Automatic Plaque Removal Using Dual-Energy Computed Tomography Angiography: Diagnostic Accuracy and Utility in Patients with Peripheral Artery Disease
Abstract
1. Introduction
2. Materials and Methods
2.1. Participants
2.2. DE-CTA
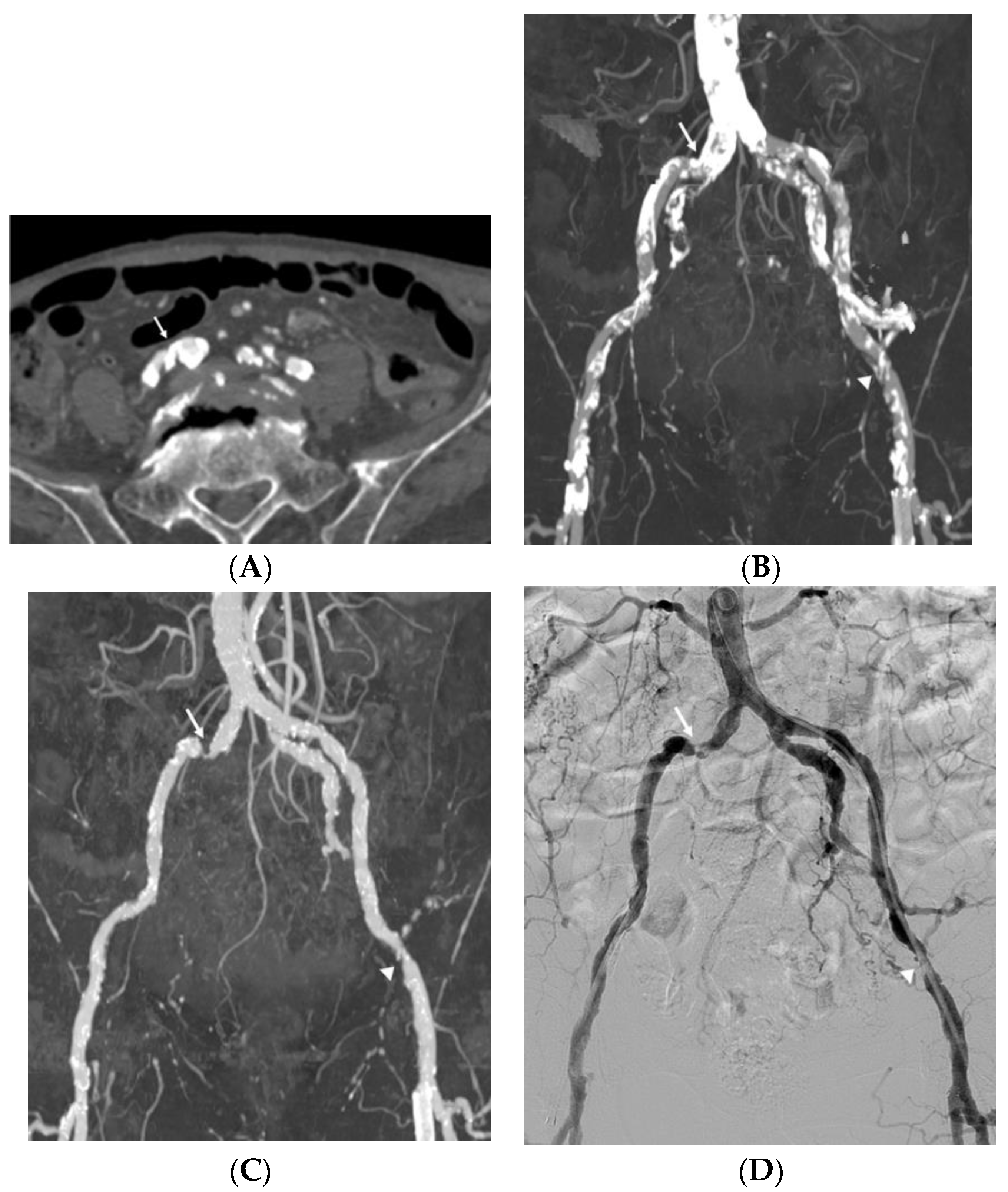
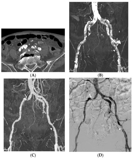
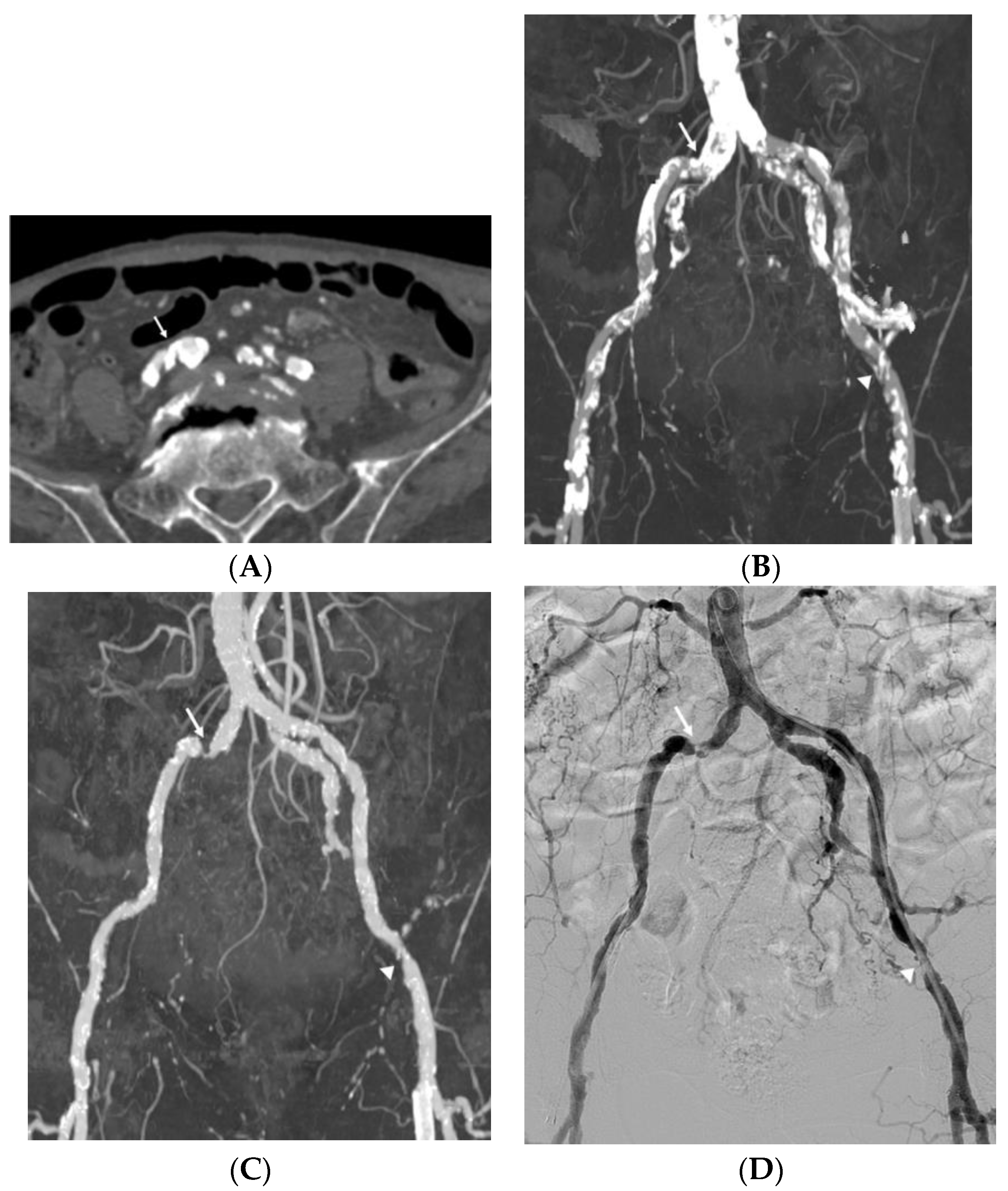
2.3. CT Image Post-Processing
2.4. DSA
2.5. Image Analysis
2.6. Statistical Analysis
3. Results
3.1. Image Quality
3.2. Diagnostic Performance
3.3. Impact of Vascular Wall Calcification
4. Discussion
5. Conclusions
Author Contributions
Funding
Institutional Review Board Statement
Informed Consent Statement
Data Availability Statement
Conflicts of Interest
References
- Song, P.; Rudan, D.; Zhu, Y.; Fowkes, F.J.; Rahimi, K.; Fowkes, F.G.R.; Rudan, I. Global, regional, and national prevalence and risk factors for peripheral artery disease in 2015: An updated systematic review and analysis. Lancet Glob. Health 2019, 7, e1020–e1030. [Google Scholar] [CrossRef]
- Mućka, S.; Miodońska, M.; Jakubiak, G.K.; Starzak, M.; Cieślar, G.; Stanek, A. Endothelial Function Assessment by Flow-Mediated Dilation Method: A Valuable Tool in the Evaluation of the Cardiovascular System. Int. J. Environ. Res. Public Health 2022, 19, 11242. [Google Scholar] [CrossRef] [PubMed]
- Jia, X.; Li, X.; Li, J.; Tian, Q.; Yao, Y.; Zhu, S.; Sun, J.; Li, Y.; Zhao, L.; Shi, Y. Improving diagnostic accuracy for arteries of lower extremities with dual-energy spectral CT imaging. Eur. J. Radiol. 2020, 128, 109061. [Google Scholar] [CrossRef]
- Jakubiak, G.K.; Pawlas, N.; Cieślar, G.; Stanek, A. Chronic lower extremity ischemia and its association with the frailty syndrome in patients with diabetes. Int. J. Environ. Res. Public Health 2020, 17, 9339. [Google Scholar] [CrossRef] [PubMed]
- Norgren, L.; Hiatt, W.R.; Dormandy, J.A.; Nehler, M.R.; Harris, K.A.; Fowkes, F.G.R. Inter-society consensus for the management of peripheral arterial disease (TASC II). J. Vasc. Surg. 2007, 45, S5–S67. [Google Scholar] [CrossRef] [PubMed]
- Owen, A.R.; Roditi, G.H. Peripheral arterial disease: The evolving role of non-invasive imaging. Postgrad. Med. J. 2011, 87, 189–198. [Google Scholar] [CrossRef] [PubMed]
- Qenawy, O.K.; Tantawy, W.H.; Abdalla, A.K.H.; Sayed, S.A.A. Comparative study between multi-detector CT angiography and digital subtraction angiography in evaluation of peripheral arterial occlusive disease. Egypt. J. Radiol. Nucl. Med. 2015, 46, 1003–1010. [Google Scholar] [CrossRef]
- Huppert, P.; Tacke, J.; Lawall, H. Deutschen Gesellschaft fur Angiologie/Gefassmedizin S3 guidelines for diagnostics and treatment of peripheral arterial occlusive disease. Radiologe 2010, 50, 7–15. [Google Scholar] [CrossRef]
- Ortiz, D.; Jahangir, A.; Singh, M.; Allaqaband, S.; Bajwa, T.K.; Mewissen, M.W. Access site complications after peripheral vascular interventions: Incidence, predictors, and outcomes. Circ. Cardiovasc. Interv. 2014, 7, 821–828. [Google Scholar] [CrossRef]
- Lim, J.C.; Ranatunga, D.; Owen, A.; Spelman, T.; Galea, M.; Chuen, J.; Lim, R.P. Multidetector (64) computed tomography angiography of the lower limb in symptomatic peripheral arterial disease: Assessment of image quality and accuracy in a tertiary care setting. J. Comput. Assist. Tomogr. 2017, 41, 327–333. [Google Scholar] [CrossRef]
- Rubin, G.D.; Leipsic, J.; Joseph Schoepf, U.; Fleischmann, D.; Napel, S. CT angiography after 20 years: A transformation in cardiovascular disease characterization continues to advance. Radiology 2014, 271, 633–652. [Google Scholar] [CrossRef]
- Hiatt, M.D.; Fleischmann, D.; Hellinger, J.C.; Rubin, G.D. Angiographic imaging of the lower extremities with multidetector CT. Radiol. Clin. 2005, 43, 1119–1127. [Google Scholar] [CrossRef]
- Meyer, B.; Werncke, T.; Hopfenmüller, W.; Raatschen, H.; Wolf, K.; Albrecht, T. Dual energy CT of peripheral arteries: Effect of automatic bone and plaque removal on image quality and grading of stenoses. Eur. J. Radiol. 2008, 68, 414–422. [Google Scholar] [CrossRef]
- Met, R.; Bipat, S.; Legemate, D.A.; Reekers, J.A.; Koelemay, M.J. Diagnostic performance of computed tomography angiography in peripheral arterial disease: A systematic review and meta-analysis. JAMA 2009, 301, 415–424. [Google Scholar] [CrossRef]
- Meyer, B.; Werncke, T.; Foert, E.; Kruschewski, M.; Hopfenmüller, W.; Ribbe, C.; Wolf, K.; Albrecht, T. Do the cardiovascular risk profile and the degree of arterial wall calcification influence the performance of MDCT angiography of lower extremity arteries? Eur. Radiol. 2010, 20, 497–505. [Google Scholar] [CrossRef]
- Johnson, T.R.; Krauss, B.; Sedlmair, M.; Grasruck, M.; Bruder, H.; Morhard, D.; Fink, C.; Weckbach, S.; Lenhard, M.; Schmidt, B. Material differentiation by dual energy CT: Initial experience. Eur. Radiol. 2007, 17, 1510–1517. [Google Scholar] [CrossRef]
- Kosmala, A.; Weng, A.M.; Schmid, A.; Gruschwitz, P.; Grunz, J.; Bley, T.A.; Petritsch, B. Dual-Energy CT Angiography in Peripheral Arterial Occlusive Disease: Diagnostic Accuracy of Different Image Reconstruction Approaches. Acad. Radiol. 2022, 29, S59–S68. [Google Scholar] [CrossRef]
- Varga-Szemes, A.; Wichmann, J.L.; Schoepf, U.J.; Suranyi, P.; De Cecco, C.N.; Muscogiuri, G.; Caruso, D.; Yamada, R.T.; Litwin, S.E.; Tesche, C. Accuracy of noncontrast quiescent-interval single-shot lower extremity MR angiography versus CT angiography for diagnosis of peripheral artery disease: Comparison with digital subtraction angiography. JACC Cardiovasc. Imaging 2017, 10, 1116–1124. [Google Scholar] [CrossRef]
- Kau, T.; Eicher, W.; Reiterer, C.; Niedermayer, M.; Rabitsch, E.; Senft, B.; Hausegger, K.A. Dual-energy CT angiography in peripheral arterial occlusive disease—Accuracy of maximum intensity projections in clinical routine and subgroup analysis. Eur. Radiol. 2011, 21, 1677–1686. [Google Scholar] [CrossRef]
- Brockmann, C.; Jochum, S.; Sadick, M.; Huck, K.; Ziegler, P.; Fink, C.; Schoenberg, S.O.; Diehl, S.J. Dual-energy CT angiography in peripheral arterial occlusive disease. Cardiovasc. Intervent. Radiol. 2009, 32, 630–637. [Google Scholar] [CrossRef]
- Almutairi, A.; Sun, Z. Dual energy computed tomography angiography in the peripheral arterial imaging: A systematic review of image quality, radiation dose and diagnostic value. Curr. Med. Imaging 2017, 13, 66–72. [Google Scholar] [CrossRef][Green Version]
- Laswed, T.; Rizzo, E.; Guntern, D.; Doenz, F.; Denys, A.; Schnyder, P.; Qanadli, S. Assessment of occlusive arterial disease of abdominal aorta and lower extremities arteries: Value of multidetector CT angiography using an adaptive acquisition method. Eur. Radiol. 2008, 18, 263–272. [Google Scholar] [CrossRef]
- Almutairi, A.; Sun, Z.; Poovathumkadavi, A.; Assar, T. Dual energy CT angiography of peripheral arterial disease: Feasibility of using lower contrast medium volume. PLoS ONE 2015, 10, e0139275. [Google Scholar] [CrossRef]
- Schabel, C.; Bongers, M.; Ketelsen, D.; Syha, R.; Thomas, C.; Homann, G.; Notohamiprodjo, M.; Nikolaou, K.; Bamberg, F. Diagnostische Genauigkeit der Dual-energy-CT-Angiographie bei Patienten mit Diabetes mellitus. Radiologe 2015, 55, 314–322. [Google Scholar] [CrossRef]



| Sex | |
| Male | 83 (83) |
| Female | 17 (17) |
| Age (years) | 70.4 [40, 89] |
| History | |
| DM | 46 (46) |
| HTN | 56 (56) |
| Hyperlipidemia | 8 (8) |
| Smoking | 67 (67) |
| CAD | 18 (18) |
| CVD | 11 (11) |
| CKD | 12 (12) |
| Fontaine stage for chronic PAD | |
| I | 14 (14) |
| IIA | 13 (13) |
| IIB | 10 (10) |
| III | 48 (48) |
| IV | 15 (15) |
| Previous PTA | 18 |
| Combined op | 7 |
| PTA time (days) | 9.3 ± 13.06 |
| Segment | Image Quality | ||
|---|---|---|---|
| 0 (Non-Diagnostic) | 1 (Fair) | 2 (Good) | |
| AIS | 4 (3.1) | 2 (1.6) | 123 (95.3) |
| FPS | 5 (3.0) | 8 (4.8) | 155 (92.2) |
| BTKS | 11 (4.7) | 87 (37.3) | 135 (57.9) |
| Total | 20 (3.8) | 97 (18.3) | 413 (77.9) |
| Segment | Sensitivity (%) | Specificity (%) | Accuracy (%) (95% CI) |
|---|---|---|---|
| AIS (n = 129) | |||
| DE-SR | 97.10 | 70.00 | 83.55 (77.37–89.73) |
| APR | 95.65 | 93.33 | 94.49 (90.49–98.49) |
| DE-SR with APR | 97.10 | 96.67 | 96.88 (93.85–99.92) |
| FPS (n = 168) | |||
| DE-SR | 98.97 | 80.28 | 89.63 (84.86–94.39) |
| APR | 97.94 | 88.73 | 93.34 (89.37–97.30) |
| DE-SR with APR | 99.97 | 91.55 | 95.26 (91.85–98.67) |
| BTKS (n = 233) | |||
| DE-SR | 98.11 | 86.61 | 92.36 (89.12–95.61) |
| APR | 99.06 | 75.59 | 87.32 (83.46–91.19) |
| DE-SR with APR | 98.11 | 90.55 | 94.33 (91.47–97.20) |
| Overall (n = 530) | |||
| DE-SR | 98.16 | 81.01 | 89.58 (87.06–92.11) |
| APR | 97.79 | 83.33 | 90.56 (88.12–93.00) |
| DE-SR with APR | 98.16 | 92.25 | 95.20 (93.39–97.02) |
| DE-SR with APR | APR | |||||||
|---|---|---|---|---|---|---|---|---|
| AIS | FPS | BTKS | Overall | AIS | FPS | BTKS | Overall | |
| DE-SR | <0.001 | 0.003 | 0.023 | <0.001 | 0.001 | 0.065 | 0.012 | 0.495 |
| APR | 0.082 | 0.084 | <0.001 | <0.001 | ||||
| Segment | Sensitivity (%) | Specificity (%) | Accuracy (%) |
|---|---|---|---|
| No or mild calcification | |||
| AIS (n = 15) | |||
| DE-SR | 100.00 | 90.00 | 95.00 |
| APR | 100.00 | 80.00 | 90.00 |
| DE-SR with APR | 100.00 | 100.00 | 100.00 |
| FPS (n = 64) | |||
| DE-SR | 96.00 | 92.31 | 94.15 |
| APR | 96.00 | 92.31 | 94.15 |
| DE-SR with APR | 96.00 | 94.87 | 95.44 |
| BTKS (n = 132) | |||
| DE-SR | 100.00 | 91.86 | 95.93 |
| APR | 100.00 | 86.05 | 93.02 |
| DE-SR with APR | 100.00 | 94.19 | 97.09 |
| Overall (n = 211) | |||
| DE-SR | 98.68 | 91.85 | 95.27 |
| APR | 98.68 | 87.41 | 93.05 |
| DE-SR with APR | 98.68 | 94.81 | 96.75 |
| Moderate or severe calcification | |||
| AIS (n = 114) | |||
| DE-SR | 96.88 | 66.00 | 81.44 |
| APR | 95.31 | 96.00 | 95.66 |
| DE-SR with APR | 95.31 | 96.00 | 96.44 |
| FPS (n = 104) | |||
| DE-SR | 100.00 | 65.63 | 82.81 |
| APR | 98.61 | 94.38 | 91.49 |
| DE-SR with APR | 100.00 | 87.50 | 93.75 |
| BTKS (n = 101) | |||
| DE-SR | 96.67 | 75.61 | 86.14 |
| APR | 98.33 | 53.66 | 76.00 |
| DE-SR with APR | 96.67 | 82.93 | 89.80 |
| Overall (n = 319) | |||
| DE-SR | 97.96 | 69.11 | 83.53 |
| APR | 97.45 | 78.86 | 88.16 |
| DE-SR with APR | 97.96 | 89.43 | 93.70 |
Publisher’s Note: MDPI stays neutral with regard to jurisdictional claims in published maps and institutional affiliations. |
© 2022 by the authors. Licensee MDPI, Basel, Switzerland. This article is an open access article distributed under the terms and conditions of the Creative Commons Attribution (CC BY) license (https://creativecommons.org/licenses/by/4.0/).
Share and Cite
Koo, B.-J.; Won, J.-H.; Choi, H.-C.; Na, J.-B.; Kim, J.-E.; Park, M.-J.; Jo, S.-H.; Park, H.-O.; Lee, C.-E.; Kim, M.-J.; et al. Automatic Plaque Removal Using Dual-Energy Computed Tomography Angiography: Diagnostic Accuracy and Utility in Patients with Peripheral Artery Disease. Medicina 2022, 58, 1435. https://doi.org/10.3390/medicina58101435
Koo B-J, Won J-H, Choi H-C, Na J-B, Kim J-E, Park M-J, Jo S-H, Park H-O, Lee C-E, Kim M-J, et al. Automatic Plaque Removal Using Dual-Energy Computed Tomography Angiography: Diagnostic Accuracy and Utility in Patients with Peripheral Artery Disease. Medicina. 2022; 58(10):1435. https://doi.org/10.3390/medicina58101435
Chicago/Turabian StyleKoo, Byeong-Ju, Jung-Ho Won, Ho-Cheol Choi, Jae-Boem Na, Ji-Eun Kim, Mi-Jung Park, Sa-Hong Jo, Hyun-Oh Park, Chung-Eun Lee, Mi-Ji Kim, and et al. 2022. "Automatic Plaque Removal Using Dual-Energy Computed Tomography Angiography: Diagnostic Accuracy and Utility in Patients with Peripheral Artery Disease" Medicina 58, no. 10: 1435. https://doi.org/10.3390/medicina58101435
APA StyleKoo, B.-J., Won, J.-H., Choi, H.-C., Na, J.-B., Kim, J.-E., Park, M.-J., Jo, S.-H., Park, H.-O., Lee, C.-E., Kim, M.-J., & Park, S.-E. (2022). Automatic Plaque Removal Using Dual-Energy Computed Tomography Angiography: Diagnostic Accuracy and Utility in Patients with Peripheral Artery Disease. Medicina, 58(10), 1435. https://doi.org/10.3390/medicina58101435

