Orange Allergy Beyond LTP: IgE Recognition of Germin-like Proteins in Citrus Fruits
Abstract
1. Introduction
2. Materials and Methods
2.1. Skin Prick Test
- Pollens: Phleum pratense, Cynodon dactylon, Olea europaea, Cupressus arizonica, Platanus acerifolia, Artemisia vulgaris, Plantago lanceolata, and Parietaria judaica.
- Animal dander: dog and cat.
- Molds: Alternaria alternata, Aspergillus fumigatus.
- Panallergens: Peach nsLTP (Pru p 3, Diater®; 30 µg/mL) and pollen profilin (Pho d 2).
2.2. Prick-by-Prick Test
- Orange (Citrus sinensis): peel and pulp
- Lemon (Citrus limon): peel and pulp
- Mandarin (Citrus reticulata): peel and pulp
- Citrus seeds.
2.3. Anaphylaxis Score and Immunological Tests
- Total IgE (kU/L)
- Serum-specific IgE (sIgE) to nsLTP (Pru p 3, Pru p 7) (Thermo Fisher Scientific Inc., Phadia, AB, Uppsala, Sweden)
- The ALEX multiplex allergy test (MacroArray Diagnostics GmbH, Vienna, Austria) was used to assess specific IgE sensitizations. This test allows simultaneous measurement of allergen extracts and molecular components [16]
2.4. Preparation of Allergenic Extracts
2.5. Protein Content
2.6. SDS-PAGE and Immunoblotting
- -
- 0.5 M Tris-HCl (pH 6.8) at 12% (v/v),
- -
- Glycerol at 25% (v/v),
- -
- SDS at 10% (w/v) in a 20% concentration (v/v),
- -
- 2-mercaptoethanol at 5% (v/v),
- -
- Bromophenol blue at 0.5% (w/v) in a 20% concentration (v/v),
- -
- Deionized water at 18% (v/v).
2.6.1. SDS-PAGE Analysis
- -
- 200 V, 400 mA for 45 min,
- -
- Electrophoretic cuvette filled with 10 × Tris/Glycine/SDS electrophoresis buffer (Bio-Rad).
2.6.2. Western Blotting
2.7. Protein MALDI-TOF/TOF Identification
3. Results
3.1. Skin Prick Test. Prick-by-Prick Tests (See Table 1)
- Skin prick test (SPT to commercial aeroallergen extracts): Negative.
- SPT to commercial food extracts: Negative.
- Prick-by-prick test:
- o
- Orange: positive for pulp and peel (5 mm major diameter papule).
- o
- Lemon: positive for pulp (3 mm major diameter papule), negative for peel.
- o
- Mandarin: positive for pulp (3 mm major diameter papule), negative for peel.
- The patient tolerated an oral lemon and mandarin challenge. For more information see Table 2.
- SPT to aeroallergens: positive for cat, dog, Phleum pratense, Cynodon dactylon, Olea europaea, Salsola kali, Chenopodium album.
- SPT to foods: positive to peach nsLTP (Pru p 3), hazelnut, almond, peanut, and pistachio nut.
- Prick-by-prick:
- o
- Orange: positive for pulp (7 mm major diameter papule) and peel (8 mm).
- o
- Lemon: positive for pulp (9 mm major diameter papule) and peel (10 mm papule).
- o
- Mandarin: positive for pulp (9 mm major diameter papule) and peel (10 mm papule).
- o
- Lemon seed: positive (7 mm major diameter papule).
- o
- Mandarin seed: negative. Orange seed is not tested.
- SPT to aeroallergens: positive for Olea europaea, Parietaria judaica, Artemisia vulgaris, Salsola kali, and Chenopodium album.
- SPT to foods: positive for peach nsLTP (Pru p 3), corn flour, soy flour, hazelnut, walnut, sunflower seeds, and tomato.
- Prick-by-prick:
- o
- Orange: positive for pulp and peel. Diameter is not available.
- o
- Lemon and mandarin: not tested.
- SPT to commercial aeroallergen extracts: Negative.
- SPT to food: positive for hazelnut, almond, peanut, walnut, pistachio, apple, strawberry, and peach nsLTP (Pru p 3).
- Prick-by-prick:
- o
- Orange: positive for pulp (6 mm) and peel (6 mm).
- o
- Lemon and mandarin: not tested.
- SPT to commercial aeroallergen extracts: positive for Alternaria alternata, Artemisia vulgaris, Chenopodium album, Salsola kali, Phleum pratense, Cupressus arizonica, Olea europaea, and profilin (Pho p 2).
- SPT to foods: positive for peach, watermelon, and melon.
- Prick-by-prick:
- o
- Positive for orange pulp (5 mm) and peel (5 mm).
- o
- Positive for apple pulp and peel.
- o
- Negative for lemon and mandarin. The patient tolerated an oral lemon and mandarin challenge.
- Orange (pulp and peel): positive in all five patients.
- Oral food challenges with lemon and mandarin were performed in Patients 1 and 5, with no adverse reactions observed. In the remaining cases, no clinical history of reactions to these fruits was reported, and they all tolerated in juice; they refused to eat it whole (see Table 3).
| No Positives | Positives | ||||||||||||||
|---|---|---|---|---|---|---|---|---|---|---|---|---|---|---|---|
| Prick | Prick Prick (Dia/mm) | ||||||||||||||
| Inhalants | Foods | Orange | Lemon | Mandarin | |||||||||||
| Patient | Dander | Tree | Grass | Weed | Mould | Fruit/Veg | Wheat | Peanut | Tree Nut Seed | Pulp | Peel | Pulp | Peel | Pulp | Peel |
| 1 | 0 | 0 | 0 | 0 | 0 | 0 | 0 | 0 | 0 | 5 | 5 | 3 | 0 | 3 | 0 |
| 2 | 2 | 0 | 0 | 0 | 0 | 0 | 0 | 6 | 0 | 7 | 8 | 9 | 10 | 9 | 10 |
| 3 | 0 | 0 | 0 | 4 | 0 | 0 | 0 | 2 | 1 | POS | POS | ND | ND | ND | ND |
| 4 | 0 | 0 | 0 | 0 | 0 | 0 | 0 | 4 | 1 | POS | POS | ND | ND | ND | ND |
| 5 | 0 | 3 | 0 | 3 | 0 | 3 | 0 | 0 | 0 | POS | POS | NEG | NEG | NEG | NEG |
3.2. Molecular Diagnosis and Symptom Scoring
- Total IgE and LTP-specific IgE levels varied among patients (see Table 2).
- Only Patient 1 showed positive IgE reactivity to all tested recombinant allergens.
- The remaining four patients recognized only 4, 4, 1, and 0 recombinant allergens, respectively.
- Food Allergy Quality of Life Questionnaire (FAQLQ) scores ranged from 99 to 166 points.
| Patient | IgE Pru p 3 | IgE Pru p 7 | Total IgE (KU/L) | Prick Test to Orange (Major Diameter mm) | IgE Citrus sinensis | Rhinitis Symptoms | Spring Asthma Symptoms | Sensitization to Pollen | Ara h 9 | Art v 3 | Ole e 7 | Art v 1 | Ole e 1 | Che e 1 | Sal k 1 | Cup a 1 | FAQLQ | Basal Tryptase |
| 1 | 4.3 | 0 | 57 | 6 | 3.56 | Yes | No | No | 0 | 0 | 0 | 0 | - | 0 | - | - | 79 | 4.8 |
| 2 | 0.02 | 0 | 518 | 8 | 3.54 | Yes | No | Yes | 0 | 0 | 0 | 0 | 1.5 | 0 | 21 | 18.6 | 166 | 3.79 |
| 3 | 0.7 | 0 | 336 | 7 | 2.12 | Yes | Yes | Yes | 2 | 0.5 | 15 | 1 | 13 | 32 | 47 | 0.6 | 150 | 4.5 |
| 4 | 3.84 | 0 | 17.2 | 6 | 0.15 | Yes | No | Yes | - | - | - | - | - | 15 | 12 | - | 122 | 5.6 |
| 5 | 0 | 0 | 52 | 5 | 2.13 | Yes | No | Yes | 0 | 0 | 0 | 2 | 12 | 0 | 7 | 0 | 140 | 3.6 |
| Patient | Gender | Age | Profession | First Reaction to Food Reported from Patients | First Food Involved | Anaphylaxis | Previous Reactions to Other Foods | Tolerance to Peach Juice: Yes/No | Orange Episode | Adrenaline Needed | oFASS | Cofactors |
|---|---|---|---|---|---|---|---|---|---|---|---|---|
| 1 | Male | 33 | Nuclear Medicine Technician | 2013 | Orange | Yes | Anaphylaxis to nuts | Yes | Anaphylaxis after eating oranges | Yes | 4 | No |
| 2 | Woman | 43 | Street vendor | 2020 | Orange | Yes | Palmar pruritus, touching nuts, and anaphylaxis mediated by NSAIDs due to almonds | Yes | Anaphylaxis after eating oranges | Yes | 4 | No |
| 3 | Woman | 34 | Worker in an orange juice factory | 2020 | Peach | No | Oral allergy syndrome to peach | No | Cough/Asthma to inhale orange juice | No | 2 | No |
| 4 | Woman | 31 | Pharmacy Technician | 2007 | Peach | No | Urticaria after eating a peach with the peel | No | Urticaria and facial angioedema after eating an orange | No | 2 | No |
| 5 | Woman | 33 | Housewife | 2011 | Pomegranate | No | Oral allergy syndrome to pomegranate | Yes | Oral allergy syndrome to orange | No | 1 | No |
3.3. Characterization of Relevant Proteins
- Orange peel: 0.17
- Orange pulp: 0.06
- Lemon peel: 0.06
- Lemon pulp: 0.03
- Mandarin peel: 0.12
- Mandarin pulp: 0.04.
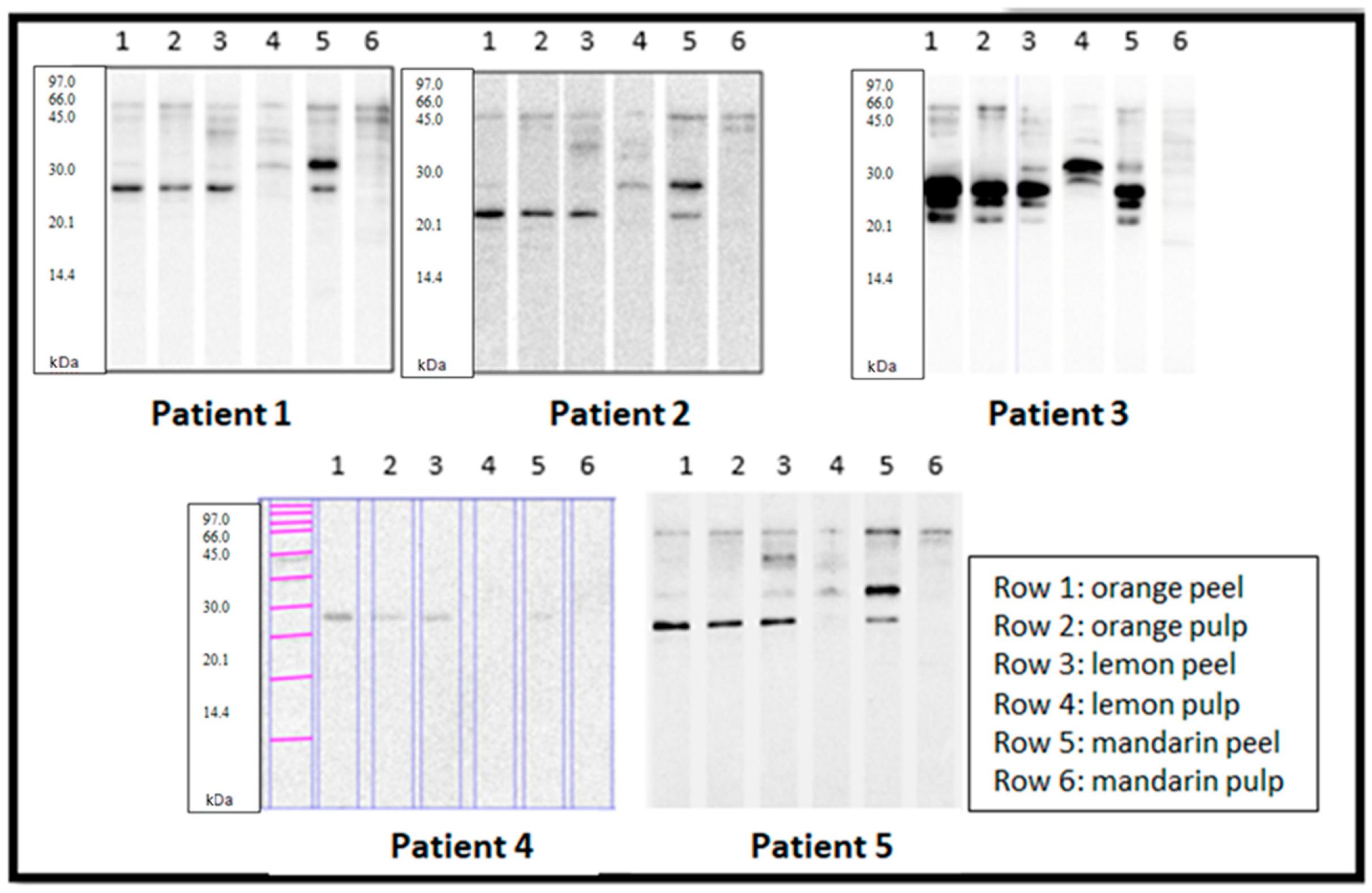
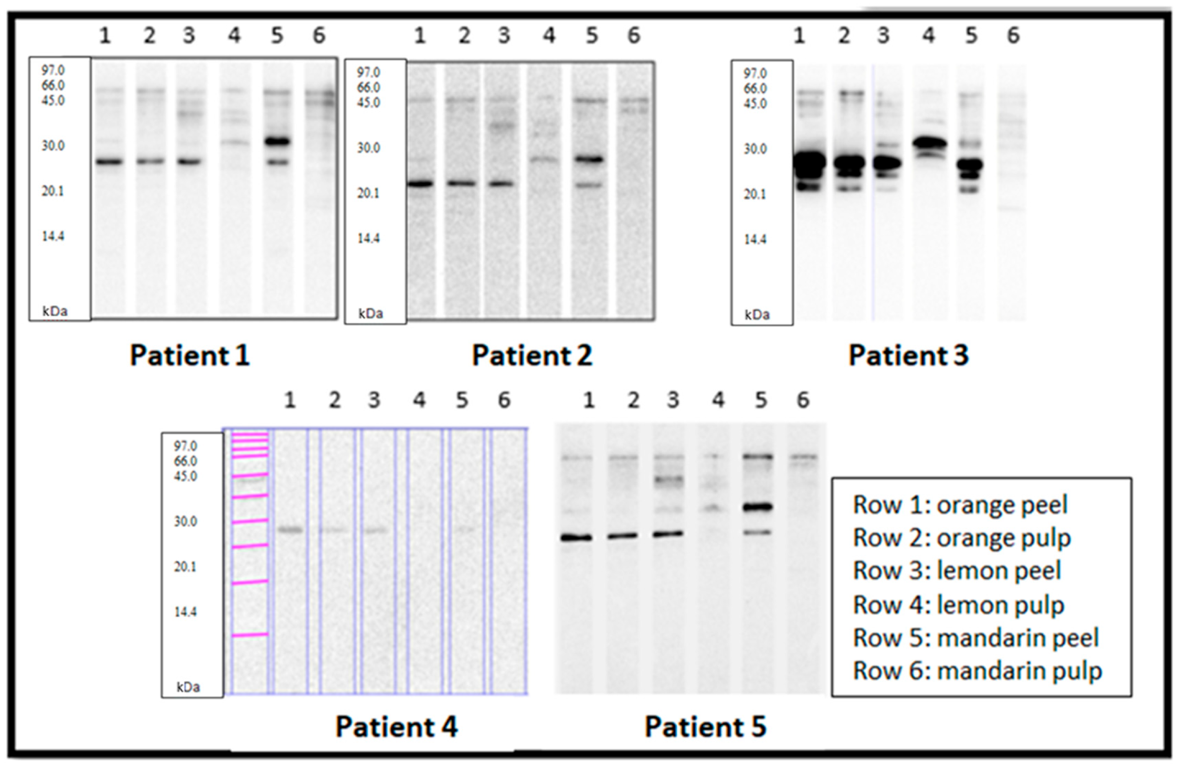
Electrophoretic Analysis
- Orange (lane 1–2):
- o
- Bands corresponding to profilin (Cit s 2, 14 kDa) are detected in both peel and pulp.
- o
- A protein approximately 23 kDa, possibly corresponding to germin, is also present.
- o
- No bands below 10 kDa (e.g., Cit s 3, nsLTP, 9.46 kDa; Cit s 7, gibberellin, 8 kDa) were detected, likely due to low protein concentration. However, their presence cannot be ruled out.
- o
- Additional undocumented bands not listed by the International Union of Immunological Societies (IUIS) were also observed.
- Lemon (lanes 3–4):
- o
- A faint band ~10 kDa, potential Cit s 3 (an nsLTP identified at 9.6 kDa), was detected in both peel and pulp.
- o
- Additional proteins with molecular weights ranging from 15 to 75 kDa were also observed.
- Mandarin (lanes 5–6):
- o
- A faint band slightly above 10 kDa was detected, which may correspond to Cit r 3, an nsLTP at 9 kDa.
- o
- The number of detected proteins was higher in the peel extract (lane 5) than in the pulp extract (lane 6).

3.4. Allergen Sequences
| Access | Mass | Score * | Description | |
|---|---|---|---|---|
| Orange | AOAO67CZF3 | 24,270 | 80 | Germin-like protein |
| Lemon | AOA2H5QHS8 | 24,303 | 70 | Germin-like protein |
| Mandarin | AOA2H5QHS8 | 24,303 | 100 | Germin-like protein |
- -
- Orange: Score = 80; E-value: 0.0013; Monoisotopic mass (Mr): 24270 and Calculated pI: 5.76.
- -
- Lemon: Score = 70; E-value: 0.012; Monoisotopic mass (Mr): 24303 and Calculated pI: 6.06.
- -
- Mandarin: Score = 100; E-value: 1.2 × 10−5; Monoisotopic mass (Mr): 24303 and Calculated pI: 6.06.
4. Discussion
5. Conclusions
Author Contributions
Funding
Institutional Review Board Statement
Informed Consent Statement
Data Availability Statement
Acknowledgments
Conflicts of Interest
References
- Fernández-Rivas, M.; Gómez García, I.; Gonzalo-Fernández, A.; Fuentes Ferrer, M.; Dölle-Bierke, S.; Marco-Martín, G.; Ballmer-Weber, B.K.; Asero, R.; Belohlavkova, S.; Beyer, K.; et al. Development and validation of the food allergy severity score. Allergy 2022, 77, 1545–1558. [Google Scholar] [CrossRef]
- Lyons, S.A.; Clausen, M.; Knulst, A.C.; Ballmer-Weber, B.K.; Fernandez-Rivas, M.; Barreales, L.; Bieli, C.; Dubakiene, R.; Fernandez-Perez, C.; Jedrzejczak-Czechowicz, M.; et al. Prevalence of Food Sensitization and Food Allergy in Children Across Europe. J. Allergy Clin. Immunol. Pract. 2020, 8, 2736–2746.e9. [Google Scholar] [CrossRef] [PubMed]
- Boyce, J.A.; Assa’ad, A.; Burks, A.W.; Jones, S.M.; Sampson, H.A.; Wood, R.A.; Plaut, M.; Cooper, S.F.; Fenton, M.J.; Arshad, S.H.; et al. Guidelines for the Diagnosis and Management of Food Allergy in the United States: Summary of the NIAID-Sponsored Expert Panel Report. J. Allergy Clin. Immunol. 2010, 126, 1105–1118. [Google Scholar] [CrossRef]
- Spolidoro, G.C.; Amera, Y.T.; Ali, M.M.; Nyassi, S.; Lisik, D.; Ioannidou, A.; Rovner, G.; Khaleva, E.; Venter, C.; van Ree, R.; et al. Frequency of food allergy in Europe: An updated systematic review and meta-analysis. Allergy 2023, 78, 351–368. [Google Scholar] [CrossRef] [PubMed]
- Solórzano-Zepeda, C.; Pérez-Allegue, I.; Pastor-Vargas, C.; Bartolomé-Zavala, B.; González-de-Olano, D. Allergy to orange with cystatine-like protein as one of its allergens. Ann. Allergy Asthma Immunol. 2021, 127, 266–267. [Google Scholar] [CrossRef] [PubMed]
- Inomata, N.; Miyakawa, M.; Ikeda, N.; Oda, K.; Aihara, M. Identification of gibberellin-regulated protein as a new allergen in orange allergy. Clin. Exp. Allergy J. Br. Soc. Allergy Clin. Immunol. 2018, 48, 1509–1520. [Google Scholar] [CrossRef]
- Crespo, J.F.; Retzek, M.; Foetisch, K.; Sierra-Maestro, E.; Cid-Sanchez, A.B.; Pascual, C.Y.; Conti, A.; Feliu, A.; Rodriguez, J.; Vieths, S.; et al. Germin-like protein Cit s 1 and profilin Cit s 2 are major allergens in orange (Citrus sinensis) fruits. Mol. Nutr. Food Res. 2006, 50, 282–290. [Google Scholar] [CrossRef]
- Serra, I.A.; Bernardo, L.; Spadafora, A.; Faccioli, P.; Canton, C.; Mazzuca, S. The Citrus clementina putative allergens: From proteomic analysis to structural features. J. Agric. Food Chem. 2013, 61, 8949–8958. [Google Scholar] [CrossRef] [PubMed]
- Lopez-Torrejon, G.; Ibanez, M.D.; Ahrazem, O.; Sánchez-Monge, R.; Sastre, J.; Lombardero, M.; Barber, D.; Salcedo, G. Isolation, cloning and allergenic reactivity of natural profilin Cit s 2, a major orange allergen. Allergy 2005, 60, 1424–1429. [Google Scholar] [CrossRef]
- Krishnan, K.; Moens, P.D.J. Structure and functions of profilins. Biophys. Rev. 2009, 1, 71–81. [Google Scholar] [CrossRef] [PubMed]
- Ahrazem, O.; Ibáñez, M.D.; López-Torrejón, G.; Sánchez-Monge, R.; Sastre, J.; Lombardero, M.; Barber, D.; Salcedo, G. Orange germin-like glycoprotein Cit s 1: An equivocal allergen. Int. Arch. Allergy Immunol. 2006, 139, 96–103. [Google Scholar] [CrossRef] [PubMed]
- Ahrazem, O.; Ibáñez, M.D.; López-Torrejón, G.; Sánchez-Monge, R.; Sastre, J.; Lombardero, M.; Barber, D.; Salcedo, G. Lipid transfer proteins and allergy to oranges. Int. Arch. Allergy Immunol. 2005, 137, 201–210. [Google Scholar] [CrossRef]
- Inomata, N. Gibberellin-regulated protein allergy: Clinical features and cross-reactivity. Allergol. Int. Off. J. Jpn. Soc. Allergol. 2020, 69, 11–18. [Google Scholar] [CrossRef]
- Ebo, D.G.; Ahrazem, O.; Lopez-Torrejon, G.; Bridts, C.H.; Salcedo, G.; Stevens, W.J. Anaphylaxis from mandarin (Citrus reticulata): Identification of potential responsible allergens. Int. Arch. Allergy Immunol. 2007, 144, 39–43. [Google Scholar] [CrossRef]
- Jensen-Jarolim, E.; Schmid, B.; Bernier, F.; Berna, A.; Kinaciyan, T.; Focke, M.; Ebner, C.; Scheiner, O.; Boltz-Nitulescu, G. Allergologic exploration of germins and germin-like proteins, a new class of plant allergens. Allergy 2002, 57, 805–810. [Google Scholar] [CrossRef]
- Barber, D.; Diaz-Perales, A.; Escribese, M.M.; Kleine-Tebbe, J.; Matricardi, P.M.; Ollert, M.; Santos, A.F.; Sastre, J. Molecular allergology and its impact in specific allergy diagnosis and therapy. Allergy 2021, 76, 3642–3658. [Google Scholar] [CrossRef] [PubMed]
- Santos, A.F.; Riggioni, C.; Agache, I.; Akdis, C.A.; Akdis, M.; Alvarez-Perea, A.; Alvaro-Lozano, M.; Ballmer-Weber, B.; Barni, S.; Beyer, K.; et al. EAACI guidelines on the management of IgE-mediated food allergy. Allergy 2025, 80, 14–36. [Google Scholar] [CrossRef] [PubMed]
- Ortolani, C.; Ispano, M.; Pastorello, E.A.; Ansaloni, R.; Magri, G.C. Comparison of results of skin prick tests (with fresh foods and commercial food extracts) and RAST in 100 patients with oral allergy syndrome. J. Allergy Clin. Immunol. 1989, 83, 683–690. [Google Scholar] [CrossRef] [PubMed]

Disclaimer/Publisher’s Note: The statements, opinions and data contained in all publications are solely those of the individual author(s) and contributor(s) and not of MDPI and/or the editor(s). MDPI and/or the editor(s) disclaim responsibility for any injury to people or property resulting from any ideas, methods, instructions or products referred to in the content. |
© 2025 by the authors. Licensee MDPI, Basel, Switzerland. This article is an open access article distributed under the terms and conditions of the Creative Commons Attribution (CC BY) license (https://creativecommons.org/licenses/by/4.0/).
Share and Cite
Zamarro Parra, M.S.; Martínez-Gomaríz, M.; Hernández, A.; Alcover, J.; Dobski, I.; Rodríguez, D.; Palacios, R.; Carbonell, A. Orange Allergy Beyond LTP: IgE Recognition of Germin-like Proteins in Citrus Fruits. Curr. Issues Mol. Biol. 2025, 47, 621. https://doi.org/10.3390/cimb47080621
Zamarro Parra MS, Martínez-Gomaríz M, Hernández A, Alcover J, Dobski I, Rodríguez D, Palacios R, Carbonell A. Orange Allergy Beyond LTP: IgE Recognition of Germin-like Proteins in Citrus Fruits. Current Issues in Molecular Biology. 2025; 47(8):621. https://doi.org/10.3390/cimb47080621
Chicago/Turabian StyleZamarro Parra, M. Soledad, Montserrat Martínez-Gomaríz, Alan Hernández, Javier Alcover, Isabel Dobski, David Rodríguez, Ricardo Palacios, and Antonio Carbonell. 2025. "Orange Allergy Beyond LTP: IgE Recognition of Germin-like Proteins in Citrus Fruits" Current Issues in Molecular Biology 47, no. 8: 621. https://doi.org/10.3390/cimb47080621
APA StyleZamarro Parra, M. S., Martínez-Gomaríz, M., Hernández, A., Alcover, J., Dobski, I., Rodríguez, D., Palacios, R., & Carbonell, A. (2025). Orange Allergy Beyond LTP: IgE Recognition of Germin-like Proteins in Citrus Fruits. Current Issues in Molecular Biology, 47(8), 621. https://doi.org/10.3390/cimb47080621

