Bivalvular Endocarditis Due to Polymicrobial Coinfection with Enterococcus faecalis and Coxiella burnetii: A Case Report and Review of the Literature
Abstract
1. Introduction
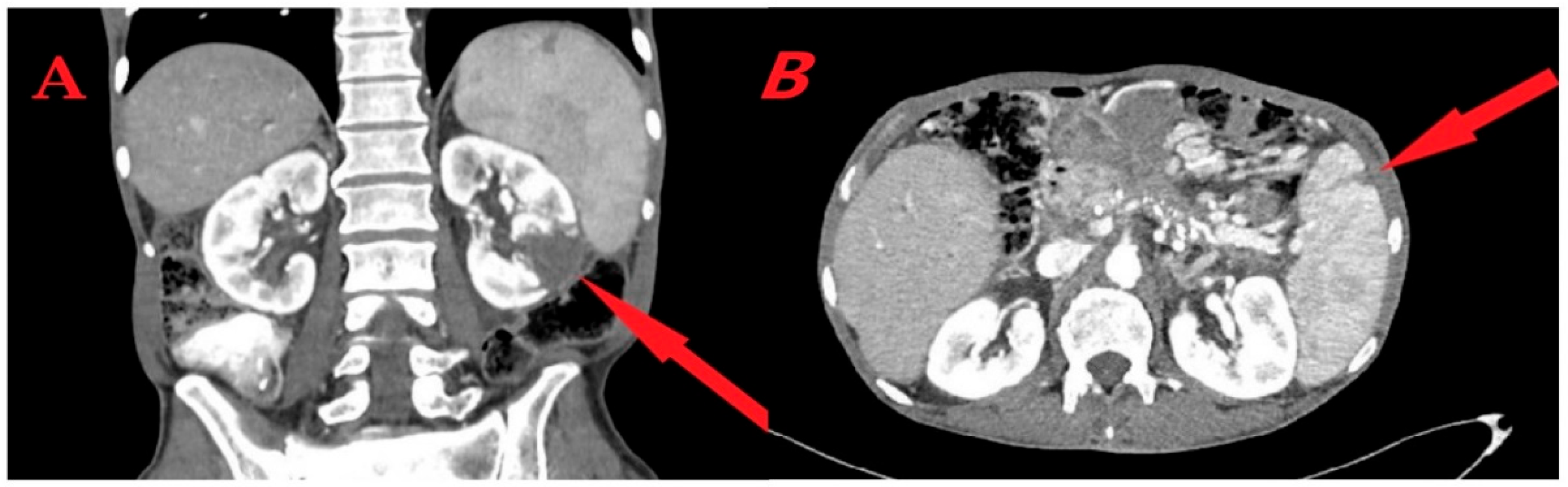
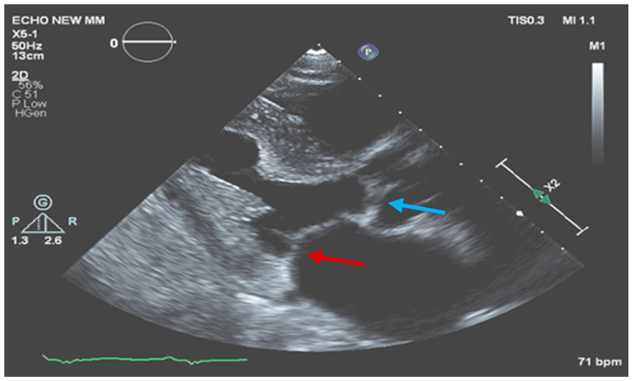
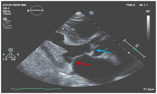
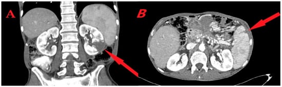
2. Case Presentation
3. Discussion
4. Conclusions
Author Contributions
Funding
Institutional Review Board Statement
Informed Consent Statement
Data Availability Statement
Conflicts of Interest
References
- García-Granja, P.E.; López, J.; Vilacosta, I.; Ortiz-Bautista, C.; Sevilla, T.; Olmos, C.; Sarriá, C.; Ferrera, C.; Gómez, I.; Román, J.A.S. Polymicrobial infective endocarditis: Clinical features and prognosis. Medicine 2015, 94, e2000. [Google Scholar] [CrossRef] [PubMed]
- Gagliardi, J.P.; Nettles, R.E.; McCarty, D.E.; Sanders, L.L.; Corey, G.R.; Sexton, D.J. Native valve infective endocarditis in elderly and younger adult patients: Comparison of clinical features and outcomes with use of the Duke criteria and the Duke Endocarditis Database. Clin. Infect. Dis. 1998, 26, 1165–1168. [Google Scholar] [CrossRef] [PubMed]
- Hecht, S.R.; Berger, M. Right-sided endocarditis in intravenous drug users. Prognostic features in 102 episodes. Ann. Intern. Med. 1992, 117, 560–566. [Google Scholar] [CrossRef] [PubMed]
- Arora, N.; Panda, P.K.; Cr, P.; Uppal, L.; Saroch, A.; Angrup, A.; Sharma, N.; Sharma, Y.P.; Vijayvergiya, R.; Rohit, M.K.; et al. Changing spectrum of infective endocarditis in India: An 11-year experience from an academic hospital in North India. Indian. Heart J. 2021, 73, 711–717. [Google Scholar] [CrossRef] [PubMed]
- Mora-Rillo, M.; Martín-Suñé, N.; Romero-Gómez, M.P.; Fernández-Capitán, M.C. Polymicrobial endocarditis: Chronic Q fever and Enterococcus faecalis coinfection. Rev. Clin. Esp. 2013, 213, 172–173. [Google Scholar] [CrossRef] [PubMed]
- Rovery, C.; Granel, B.; Casalta, J.P.; Lepidi, H.; Habib, G.; Raoult, D. Coinfection with Coxiella burnetii in infectious endocarditis. Clin. Microbiol. Infect. 2009, 15 (Suppl. S2), 190–191. [Google Scholar] [CrossRef]
- Yahav, D.; Kuznitz, I.; Reisfeld, S.; Eliakim-Raz, N.; Bishara, J. Polymicrobial Q Fever and enterococcal aortic prosthetic valve endocarditis with aortic root abscess. Vector-Borne Zoonotic Dis. 2015, 15, 326–328. [Google Scholar] [CrossRef] [PubMed]
- Karchmer, A.W. Infective endocarditis. In Harrison’s Principles of Internal Medicine, 20th ed.; Jameson, J.L., Kasper, D.L., Longo, D.L., Fauci, A.S., Hauser, S.L., Loscalzo, J., Eds.; McGraw Hill Education: New York, NY, USA, 2018; pp. 921–933. [Google Scholar]
- Baddour, L.M.; Freeman, W.K.; Suri, R.M.; Wilson, W.R. Cardiovascular infections. In Braunwald’s Heart Disease: A Textbook of Cardiovascular Medicine, 11th ed.; Ziper, D.P., Libby, P., Bonow, R.O., Mann, D.L., Tomaselli, G.F., Braunwald, E., Eds.; Elsevier: Philadelphia, PA, USA, 2019; pp. 1483–1509. [Google Scholar]
- Pericàs, J.M.; Llopis, J.; Athan, E.; Hernández-Meneses, M.; Hannan, M.M.; Murdoch, D.R.; Kanafani, Z.; Freiberger, T.; Strahilevitz, J.; Fernández-Hidalgo, N.; et al. Prospective Cohort Study of Infective Endocarditis in People Who Inject Drugs. J. Am. Coll. Cardiol. 2021, 77, 544–555. [Google Scholar] [CrossRef] [PubMed]
- Murdoch, D.R.; Corey, G.R.; Hoen, B.; Miró, J.M.; Fowler, V.G., Jr.; Bayer, A.S.; Karchmer, A.W.; Olaison, L.; Pappas, P.A.; Moreillon, P.; et al. Clinical presentation, etiology, and outcome of infective endocarditis in the 21st century: The International Collaboration on Endocarditis-Prospective Cohort Study. Arch. Intern. Med. 2009, 169, 463–473. [Google Scholar] [CrossRef]
- Resende, P., Jr.; Fortes, C.Q.; do Nascimento, E.M.; Sousa, C.; Querido Fortes, N.R.; Thomaz, D.C.; de Bragança Pereira, B.; Pinto, F.J.; de Oliveira, G.M.M. In-hospital Outcomes of Infective Endocarditis from 1978 to 2015: Analysis Through Machine-Learning Techniques. CJC Open 2021, 4, 164–172. [Google Scholar] [CrossRef]
- de Sousa, C.; Ribeiro, R.M.; Pinto, F.J. The burden of infective endocarditis in Portugal in the last 30 years—A systematic review of observational studies. Rev. Port. Cardiol. 2021, 40, 205–217. [Google Scholar] [CrossRef] [PubMed]
- Mehrzad, R.; Sublette, M.; Barza, M. Polymicrobial endocarditis in intravenous heroin and fentanyl abuse. J. Clin. Diagn. Res. 2013, 7, 2981–2985. [Google Scholar] [CrossRef] [PubMed]
- Saravolatz, L.D.; Burch, K.H.; Quinn, E.L.; Cox, F.; Madhavan, T.; Fisher, E. Polymicrobial infective endocarditis: An increasing clinical entity. Am. Heart J. 1978, 95, 163–168. [Google Scholar] [CrossRef] [PubMed]
- Cicalini, S.; Francavilla, R.; Massaroni, K.; De Rosa, F.G. Polymicrobial infective endocarditis in Italy. Recent. Prog. Med. 2002, 93, 92–95. [Google Scholar]
- Oberbach, A.; Schlichting, N.; Friedrich, M.; Lehmann, S.; Kullnick, Y.; Pichlmaier, M.; Hagl, C.; Bagaev, E.; CardiOmics group; Clinical Microbiology group; et al. Quantification of Multiple Bacteria in Calcified Structural Valvular Heart Disease. Semin. Thorac. Cardiovasc. Surg. 2020, 32, 255–263. [Google Scholar] [CrossRef] [PubMed]
- Wang’ondu, R.W.; Murray, T.S. Relapse of polymicrobial endocarditis in an intravenous drug user. Yale J. Biol. Med. 2011, 84, 321–324. [Google Scholar] [PubMed]
- Dahl, A.; Bruun, N.E. Enterococcus faecalis infective endocarditis: Focus on clinical aspects. Expert. Rev. Cardiovasc. Ther. 2013, 11, 1247–1257. [Google Scholar] [CrossRef]
- Jang, H.C.; Park, W.B.; Kim, H.B.; Kim, E.C.; Oh, M.D. Clinical Features and Rate of Infective Endocarditis in Non-Faecalis and Non-faecium Enterococcal Bacteremia. Chonnam Med. J. 2011, 47, 111–115. [Google Scholar] [CrossRef]
- Anderson, D.J.; Murdoch, D.R.; Sexton, D.J.; Reller, L.B.; Stout, J.E.; Cabell, C.H.; Corey, G.R. Risk factors for infective endocarditis in patients with enterococcal bacteremia: A case-control study. Infection 2004, 32, 72–77. [Google Scholar] [CrossRef]
- Allocca, G.; Slavich, G.; Nucifora, G.; Slavich, M.; Frassani, R.; Crapis, M.; Badano, L. Successful treatment of polymicrobial multivalve infective endocarditis. Multivalve infective endocarditis. Int. J. Cardiovasc. Imaging 2007, 23, 501–505. [Google Scholar] [CrossRef]
- Chirouze, C.; Athan, E.; Alla, F.; Chu, V.H.; Ralph Corey, G.; Selton-Suty, C.; Erpelding, M.L.; Miro, J.M.; Olaison, L.; Hoen, B.; et al. Enterococcal endocarditis in the beginning of the 21st century: Analysis from the International Collaboration on Endocarditis-Prospective Cohort Study. Clin. Microbiol. Infect. 2013, 19, 1140–1147. [Google Scholar] [CrossRef] [PubMed]
- Fernández Guerrero, M.L.; Goyenechea, A.; Verdejo, C.; Roblas, R.F.; de Górgolas, M. Enterococcal endocarditis on native and prosthetic valves: A review of clinical and prognostic factors with emphasis on hospital-acquired infections as a major determinant of outcome. Medicine 2007, 86, 363–377. [Google Scholar] [CrossRef] [PubMed]
- Kaye, D. Enterococci. Biologic and epidemiologic characteristics and in vitro susceptibility. Arch. Intern. Med. 1982, 142, 2006–2009. [Google Scholar] [CrossRef] [PubMed]
- Megran, D.W. Enterococcal endocarditis. Clin. Infect. Dis. 1992, 15, 63–71. [Google Scholar] [CrossRef]
- Olaison, L.; Schadewitz, K. Swedish Society of Infectious Diseases Quality Assurance Study Group for Endocarditis. Enterococcal endocarditis in Sweden, 1995–1999: Can shorter therapy with aminoglycosides be used? Clin. Infect. Dis. 2002, 34, 159–166. [Google Scholar] [CrossRef]
- Dahl, A.; Iversen, K.; Tonder, N.; Hoest, N.; Arpi, M.; Dalsgaard, M.; Chehri, M.; Soerensen, L.L.; Fanoe, S.; Junge, S.; et al. Prevalence of infective endocarditis in Enterococcus faecalis bacteremia. J. Am. Coll. Cardiol. 2019, 74, 193–201. [Google Scholar] [CrossRef] [PubMed]
- Baddour, L.M.; Meyer, J.; Henry, B. Polymicrobial infective endocarditis in the 1980s. Rev. Infect. Dis. 1991, 13, 963–970. [Google Scholar] [CrossRef] [PubMed]
- Bishara, J.; Sagie, A.; Samra, Z.; Pitlik, S. Polymicrobial endocarditis caused by methicillin-resistant Staphylococcus aureus and glycopeptide-resistant enterococci. Eur. J. Clin. Microbiol. Infect. Dis. 1999, 18, 674–675. [Google Scholar] [CrossRef]
- Espejo, E.; Gil-Díaz, A.; Oteo, J.A.; Castillo-Rueda, R.; García-Alvarez, L.; Santana-Báez, S.; Bella, F. Clinical presentation of acute Q fever in Spain: Seasonal and geographical differences. Int. J. Infect. Dis. 2014, 26, 162–164. [Google Scholar] [CrossRef][Green Version]
- Eldin, C.; Mélenotte, C.; Mediannikov, O.; Ghigo, E.; Million, M.; Edouard, S.; Mege, J.L.; Maurin, M.; Raoult, D. From Q fever to Coxiella burnetii infection: A paradigm change. Clin. Microbiol. Rev. 2017, 30, 115–190. [Google Scholar] [CrossRef]
- Sahu, R.; Rawool, D.B.; Dhaka, P.; Yadav, J.P.; Mishra, S.P.; Kumar, M.; Vergis, J.; Malik, S.S.; Barbuddhe, S.B. Current perspectives on the occurrence of Q fever: Highlighting the need for systematic surveillance for a neglected zoonotic disease in Indian subcontinent. Environ. Microbiol. Rep. 2021, 13, 138–158. [Google Scholar] [CrossRef] [PubMed]
- Raoult, D.; Marrie, T.; Mege, J. Natural history and pathophysiology of Q fever. Lancet Infect. Dis. 2005, 5, 219–226. [Google Scholar] [CrossRef] [PubMed]
- Schoffelen, T.; Ammerdorffer, A.; Hagenaars, J.C.; Bleeker-Rovers, C.P.; Wegdam-Blans, M.C.; Wever, P.C.; Joosten, L.A.; van der Meer, J.W.; Sprong, T.; Netea, M.G.; et al. Genetic variation in pattern recognition receptors and adaptor proteins associated with development of chronic Q fever. J. Infect. Dis. 2015, 212, 818–829. [Google Scholar] [CrossRef]
- Jansen, A.F.M.; Schoffelen, T.; Bleeker-Rovers, C.P.; Wever, P.C.; Jaeger, M.; Oosting, M.; Adriaans, A.; Joosten, L.A.B.; Netea, M.G.; van Deuren, M.; et al. Genetic variations in innate immunity genes affect response to Coxiella burnetii and are associated with susceptibility to chronic Q fever. Clin. Microbiol. Infect. 2019, 25, 631.e11–631.e15. [Google Scholar] [CrossRef]
- Walker, D.H.; Dumler, J.S.; Blanton, L.S.; Marrie, T. Rickettsial diseases. In Harrison’s Principles of Internal Medicine, 20th ed.; Jameson, J.L., Kasper, D.L., Longo, D.L., Fauci, A.S., Hauser, S.L., Loscalzo, J., Eds.; McGraw Hill Education: New York, NY, USA, 2018; pp. 1303–1313. [Google Scholar]
- Jaltotage, B.; Ali, U.; Dorai-Raj, A.; Rankin, J.; Sanfilippo, F.; Dwivedi, G. Q fever endocarditis: A review of local and all reported cases in the literature. Heart Lung Circ. 2021, 30, 1509–1515.39. [Google Scholar] [CrossRef]
- Ergas, D.; Keysari, A.; Edelstein, V.; Sthoeger, Z.M. Acute Q fever in Israel: Clinical and laboratory study of 100 hospitalized patients. Isr. Med. Assoc. J. 2006, 8, 337–341. [Google Scholar]
- Finn, T.; Babushkin, F.; Geller, K.; Alexander, H.; Paikin, S.; Lellouche, J.; Atiya-Nasagi, Y.; Cohen, R. Epidemiological, clinical and laboratory features of acute Q fever in a cohort of hospitalized patients in a regional hospital, Israel, 2012–2018. PLoS Negl. Trop. Dis. 2021, 15, e0009573. [Google Scholar] [CrossRef] [PubMed]
- Han, X.; Hsu, J.; Miao, Q.; Zhou, B.T.; Fan, H.W.; Xiong, X.L.; Wen, B.H.; Wu, L.; Yan, X.W.; Fang, Q.; et al. Retrospective examination of Q fever endocarditis: An underdiagnosed disease in the mainland of china. Chin. Med. J. 2017, 130, 64–70. [Google Scholar] [CrossRef]
- Raoult, D.; Casalta, J.P.; Richet, H.; Khan, M.; Bernit, E.; Rovery, C.; Branger, S.; Gouriet, F.; Imbert, G.; Bothello, E.; et al. Contribution of systematic serological testing in diagnosis of infective endocarditis. J. Clin. Microbiol. 2005, 43, 5238–5242. [Google Scholar] [CrossRef]
- Ghanem-Zoubi, N.; Paul, M.; Szwarcwort, M.; Agmon, Y.; Kerner, A. Screening for Q fever in patients undergoing transcatheter aortic valve implantation, Israel, June 2018–May 2020. Emerg. Infect. Dis. 2021, 27, 2205–2207. [Google Scholar] [CrossRef]
- Kampschreur, L.M.; Oosterheert, J.J.; de Vries Feyens, C.A.; Delsing, C.E.; Hermans, M.H.; van Sluisveld, I.L.; Lestrade, P.J.; Renders, N.H.; Elsman, P.; Wever, P.C. Chronic Q fever-related dual-pathogen endocarditis: Case series of three patients. J. Clin. Microbiol. 2011, 49, 1692–1694. [Google Scholar] [CrossRef] [PubMed]
- Kaech, C.; Raoult, D.; Greub, G. Incidental live-saving polymerase chain reaction in a case of prosthetic valve dual-pathogen endocarditis. Clin. Infect. Dis. 2008, 47, 144. [Google Scholar] [CrossRef] [PubMed][Green Version]
- Kagan, S.; Levy, I.; Ashkenazi-Hoffnung, L.; Lowenthal, A.; Goldstein, R.E.; Landau, D.; Scheuerman, O. Q Fever and Kingella kingae endocarditis in a toddler: A rare coinfection case. Pediatr. Infect. Dis. J. 2019, 38, e336–e337. [Google Scholar] [CrossRef] [PubMed]
- Garg, P.; Chan, S.; Peeceeyen, S.; Youssef, G.; Graves, S.R.; Sullivan, R. Culture-negative polymicrobial chronic Q fever prosthetic valve infective endocarditis utilizing 16S ribosomal RNA polymerase chain reaction on explanted valvular tissue. Int. J. Infect. Dis. 2022, 121, 138–140. [Google Scholar] [CrossRef] [PubMed]
- Kaemmerer, A.S.; Ciotola, F.; Geißdörfer, W.; Harig, F.; Mattner, J.; Seitz, T.; Suleiman, M.N.; Weyand, M.; Heim, C. A dual-pathogen mitral valve endocarditis caused by Coxiella burnetii and Streptococcus gordonii-which came first? Pathogens 2023, 12, 1130. [Google Scholar] [CrossRef] [PubMed]
- Grey, V.; Simos, P.; Runnegar, N.; Eisemann, J. Case report: A missed case of chronic Q fever infective endocarditis demonstrating the ongoing diagnostic challenges. Access Microbiol. 2023, 5, 000628. [Google Scholar] [CrossRef] [PubMed]
- Scott, J.W.; Baddour, L.M.; Tleyjeh, I.M.; Moustafa, S.; Sun, Y.G.; Mookadam, F. Q fever endocarditis: The Mayo Clinic experience. Am. J. Med. Sci. 2008, 336, 53–57. [Google Scholar] [CrossRef] [PubMed]
- Kim, N.; Lazar, J.M.; Cunha, B.A.; Liao, W.; Minnaganti, V. Multi-valvular endocarditis. Clin. Microbiol. Infect. 2000, 6, 207–212. [Google Scholar] [CrossRef] [PubMed]
- Holland, D.J.; Simos, P.A.; Yoon, J.; Sivabalan, P.; Ramnarain, J.; Runnegar, N.J. Infective endocarditis: A contemporary study of microbiology, echocardiography and associated clinical outcomes at a major tertiary referral centre. Heart Lung Circ. 2020, 29, 840–850. [Google Scholar] [CrossRef]
- Scheggi, V.; Del Pace, S.; Ceschia, N.; Vanni, F.; Merilli, I.; Zoppetti, N.; Alterini, B.; Marchionni, N.; Stefàno, P.L. Double-valve infective endocarditis: Clinical features and prognostic impact-a retrospective study in a surgical centre. Heart Vessels 2022, 37, 895–901. [Google Scholar] [CrossRef]
- Million, M.; Thuny, F.; Richet, H.; Raoult, D. Long-term outcome of Q fever endocarditis: A 26-year personal survey. Lancet Infect. Dis. 2010, 10, 527–535. [Google Scholar] [CrossRef] [PubMed]
- Yuan, X.C.; Liu, M.; Hu, J.; Zeng, X.; Zhou, A.Y.; Chen, L. Diagnosis of endocarditis using echocardiography. Medicine 2019, 98, e17141. [Google Scholar] [CrossRef] [PubMed]
- Selton-Suty, C.; Doco-Lecompte, T.; Bernard, Y.; Duval, X.; Letranchant, L.; Delahaye, F.; Célard, M.; Alla, F.; Carteaux, J.P.; Hoen, B.; et al. Clinical and microbiologic features of multivalvular endocarditis. Curr. Infect. Dis. Rep. 2010, 12, 237–243. [Google Scholar] [CrossRef] [PubMed]
- Jang, Y.R.; Song, J.S.; Jin, C.E.; Ryu, B.H.; Park, S.Y.; Lee, S.O.; Choi, S.H.; Kim, Y.S.; Woo, J.H.; Song, J.K.; et al. Molecular detection of Coxiella burnetii in heart valve tissue from patients with culture-negative infective endocarditis. Medicine 2018, 97, e11881. [Google Scholar] [CrossRef] [PubMed]
- Brouqui, P.; Dupont, H.T.; Drancourt, M.; Berland, Y.; Etienne, J.; Leport, C.; Goldstein, F.; Massip, P.; Micoud, M.; Bertrand, A.; et al. Chronic Q fever. Ninety-two cases from France, including 27 cases without endocarditis. Arch. Intern. Med. 1993, 153, 642–648. [Google Scholar] [CrossRef] [PubMed]
- Sabir, N.; Ikram, A.; Gardezi, A.; Zaman, G.; Satti, L.; Ahmed, A.; Khadim, T. Native valve dual pathogen endocarditis caused by Burkholderia cepacia and Aspergillus flavus—A case report. JMM Case Rep. 2018, 5, e005143. [Google Scholar] [CrossRef]




| Phase I IgG | Phase I IgM | Phase II IgG | Phase II IgM | |
|---|---|---|---|---|
| On admission | 1600 | Negative | 3200 | Negative |
| 2 weeks later | 3200 | Negative | 1600 | Negative |
| 6 weeks later | 3200 | Negative | 3200 | Negative |
| 5 months later | 3200 | Negative | 3200 | Negative |
| 18 months later | 3200 | Negative | 3200 | Negative |
Disclaimer/Publisher’s Note: The statements, opinions and data contained in all publications are solely those of the individual author(s) and contributor(s) and not of MDPI and/or the editor(s). MDPI and/or the editor(s) disclaim responsibility for any injury to people or property resulting from any ideas, methods, instructions or products referred to in the content. |
© 2024 by the authors. Licensee MDPI, Basel, Switzerland. This article is an open access article distributed under the terms and conditions of the Creative Commons Attribution (CC BY) license (https://creativecommons.org/licenses/by/4.0/).
Share and Cite
Abu-Ahmad, A.; Bahouth, F.; Hershman-Sarafov, M.; Paz, A.; Odeh, M. Bivalvular Endocarditis Due to Polymicrobial Coinfection with Enterococcus faecalis and Coxiella burnetii: A Case Report and Review of the Literature. Medicina 2024, 60, 1122. https://doi.org/10.3390/medicina60071122
Abu-Ahmad A, Bahouth F, Hershman-Sarafov M, Paz A, Odeh M. Bivalvular Endocarditis Due to Polymicrobial Coinfection with Enterococcus faecalis and Coxiella burnetii: A Case Report and Review of the Literature. Medicina. 2024; 60(7):1122. https://doi.org/10.3390/medicina60071122
Chicago/Turabian StyleAbu-Ahmad, Asala, Fadel Bahouth, Mirit Hershman-Sarafov, Alona Paz, and Majed Odeh. 2024. "Bivalvular Endocarditis Due to Polymicrobial Coinfection with Enterococcus faecalis and Coxiella burnetii: A Case Report and Review of the Literature" Medicina 60, no. 7: 1122. https://doi.org/10.3390/medicina60071122
APA StyleAbu-Ahmad, A., Bahouth, F., Hershman-Sarafov, M., Paz, A., & Odeh, M. (2024). Bivalvular Endocarditis Due to Polymicrobial Coinfection with Enterococcus faecalis and Coxiella burnetii: A Case Report and Review of the Literature. Medicina, 60(7), 1122. https://doi.org/10.3390/medicina60071122

