Management of Class III Malocclusion with Microimplant-Assisted Rapid Palatal Expansion (MARPE) and Mandible Backward Rotation (MBR): A Case Report
Abstract
1. Introduction
2. Case Report
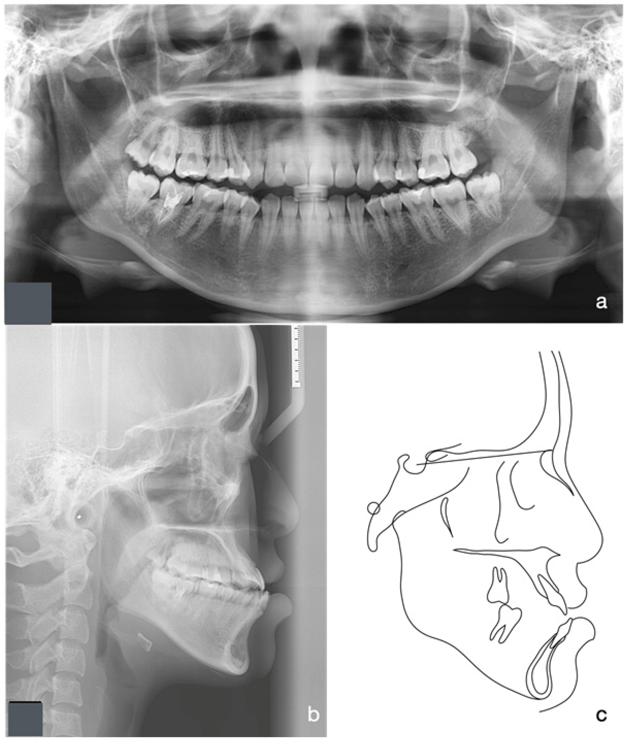
2.1. Diagnosis and Aetiology
2.2. Treatment Objectives
2.3. Treatment Alternatives
2.4. Treatment Progress
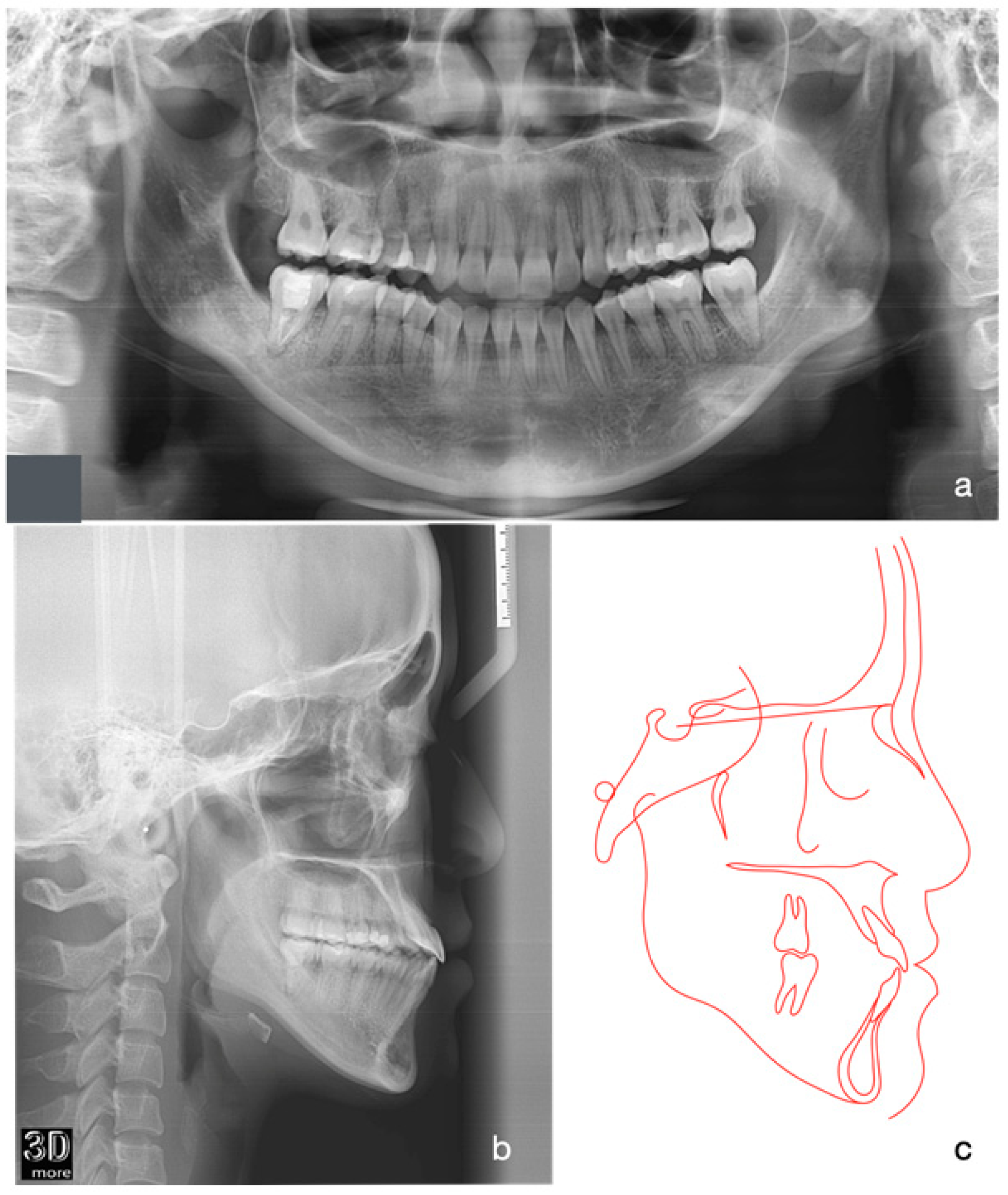
2.5. Treatment Results
3. Discussion
4. Conclusions
Author Contributions
Funding
Institutional Review Board Statement
Informed Consent Statement
Data Availability Statement
Acknowledgments
Conflicts of Interest
References
- Hardy, D.K.; Cubas, Y.P.; Orellana, M.F. Prevalence of angle class III malocclusion: A systematic review and meta-analysis. Open J. Epidemiol. 2012, 2, 75–82. [Google Scholar] [CrossRef]
- McNamara, J.A., Jr. An orthopedic approach to the treatment of Class III malocclusion in young patients. J. Clin. Orthod. 1987, 21, 598–608. [Google Scholar] [PubMed]
- Suri, L.; Taneja, P. Surgically assisted rapid palatal expansion: A literature review. Am. J. Orthod. Dentofac. Orthop. 2008, 133, 290–302. [Google Scholar] [CrossRef] [PubMed]
- Shih, S.N.; Ho, K.H.; Wang, C.W.; Wang, K.L.; Hsieh, S.C.; Chang, H.M. Management of Class III Malocclusion and Maxillary Transverse Deficiency with Microimplant-Assisted Rapid Palatal Expansion (MARPE): A Case Report. Medicina 2022, 58, 1052. [Google Scholar] [CrossRef] [PubMed]
- Carlson, C.; Sung, J.; McComb, R.W.; Machado, A.W.; Moon, W. Microimplant-assisted rapid palatal expansion appliance to orthopedically correct transverse maxillary deficiency in an adult. Am. J. Orthod. Dentofac. Orthop. 2016, 149, 716–728. [Google Scholar] [CrossRef] [PubMed]
- Liao, Y.C.; Ho, K.H.; Wang, C.W.; Wang, K.L.; Hsieh, S.C.; Chang, H.M. Skeletal and dental changes after microimplant-assisted rapid palatal expansion (MARPE)—A Cephalometric and Cone-Beam Computed Tomography (CBCT) study. Clin. Investig. Orthod. 2022, 81, 84–92. [Google Scholar] [CrossRef]
- Kapetanovic, A.; Theodorou, C.I.; Berge, S.J.; Schols, J.; Xi, T. Efficacy of Miniscrew-Assisted Rapid Palatal Expansion (MARPE) in late adolescents and adults: A systematic review and meta-analysis. Eur. J. Orthod. 2021, 43, 313–323. [Google Scholar] [CrossRef]
- Lee, K.J.; Park, Y.C.; Park, J.Y.; Hwang, W.S. Miniscrew-assisted nonsurgical palatal expansion before orthognathic surgery for a patient with severe mandibular prognathism. Am. J. Orthod. Dentofac. Orthop. 2010, 137, 830–839. [Google Scholar] [CrossRef]
- Brunetto, D.P.; Sant’Anna, E.F.; Machado, A.W.; Moon, W. Non-surgical treatment of transverse deficiency in adults using Microimplant-assisted Rapid Palatal Expansion (MARPE). Dent. Press. J. Orthod. 2017, 22, 110–125. [Google Scholar] [CrossRef]
- Song, K.T.; Park, J.H.; Moon, W.; Chae, J.M.; Kang, K.H. Three-dimensional changes of the zygomaticomaxillary complex after mini-implant assisted rapid maxillary expansion. Am. J. Orthod. Dentofac. Orthop. 2019, 156, 653–662. [Google Scholar] [CrossRef]
- Yilmaz, A.; Arman-Ozcirpici, A.; Erken, S.; Polat-Ozsoy, O. Comparison of short-term effects of mini-implant-supported maxillary expansion appliance with two conventional expansion protocols. Eur. J. Orthod. 2015, 37, 556–564. [Google Scholar] [CrossRef] [PubMed]
- Kerr, W.J.; Miller, S.; Dawber, J.E. Class III malocclusion: Surgery or orthodontics? Br. J. Orthod. 1992, 19, 21–24. [Google Scholar] [CrossRef] [PubMed]
- Alhammadi, M.S.; Almashraqi, A.A.; Khadhi, A.H.; Arishi, K.A.; Alamir, A.A.; Beleges, E.M.; Halboub, E. Orthodontic camouflage versus orthodontic-orthognathic surgical treatment in borderline class III malocclusion: A systematic review. Clin. Oral. Investig. 2022, 26, 6443–6455. [Google Scholar] [CrossRef] [PubMed]
- Kojima, Y.; Kawamura, J.; Fukui, H. Finite element analysis of the effect of force directions on tooth movement in extraction space closure with miniscrew sliding mechanics. Am. J. Orthod. Dentofac. Orthop. 2012, 142, 501–508. [Google Scholar] [CrossRef]
- Southard, T.E.; Marshall, S.D.; Bonner, L.L. Skeletal Deep Bites. Orthodontics in the Vertical Dimension: A Case-Based Review; John Wiley & Sons, Inc.: Hoboken, NJ, USA, 2015; pp. 143–262. [Google Scholar]
- Lee, R.J.; Moon, W.; Hong, C. Effects of monocortical and bicortical mini-implant anchorage on bone-borne palatal expansion using finite element analysis. Am. J. Orthod. Dentofac. Orthop. 2017, 151, 887–897. [Google Scholar] [CrossRef]
- Koo, Y.J.; Choi, S.H.; Keum, B.T.; Yu, H.S.; Hwang, C.J.; Melsen, B.; Lee, K.J. Maxillomandibular arch width differences at estimated centers of resistance: Comparison between normal occlusion and skeletal Class III malocclusion. Korean J. Orthod. 2017, 47, 167–175. [Google Scholar] [CrossRef]
- Baik, W.; Choi, S.H.; Cha, J.Y.; Yu, H.S.; Lee, K.J. Comparison of soft tissue changes between incisor tipping and translation after premolar extraction. Korean J. Orthod. 2022, 52, 42–52. [Google Scholar] [CrossRef]
- Chuang, Y.H.; Chen, J.H.; Ho, K.H.; Wang, K.L.; Hsieh, S.C.; Chang, H.M. The role of micro-implant-assisted rapid palatal expansion (MARPE) in clinical orthodontics—A literature review. Australas. Orthod. J. 2021, 37, 206–216. [Google Scholar] [CrossRef]
- Chen, C.L.; Chen, C.H.; Pan, C.Y.; Chang, H.P.; Chen, P.H.; Tseng, Y.C. Cone beam computed tomographic analysis of the spatial limitation during mandibular arch distalization. BMC Med. Imaging 2020, 20, 39. [Google Scholar] [CrossRef]
- Kim, S.J.; Choi, T.H.; Baik, H.S.; Park, Y.C.; Lee, K.J. Mandibular posterior anatomic limit for molar distalization. Am. J. Orthod. Dentofac. Orthop. 2014, 146, 190–197. [Google Scholar] [CrossRef]
- Elshebiny, T.; Palomo, J.M.; Baumgaertel, S. Anatomic assessment of the mandibular buccal shelf for miniscrew insertion in white patients. Am. J. Orthod. Dentofac. Orthop. 2018, 153, 505–511. [Google Scholar] [CrossRef] [PubMed]
- Nucera, R.; Lo Giudice, A.; Bellocchio, A.M.; Spinuzza, P.; Caprioglio, A.; Perillo, L.; Matarese, G.; Cordasco, G. Bone and cortical bone thickness of mandibular buccal shelf for mini-screw insertion in adults. Angle Orthod. 2017, 87, 745–751. [Google Scholar] [CrossRef] [PubMed]
- Tallgren, A.; Lang, B.R.; Walker, G.F.; Ash, M.M., Jr. Roentgen cephalometric analysis of ridge resorption and changes in jaw and occlusal relationships in immediate complete denture wearers. J. Oral. Rehabil. 1980, 7, 77–94. [Google Scholar] [CrossRef]
- Tallgren, A.; Tryde, G.; Mizutani, H. Changes in jaw relations and activity of masticatory muscles in patients with immediate complete upper dentures. J. Oral. Rehabil. 1986, 13, 311–324. [Google Scholar] [CrossRef]
- Liou, E.J.W.; Wang, Y.C. Orthodontic Clockwise Rotation of Maxillomandibular Complex for Improving Facial Profile in Late Teenagers with Class III Malocclusion: A Preliminary Report. APOS Trends Orthod. 2018, 8, 3. [Google Scholar] [CrossRef]
- Kuo, T.Y.; Kuo, C.L. Nonsurgical Correction of Skeletal Class III Malocclusion with Evident Profile Change in an Adult Patient with Functional Shift and Low Mandibular Plane Angle. Taiwan. J. Orthod. 2020, 32, 6. [Google Scholar] [CrossRef]
- Choi, D.S.; Lee, D.H.; Jang, I.; Cha, B.K. Camouflage treatment by backward rotation of the mandible for a severe skeletal Class III malocclusion with aplastic anemia: A case report. Korean J. Orthod. 2022, 52, 362–371. [Google Scholar] [CrossRef] [PubMed]
- Zaroni, F.M.; Cavalcante, R.C.; João da Costa, D.; Kluppel, L.E.; Scariot, R.; Rebellato, N.L.B. Complications associated with orthognathic surgery: A retrospective study of 485 cases. J. Craniomaxillofac. Surg. 2019, 47, 1855–1860. [Google Scholar] [CrossRef]












| Sagittal Skeletal Relationships | ||||
|---|---|---|---|---|
| Normal (SD) | Initial | Post-Expansion | Final | |
| SNA | 81° ± 3° | 81° | 81.5° | 81° |
| SNB | 78° ± 3° | 83.5° | 81.5° | 81.5° |
| ANB | 3° ± 2° | −2.5° | 0° | −0.5° |
| Vertical Skeletal Relationships | ||||
| Maxillary inclination (S-N/ANS-PNS) | 8° ± 3° | 8° | 8° | 8° |
| MMPA | 27° ± 3° | 28° | 31° | 30° |
| LFH % | 55% ± 2% | 58.5% | 58.7% | 58.6% |
| Dento-Basal Relationships | ||||
| Upper incisor to Max. plane | 108° ± 6° | 126.5° | 126.5° | 126° |
| Lower incisor to Mand. Plane | 93° ± 6° | 94° | 92° | 83° |
| Lower incisor to A-Po line | 1 ± 1 mm | +12.5 mm | +8 mm | +5 mm |
| Inter-incisal angle | 133° ± 10° | 111° | 110° | 120° |
| E-Line | ||||
| Upper lip-E line | −2 ± 2 mm | −3 mm | −2 mm | −3 mm |
| Lower lip-E line | 0 ± 2 mm | +4 mm | +3 mm | −1 mm |
Disclaimer/Publisher’s Note: The statements, opinions and data contained in all publications are solely those of the individual author(s) and contributor(s) and not of MDPI and/or the editor(s). MDPI and/or the editor(s) disclaim responsibility for any injury to people or property resulting from any ideas, methods, instructions or products referred to in the content. |
© 2024 by the authors. Published by MDPI on behalf of the Lithuanian University of Health Sciences. Licensee MDPI, Basel, Switzerland. This article is an open access article distributed under the terms and conditions of the Creative Commons Attribution (CC BY) license (https://creativecommons.org/licenses/by/4.0/).
Share and Cite
Chang, H.-M.; Huang, C.-T.; Wang, C.-W.; Wang, K.-L.; Hsieh, S.-C.; Ho, K.-H.; Liu, Y.-J. Management of Class III Malocclusion with Microimplant-Assisted Rapid Palatal Expansion (MARPE) and Mandible Backward Rotation (MBR): A Case Report. Medicina 2024, 60, 1588. https://doi.org/10.3390/medicina60101588
Chang H-M, Huang C-T, Wang C-W, Wang K-L, Hsieh S-C, Ho K-H, Liu Y-J. Management of Class III Malocclusion with Microimplant-Assisted Rapid Palatal Expansion (MARPE) and Mandible Backward Rotation (MBR): A Case Report. Medicina. 2024; 60(10):1588. https://doi.org/10.3390/medicina60101588
Chicago/Turabian StyleChang, Heng-Ming, Chao-Tzu Huang, Chih-Wei Wang, Kai-Long Wang, Shun-Chu Hsieh, Kwok-Hing Ho, and Yu-Jung Liu. 2024. "Management of Class III Malocclusion with Microimplant-Assisted Rapid Palatal Expansion (MARPE) and Mandible Backward Rotation (MBR): A Case Report" Medicina 60, no. 10: 1588. https://doi.org/10.3390/medicina60101588
APA StyleChang, H.-M., Huang, C.-T., Wang, C.-W., Wang, K.-L., Hsieh, S.-C., Ho, K.-H., & Liu, Y.-J. (2024). Management of Class III Malocclusion with Microimplant-Assisted Rapid Palatal Expansion (MARPE) and Mandible Backward Rotation (MBR): A Case Report. Medicina, 60(10), 1588. https://doi.org/10.3390/medicina60101588
