Slow-Freezing Cryopreservation Ensures High Ovarian Tissue Quality Followed by In Vivo and In Vitro Methods and Is Safe for Fertility Preservation
Abstract
1. Introduction
2. Material and Methods
2.1. Patients
2.2. Ovarian Tissue Collection and Cryopreservation
2.3. Ovarian Tissue Thawing and Xenotransplantation
2.4. Histological and Immunohistological Analysis
2.5. RNA Isolation, Quantification, and Qualification
2.6. MiRNA RT-qPCR Analysis
2.7. Prediction and Analysis of Target Genes of Highly Expressed miRNAs
3. Results
3.1. Characteristics of Patients
3.2. In Vivo Study
3.2.1. Graft Recovery Rate and Macroscopic Evaluation
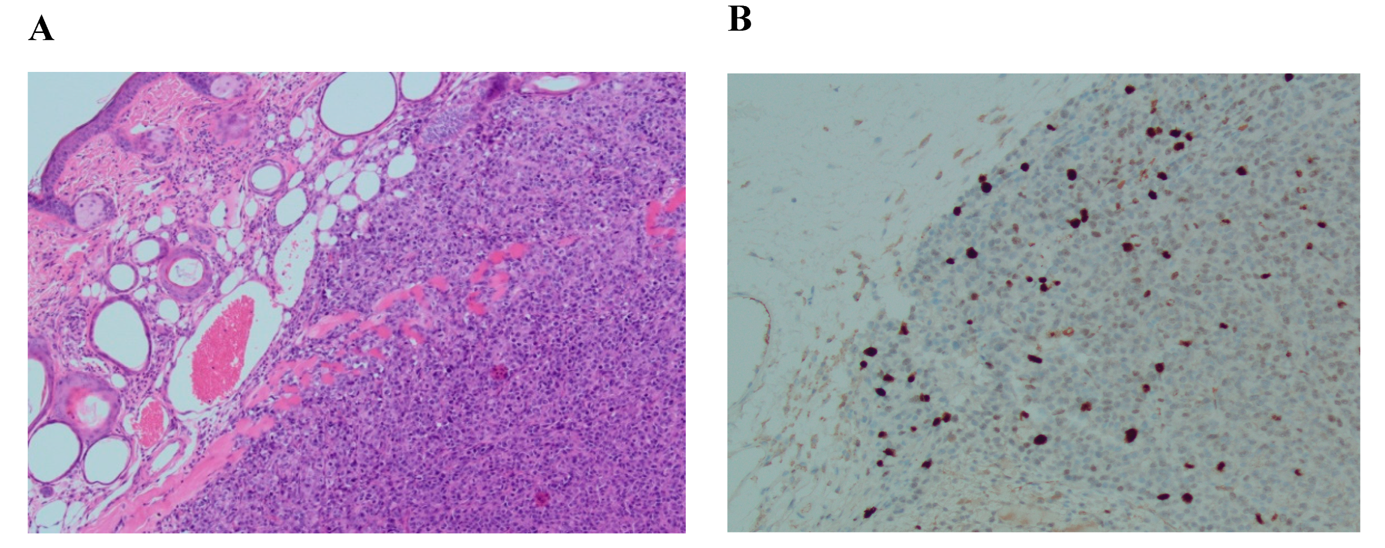
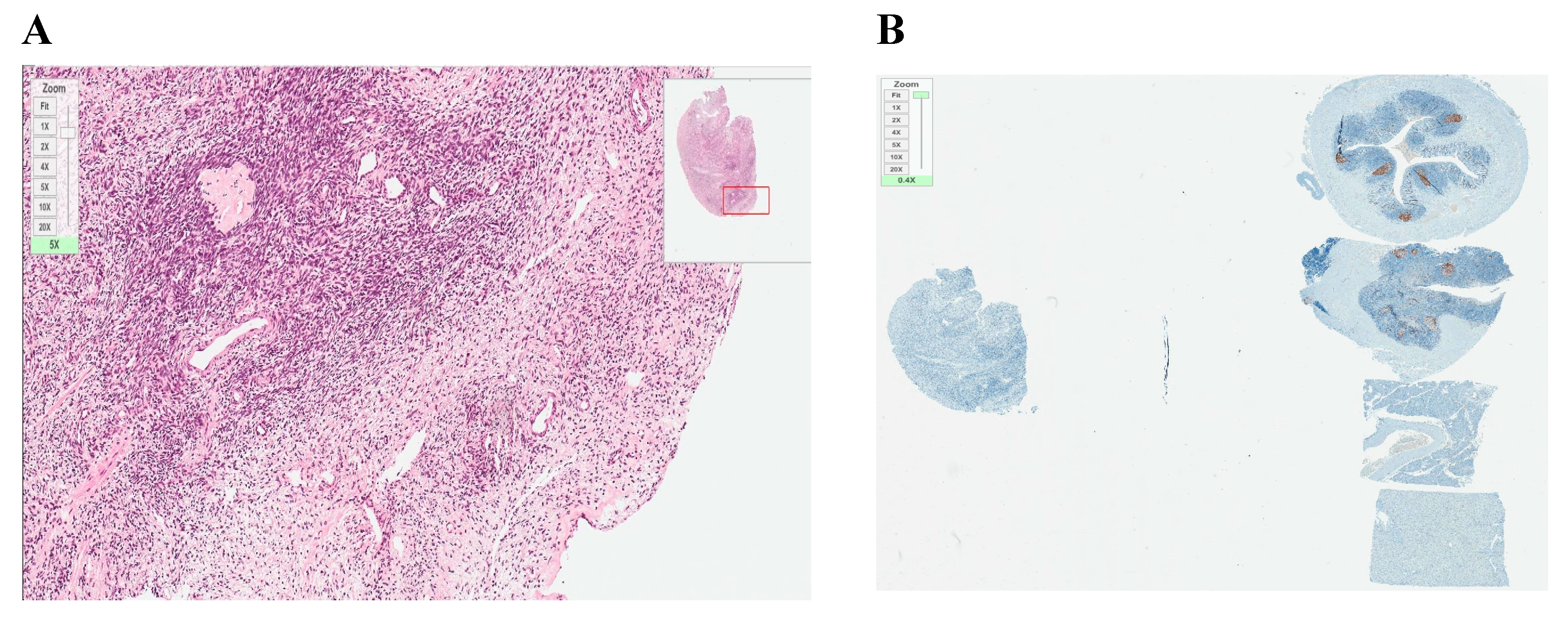
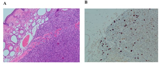
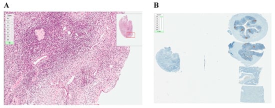
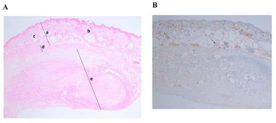
3.2.2. Histological and Immunohistochemical Analysis of Xenografted Tissue
3.3. In Vitro Study
3.3.1. Histology and Immunohistochemical Analysis of Frozen–Thawed Ovarian Tissue
3.3.2. Total RNA Extraction, Quantity and Quality Assessment of Frozen–Thawed Ovarian Tissue
3.3.3. Molecular Analysis of Frozen–Thawed Ovarian Tissue
3.3.4. Target Prediction and Functional Annotation Analysis
4. Discussion
5. Conclusions
Author Contributions
Funding
Acknowledgments
Conflicts of Interest
References
- Cvancarova, M.; Samuelsen, S.O.; Magelssen, H.; Fosså, S.D. Reproduction rates after cancer treatment: Experience from the Norwegian radium hospital. J. Clin. Oncol. 2009, 27, 334–343. [Google Scholar] [CrossRef]
- Burns, K.C.; Hoefgen, H.; Strine, A.; Dasgupta, R. Fertility preservation options in pediatric and adolescent patients with cancer. Cancer 2018, 124, 1867–1876. [Google Scholar] [CrossRef]
- Oktay, K.; Harvey, B.E.; Loren, A.W. Fertility Preservation in Patients WITH Cancer: ASCO Clinical Practice Guideline Update Summary. J. Oncol. Pract. 2018, 14, 381–385. [Google Scholar] [CrossRef] [PubMed]
- Kim, H.; Kim, H.; Ku, S.Y. Fertility preservation in pediatric and young adult female cancer patients. Ann. Pediatr. Endocrinol. Metab. 2018, 23, 70–74. [Google Scholar] [CrossRef] [PubMed]
- Shirasawa, H.; Terada, Y. In vitro maturation of human immature oocytes for fertility preservation and research material. Reprod. Med. Biol. 2017, 16, 258–267. [Google Scholar] [CrossRef] [PubMed]
- Practice Committee of American Society for Reproductive Medicine. Ovarian tissue cryopreservation: A committee opinion. Fertil. Steril. 2014, 101, 1237–1243. [Google Scholar] [CrossRef]
- Son, W.Y.; Henderson, S.; Cohen, Y.; Dahan, M.; Buckett, W. Immature Oocyte for Fertility Preservation. Front. Endocrinol. (Lausanne) 2019, 10, 464. [Google Scholar] [CrossRef]
- Pors, S.E.; Ramløse, M.; Nikiforov, D.; Lundsgaard, K.; Cheng, J.; Andersen, C.Y.; Kristensen, S.G. Initial steps in reconstruction of the human ovary: Survival of pre-antral stage follicles in a decellularized human ovarian scaffold. Hum. Reprod. 2019, 34, 1523–1535. [Google Scholar] [CrossRef]
- Donnez, J.; Dolmans, M.M.; Demylle, D.; Jadoul, P.; Pirard, C.; Squifflet, J.; Martinez-Madrid, B.; van Langendonckt, A. Livebirth after orthotopic transplantation of cryopreserved ovarian tissue. Lancet (London) 2004, 364, 1405–1410. [Google Scholar] [CrossRef]
- Gellert, S.E.; Pors, S.E.; Kristensen, S.G.; Bay-Bjørn, A.M.; Ernst, E.; Yding Andersen, C. Transplantation of frozen-thawed ovarian tissue: An update on worldwide activity published in peer-reviewed papers and on the Danish cohort. J. Assist. Reprod. Genet. 2018, 35, 561–570. [Google Scholar] [CrossRef]
- Amorim, C.A.; Curaba, M.; van Langendonckt, A.; Dolmans, M.M.; Donnez, J. Vitrification as an alternative means of cryopreserving ovarian tissue. Reprod. Biomed. Online 2011, 23, 160–186. [Google Scholar] [CrossRef] [PubMed]
- Herraiz, S.; Novella-Maestre, E.; Rodríguez, B.; Díaz, C.; Sánchez-Serrano, M.; Mirabet, V.; Pellicer, A. Improving ovarian tissue cryopreservation for oncologic patients: Slow freezing versus vitrification, effect of different procedures and devices. Fertil. Steril. 2014, 101, 775–784. [Google Scholar] [CrossRef] [PubMed]
- Kawahara, T.; Sugishita, Y.; Taylan, E.; Suzuki, N.; Moy, F.; Oktay, K.H. Vitrification versus slow freezing of human ovarian tissue: A comparison of follicle survival and DNA damage. Fertil. Steril. 2017, 108, e56–e57. [Google Scholar] [CrossRef]
- Lee, S.; Ryu, K.J.; Kim, B.; Kang, D.; Kim, Y.Y.; Kim, T. Comparison between Slow Freezing and Vitrification for Human Ovarian Tissue Cryopreservation and Xenotransplantation. Int. J. Mol. Sci. 2019, 20, 3346. [Google Scholar] [CrossRef]
- Shi, Q.; Xie, Y.; Wang, Y.; Li, S. Vitrification versus slow freezing for human ovarian tissue cryopreservation: A systematic review and meta-anlaysis. Sci. Rep. 2017, 7, 8538. [Google Scholar] [CrossRef]
- Isachenko, V.; Lapidus, I.; Isachenko, E.; Krivokharchenko, A.; Kreienberg, R.; Woriedh, M.; Bader, M.; Weiss, J.M. Human ovarian tissue vitrification versus conventional freezing: Morphological, endocrinological, and molecular biological evaluation. Reproduction 2009, 138, 319–327. [Google Scholar] [CrossRef]
- Merdassi, G.; Mazoyer, C.; Guerin, J.F.; Saad, A.; Salle, B.; Lornage, J. Examination of viability and quality of ovarian tissue after cryopreservation using simple laboratory methods in ewe. Reprod. Biol. Endocrinol. 2011, 9, 78. [Google Scholar] [CrossRef]
- Rodríguez-Iglesias, B.; Novella-Maestre, E.; Herraiz, S.; Díaz-García, C.; Pellicer, N.; Pellicer, A. New methods to improve the safety assessment of cryopreserved ovarian tissue for fertility preservation in breast cancer patients. Fertil. Steril. 2015, 104, 1493–1502. [Google Scholar] [CrossRef][Green Version]
- Islam, N.; Ugwoke, S.P.; Alhamdan, R.; Medrano, J.H.; Campbell, B.K.; Marsters, P.; Maalouf, W.E. Steroids and miRNAs in assessment of ovarian tissue damage following cryopreservation. J. Mol. Endocrinol. 2020, 62, 207–2016. [Google Scholar] [CrossRef]
- Prahm, K.P.; Høgdall, C.; Karlsen, M.A.; Christensen, I.J.; Novotny, G.W.; Høgdall, E. Identification and validation of potential prognostic and predictive miRNAs of epithelial ovarian cancer. PLoS ONE 2018, 13, e0207319. [Google Scholar] [CrossRef]
- Tesfaye, D.; Gebremedhn, S.; Salilew-Wondim, D.; Hailay, T.; Hoelker, M.; Grosse-Brinkhaus, C.; Schellander, K. MicroRNAs: Tiny molecules with a significant role in mammalian follicular and oocyte development. Reproduction 2018, 155, R121–R135. [Google Scholar] [CrossRef] [PubMed]
- Tscherner, A.; Gilchrist, G.; Smith, N.; Blondin, P.; Gillis, D.; LaMarre, J. MicroRNA-34 family expression in bovine gametes and preimplantation embryos. Reprod. Biol. Endocrinol. 2014, 12, 85. [Google Scholar] [CrossRef] [PubMed]
- Chen, Y.; Wang, X. miRDB: An online database for prediction of functional microRNA targets. Nucleic Acids Res. 2020, 48, D127–D131. [Google Scholar] [CrossRef]
- Szklarczyk, D.; Gable, A.L.; Lyon, D.; Junge, A.; Wyder, S.; Huerta-Cepas, J.; Simonovic, M.; Doncheva, N.T.; Morris, J.H.; Bork, P.; et al. STRING v11: Protein-protein association networks with increased coverage, supporting functional discovery in genome-wide experimental datasets. Nucleic Acids Res. 2019, 47, D607–D613. [Google Scholar] [CrossRef] [PubMed]
- Shannon, P.; Markiel, A.; Ozier, O.; Baliga, N.S.; Wang, J.T.; Ramage, D.; Amin, N.; Schwikowski, B.; Ideker, T. Cytoscape: A software environment for integrated models of biomolecular interaction networks. Genome Res. 2003, 13, 2498–2504. [Google Scholar] [CrossRef]
- Huang, D.W.; Sherman, B.T.; Lempicki, R.A. Systematic and integrative analysis of large gene lists using DAVID bioinformatics resources. Nat. Protoc. 2009, 4, 44–57. [Google Scholar] [CrossRef]
- Li, L.T.; Jiang, G.; Chen, Q.; Zheng, J.N. Ki67 is a promising molecular target in the diagnosis of cancer (review). Mol. Med. Rep. 2015, 11, 1566–1572. [Google Scholar] [CrossRef]
- Oktay, K.; Economos, K.; Kan, M.; Rucinski, J.; Veeck, L.; Rosenwaks, Z. Endocrine function and oocyte retrieval after autologous transplantation for ovarian cortical strips to the forearm. JAMA 2001, 286, 1490–1493. [Google Scholar] [CrossRef]
- Orlans, F.B. Regulation of animal experimentation: United States of America. Acta Physiol. Scand. Suppl. 1986, 554, 138–152. [Google Scholar]
- Rahimi, G.; Isachenko, V.; Kreienberg, R.; Sauer, H.; Todorov, P.; Tawadros, S.; Mallmann, P.; Nawroth, F.; Isachenko, E. Re-vascularisation in human ovarian tissue after conventional freezing or vitrification and xenotransplantation. Eur. J. Obstet. Gynecol. Reprod. Biol. 2010, 149, 63–67. [Google Scholar] [CrossRef]
- Weissman, A.; Gotlieb, L.; Colgan, T.; Jurisicova, A.; Greenblatt, E.M.; Casper, R.F. Preliminary experience with subcutaneous human ovarian cortex transplantation in the NOD-SCID mouse. Biol. Reprod. 1999, 60, 1462–1467. [Google Scholar] [CrossRef] [PubMed]
- Kristensen, S.G.; Liu, Q.; Mamsen, L.S.; Greve, T.; Pors, S.E.; Bjørn, A.B.; Ernst, E.; Macklon, K.T.; Andersen, C.Y. A simple method to quantify follicle survival in cryopreserved human ovarian tissue. Hum. Reprod. 2018, 33, 2276–2284. [Google Scholar] [CrossRef]
- Meirow, D.; Ben Yehuda, D.; Prus, D.; Poliack, A.; Schenker, J.G.; Rachmilewitz, E.A.; Lewin, A. Ovarian tissue banking in patients with Hodgkin’s disease: Is it safe? Fertil. Steril. 1998, 69, 996–998. [Google Scholar] [CrossRef] [PubMed]
- Rosendahl, M.; Timmermans Wielenga, V.; Nedergaard, L.; Kristensen, S.G.; Ernst, E.; Rasmussen, P.E.; Anderson, M.; Schmidt, K.T.; Andersen, C.Y. Cryopreservation of ovarian tissue for fertility preservation: No evidence of malignant cell contamination in ovarian tissue from patients with breast cancer. Fertil. Steril. 2011, 95, 2158–2161. [Google Scholar] [CrossRef] [PubMed]
- Van Langendonckt, A.; Romeu, L.; Ambroise, J.; Amorim, C.; Bearzatto, B.; Gala, J.L.; Donnez, J.; Dolmans, M.M. Gene expression in human ovarian tissue after xenografting. Mol. Hum. Reprod. 2014, 20, 514–525. [Google Scholar] [CrossRef] [PubMed][Green Version]
- Cortez, M.A.; Welsh, J.W.; Calin, G.A. Circulating microRNAs as noninvasive biomarkers in breast cancer. Recent Results Canc. Res. 2012, 195, 151–161. [Google Scholar] [CrossRef]
- Estevao-Pereira, H.; Lobo, J.; Salta, S.; Amorim, M.; Lopes, P.; Cantante, M.; Reis, B.; Antunes, L.; Castro, F.; Palma de Sousa, S.; et al. Overexpression of circulating MiR-30b-5p identifies advanced breast cancer. J. Transl. Med. 2019, 17, 435. [Google Scholar] [CrossRef]
- Chen, S.N.; Chang, R.; Lin, L.T.; Chern, C.U.; Tsai, H.W.; Wen, Z.H.; Li, Y.H.; Li, C.J.; Tsui, K.H. MicroRNA in Ovarian Cancer: Biology, Pathogenesis, and Therapeutic Opportunities. Int. J. Environ. Res. Pub. Health 2019, 16, 1510. [Google Scholar] [CrossRef]
- Iorio, M.V.; Visone, R.; Di Leva, G.; Donati, V.; Petrocca, F.; Casalini, P.; Taccioli, C.; Volinia, S.; Liu, C.G.; Alder, H.; et al. MicroRNA signatures in human ovarian cancer. Cancer Res. 2007, 67, 8699–8707. [Google Scholar] [CrossRef]
- Wang, L.; Zhu, M.J.; Ren, A.M.; Wu, H.F.; Han, W.M.; Tan, R.Y.; Tu, R.Q. A ten-microRNA signature identified from a genome-wide microRNA expression profiling in human epithelial ovarian cancer. PLoS ONE 2014, 9, e96472. [Google Scholar] [CrossRef]
- Alexandri, C.; Stamatopoulos, B.; Rothé, F.; Bareche, Y.; Devos, M.; Demeestere, I. MicroRNA profiling and identification of let-7a as a target to prevent chemotherapy-induced primordial follicles apoptosis in mouse ovaries. Sci. Rep. 2019, 9, 9636. [Google Scholar] [CrossRef] [PubMed]
- Xiao, G.Y.; Cheng, C.C.; Chiang, Y.S.; Cheng, W.T.; Liu, I.H.; Wu, S.C. Exosomal miR-10a derived from amniotic fluid stem cells preserves ovarian follicles after chemotherapy. Sci. Rep. 2016, 6, 23120. [Google Scholar] [CrossRef] [PubMed]
- Lin, K.T.; Yeh, Y.M.; Chuang, C.M.; Yang, S.Y.; Chang, J.W.; Sun, S.P.; Wang, Y.S.; Chao, K.C.; Wang, L.H. Glucocorticoids mediate induction of microRNA-708 to suppress ovarian cancer metastasis through targeting Rap1B. Nat. Commun. 2015, 6, 5917. [Google Scholar] [CrossRef]
- Yang, S.; Wang, S.; Luo, A.; Ding, T.; Lai, Z.; Shen, W.; Ma, X.; Cao, C.; Shi, L.; Jiang, J.; et al. Expression patterns and regulatory functions of microRNAs during the initiation of primordial follicle development in the neonatal mouse ovary. Biol. Reprod. 2013, 89, 126. [Google Scholar] [CrossRef]
- McBride, D.; Carré, W.; Sontakke, S.D.; Hogg, C.O.; Law, A.; Donadeu, F.X.; Clinton, M. Identification of miRNAs associated with the follicular-luteal transition in the ruminant ovary. Reproduction 2012, 144, 221–233. [Google Scholar] [CrossRef] [PubMed]
- Chen, Q.; Zhou, L.; Ye, X.; Tao, M.; Wu, J. miR-145-5p suppresses proliferation, metastasis and EMT of colorectal cancer by targeting CDCA3. Pathol. Res. Pract. 2020, 216, 152872. [Google Scholar] [CrossRef]
- Cui, L.; Fang, L.; Mao, X.; Chang, H.M.; Leung, P.; Ye, Y. GDNF-Induced Downregulation of miR-145-5p Enhances Human Oocyte Maturation and Cumulus Cell Viability. J. Clin. Endocrinol. Metab. 2018, 103, 2510–2521. [Google Scholar] [CrossRef] [PubMed]
- Hang, W.; Feng, Y.; Sang, Z.; Yang, Y.; Zhu, Y.; Huang, Q.; Xi, X. Downregulation of miR-145-5p in cancer cells and their derived exosomes may contribute to the development of ovarian cancer by targeting CT. Int. J. Mol. Med. 2019, 43, 256–266. [Google Scholar] [CrossRef] [PubMed]
- Sirotkin, A.V.; Ovcharenko, D.; Grossmann, R.; Lauková, M.; Mlyncek, M. Identification of microRNAs controlling human ovarian cell steroidogenesis via a genome-scale screen. J. Cell. Physiol. 2019, 219, 415–420. [Google Scholar] [CrossRef]
- Yao, S.; Xu, J.; Zhao, K.; Song, P.; Yan, Q.; Fan, W.; Li, W.; Lu, C. Down-regulation of HPGD by miR-146b-3p promotes cervical cancer cell proliferation, migration and anchorage-independent growth through activation of STAT3 and AKT pathways. Cell Death Dis. 2018, 9, 1055. [Google Scholar] [CrossRef] [PubMed]
- Lin, Y.; Zeng, Y.; Zhang, F.; Xue, L.; Huang, Z.; Li, W.; Guo, M. Characterization of microRNA expression profiles and the discovery of novel microRNAs involved in cancer during human embryonic development. PLoS ONE 2013, 8, e69230. [Google Scholar] [CrossRef]
- Majid, S.; Dar, A.A.; Saini, S.; Shahryari, V.; Arora, S.; Zaman, M.S.; Chang, I.; Yamamura, S.; Chiyomaru, T.; Fukuhara, S.; et al. MicroRNA-1280 inhibits invasion and metastasis by targeting ROCK1 in bladder cancer. PLoS ONE 2012, 7, e46743. [Google Scholar] [CrossRef] [PubMed]
- Xu, L.M.; Li, L.Q.; Li, J.; Li, H.W.; Shen, Q.B.; Ping, J.L.; Ma, Z.H.; Zhong, J.; Dai, L.C. Upregulation of miR-1280 expression in non-small cell lung cancer tissues. Chin. Med. J. (Engl.) 2015, 128, 670–673. [Google Scholar] [CrossRef] [PubMed]
- Xu, Y.W.; Wang, B.; Ding, C.H.; Li, T.; Gu, F.; Zhou, C. Differentially expressed micoRNAs in human oocytes. J. Assist. Reprod Genet. 2011, 28, 559–566. [Google Scholar] [CrossRef]
- Zhang, H.; Jiang, X.; Zhang, Y.; Xu, B.; Hua, J.; Ma, T.; Zheng, W.; Sun, R.; Shen, W.; Cooke, H.J.; et al. microRNA 376a regulates follicle assembly by targeting Pcna in fetal and neonatal mouse ovaries. Reproduction 2014, 148, 43–54. [Google Scholar] [CrossRef] [PubMed]
- Troppmann, B.; Kossack, N.; Nordhoff, V.; Schüring, A.N.; Gromoll, J. MicroRNA miR-513a-3p acts as a co-regulator of luteinizing hormone/chorionic gonadotropin receptor gene expression in human granulosa cells. Mol. Cell. Endocrinol. 2014, 390, 65–72. [Google Scholar] [CrossRef] [PubMed]
- Xie, S.; Batnasan, E.; Zhang, Q.; Li, Y. MicroRNA Expression is Altered in Granulosa Cells of Ovarian Hyperresponders. Reprod. Sci. 2016, 23, 1001–1010. [Google Scholar] [CrossRef] [PubMed]
- Bastings, L.; Beerendonk, C.C.; Westphal, F.R.; Massuger, L.F.; Kaal, S.E.; van Leeuwen, F.E.; Braat, D.D.; Peek, R. Autotransplantation of cryopreserved ovarian tissue in cancer survivors and the risk of reintroducing malignancy: A systematic review. Hum. Reprod. Update 2013, 19, 483–506. [Google Scholar] [CrossRef] [PubMed]
- Rosendahl, M.; Andersen, M.T.; Ralfkiær, E.; Kjeldsen, L.; Andersen, M.K.; Andersen, C.Y. Evidence of residual disease in cryopreserved ovarian cortex from female patients with leukemia. Fertil. Steril. 2010, 94, 2186–2190. [Google Scholar] [CrossRef] [PubMed]








| Code | Age | Date of Tissue Cryopreservation | Cancer Site | Histology | TNM Staging | G (Grade) |
|---|---|---|---|---|---|---|
| VIP-M-0001 | 29 | 2014.10.20 | Ovary | Adenocarcinoma | pT3AN1M0(BT)R0 | BT |
| VIP-M-0002 | 25 | 2014.11.20 | Ovary | Disgerminoma | pT2aN0M0 | - |
| VIP-M-0003 | 37 | 2015.01.26 | Cervix uteri | Squamous cell carcinoma | pT2bN0M0G3R0 | G3 |
| VIP-M-0004 | 27 | 2015.03.23 | Ovary | Adenocarcinoma | pT1CN0M0G1R0 | G1 |
| VIP-M-0005 | 39 | 2015.06.09 | Cervix uteri | Squamous cell carcinoma | cT3bN1M0G3 | G3 |
| VIP-M-0006 | 31 | 2015.07.27 | Cervix uteri | Squamous cell carcinoma | pT1b1N0M0G3R0 | G3 |
| VIP-M-0007 | 32 | 2015.11.25 | Cervix uteri | Adenocarcinoma | pT1bN0M0G3L1V1R0 | G3 |
| VIP-M-0008 | 27 | 2015.11.25 | Rectum | Adenocarcinoma | cT3N2M0G1 | G1 |
| VIP-M-0010 | 39 | 2016.02.10 | Ovary | Mucinal borderline Ca | pT1CN0M0G(BT)R0 | BT |
| VIP-M-0011 | 28 | 2016.03.29 | Breast | Invasive ductal Ca | cT2N0M0 | G3 |
| VIP-M-0012 | 26 | 2016.04.21 | Ovary | Serosal cystadenoma | pT1CNXM0G(BT)R0 | BT |
| VIP-M-0013 | 38 | 2016.05.04 | Breast | Invasive ductal Ca | cTxN1M0 | G2 |
| VIP-M-0014 | 37 | 2016.06.09 | Breast | Invasive ductal Ca | cT1N1M0 | G3 |
| VIP-M-0015 | 39 | 2016.08.11 | Breast | Invasive ductal Ca | pT2N1M1 | G3 |
| VIP-M-0016 | 35 | 2016.10.24 | Breast | Invasive ductal Ca | pT1cN0M0 | G2 |
| VIP-M-0017 | 28 | 2016.11.14 | Lymphoma | B cell | - | - |
| VIP-M-0018 | 21 | 2016.11.25 | Ovary | Serosal borderline Ca | pT1CNX0G(BT)R0 | BT |
| VIP-M-0019 | 36 | 2016.12.27 | Cervix uteri | Squamous cell carcinoma | cT2aN0M0 | G3 |
| VIP-M-0020 | 35 | 2016.12.27 | Breast | Invasive ductal Ca | cT3N2M0 | G2 |
| VIP-M-0021 | 40 | 2017.04.24 | Breast | Invasive ductal Ca | pT1bN0(sn)M0 | G2 |
| VIP-M-0022 | 36 | 2017.06.07 | Breast | Invasive ductal Ca | cT1CN1M0 | G3 |
| VIP-M-0023 | 29 | 2017.08.24 | Breast | Invasive ductal Ca | Unknown | - |
| VIP-M-0024 | 28 | 2017.10.06 | Breast | Invasive ductal Ca | pT2N0(SN)M0 | G2 |
| VIP-M-0025 | 27 | 2017.12.08 | Breast | Invasive ductal Ca | pT1cN0(sn)M0 | G2 |
| VIP-M-0026 | 38 | 2018.03.07 | Breast | Invasive ductal Ca | cT3N1M0 | G2 |
| VIP-M-0027 | 31 | 2018.07.09 | Breast | Adenocarcinoma | pT2N0(sn)M0 | G3 |
| VIP-M-0028 | 34 | 2018.08.22 | Breast | Invasive ductal Ca | cT2N1M0 | G3 |
| VIP-M-0029 | 36 | 2018.10.24 | Breast | Invasive ductal Ca | c.T3N3M0 | G3 |
| Indicator | Expected Value for RT-qPCR | Samples | ||||
|---|---|---|---|---|---|---|
| VIP–M-006 | VIP–M-007 | VIP–M-008 | VIP–M-011 | VIP–M-012 | ||
| Concentration (NanoDrop) | >21 ng/μL | 474 | 226 | 401 | 41 | 177 |
| Concentration (Agilent) | 343 | 145 | 257 | 23 | 120 | |
| A260/A280 (NanoDrop) | 1.9–2.1 | 2.00 | 2.04 | 2.02 | 1.96 | 2.06 |
| RIN (Agilent) | >6.5 | 6.80 | 6.60 | 7.20 | 7.60 | 7.70 |
| Expression Level | Cq Interval | miRNAs |
|---|---|---|
| High | Cq < 25 | hsa-miR-145-3p, hsa-miR-202-5p, hsa-miR-20a-3p, hsa-miR-221-5p, hsa-miR-299-5p, hsa-miR-320b, hsa-miR-323a-5p, hsa-miR-340-3p, hsa-miR-1280, hsa-miR-708-5p, hsa-miR-628-5p, hsa-miR-513b-5p, hsa-miR-513c-5p, hsa-miR-1180-3p, hsa-miR-342-5p |
| Intermediate | 25 ≤ Cq < 30 | hsa-miR-378a-5p, hsa-miR-132-5p, hsa-miR-485-5p, hsa-miR-99b-3p, hsa-miR-320d, hsa-miR-1203, hsa-miR-1299, hsa-miR-539-5p, hsa-miR-510-5p, hsa-miR-30b-3p, hsa-miR-376a-5p, hsa-miR-146b-3p, hsa-miR-1285-3p, hsa-miR-1301-3p, hsa-miR-708-3p, hsa-miR-513a-3p, hsa-miR-513c-3p, hsa-miR-1290, hsa-miR-1908-5p, hsa-miR-219a-1-3p, hsa-miR-1179, hsa-miR-1207-5p, hsa-miR-200b-5p, hsa-miR-34b-3p, hsa-miR-432-3p, hsa-miR-1287-5p, hsa-miR-1303, hsa-miR-191-3p, hsa-miR-454-5p, hsa-miR-1226-3p, hsa-miR-1208, hsa-miR-380-5p, hsa-miR-1322, hsa-miR-1286, hsa-miR-377-5p, hsa-miR-1185-5p, hsa-miR-1283, hsa-miR-1224-5p, hsa-miR-1184, hsa-miR-488-5p, hsa-miR-1183, hsa-miR-34b-5p, hsa-miR-452-3p |
| Low | 30 ≤ Cq < 33 | hsa-miR-1289, hsa-miR-570-3p, hsa-miR-302b-5p, hsa-miR-1288-3p, hsa-miR-1302, hsa-miR-297, hsa-miR-363-5p, hsa-miR-491-3p, hsa-miR-1321, hsa-miR-1323, hsa-miR-875-5p, hsa-miR-1278, hsa-miR-1206, hsa-miR-1182, hsa-miR-135b-3p, hsa-miR-1228-5p, hsa-miR-449b-5p, hsa-miR-1205, hsa-miR-561-3p, hsa-miR-519d-3p, hsa-miR-1207-3p, hsa-miR-519e-3p, hsa-miR-1204 |
| Not expressed | Cq ≥ 33 | hsa-miR-1284, hsa-miR-526b-3p, hsa-miR-1178-3p, hsa-miR-1279 |
Publisher’s Note: MDPI stays neutral with regard to jurisdictional claims in published maps and institutional affiliations. |
© 2020 by the authors. Licensee MDPI, Basel, Switzerland. This article is an open access article distributed under the terms and conditions of the Creative Commons Attribution (CC BY) license (http://creativecommons.org/licenses/by/4.0/).
Share and Cite
Gudlevičienė, Ž.; Žilinskas, K.; Kundrotas, G.; Grubliauskaitė, M.; Baltriukienė, D.; Bukelskienė, V. Slow-Freezing Cryopreservation Ensures High Ovarian Tissue Quality Followed by In Vivo and In Vitro Methods and Is Safe for Fertility Preservation. Medicina 2020, 56, 547. https://doi.org/10.3390/medicina56100547
Gudlevičienė Ž, Žilinskas K, Kundrotas G, Grubliauskaitė M, Baltriukienė D, Bukelskienė V. Slow-Freezing Cryopreservation Ensures High Ovarian Tissue Quality Followed by In Vivo and In Vitro Methods and Is Safe for Fertility Preservation. Medicina. 2020; 56(10):547. https://doi.org/10.3390/medicina56100547
Chicago/Turabian StyleGudlevičienė, Živilė, Kastytis Žilinskas, Gabrielis Kundrotas, Monika Grubliauskaitė, Daiva Baltriukienė, and Virginija Bukelskienė. 2020. "Slow-Freezing Cryopreservation Ensures High Ovarian Tissue Quality Followed by In Vivo and In Vitro Methods and Is Safe for Fertility Preservation" Medicina 56, no. 10: 547. https://doi.org/10.3390/medicina56100547
APA StyleGudlevičienė, Ž., Žilinskas, K., Kundrotas, G., Grubliauskaitė, M., Baltriukienė, D., & Bukelskienė, V. (2020). Slow-Freezing Cryopreservation Ensures High Ovarian Tissue Quality Followed by In Vivo and In Vitro Methods and Is Safe for Fertility Preservation. Medicina, 56(10), 547. https://doi.org/10.3390/medicina56100547

