Percutaneous Interspinous Spacer in Spinal-Canal-Stenosis Treatment: Pros and Cons
Abstract
1. Introduction
2. IPD vs. Conservative Therapy
3. IPD vs. Surgery
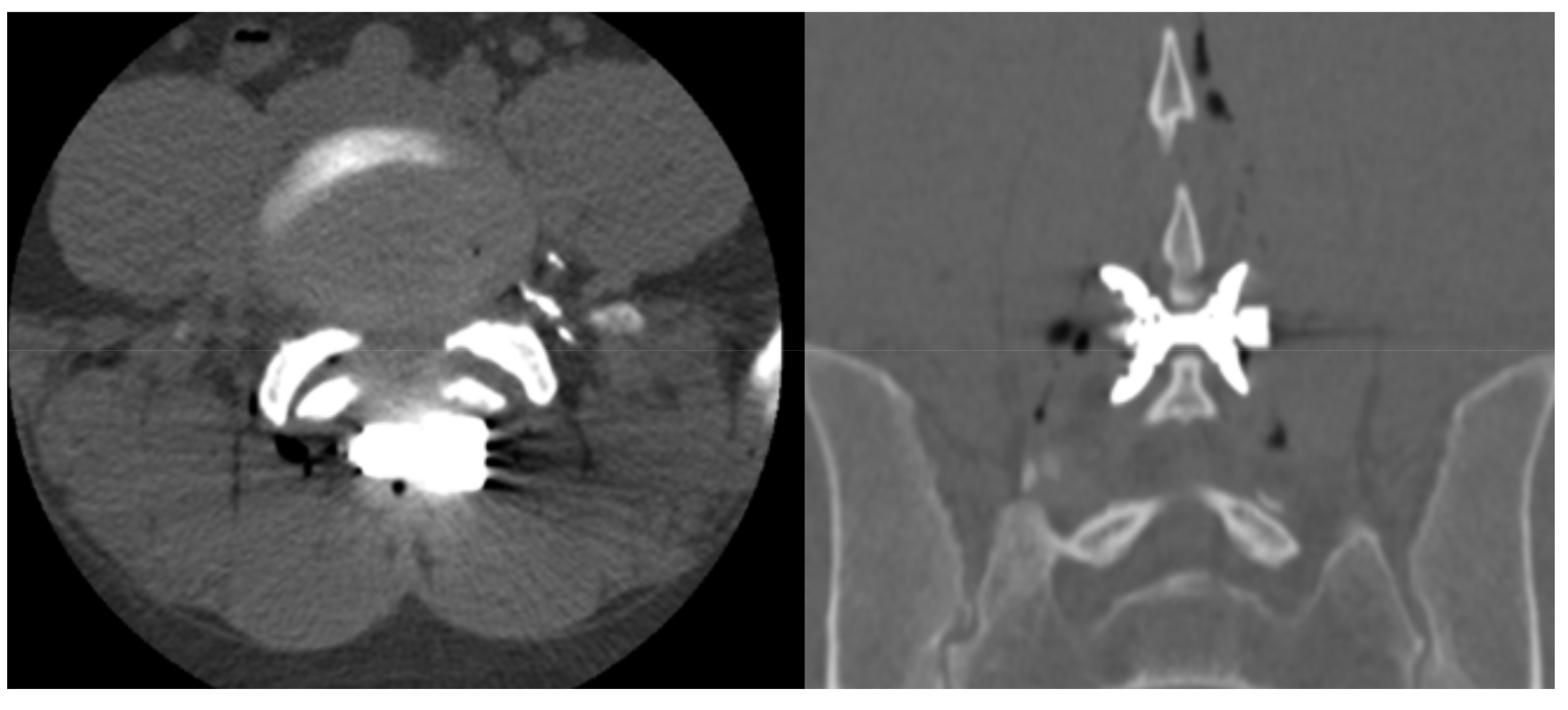
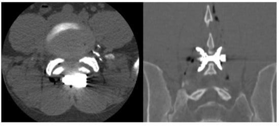
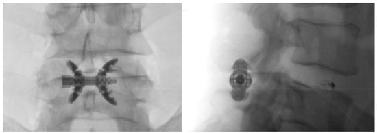
4. IPD: Pros and Cons
5. Conclusions
Author Contributions
Funding
Conflicts of Interest
References
- Schroeder, G.D.; Kurd, M.F.; Vaccaro, A.R. Lumbar Spinal Stenosis: How Is It Classified? J. Am. Acad. Orthop. Surg. 2016, 24, 843–852. [Google Scholar] [CrossRef] [PubMed]
- Backstrom, K.M.; Whitman, J.M.; Flynn, T.W. Lumbar spinal stenosis-diagnosis and management of the aging spine. Man. Ther. 2011, 16, 308–317. [Google Scholar] [CrossRef] [PubMed]
- Kreiner, D.S.; Shaffer, W.O.; Baisden, J.L.; Kreiner, D.S.; Shaffer, W.O.; Baisden, J.L.; Gilbert, T.J.; Summers, J.T.; Toton, J.F.; Hwang, S.W.; et al. An evidence-based clinical guideline for the diagnosis and treatment of degenerative lumbar spinal stenosis (update). Spine J. 2013, 13, 734–743. [Google Scholar] [CrossRef] [PubMed]
- Lurie, J.; Tomkins-Lane, C. Management of lumbar spinal stenosis. BMJ 2016, 4, 352:h6234. [Google Scholar] [CrossRef] [PubMed]
- Poorman, G.W.; Moon, J.Y.; Wang, C.; Horn, S.R.; Beaubrun, B.M.; Bono, O.J.; Francis, A.M.; Jalai, C.M.; Passias, P.G. Rates of Mortality in Lumbar Spine Surgery and Factors Associated With Its Occurrence Over a 10-Year Period: A Study of 803,949 Patients in the Nationwide Inpatient Sample. Int. J. Spine Surg. 2018, 15, 617–623. [Google Scholar] [CrossRef] [PubMed]
- Deyo, R.A.; Gray, D.T.; Kreuter, W.; Mirza, S.; Martin, B.I. United States trends in lumbar fusion surgery for degenerative conditions. Spine 2005, 30, 1441–1445. [Google Scholar] [CrossRef] [PubMed]
- Haddadi, K.; Ganjeh Qazvini, H.R. Outcome after Surgery of Lumbar Spinal Stenosis: A Randomized Comparison of Bilateral Laminotomy, Trumpet Laminectomy, and Conventional Laminectomy. Front Surg. 2016, 8, 19. [Google Scholar] [CrossRef] [PubMed]
- Arbit, E.; Pannullo, S. Lumbar stenosis: A clinical review. Clin. Orthop. Relat. Res. 2001, 384, 137–143. [Google Scholar] [CrossRef]
- Kaye, A.D.; Manchikanti, L.; Abdi, S.; Atluri, S.; Bakshi, S.; Benyamin, R.; Boswell, M.V.; Buenaventura, R.; Candido, K.D.; Cordner, H.J.; et al. Efficacy of Epidural Injections in Managing Chronic Spinal Pain: A Best Evidence Synthesis. Pain Physician. 2015, 18, E939–E1004. [Google Scholar]
- Kelekis, A.D.; Filippiadis, D.K.; Martin, J.B.; Brountzos, E. Standards of practice: Quality assurance guidelines for percutaneous treatments of intervertebral discs. Cardiovasc. Intervent. Radiol. 2010, 33, 909–913. [Google Scholar] [CrossRef]
- Kelekis, A.D.; Somon, T.; Yilmaz, H.; Bize, P.; Brountzos, E.N.; Lovblad, K.; Ruefenacht, D.; Martin, J.B. Interventional spine procedures. Eur. J. Radiol. 2005, 55, 362–383. [Google Scholar] [CrossRef] [PubMed]
- Hirsch, C.; Breque, C.; Ragot, S.; Pascal-Mousselard, H.; Richer, J.P.; Scepi, M.; Khiami, F. Biomechanical study of dynamic changes in L4-L5 foramen surface area in flexion and extension after implantation of four interspinous process devices. Orthop Traumatol Surg Res. 2015, 101, 215–219. [Google Scholar] [CrossRef] [PubMed]
- Richards, J.C.; Majumdar, S.; Lindsey, D.P.; Beaupre, G.S.; Yerby, S.A. The treatment mechanism of an interspinous process implant for lumbar neurogenic intermittent claudication. Spine 2005, 30, 744–749. [Google Scholar] [CrossRef] [PubMed]
- Poetscher, A.W.; Gentil, A.F.; Ferretti, M.; Lenza, M. Interspinous process devices for treatment of degenerative lumbar spine stenosis: A systematic review and meta-analysis. PLoS ONE 2018, 13, e0199623. [Google Scholar] [CrossRef] [PubMed]
- Anderson, P.A.; Tribus, C.B.; Kitchel, S.H. Treatment of neurogenic claudication by interspinous decompression: Application of the X STOP device in patients with lumbar degenerative spondylolisthesis. J. Neurosurg. Spine 2006, 4, 463–471. [Google Scholar] [CrossRef] [PubMed]
- Hsu, K.Y.; Zucherman, J.F.; Hartjen, C.A.; Mehalic, T.F.; Implicito, D.A.; Martin, M.J.; Johnson, D.R., 2nd; Skidmore, G.A.; Vessa, P.P.; Dwyer, J.W.; et al. Quality of life of lumbar stenosis-treated patients in whom the X STOP interspinous device was implanted. J. Neurosurg. Spine 2006, 5, 500–507. [Google Scholar] [CrossRef] [PubMed]
- Zucherman, J.F.; Hsu, K.Y.; Hartjen, C.A.; Mehalic, T.F.; Implicito, D.A.; Martin, M.J.; Johnson, D.R., 2nd; Skidmore, G.A.; Vessa, P.P.; Dwyer, J.W.; et al. A multicenter, prospective, randomized trial evaluating the X STOP interspinous process decompression system for the treatment of neurogenic intermittent claudication: two-year follow-up results. Spine 2005, 30, 1351–1358. [Google Scholar] [CrossRef]
- Azzazi, A.; Elhawary, Y. Dynamic stabilization using X-stop versus transpedicular screw fixation in the treatment of lumbar canal stenosis: Comparative study of the clinical outcome. Neurosurg Q. 2010, 20, 165–169. [Google Scholar] [CrossRef]
- Davis, R.J.; Errico, T.J.; Bae, H.; Auerbach, J.D. Decompression and Coflex interlaminar stabilization comparedwith decompression and instrumented spinal fusion for spinal stenosis and low-grade degenerative spondylolisthesis: Two-year results from the prospective, randomized, multicenter, Food and Drug Administration Investigational Device Exemption trial. Spine 2013, 38, 1529–1539. [Google Scholar]
- Lønne, G.; Johnsen, L.G.; Aas, E.; Lydersen, S.; Andresen, H.; Rønning, R.; Nygaard, Ø.P. Comparing cost-effectiveness of X-Stop with minimally invasive decompression in lumbar spinal stenosis: A randomized controlled trial. Spine 2015, 15, 514–520. [Google Scholar]
- Lønne, G.; Johnsen, L.G.; Rossvoll, I.; Andresen, H.; Storheim, K.; Zwart, J.A.; Nygaard, Ø.P. Minimally invasive decompression versus x-stop in lumbar spinal stenosis: A randomized controlled multicenter study. Spine 2015, 40, 77–85. [Google Scholar]
- Moojen, W.A.; Arts, M.P.; Jacobs, W.C.; van Zwet, E.W.; van den Akker-van Marle, M.E.; Koes, B.W.; Vleggeert-Lankamp, C.L.; Peul, W.C. Leiden The Hague Spine Intervention Prognostic Study Group (SIPS). IPD without bony decompression versus conventional surgical decompression for lumbar spinal stenosis: 2-year results of a double-blind randomized controlled trial. Eur Spine J. 2015, 24, 2295–2305. [Google Scholar] [CrossRef] [PubMed]
- Strömqvist, B.H.; Berg, S.; Gerdhem, P.; Johnsson., R.; Möller, A.; Sahlstrand, T.; Soliman, A.; Tullberg, T. X-stop versus decompressive surgery for lumbar neurogenic intermittent claudication: Randomized controlled trial with 2-year follow-up. Spine 2013, 38, 1436–1442. [Google Scholar]
- Meyer, B.; Baranto, A.; Schils, F.; Collignon, F.; Zoega, B.; Tan, L.; LeHuec, J.C.; NICE Trial Study Group. Percutaneous Interspinous Spacer vs Decompression in Patients with Neurogenic Claudication: An Alternative in Selected Patients? Neurosurgery 2018, 82, 621–629. [Google Scholar] [CrossRef] [PubMed]
- Bonaldi, G.; Bertolini, G.; Marrocu, A.; Cianfoni, A. Posterior vertebral arch cement augmentation (spinoplasty) to prevent fracture of spinous processes after interspinous spacer implant. AJNR Am. J. Neuroradiol. 2012, 33, 522–528. [Google Scholar] [CrossRef]
- Manfré, L. Posterior Arch Augmentation (Spinoplasty) before and after Single and Double Interspinous Spacer Introduction at the Same Level: Preventing and Treating the Failure? Interv Neuroradiol. 2014, 20, 626–631. [Google Scholar] [CrossRef]
- Van den Akker-van Marle, M.E.; Moojen, W.A.; Arts, M.P.; Vleggeert-Lankamp, C.L.; Peul, W.C. Leiden The Hague Spine Intervention Prognostic Study G. Interspinous process devices versus standard conventional surgical decompression for lumbar spinal stenosis: Cost-utility analysis. Spine J. 2016, 16, 702–710. [Google Scholar] [CrossRef]
- Matz, P.G.; Meagher, R.J.; Lamer, T.; Tontz, W.L., Jr.; Annaswamy, T.M.; Cassidy, R.C.; Cho, C.H.; Dougherty, P.; Easa, J.E.; Enix, D.E.; et al. Guideline summary review: An evidence-based clinical guideline for the diagnosis and treatment of degenerative lumbar spondylolisthesis. Spine J. 2016, 16, 439–448. [Google Scholar] [CrossRef]
- Gala, R.J.; Russo, G.S.; Whang, P.G. Interspinous implants to treat spinal stenosis. Curr. Rev. Musculoskelet. Med. 2017, 10, 182–188. [Google Scholar] [CrossRef]
- Pintauro, M.; Duffy, A.; Vahedi, P.; Rymarczuk, G.; Heller, J. Interspinous implants: Are the new implants better than the last generation? A review. Curr. Rev. Musculoskelet. Med. 2017, 10, 189–198. [Google Scholar] [CrossRef]





| Study | Study Design | Population | Outcomes |
|---|---|---|---|
| Anderson/Hsu/Zucherman, 2005 [15,16,17] | RCT, multicenter, IPD (X-Stop) vs. nonsurgical treatment | -Mean age 70 (IPD), 69.1 (control) -Clinical or radiographic DLSS confirmation -One or two levels affected -Able to sit 50 min and walk > 50 ft -Nonoperative treatment > 6 months | -ZCQ [15,17] -SF-36 [16] -Patient satisfaction |
| Azzazzi, 2010 [18] | RCT, single center, IPD (X-Stop) vs. surgery (decompression and arthrodesis) | -Mean age 57 (IPD), 56.3 (control) -DLSS + grade I listhesis -One or two affected levels -Leg pain > back pain -Nonoperative treatment > 3 months | -VAS back pain -VAS leg pain -ODI |
| Davis, 2013 [19] | RCT, multicenter, IPD (Coflex) vs. surgery (decompression and arthrodesis) | -Mean age 62.1 (IPD), 64.1 (control) -NIC and radiographic confirmation of DLSS -One or two affected levels -VAS back pain > 50 -ODI > 20/50 | -ZCQ -VAS back pain -VAS leg pain -ODI -SF-12 |
| Stromkvist, 2013 [23] | RCT, multicenter, IPD (X-Stop) vs. surgery (decompression) | -Mean age 67 (IPD), 71 (control) -NIC and DLSS confirmation on MRI - >six month symptoms -One or two affected levels -up to Grade 1 listhesis | -ZCQ -VAS back pain -VAS leg pain -SF-36 |
| Lønne, 2015, [20,21] | RCT, multicenter, IPD (X-Stop) vs. surgery (minimally invasive decompression) | -Mean age 67 (IPD), 67 (control) -NIC and DLSS confirmation on MRI -One or two affected levels -up to Grade I listhesis | -ZCQ -Numerical pain scale -ODI -EQ-5D -QALY |
| Moojen, 2015 [22] | RCT, multicenter, IPD (coflex) vs. surgery (decompression) | -Median age 66 (IPD), 64 (control) -NIC and DLSS confirmation on MRI -One or two affected levels | -ZCQ -VAS back pain -VAS leg pain -McGill pain questionnaire -RMQ -SF-36 -HADS -Shuttle walking test |
© 2019 by the authors. Licensee MDPI, Basel, Switzerland. This article is an open access article distributed under the terms and conditions of the Creative Commons Attribution (CC BY) license (http://creativecommons.org/licenses/by/4.0/).
Share and Cite
Zini, C.; Bellini, M.; Masala, S.; Marcia, S. Percutaneous Interspinous Spacer in Spinal-Canal-Stenosis Treatment: Pros and Cons. Medicina 2019, 55, 381. https://doi.org/10.3390/medicina55070381
Zini C, Bellini M, Masala S, Marcia S. Percutaneous Interspinous Spacer in Spinal-Canal-Stenosis Treatment: Pros and Cons. Medicina. 2019; 55(7):381. https://doi.org/10.3390/medicina55070381
Chicago/Turabian StyleZini, Chiara, Matteo Bellini, Salvatore Masala, and Stefano Marcia. 2019. "Percutaneous Interspinous Spacer in Spinal-Canal-Stenosis Treatment: Pros and Cons" Medicina 55, no. 7: 381. https://doi.org/10.3390/medicina55070381
APA StyleZini, C., Bellini, M., Masala, S., & Marcia, S. (2019). Percutaneous Interspinous Spacer in Spinal-Canal-Stenosis Treatment: Pros and Cons. Medicina, 55(7), 381. https://doi.org/10.3390/medicina55070381
