Identification of Cardiac MRI and Bio-Marker Thresholds for One-Year Survival in Pre-Capillary Pulmonary Hypertension: Prospective Study
Abstract
1. Introduction
2. Materials and Methods
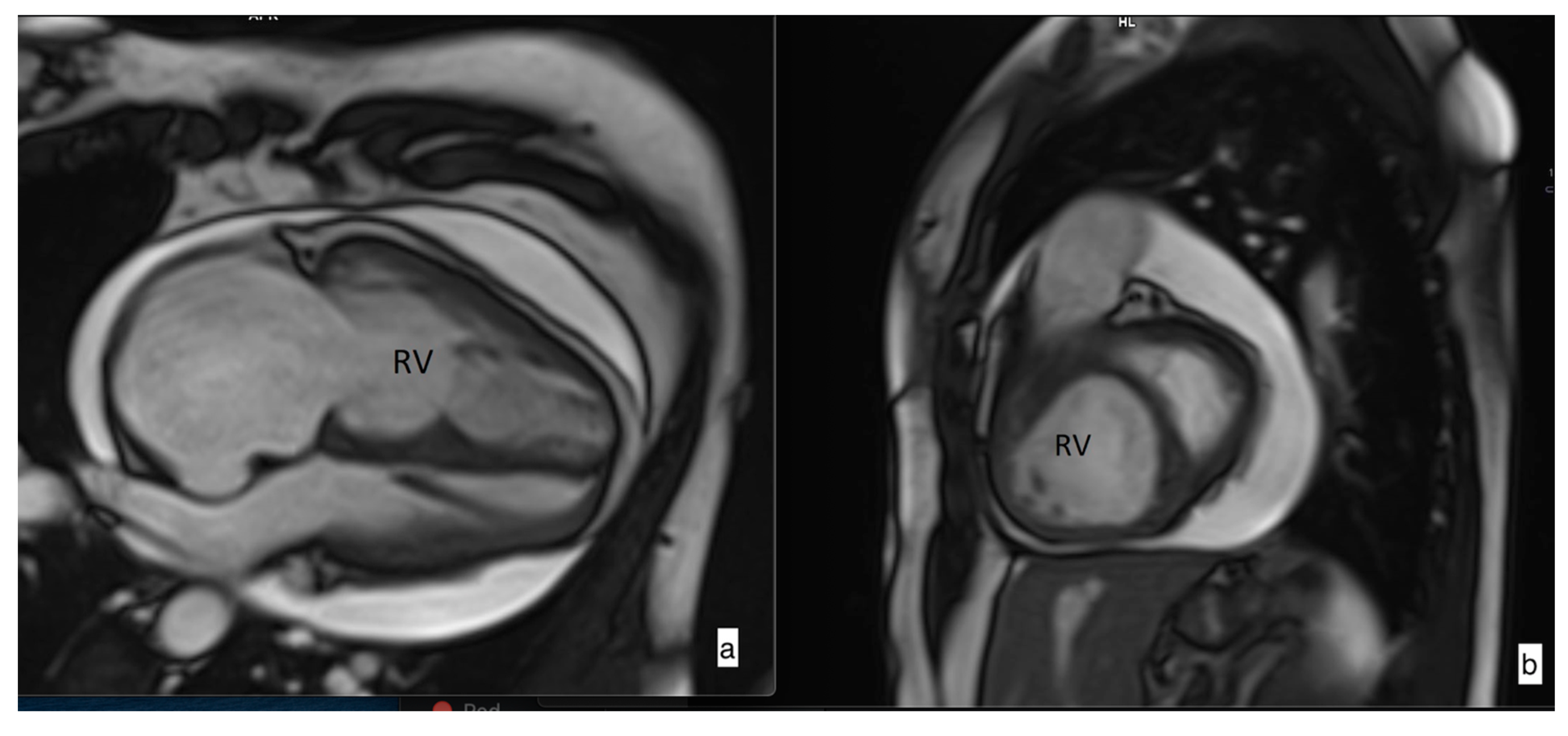
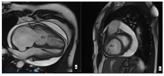
2.1. Cardiac MRI Measurements
Cardiac MRI Volumetric and Functional Measurements
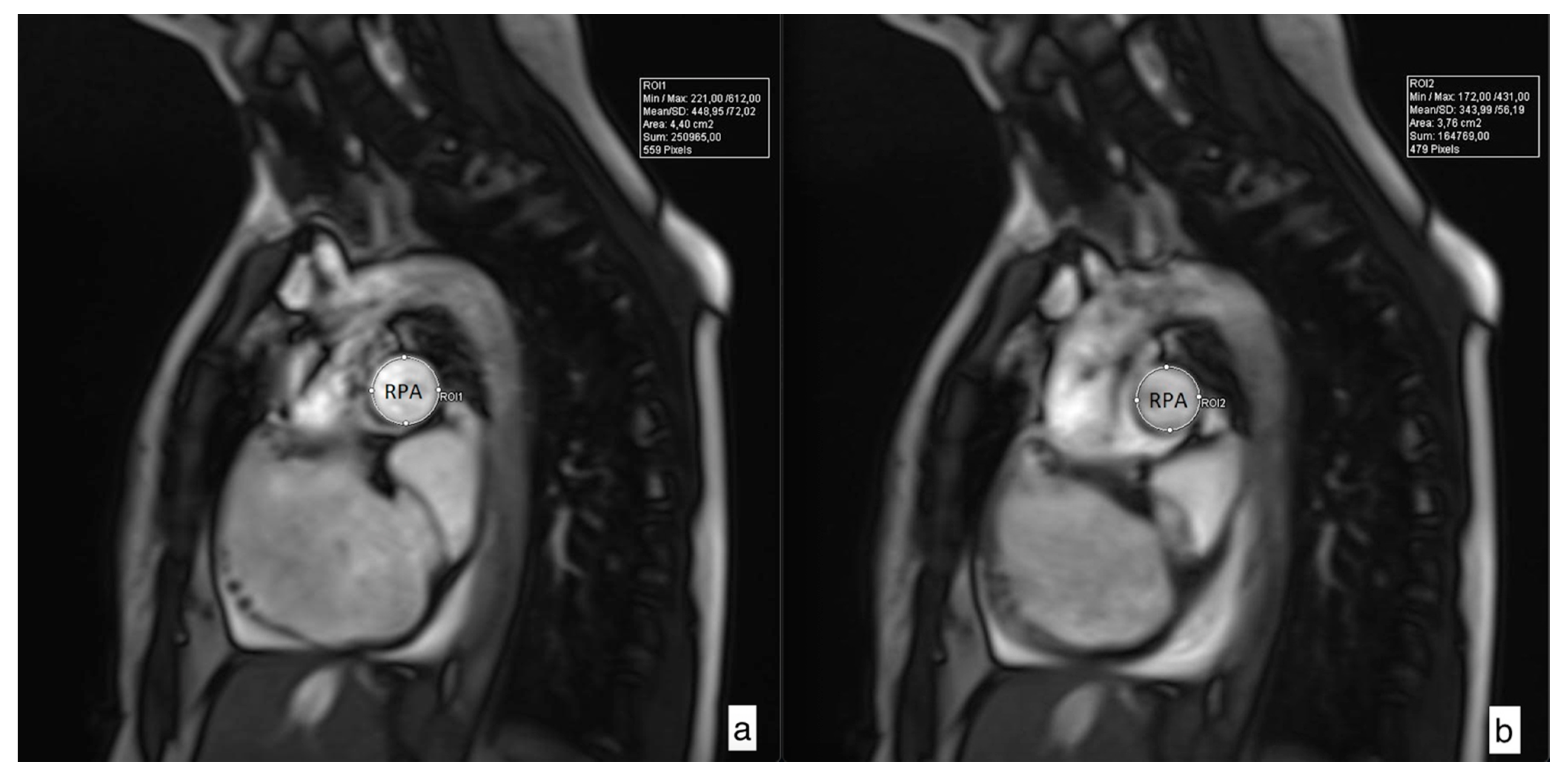
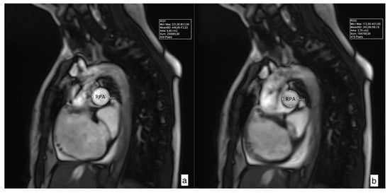
2.2. Pulmonary Artery Distensibility
2.3. Late Gadolinium Enhancement (LGE) Assessment
2.4. Feature Tracking Mechanical Analysis
2.5. Data Analysis
3. Results
Patient Characteristics
4. Discussion
5. Conclusions
Author Contributions
Funding
Acknowledgments
Conflicts of Interest
Abbreviations
References
- Van De Veerdonk, M.C.; Kind, T.; Marcus, J.T.; Mauritz, G.J.; Heymans, M.W.; Bogaard, H.J. Progressive right ventricular dysfunction in patients with pulmonary arterial hypertension responding to therapy. J. Am. Coll. Cardiol. 2011, 58, 2511–2519. [Google Scholar] [CrossRef] [PubMed]
- Hoeper, M.M.; Kramer, T.; Pan, Z.; Eichstaedt, C.A.; Spiesshoefer, J.; Benjamin, N. Mortality in pulmonary arterial hypertension: Prediction by the 2015 European pulmonary hypertension guidelines risk stratification model. Eur. Respir. J. 2017, 50, 1–10. [Google Scholar] [CrossRef] [PubMed]
- Stacher, E.; Graham, B.B.; Hunt, J.M.; Gandjeva, A.; Groshong, S.D.; McLaughlin, V.V.; Jessup, M.; Grizzle, W.E.; Aldred, M.A.; Cool, C.D.T.R. Modern age pathology of pulmonary arterial hypertension. Am. J. Respir. Crit. Care Med. 2012, 186, 261–272. [Google Scholar] [CrossRef] [PubMed]
- McLure, L.E.R.; Peacock, A.J. Cardiac magnetic resonance imaging for the assessment of the heart and pulmonary circulation in pulmonary hypertension. Eur. Respir. J. 2009, 33, 1454–1466. [Google Scholar] [CrossRef]
- Grünig, E.; Peacock, A.J. Imaging the heart in pulmonary hypertension: An update. Eur. Respir. Rev. 2015, 24, 653–664. [Google Scholar] [CrossRef]
- Yamada, Y.; Okuda, S.; Kataoka, M.; Tanimoto, A.; Tamura, Y.; Abe, T. Prognostic value of cardiac magnetic resonance imaging for idiopathic pulmonary arterial hypertension before initiating intravenous prostacyclin therapy. Circ. J. 2012, 76, 1737–1743. [Google Scholar] [CrossRef]
- Swift, A.J.; Telfer, A.; Rajaram, S.; Condliffe, R.; Marshall, H.; Capener, D. Dynamic contrast-enhanced magnetic resonance imaging in patients with pulmonary arterial hypertension. Pulm. Circ. 2014, 4, 61–70. [Google Scholar] [CrossRef]
- Mathai, S.C.; Kawut, S.M. Magnetic resonance imaging in pulmonary arterial hypertension. Am. J. Respir. Crit. Care Med. 2017, 196, 129–131. [Google Scholar] [CrossRef]
- Galiè, N.; Humbert, M.; Vachiery, J.-L.; Gibbs, S.; Lang, I.; Torbicki, A. 2015 ESC/ERS Guidelines for the diagnosis and treatment of pulmonary hypertension. Eur. Respir. J. 2015, 46, 903–975. [Google Scholar] [CrossRef]
- La Gerche, A.; Claessen, G.; Van De Bruaene, A.; Pattyn, N.; Van Cleemput, J.; Gewillig, M. Cardiac MRI: A new gold standard for ventricular volume quantification during high-intensity exercise. Circ. Cardiovasc. Imaging 2013, 6, 329–338. [Google Scholar] [CrossRef]
- Eduarda, M.; De Siqueira, M.; Pozo, E.; Fernandes, V.R.; Sengupta, P.P.; Modesto, K. Characterization and clinical significance of right ventricular mechanics in pulmonary hypertension evaluated with cardiovascular magnetic resonance feature tracking. J. Cardiovasc. Magn. Reson. 2016, 18, 39. [Google Scholar]
- Sanz, J.; Kariisa, M.; Dellegrottaglie, S.; Prat-González, S.; Garcia, M.J.; Fuster, V. Evaluation of Pulmonary Artery Stiffness in Pulmonary Hypertension With Cardiac Magnetic Resonance. JACC Cardiovasc. Imaging 2009, 2, 286–295. [Google Scholar] [CrossRef] [PubMed]
- Swift, A.J.; Capener, D.; Johns, C.; Hamilton, N.; Rothman, A.; Elliot, C. Magnetic resonance imaging in the prognostic evaluation of patients with pulmonary arterial hypertension. Am. J. Respir. Crit. Care Med. 2017, 196, 228–239. [Google Scholar] [CrossRef] [PubMed]
- Benza, R.L.; Miller, D.P.; Gomberg-Maitland, M.; Frantz, R.P.; Foreman, A.J.; Coffey, C.S. Predicting survival in pulmonary arterial hypertension: Insights from the registry to evaluate early and long-term pulmonary arterial hypertension disease management (REVEAL). Circulation 2010, 122, 164–172. [Google Scholar] [CrossRef] [PubMed]
- D’Alonzo, G.E.; Barst, R.J.; Ayres, S.M.; Bergofsky, E.H.; Brundage, B.H.; Detre, K.M. Survival in Patients with Primary Pulmonary Hypertension: Results from a National Prospective Registry. Ann. Intern. Med. 1991, 115, 343–349. [Google Scholar] [CrossRef]
- Gall, H.; Felix, J.F.; Schneck, F.K.; Milger, K.; Sommer, N.; Voswinckel, R. The Giessen Pulmonary Hypertension Registry: Survival in pulmonary hypertension subgroups. J. Hear Lung Transpl. 2017, 36, 957–967. [Google Scholar] [CrossRef]
- Humbert, M.; Sitbon, O.; Chaouat, A.; Bertocchi, M.; Habib, G.; Gressin, V. Pulmonary arterial hypertension in France: Results from a national registry. Am. J. Respir. Crit. Care Med. 2006, 173, 1023–1030. [Google Scholar] [CrossRef]
- Humbert, M.; Sitbon, O.; Chaouat, A.; Bertocchi, M.; Habib, G.; Gressin, V. Survival in patients with idiopathic, familial, and anorexigen-associated pulmonary arterial hypertension in the modern management era. Circulation 2010, 122, 156–163. [Google Scholar] [CrossRef]
- Wolferen, S.A.; Marcus, J.T.; Boonstra, A.; Marques, K.M.; Bronzwaer, J.G.; Spreeuwenberg, M.D. Prognostic value of right ventricular mass, volume, and function in idiopathic pulmonary arterial hypertension. Eur. Hear, J. 2007, 28. [Google Scholar] [CrossRef]
- Lewis, R.A.; Johns, C.S.; Cogliano, M.; Capener, D.; Tubman, E.; Elliot, C.A. Identification of Cardiac MRI Thresholds for Risk Stratification in Pulmonary Arterial Hypertension. Am. J. Respir. Crit. Care Med. 2020, 201, 458–468. [Google Scholar] [CrossRef]
- Swift, A.J.; Rajaram, S.; Campbell, M.J.; Hurdman, J.; Thomas, S.; Capener, D. Prognostic value of cardiovascular magnetic resonance imaging measurements corrected for age and sex in idiopathic pulmonary arterial hypertension. Circ. Cardiovasc. Imaging 2014, 7, 100–106. [Google Scholar] [CrossRef] [PubMed]
- Schiebler, M.L.; Bhalla, S.; Runo, J.; Jarjour, N.; Roldan, A.; Chesler, N. Magnetic resonance and computed tomography imaging of the structural and functional changes of pulmonary arterial hypertension. J. Thorac. Imaging 2013, 28, 178–195. [Google Scholar] [CrossRef] [PubMed]
- Paz, R.; Mohiaddin, R.H.; Longmore, D.B. Magnetic resonance assessment of the pulmonary arterial trunk anatomy, flow, pulsatility and distensibility. Eur. Heart J. 1993, 14, 1524–1530. [Google Scholar] [CrossRef] [PubMed]
- Gan, C.T.J.; Lankhaar, J.W.; Westerhof, N.; Marcus, J.T.; Becker, A.; Twisk, J.W.R. Noninvasively assessed pulmonary artery stiffness predicts mortality in pulmonary arterial hypertension. Chest 2007, 132, 1906–1912. [Google Scholar] [CrossRef]
- Padervinskienė, L.; Krivickienė, A.; Hoppenot, D.; Miliauskas, S.; Basevičius, A.; Nedzelskienė, I. Prognostic value of left ventricular function and mechanics in pulmonary hypertension: A pilot cardiovascular magnetic resonance feature tracking study. Medicina 2019, 55, 73. [Google Scholar] [CrossRef]
- Kallianos, K.; Brooks, G.C.; Mukai, K.; Seguro de Carvalho, F.; Liu, J.; Naeger, D.M. Cardiac Magnetic Resonance Evaluation of Left Ventricular Myocardial Strain in Pulmonary Hypertension. Acad. Radiol. 2018, 25, 129–135. [Google Scholar] [CrossRef]



| Characteristics | All Patients (N = 49) | Survival (N = 39) | Non-Survival (N = 10) | p-Value |
|---|---|---|---|---|
| Age (years) | 58.5 (46.38–70.04) | 58.53 (47.67–70.64) | 55.15 (45.18–68.1) | 0.884 |
| Women/men | 30 (61.2%)/19 (38.8) | 25 (83.3%)/14 (73.7%) | 5 (16.7%)/5 (26.3%) | 0.419 |
| IPAH (n (%)) | 17 (34.7%) | 14 (35.9%) | 3 (33.0%) | 0.363 |
| CTD-PAH (n (%)) | 8 (16.3%) | 4 (10.3%) | 4 (44.0%) | 0.012 |
| Eisenmenger syndrome (n (%)) | 6 (12.8%) | 5 (12.8%) | 1 (10.0%) | 0.404 |
| CTEPH (n (%)) | 14 (28.6%) | 13 (33.3%) | 1 (10.0%) | 0.073 |
| PAH other cause (n (%)) | 4 (8.2%) | 3 (7.7%) | 1 (10.0%) | 0.406 |
| NYHA class 2/3/4 (n (%)) | 11 (22.44)/28 (57.12)/10 (20.4) | 9 (23.04)/25 (64.0)/5 (12.8) | 2 (20.0)/3 (30.0)/5 (50.0) | 0.708 * |
| mPAP (mmHg) | 61.22 ± 18.5 | 61.49 ± 19.1 | 58.75 ± 13.79 | 0.783 |
| 6MWT (m) | 285.0 (217.5–408.0) | 280.0 (240.0–405.0) | 225(170.0–419.0) | 0.69 |
| NT-pro BNP (ng/L) | 1738.0 (469.0–4100.0) | 1472 (398.75–3322.0) | 3683.0 (1902.5–6957.0) | 0.016 |
| Parameters | All PH Patients (N = 49) | Survival (N = 39) | Non-Survival (N = 10) | p-Value |
|---|---|---|---|---|
| RV EDVI (mL/m2) | 85.0 (69.0–104.5) | 84.0 (68.0–101.0) | 87.0 (78.0–125.75) | 0.312 |
| RV ESVI (mL/m2) | 53.0 (43.5–70.0) | 50.0 (41.0–65.0) | 67.0 (47.25–82.5) | 0.073 |
| RV mass (g/m2) | 53.0 (41.5–59.0) | 53.0 (40.5–57.5) | 54.0 (43.0–77.75) | 0.116 |
| RV EF (%) | 37.0 (30.0–45.0) | 38.0 (31.0–46.0) | 30.5 (21.5–40.75) | 0.039 |
| RV GLS (%) | −13.8 (−16.6–(−10.5)) | −14.15 (−16.68–(−11.53)) | −10.5 (−18.0–(−8.3)) | 0.134 |
| LV EDVI (mL/m2) | 64.0 (54.0–80.5) | 64.0 (55.0–81.0) | 64.0 (46.5–79.0) | 0.604 |
| LV ESVI (mL/m2) | 32.0 (20.5–38.5) | 32.0 (20.0–38.0) | 32.0 (22.0–41.75) | 0.213 |
| LV EF (%) | 54.0 (46.0–63.0) | 55.0 (46.0–63.0) | 49.0 (42.25–53.75) | 0.140 |
| LV GLS (%) | −16.43 (−19.5–(−12.63)) | −17.61 (−19.78–(−15.11)) | −12.17 (−18.57–(−6.85)) | 0.021 |
| LV GCS (%) | −31.1 (−34.7–(−25.97)) | −31.6 (−35.82–(−26.39)) | −29.9 (−32.28–(−21.88)) | 0.224 |
| RA (cm2) | 30.0 (24.25–35.5) | 29.0 (24.0–34.0) | 33.0 (26.0–39.5) | 0.355 |
| LA (cm2) | 21.0 (17.0–27.5) | 22.0 (17.0–28.0) | 18.0 (15.75–22.0) | 0.2 |
| Parameters | All Patients (N = 49) | Survival (N = 39) | Non-Survival (N = 10) | p-Value |
|---|---|---|---|---|
| MPA RAC (%) | 12.88 (8.3–20.63) | 13.25 (8.53–19.8) | 9.26 (5.36–22.26) | 0.254 |
| RPA RAC (%) | 15.81 (11.15–23.3) | 19.36 (11.48–23.79) | 11.89 (0.0–15.77) | 0.046 |
| LPA RAC (%) | 12.32 (7.55–15.93) | 12.86 (8.57–17.34) | 9.45 (0.0–15.67) | 0.277 |
| Parameter (Its Threshold Value) | Area Under the Curve (%) | Sensitivity/Specificity (%) | 1-Year Survival/ Non-Survival n (%) | p-Value | Non-Survival Group OR (95% PI) |
|---|---|---|---|---|---|
| RV EF <25.5% | 69.1 | 50.0/89.7 | 4 (10.3)/5 (50.0) | 0.011 | 8.75 (1.741–43.973) |
| NT-proBNP >1738 (ng/L) | 76.1 | 88.9/60.5 | 15 (39.5)/8 (88.9) | 0.008 | 12.267 (1.389–108.325) |
| RPA RAC <19.075% | 77.8 | 100.0/52.8 | 17 (47.2)/5 (100.0) | 0.027 | - |
| LV GLS >−14.183% | 75.6 | 77.8/86.7 | 4 (13.3)/7 (77.8) | 0.001 | 22.75 (3.432–150.811) |
| Regressors | OR (95% CI); p-Value |
|---|---|
| Model No. 1 (correct prediction 83.7%, Nagelkerke determination coefficient 0.552) | |
| LV GLS >−14.183 | 32.184 (3.145–329.341); 0.003 |
| CTD-PAH | 12.499 (1.0–165.877); 0.05 |
| Model constant | −3.37, p < 0.001 |
| Model No. 2 (correct prediction 83.7%, Nagelkerke determination coefficient 0.325) | |
| RV EF <25.5 | 10.12 (1.731–59.15); 0.01 |
| CTD-PAH | 7.033 (1.098–45.048); 0.04 |
| Model constant | −2.442, p < 0.001 |
© 2020 by the authors. Licensee MDPI, Basel, Switzerland. This article is an open access article distributed under the terms and conditions of the Creative Commons Attribution (CC BY) license (http://creativecommons.org/licenses/by/4.0/).
Share and Cite
Padervinskiene, L.; Hoppenot, D.; Krivickiene, A.; Gumauskiene, B.; Nedzelskiene, I.; Simkus, P.; Miliauskas, S.; Jankauskas, A.; Basevicius, A.; Ereminiene, E. Identification of Cardiac MRI and Bio-Marker Thresholds for One-Year Survival in Pre-Capillary Pulmonary Hypertension: Prospective Study. Medicina 2020, 56, 167. https://doi.org/10.3390/medicina56040167
Padervinskiene L, Hoppenot D, Krivickiene A, Gumauskiene B, Nedzelskiene I, Simkus P, Miliauskas S, Jankauskas A, Basevicius A, Ereminiene E. Identification of Cardiac MRI and Bio-Marker Thresholds for One-Year Survival in Pre-Capillary Pulmonary Hypertension: Prospective Study. Medicina. 2020; 56(4):167. https://doi.org/10.3390/medicina56040167
Chicago/Turabian StylePadervinskiene, Lina, Deimante Hoppenot, Ausra Krivickiene, Birute Gumauskiene, Irena Nedzelskiene, Paulius Simkus, Skaidrius Miliauskas, Antanas Jankauskas, Algidas Basevicius, and Egle Ereminiene. 2020. "Identification of Cardiac MRI and Bio-Marker Thresholds for One-Year Survival in Pre-Capillary Pulmonary Hypertension: Prospective Study" Medicina 56, no. 4: 167. https://doi.org/10.3390/medicina56040167
APA StylePadervinskiene, L., Hoppenot, D., Krivickiene, A., Gumauskiene, B., Nedzelskiene, I., Simkus, P., Miliauskas, S., Jankauskas, A., Basevicius, A., & Ereminiene, E. (2020). Identification of Cardiac MRI and Bio-Marker Thresholds for One-Year Survival in Pre-Capillary Pulmonary Hypertension: Prospective Study. Medicina, 56(4), 167. https://doi.org/10.3390/medicina56040167

