Cutaneous Toll-like Receptor 9 Pre-Defines Hydroxychloroquine Dosage in Patients with Both Discoid and Subacute Lupus Erythematosus
Abstract
:1. Introduction
2. Materials and Methods
2.1. Ethics
2.2. Study Design
- (1)
- patients treated with daily 200 mg of HCQ;
- (2)
- patients treated with daily 400 mg of HCQ due to an insufficient response to daily 200 mg of HCQ;
- (3)
- patients treated once with topical high-power corticosteroids (i.e., clobetasol).
2.3. Clinical Evaluation
- Subgroup 1—patients with reduction in the CLASI index after the 3–6-month treatment (<40%).
- Subgroup 2—patients with reduction in the CLASI index after the 3–6-month treatment ranging from 40 to 80%.
- Subgroup 3—patients with reduction in the CLASI index after 3–6-month treatment (>80%).
2.4. Staining Protocol
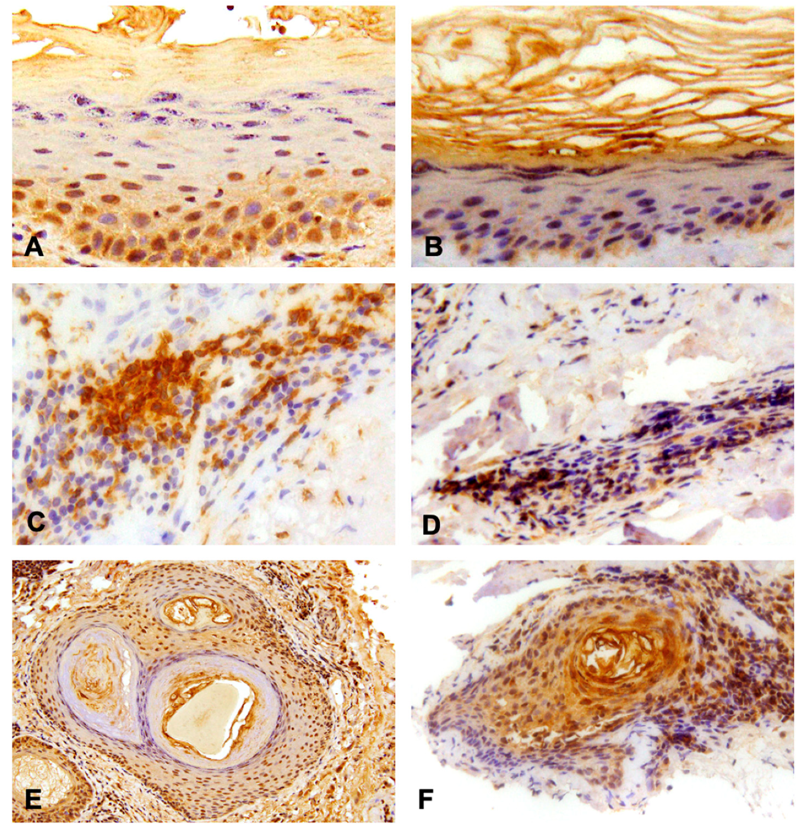
2.5. Histopathological Evaluation
2.6. Statistical Analysis
3. Results
4. Discussion
5. Conclusions
Supplementary Materials
Author Contributions
Funding
Institutional Review Board Statement
Informed Consent Statement
Data Availability Statement
Acknowledgments
Conflicts of Interest
References
- Niebel, D.; de Vos, L.; Fetter, T.; Brägelmann, C.; Wenzel, J. Cutaneous Lupus Erythematosus: An Update on Pathogenesis and Future Therapeutic Directions. Am. J. Clin. Dermatol. 2023, 24, 521–540. [Google Scholar] [PubMed]
- Günther, C.; Wenzel, J. Lupus erythematosus. J. Dtsch. Dermatol. Ges. 2023, 21, 426–430. [Google Scholar] [CrossRef] [PubMed]
- Vale, E.C.S.D.; Garcia, L.C. Cutaneous lupus erythematosus: A review of etiopathogenic, clinical, diagnostic and therapeutic aspects. An. Bras. Dermatol. 2023, 98, 355–372. [Google Scholar] [CrossRef] [PubMed]
- Garelli, C.J.; Refat, M.A.; Nanaware, P.P.; Ramirez-Ortiz, Z.G.; Rashighi, M.; Richmond, J.M. Current Insights in Cutaneous Lupus Erythematosus Immunopathogenesis. Front. Immunol. 2020, 11, 1353. [Google Scholar] [PubMed]
- Azab, M.M.; Mostafa, F.M.; Khalil, M.; Salama, M.; Abdelrahman, A.A.; Ali, A.A. Association of TLR7 and TLR9 genes polymorphisms in Egyptian patients with systemic lupus erythematosus. Heliyon 2022, 8, e11680. [Google Scholar] [PubMed]
- Leibler, C.; John, S.; Elsner, R.A.; Thomas, K.B.; Smita, S.; Joachim, S.; Levack, R.C.; Callahan, D.J.; Gordon, R.A.; Bastacky, S.; et al. Genetic dissection of TLR9 reveals complex regulatory and cryptic proinflammatory roles in mouse lupus. Nat. Immunol. 2022, 23, 1457–1469. [Google Scholar]
- Mande, P.; Zirak, B.; Ko, W.C.; Taravati, K.; Bride, K.L.; Brodeur, T.Y.; Deng, A.; Dresser, K.; Jiang, Z.; Ettinger, R.; et al. Fas ligand promotes an inducible TLR-dependent model of cutaneous lupus-like inflammation. J. Clin. Investig. 2018, 128, 2966–2978. [Google Scholar] [CrossRef]
- Elloumi, N.; Fakhfakh, R.; Ayadi, L.; Sellami, K.; Abida, O.; Ben Jmaa, M.; Sellami, T.; Kammoun, K.; Masmoudi, H. The Increased Expression of Toll-Like Receptor 4 in Renal and Skin Lesions in Lupus Erythematosus. J. Histochem. Cytochem. 2017, 65, 389–398. [Google Scholar]
- Danto, S.I.; Shojaee, N.; Singh, R.S.P.; Li, C.; Gilbert, S.A.; Manukyan, Z.; Kilty, I. Safety, tolerability, pharmacokinetics, and pharmacodynamics of PF-06650833, a selective interleukin-1 receptor-associated kinase 4 (IRAK4) inhibitor, in single and multiple ascending dose randomized phase 1 studies in healthy subjects. Arthritis. Res. Ther. 2019, 21, 269. [Google Scholar] [CrossRef]
- Winkler, A.; Sun, W.; De, S.; Jiao, A.; Sharif, M.N.; Symanowicz, P.T.; Athale, S.; Shin, J.H.; Wang, J.; Jacobson, B.A.; et al. The Interleukin-1 Receptor-Associated Kinase 4 Inhibitor PF-06650833 Blocks Inflammation in Preclinical Models of Rheumatic Disease and in Humans Enrolled in a Randomized Clinical Trial. Arthritis Rheumatol. 2021, 73, 2206–2218. [Google Scholar] [CrossRef]
- Damiani, G.; Alessandrini, M.; Caccamo, D.; Cormano, A.; Guzzi, G.; Mazzatenta, A.; Micarelli, A.; Migliore, A.; Piroli, A.; Bianca, M.; et al. Italian Expert Consensus on Clinical and Therapeutic Management of Multiple Chemical Sensitivity (MCS). Int. J. Environ. Res. Public Health 2021, 18, 11294. [Google Scholar] [CrossRef]
- Damiani, G.; Calzavara-Pinton, P.; Stingeni, L.; Hansel, K.; Cusano, F.; “Skin Allergy” Group of SIDeMaST; “ADOI” (Associazione Dermatologi Ospedalieri Italiani); “SIDAPA” (Società Italiana di Dermatologia Allergologica, Professionale e Ambientale); Pigatto PDM. Italian guidelines for therapy of atopic dermatitis-Adapted from consensus-based European guidelines for treatment of atopic eczema (atopic dermatitis). Dermatol. Ther. 2019, 32, e13121. [Google Scholar] [CrossRef] [PubMed]
- Albrecht, J.; Taylor, L.; Berlin, J.A.; Dulay, S.; Ang, G.; Fakharzadeh, S.; Kantor, J.; Kim, E.; Militello, G.; McGinnis, K.; et al. The CLASI (Cutaneous Lupus Erythematosus Disease Area and Severity Index): An outcome instrument for cutaneous lupus erythematosus. J. Investig. Dermatol. 2005, 125, 889–894. [Google Scholar] [CrossRef] [PubMed]
- Pisitkun, P.; Deane, J.A.; Difilippantonio, M.J.; Tarasenko, T.; Satterthwaite, A.B.; Bolland, S. Autoreactive B cell responses to RNA-related antigens due to TLR7 gene duplication. Science 2006, 312, 1669–1672. [Google Scholar] [CrossRef] [PubMed]
- Deane, J.A.; Pisitkun, P.; Barrett, R.S.; Feigenbaum, L.; Town, T.; Ward, J.M.; Flavell, R.A.; Bolland, S. Control of toll-like receptor 7 expression is essential to restrict autoimmunity and dendritic cell proliferation. Immunity 2007, 27, 801–810. [Google Scholar] [CrossRef]
- Fairhurst, A.M.; Hwang, S.H.; Wang, A.; Tian, X.H.; Boudreaux, C.; Zhou, X.J.; Casco, J.; Li, Q.Z.; Connolly, J.E.; Wakeland, E.K. Yaa autoimmune phenotypes are conferred by overexpression of TLR7. Eur. J. Immunol. 2008, 38, 1971–1978. [Google Scholar] [CrossRef]
- Christensen, S.R.; Shupe, J.; Nickerson, K.; Kashgarian, M.; Flavell, R.A.; Shlomchik, M.J. Toll-like receptor 7 and TLR9 dictate autoantibody specificity and have opposing inflammatory and regulatory roles in a murine model of lupus. Immunity 2006, 25, 417–428. [Google Scholar]
- Jackson, S.W.; Scharping, N.E.; Kolhatkar, N.S.; Khim, S.; Schwartz, M.A.; Li, Q.Z.; Hudkins, K.L.; Alpers, C.E.; Liggitt, D.; Rawlings, D.J. Opposing impact of B cell-intrinsic TLR7 and TLR9 signals on autoantibody repertoire and systemic inflammation. J. Immunol. 2014, 192, 4525–4532. [Google Scholar] [CrossRef]
- Desnues, B.; Macedo, A.B.; Roussel-Queval, A.; Bonnardel, J.; Henri, S.; Demaria, O.; Alexopoulou, L. TLR8 on dendritic cells and TLR9 on B cells restrain TLR7-mediated spontaneous autoimmunity in C57BL/6 mice. Proc. Natl. Acad. Sci. USA 2014, 111, 1497–1502. [Google Scholar] [CrossRef]
- Lebre, M.C.; van der Aar, A.M.; van Baarsen, L.; van Capel, T.M.; Schuitemaker, J.H.; Kapsenberg, M.L.; de Jong, E.C. Human keratinocytes express functional Toll-like receptor 3, 4, 5, and 9. J. Investig. Dermatol. 2007, 127, 331–341. [Google Scholar] [CrossRef]
- Flacher, V.; Bouschbacher, M.; Verronèse, E.; Massacrier, C.; Sisirak, V.; Berthier-Vergnes, O.; de Saint-Vis, B.; Caux, C.; Dezutter-Dambuyant, C.; Lebecque, S.; et al. Human Langerhans cells express a specific TLR profile and differentially respond to viruses and Gram-positive bacteria. J. Immunol. 2006, 177, 7959–7967. [Google Scholar] [CrossRef]
- Li, Z.J.; Sohn, K.C.; Choi, D.K.; Shi, G.; Hong, D.; Lee, H.E.; Whang, K.U.; Lee, Y.H.; Im, M.; Lee, Y.; et al. Roles of TLR7 in activation of NF-κB signaling of keratinocytes by imiquimod. PLoS ONE 2013, 8, e77159. [Google Scholar] [CrossRef]
- Schrezenmeier, E.; Dörner, T. Mechanisms of action of hydroxychloroquine and chloroquine: Implications for rheumatology. Nat. Rev. Rheumatol. 2020, 16, 155–166. [Google Scholar] [CrossRef] [PubMed]
- Hjorton, K.; Hagberg, N.; Israelsson, E.; Jinton, L.; Berggren, O.; Sandling, J.K.; Thörn, K.; Mo, J.; DISSECT Consortium; Eloranta, M.L.; et al. Cytokine production by activated plasmacytoid dendritic cells and natural killer cells is suppressed by an IRAK4 inhibitor. Arthritis Res. Ther. 2018, 20, 238. [Google Scholar] [CrossRef] [PubMed]
- Fillatreau, S.; Manfroi, B.; Dörner, T. Toll-like receptor signalling in B cells during systemic lupus erythematosus. Nat. Rev. Rheumatol. 2021, 17, 98–108. [Google Scholar] [CrossRef]
- Fitzgerald, K.A.; Kagan, J.C. Toll-like Receptors and the Control of Immunity. Cell 2020, 180, 1044–1066. [Google Scholar] [CrossRef]
- Kawai, T.; Akira, S. The role of pattern-recognition receptors in innate immunity: Update on Toll-like receptors. Nat. Immunol. 2010, 11, 373–384. [Google Scholar] [CrossRef] [PubMed]
- Silver, A.C.; Arjona, A.; Walker, W.E.; Fikrig, E. The circadian clock controls toll-like receptor 9-mediated innate and adaptive immunity. Immunity 2012, 36, 251–261. [Google Scholar] [CrossRef]
- Rijo-Ferreira, F.; Takahashi, J.S. Genomics of circadian rhythms in health and disease. Genome Med. 2019, 11, 82. [Google Scholar] [CrossRef]
- Takahashi, J.S. Transcriptional architecture of the mammalian circadian clock. Nat. Rev. Genet. 2017, 18, 164–179. [Google Scholar] [CrossRef]


| SCLE | DLE | Control | |
|---|---|---|---|
| Age (SD) | 55.18 (14.86) | 49.96 (14.97) | 50.34 (10.47) |
| Sex | |||
| Female, n (%) | 33 (50.00%) | 14 (21.21%) | 30 (49.18%) |
| Male, n (%) | 5 (7.58%) | 14 (21.21%) | 31 (50.82%) |
| Biopsy Location: | |||
| Scalp, n (%) | 0 (0) | 3 (10.71%) | 3 (4.92%) |
| Forehead, n (%) | 0 (0) | 5 (17.86%) | 5 (8.20%) |
| Nose, n (%) | 0 (0) | 3 (10.71%) | 3 (4.92%) |
| Cheek, n (%) | 0 (0) | 9 (32.14%) | 9 (14.75%) |
| Neck, n (%) | 3 (7.89%) | 3 (10.71%) | 5 (8.20%) |
| Chest, n (%) | 14 (36.84%) | 0 (0) | 13 (21.31%) |
| Back, n (%) | 10 (26.32%) | 0 (0) | 9 (14.75%) |
| Arm, n (%) | 7 (18.42%) | 4 (14.28%) | 9 (14.75%) |
| Hand, n (%) | 2 (5.26%) | 1 (3.57%) | 3 (4.92%) |
| Abdomen, n (%) | 2 (5.26%) | 0 (0) | 2 (3.28%) |
| Buttock, n (%) | 0 (0) | 0 (0) | 0 (0) |
Disclaimer/Publisher’s Note: The statements, opinions and data contained in all publications are solely those of the individual author(s) and contributor(s) and not of MDPI and/or the editor(s). MDPI and/or the editor(s) disclaim responsibility for any injury to people or property resulting from any ideas, methods, instructions or products referred to in the content. |
© 2023 by the authors. Licensee MDPI, Basel, Switzerland. This article is an open access article distributed under the terms and conditions of the Creative Commons Attribution (CC BY) license (https://creativecommons.org/licenses/by/4.0/).
Share and Cite
Englert, K.A.; Dyduch, G.; Kłosowicz, A.; Spałkowska, M.; Jaworek, A.K.; Migacz-Gruszka, K.; Jarosz-Chudek, A.; Mercuri, S.R.; Szpor, J.; Mazzoccoli, G.; et al. Cutaneous Toll-like Receptor 9 Pre-Defines Hydroxychloroquine Dosage in Patients with Both Discoid and Subacute Lupus Erythematosus. Medicina 2023, 59, 2022. https://doi.org/10.3390/medicina59112022
Englert KA, Dyduch G, Kłosowicz A, Spałkowska M, Jaworek AK, Migacz-Gruszka K, Jarosz-Chudek A, Mercuri SR, Szpor J, Mazzoccoli G, et al. Cutaneous Toll-like Receptor 9 Pre-Defines Hydroxychloroquine Dosage in Patients with Both Discoid and Subacute Lupus Erythematosus. Medicina. 2023; 59(11):2022. https://doi.org/10.3390/medicina59112022
Chicago/Turabian StyleEnglert, Karolina A., Grzegorz Dyduch, Agata Kłosowicz, Magdalena Spałkowska, Andrzej Kazimierz Jaworek, Kamila Migacz-Gruszka, Aleksandra Jarosz-Chudek, Santo Raffaele Mercuri, Joanna Szpor, Gianluigi Mazzoccoli, and et al. 2023. "Cutaneous Toll-like Receptor 9 Pre-Defines Hydroxychloroquine Dosage in Patients with Both Discoid and Subacute Lupus Erythematosus" Medicina 59, no. 11: 2022. https://doi.org/10.3390/medicina59112022
APA StyleEnglert, K. A., Dyduch, G., Kłosowicz, A., Spałkowska, M., Jaworek, A. K., Migacz-Gruszka, K., Jarosz-Chudek, A., Mercuri, S. R., Szpor, J., Mazzoccoli, G., Damiani, G., & Wojas-Pelc, A. (2023). Cutaneous Toll-like Receptor 9 Pre-Defines Hydroxychloroquine Dosage in Patients with Both Discoid and Subacute Lupus Erythematosus. Medicina, 59(11), 2022. https://doi.org/10.3390/medicina59112022

