Mimicry of Rhabdomyosarcoma by Tonsillar Actinomycosis: Case Report
Abstract
1. Introduction
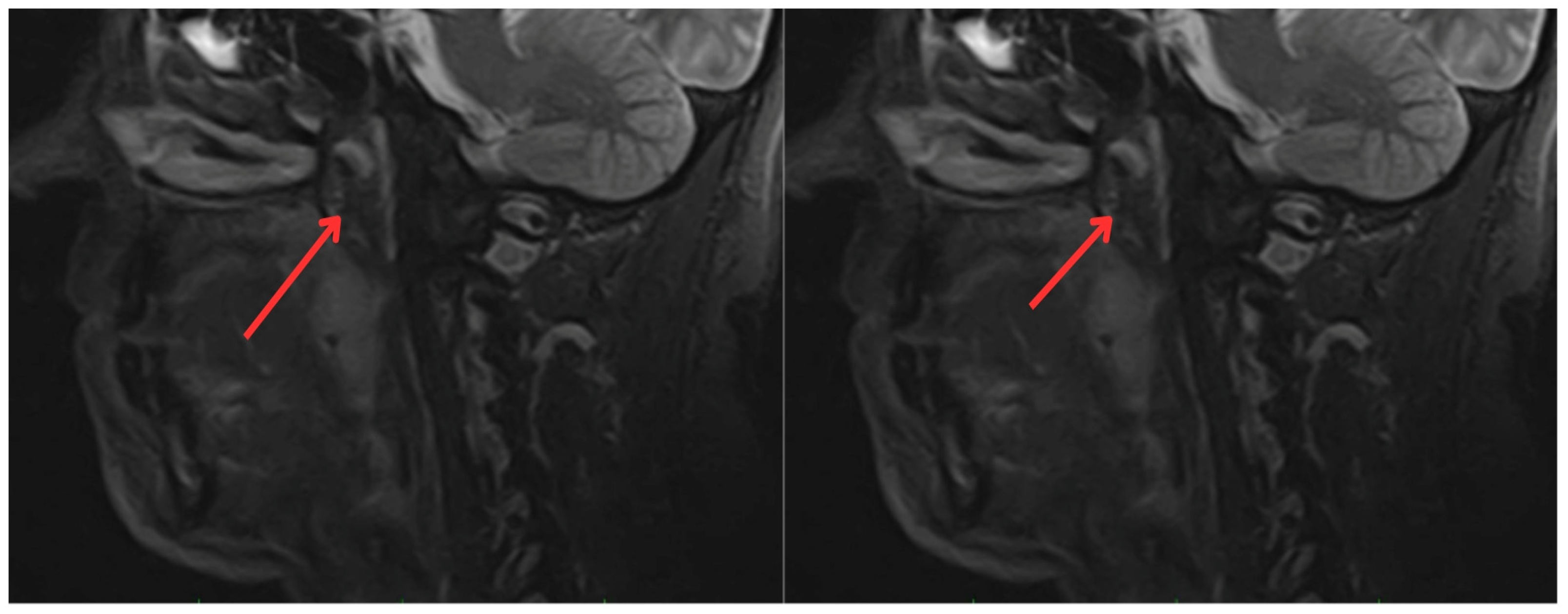
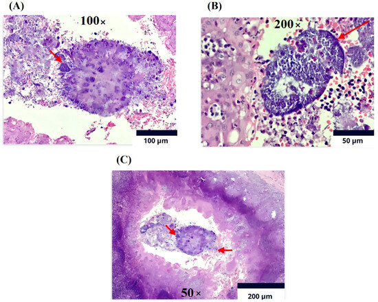
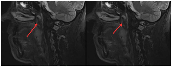
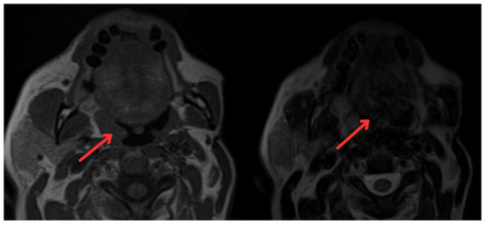
2. Case Report
3. Discussion
4. Conclusions
Author Contributions
Funding
Institutional Review Board Statement
Informed Consent Statement
Data Availability Statement
Acknowledgments
Conflicts of Interest
Abbreviations
| IUD | Intrauterine Device |
| GI | Gastrointestinal |
| CBC | Complete Blood Count |
| ARDS | Acute Respiratory Distress Syndrome |
| CT | Computed Tomography |
| MRI | Magnetic Resonance Imaging |
| VATS | Video-Assisted Thoracoscopic Surgery |
| ALP | Alkaline Phosphate |
| ERS | Erythrocyte Sedimentation Rate |
| TB | Tuberculosis |
| PET-CT | Positron Emission Tomography-Computed |
References
- Wong, V.K.; Turmezei, T.D.; Weston, V.C. Actinomycosis. BMJ 2011, 343, d6099. [Google Scholar] [CrossRef] [PubMed]
- Ferrari, T.C.A.; Couto, C.A.; Murta-Oliveira, C.; Conceicao, S.A.; Silva, R.G. Actinomycosis of the Colon: A Rare Form of Presentation. Scand. J. Gastroenterol. 2000, 35, 108–109. [Google Scholar] [CrossRef] [PubMed]
- Ferry, T.; Valour, F.; Karsenty, J.; Breton, P.; Gleizal, A.; Braun, E.; Chidiac, C.; Ader, F.; Senechal, A.; Dupieux, C.; et al. Actinomycosis: Etiology, Clinical Features, Diagnosis, Treatment, and Management. Infect. Drug Resist. 2014, 7, 183–197. [Google Scholar] [CrossRef] [PubMed]
- Brook, I. Actinomycosis: Diagnosis and Management. South. Med. J. 2008, 101, 1019–1023. [Google Scholar] [CrossRef] [PubMed]
- Yi, F.; Prasad, S.; Sharkey, F.; Kahlenberg, M. Actinomycotic Infection of the Abdominal Wall Mimicking a Malignant Neoplasm. Surg. Infect. 2008, 9, 85–89. [Google Scholar] [CrossRef] [PubMed]
- Boyanova, L.; Kolarov, R.; Mateva, L.; Markovska, R.; Mitov, I. Actinomycosis: A Frequently Forgotten Disease. Future Microbiol. 2015, 10, 613–628. [Google Scholar] [CrossRef] [PubMed]
- Andrade, C.R.D.; Trento, G.D.S.; Jeremias, F.; Giro, E.M.A.; Gabrielli, M.A.C.; Gabrielli, M.F.R.; Almeida, O.P.D.; Pereira-Filho, V.A. Rabdomyosarcoma of the Mandible: An Uncommon Clinical Presentation. J. Craniofacial Surg. 2018, 29, e221–e224. [Google Scholar] [CrossRef] [PubMed]
- Iagaru, A.; Goris, M.L. Rhabdomyosarcoma Diffusely Metastatic to the Bone Marrow: Suspicious Findings on 99mTc-MDP Bone Scintigraphy Confirmed by 18F-18 FDG PET/CT and Bone Marrow Biopsy. Eur. J. Nucl. Med. Mol. Imaging 2008, 35, 1746. [Google Scholar] [CrossRef] [PubMed]
- Swain, S. Actinomycosis in Head-and-Neck Region—A Review. Matrix Sci. Med. 2022, 6, 1. [Google Scholar] [CrossRef]
- Gaffney, R.; Harrison, M.; Walsh, M.; Sweeney, E.; Cafferkey, M. The Incidence and Role of Actinomyces in Recurrent Acute Tonsillitis. Clin. Otolaryngol. 1993, 18, 268–271. [Google Scholar] [CrossRef] [PubMed]
- Bhargava, D.; Bhusnurmath, B.; Sundaram, K.R.; Raman, R.; Al Okbi, H.M.; Al Abri, R.; Date, A. Tonsillar Actinomycosis: A Clinicopathological Study. Acta Trop. 2001, 80, 163–168. [Google Scholar] [CrossRef] [PubMed]
- Van Lierop, A.C.; Prescott, C.A.J.; Sinclair-Smith, C.C. An Investigation of the Significance of Actinomycosis in Tonsil Disease. Int. J. Pediatr. Otorhinolaryngol. 2007, 71, 1883–1888. [Google Scholar] [CrossRef] [PubMed]
- Smith, A.J.; Hall, V.; Thakker, B.; Gemmell, C.G. Antimicrobial Susceptibility Testing of Actinomyces Species with 12 Antimicrobial Agents. J. Antimicrob. Chemother. 2005, 56, 407–409. [Google Scholar] [CrossRef] [PubMed]
- Arvisais-Anhalt, S.; Quinn, A.; Bishop, J.A.; Wang, C.S.; Mitchell, R.B.; Johnson, R.F.; Schultz, B.; Day, A.T. Palatine Tonsilloliths and Actinomyces: A Multi-institutional Study of Adult Patients Undergoing Tonsillectomy. Otolaryngol.–Head Neck Surg. 2020, 163, 743–749. [Google Scholar] [CrossRef] [PubMed]
- Smith-Elekes, S.; Weinstein, M.P. Blood Cultures. Infect. Dis. Clin. N. Am. 1993, 7, 221–234. [Google Scholar] [CrossRef]
- Rašić, D.; Perić, A.; Vukomanović-Durdević, B. A Case of an Unilateral Tonsillar Hypertrophy Caused by Actinomycosis. Acta Med. (Hradec Kral. Czech Repub.) 2010, 53, 31–33. [Google Scholar] [CrossRef] [PubMed][Green Version]
- Takasaki, K.; Kitaoka, K.; Kaieda, S.; Hayashi, T.; Abe, K.; Takahashi, H. A Case of Actinomycosis Causing Unilateral Tonsillar Hypertrophy. Acta Oto-Laryngol. 2006, 126, 1001–1004. [Google Scholar] [CrossRef] [PubMed][Green Version]
- Samant, S.; Sandoe, J.; High, A.; Makura, Z.G.G. Actinomycosis Mimicking a Tonsillar Neoplasm in an Elderly Diabetic Patient. Br. J. Oral Maxillofac. Surg. 2009, 47, 417–418. [Google Scholar] [CrossRef]
- Yadav, S.P.S.; Chanda, R.; Gathwala, G.; Yadav, R.K. Actinomycosis of Tonsil Masquerading as Tumour in a 12-Year Old Child. Int. J. Pediatr. Otorhinolaryngol. 2002, 63, 73–75. [Google Scholar] [CrossRef] [PubMed]
- Bulut, G.; Bayram, Y.; Bulut, M.D.; Garca, M.F.; Bayram, I. Mandibular Actinomyces Infection Mimicking a Malignancy: Case Report. Turk. J. Pathol. 2014, 33, 256–258. [Google Scholar] [CrossRef] [PubMed]
- Hasan, M.; Kumar, A. Actinomycosis and Tonsillar Disease. Case Rep. 2011, 2011, bcr0120113750. [Google Scholar] [CrossRef] [PubMed]
- Khatib, W.M.; Jagtap, S.V.; Patel, P.M.; Bisht, T.V.; Shukla, D.B. Tonsillar Actinomycosis—A Case Report. Int. J. Health Sci. 2015, 6, 28–32. [Google Scholar]
- Carvalho De Medeiros, F.; Carvalho De Medeiros, F. Actinomicosis Amigdalina Imitando Una Recaída de Un Linfoma No Hodgkin. Rev. Chil. Infectología 2016, 33, 576–579. [Google Scholar] [CrossRef]
- Bold, A.; Mateescu, G.; Iliescu, G.; Găman, A.; Cernea, D. Uncommon Etiologies of Infectious Tonsillitis in Adults. BMC Infect. Dis. 2013, 13, P32. [Google Scholar] [CrossRef][Green Version]
- Trutnovsky, G.; Tamussino, K.; Reich, O. Short-term Antibiotic Treatment of Pelvic Actinomycosis. Int. J. Gynaecol. Obstet. 2008, 101, 203–204. [Google Scholar] [CrossRef]
- Sudhakar, S.S.; Ross, J.J. Short-Term Treatment of Actinomycosis: Two Cases and a Review. Clin. Infect. Dis. 2004, 38, 444–447. [Google Scholar] [CrossRef] [PubMed]
- Ellebrecht, D.B.; Pross, M.M.F.; Schierholz, S.; Palade, E. Actinomyces Meyeri Empyema Necessitatis—A Case Report and Review of the Literature. Surg. J. 2019, 05, e57–e61. [Google Scholar] [CrossRef] [PubMed]
- Steininger, C.; Willinger, B. Resistance Patterns in Clinical Isolates of Pathogenic Actinomyces Species. J. Antimicrob. Chemother. 2016, 71, 422–427. [Google Scholar] [CrossRef] [PubMed]
- Russo, T. Agents of Actinomycosis. In Mandell, Douglas, and Bennett’s Principles and Practice of Infectious Diseases; Churchill Livingstone: Philadelphia, PA, USA, 2010; pp. 3209–3219. ISBN 978-0-443-06839-3. [Google Scholar]




| Test | Admission Value | Reference Range |
|---|---|---|
| Potassium (mEq/L) | 4.35 | 3.5–5.1 |
| Sodium (mEq/L) | 142 | 132–146 |
| Blood Urea Nitrogen (mg/dL) | 14.1 | 9–23 |
| Creatinine (mg/dL) | 1.09 | 0.5–1.1 |
| White Blood Cell Count (Absolute/µL) | 8230 | 4050–11,840 |
| Neutrophil Count (Absolute/µL) | 5090 | 2070–7730 |
| Hemoglobin (g/dL) | 16.7 | 12.3–15.3 |
| Platelet Count (µL) | 276,000 | 203,000–445,000 |
| Erythrocyte Sedimentation Rate (mm/h) | 12 | 0–20 |
| Alkaline Phosphatase | 72 | 46–116 |
| C—Reactive Protein (mg/dL) | 0.2 | 0–10 |
| AST (U/L) | 23 | 0–34 |
| ALT (U/L) | 20 | 0–49 |
| Blood Cultures | Result |
|---|---|
| Fungal Blood Culture | Negative after 15 days of incubation |
| * Serial Blood Culture one | Negative after 5 days of incubation |
| * Serial Blood Culture one | Negative after 5 days of incubation |
| Author | Age and Gender | Predominant Clinical Manifestation | Procedure Performed | Histopathology | Treatment |
|---|---|---|---|---|---|
| Hasan and Kumar, 2011 [21] | Female, Age: 10 years | Submandibular pain with painful swallowing | Elective tonsillectomy | Neutrophilic infiltration and bacterial colonies with sulfur granules confirming the presence of actinomycosis. | Intravenous penicillin G, 5 million units per day for 1 month, followed by oral penicillin (amoxicillin 400 mg + clavulanate 57 mg), twice a day for 2 months along with oral lactobacillus. |
| Khatib et al., 2015 [22] | Male, Age: 42 years | Pain during swallowing for the past 2 months | Bilateral tonsillectomy | Chronic tonsillitis with Actinomyces colonies. Periodic acid-Schiff staining confirmed the presence of Actinomyces. | Not specified |
| Carvalho et al., 2016 [23] | Female, Age: 63 years | Asymptomatic | Elective tonsillectomy | Nonspecific reactive follicular lymphoid hyperplasia and Actinomyces spp. detected. Hematoxylin and eosin stain highlights a bacterial cluster of Actinomyces spp. (“sulfur granule”). | Treatment with amoxicillin/clavulanic acid 500/125 mg, duration not specified. |
| Bold et al., 2013 [24] | Male, Age: 55 years | Two weeks of sore throat, dysphagia, odynophagia, cervical lymphadenopathy, fever, and severe asthenia | Tonsillectomy | Actinomyces confirmed by PAS and Giemsa stains. | Rovamycin for actinomycosis for 14 days. |
Disclaimer/Publisher’s Note: The statements, opinions and data contained in all publications are solely those of the individual author(s) and contributor(s) and not of MDPI and/or the editor(s). MDPI and/or the editor(s) disclaim responsibility for any injury to people or property resulting from any ideas, methods, instructions or products referred to in the content. |
© 2024 by the authors. Licensee MDPI, Basel, Switzerland. This article is an open access article distributed under the terms and conditions of the Creative Commons Attribution (CC BY) license (https://creativecommons.org/licenses/by/4.0/).
Share and Cite
Montenegro Palacios, J.F.; Correa Forero, S.V.; Ordoñez Andrade, G.A.; Posu Barco, J.; Melo Burbano, L.A.; Liscano, Y. Mimicry of Rhabdomyosarcoma by Tonsillar Actinomycosis: Case Report. Medicina 2024, 60, 1172. https://doi.org/10.3390/medicina60071172
Montenegro Palacios JF, Correa Forero SV, Ordoñez Andrade GA, Posu Barco J, Melo Burbano LA, Liscano Y. Mimicry of Rhabdomyosarcoma by Tonsillar Actinomycosis: Case Report. Medicina. 2024; 60(7):1172. https://doi.org/10.3390/medicina60071172
Chicago/Turabian StyleMontenegro Palacios, John Fernando, Shirley Vanessa Correa Forero, Gaby Alejandra Ordoñez Andrade, Jasbleidy Posu Barco, Luis Alvaro Melo Burbano, and Yamil Liscano. 2024. "Mimicry of Rhabdomyosarcoma by Tonsillar Actinomycosis: Case Report" Medicina 60, no. 7: 1172. https://doi.org/10.3390/medicina60071172
APA StyleMontenegro Palacios, J. F., Correa Forero, S. V., Ordoñez Andrade, G. A., Posu Barco, J., Melo Burbano, L. A., & Liscano, Y. (2024). Mimicry of Rhabdomyosarcoma by Tonsillar Actinomycosis: Case Report. Medicina, 60(7), 1172. https://doi.org/10.3390/medicina60071172

