingerone on ethanol-induced gastric ulcers in rats. Medicina 2019, 55, 64. [Google Scholar] [CrossRef]
- Mohamed, A.S.; Hosney, M.; Bassiony, S.; Hassanein, S.S.; Soliman, A.M.; Fahmy, S.R.; Gaafar, K. Sodium pentobarbital dosages for exsanguination afect biochemical, molecular and histological measurements in rats. Sci. Rep. 2020, 10, 378. [Google Scholar] [CrossRef]
- Schmidt, M.; Polednik, C.; Roller, J.; Hagen, R. Galium verum aqueous extract strongly inhibits the motility of head and neck cancer cell lines and protects mucosal keratinocytes against toxic DNA damage. Oncol. Rep. 2014, 32, 296–1302. [Google Scholar] [CrossRef]
- Arab, H.H.; Salama, S.A.; Omar, H.A.; Arafa, E.S.; Maghrabi, I.A. Diosmin protects against ethanol-induced gastric injury in rats: Novel anti-ulcer actions. PLoS ONE 2015, 10, e0122417. [Google Scholar] [CrossRef] [PubMed]
- Loren, L.; Weinstein, W.M. Histology of alcoholic hemorrhagic “gastritis”: A prospective evaluation. Gastroenterology 1988, 94, 1254–1262. [Google Scholar]






| Type of Bond | Bond Length (Å) | Type of Bond | Bond Length (Å) |
| S1-C10 | 1.777 | N6=C11 | 1.316 |
| S1-H23 | 1.348 | C7-C8 | 1.492 |
| O2-C13 | 1.357 | C7-C9 | 1.560 |
| O2-H24 | 0.970 | C7-H14 | 1.094 |
| O3=C13 | 1.205 | C7-H15 | 1.095 |
| N4-C8 | 1.391 | C8=C10 | 1.342 |
| N4-C11 | 1.360 | C9-C13 | 1.530 |
| N4-C12 | 1.455 | C9-H16 | 1.092 |
| N5-C9 | 1.459 | C11-H17 | 1.080 |
| N5-H21 | 1.015 | C12-H18 | 1.090 |
| N5-H22 | 1.014 | C12-H19 | 1.090 |
| N6-C10 | 1.367 | C12-H20 | 1.093 |
| Type of Angle | Angle (°) | Type of Angle | Angle (°) |
| C10-1-23 | 96.80 | N5-C9-C13 | 116.4 |
| S1-C10-N6 | 118.1 | N5-C9-H16 | 108.6 |
| S1-C10-C8 | 130.5 | H21-N5-H22 | 107.0 |
| C13-O2-24 | 107.3 | C10-N6-C11 | 105.0 |
| O2-C13-O3 | 122.5 | N6-C10-C8 | 111.3 |
| O2-C13-C9 | 113.1 | N6-C11-H17 | 125.5 |
| O3-C13-C9 | 124.4 | C8-C7-C9 | 113.6 |
| C8-N4-C11 | 106.9 | C8-C7-H14 | 108.7 |
| C8-N4-C12 | 127.1 | C8-C7-H15 | 111.1 |
| N4-C8-C7 | 125.0 | C7-C8-C10 | 130.7 |
| N4-C8-C10 | 104.3 | C9-C7-H14 | 108.4 |
| C11-N4-12 | 126.0 | C9-C7-H15 | 108.4 |
| N4-C11-N6 | 112.5 | C7-C9-C13 | 108.0 |
| N4-C11-H17 | 122.0 | C7-C9-H16 | 107.2 |
| N4-C12-H18 | 108.4 | H14-C7-H15 | 106.3 |
| N4-C12-H19 | 109.9 | C13-C9-H16 | 105.4 |
| N4-C12-H20 | 110.9 | H18-C12-H19 | 109.5 |
| C9-N5-H21 | 110.7 | H18-C12-H20 | 108.4 |
| C9-N5-H22 | 111.1 | H19-C12-H20 | 109.7 |
| N5-C9-C7 | 110.8 |
| Property | Ovothiol A | Equation | Ovothiol A |
|---|---|---|---|
| The total energy E (a.u.) | −986.465 | Eg = ELUMO−EHOMO (eV) | 4.7514 |
| EHOMO (eV) | −5.6010 | Ionization potential: I = −EHOMO | 5.6010 |
| ELUMO (eV) | −0.8496 | Electron affinity: A = −ELUMO | 0.8496 |
| Dipole moment (Debye) | 6.9314 | chemical softness: S = 1/2η | 0.2104 |
| Electronegativity: χ = (I + A)/2 | 3.2253 | chemical potential: μ = −χ | −3.2253 |
| Chemical hardness: η = (I − A)/2 | 2.3757 | Electrophilicity: ω = μ2/2η | 2.1894 |
| Receptor | Interaction | Distance (Å) * | E (kcal/mol) | |||
|---|---|---|---|---|---|---|
| O2 | OG | SER | 117 | H-donor | 2.91 (1.98) | −2.6 |
| O3 | N | VAL | 31 | H-acceptor | 3.08 (2.12) | −1.2 |
| 5-ring | CG | ARG | 116 | pi-H | 3.54 | −0.5 |
| Groups | pH | Volume (mL) | Ulcer Index |
|---|---|---|---|
| Control | 5.80 ± 0.12 d | 1.50 ± 0.37 a | - |
| Ulcer | 2.80 ± 0.21 a | 4.83 ± 0.26 c | 0.91 ± 0.05 c |
| Ovothiol A (250 mg/kg) | 3.77 ± 0.13 b | 3.08 ± 0.36 b | 0.49 ± 0.03 b |
| Ovothiol A (500 mg/kg) | 5.52 ± 0.18 c | 2.96 ± 0.17 b | 0.33 ± 0.04 a |
| Groups | MDA (nmol/g Tissue) | GSH (mg/g Tissue) | GST (U/g Tissue) | SOD (U/g Tissue) |
|---|---|---|---|---|
| Control | 1.27 ± 0.03 a | 1.32 ± 0.05 d | 0.53 ± 0.03 c | 29.60 ± 1.13 c |
| Ulcer | 2.31 ± 0.07 d | 0.29 ± 0.01 a | 0.11 ± 0.02 a | 16.74 ± 1.03 a |
| Ovothiol A (250 mg/kg) | 1.84 ±0.05 c | 0.49 ± 0.03 b | 0.33 ± 0.04 b | 21.34 ± 1.04 b |
| Ovothiol A (500 mg/kg) | 1.43 ± 0.03 b | 0.63 ± 0.04 c | 0.41 ± 0.05 b | 27.13 ± 1.64 c |
| Groups | Cytochrome C (ng/mg Tissue) | IL-6 (pg/mg Tissue) | PGE2 (pg/mg Tissue) | NO (µmol/g Tissue) |
|---|---|---|---|---|
| Control | 1.65 ± 0.04 a | 1.81 ± 0.08 a | 3.17 ± 0.58 c | 460.05 ± 15.78 c |
| Ulcer | 2.77 ± 0.26 c | 2.67 ± 0.28 c | 1.97 ± 0.32 a | 347.23 ± 11.91 a |
| Ovothiol A (250 mg/kg) | 2.26 ± 0.08 b | 2.24 ± 0.11 b | 2.42 ± 0.10 b | 405.93 ± 13.17 b |
| Ovothiol A (500 mg/kg) | 2.06 ± 0.06 b | 1.92 ± 0.08 a | 2.92 ± 0.24 c | 442.82 ± 19.92 c |
Disclaimer/Publisher’s Note: The statements, opinions and data contained in all publications are solely those of the individual author(s) and contributor(s) and not of MDPI and/or the editor(s). MDPI and/or the editor(s) disclaim responsibility for any injury to people or property resulting from any ideas, methods, instructions or products referred to in the content. |
© 2022 by the authors. Licensee MDPI, Basel, Switzerland. This article is an open access article distributed under the terms and conditions of the Creative Commons Attribution (CC BY) license (https://creativecommons.org/licenses/by/4.0/).
Share and Cite
Salaheldin, A.T.; Shehata, M.R.; Sakr, H.I.; Atia, T.; Mohamed, A.S. Therapeutic Potency of Ovothiol A on Ethanol-Induced Gastric Ulcers in Wistar Rats. Mar. Drugs 2023, 21, 25. https://doi.org/10.3390/md21010025
Salaheldin AT, Shehata MR, Sakr HI, Atia T, Mohamed AS. Therapeutic Potency of Ovothiol A on Ethanol-Induced Gastric Ulcers in Wistar Rats. Marine Drugs. 2023; 21(1):25. https://doi.org/10.3390/md21010025
Chicago/Turabian StyleSalaheldin, Amira Tarek, Mohamed Refaat Shehata, Hader I. Sakr, Tarek Atia, and Ayman Saber Mohamed. 2023. "Therapeutic Potency of Ovothiol A on Ethanol-Induced Gastric Ulcers in Wistar Rats" Marine Drugs 21, no. 1: 25. https://doi.org/10.3390/md21010025
APA StyleSalaheldin, A. T., Shehata, M. R., Sakr, H. I., Atia, T., & Mohamed, A. S. (2023). Therapeutic Potency of Ovothiol A on Ethanol-Induced Gastric Ulcers in Wistar Rats. Marine Drugs, 21(1), 25. https://doi.org/10.3390/md21010025

