Proximal Femoral Fractures in the Elderly: A Few Things to Know, and Some to Forget
Abstract
1. Introduction
2. Diagnosis
3. Classification
4. Peri-Operative Pharmacological Management
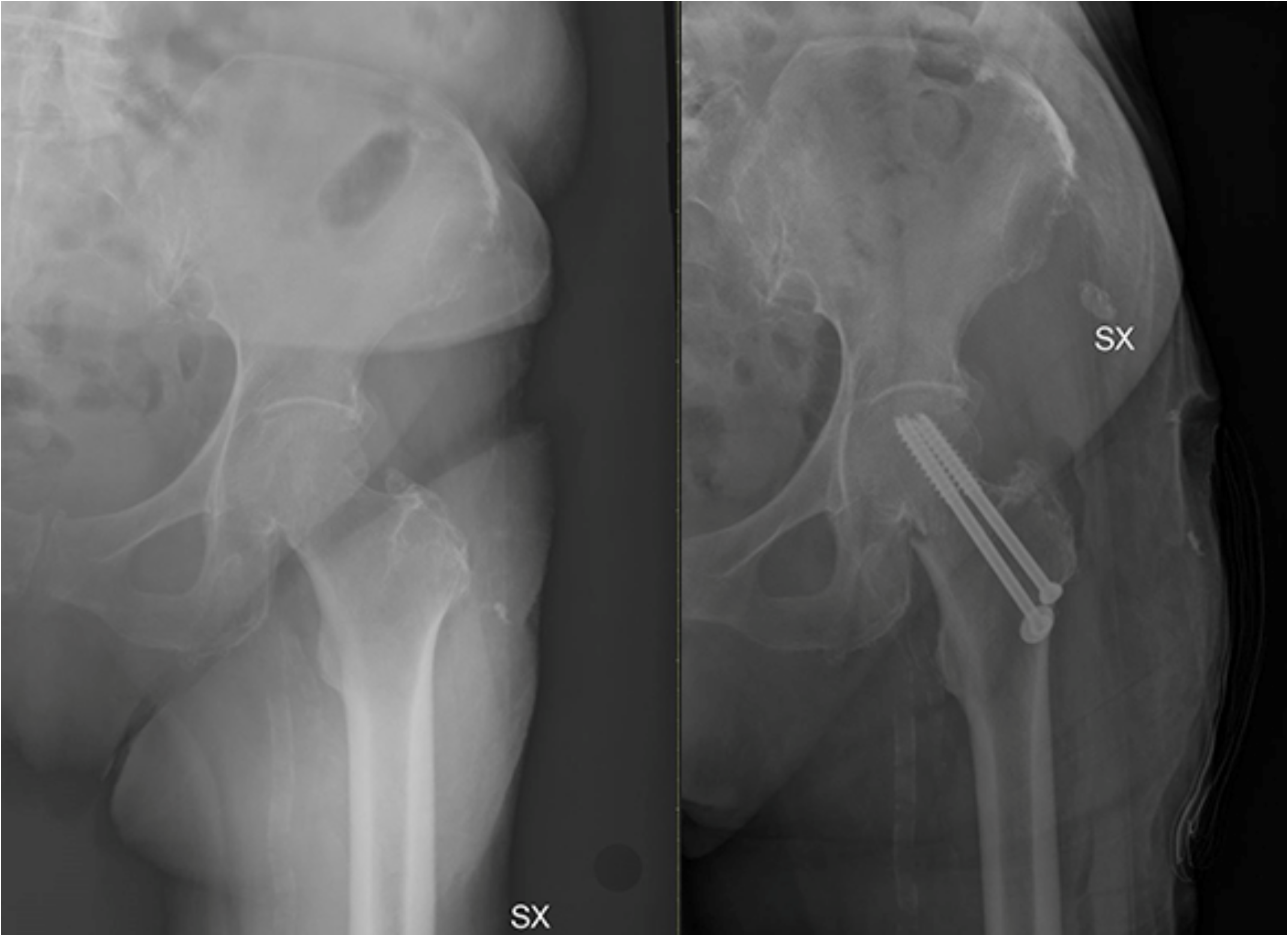
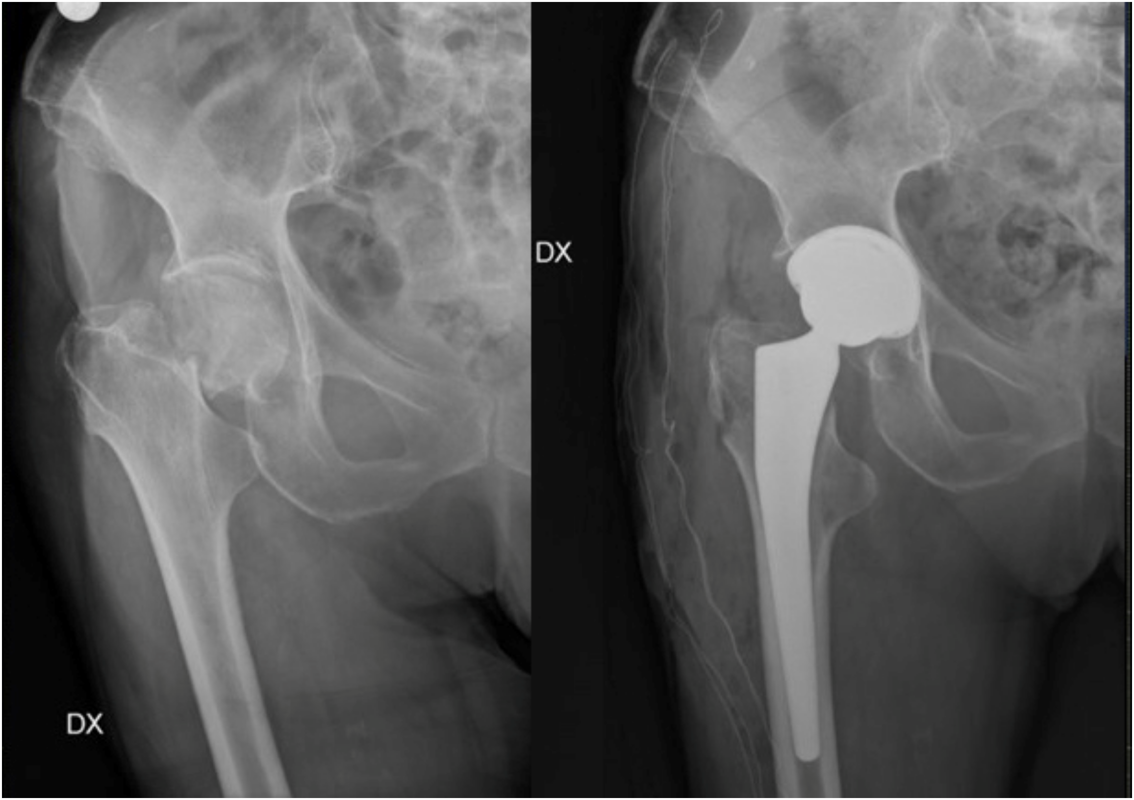
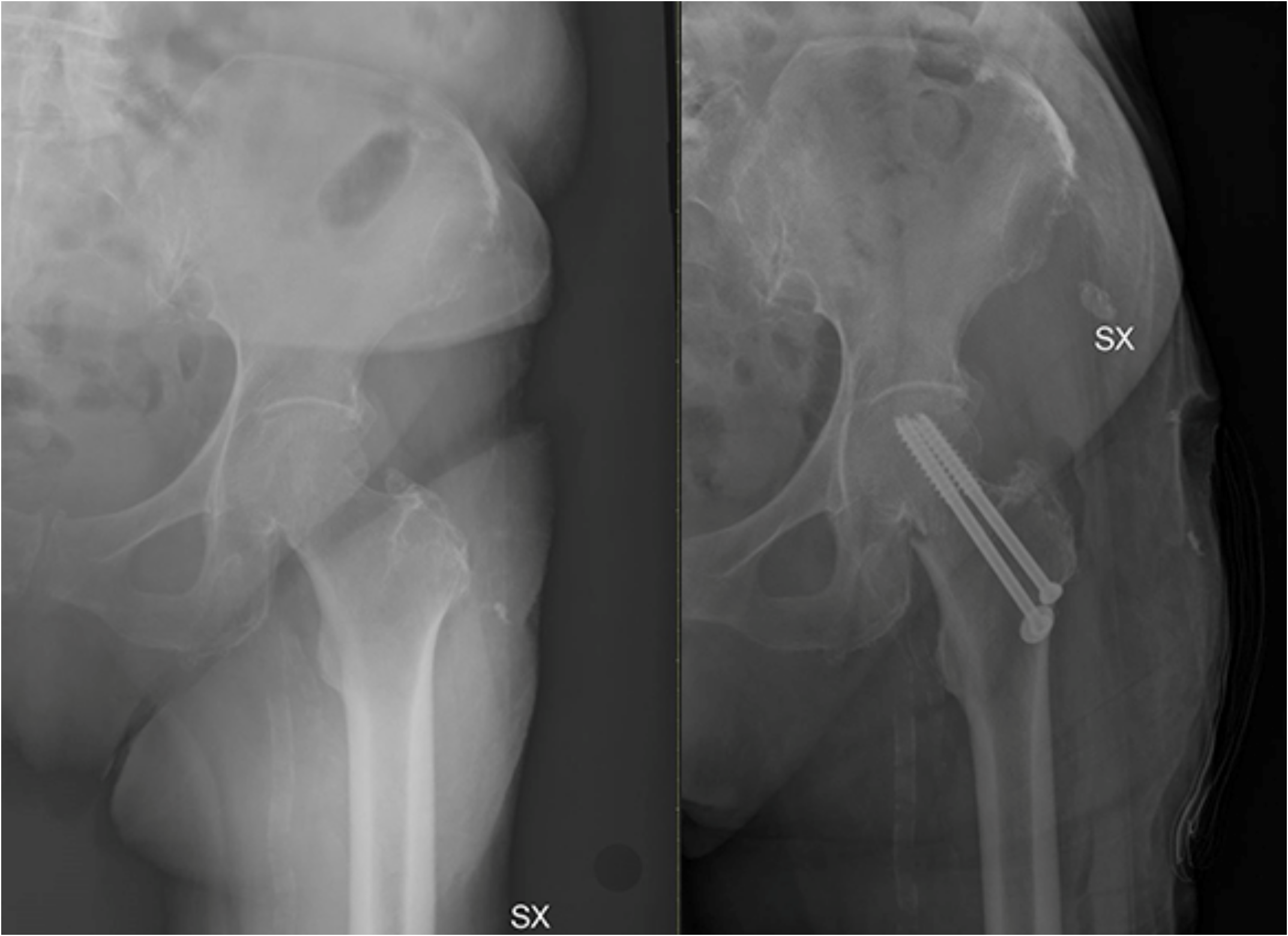
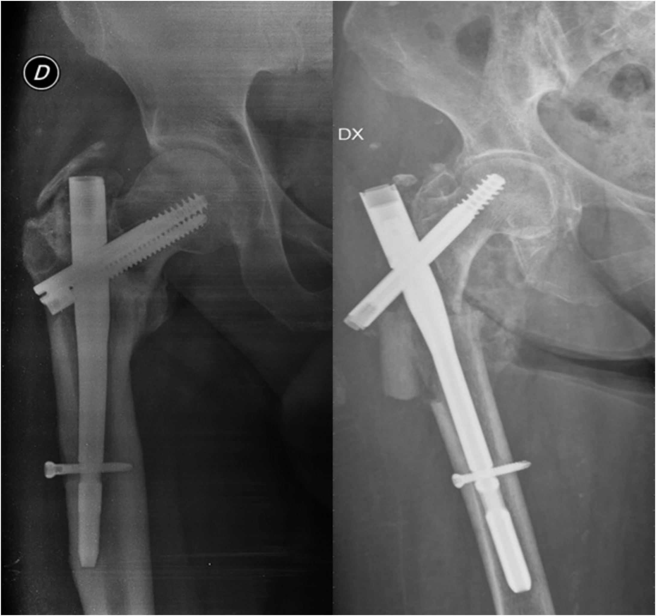
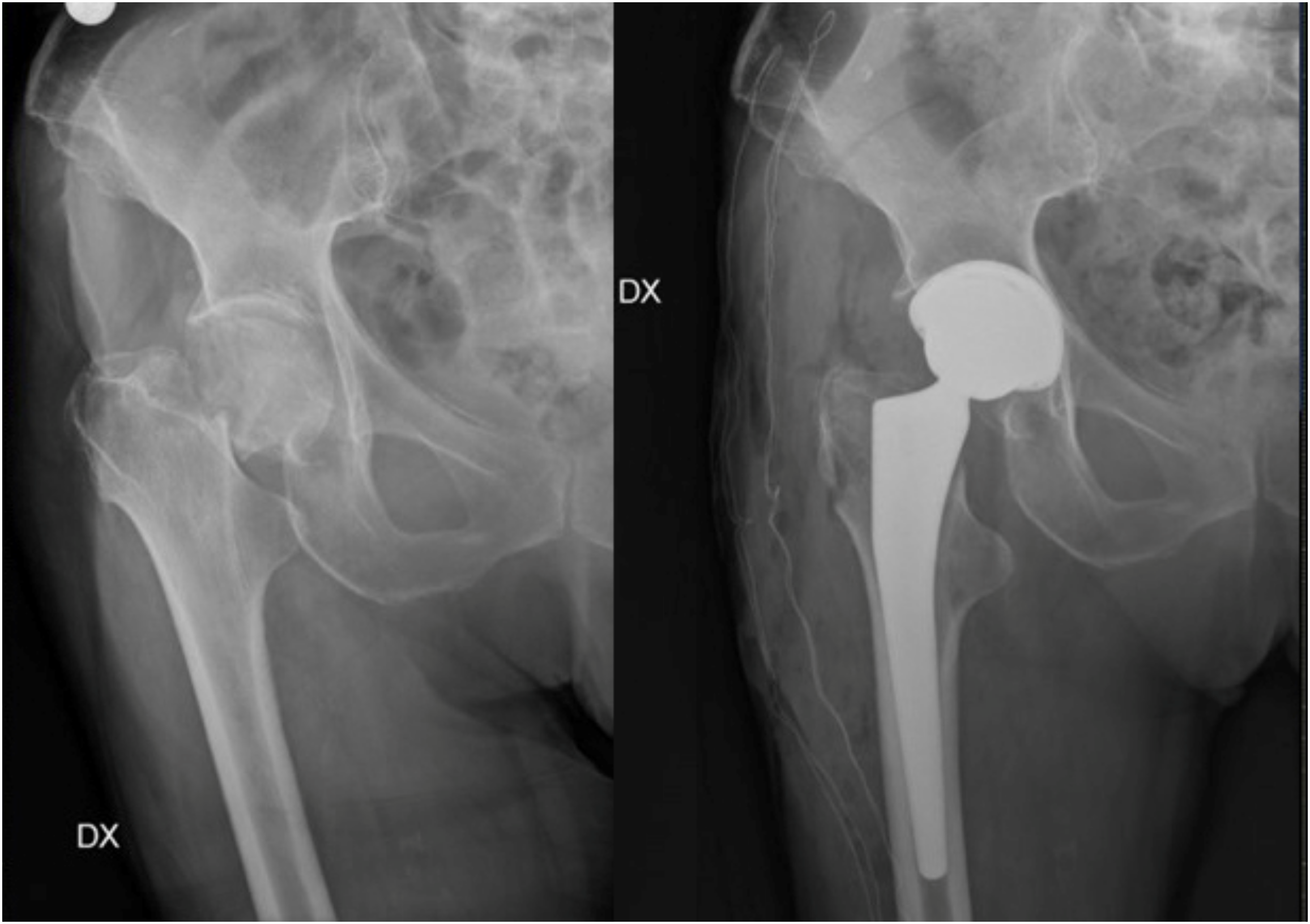
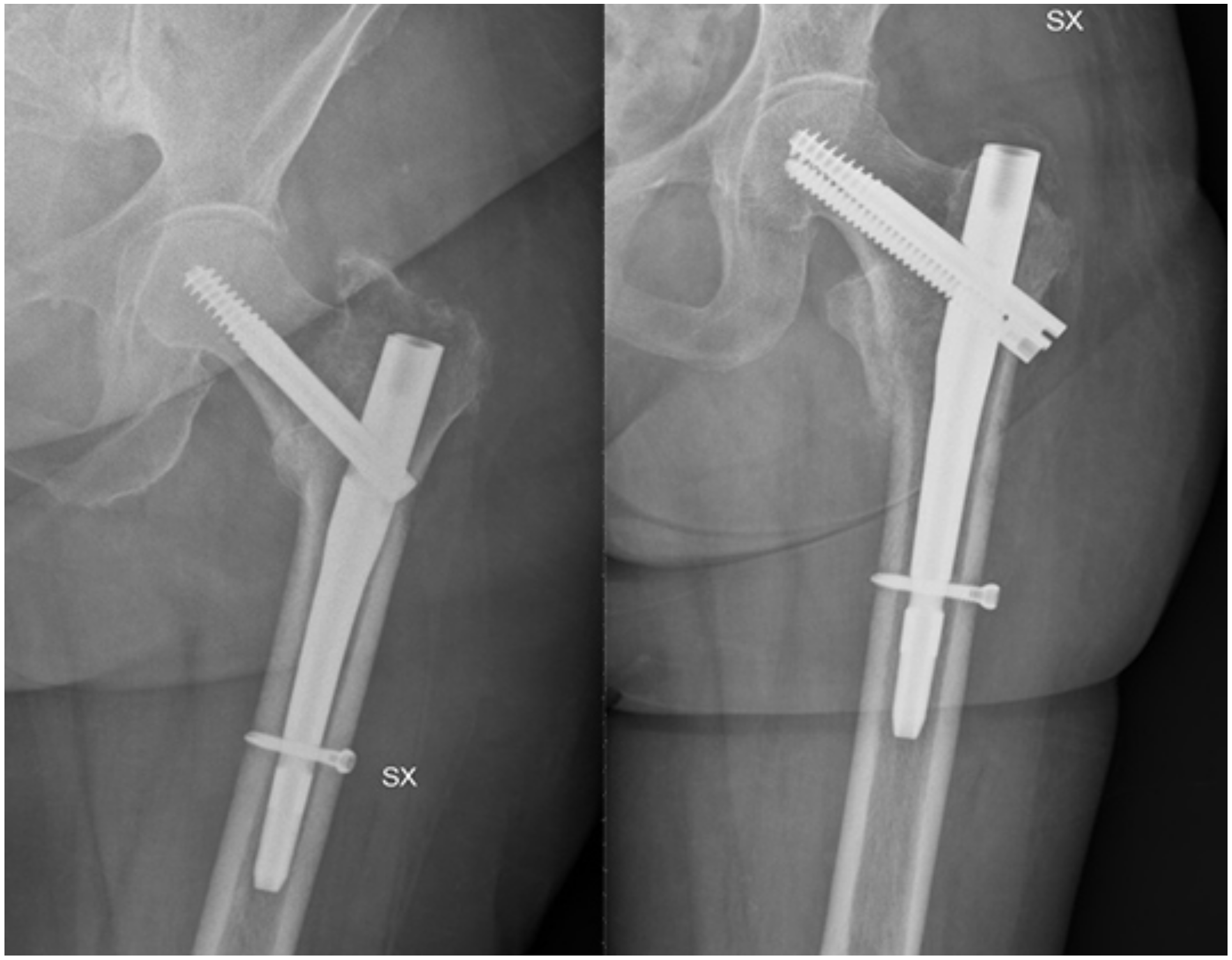
5. Surgical Management
6. Postoperative Treatment
7. Postoperative Care
8. Conclusions
Author Contributions
Funding
Institutional Review Board Statement
Informed Consent Statement
Data Availability Statement
Conflicts of Interest
References
- Johnell, O.; Kanis, J.A. An estimate of the worldwide prevalence, mortality and disability associated with hip fracture. Osteoporos. Int. 2004, 15, 897–902. [Google Scholar] [CrossRef] [PubMed]
- Aicale, R.; Maffulli, N. Greater rate of cephalic screw mobilisation following proximal femoral nailing in hip fractures with a tip-apex distance (TAD) and a calcar referenced TAD greater than 25 mm. J. Orthop. Surg. Res. 2018, 13, 106. [Google Scholar] [CrossRef] [PubMed]
- Cooper, C.; Campion, G.; Melton, L.J. Hip fractures in the elderly: A world-wide projection. Osteoporos. Int. 1992, 2, 285–289. [Google Scholar] [CrossRef] [PubMed]
- Roberts, S.E.; Goldacre, M.J. Time trends and demography of mortality after fractured neck of femur in an English population, 1968–1998: Database study. BMJ 2003, 327, 771–775. [Google Scholar] [CrossRef]
- Griffin, X.L.; Parsons, N.; Achten, J.; Fernandez, M.; Costa, M.L. Recovery of health-related quality of life in a United Kingdom hip fracture population. The Warwick Hip Trauma Evaluation—A prospective cohort study. Bone Jt. J. 2015, 97-B, 372–382. [Google Scholar] [CrossRef]
- Dyer, S.M.; Crotty, M.; Fairhall, N.; Magaziner, J.; Beaupre, L.A.; Cameron, I.D.; Sherrington, C.; Fragility Fracture Network (FFN) Rehabilitation Research Special Interest Group. A critical review of the long-term disability outcomes following hip fracture. BMC Geriatr. 2016, 16, 158. [Google Scholar] [CrossRef]
- Aletto, C.; Aicale, R.; Pezzuti, G.; Bruno, F.; Maffulli, N. Impact of an orthogeriatrician on length of stay of elderly patient with hip fracture. Osteoporos. Int. 2020, 31, 2161–2166. [Google Scholar] [CrossRef]
- Network SIG. Management of Hip Fracture in Older People: A National Clinical Guideline. 2009; Edinburgh: [cit 2018-04-05]. Available online: http://www.sign.ac.uk/assets/sign111.pdf (accessed on 2 August 2018).
- Chehade, M.; Taylor, A. Australian and New Zealand Guideline for Hip Fracture Care-Improving Outcomes in Hip Fracture Management of Adults; Australian and New Zealand Hip Fracture Registry (ANZHFR): Randwick, Australia, 2014. [Google Scholar]
- Maccagnano, G.; Notarnicola, A.; Pesce, V.; Mudoni, S.; Tafuri, S.; Moretti, B. The Prevalence of Fragility Fractures in a Population of a Region of Southern Italy Affected by Thyroid Disorders. BioMed Res. Int. 2016, 2016, 6017165. [Google Scholar] [CrossRef]
- Notarnicola, A.; Maccagnano, G.; Tafuri, S.; Moretti, L.; Laviola, L.; Moretti, B. Epidemiology of diabetes mellitus in the fragility fracture population of a region of Southern Italy. J. Biol. Regul. Homeost. Agents 2016, 30, 297–302. [Google Scholar]
- Sieber, C.C. Der ältere Patient—Wer ist das? Der Internist 2007, 48, 1190–1194. [Google Scholar] [CrossRef]
- Clegg, A.; Young, J.; Iliffe, S.; Rikkert, M.O.; Rockwood, K. Frailty in elderly people. Lancet 2013, 381, 752–762. [Google Scholar] [CrossRef]
- Harvey, N.C.W.; McCloskey, E.V.; Mitchell, P.J.; Dawson-Hughes, B.; Pierroz, D.D.; Reginster, J.-Y.; Rizzoli, R.; Cooper, C.; Kanis, J.A. Mind the (treatment) gap: A global perspective on current and future strategies for prevention of fragility fractures. Osteoporos. Int. 2017, 28, 1507–1529. [Google Scholar] [CrossRef]
- Migliorini, F.; Giorgino, R.; Hildebrand, F.; Spiezia, F.; Peretti, G.M.; Alessandri-Bonetti, M.; Eschweiler, J.; Maffulli, N. Fragility Fractures: Risk Factors and Management in the Elderly. Medicina 2021, 57, 1119. [Google Scholar] [CrossRef]
- Mears, S.C.; Kates, S.L. A Guide to Improving the Care of Patients with Fragility Fractures, Edition 2. Geriatr. Orthop. Surg. Rehabil. 2015, 6, 58–120. [Google Scholar] [CrossRef]
- Klestil, T.; Röder, C.; Stotter, C.; Winkler, B.; Nehrer, S.; Lutz, M.; Klerings, I.; Wagner, G.; Gartlehner, G.; Nussbaumer-Streit, B. Impact of timing of surgery in elderly hip fracture patients: A systematic review and meta-analysis. Sci. Rep. 2018, 8, 13933. [Google Scholar] [CrossRef]
- Kumar Jain, V.; Lal, H.; Kumar Patralekh, M.; Vaishya, R. Fracture management during COVID-19 pandemic: A systematic review. J. Clin. Orthop. Trauma 2020, 11, S431–S441. [Google Scholar] [CrossRef]
- Lim, M.A.; Pranata, R. Coronavirus disease 2019 (COVID-19) markedly increased mortality in patients with hip fracture—A systematic review and meta-analysis. J. Clin. Orthop. Trauma 2021, 12, 187–193. [Google Scholar] [CrossRef]
- Muñoz Vives, J.M.; Jornet-Gibert, M.; Cámara-Cabrera, J.; Esteban, P.L.; Brunet, L.; Delgado-Flores, L.; Camacho-Carrasco, P.; Torner, P.; Marcano-Fernández, F.; Spanish HIP-COVID Investigation Group. Mortality Rates of Patients with Proximal Femoral Fracture in a Worldwide Pandemic: Preliminary Results of the Spanish HIP-COVID Observational Study. J. Bone Jt. Surg. Am. 2020, 102, e69. [Google Scholar] [CrossRef]
- Royal College of Physicians. Falls and Fragility Fracture Audit Programme; Physiotherapy ‘Hip Sprint’ Audit Report London; Royal College of Physicians: London, UK, 2017. [Google Scholar]
- De Laet, C.E.; Pols, H.A. Fractures in the elderly: Epidemiology and demography. Best Pract. Res. Clin. Endocrinol. Metab. 2000, 14, 171–179. [Google Scholar] [CrossRef]
- Chatha, H.A.; Ullah, S.; Cheema, Z.Z. Review article: Magnetic resonance imaging and computed tomography in the diagnosis of occult proximal femur fractures. J. Orthop. Surg. 2011, 19, 99–103. [Google Scholar] [CrossRef]
- Aicale, R.; Tarantino, D.; Oliviero, G.; Maccauro, G.; Peretti, G.M.; Maffulli, N. O’nil Anteversa® mini-plate for stable hip fracture: First experience considerations and outcomes. J. Biol. Regul. Homeost. Agents 2019, 33, 147–154. [Google Scholar] [PubMed]
- Gillespie, W.J. Extracts from “clinical evidence”: Hip fracture. BMJ 2001, 322, 968–975. [Google Scholar] [CrossRef] [PubMed]
- Beck, A.; Rüter, A. Schenkelhalsfrakturen-Diagnostik und therapeutisches Vorgehen. Der Unfallchirurg 1998, 101, 634–648. [Google Scholar] [CrossRef] [PubMed]
- Garden, R.S. Low-angle fixation in fractures of the femoral neck. J. Bone Jt. Surg. Br. Vol. 1961, 43, 647–663. [Google Scholar] [CrossRef]
- Steiner, M.; Claes, L.; Ignatius, A.; Simon, U.; Wehner, T. Disadvantages of interfragmentary shear on fracture healing—Mechanical insights through numerical simulation. J. Orthop. Res. 2014, 32, 865–872. [Google Scholar] [CrossRef]
- Bartonícek, J. Pauwels’ classification of femoral neck fractures: Correct interpretation of the original. J. Orthop. Trauma 2001, 15, 358–360. [Google Scholar] [CrossRef]
- Gašpar, D.; Crnković, T.; Đurović, D.; Podsednik, D.; Slišurić, F. AO group, AO subgroup, Garden and Pauwels classification systems of femoral neck fractures: Are they reliable and reproducible? Med. Glas. 2012, 9, 243–247. [Google Scholar]
- Meling, T.; Harboe, K.; Enoksen, C.H.; Aarflot, M. How reliable and accurate is the AO/OTA comprehensive classification for adult long-bone fractures? J. Trauma Acute Care Surg. 2012, 73, 224–231. [Google Scholar] [CrossRef]
- Hsu, C.-E.; Huang, K.-C.; Lin, T.-C.; Tong, K.-M.; Lee, M.-H.; Chiu, Y.-C. Integrated risk scoring model for predicting dynamic hip screw treatment outcome of intertrochanteric fracture. Injury 2016, 47, 2501–2506. [Google Scholar] [CrossRef]
- Eamer, G.; Taheri, A.; Chen, S.S.; Daviduck, Q.; Chambers, T.; Shi, X.; Khadaroo, R.G. Comprehensive geriatric assessment for older people admitted to a surgical service. Cochrane Database Syst. Rev. 2018, 1, CD012485. [Google Scholar] [CrossRef]
- Ftouh, S.; Morga, A.; Swift, C. Management of hip fracture in adults: Summary of NICE guidance. BMJ 2011, 342, d3304. [Google Scholar] [CrossRef]
- Rodriguez-Mañas, L. Urinary tract infections in the elderly: A review of disease characteristics and current treatment options. Drugs Context 2020, 9, 2020-4-13. [Google Scholar] [CrossRef]
- Zhang, Q.; Liu, L.; Sun, W.; Gao, F.; Cheng, L.; Li, Z. Research progress of asymptomatic bacteriuria before arthroplasty: A systematic review. Medicine 2018, 97, e9810. [Google Scholar] [CrossRef]
- Oliver, D.; Griffiths, R.; Roche, J.; Sahota, O. Hip fracture. BMJ Clin. Evid. 2010, 2010, 1110. [Google Scholar]
- Handoll, H.H.; Farrar, M.J.; McBirnie, J.; Tytherleigh-Strong, G.; Milne, A.A.; Gillespie, W.J. Heparin, low molecular weight heparin and physical methods for preventing deep vein thrombosis and pulmonary embolism following surgery for hip fractures. Cochrane Database Syst. Rev. 2002, 4. [Google Scholar] [CrossRef]
- Crotty, M.; Whitehead, C.H.; Gray, S.; Finucane, P.M. Early discharge and home rehabilitation after hip fracture achieves functional improvements: A randomized controlled trial. Clin. Rehabil. 2002, 16, 406–413. [Google Scholar] [CrossRef]
- Yang, Z.; Ni, J.; Long, Z.; Kuang, L.; Gao, Y.; Tao, S. Is hip fracture surgery safe for patients on antiplatelet drugs and is it necessary to delay surgery? A systematic review and meta-analysis. J. Orthop. Surg. Res. 2020, 15, 105. [Google Scholar] [CrossRef]
- Chechik, O.; Thein, R.; Fichman, G.; Haim, A.; Tov, T.B.; Steinberg, E.L. The effect of clopidogrel and aspirin on blood loss in hip fracture surgery. Injury 2011, 42, 1277–1282. [Google Scholar] [CrossRef]
- Falaschi, P.; Marsh, D. (Eds.) Orthogeriatrics: The Management of Older Patients with Fragility Fractures; Springer: Cham, Switzerland, 2021. [Google Scholar]
- Bonnaire, F.; Bula, P.; Schellong, S. Management vorbestehender Antikoagulation zur zeitgerechten Versorgung von hüftnahen Frakturen. Der Unfallchirurg 2019, 122, 404–410. [Google Scholar] [CrossRef]
- Zhang, P.; He, J.; Fang, Y.; Chen, P.; Liang, Y.; Wang, J. Efficacy and safety of intravenous tranexamic acid administration in patients undergoing hip fracture surgery for hemostasis: A meta-analysis. Medicine 2017, 96, e6940. [Google Scholar] [CrossRef]
- Oh, E.S.; Fong, T.G.; Hshieh, T.T.; Inouye, S.K. Delirium in Older Persons: Advances in Diagnosis and Treatment. JAMA 2017, 318, 1161–1174. [Google Scholar] [CrossRef]
- Kim, S.-Y.; Kim, S.-W.; Kim, J.-M.; Shin, I.-S.; Bae, K.-Y.; Shim, H.-J.; Bae, W.-K.; Cho, S.-H.; Chung, I.-J.; Yoon, J.-S. Differential Associations Between Delirium and Mortality According to Delirium Subtype and Age: A Prospective Cohort Study. Psychosom. Med. 2015, 77, 903–910. [Google Scholar] [CrossRef]
- Bellelli, G.; Morandi, A.; Davis, D.H.J.; Mazzola, P.; Turco, R.; Gentile, S.; Ryan, T.; Cash, H.; Guerini, F.; Torpilliesi, T.; et al. Validation of the 4AT, a new instrument for rapid delirium screening: A study in 234 hospitalised older people. Age Ageing 2014, 43, 496–502. [Google Scholar] [CrossRef] [PubMed]
- Moja, L.; Piatti, A.; Pecoraro, V.; Ricci, C.; Virgili, G.; Salanti, G.; Germagnoli, L.; Liberati, A.; Banfi, G. Timing matters in hip fracture surgery: Patients operated within 48 hours have better outcomes. A meta-analysis and meta-regression of over 190,000 patients. PLoS ONE 2012, 7, e46175. [Google Scholar] [CrossRef]
- Lu, Y.; Uppal, H.S. Hip Fractures: Relevant Anatomy, Classification, and Biomechanics of Fracture and Fixation. Geriatr. Orthop. Surg. Rehabil. 2019, 10, 2151459319859139. [Google Scholar] [CrossRef]
- Yx, C.; Xia, S. Optimal surgical methods to treat intertrochanteric fracture: A Bayesian network meta-analysis based on 36 randomized controlled trials. J. Orthop. Surg. Res. 2020, 15, 402. [Google Scholar] [CrossRef]
- Cipollaro, L.; Aicale, R.; Maccauro, G.; Maffulli, N. Single- versus double-integrated screws in intramedullary nailing systems for surgical management of extracapsular hip fractures in the elderly: A systematic review. J. Biol. Regul. Homeost. Agents 2019, 33, 175–182. [Google Scholar] [PubMed]
- Pesce, V.; Maccagnano, G.; Vicenti, G.; Notarnicola, A.; Moretti, L.; Tafuri, S.; Vanni, D.; Salini, V.; Moretti, B. The effect of hydroxyapatite coated screw in the lateral fragility fractures of the femur. A prospective randomized clinical study. J. Biol. Regul. Homeost. Agents 2014, 28, 125–132. [Google Scholar] [PubMed]
- Jackson, C.; Tanios, M.; Ebraheim, N. Management of Subtrochanteric Proximal Femur Fractures: A Review of Recent Literature. Adv. Orthop. 2018, 2018, 1326701. [Google Scholar] [CrossRef]
- Queally, J.M.; Harris, E.; Handoll, H.H.G.; Parker, M.J. Intramedullary nails for extracapsular hip fractures in adults. Cochrane Database Syst. Rev. 2014, 12, CD004961. [Google Scholar] [CrossRef] [PubMed]
- Parker, M.J.; Handoll, H.H. Gamma and other cephalocondylic intramedullary nails versus extramedullary implants for extracapsular hip fractures in adults. Cochrane Database Syst. Rev. 2010, 8, CD000093. [Google Scholar] [CrossRef]
- Anglen, J.O.; Weinstein, J.N.; American Board of Orthopaedic Surgery Research Committee. Nail or plate fixation of intertrochanteric hip fractures: Changing pattern of practice: A review of the American Board of Orthopaedic Surgery Database. J. Bone Jt. Surg. Am. 2008, 90, 700–707. [Google Scholar] [CrossRef]
- Chesser, T.J.S.; Handley, R.; Swift, C. New NICE guideline to improve outcomes for hip fracture patients. Injury 2011, 42, 727–729. [Google Scholar] [CrossRef]
- Erhart, S.; Schmoelz, W.; Blauth, M.; Lenich, A. Biomechanical effect of bone cement augmentation on rotational stability and pull-out strength of the Proximal Femur Nail AntirotationTM. Injury 2011, 42, 1322–1327. [Google Scholar] [CrossRef]
- Namdari, S.; Rabinovich, R.; Scolaro, J.; Baldwin, K.; Bhandari, M.; Mehta, S. Absorbable and non-absorbable cement augmentation in fixation of intertrochanteric femur fractures: Systematic review of the literature. Arch. Orthop. Trauma Surg. 2013, 133, 487–494. [Google Scholar] [CrossRef]
- Raaymakers, E.L.F.B. The non-operative treatment of impacted femoral neck fractures. Injury 2002, 33 (Suppl. S3), C8–C14. [Google Scholar] [CrossRef]
- Parker, M.J.; Gurusamy, K.S.; Azegami, S. Arthroplasties (with and without bone cement) for proximal femoral fractures in adults. Cochrane Database Syst. Rev. 2010, 16, CD001706. [Google Scholar] [CrossRef]
- Kammerlander, C.; Pfeufer, D.; Lisitano, L.A.; Mehaffey, S.; Böcker, W.; Neuerburg, C. Inability of Older Adult Patients with Hip Fracture to Maintain Postoperative Weight-Bearing Restrictions. J. Bone Jt. Surg. Am. 2018, 100, 936–941. [Google Scholar] [CrossRef]
- Lowe, J.A.; Crist, B.D.; Bhandari, M.; Ferguson, T.A. Optimal treatment of femoral neck fractures according to patient’s physiologic age: An evidence-based review. Orthop. Clin. N. Am. 2010, 41, 157–166. [Google Scholar] [CrossRef]
- Braun, K.F.; Hanschen, M.; Biberthaler, P. Frakturendoprothetik der medialen Schenkelhalsfraktur. Der Unfallchirurg 2016, 119, 331–345. [Google Scholar] [CrossRef]
- Rozell, J.C.; Hasenauer, M.; Donegan, D.J.; Neuman, M. Recent advances in the treatment of hip fractures in the elderly. F1000Res 2016, 5, 1953. [Google Scholar] [CrossRef] [PubMed]
- Rutter, P.D.; Panesar, S.S.; Darzi, A.; Donaldson, L.J. What is the risk of death or severe harm due to bone cement implantation syndrome among patients undergoing hip hemiarthroplasty for fractured neck of femur? A patient safety surveillance study. BMJ Open 2014, 4, e004853. [Google Scholar] [CrossRef] [PubMed]
- Konow, T.; Baetz, J.; Melsheimer, O.; Grimberg, A.; Morlock, M. Factors influencing periprosthetic femoral fracture risk. Bone Jt. J. 2021, 103-B, 650–658. [Google Scholar] [CrossRef] [PubMed]
- Dargel, J.; Oppermann, J.; Brüggemann, G.-P.; Eysel, P. Dislocation following total hip replacement. Dtsch. Arztebl. Int. 2014, 111, 884–890. [Google Scholar] [CrossRef]
- Baker, R.P.; Squires, B.; Gargan, M.F.; Bannister, G.C. Total hip arthroplasty and hemiarthroplasty in mobile, independent patients with a displaced intracapsular fracture of the femoral neck. A randomized, controlled trial. J. Bone Jt. Surg. Am. 2006, 88, 2583–2589. [Google Scholar] [CrossRef]
- Bhandari, M.; Einhorn, T.A.; Guyatt, G.; Schemitsch, E.H.; Zura, R.D.; Sprague, S.; Frihagen, F.; Guerra-Farfán, E.; Kleinlugtenbelt, Y.V.; Health Investigators. Total Hip Arthroplasty or Hemiarthroplasty for Hip Fracture. N. Engl. J. Med. 2019, 381, 2199–2208. [Google Scholar] [CrossRef]
- Yoo, J.-I.; Cha, Y.; Kwak, J.; Kim, H.-Y.; Choy, W.-S. Review on Basicervical Femoral Neck Fracture: Definition, Treatments, and Failures. Hip Pelvis 2020, 32, 170–181. [Google Scholar] [CrossRef]
- Kenyon-Smith, T.; Nguyen, E.; Oberai, T.; Jarsma, R. Early mobilization post–hip fracture surgery. Geriatr. Orthop. Surg. Rehabil. 2019, 10, 2151459319826431. [Google Scholar] [CrossRef]
- Hammond, T.; Wilson, A. Polypharmacy and falls in the elderly: A literature review. Nurs. Midwifery Stud. 2013, 2, 171–175. [Google Scholar] [CrossRef]
- Flevas, D.A.; Megaloikonomos, P.D.; Dimopoulos, L.; Mitsiokapa, E.; Koulouvaris, P.; Mavrogenis, A.F. Thromboembolism prophylaxis in orthopaedics: An update. EFORT Open Rev. 2018, 3, 136–148. [Google Scholar] [CrossRef]
- Migliorini, F.; Colarossi, G.; Baroncini, A.; Eschweiler, J.; Tingart, M.; Maffulli, N. Pharmacological Management of Postmenopausal Osteoporosis: A Level I Evidence Based—Expert Opinion. Expert Rev. Clin. Pharm. 2021, 14, 105–119. [Google Scholar] [CrossRef]
- Kuisma, R. A randomized, controlled comparison of home versus institutional rehabilitation of patients with hip fracture. Clin. Rehabil. 2002, 16, 553–561. [Google Scholar] [CrossRef]
- Halbert, J.; Crotty, M.; Whitehead, C.; Cameron, I.; Kurrle, S.; Graham, S.; Handoll, H.; Finnegan, T.; Jones, T.; Foley, A.; et al. Multi-disciplinary rehabilitation after hip fracture is associated with improved outcome: A systematic review. J. Rehabil. Med. 2007, 39, 507–512. [Google Scholar] [CrossRef]
- Mangione, K.K.; Craik, R.L.; Palombaro, K.M.; Tomlinson, S.S.; Hofmann, M.T. Home-based leg-strengthening exercise improves function 1 year after hip fracture: A randomized controlled study. J. Am. Geriatr. Soc. 2010, 58, 1911–1917. [Google Scholar] [CrossRef]
- Sylliaas, H.; Brovold, T.; Wyller, T.B.; Bergland, A. Progressive strength training in older patients after hip fracture: A randomised controlled trial. Age Ageing 2011, 40, 221–227. [Google Scholar] [CrossRef]
- Handoll, H.H.; Sherrington, C.; Mak, J.C. Interventions for improving mobility after hip fracture surgery in adults. Cochrane Database Syst. Rev. 2011, 16, CD001704. [Google Scholar] [CrossRef]
- Duncan, D.G.; Beck, S.J.; Hood, K.; Johansen, A. Using dietetic assistants to improve the outcome of hip fracture: A randomised controlled trial of nutritional support in an acute trauma ward. Age Ageing 2006, 35, 148–153. [Google Scholar] [CrossRef]
- Eneroth, M.; Olsson, U.-B.; Thorngren, K.-G. Nutritional supplementation decreases hip fracture-related complications. Clin. Orthop. Relat. Res. 2006, 451, 212–217. [Google Scholar] [CrossRef]
- Roberts, K.C.; Brox, W.T.; Jevsevar, D.S.; Sevarino, K. Management of hip fractures in the elderly. JAAOS J. Am. Acad. Orthop. Surg. 2015, 23, 131–137. [Google Scholar] [CrossRef]









Publisher’s Note: MDPI stays neutral with regard to jurisdictional claims in published maps and institutional affiliations. |
© 2022 by the authors. Licensee MDPI, Basel, Switzerland. This article is an open access article distributed under the terms and conditions of the Creative Commons Attribution (CC BY) license (https://creativecommons.org/licenses/by/4.0/).
Share and Cite
Maffulli, N.; Aicale, R. Proximal Femoral Fractures in the Elderly: A Few Things to Know, and Some to Forget. Medicina 2022, 58, 1314. https://doi.org/10.3390/medicina58101314
Maffulli N, Aicale R. Proximal Femoral Fractures in the Elderly: A Few Things to Know, and Some to Forget. Medicina. 2022; 58(10):1314. https://doi.org/10.3390/medicina58101314
Chicago/Turabian StyleMaffulli, Nicola, and Rocco Aicale. 2022. "Proximal Femoral Fractures in the Elderly: A Few Things to Know, and Some to Forget" Medicina 58, no. 10: 1314. https://doi.org/10.3390/medicina58101314
APA StyleMaffulli, N., & Aicale, R. (2022). Proximal Femoral Fractures in the Elderly: A Few Things to Know, and Some to Forget. Medicina, 58(10), 1314. https://doi.org/10.3390/medicina58101314

