Biochemical Characterization of a Novel Endo-1,3-β-Glucanase from the Scallop Chlamys farreri
Abstract
1. Introduction
2. Results and Discussion
2.1. Sequence Alignment between Lcf and Endo-1,3-β-Glucanases from GH16
2.2. Expression and Purification of Lcf
2.3. Enzymatic Characterization of Lcf
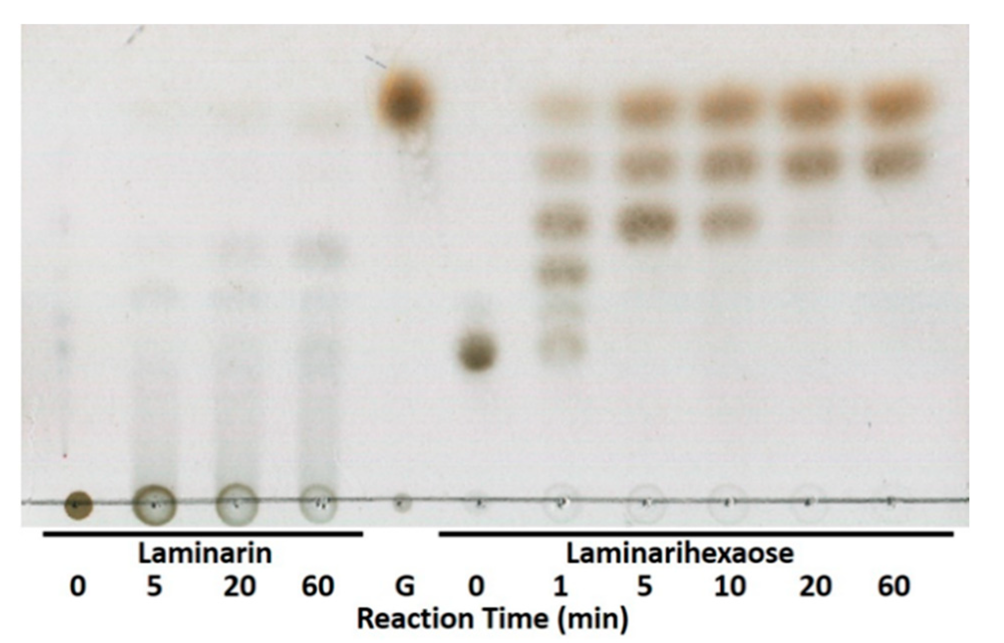
2.4. Analyses of Hydrolytic Products and Transglycosylation Products
3. Materials and Methods
3.1. RNA Extraction and Gene Cloning
3.2. Protein Expression in Brevibacillus
3.3. Protein Purification
3.4. Hydrolytic Activity Assay
3.5. TLC Assay
3.6. Transglycosylation Products Assay
Author Contributions
Funding
Conflicts of Interest
References
- Sova, V.V.; Pesentseva, M.S. Glycosidases of marine organisms. Biochemistry (Moscow) 2013, 78, 746–759. [Google Scholar] [CrossRef] [PubMed]
- Kim, Y.W.; Kim, K.H. Anti-diabetic activity of beta-glucans and their enzymatically hydrolyzed oligosaccharides from Agaricus blazei. Biotechnol. Lett. 2005, 27, 483–487. [Google Scholar] [CrossRef] [PubMed]
- Hida, T.H.; Ishibashi, K. Cytokine induction by a linear 1,3-glucan, curdlan-oligo, in mouse leukocytes in vitro. Inflamm. Res. 2009, 58, 9–14. [Google Scholar] [CrossRef] [PubMed]
- Shimizu, J.; Oka, M. Effects of a partially hydrolyzed curdlan on serum and hepatic cholesterol concentration, and cecal fermentation in rats. Int. J. Vitam. Nutr. Res. 2002, 72, 101–108. [Google Scholar] [CrossRef]
- Klarzynski, O.; Plesse, B. Linear beta-1,3 glucans are elicitors of defense responses in tobacco. Plant. Physiol. 2000, 124, 1027–1038. [Google Scholar] [CrossRef]
- Li, J.; Zhu, L. Purification and characterization of a new endo-β-1,3-glucanase exhibiting a high specificity for curdlan for production of β-1,3-glucan oligosaccharides. Food Sci. Biotechnol. 2014, 23, 799–806. [Google Scholar] [CrossRef]
- Vuong, T.V.; Wilson, D.B. Glycoside hydrolases: Catalytic base/nucleophile diversity. Biotechnol. Bioeng. 2010, 107, 195–205. [Google Scholar] [CrossRef]
- Abdul Manas, N.H.; MdIllias, R. Strategy in manipulating transglycosylation activity of glycosyl hydrolase for oligosaccharide production. Crit. Rev. Biotechnol. 2018, 38, 272–293. [Google Scholar] [CrossRef]
- Cobucci-Ponzano, B.; Moracci, M. Glycosynthases as tools for the production of glycan analogs of natural products. Nat. Prod. Rep. 2012, 29, 697–709. [Google Scholar] [CrossRef]
- Ilari, A.; Fiorillo, A. Crystal structure of a family 16 endoglucanase from the hyperthermophile Pyrococcus furiosus-structural basis of substrate recognition. FEBS J. 2009, 276, 1048–1058. [Google Scholar] [CrossRef]
- Oda, M.; Inaba, S. Structural and thermodynamic characterization of endo-1,3-beta-glucanase: Insights into the substrate recognition mechanism. Biochim. Biophys. Acta Protein Proteom. 2018, 1866, 415–425. [Google Scholar] [CrossRef] [PubMed]
- Jeng, W.Y.; Wang, N.C. Crystal structures of the laminarinase catalytic domain from Thermotoga maritima MSB8 in complex with inhibitors: Essential residues for beta-1,3- and beta-1,4-glucan selection. J. Biol. Chem. 2011, 286, 45030–45040. [Google Scholar] [CrossRef] [PubMed]
- Labourel, A.; Jam, M. Structural and biochemical characterization of the laminarinase ZgLamCGH16 from Zobellia galactanivorans suggests preferred recognition of branched laminarin. Acta Crystallogr. D Biol. Crystallogr. 2015, 71, 173–184. [Google Scholar] [CrossRef]
- Sun, L.; Gurnon, J.R. Characterization of a β-1,3-glucanase encoded by chlorella virus PBCV-1. Virology 2000, 276, 27–36. [Google Scholar] [CrossRef] [PubMed]
- Kozhemyako, V.B.; Rebrikov, D.V. Molecular cloning and characterization of an endo-1,3-β-d-glucanase from the mollusk Spisula sachalinensis. Comp. Biochem. Physiol. B Biochem. Mol. Biol. 2004, 137, 169–178. [Google Scholar] [CrossRef]
- Kovalchuk, S.N.; Bakunina, I.Y. An endo-(1→3)-beta-d-glucanase from the scallop Chlamys albidus: Catalytic properties, cDNA cloning and secondary-structure characterization. Carbohydr. Res. 2009, 344, 191–197. [Google Scholar] [CrossRef] [PubMed]
- Kumagai, Y.; Ojima, T. Enzymatic properties and the primary structure of a beta-1,3-glucanase from the digestive fluid of the Pacific abalone Haliotis discus hannai. Comp. Biochem. Physiol. B. Biochem. Mol. Biol. 2009, 154, 113–120. [Google Scholar] [CrossRef]
- Takeda, T.; Nakano, Y. Identification and enzymatic characterization of an endo-1,3-β-glucanase from Euglena gracilis. Phytochemistry 2015, 116, 21–27. [Google Scholar] [CrossRef]
- Cai, L.Q.; Meng, J.H. Identification of a crustacean β-1,3-glucanase related protein as a pattern recognition protein in antibacterial response. Fish. Shellfish Immunol. 2018, 80, 155–164. [Google Scholar] [CrossRef]
- Cecarini, V.; Cuccioloni, M. Identification of a Killer Toxin from Wickerhamomyces anomalus with β-Glucanase Activity. Toxins 2019, 11, 568. [Google Scholar] [CrossRef]
- Takashima, T.; Taku, T. Crystal structure and biochemical characterization of CJP38, a beta-1,3-glucanase and allergen of Cryptomeria japonica pollen. Mol. Immunol. 2019, 116, 199–207. [Google Scholar] [CrossRef] [PubMed]
- Kusaykin, M.I.; Belik, A.A. A new recombinant endo-1,3-β-d-glucanase from the marine bacterium Formosa algae KMM 3553, Enzyme characteristics and transglycosylation products analysis. World J. Microbiol. Biotechnol. 2017, 33, 40. [Google Scholar] [CrossRef] [PubMed]
- Borriss, R.; Krah, M. Enzymatic synthesis of 4-methylumbelliferyl (1→3)-β-d-glucooligosaccharides-new substrates for β-1,3-1,4-d-glucanase. Carbohydr. Res. 2003, 338, 1455–1467. [Google Scholar] [CrossRef]
- Zakharenko, A.M.; Kusaykin, M.I. Catalytic properties and amino acid sequence of endo-1→3-β-d-glucanase from the marine mollusk Tapes literata. Biochemistry (Moscow) 2012, 77, 878–888. [Google Scholar] [CrossRef] [PubMed]
- Pesentseva, M.S.; Kusaykin, M.I. Catalytic properties and mode of action of endo-(1→3)-β-d-glucanase and β-d-glucosidase from the marine mollusk Littorina kurila. Carbohydr. Res. 2008, 343, 2393–2400. [Google Scholar] [CrossRef]
- Zakharenko, A.M.; Kusaykin, M.I. Enzymatic and molecular characterization of an endo-1,3-β-d-glucanase from the crystalline styles of the mussel Perna viridis. Carbohydr. Res. 2011, 346, 243–252. [Google Scholar] [CrossRef]
- Kumagai, Y.; Inoue, A. Preparation of β-1,3-glucanase from scallop mid-gut gland drips and its use for production of novel heterooligosaccharides. Fish. Sci. 2008, 74, 1127–1136. [Google Scholar] [CrossRef]
- Lyu, Q.; Jiao, W. Proteomic analysis of scallop hepatopancreatic extract provides insights into marine polysaccharide digestion. Sci. Rep. 2016, 6, 34866. [Google Scholar] [CrossRef]
- Kovalchuk, S.N.; Sundukova, E.V. Purification, cDNA cloning and homology modeling of endo-1,3-beta-D-glucanase from scallop Mizuhopecten yessoensis. Comp. Biochem. Physiol. B. Biochem. Mol. Biol. 2006, 143, 473–485. [Google Scholar] [CrossRef]
- Genta, F.A.; Bragatto, I. Purification, characterization and sequencing of the major beta-1,3-glucanase from the midgut of Tenebrio molitor larvae. Insect Biochem. Mol. Biol. 2009, 39, 861–874. [Google Scholar] [CrossRef]
- Labourel, A.; Jam, M. The beta-glucanase ZgLamA from Zobellia galactanivorans evolved a bent active site adapted for efficient degradation of algal laminarin. J. Biol. Chem. 2014, 289, 2027–2042. [Google Scholar] [CrossRef]
- Nakajima, M.; Yamashita, T. A novel glycosylphosphatidylinositol-anchored glycoside hydrolase from Ustilago esculenta functions in beta-1,3-glucan degradation. Appl. Environ. Microbiol. 2012, 78, 5682–5689. [Google Scholar] [CrossRef]
- Liu, Z.; Xiong, Y. Endo-beta-1,3-glucanase digestion combined with the HPAEC-PAD-MS/MS analysis reveals the structural differences between two laminarins with different bioactivities. Carbohydr. Polym. 2018, 194, 339–349. [Google Scholar] [CrossRef]
- Tang, F.; Wang, L.X. Chemoenzymatic synthesis of glycoengineered IgG antibodies and glycosite-specific antibody-drug conjugates. Nat. Protoc. 2017, 12, 1702–1721. [Google Scholar] [CrossRef]
- Kurakake, M.; Amai, Y. Characteristics of an beta-N-Acetylhexosaminidase from Bacillus sp. CH11, Including its Transglycosylation Activity. J. Food Sci. 2018, 83, 1208–1214. [Google Scholar] [CrossRef] [PubMed]
- Yashiro, K.; Lowenthal, J.W. High-level production of recombinant chicken interferon-gamma by Brevibacillus choshinensis. Protein Expr. Purif. 2001, 23, 113–120. [Google Scholar] [CrossRef] [PubMed]
- Lyu, Q.; Wang, S. Structural insights into the substrate-binding mechanism for a novel chitosanase. Biochem. J. 2014, 461, 335–345. [Google Scholar] [CrossRef]
- Qin, Z.; Yang, S.; Zhao, L.; You, X.; Yan, Q.; Jiang, Z. Catalytic Mechanism of a Novel Glycoside Hydrolase Family 16 “Elongating” beta-Transglycosylase. J. Biol. Chem. 2017, 292, 1666–1678. [Google Scholar] [CrossRef]





| Symbol | Compound | m/z |
|---|---|---|
| G | Glucose | 203.2 |
| G2 | Laminaribiose | 365.4 |
| G3 | Laminaritriose | 527.3 |
| G4 | Laminaritetraose | 689.3 |
| G5 | Laminaripentaose | 851.2 |
| Me-α-G2 | Methyl α-d-Glc2 | 379.4 |
| Me-α-G3 | Methyl α-d-Glc3 | 541.4 |
| Me-α-G4 | Methyl α-d-Glc4 | 703.2 |
| Me-β-G2 | Methyl β-d-Glc2 | 379.4 |
| Me-β-G3 | Methyl β-d-Glc3 | 541.3 |
| Me-β-G4 | Methyl β-d-Glc4 | 703.2 |
| Glycerol-G | Glycerol-Glc1 | 227.3 |
| Glycerol-G2 | Glycerol-Glc2 | 439.4 |
| Glycerol-G3 | Glycerol-Glc3 | 601.2 |
| Glycerol-G4 | Glycerol-Glc4 | 763.2 |
| Glycerol-G5 | Glycerol-Glc5 | 924.9 |
| Sorbitol-G | Sorbitol-Glc1 | 367.4 |
| Sorbitol-G2 | Sorbitol-Glc2 | 529.3 |
| Sorbitol-G3 | Sorbitol-Glc3 | 691.2 |
| ET-G2 | Ethanol-Glc2 | 393.3 |
| Ser-G | Serine-Glc1 | 290.2 |
© 2020 by the authors. Licensee MDPI, Basel, Switzerland. This article is an open access article distributed under the terms and conditions of the Creative Commons Attribution (CC BY) license (http://creativecommons.org/licenses/by/4.0/).
Share and Cite
Li, Z.; Liu, W.; Lyu, Q. Biochemical Characterization of a Novel Endo-1,3-β-Glucanase from the Scallop Chlamys farreri. Mar. Drugs 2020, 18, 466. https://doi.org/10.3390/md18090466
Li Z, Liu W, Lyu Q. Biochemical Characterization of a Novel Endo-1,3-β-Glucanase from the Scallop Chlamys farreri. Marine Drugs. 2020; 18(9):466. https://doi.org/10.3390/md18090466
Chicago/Turabian StyleLi, Zhijian, Weizhi Liu, and Qianqian Lyu. 2020. "Biochemical Characterization of a Novel Endo-1,3-β-Glucanase from the Scallop Chlamys farreri" Marine Drugs 18, no. 9: 466. https://doi.org/10.3390/md18090466
APA StyleLi, Z., Liu, W., & Lyu, Q. (2020). Biochemical Characterization of a Novel Endo-1,3-β-Glucanase from the Scallop Chlamys farreri. Marine Drugs, 18(9), 466. https://doi.org/10.3390/md18090466

