Renal Embolism Associated with the Atrial Myxoma: A Case Report and Literature Review
Abstract
1. Introduction
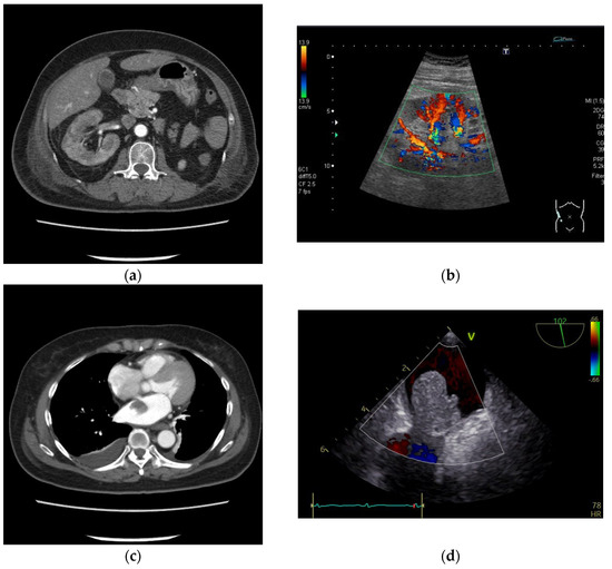
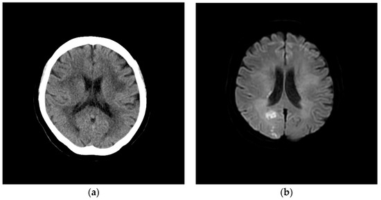
2. Case Presentation
3. Discussion
4. Conclusions
Supplementary Materials
Author Contributions
Funding
Institutional Review Board Statement
Informed Consent Statement
Data Availability Statement
Conflicts of Interest
References
- Kim, D.-E.; Moon, I.; Park, S.; Park, M.; Park, S.; Kwon, S.S.; Kong, M.G.; Park, H.W.; Choi, H.O.; Seo, H.-S.; et al. Temporal trend of the incidence and characteristics of renal infarction: Korean nationwide population study. J. Korean Med. Sci. 2023, 38, e239. [Google Scholar] [CrossRef]
- Bourgault, M.; Grimbert, P.; Verret, C.; Pourrat, J.; Herody, M.; Halimi, J.M.; Karras, A.; Amoura, Z.; Jourde-Chiche, N.; Izzedine, H.; et al. Acute renal infarction: A case series. Clin. J. Am. Soc. Nephrol. 2013, 8, 392–398. [Google Scholar] [CrossRef]
- Oh, Y.K.; Yang, C.W.; Kim, Y.-L.; Kang, S.-W.; Park, C.W.; Kim, Y.S.; Lee, E.Y.; Han, B.G.; Lee, S.H.; Kim, S.-H.; et al. Clinical Characteristics and outcomes of renal infarction. Am. J. Kidney Dis. 2016, 67, 243–250. [Google Scholar] [CrossRef]
- Eren, N.; Gungor, O.; Kocyigit, I.; Guzel, F.B.; Erken, E.; Altunoren, O.; Tatar, E.; Eroglu, E.; Senel, E.; Kaya, B.; et al. Acute renal infarction in Turkey: A review of 121 cases. Int. Urol. Nephrol. 2018, 50, 2067–2072. [Google Scholar] [CrossRef]
- Faucon, A.L.; Bobrie, G.; Jannot, A.S.; Azarine, A.; Plouin, P.F.; Azizi, M.; Amar, L. Cause of renal infarction: A retrospective analysis of 186 consecutive cases. J. Hypertens. 2018, 36, 634–640. [Google Scholar] [CrossRef]
- Lip, G.Y.H.; Lane, D.A. Stroke prevention in atrial fibrillation: A systematic review. JAMA 2015, 313, 1950–1962. [Google Scholar] [CrossRef]
- Choi, S.E.; Sagris, D.; Hill, A.; Lip, G.Y.H.; Abdul-Rahim, A.H. Atrial fibrillation and stroke. Expert Rev. Cardiovasc. Ther. 2023, 21, 35–56. [Google Scholar] [CrossRef]
- Amano, J.; Nakayama, J.; Yoshimura, Y.; Ikeda, U. Clinical classification of cardiovascular tumors and tumor-like lesions, and its incidences. Gen. Thorac. Cardiovasc. Surg. 2013, 61, 435–447. [Google Scholar] [CrossRef]
- Cresti, A.; Chiavarelli, M.; Glauber, M.; Tanganelli, P.; Scalese, M.; Cesareo, F.; Guerrini, F.; Capati, E.; Focardi, M.; Severi, S. Incidence rate of primary cardiac tumors: A 14-year population study. J. Cardiovasc. Med. 2016, 17, 37–43. [Google Scholar] [CrossRef]
- Gošev, I.; Paić, F.; Đurić, Ž.; Gošev, M.; Ivčević, S.; Jakuš, F.B.; Biočina, B. Cardiac myxoma the great imitators: Comprehensive histopathological and molecular approach. Int. J. Cardiol. 2013, 164, 7–20. [Google Scholar] [CrossRef]
- Grebenc, M.L.; de Christenson, M.L.R.; Burke, A.P.; Green, C.E.; Galvin, J.R. Primary cardiac and pericardial neoplasms: Radiologic-pathologic correlation. Radiographics 2000, 20, 1073–1103. [Google Scholar] [CrossRef]
- MacGowan, S.W.; Sidhu, P.; Aherne, T.; Luke, D.; Wood, A.E.; Neligan, M.C.; McGovern, E. Atrial myxoma: National incidence, diagnosis and surgical management. Ir. J. Med. Sci. 1993, 162, 223–226. [Google Scholar] [CrossRef]
- Pérez-Andreu, J.; Leal, J.M.A.; Gervase, G.; Rivera-Caravaca, J.M.; López, S.C.; Marín, F. Epidemiology of Cardiac Myxoma in a Spanish Population. A 30-year Surgical Series. Rev. Esp. Cardiol. 2019, 72, 685–686. [Google Scholar] [CrossRef]
- Yuda, S.; Nakatani, S.; Yutani, C.; Yamagishi, M.; Kitamura, S.; Miyatake, K. Trends in the clinical and morphological characteristics of cardiac myxoma. 20-year experience of a single large tertiary referral center in Japan. Circ. J. 2002, 66, 1008–1013. [Google Scholar] [CrossRef][Green Version]
- Pinede, L.; Duhaut, P.; Loire, R. Clinical Presentation of Left Atrial Cardiac Myxoma. A series of 112 consecutive cases. Medicine 2001, 80, 159–172. [Google Scholar] [CrossRef]
- Wang, Z.; Chen, S.; Zhu, M.; Zhang, W.; Zhang, H.; Li, H.; Yuan, G.; Zou, C. Risk prediction for emboli and recurrence of primary cardiac myxomas after resection. J. Cardiothorac. Surg. 2016, 11, 22. [Google Scholar] [CrossRef]
- Stratakis, C.A. Carney Complex. In GeneReviews [Internet]; Adam, M.P., Feldman, J., Mirzaa, G.M., Pagon, R.A., Wallace, S.E., Bean, L.J.H., Gripp, K.W., Amemiya, A., Eds.; University of Washington: Seattle, WA, USA, 2003; pp. 1993–2024. [Google Scholar]
- Carney, J.A.; Gordon, H.; Carpenter, P.C.; Shenoy, B.V.; Go, V.L.W. The complex of myxomas, spotty pigmentation, and endocrine overactivity. Medicine 1985, 64, 270–283. [Google Scholar] [CrossRef]
- Kirschner, L.S.; Carney, J.A.; Pack, S.D.; Taymans, S.E.; Giatzakis, C.; Cho, Y.S.; Cho-Chung, Y.S.; Stratakis, C.A. Mutations of the gene encoding the protein kinase A type I-α regulatory subunit in patients with the Carney complex. Nat. Genet. 2000, 26, 89–92. [Google Scholar] [CrossRef]
- Sun, Y.; Li, Z.; Sun, J.; Ma, D.; Shan, X.; Chen, X. Somatic Mutation of PRKAR1A in Four Cases of Sporadic Cardiac Myxoma. Arch. Iran. Med. 2023, 26, 346–354. [Google Scholar] [CrossRef]
- Young, R.D.; Hunter, W.C. Primary myxoma of the left ventricle with embolic occlusion of the abdominal aorta and renal arteries. Arch. Pathol. 1947, 43, 86–91. [Google Scholar]
- Mattle, H.P.; Maurer, D.; Sturzenegger, M.; Ozdoba, C.; Baumgartner, R.W.; Schroth, G. Cardiac myxomas: A long term study. J. Neurol. 1995, 242, 689–694. [Google Scholar] [CrossRef] [PubMed]
- Loche, F.; Canepelle, S.; Arlet, E.; Basex, J. Cutaneous manifestation of left atrial myxoma. Eur. J. Dermatol. 1999, 9, 650–651. [Google Scholar] [PubMed]
- Fujisaki, K.; Shohno, Y.; Yoshida, T.; Ono, A.; Mizumasa, T.; Kondoh, H.; Katsuragi, I.; Ikeda, K.; Kumagai, H.; Meno, H.; et al. Acute renal infarction in a patient with left atrial myxoma. Clin. Nephrol. 2007, 67, 53–57. [Google Scholar] [CrossRef] [PubMed]
- Blackmon, S.H.; Kassis, E.S.; Ge, Y.; Goldfarb, R.; Reardon, M. Left atrial myxoma embolus to the renal artery: Should a nephrectomy be advised? Ann. Thorac. Surg. 2010, 90, 289–292. [Google Scholar] [CrossRef] [PubMed]
- Vogel, B.; Thomas, D.; Mereles, D.; Rottbauer, W.; Katus, H.A. Systemic embolization and myocardial infarction due to clinically unrecognized left atrial myxoma. Case Rep. Med. 2011, 2011, 159024. [Google Scholar] [CrossRef] [PubMed]
- Nicholls, G.M.; Clearwater, G. Emergency presentation of emboli to multiple sites from an atrial myxoma. Emerg. Med. Australas. 2012, 24, 336–338. [Google Scholar] [CrossRef] [PubMed]
- Kim, H.; Park, E.-A.; Lee, W.; Chung, J.W.; Park, J.H. Multiple cerebral and coronary aneurysms in a patient with left atrial myxoma. Int. J. Cardiovasc. Imaging 2012, 28 (Suppl. S2), 129–132. [Google Scholar] [CrossRef]
- Zhang, T.; Zhang, X.; Zhang, X.; Jiang, J.; Chen, J.; Zhou, B. Management of multiple embolization arising from atrial myxoma. Ann. Thorac. Surg. 2012, 94, 646–649. [Google Scholar] [CrossRef] [PubMed]
- Huang, C.-Y.; Chang, Y.-Y.; Hsieh, M.-Y.; Hsu, C.-P. Atrial myxoma presenting as total occlusion of the abdominal aorta and its major four branches. J. Chin. Med. Assoc. 2012, 75, 349–352. [Google Scholar] [CrossRef][Green Version]
- Mackie, B.D.; Shirazi, F.; Swadley, M.J.; Williams, B.R., 3rd; Kumar, G.; Rab, S.T. Catastrophic systemic embolization from a left atrial myxoma. Tex. Heart Inst. J. 2014, 41, 64–66. [Google Scholar] [CrossRef]
- Min, S.Y.; Lim, Y.-H.; Lee, H.T.; Shin, J.; Kim, K.-S.; Kim, H. Biatrial myxoma and multiple organ infarctions combined with Leriche syndrome in a female patient. BMC Cardiovasc. Disord. 2014, 14, 175. [Google Scholar] [CrossRef] [PubMed][Green Version]
- Michaud, M.; Wolff, V.; Pelletier, S.; Evon, P.; Richard, S. Painful multiple mononeuropathy as a first symptom of cardiac myxoma: An unusual clinical presentation. Cardiovasc. Pathol. 2015, 24, 121–123. [Google Scholar] [CrossRef] [PubMed]
- McGowan, A.R.; Thibodeau, C.; McGowan, A. Intracranial and visceral arterial embolization of a cardiac myxoma that was treated with endovascular stent-retriever therapy. Interv. Neuroradiol. 2016, 22, 535–539. [Google Scholar] [CrossRef] [PubMed]
- Ji, L.; Gong, J.; Liu, F.; Wang, Y.; Jiao, D.; Ni, Z.; Zhao, G.; Liu, Y. Successful treatment of acute renal infarction arising from left atrial myxoma and atrial fibrillation: A case report. Exp. Ther. Med. 2017, 14, 2633–2636. [Google Scholar] [CrossRef] [PubMed][Green Version]
- Silva, M.A.; See, A.P.; Shah, S.K.; Khandelwal, P.; Patel, N.J.; Lyu, H.; Menard, M.T.; Aziz-Sultan, M.A. Endovascular renal artery stent retriever embolectomy in a young patient with cardiac myxoma: Case report and review of the literature. Vasc. Endovasc. Surg. 2018, 52, 70–74. [Google Scholar] [CrossRef]
- Ho, K.K.F.; Barsoum, R.; Shepherd, B.; McGahan, T. Bilateral acute lower limb ischemia secondary to complete embolization of cardiac myxoma. J. Vasc. Surg. 2020, 71, 1759–1761. [Google Scholar] [CrossRef]
- Shrestha, S.; Raut, A.; Jayswal, A.; Yadav, R.S.; Poudel, C.M. Atrial myxoma with cerebellar signs: A case report. J. Med. Case Rep. 2020, 14, 29. [Google Scholar] [CrossRef] [PubMed]
- Ranjan, P.; LaRocca, G.; Sanz, J.; Croft, L. Multimodality cardiac imaging for management of a cardiac mass in the era of COVID-19: A case report. Eur. Heart J. Case Rep. 2021, 5, ytab062. [Google Scholar] [CrossRef]
- Han, S.; Pradhan, J.; Girishkumar, H. Rare renal embolic manifestation of left atrial myxoma: A case report. Int. J. Surg. Case Rep. 2023, 105, 108118. [Google Scholar] [CrossRef]


| Urinalysis | Metabolic endocrinology | ||||
| Protein (g/gCr) | 1.02 | LDL-cholesterol (mg/dL) | 80 | ||
| Occult blood | 2+ | HDL-cholesterol (mg/dL) | 49 | ||
| Red blood cell (/hpf) | 1–4 | Triglyceride (mg/dL) | 203 | ||
| N-acetyl glucosamine (U/L) | 10.2 | Blood sugar (mg/dL) | 140 | ||
| β2-microglobulin (μg/L) | 97,900 | Hemoglobin A1c (%) | 6.8 | ||
| Blood cell count | Free triiodothyronine (pg/mL) | 1.45 | |||
| White blood cell (/μL) | 12,100 | Free thyroxine (ng/dL) | 0.99 | ||
| Hemoglobin (g/dL) | 10.3 | Thyroid stimulating hormone (μU/mL) | 0.35 | ||
| Platelet (×104/μL) | 17.1 | Serology | |||
| Coagulation | C-reactive protein (mg/dL) | 26.6 | |||
| Prothrombin time (INR) | 1.21 | Immunoglobulin G (mg/dL) | 939.1 | ||
| APTT (sec) | 30.1 | Immunoglobulin A (mg/dL) | 146.5 | ||
| Fibrinogen (mg/dL) | 650 | Immunoglobulin M (mg/dL) | 30.9 | ||
| Fibrin degradation products (μg/mL) | 4.0 | Immunoglobulin E (U/mL) | 412 | ||
| Chemistry | Complement factor 3 (mg/dL) | 135.5 | |||
| Total protein (g/dL) | 6.1 | Complement factor 4 (mg/dL) | 28.6 | ||
| Albumin (g/dL) | 3.1 | CH50 (U/mL) | 38.3 | ||
| Aspartate aminotransferase (U/L) | 63 | Anti-streptolysin O antibody (U/mL) | 12.3 | ||
| Alanine aminotransferase (U/L) | 60 | Rheumatoid factor (U/mL) | 7.9 | ||
| Lactate dehydrogenase (U/L) | 1901 | Antinuclear antibody | negative | ||
| Creatine kinase (U/L) | 120 | MPO-ANCA (U/mL) | <1.0 | ||
| Blood urea nitrogen (mg/dL) | 68.1 | PR3-ANCA (U/mL) | <1.0 | ||
| Creatinine (mg/dL) | 6.85 | Anti-GBM antibody (U/mL) | <2.0 | ||
| Uric acid (mg/dL) | 9.2 | Hepatitis B virus surface antigen | negative | ||
| Sodium (mEq/L) | 138 | Anti-hepatitis C virus antibody | negative | ||
| Potassium (mEq/L) | 4.5 | Rapid plasma reagin | negative | ||
| Chloride (mEq/L) | 106 | Treponema pallidum hemagglutination | negative | ||
| Abdominal Aorta n = 3 | Main Renal Artery n = 5 | Branch of Renal Artery n = 10 | |
|---|---|---|---|
| Age | 35.3 ± 18.3 (21–56) | 39.2 ± 19.7 (21–70) | 50.9 ± 13.7 (24–69) |
| Male gender | 67% (2/3) | 40% (2/5) | 40% (4/10) |
| Laterality of renal artery: | |||
| Right | 0% (0/3) | 20% (1/5) | 20% (2/10) |
| Left | 33% (1/3) | 40% (2/5) | 20% (2/10) |
| Bilateral | 67% (2/3) | 40% (2/5) | 60% (6/10) |
| Other involved arteries: | |||
| Cerebral | 33% (1/3) | 60% (3/5) | 60% (6/10) |
| Coronary | 0% (0/3) | 40% (2/5) | 10% (1/10) |
| Splenic | 67% (2/3) | 20% (1/5) | 40% (4/10) |
| Superior mesenteric | 67% (2/3) | 20% (1/5) | 0% (0/10) |
| Lower limb | 100% (3/3) | 60% (3/5) | 40% (4/10) |
| Serum creatinine, mg/dL | |||
| At onset | 1.99 (n = 1) | 1.23 (n = 2) | 1.33 (n = 3) |
| Maximum | 2.16 (n = 1) | 3.04 (n = 1) | 8.42 (n = 2) |
| Dialysis | 100% (3/3) | 20% (1/5) | 10% (1/10) |
| Treatment: | |||
| Embolectomy | 100% (3/3) | 60% (3/5) | 30% (3/10) |
| Embolectomy for renal artery | 100% (3/3) | 40% (2/5) | 0% (0/10) |
| Thrombolysis | 33% (1/3) | 60% (3/5) | 0% (0/10) |
| Anticoagulant | 33% (1/3) | 40% (2/5) | 70% (7/10) |
| Outcome: | |||
| Survival rate | 67% (2/3) | 80% (4/5) | 100% (10/10) |
| Renal survival rate | 67% (2/3) | 60% (3/5) | 100% (10/10) |
Disclaimer/Publisher’s Note: The statements, opinions and data contained in all publications are solely those of the individual author(s) and contributor(s) and not of MDPI and/or the editor(s). MDPI and/or the editor(s) disclaim responsibility for any injury to people or property resulting from any ideas, methods, instructions or products referred to in the content. |
© 2024 by the authors. Licensee MDPI, Basel, Switzerland. This article is an open access article distributed under the terms and conditions of the Creative Commons Attribution (CC BY) license (https://creativecommons.org/licenses/by/4.0/).
Share and Cite
Sega, M.; Yamashita, M.; Maruyama, H.; Taya, Y.; Ohgi, K.; Haraoka, R.; Hirayama, K. Renal Embolism Associated with the Atrial Myxoma: A Case Report and Literature Review. Medicina 2024, 60, 694. https://doi.org/10.3390/medicina60050694
Sega M, Yamashita M, Maruyama H, Taya Y, Ohgi K, Haraoka R, Hirayama K. Renal Embolism Associated with the Atrial Myxoma: A Case Report and Literature Review. Medicina. 2024; 60(5):694. https://doi.org/10.3390/medicina60050694
Chicago/Turabian StyleSega, Masatoshi, Marina Yamashita, Hiroshi Maruyama, Yuji Taya, Kentaro Ohgi, Rei Haraoka, and Kouichi Hirayama. 2024. "Renal Embolism Associated with the Atrial Myxoma: A Case Report and Literature Review" Medicina 60, no. 5: 694. https://doi.org/10.3390/medicina60050694
APA StyleSega, M., Yamashita, M., Maruyama, H., Taya, Y., Ohgi, K., Haraoka, R., & Hirayama, K. (2024). Renal Embolism Associated with the Atrial Myxoma: A Case Report and Literature Review. Medicina, 60(5), 694. https://doi.org/10.3390/medicina60050694

