Point-of-Care Ultrasonography Helped to Rapidly Detect Pneumomediastinum in a Vomiting Female
Abstract
1. Introduction
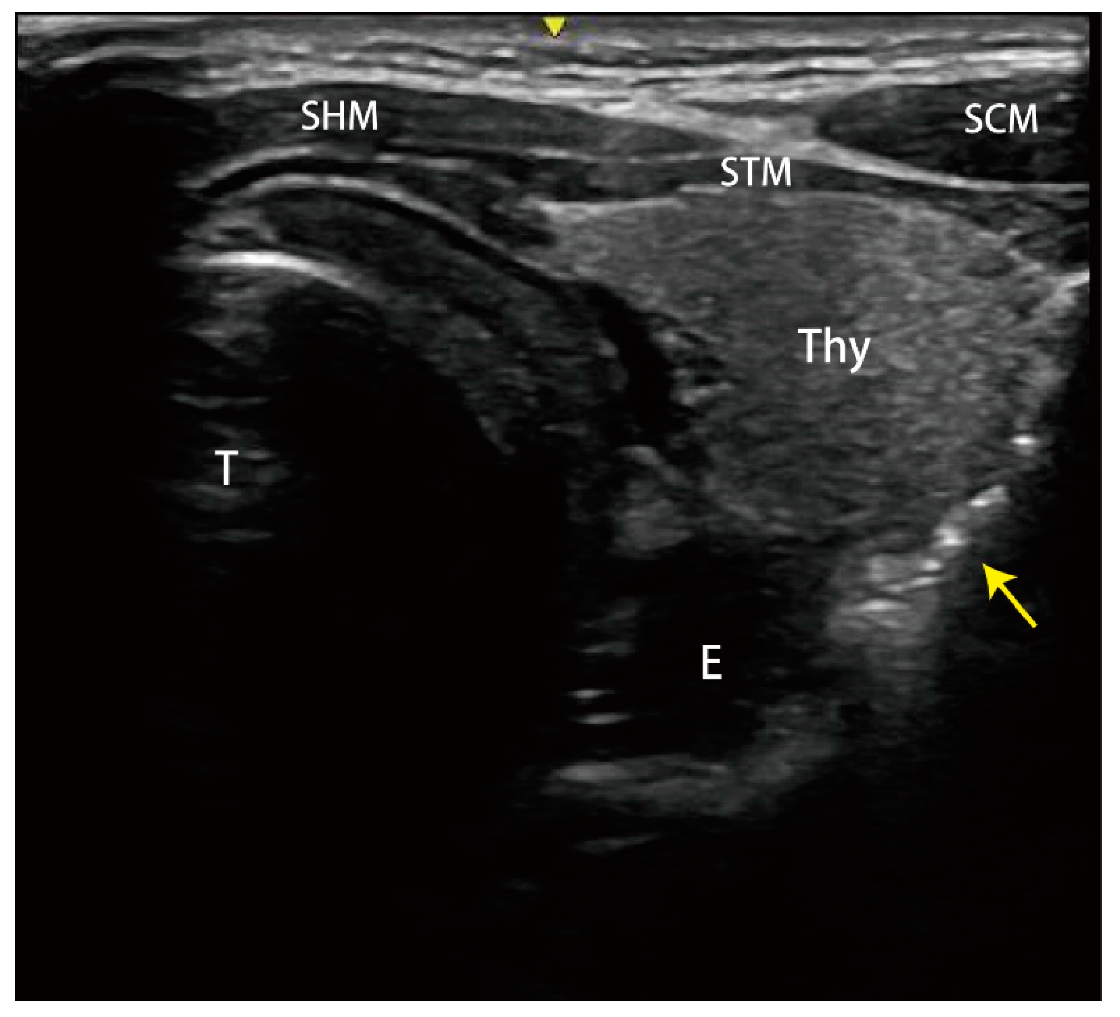
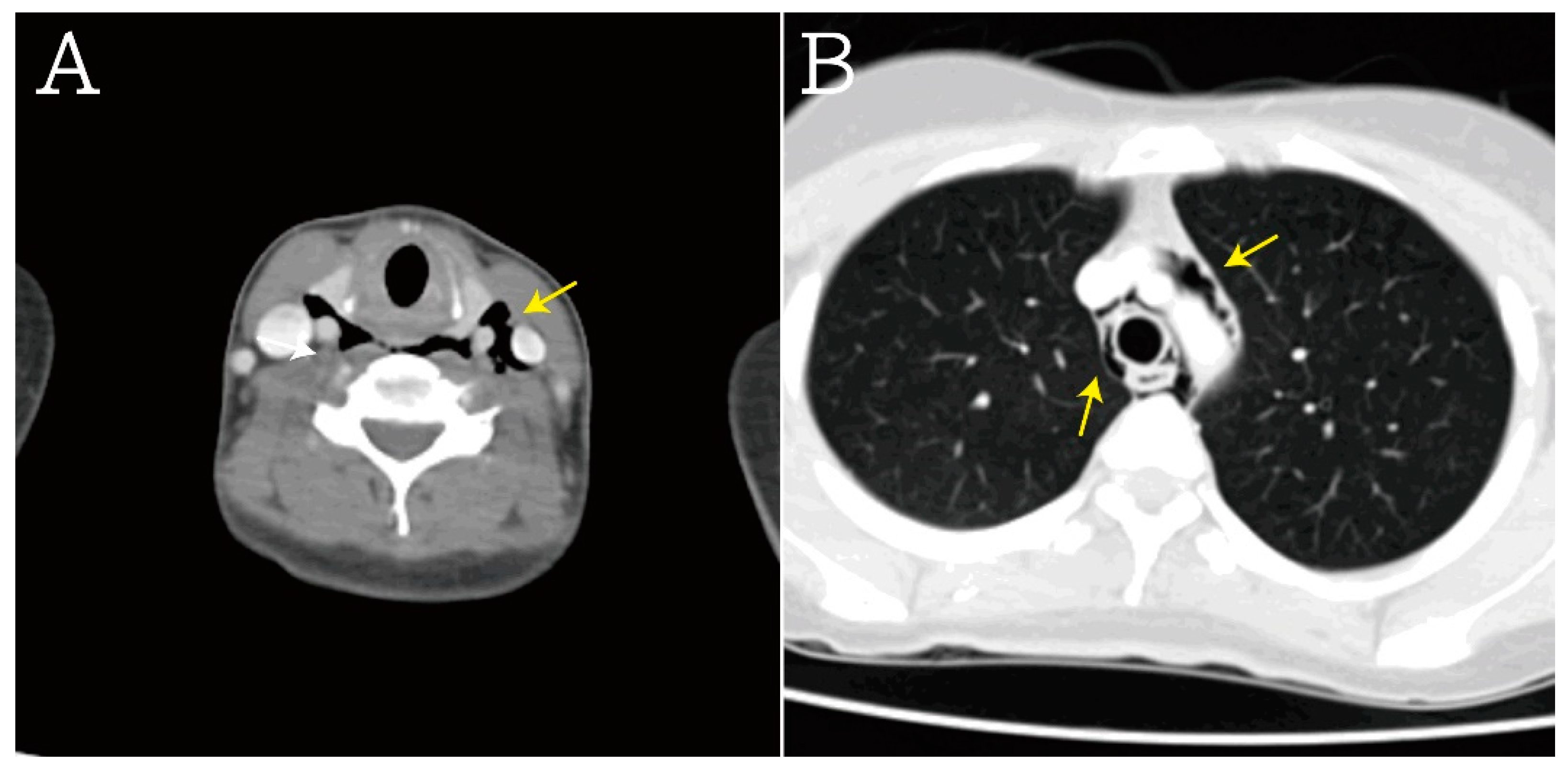
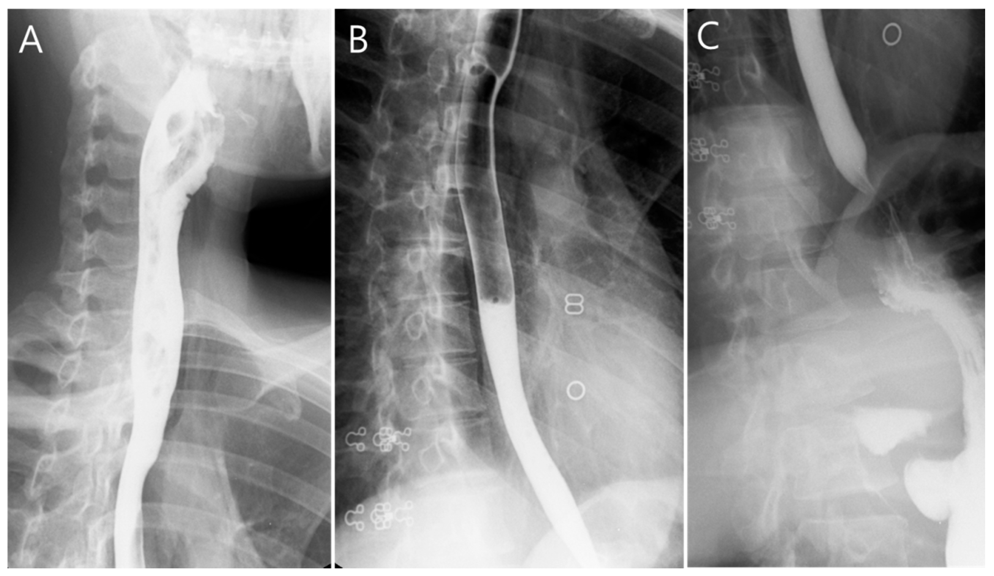
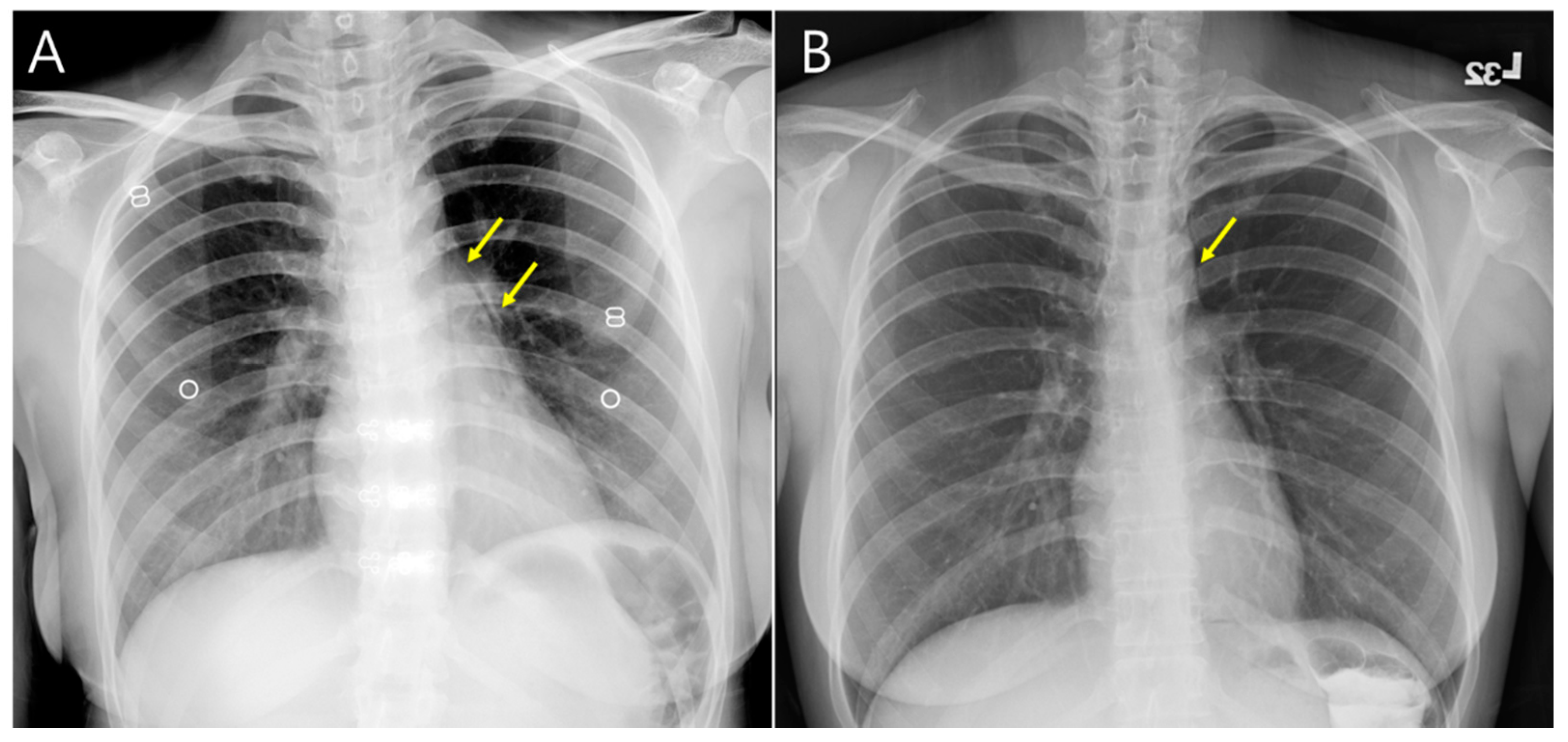
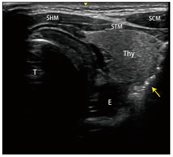
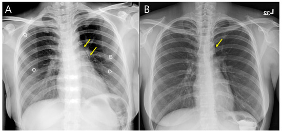
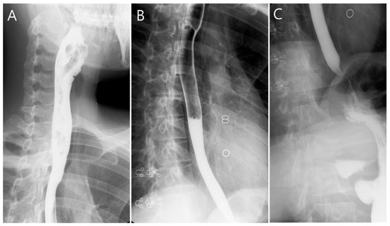
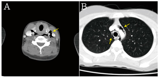
2. Case Presentation
3. Discussion
4. Conclusions
Supplementary Materials
Author Contributions
Funding
Institutional Review Board Statement
Informed Consent Statement
Data Availability Statement
Conflicts of Interest
References
- Jougon, J.B.; Ballester, M.; Delcambre, F.; Mac Bride, T.; Dromer, C.E.; Velly, J.F. Assessment of spontaneous pneumomediastinum: Experience with 12 patients. Ann. Thorac. Surg. 2003, 75, 1711–1714. [Google Scholar] [CrossRef]
- Agut, A.; Talavera, J.; Buendia, A.; Anson, A.; Santarelli, G.; Gomez, S. Imaging Diagnosis-Spontaneous Pneumomediastinum Secondary to Primary Pulmonary Pathology in a Dalmatian Dog. Vet. Radiol. Ultrasound 2015, 56, E54–E57. [Google Scholar] [CrossRef]
- Macklin, M.T.; Macklin, C.C. Malignant interstitial emphysema of the lungs and mediastinum as an important occult complication in many respiratory diseases and other conditions: An interpretation of the clinical literature in the light of laboratory experiment. Medicine 1944, 23, 281–358. [Google Scholar] [CrossRef]
- De Schipper, J.P.; Pull ter Gunne, A.F.; Oostvogel, H.J.; van Laarhoven, C.J. Spontaneous rupture of the oesophagus: Boerhaave’s syndrome in 2008. Literature review and treatment algorithm. Dig. Surg. 2009, 26, 1–6. [Google Scholar] [CrossRef]
- Brinster, C.J.; Singhal, S.; Lee, L.; Marshall, M.B.; Kaiser, L.R.; Kucharczuk, J.C. Evolving options in the management of esophageal perforation. Ann. Thorac. Surg. 2004, 77, 1475–1483. [Google Scholar] [CrossRef]
- Wise, M.P.; Salmon, J.B.; Maynard, N.D. Boerhaave syndrome: A diagnostic conundrum. BMJ Case Rep. 2009, 2009, bcr0720080375. [Google Scholar] [CrossRef]
- Koullias, G.J.; Korkolis, D.P.; Wang, X.J.; Hammond, G.L. Current assessment and management of spontaneous pneumomediastinum: Experience in 24 adult patients. Eur. J. Cardiothorac. Surg. 2004, 25, 852–855. [Google Scholar] [CrossRef]
- Panacek, E.A.; Singer, A.J.; Sherman, B.W.; Prescott, A.; Rutherford, W.F. Spontaneous pneumomediastinum: Clinical and natural history. Ann. Emerg. Med. 1992, 21, 1222–1227. [Google Scholar] [CrossRef]
- Spapen, J.; De Regt, J.; Nieboer, K.; Verfaillie, G.; Honoré, P.M.; Spapen, H. Boerhaave’s Syndrome: Still a Diagnostic and Therapeutic Challenge in the 21st Century. Case Rep. Crit. Care 2013, 2013, 161286. [Google Scholar] [CrossRef]
- Beason, H.F.; Markowitz, J.E. Pneumomediastinum Diagnosed on Ultrasound in the Emergency Department: A Case Report. Perm. J. 2015, 19, e122–e124. [Google Scholar] [CrossRef]
- Felipe, N.; King, S.A.; Salerno, A. Diagnosis of Boerhaave’s Syndrome with Aid of Bedside Ultrasound. J. Emerg. Med. 2021, 61, 568–573. [Google Scholar] [CrossRef]
- Reid, C.L.; Chandraratna, A.N.; Kawanishi, D.; Bezdek, W.D.; Schatz, R.; Nanna, M.; Rahimtoola, S.H. Echocardiographic detection of pneumomediastinum and pneumopericardium: The air gap sign. J. Am. Coll. Cardiol. 1983, 1, 916–921. [Google Scholar] [CrossRef]
- Shaikh, N.; Al Ameri, G.; Shaheen, M.; Abdaljawad, W.I.; Prabhakaran, S.; Al Wraidat, M.; Mohmed, A.S.; Khatib, M.Y.; Nashwan, A.J. Tension Pneumomediastinum: A life-threatening condition in patients with COVID-19. Qatar Med. J. 2021, 2021, 55. [Google Scholar] [CrossRef]
- Garcia, R.G.; Mariotti, G.C.; Schmid, B.P.; de Assunção, M.S.C.; Samano, M.N. Tension Pneumomediastinum in a COVID-19 Patient. J. Vasc. Interv. Radiol. 2021, 32, 1401. [Google Scholar] [CrossRef]
- Küng, E.; Habrina, L.; Berger, A.; Werther, T.; Aichhorn, L. Diagnosing pneumomediastinum in a neonate using a lung ultrasound. Lancet 2021, 398, e13. [Google Scholar] [CrossRef]
- Tsay, C.-Y.; Chen, Y.-L.; Chen, C.-S.; Lin, P.-C.; Wu, M.-Y. Pediatric Spontaneous Pneumomediastinum after a Push-Up Exercise: An Uncommon Complication of a Common Exercise. Children 2020, 7, 287. [Google Scholar] [CrossRef]
- Nirula, R. Esophageal perforation. Surg. Clin. N. Am. 2014, 94, 35–41. [Google Scholar] [CrossRef]
- Megremis, S.; Stefanaki, S.; Tsekoura, T.; Tsilimigaki, A. Spontaneous pneumomediastinum in a child: Sonographic detection in a case with minimal findings on chest radiography. J. Ultrasound Med. 2008, 27, 303–306. [Google Scholar] [CrossRef]
- Kaneki, T.; Kubo, K.; Kawashima, A.; Koizumi, T.; Sekiguchi, M.; Sone, S. Spontaneous pneumomediastinum in 33 patients: Yield of chest computed tomography for the diagnosis of the mild type. Respiration 2000, 67, 408–411. [Google Scholar] [CrossRef]
- Okada, M.; Adachi, H.; Shibuya, Y.; Ishikawa, S.; Hamabe, Y. Diagnosis and treatment of patients with spontaneous pneumomediastinum. Respir. Investig. 2014, 52, 36–40. [Google Scholar] [CrossRef]
- White, C.S.; Templeton, P.A.; Attar, S. Esophageal perforation: CT findings. AJR Am. J. Roentgenol. 1993, 160, 767–770. [Google Scholar] [CrossRef]
- Young, C.A.; Menias, C.O.; Bhalla, S.; Prasad, S.R. CT features of esophageal emergencies. Radiographics 2008, 28, 1541–1553. [Google Scholar] [CrossRef]





Disclaimer/Publisher’s Note: The statements, opinions and data contained in all publications are solely those of the individual author(s) and contributor(s) and not of MDPI and/or the editor(s). MDPI and/or the editor(s) disclaim responsibility for any injury to people or property resulting from any ideas, methods, instructions or products referred to in the content. |
© 2023 by the authors. Licensee MDPI, Basel, Switzerland. This article is an open access article distributed under the terms and conditions of the Creative Commons Attribution (CC BY) license (https://creativecommons.org/licenses/by/4.0/).
Share and Cite
Chen, Y.-H.; Lin, P.-C.; Chen, Y.-L.; Yiang, G.-T.; Wu, M.-Y. Point-of-Care Ultrasonography Helped to Rapidly Detect Pneumomediastinum in a Vomiting Female. Medicina 2023, 59, 394. https://doi.org/10.3390/medicina59020394
Chen Y-H, Lin P-C, Chen Y-L, Yiang G-T, Wu M-Y. Point-of-Care Ultrasonography Helped to Rapidly Detect Pneumomediastinum in a Vomiting Female. Medicina. 2023; 59(2):394. https://doi.org/10.3390/medicina59020394
Chicago/Turabian StyleChen, Yun-Hao, Po-Chen Lin, Yu-Long Chen, Giou-Teng Yiang, and Meng-Yu Wu. 2023. "Point-of-Care Ultrasonography Helped to Rapidly Detect Pneumomediastinum in a Vomiting Female" Medicina 59, no. 2: 394. https://doi.org/10.3390/medicina59020394
APA StyleChen, Y.-H., Lin, P.-C., Chen, Y.-L., Yiang, G.-T., & Wu, M.-Y. (2023). Point-of-Care Ultrasonography Helped to Rapidly Detect Pneumomediastinum in a Vomiting Female. Medicina, 59(2), 394. https://doi.org/10.3390/medicina59020394

