Adult Respiratory Syncytial Virus Infection and Hypoxic Cardiac Arrest—Coexistent or Causal? A Hypothesis-Generating Case Report
Abstract
1. Introduction
2. Surroundings and Materials
2.1. Setting and Patient
2.2. Viral Diagnosis
3. Case Description
3.1. Pre-Hospital Scene
3.2. Arrival at the ED
3.3. Workup of Past Medical History
3.4. Further Diagnostics
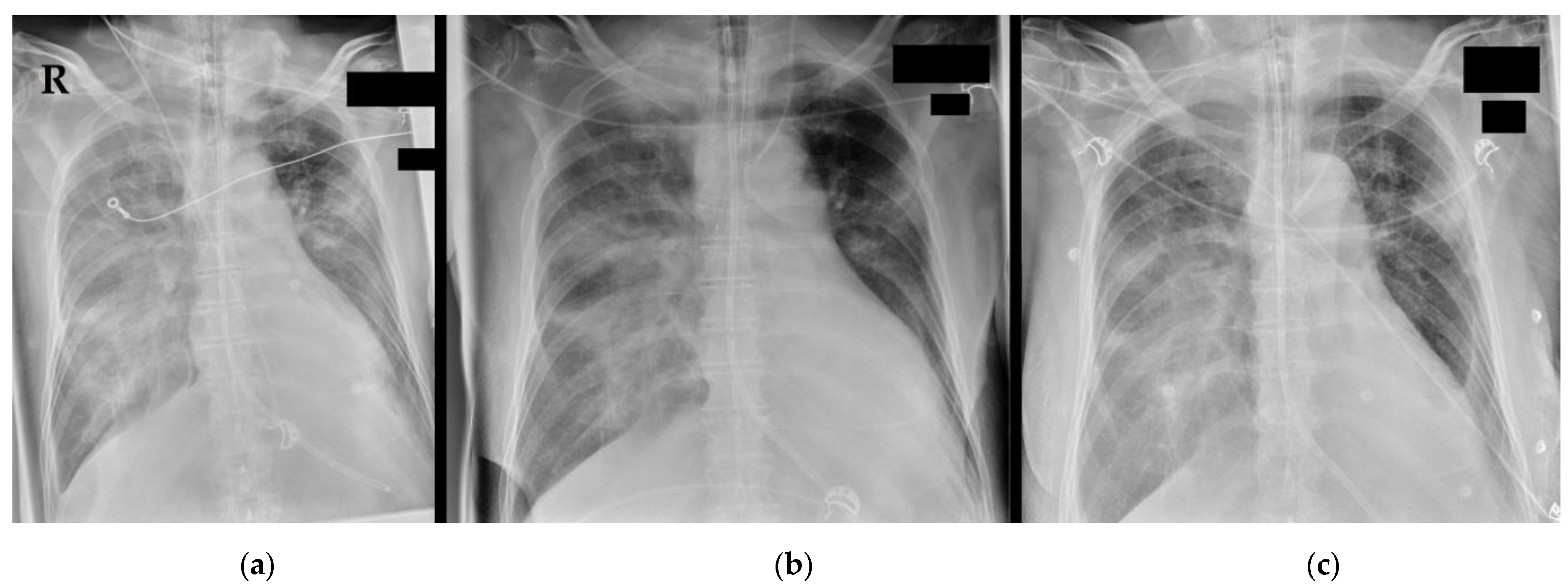
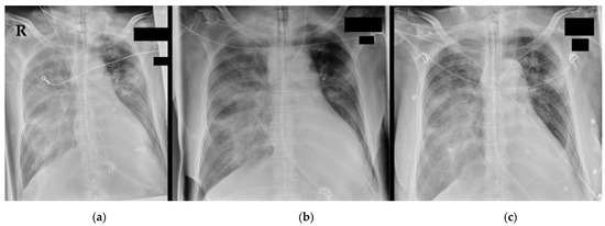
3.5. Final Diagnosis and Deterioration
4. Discussion
4.1. An Old Foe in Disguise
4.2. RSV as a Possible for Cardiac Arrest
5. Conclusions
Author Contributions
Funding
Institutional Review Board Statement
Informed Consent Statement
Data Availability Statement
Conflicts of Interest
References
- Nam, H.H.; Ison, M.G. Respiratory syncytial virus infection in adults. BMJ 2019, 366, l5021. [Google Scholar] [CrossRef]
- Stein, R.; Bont, L.J.; Zar, H.; Polack, F.P.; Park, C.; Claxton, A.; Borok, G.; Butylkova, Y.; Wegzyn, C. Respiratory syncytial virus hospitalization and mortality: Systematic review and meta-analysis. Pediatr. Pulmonol. 2016, 52, 556–569. [Google Scholar] [CrossRef] [PubMed]
- Thompson, W.W.; Shay, D.K.; Weintraub, E.; Brammer, L.; Cox, N.; Anderson, L.J.; Fukuda, K. Mortality Associated With Influenza and Respiratory Syncytial Virus in the United States. JAMA J. Am. Med. Assoc. 2003, 289, 179–186. [Google Scholar] [CrossRef] [PubMed]
- Branche, A.R.; Falsey, A.R. Respiratory Syncytial Virus Infection in Older Adults: An Under-Recognized Problem. Drugs Aging 2015, 32, 261–269. [Google Scholar] [CrossRef] [PubMed]
- Shang, Z.; Tan, S.; Ma, D. Respiratory syncytial virus: From pathogenesis to potential therapeutic strategies. Int. J. Biol. Sci. 2021, 17, 4073–4091. [Google Scholar] [CrossRef]
- Zhang, L.; Peeples, M.E.; Boucher, R.C.; Collins, P.L.; Pickles, R.J. Respiratory Syncytial Virus Infection of Human Airway Epithelial Cells Is Polarized, Specific to Ciliated Cells, and without Obvious Cytopathology. J. Virol. 2002, 76, 5654–5666. [Google Scholar] [CrossRef]
- Falsey, A.R. Respiratory Syncytial Virus Infection in Adults. Semin. Respir. Crit. Care Med. 2007, 28, 171–181. [Google Scholar] [CrossRef]
- Hall, C.B.; Douglas, R.G., Jr. Modes of transmission of respiratory syncytial virus. J. Pediatr. 1981, 99, 100–103. [Google Scholar] [CrossRef]
- Wilson, P.; Zumla, A. Transmission and prevention of acute viral respiratory tract infections in hospitals. Curr. Opin. Pulm. Med. 2019, 25, 220–224. [Google Scholar] [CrossRef]
- Hall, C.B.; Long, C.E.; Schnabel, K.C. Respiratory Syncytial Virus Infections in Previously Healthy Working Adults. Clin. Infect. Dis. 2001, 33, 792–796. [Google Scholar] [CrossRef]
- Shapiro, J.M.; E Jean, R. Respiratory Syncytial Virus. N. Engl. J. Med. 2001, 345, 1132–1133. [Google Scholar] [CrossRef] [PubMed][Green Version]
- Walsh, E.E.; Peterson, D.R.; Falsey, A.R. Is Clinical Recognition of Respiratory Syncytial Virus Infection in Hospitalized Elderly and High-Risk Adults Possible? J. Infect. Dis. 2007, 195, 1046–1051. [Google Scholar] [CrossRef] [PubMed]
- Falsey, A.R.; Hennessey, P.A.; Formica, M.A.; Cox, C.; Walsh, E.E. Respiratory Syncytial Virus Infection in Elderly and High-Risk Adults. N. Engl. J. Med. 2005, 352, 1749–1759. [Google Scholar] [CrossRef] [PubMed]
- Griffin, M.R.; Coffey, C.S.; Neuzil, K.M.; Mitchel, E.F.; Wright, P.F.; Edwards, K.M. Winter Viruses: Influenza- and respiratory syncytial virus-related morbidity in chronic lung disease. Arch. Intern. Med. 2002, 162, 1229–1236. [Google Scholar] [CrossRef]
- Tseng, H.F.; Sy, L.S.; Ackerson, B.; Solano, Z.; Slezak, J.; Luo, Y.; A Fischetti, C.; Shinde, V. Severe Morbidity and Short- and Mid- to Long-term Mortality in Older Adults Hospitalized with Respiratory Syncytial Virus Infection. J. Infect. Dis. 2020, 222, 1298–1310. [Google Scholar] [CrossRef]
- Falsey, A.R.; E Walsh, E. Respiratory Syncytial Virus: An Old Foe in a New Era. J. Infect. Dis. 2020, 222, 1245–1246. [Google Scholar] [CrossRef]
- Han, L.L.; Alexander, J.P.; Anderson, L.J. Respiratory Syncytial Virus Pneumonia among the Elderly: An Assessment of Disease Burden. J. Infect. Dis. 1999, 179, 25–30. [Google Scholar] [CrossRef]
- Cohen, R.; Babushkin, F.; Geller, K.; Finn, T. Characteristics of hospitalized adult patients with laboratory documented Influenza A, B and Respiratory Syncytial Virus—A single center retrospective observational study. PLoS ONE 2019, 14, e0214517. [Google Scholar] [CrossRef]
- Battles, M.B.; Langedijk, J.P.; Furmanova-Hollenstein, P.; Chaiwatpongsakorn, S.; Costello, H.M.; Kwanten, L.; Vranckx, L.; Vink, P.; Jaensch, S.; Jonckers, T.H.M.; et al. Molecular mechanism of respiratory syncytial virus fusion inhibitors. Nat. Chem. Biol. 2015, 12, 87–93. [Google Scholar] [CrossRef]
- Vekemans, J.; Moorthy, V.; Giersing, B.; Friede, M.; Hombach, J.; Arora, N.; Modjarrad, K.; Smith, P.G.; Karron, R.; Graham, B.; et al. Respiratory syncytial virus vaccine research and development: World Health Organization technological roadmap and preferred product characteristics. Vaccine 2019, 37, 7394–7395. [Google Scholar] [CrossRef]
- Fry, A.M.; Chittaganpitch, M.; Baggett, H.C.; Peret, T.C.T.; Dare, R.; Sawatwong, P.; Thamthitiwat, S.; Areerat, P.; Sanasuttipun, W.; Fischer, J.; et al. The Burden of Hospitalized Lower Respiratory Tract Infection due to Respiratory Syncytial Virus in Rural Thailand. PLoS ONE 2010, 5, e15098. [Google Scholar] [CrossRef] [PubMed]
- Volk, T.; Kox, W. Endothelium function in sepsis. Inflamm. Res. 2000, 49, 185–198. [Google Scholar] [CrossRef] [PubMed]
- Ebdrup, L.; Druey, K.M.; Mogensen, T.H. Severe capillary leak syndrome with cardiac arrest triggered by influenza virus infection. BMJ Case Rep. 2018, 2018, bcr-2018-226108. [Google Scholar] [CrossRef] [PubMed]
- Schnaubelt, S.; Tihanyi, D.; Strassl, R.; Schmidt, R.; Anders, S.; Laggner, A.N.; Agis, H.; Domanovits, H. Hemophagocytic lymphohistiocytosis in COVID-19: Case reports of a stepwise approach. Medicine 2021, 100, e25170. [Google Scholar] [CrossRef] [PubMed]
- Lai, S.; Merritt, B.Y.; Chen, L.; Zhou, X.; Green, L.K. Hemophagocytic lymphohistiocytosis associated with influenza A (H1N1) infection in a patient with chronic lymphocytic leukemia: An autopsy case report and review of the literature. Ann. Diagn. Pathol. 2012, 16, 477–484. [Google Scholar] [CrossRef]
- Mullooly, J.P.; Bridges, C.B.; Thompson, W.W.; Chen, J.; Weintraub, E.; Jackson, L.A.; Black, S.; Shay, D. Influenza- and RSV-associated hospitalizations among adults. Vaccine 2007, 25, 846–855. [Google Scholar] [CrossRef]
- Hall, C.B. Respiratory Syncytial Virus and Parainfluenza Virus. N. Engl. J. Med. 2001, 344, 1917–1928. [Google Scholar] [CrossRef]
- AB Wark, P.; MacIntyre, C.R.; Bell, S.; Oliver, B.; Marks, G.B. We are not doing enough to prevent the spread of COVID-19 and other respiratory viruses in Australian hospitals. Med. J. Aust. 2021, 215, 152–153.e1. [Google Scholar] [CrossRef]
- Olsen, S.J.; Winn, A.K.; Budd, A.P.; Prill, M.M.; Steel, J.; Midgley, C.M.; Kniss, K.; Burns, E.; Rowe, T.; Foust, A.; et al. Changes in Influenza and Other Respiratory Virus Activity During the COVID-19 Pandemic—United States, 2020–2021. MMWR Morb. Mortal. Wkly. Rep. 2021, 70, 1013–1019. [Google Scholar] [CrossRef]
- Di Mattia, G.; Nenna, R.; Mancino, E.; Rizzo, V.; Pierangeli, A.; Villani, A.; Midulla, F. During the COVID-19 pandemic where has respiratory syncytial virus gone? Pediatr. Pulmonol. 2021, 56, 3106–3109. [Google Scholar] [CrossRef]
- Baker, R.E.; Park, S.W.; Yang, W.; Vecchi, G.A.; Metcalf, C.J.E.; Grenfell, B.T. The impact of COVID-19 nonpharmaceutical interventions on the future dynamics of endemic infections. Proc. Natl. Acad. Sci. USA 2020, 117, 30547–30553. [Google Scholar] [CrossRef] [PubMed]
- Madaniyazi, L.; Seposo, X.; Ng, C.F.S.; Tobias, A.; Toizumi, M.; Moriuchi, H.; Yoshida, L.-M.; Hashizume, M. Respiratory Syncytial Virus Outbreaks Are Predicted after the COVID-19 Pandemic in Tokyo, Japan. Jpn. J. Infect. Dis. 2022, 75, 209–211. [Google Scholar] [CrossRef] [PubMed]
- Cohen, R.; Ashman, M.; Taha, M.-K.; Varon, E.; Angoulvant, F.; Levy, C.; Ryback, A.; Ouldali, N.; Guiso, N.; Grimprel, E. Pediatric Infectious Disease Group (GPIP) position paper on the immune debt of the COVID-19 pandemic in childhood, how can we fill the immunity gap? Infect. Dis. Now 2021, 51, 418–423. [Google Scholar] [CrossRef] [PubMed]
- Mondal, P.; Sinharoy, A.; Gope, S. The Influence of COVID-19 on Influenza and Respiratory Syncytial Virus Activities. Infect. Dis. Rep. 2022, 14, 134–141. [Google Scholar] [CrossRef]
- Eden, J.-S.; Sikazwe, C.; Xie, R.; Deng, Y.-M.; Sullivan, S.G.; Michie, A.; Levy, A.; Cutmore, E.; Blyth, C.C.; Britton, P.N.; et al. Off-season RSV epidemics in Australia after easing of COVID-19 restrictions. Nat. Commun. 2022, 13, 2884. [Google Scholar] [CrossRef]
- Li, Y.; Wang, X.; Cong, B.; Deng, S.; Feikin, D.R.; Nair, H. Understanding the Potential Drivers for Respiratory Syncytial Virus Rebound During the Coronavirus Disease 2019 Pandemic. J. Infect. Dis. 2022, 225, 957–964. [Google Scholar] [CrossRef]
- Onozuka, D.; Hagihara, A. Extreme influenza epidemics and out-of-hospital cardiac arrest. Int. J. Cardiol. 2018, 263, 158–162. [Google Scholar] [CrossRef]
- Warren-Gash, C.; Smeeth, L.; Hayward, A.C. Influenza as a trigger for acute myocardial infarction or death from cardiovascular disease: A systematic review. Lancet Infect. Dis. 2009, 9, 601–610. [Google Scholar] [CrossRef]
- Arntz, H.-R.; Willich, S.; Schreiber, C.; Brüggemann, T.; Stern, R.; Schultheiß, H.-P. Diurnal, weekly and seasonal variation of sudden death. Population-based analysis of 24061 consecutive cases. Eur. Heart J. 2000, 21, 315–320. [Google Scholar] [CrossRef]
- Glinge, C.; Jabbari, R.; Tfelt-Hansen, J. Virus infection as a trigger for sudden cardiac arrest. Int. J. Cardiol. 2018, 263, 163–164. [Google Scholar] [CrossRef]
- Schnaubelt, S.; Breyer, M.-K.; Siller-Matula, J.; Domanovits, H. Atrial fibrillation: A risk factor for unfavourable outcome in COVID-19? A case report. Eur. Heart J. Case Rep. 2020, 4, 1–6. [Google Scholar] [CrossRef] [PubMed]
- Lott, C.; Truhlář, A.; Alfonzo, A.; Barelli, A.; González-Salvado, V.; Hinkelbein, J.; Nolan, J.P.; Paal, P.; Perkins, G.D.; Thies, K.-C.; et al. European Resuscitation Council Guidelines 2021: Cardiac arrest in special circumstances. Resuscitation 2021, 161, 152–219. [Google Scholar] [CrossRef] [PubMed]
- Prill, M.M.; Langley, G.E.; Winn, A.; Gerber, S.I. Respiratory syncytial virus-associated deaths in the United States according to death certificate data, 2005 to 2016. Health Sci. Rep. 2021, 4, e428. [Google Scholar] [CrossRef] [PubMed]

| BGA (Arterial) | Admission | Laboratory Values | Admission | +7 h | +11 h | +17 h | +21 h | +34 h |
|---|---|---|---|---|---|---|---|---|
| PH | 7.3 | Haemoglobin, g/dL | 7.3 | 8.1 | 8.4 | 8.3 | 8.2 | 9.0 |
| PCO2, mmHg | 37 | Leucocyte count, G/L | 12.7 | 11.0 | 11.7 | 11.1 | 10.7 | 14.1 |
| PO2, mmHG | 130 | C-reactive protein, mg/dL | 19.7 | 21.7 | 22.9 | 22.6 | 21.1 | 16.6 |
| K, mmol/L | 3.5 | Fibrinogen, mg/dL | 458 | 486 | 452 | 476 | 449 | 483 |
| Na, mmol/L | 142 | IL-6, pg/mL | 252.0 | 76.4 | 41.4 | 21.7 | 22.5 | 13.2 |
| Ca, mmol/L | 1.3 | Procalcitonin, ng/mL | 0.5 | 1.5 | 2.0 | 2.4 | 2.5 | 2.9 |
| Cl, mmol/L | 110 | LDH, U/L | 410 | 305 | 243 | 216 | 209 | 219 |
| Glucose, mmol/L | 222 | ASAT, U/L | 249 | 196 | 141 | 100 | 84 | 74 |
| Lactate, mmol/L | 1.3 | ALAT, U/L | 99 | 103 | 96 | 92 | 87 | 84 |
| BE, mmol/L | −9.7 | Creatinine mg/dL | 2.3 | 2.3 | 2.3 | 2.3 | 2.2 | 2.4 |
| HCO3, mmol/L | 16.5 | Urea, mg/dL | 41.8 | 43.4 | 46.0 | 46.0 | 45.5 | 50.4 |
| Anion gap, mmol/L | 19.4 | GFR, mL/min/1.73 m2 | 27.7 | 27.9 | 28.2 | 28.5 | 29.4 | 26.9 |
| Hs-troponin-T, ng/L | 207 | 197 | 183 | 154 | 151 | 149 | ||
| NT-proBNP, pg/mL | >35,000 | >35,000 | >35,000 | >35,000 | >35,000 | >35,000 |
Publisher’s Note: MDPI stays neutral with regard to jurisdictional claims in published maps and institutional affiliations. |
© 2022 by the authors. Licensee MDPI, Basel, Switzerland. This article is an open access article distributed under the terms and conditions of the Creative Commons Attribution (CC BY) license (https://creativecommons.org/licenses/by/4.0/).
Share and Cite
Schnaubelt, S.; Eibensteiner, F.; Merrelaar, M.; Tihanyi, D.; Strassl, R.; Clodi, C.; Domanovits, H.; Losert, H.; Holzer, M. Adult Respiratory Syncytial Virus Infection and Hypoxic Cardiac Arrest—Coexistent or Causal? A Hypothesis-Generating Case Report. Medicina 2022, 58, 1121. https://doi.org/10.3390/medicina58081121
Schnaubelt S, Eibensteiner F, Merrelaar M, Tihanyi D, Strassl R, Clodi C, Domanovits H, Losert H, Holzer M. Adult Respiratory Syncytial Virus Infection and Hypoxic Cardiac Arrest—Coexistent or Causal? A Hypothesis-Generating Case Report. Medicina. 2022; 58(8):1121. https://doi.org/10.3390/medicina58081121
Chicago/Turabian StyleSchnaubelt, Sebastian, Felix Eibensteiner, Marieke Merrelaar, Daniel Tihanyi, Robert Strassl, Christian Clodi, Hans Domanovits, Heidrun Losert, and Michael Holzer. 2022. "Adult Respiratory Syncytial Virus Infection and Hypoxic Cardiac Arrest—Coexistent or Causal? A Hypothesis-Generating Case Report" Medicina 58, no. 8: 1121. https://doi.org/10.3390/medicina58081121
APA StyleSchnaubelt, S., Eibensteiner, F., Merrelaar, M., Tihanyi, D., Strassl, R., Clodi, C., Domanovits, H., Losert, H., & Holzer, M. (2022). Adult Respiratory Syncytial Virus Infection and Hypoxic Cardiac Arrest—Coexistent or Causal? A Hypothesis-Generating Case Report. Medicina, 58(8), 1121. https://doi.org/10.3390/medicina58081121

