Rare Breast Carcinoma with Paradoxical Plasma Cell Immunoprofile: A Case Report
Abstract
1. Introduction
2. Materials and Methods
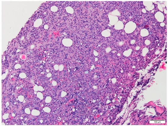
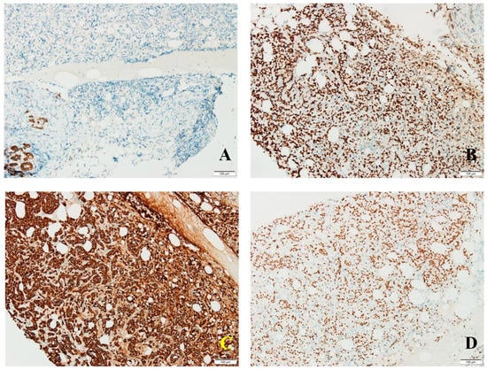
3. Results
4. Discussion
5. Conclusions
Funding
Conflicts of Interest
References
- Antoniac, I.; Laptoiu, D.; Tecu, C.; Milea, C.; Gradinaru, S. Synthetic Materials for Osteochondral Tissue Engineering. In Osteochondral Tissue Engineering; Springer: Cham, Switzerland, 2018; Volume 1058, pp. 31–52. [Google Scholar]
- Fometescu, S.; Gradinaru, M.; Costache, A.; Coveney, S.; Oprescu, M.; Serban, D.; Savlovschi, C. Peritoneal fibrinolytic activity and adhesiogenesis. Chirurgia 2013, 108, 331–340. [Google Scholar] [PubMed]
- Dumitrescu, D.; Savlovschi, C.; Borcan, R.; Pantu, H.; Serban, D.; Gradinaru, S.; Smarandache, G.; Trotea, T.; Branescu, C.; Musat, L.; et al. Clinical case-voluminous diaphragmatic hernia-surgically acute abdomen: Diagnostic and therapeutical challenges. Chirurgia 2011, 106, 657–660. [Google Scholar] [PubMed]
- Antoniac, I.; Negrusoiu, M.; Mardare, M.; Socoliuc, C.; Zazgyva, A.; Niculescu, M. Adverse local tissue reaction after 2 revision hip replacements for 5ceramic liner fracture A case report. Medicine 2017, 96, e6687. [Google Scholar] [CrossRef] [PubMed]
- Mavrodin, C.I.; Pariza, G.; Ion, D.; Antoniac, V.I. Abdominal Compartment Syndrome—A Major Complication of Large Incisional Hernia Surgery. Chirurgia 2013, 108, 414–417. [Google Scholar] [PubMed]
- Marinescu, R.; Antoniac, V.I.; Stoia, D.I.; Lăptoiu, D.C. Clavicle anatomical osteosynthesis plate breakage-failure analysis report based on patient morphological parameters. Rom. J. Morphol. Embryol. 2017, 58, 593–598. [Google Scholar] [PubMed]
- Antoniac, I.V.; Burcea, M.; Ionescu, R.D.; Balta, F.; Davila, C.; Lupu, S.D. IOL’s Opacification: A Complex Analysis Based on the Clinical Aspects, Biomaterials Used and Surface Characterization of Explanted IOL’s. Mater. Plast. 2015, 52, 109–112. [Google Scholar]
- Cirstoiu, M.; Cirstoiu, C.; Antoniac, I.; Munteanu, O. Levonorgestrel-releasing Intrauterine Systems: Device Design, Biomaterials, Mechanism of Action and Surgical Technique. Mater. Plast. 2015, 52, 258–262. [Google Scholar]
- Bita, A.I.; Stan, G.E.; Niculescu, M.; Ciuca, I.; Vasile, E.; Antoniac, I.V. Adhesion evaluation of different bioceramic coatings on Mg-Ca alloys for biomedical applications. J. Adhes. Sci. Technol. 2016, 30, 1968–1983. [Google Scholar] [CrossRef]
- Dabbs, D. Diagnostic Immunohistochemistry: Theranostic and Genomic Applications, 3rd ed.; Saunders Elsevier: Philadelphia, PA, USA, 2010; Volume 96, p. 159. [Google Scholar]
- Chu, P.G.; Arber, D.A.; Weiss, L.M. Expression of T/NK-cell and plasma cell antigens in nonhematopoietic epithelioid neoplasms. An immunohistochemical study of 447 cases. Am. J. Clin. Pathol. 2003, 120, 64–70. [Google Scholar] [CrossRef] [PubMed]
- Ishikawa, M.K.; Pinsky, R.W.; Smith, L.B.; Jorns, J.M. Morphologic Mimics of Invasive Lobular Carcinoma. Arch. Pathol. Lab. Med. 2015, 139, 1253–1257. [Google Scholar] [CrossRef] [PubMed]
- Kotchetkov, R.; Ellison, E. Metastatic lobular breast carcinoma mimicking multiple myeloma. Blood 2014, 124, 2313. [Google Scholar] [CrossRef][Green Version]
- Lakhani, S.R.; Ellis, I.O.; Schnitt, S.J.; Tan, P.H.; van de Vijver, M.J. WHO Classification of Breast Tumors, 4th ed.; IARC: Lyon, France, 2012; pp. 40–42.
- Hoda, S.A.; Brogi, E.; Koerner, F.C.; Rosen, P.P. Rosen’s Breast Pathology, 4th ed.; Wolters Kluwer, Lippincott Wiliams & Wilkins: Philadelphia, PA, USA, 2014; pp. 855–892. [Google Scholar]
- O’Connell, F.P.; Pinkus, J.L.; Pinkus, G.S. CD138 (syndecan-1), a plasma cell marker immunohistochemical profile in hematopoietic and nonhematopoietic neoplasms. Am. J. Clin. Pathol. 2004, 121, 254–263. [Google Scholar] [CrossRef] [PubMed]
- Saqi, A.; Yun, S.S.; Yu, G.H.; Alexis, D.; Taub, R.N.; Powell, C.A.; Borczuk, A.C. Utility of CD138 (syndecan-1) in distinguishing carcinomas from mesotheliomas. Diagn. Cytopathol. 2005, 33, 65–70. [Google Scholar] [CrossRef] [PubMed]



| Antibodies Employed | Kit, Producer | Clone |
|---|---|---|
| CD79a | CONFIRM anti-CD79a Rabbit Monoclonal Primary Antibody, Ventana | SP18 |
| CD138 | CD138/syndecan-1 Mouse Monoclonal Antibody, Cell Marque | B-A38 |
| MUM1 | Rabbit Monoclonal Antibody, Cell Marque | MRQ-43 |
| E-CD | E-Cadherin, Cell Marque | EP700Y |
| GCDFP-15 | GCDFP-15, Cell Marque | EP1582Y |
| GATA3 | Mouse Monoclonal Primary Antibody, Cell Marque | L50-823 |
| K (Kappa) | CONFIRM anti-Kappa Rabbit Polyclonal Primary Antibody, Ventana | polyclonal |
| λ (LAMBDA) | CONFIRM anti-Lambda Rabbit Polyclonal Primary Antibody, Ventana | polyclonal |
| CK8/18 | Cytokeratin 8 and18, Cell Marque | B22.1 & B23.1 |
| Ki67 | CONFIRM™ anti-Ki-67 Rabbit Monoclonal Primary Antibody, Ventana | 30-9 |
| ER | CONFIRM™ anti-Estrogen Receptor Rabbit Monoclonal Primary Antibody, Ventana | SP1 |
| PR | CONFIRM™ anti-Progesterone Receptor Rabbit Monoclonal Primary Antibody, Ventana | 1E2 |
| Her2 | CONFIRM anti-HER-2/neu Primary Antibody, Ventana | 4B5 |
| AR | anti-Androgen Receptor Rabbit Monoclonal Primary Antibody, Cell Marque | SP107 |
| CD3 | CONFIRM anti-CD3 Rabbit Monoclonal Primary Antibody, Ventana | 2GV6 |
| CD20 | CONFIRM anti-CD20 Monoclonal Primary Antibody, Ventana | L26 |
| CD4 | CONFIRM anti-CD4 Rabbit Monoclonal Primary Antibody, Ventana | SP35 |
| CD8 | CONFIRM anti-CD8 Rabbit Monoclonal Primary Antibody, Ventana | SP57 |
| CD56 | CD56 Rabbit Monoclonal Antibody, Ventana | MRQ-42 |
© 2020 by the authors. Licensee MDPI, Basel, Switzerland. This article is an open access article distributed under the terms and conditions of the Creative Commons Attribution (CC BY) license (http://creativecommons.org/licenses/by/4.0/).
Share and Cite
Grădinaru, E.S.; Stoicea, M.-C.; Mocanu, L.; Antoniac, I.; Gheorghiță, D.; Grigore, A.G.M. Rare Breast Carcinoma with Paradoxical Plasma Cell Immunoprofile: A Case Report. Medicina 2020, 56, 62. https://doi.org/10.3390/medicina56020062
Grădinaru ES, Stoicea M-C, Mocanu L, Antoniac I, Gheorghiță D, Grigore AGM. Rare Breast Carcinoma with Paradoxical Plasma Cell Immunoprofile: A Case Report. Medicina. 2020; 56(2):62. https://doi.org/10.3390/medicina56020062
Chicago/Turabian StyleGrădinaru, Eugen Sebastian, Mihai-Ciprian Stoicea, Liliana Mocanu, Iulian Antoniac, Daniela Gheorghiță, and Alina Gabriela Mihaela Grigore. 2020. "Rare Breast Carcinoma with Paradoxical Plasma Cell Immunoprofile: A Case Report" Medicina 56, no. 2: 62. https://doi.org/10.3390/medicina56020062
APA StyleGrădinaru, E. S., Stoicea, M.-C., Mocanu, L., Antoniac, I., Gheorghiță, D., & Grigore, A. G. M. (2020). Rare Breast Carcinoma with Paradoxical Plasma Cell Immunoprofile: A Case Report. Medicina, 56(2), 62. https://doi.org/10.3390/medicina56020062

