Magnetic Resonance Imaging Features of the Sphenoid Sinus in Patients with Non-Functioning Pituitary Adenoma
Abstract
1. Introduction
2. Materials and Methods
2.1. Patients
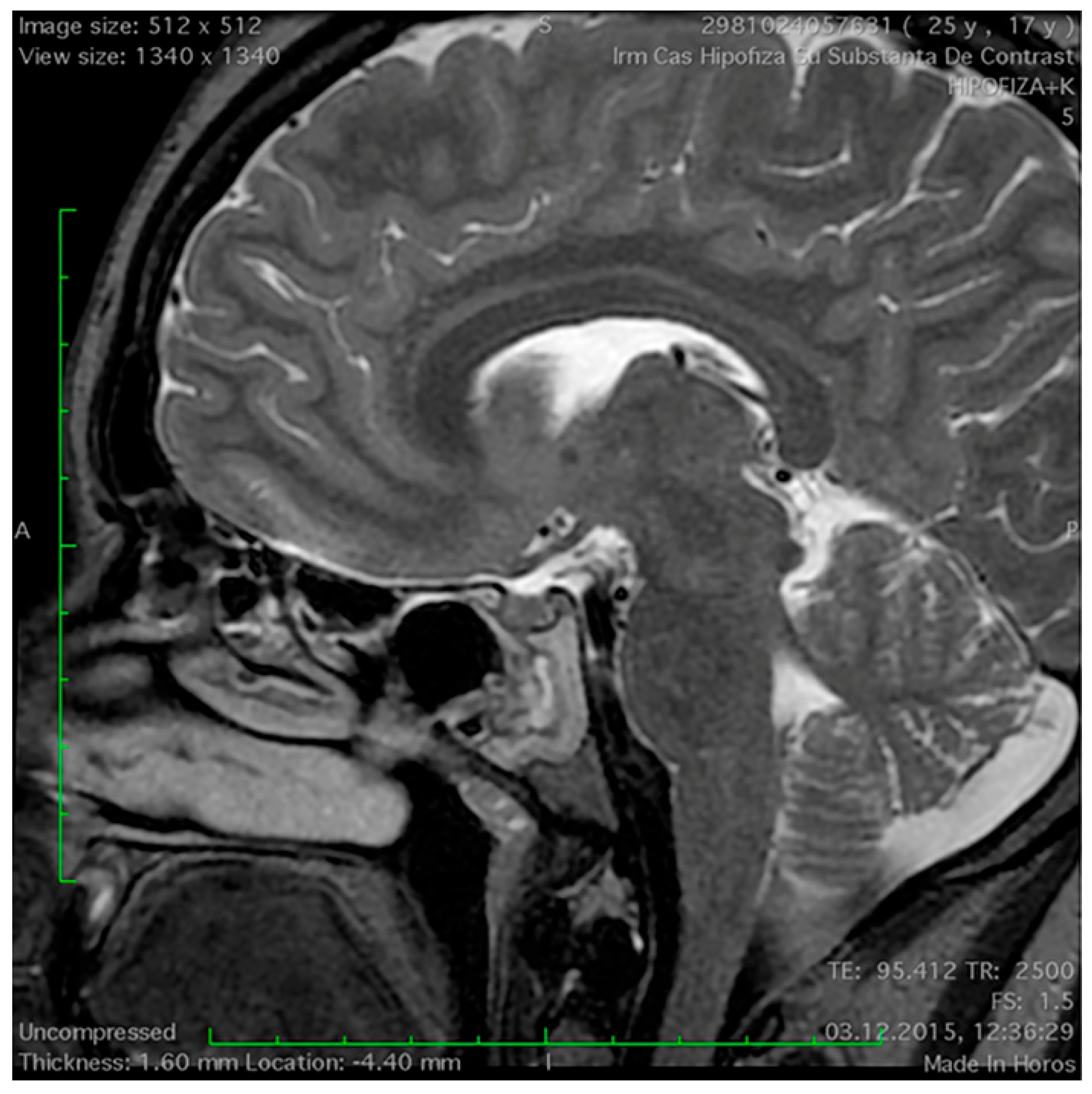
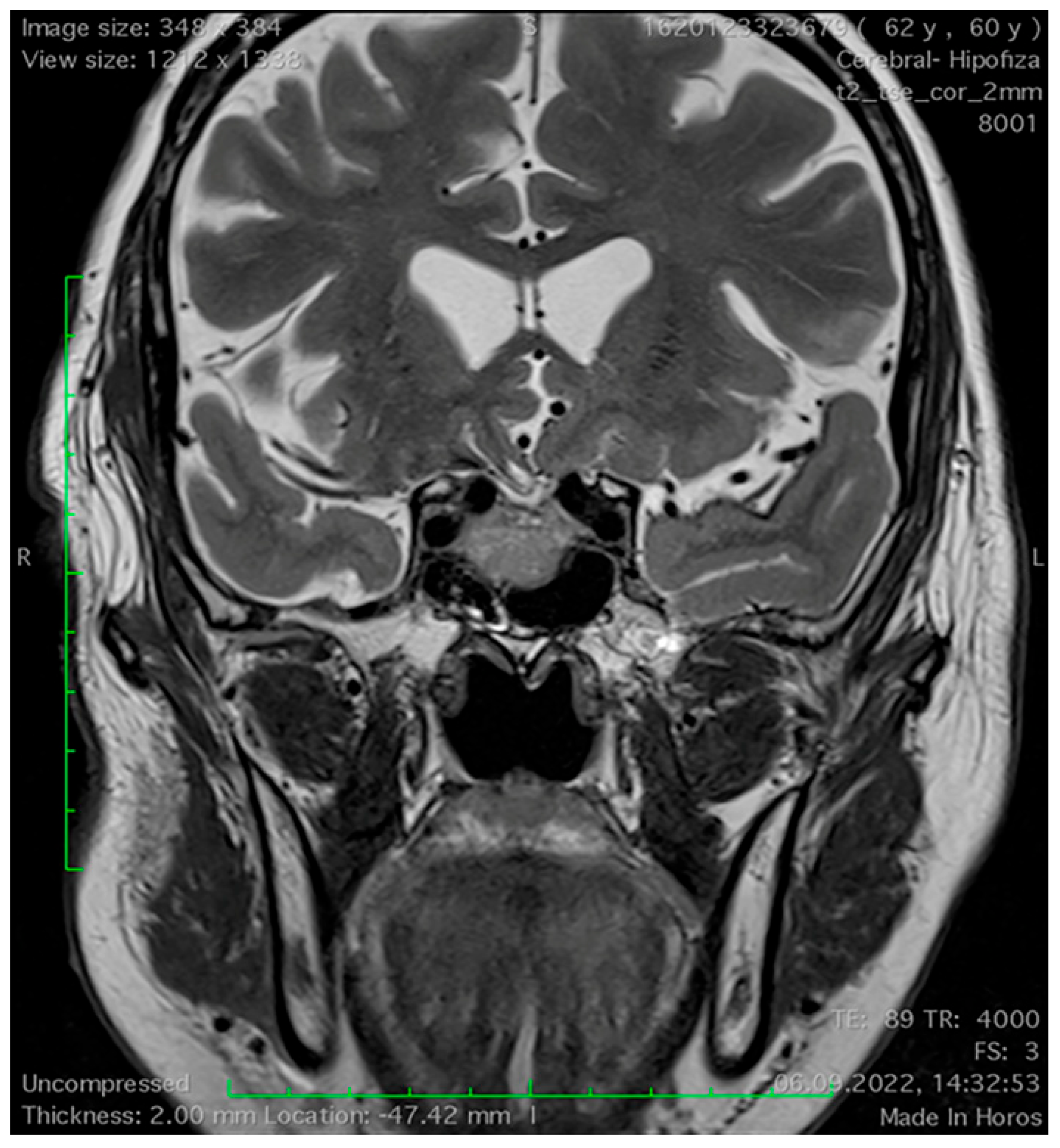
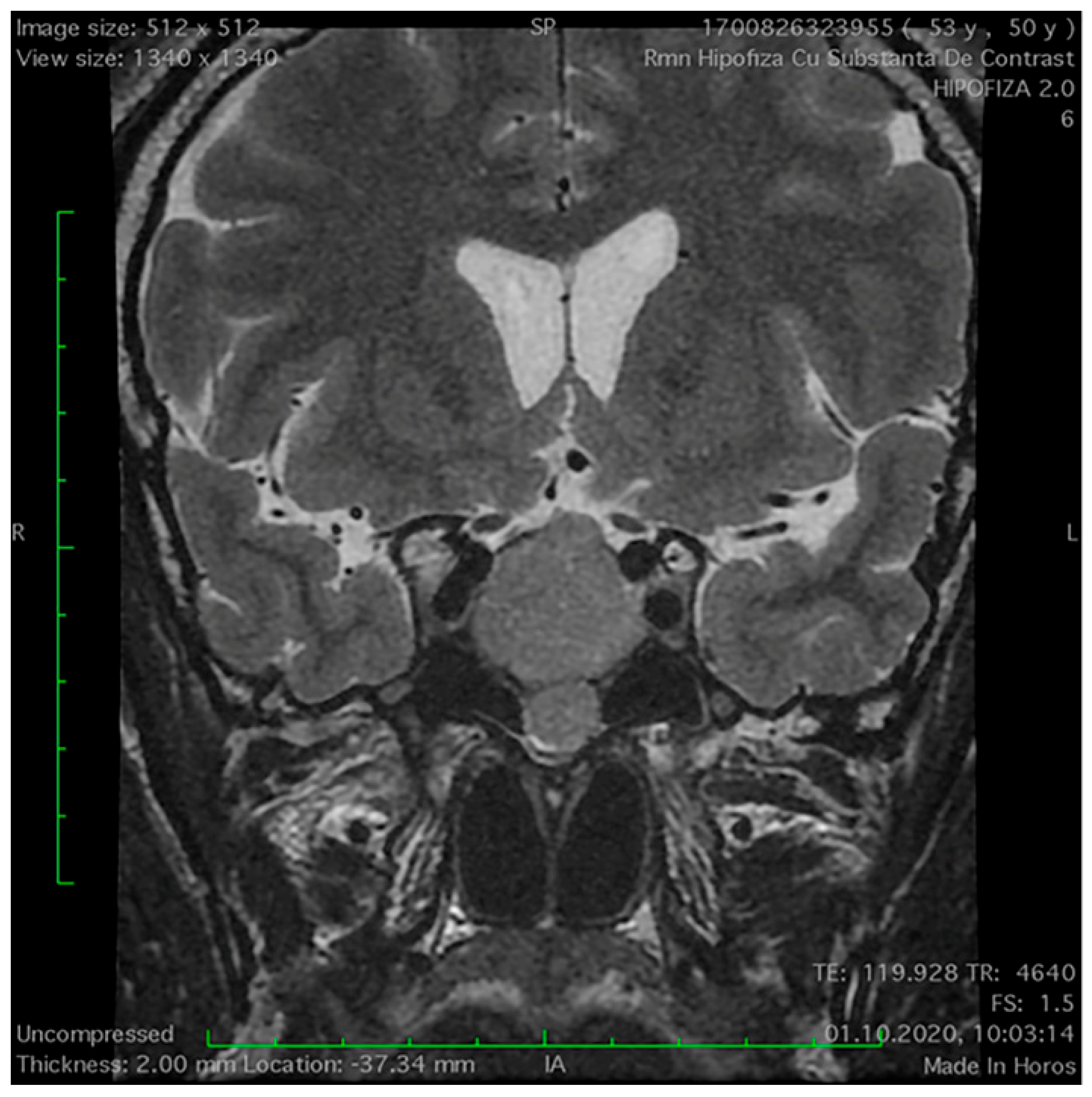
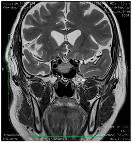
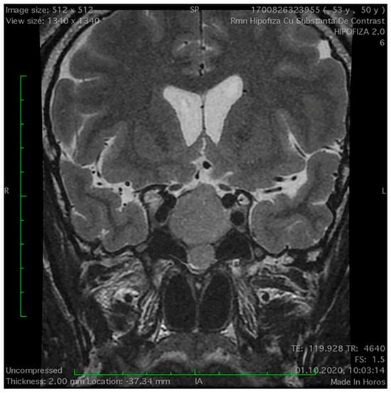
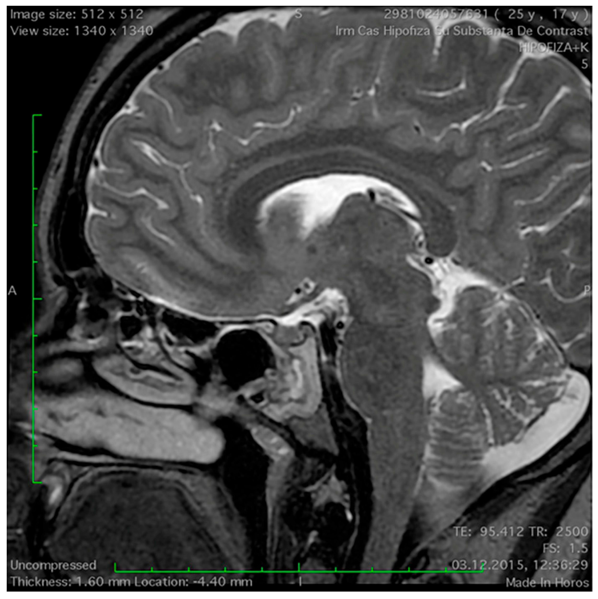
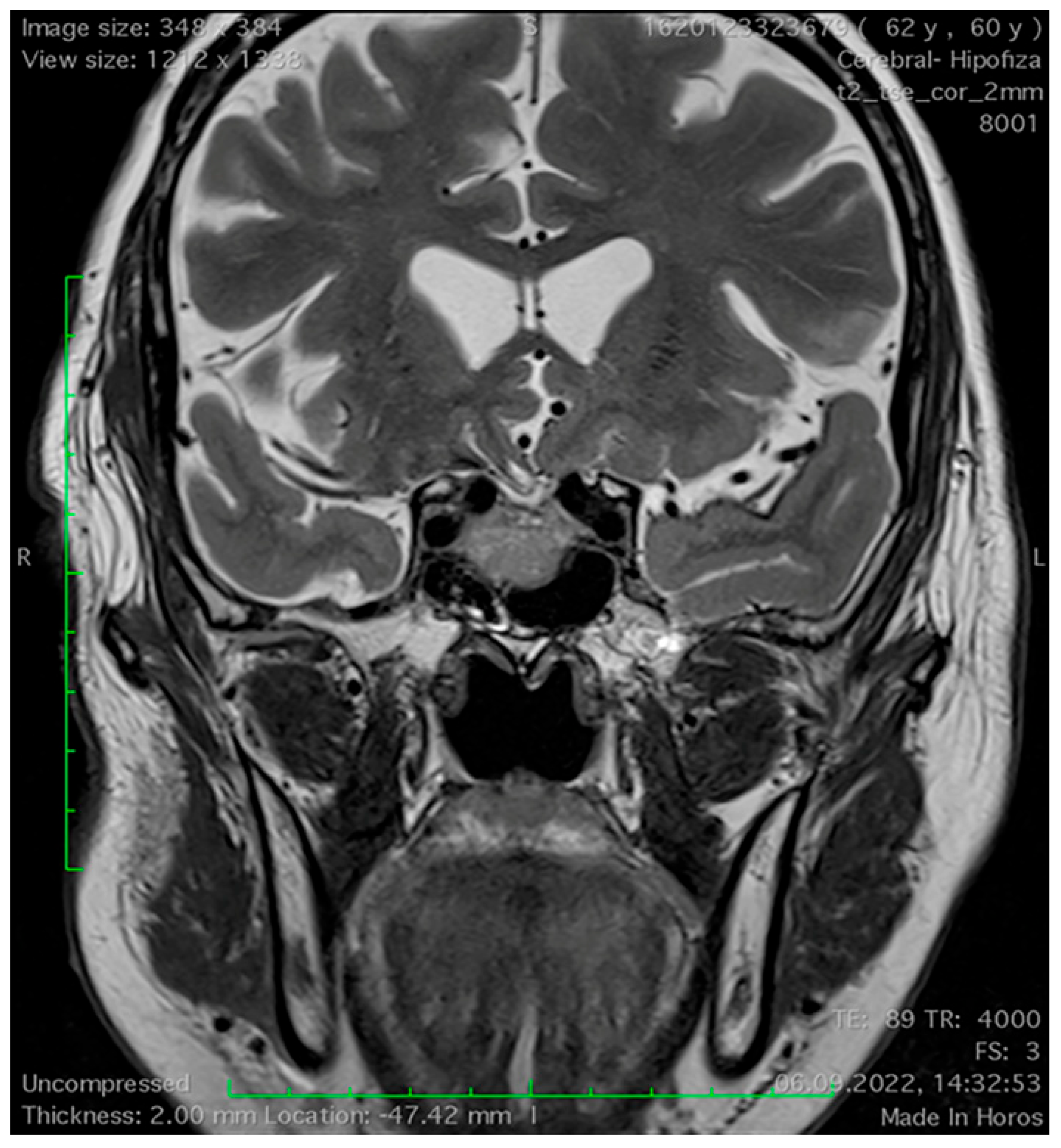
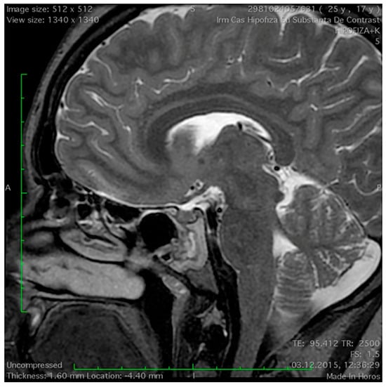
2.2. Magnetic Resonance Imaging Study
2.3. Statistical Analysis
3. Results
4. Discussion
5. Conclusions
Author Contributions
Funding
Institutional Review Board Statement
Informed Consent Statement
Data Availability Statement
Conflicts of Interest
References
- Sharifi, G.; Ohadi, M.A.D.; Abedi, M.; Khajavi, M.; Shahjouei, S.; Moradi, A.; Bahranian, A.; Dilmaghani, N.A. Surgical Anatomic Findings of Sphenoid Sinus in 1009 Iranian Patients with Pituitary Adenoma Undergoing Endoscopic Transsphenoidal Surgery. Eur. Arch. Otorhinolaryngol. 2023, 280, 2985–2991. [Google Scholar] [CrossRef] [PubMed]
- Kazkayasi, M.; Karadeniz, Y.; Arikan, O.K. Anatomic Variations of the Sphenoid Sinus on Computed Tomography. Rhinology 2005, 43, 109–114. [Google Scholar] [PubMed]
- Dal Secchi, M.; Dolci, R.; Teixeira, R.; Lazarini, P. An Analysis of Anatomic Variations of the Sphenoid Sinus and Its Relationship to the Internal Carotid Artery. Int. Arch. Otorhinolaryngol. 2018, 22, 161–166. [Google Scholar] [CrossRef] [PubMed]
- Ntali, G.; Wass, J.A. Epidemiology, Clinical Presentation and Diagnosis of Non-Functioning Pituitary Adenomas. Pituitary 2018, 21, 111–118. [Google Scholar] [CrossRef] [PubMed]
- Şahin, B.; Topaloğlu, Ö. Sphenoid Sinus Mucosal Thickening in Patients with Non-functioning Pituitary Adenoma. Int. J. Clin. Pract. 2021, 75, e14604. [Google Scholar] [CrossRef] [PubMed]
- Hansen, A.G.; Helvik, A.-S.; Nordgård, S.; Bugten, V.; Stovner, L.J.; Håberg, A.K.; Gårseth, M.; Eggesbø, H.B. Incidental Findings in MRI of the Paranasal Sinuses in Adults: A Population-Based Study (HUNT MRI). BMC Ear Nose Throat Disord. 2014, 14, 13. [Google Scholar] [CrossRef] [PubMed]
- Arita, K.; Kurisu, K.; Tominaga, A.; Sugiyama, K.; Ikawa, F.; Yoshioka, H.; Sumida, M.; Kanou, Y.; Yajin, K.; Ogawa, R. Thickening of Sphenoid Sinus Mucosa during the Acute Stage of Pituitary Apoplexy: Case Report. J. Neurosurg. 2001, 95, 897–901. [Google Scholar] [CrossRef] [PubMed]
- Liu, J.K.; Couldwell, W.T. Pituitary Apoplexy in the Magnetic Resonance Imaging Era: Clinical Significance of Sphenoid Sinus Mucosal Thickening. J. Neurosurg. 2006, 104, 892–898. [Google Scholar] [CrossRef] [PubMed]
- Waqar, M.; McCreary, R.; Kearney, T.; Karabatsou, K.; Gnanalingham, K.K. Sphenoid Sinus Mucosal Thickening in the Acute Phase of Pituitary Apoplexy. Pituitary 2017, 20, 441–449. [Google Scholar] [CrossRef]
- Semple, P.L.; Jane, J.A.; Lopes, M.B.S.; Laws, E.R. Pituitary Apoplexy: Correlation between Magnetic Resonance Imaging and Histopathological Results. J. Neurosurg. 2008, 108, 909–915. [Google Scholar] [CrossRef]
- Takasuna, H.; Sase, T.; Ito, H.; Ono, H.; Oshio, K.; Tanaka, Y. Clinical Significance of Thickened Sphenoid Sinus Mucosa in Rathke’s Cleft Cyst. Surg. Neurol. Int. 2017, 8, 263. [Google Scholar] [CrossRef] [PubMed]
- Lawson, W.; Reino, A.J. Isolated Sphenoid Sinus Disease: An Analysis of 132 Cases. Laryngoscope 1997, 107, 1590–1595. [Google Scholar] [CrossRef] [PubMed]
- Hamberger, C.A.; Hammer, G.; Norlen, G.; Sjogren, B. Transantrosphenoidal Hypophysectomy. Arch. Otolaryngol. Head. Neck Surg. 1961, 74, 2–8. [Google Scholar] [CrossRef] [PubMed]
- Lu, Y.; Pan, J.; Qi, S.; Shi, J.; Zhang, X.; Wu, K. Pneumatization of the Sphenoid Sinus in Chinese: The Differences from Caucasian and Its Application in the Extended Transsphenoidal Approach: Pneumatization of the Sphenoid Sinus in Chinese. J. Anat. 2011, 219, 132–142. [Google Scholar] [CrossRef] [PubMed]
- Wang, J.; Bidari, S.; Inoue, K.; Yang, H.; Rhoton, A. Extensions of the Sphenoid Sinus: A New Classification. Neurosurgery 2010, 66, 797–816. [Google Scholar] [CrossRef] [PubMed]
- Chmielewski, P.P. Clinical Anatomy of the Paranasal Sinuses and Its Terminology. Anat. Sci. Int. 2023, 1–7. [Google Scholar] [CrossRef] [PubMed]
- Tomovic, S.; Esmaeili, A.; Chan, N.; Shukla, P.; Choudhry, O.; Liu, J.; Eloy, J. High-Resolution Computed Tomography Analysis of Variations of the Sphenoid Sinus. J. Neurol. Surg. B Skull Base 2013, 74, 82–90. [Google Scholar] [CrossRef] [PubMed]
- Tarp, B.; Fiirgaard, B.; Christensen, T.; Jensen, J.J.; Black, F.T. The Prevalence and Significance of Incidental Paranasal Sinus Abnormalities on MRI. Rhinology 2000, 38, 33–38. [Google Scholar] [PubMed]
- Rak, K.M.; Newell, J.D., 2nd; Yakes, W.F.; Damiano, M.A.; Luethke, J.M. Paranasal Sinuses on MR Images of the Brain: Significance of Mucosal Thickening. AJR Am. J. Roentgenol. 1991, 156, 381–384. [Google Scholar] [CrossRef] [PubMed]
- Jafari-Pozve, N.; Roshanzamir, N. Association between the Seasonal Changes and Mucous Retention Cyst of Maxillary Antrum in Cone Beam Computed Tomography Images in a Sample Population of Isfahan, Iran. Iran. Indian J. Dent. Res. 2018, 29, 410–413. [Google Scholar] [CrossRef] [PubMed]
- Cooke, L.D.; Hadley, D.M. MRI of the Paranasal Sinuses: Incidental Abnormalities and Their Relationship to Symptoms. J. Laryngol. Otol. 1991, 105, 278–281. [Google Scholar] [CrossRef] [PubMed]
- Wani, M.K.; Ruckenstein, M.J.; Parikh, S. Magnetic Resonance Imaging of the Paranasal Sinuses: Incidental Abnormalities and Their Relationship to Patient Symptoms. J. Otolaryngol. 2001, 30, 257–262. [Google Scholar] [CrossRef] [PubMed]
- Nazri, M.; Bux, S.I.; Tengku-Kamalden, T.F.; Ng, K.-H.; Sun, Z. Incidental Detection of Sinus Mucosal Abnormalities on CT and MRI Imaging of the Head. Quant. Imaging Med. Surg. 2013, 3, 82–88. [Google Scholar] [CrossRef] [PubMed]
- Özdemir, M.; Kavak, R.P. Season, Age and Sex-Related Differences in Incidental Magnetic Resonance Imaging Findings of Paranasal Sinuses in Adults. Turk. Arch. Otorhinolaryngol. 2019, 57, 61–67. [Google Scholar] [CrossRef] [PubMed]
- Lebovics, R.S.; Moisa, I.I.; Ruben, R.J. Sex Predilection in Patients with Acute Frontal Sinusitis. Ear Nose Throat J. 1989, 68, 433–434, 437. [Google Scholar] [PubMed]
- Shi, J.B.; Fu, Q.L.; Zhang, H.; Cheng, L.; Wang, Y.J.; Zhu, D.D. Epidemiology of Chronic Rhinosinusitis: Results from a Cross-Sectional Survey in Seven Chinese Cities. Allergy 2015, 70, 533–539. [Google Scholar] [CrossRef]
- Ference, E.H.; Tan, B.K.; Hulse, K.E.; Chandra, R.K.; Smith, S.B.; Kern, R.C. Commentary on Gender Differences in Prevalence, Treatment, and Quality of Life of Patients with Chronic Rhinosinusitis. Allergy Rhinol. 2015, 6, e82–e88. [Google Scholar] [CrossRef] [PubMed]
- Agrawal, B.; Dziurzynski, K.; Salamat, M.S.; Baskaya, M. The Temporal Association of Sphenoid Sinus Mucosal Thickening on MR Imaging with Pituitary Apoplexy. Turk. Neurosurg. 2011, 22. [Google Scholar] [CrossRef] [PubMed]
- Chong, V.F.H.; Fan, Y.F. Comparison of CT and MRI Features in Sinusitis. Eur. J. Radiol. 1998, 29, 47–54. [Google Scholar] [CrossRef] [PubMed]
- Jho, H.D.; Ha, H.G. Endoscopic Endonasal Skull Base Surgery: Part 1-the Midline Anterior Fossa Skull Base. Minim. Invasive Neurosurg. 2004, 47, 1–8. [Google Scholar] [CrossRef] [PubMed]
- Hewaidi, G.H.; Omami, G.M. Anatomic Variation of Sphenoid Sinus and Related Structures in Libyan Population: CT Scan Study. Libyan J. Med. 2008, 3, 128–133. [Google Scholar] [CrossRef] [PubMed]
- Yilmazlar, S.; Kocaeli, H.; Eyigor, O.; Hakyemez, B.; Korfali, E. Clinical Importance of the Basal Cavernous Sinuses and Cavernous Carotid Arteries Relative to the Pituitary Gland and Macroadenomas: Quantitative Analysis of the Complete Anatomy. Surg. Neurol. 2008, 70, 165–174. [Google Scholar] [CrossRef] [PubMed]
- Zada, G.; Agarwalla, P.K.; Mukundan, S.; Dunn, I.; Golby, A.J.; Laws, E.R. The Neurosurgical Anatomy of the Sphenoid Sinus and Sellar Floor in Endoscopic Transsphenoidal Surgery: Clinical Article. J. Neurosurg. 2011, 114, 1319–1330. [Google Scholar] [CrossRef] [PubMed]
- Nunes, C.F.; Cabral, G.A.P.S.; de Mello, J.O., Jr.; Lapenta, M.A.; Landeiro, J.A. Pituitary Macroadenoma: Analysis of Intercarotid Artery Distance Compared to Controls. Arq. Neuropsiquiatr. 2016, 74, 396–404. [Google Scholar] [CrossRef] [PubMed]
- Ebner, F.H.; Kuerschner, V.; Dietz, K.; Bueltmann, E.; Naegele, T.; Honegger, J. Reduced Intercarotid Artery Distance in Acromegaly: Pathophysiologic Considerations and Implications for Transsphenoidal Surgery. Surg. Neurol. 2009, 72, 456–460. [Google Scholar] [CrossRef] [PubMed]
- Chang, Y.C.; Tsao, Y.N.; Chuang, C.C.; Li, C.Y.; Lee, T.J.; Fu, C.H.; Wei, K.C.; Huang, C.C. Risk Factors for Isolated Sphenoid Sinusitis after Endoscopic Endonasal Transsphenoidal Pituitary Surgery. Diagnostics 2024, 14, 758. [Google Scholar] [CrossRef]
- Fleseriu, M.; Karavitaki, N. Non-functioning pituitary adenomas, not all the same and certainly not boring! Pituitary 2018, 21, 109–110. [Google Scholar] [CrossRef]
- Komatsu, H.; Matsumoto, F.; Kasai, M.; Kurano, K.; Sasaki, D.; Ikeda, K. Cavernous Sinus Thrombosis Caused by Contralateral Sphenoid Sinusitis: A Case Report. Head Face Med. 2013, 9, 9. [Google Scholar] [CrossRef]
- Jeican, I.I.; Barbu Tudoran, L.; Florea, A.; Flonta, M.; Trombitas, V.; Apostol, A.; Dumitru, M.; Aluaș, M.; Junie, L.M.; Albu, S. Chronic Rhinosinusitis: MALDI-TOF Mass Spectrometry Microbiological Diagnosis and Electron Microscopy Analysis; Experience of the 2nd Otorhinolaryngology Clinic of Cluj-Napoca, Romania. J. Clin. Med. 2020, 9, 3973. [Google Scholar] [CrossRef] [PubMed]



| Group | M (%) | AE (%) | PE (%) | F (%) | S (%) |
|---|---|---|---|---|---|
| Adenoma | 12 (30%) | 11 (27%) | 9 (22%) | 4 (10%) | 26 (65%) |
| Control | 8 (26%) | 7 (23%) | 5 (16%) | 4 (13%) | 7 (23%) |
| p value | 0.75 | 0.63 | 0.51 | 0.68 | 0.0005 |
| Variable | M | AE | PE | F | S |
|---|---|---|---|---|---|
| Male | 14 | 12 | 8 | 5 | 14 |
| Female | 6 | 6 | 6 | 3 | 19 |
| p value | 0.001 | 0.002 | 0.09 | 0.12 | 0.15 |
| Summer | 9 | 7 | 6 | 3 | 16 |
| Winter | 11 | 11 | 8 | 5 | 17 |
| p value | 0.38 | 0.17 | 0.25 | 0.41 | 0.32 |
| Parameter | Adenoma Group | Control Group | p Value |
|---|---|---|---|
| Pneumatization type | p = 0.859 | ||
| Sellar | 34 | 24 | |
| Presellar | 5 | 5 | |
| Conchal | 1 | 1 | |
| Mucosal thickness | p = 0.0004 | ||
| ≤1 mm | 14 | 23 | |
| 1–3 mm | 9 | 6 | |
| ≥3 mm | 17 | 1 | |
| Retention cyst | p = 0.457 | ||
| Present | 3 | 1 | |
| Absent | 37 | 29 | |
| Lateral recess | p = 0.516 | ||
| Present | 13 | 12 | |
| Absent | 27 | 18 | |
| Sphenoethmoidal air cell | p = 0.556 | ||
| Present | 13 | 9 | |
| Absent | 27 | 21 |
| Distances (mm) * | Adenoma Group 40 Cases | Control Group 30 Cases | p Value |
|---|---|---|---|
| Cavernous intercarotid distance | 20.4 ± 3.2 | 19.1 ± 3.9 | p = 0.273 |
| Petrous intercarotid distance | 16.7 ± 2.8 | 15.4 ± 3.1 | p = 0.140 |
| Distance between two ON | 17.3 ± 0.81 | 11.2 ± 0.92 | p < 0.001 |
| Distance between two FR | 32.1 ± 6.1 | 31.3 ± 5.8 | p = 0.421 |
| Adenoid tissue thickness | 6.1± 3.2 | 5.7 ± 3.5 | p = 0.372 |
Disclaimer/Publisher’s Note: The statements, opinions and data contained in all publications are solely those of the individual author(s) and contributor(s) and not of MDPI and/or the editor(s). MDPI and/or the editor(s) disclaim responsibility for any injury to people or property resulting from any ideas, methods, instructions or products referred to in the content. |
© 2024 by the authors. Licensee MDPI, Basel, Switzerland. This article is an open access article distributed under the terms and conditions of the Creative Commons Attribution (CC BY) license (https://creativecommons.org/licenses/by/4.0/).
Share and Cite
Ciurea, M.-V.; Florian, I.Ș.; Lenghel, M.; Petea-Balea, D.-R.; Roman, A.; Albu, S. Magnetic Resonance Imaging Features of the Sphenoid Sinus in Patients with Non-Functioning Pituitary Adenoma. Medicina 2024, 60, 708. https://doi.org/10.3390/medicina60050708
Ciurea M-V, Florian IȘ, Lenghel M, Petea-Balea D-R, Roman A, Albu S. Magnetic Resonance Imaging Features of the Sphenoid Sinus in Patients with Non-Functioning Pituitary Adenoma. Medicina. 2024; 60(5):708. https://doi.org/10.3390/medicina60050708
Chicago/Turabian StyleCiurea, Mircea-Viorel, Ioan Ștefan Florian, Manuela Lenghel, Diana-Raluca Petea-Balea, Alexandra Roman, and Silviu Albu. 2024. "Magnetic Resonance Imaging Features of the Sphenoid Sinus in Patients with Non-Functioning Pituitary Adenoma" Medicina 60, no. 5: 708. https://doi.org/10.3390/medicina60050708
APA StyleCiurea, M.-V., Florian, I. Ș., Lenghel, M., Petea-Balea, D.-R., Roman, A., & Albu, S. (2024). Magnetic Resonance Imaging Features of the Sphenoid Sinus in Patients with Non-Functioning Pituitary Adenoma. Medicina, 60(5), 708. https://doi.org/10.3390/medicina60050708
